Cerenerlal remodeling after cranio-brain injury in high mountains
- Авторлар: Shidakov Y.H.1, Zhanuzakov D.Z.1, Shuvalova M.S.1
-
Мекемелер:
- Kyrgyz-Russian Slavic University
- Шығарылым: Том 20, № 1 (2023)
- Беттер: 57-63
- Бөлім: Original Researches
- URL: https://ogarev-online.ru/1994-9480/article/view/143305
- DOI: https://doi.org/10.19163/1994-9480-2023-20-1-57-63
- ID: 143305
Дәйексөз келтіру
Толық мәтін
Аннотация
The article discusses the presentation of the features of cerebellar remodeling after traumatic brain injury (TBI) in the highlands. The experiment was carried out on 106 outbred male rats weighing 210–290 g in compliance with the rules of laboratory practice. In high-altitude conditions, in contrast to low-altitude conditions, significant changes occur in the cerebellum, namely, changes in the membrane potential of cells, ectopia of Purkinje cells, pronounced changes in molecular and granular layers.
Негізгі сөздер
Толық мәтін
Еще в 2008 г. было отмечено [1], что от черепно-мозговой травмы (ЧМТ) ежегодно умирает более 5 млн человек. По данным Всемирной организации здравоохранения, смертность от ЧМТ увеличивается ежегодно на 2 %, при этом 12 % всех причин инвалидизации составляет ЧМТ [1, 2]. Причин, вызывающих ЧМТ, множество, но основными являются дорожно-транспортные происшествия и падения с высоты, на долю которых приходится более 50 % случайных травм [3, 4]. Высока роль дорожно-транспортных происшествий в травматизации населения и в Кыргызстане [5, 6, 7]. Этому способствует отсутствие железнодорожных и водных путей сообщения между регионами страны, а автомобильные дороги в горах не отличаются безопасностью. Они характеризуются крутыми впадинами и подъемами, многочисленными серпантинами, карнизными участками, где с одной стороны полосы движения располага- ются крутые обрывы, а другой – нависающие над дорогой скалы.
Зачастую перевозку пассажиров осуществляют частные лица. Так, лица, занимающиеся частным извозом, выехав с юга страны поздно вечером, приезжают в Бишкек утром. В погоне за прибылью часто таксисты пускаются тут же в обратный путь, имея клиента. С точки зрения физиологии, риск дорожно-транспортного происшествия при таком режиме труда резко возрастает.
Согласно современным данным, бессонница провоцирует повышение концентрации олемида (ЦНС – 9,10-октадеценомида) в спинномозговой жидкости (СМЖ), который обладает снотворным эффектом [8, 9, 10]. Если к этому добавить действие высокогорной гипоксии на организм водителя, то риск аварий на горных дорогах многократно возрастает.
Изменить ситуацию на горных дорогах должны соответствующие службы. Целью медицинской науки является разработка способов предупреждения развития отека головного мозга после ЧМТ в высокогорье. Для этого необходимо изучить особенности ремоделирования центральной нервной системы, в частности мозжечка при ЧМТ в условиях высокогорья.
ЦЕЛЬ РАБОТЫ
Изложение особенностей ремоделирования мозжечка после ЧМТ в высокогорье.
МЕТОДИКА ИССЛЕДОВАНИЯ
Исследование проведено в рамках проекта 2.3.3 «Горная травматология: лечение, профилактика осложнений» по программе развития КРСУ, утвержденной Министерством науки и образования Российской Федерации на 106 белых беспородных крысах самцах весом 210–290 г с соблюдением правил лабораторной практики, утвержденных приказом Министерства здравоохранения и социального развития РФ от 23 августа 2010 г. № 708Н «Об утверждении правил лабораторной практики». Протокол исследования одобрен локальным этическим комитетом при НПО «Профилактическая медицина» МЗ КР. Животные были поделены на 2 серии (низкогорную и высокогорную), включающих по 2 группы опытов (табл. 1).
Таблица 1. Распределение животных в эксперименте
Серии | |
Низкогорная (г. Бишкек, 760 м над уровнем моря) | Высокогорная (перевал Туя-Ашу, 3200 м над уровнем моря) |
Группы | |
I группа – интактные животные | Iа группа – интактные животные |
II группа – животные с ЧМТ | IIа группа – животные с ЧМТ |
Моделировалась ЧМТ путем нанесения удара металлическим грузиком 68 г с высоты 90 см в теменно-затылочную область с помощью специального устройства. Энергия воздействия при этом составила 0,6 Дж. Через трое суток животных под наркозом выводили из эксперимента. Суправитально кровеносные сосуды части крыс инъецировали взвесью черной туши в 10%-м растворе нейтрального формалина в соотношении 1:4 через брюшную аорту. Затем проводилась декапитация, череп освобождался от мягких тканей и погружался в 10%-й нейтральный раствор формалина на 3 дня. Затем мозг с мозжечком извлекался из полости черепа, проводился по спиртам возрастающей концентрации, заливался в парафин. Из парафиновых блоков готовились гистологические срезы толщиной 5–7 мкм, окрашивались гемотоксилином-эозином и пирофуксином по Ван-Гизону. Готовые препараты изучались под микроскопом OlympusB×40 (Япония). Одновременно проводились серийное микрофотографирование с помощью цифрового фотоаппарата, сопряженного с оптической системой микроскопа и компьютером, морфометрия и протоколирование результатов.
Прижизненно у всех животных исследовались двигательная, поведенческая и психоэмоциональная активность методом «Открытое поле», мышечная сила по В.В. Сперанскому, а посмертно – концентрация Na+ и K+ в ткани мозжечка на племенном фотометре ПФП-УХЛ 4.2 по А.Г. Руммель и А.Ф. Баженовой [5].
РЕЗУЛЬТАТЫ ИССЛЕДОВАНИЯ И ИХ ОБСУЖДЕНИЕ
Ремоделирование мозжечка здоровых животных в высокогорье. Как было отмечено нами ранее [5], у здоровых крыс, побывавших в высокогорье, отмечается тенденция снижения локомоции по наружным и внутренним квадратам открытого поля, работоспособности, увеличения заглядывания в норки и дефекации (табл. 2).
Таблица 2. Изменение двигательной, поведенческой и психоэмоциональной активности у крыс с ЧМТ в низко- и высокогорье (M ± m)
Показатели | Низкогорье | Высокогорье | ||
контроль (n = 18) | ЧМТ (n = 9) | контроль (n = 10) | ЧМТ (n = 9) | |
Наружные квадраты | 37,4 ± 2,3 | 12,2 ± 3,4*** | 32,00 ± 2,04 | 17,8 ± 2,3*** |
Внутренние квадраты | 2,2 ± 0,3 | 1,1 ± 0,4 | 2,0 ± 0,4 | 0,0 ± 0,3** |
Стойки | 4,8 ± 0,5 | 3,8 ± 1,2 | 4,1 ± 0,5 | 1,6 ± 0,2*** |
Норки | 2,8 ± 0,3 | 3,0 ± 0,8 | 4,2 ± 0,7 | 1,0 ± 0,0** |
Груминг | 3,6 ± 0,4 | 2,6 ± 1,5 | 3,6 ± 0,5 | 1,6 ± 0,2** |
Дефекация | 0,4 ± 0,2 | 1,3 ± 0,6 | 3,7 ± 0,4 | 5,1 ± 0,4*^ |
Работоспособность | 10,8 ± 0,7 | 5,8 ± 0,6** | 7,1 ± 0,4 | 6,05 ± 0,8 |
*P < 0,05, **P < 0,01, ***P < 0,001. Разница достоверна между данными здоровых животных и крыс с ЧМТ. ^P < 0,05. Различия достоверны между данными, полученными при ЧМТ, воспроизведенной в высокогорье и низкогорье.
Мозжечок по современным представлениям является не только «органом приспособления организма к преодолению основных свойств массы тела – тяжести и инерции» [11], но и играет ключевую роль в регуляции эмоций и познавательной способности [12, 13, 14]. Поэтому повышение количества заглядываний в норки (познавательная деятельность) и дефекации (эмоциональность) у крыс вполне возможно связаны с изменениями физиологии мозжечка под действием факторов высокогорной гипоксии. Мозжечок координирует мышечную активность, но не может инициировать сокращение мышц [15, 16, 17, 18], хотя способен регулировать их тонус. Следовательно, снижение мышечной силы у здоровых крыс, побывавших в высокогорье, если не полностью, то частично можно отнести к деятельности мозжечка. Мозжечок обладает мощными возможностями [19, 20]; так, путем регуляции силы и тонуса большого количества мышц он сохраняет плавность движений животных, подвергшихся комбинированному действию на них подъема, пребывания в высокогорье и спуска по горным дорогам.
Ремоделирование структурной организации мозжечка здоровых крыс, побывавших в высокогорье, обеспечивает адаптацию его физиологических действий на организм. Выражается это в следующем. В молекулярном слое коры мозжечка наблюдается уплотнение концентрации корзинчатых и звездчатых нейронов. Учитывая, что эти нейроны образуют общую систему вставочных нейронов, передающую тормозные нервные импульсы на дендриты и тела грушевидных клеток Пуркинье, надо полагать, сложившаяся картина усиливает ингибирующее действие грушевидных нейронов на моторные нейроны спинного мозга.
Грушевидные нейроны (клетки Пуркинье), залегающие в ганглионарном слое коры мозжечка, отвечают на пребывание в условиях высокогорья изменением размеров и тинкториальных свойств. Они приобретают более светлую окраску и по размеру превышают в 1,2 раза контрольные данные. Несмотря на то, что грушевидные нейроны впервые боли описаны чешским ученым Я. Пуркинье еще в 1837 г., их реальная анатомическая дендритная конструкция опубликована Shelton D.P. только в 1985 г. [21]. Благодаря этому, функция грушевидных нейронов выведена из их структуры, согласно которой клетки Пуркинье представляют собой единственный выходной нейрон коры мозжечка. Следовательно, грушевидные нейроны вместе с их афферентными и эфферентными связями составляют основной контур, контролирующий мозжечково-зависимое поведение. Отсюда следует, что установленные нами структурные признаки гиперфункции грушевидных нейронов, проявившиеся увеличением размеров и просветлением клеток, сыграли одну из главных ролей в изменении этологии животных под действием подъема на высокогорье, пребывания там с последующим спуском по горным дорогам в низкогорье.
Со стороны зерновидных и звездчатых нейронов гранулярного слоя коры мозжечка достоверных изменений не обнаружено.
Таким образом, установлена высокая устойчивость нейронов коры мозжечка здоровых животных к высокогорной гмипоксической гипоксии и транспортировке по горным дорогам из низкогорья в высокогорье и обратно. По современным данным гипоксия индуцирует факторы (HIF), играющие центральную роль в адаптации клеток и тканей к недостатку кислорода [22]. Вполне возможно, что нейроны коры мозжечка активируют свои молекулярные программы, чтобы преодолеть условия, в которых они оказались. Такое предположение вполне уместно, имея в виду, что HIF состоят из чувствительной к кислороду α-субъединицы (HIF-α) и конститутивно экспрессируемой β-субъединицы (ядерного транслокатора рецептора арильных углеводородов (APNT), HIF-1β [22, 23]. При гипоксии, что наблюдается в условиях высокогорья, HIF-α перемещается в ядро клетки, чтобы гетеродимеризоваться с CARNT и проявить свою транскрипционную активность с его кофактором CREB-связывающим белком (CBP) P300 [24]. Тем самым HIF-αспособствует адаптации клеток к гипоксии.
Ремоделирование мозжечка после ЧМТ в высокогорье. Поведенческая, двигательная, психо эмоциональная активность и работоспособность крыс с ЧМТ в высокогорье, по сравнению с данными здоровых животных, побывавших на той же высоте, характеризуется (табл. 2) снижением локомоторной активности по наружным квадратам на 44 % (P < 0,001), а внутренним – с (2,0 ± 0,4) до (0,0 ± 0,3) квадратов (P < 0,01), угнетением исследовательской активности в виде снижения стоек на 60 % (P < 0,001), заглядывания в норки – на 76 % (P < 0,01) и груминга – на 55 % (P < 0,01), нарастанием эмоционального напряжения, выразившегося увеличением актов дефекации на 37 % (P < 0,05) [5]. При этом статистически достоверных отличий между двигательной, поведенческой, психоэмоциональной активностью (кроме актов дефекации) и работоспособностью крыс с ЧМТ в высокогорье и низкогорье не выявлено (табл. 2). Таким образом, сочетание высокогорной гипоксической гипоксии, транспортировки по горной дороге и ЧМТ повлекли достоверное снижение двигательной, поведенческой и психоэмоциональной активности животных по сравнению с исходными показателями, полученными у здоровых животных без значимых отличий от результатов, полученных у животных после ЧМТ в низкогорье.
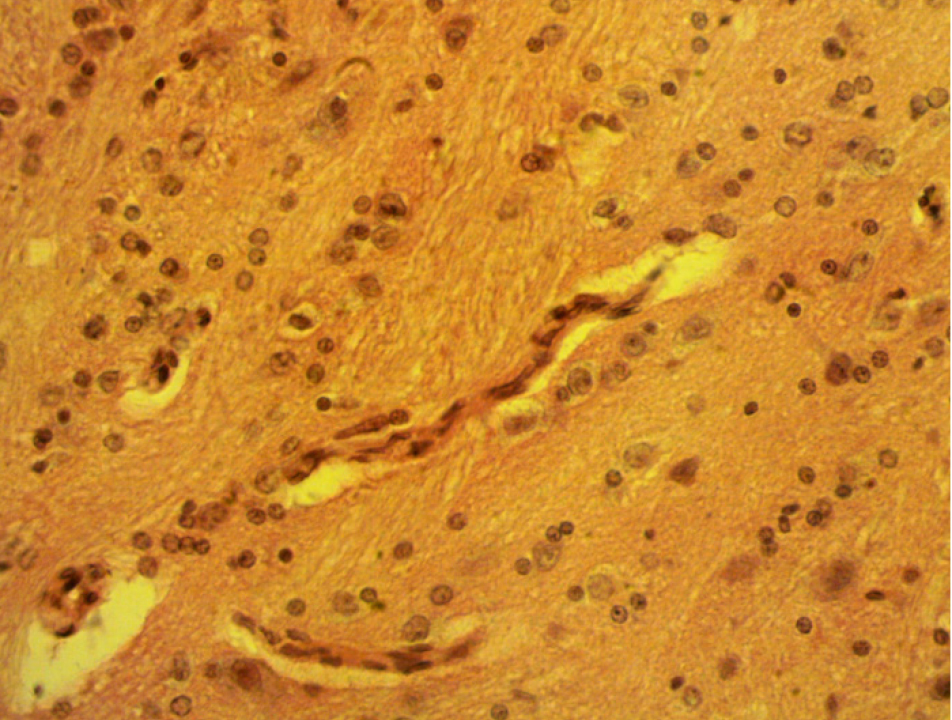
В то же время ремоделирование ангиоархитектоники и структурной организации мозжечка после ЧМТ в высокогорье отличается от данных опытов в низкогорье по степени выраженности и направленности. Так, после ЧМТ в низкогорье отмечается генерализованный спазм мелких артериальных ветвей и артериол, что вызывает ишемию мозжечка (рис. 1). Тогда как в высокогорье наблюдается венозная гиперемия и повышенная капилляризация мозжечка (рис. 2).
После ЧМТ в высокогорье чаще, чем в низкогорье, встречаются кровоизлияния на месте приложения травмы, по ходу кровеносных сосудов, залегающих в бороздах между дольками, в веществе мозжечка и даже полости IV желудочка. Наряду с паравазальными, наблюдаются интравазальные изменения в виде сепарации крови, тромбообразования, высокого капиллярного гематокрита.
Со стороны сосудистой стенки встречаются нарушение целостности эндотелия, отечность медии с образованием лакун и щелей, а также появление причудливого очертания. В определенной мере изменения капиллярного гематокрита можно интерпретировать как выброс крови из депо в кровеносные сосуды [25, 26], а формирование внутрисосудистых тромбов с гиперкоагуляционной направленностью крови в первые дни пребывания в высокогорье [25]. Особняком стоит вопрос о механизме комбинации высокого капиллярного гематокрита и плотности капиллярной сети. ЧМТ сопровождается повышением в СМЖ фактора роста эндотелия сосудов (VEGF) и эритропоэтина [27]. Отсюда можно предположить, что VEGF ведет к гиперкапилляризации, а эритропоэтин – росту капиллярного гематокрита, тем более что ЧМТ моделировалась в условиях высокогорной гипоксической гипоксии, а HIF был впервые обнаружен как регулятор транскрипции эритропоэтина, который представляет собой белок-регулятор кроветворения, экспрессирующий преимущественно в почках и, в меньшей степени, в печени [28, 29]. Обращает на себя внимание более усиленная капилляризация ганглионарного слоя коры мозжечка, чем молекулярного и гранулярного, что может быть обусловлено несколькими причинами. Первое – гиперфункцией грушевидных нейронов, как главных нервных клеток коры мозжечка, требующей дополнительного обеспечения кислородом и нутриентами. Второе – грушевидные нейроны и кровеносные сосуды, в том числе капилляры сосудистого сплетения головного мозга (ССГМ) вырабатывают морфоген Sonichedgehog (Shh), который влияет на нейро- и ангиогенез [30, 31]. Иначе говоря, в своем развитии и функционировании грушевидные нейроны коры мозжечка и ССГМ взаимосвязаны. Надо полагать, что в экспериментальных условиях эта взаимозависимость обостряется.
При ЧМТ в высокогорье грушевидные нейроны подвергаются качественным и количественным изменениям. Прежде всего, увеличивается их концентрация в поле зрения микроскопа. Обычно они располагаются в один ряд, примерно на равном расстоянии один от другого, тогда как после ЧМТ в высокогорье наблюдается случаи двух-, трехрядности. Часто отмечается эктопия грушевидных нейронов в сторону молекулярного слоя. Среди грушевидных нейронов чаще, чем в норме, встречаются гипохромные экземпляры с большими светлыми ядрами, на фоне которых располагаются темные ядрышки. Целостность отдельных таких нейронов нарушена. Наряду со светлыми имеются и темные грушевидные нейроны. Однозначно значение изменения тинкториальных свойств грушевидных нейронов сложно трактовать. Однако, учитывая, что они обладают секреторной деятельностью, гипохромные экземпляры можно отнести к активно функционирующим, а гиперхромные – к «набирающим силы, готовым к работе». Иначе говоря, различия в окраске – явление транзиторное, связанное с перемежающейся активностью функционирующих структур грушевидных нейронов. Гораздо реже отмечается деструкция и гибель отдельных нейронов.
Для молекулярного слоя характерно увеличение количества и размеров корзинчатых нейронов, которые ближе, чем в норме, располагаются к грушевидным нейронам, без особых изменений звездчатых нейронов. Физиологическое значение ремоделирования нейронов молекулярного слоя, надо полагать, заключается в усилении передающих или тормозных нервных импульсов на дендриты и тела грушевидных клеток Пуркинье.
Наиболее зримым проявлением ремоделирования нейронов зернистого слоя можно отнести их миграцию между грушевидными нейронами в молекулярный слой. Дать оценку такому поведению нейронов гранулярного слоя сложно. Трудно объяснить также более обильную, чем молекулярного, васкуляризацию гранулярного слоя коры мозжечка.
Наряду с приспособительными, компенсаторными, встречаются патологические изменения со стороны нейронов и нейроглии мозжечка при ЧМТ в высокогорье. В основе этих изменений нарушение функции и регуляции ионных насосов, каналов и других транспортеров при ЧМТ и гипоксии различного происхождения. На гистологических препаратах это проявляется цитотоксическим, ионным, вазогенным отеками и геморрагической конверсией в определенной последовательности, локализованных на ограниченных участках отдельных долек мозжечка. Согласно литературной сводке [32] патогенез отеков и геморрагической конверсии «обусловлен патологическими изменениями трансмембранной проницаемости нейронов, глии и эндотелиальных клеток сосудов нейроглиоваскулярного блока». «Аномальный ионный поток через ионные каналы и вторичные активные транспортеры играет центральную роль в развитии цитотоксического и ионного отека, что в конечном итоге приводит к вазогенному отеку и геморрагической конверсии».
Однако, несмотря на патологические изменения кровеносного русла и вещества органа, мозжечково-зависимых нарушений поведения животных при ЧМТ в высокогорье не отмечено. Данный феномен можно объяснить особенностью мозжечковой системы – чрезвычайной способностью к самовосстановлению за счет своих резервов [33]. Под резервом мозжечковой системы подразумевается способность органа компенсировать повреждение ткани или потерю функции, которая подразделяется на два взаимодополняющих типа. Когда речь идет об острых очаговых повреждениях, компенсация нарушенной функции может быть за счет других областей органа или вне мозжечка (структурный резерв). Чтобы избежать гибели поврежденных больных клеток (в нашей работе возможно больных грушевидных нейронов), на защиту включаются внутриклеточные молекулярные механизмы, идет восстановление субклеточных органелл путем регенерации (мозжечковые резервы).
ЗАКЛЮЧЕНИЕ
Вскрытие механизмов деятельности структурных и мозжечковых резервов имеет несомненный теоретический интерес и практическое значение, поэтому является предметом наших последующих исследований.
Конфликт интересов. Авторы декларируют отсутствие явных и потенциальных конфликтов интересов, связанных с публикацией настоящей статьи.
Competing interests. The authors declare that they have no competing interests.
Авторлар туралы
Yusuf Shidakov
Kyrgyz-Russian Slavic University
Email: medscience@mail.ru
ORCID iD: 0000-0002-2779-5574
Candidate of Medical Sciences, Head of the Laboratory of Experimental Modeling of Pathological Processes
Қырғызстан, BishkekDastan Zhanuzakov
Kyrgyz-Russian Slavic University
Хат алмасуға жауапты Автор.
Email: dastan_kgz95@mail.ru
ORCID iD: 0000-0002-6948-8265
Postgraduate Student of the Department of Surgical Dentistry, Faculty of Medicine
Қырғызстан, BishkekMaria Shuvalova
Kyrgyz-Russian Slavic University
Email: masha_2012kg@mail.ru
ORCID iD: 0000-0002-2295-090X
Leading Specialist of the Department of Normal and Pathological Physiology of the Medical Faculty
Қырғызстан, BishkekӘдебиет тізімі
- Peden M., Oyegbite K., Ozanne-Smith J. et al. (editors). World Report on Child Injury Prevention. Geneva, World Health Organization, 2008. PMID: 26269872.
- Kauvar D.S., Wade C.E. The epidemiology and modern management of traumatic hemorrhage: US and international perspectives. Crit Care. 2005;9(Suppl 5):S1–9. doi: 10.1186/cc3779. PMID: 16221313; PMCID: PMC3226117.
- Sabre L., Tomberg T., Kõrv J. et al. Brain activation in the chronic phase of traumatic spinal cord injury. Spinal Cord. 2016;54(1):65–68. doi: 10.1038/sc.2015.158. PMID: 26391190.
- Zhang C., Chen J., Lu H. Expression of aquaporin-4 and pathological characteristics of brain injury in a rat model of traumatic brain injury. Molecular Medicine Reports 2015;12(5):7351–7357. https://doi.org/10.3892/mmr.2015.4372.
- Shuvalova M.S. Vascular plexus and microcirculation of the brain in cerebral disorders in the highlands: a monograph. Bishkek, Publishing house KRSU. 2021. 226 p. (In Russ.).
- Zhanuzakov D.Z., Nurmukhamedov T.N. Influence of the model of one-day shift work in high mountains on the structural organization of the cerebellum. Sovremennaja medicina i farmacevtika: novye podhody i aktual’nye issledovanija: materialy 75-j Mezhdunarodnoj nauchno-prakticheskoj konferencii studentov-medikov i molodyh uchenyh = Modern medicine and pharmaceuticals: new approaches and current research. Materials of the 75th International Scientific and Practical Conference of Medical Students and Young Scientists. Samarkand, 2021:1024. (In Russ.).
- Shidakov Yu.Kh-M., Gorohova G.I., Volkovich O.V., Satiev S.S. Influence of glibenclamide on the state of liver histophysiology in traumatic brain injury. Vestnik KRSU. 2020;20(1):86–92. (In Russ.).
- Cravatt B.F., Prospero-Garcia O., Siuzdak G. et al. Chemical characterization of a family of brain lipids that induce sleep. Science. 1995;268(5216):1506–1509. doi: 10.1126/science.7770779.
- Basile A.S., Hanus L., Mendelson W.B. Charac-terization of the hypnotic properties of oleamide. Neuroreport. 1999;10(5):947–951. doi: 10.1097/00001756-199904060-00010. PMID: 10321465.
- Mendelson W.B., Basile A.S. The hypnotic actions of oleamide are blocked by a cannabinoid receptor antagonist. Neuroreport. 1999;10(15):3237–3239. doi: 10.1097/00001756-199910190-00021. PMID: 10574567.
- Prives M.G., Lysenkov N.K., Bushkovich V.I. Human anatomy. Moscow, Medicine Publ., 1983. 502 p. (In Russ.).
- Schmahmann J.D. Disorders of the cerebellum: ataxia, dysmetria of thought, and the cerebellar cognitive affective syndrome. J Neuropsychiatry Clin Neurosci. 2004;16(3):367–378. doi: 10.1176/jnp.16.3.367. PMID: 15377747.
- Schmahmann J.D., Caplan D. Cognition, emotion and the cerebellum. Brain. 2006;129(2):290–292. doi: 10.1093/brain/awh729. PMID: 16434422.
- Ito M. Control of mental activities by internal models in the cerebellum. Nat Rev Neurosci. 2008;9(4):304–313. doi: 10.1038/nrn2332. PMID: 18319727.
- Roostaei T., Nazeri A., Sahraian M.A., Minagar A. The human cerebellum: a review of physiologic neuroanatomy. Neurol Clin. 2014;32(4):859–869. doi: 10.1016/j.ncl.2014.07.013. PMID: 25439284.
- Witter L., De Zeeuw C.I. Regional functionality of the cerebellum. Current Opinion in Neurobiology, 2015;33:150–155. https://doi.org/10.1016/j.conb.2015.03.017.
- Manto M., Bower J.M., Conforto A.B. et al. Consensus paper: roles of the cerebellum in motor control--the diversity of ideas on cerebellar involvement in movement. Cerebellum. 2012;11(2):457–487. doi: 10.1007/s12311-011-0331-9. PMID: 22161499; PMCID: PMC4347949.
- Shulgovsky V.V. Fundamentals of neurophysiology: Textbook for university students. 2nd correction and add. Moscow, Aspect Press, 2005. 277 p. (In Russ.).
- Apps R., Garwicz M. Anatomical and physiological foundations of cerebellar information processing. Nat Rev Neurosci. 2005;6(4):297–311. doi: 10.1038/nrn1646. PMID: 15803161.
- Ito M. Cerebellar circuitry as a neuronal machine. Prog Neurobiol. 2006;78(3-5):272–303. doi: 10.1016/j.pneurobio. 2006.02.006. PMID: 16759785.
- Shelton D.P. Membrane resistivity estimated for the Purkinje neuron by means of a passive computer model. Neuroscience. 1985;14(1):111–131. doi: 10.1016/0306-4522(85)90168-x.
- Suzuki T., Shinjo S., Arai T. et al. Hypoxia and fatty liver. World J Gastroenterol. 2014;20(41):15087–15097. doi: 10.3748/wjg.v20.i41.15087.
- Semenza G.L. Regulation of oxygen homeostasis by hypoxia-inducible factor 1. Physiology (Bethesda). 2009;24:97–106.
- Lando D., Gorman J.J., Whitelaw M.L., Peet D.J. Oxygen-dependent regulation of hypoxia-inducible factors by prolyl and asparaginyl hydroxylation. Eur J Biochem. 2003;270:781–790.
- Isabaeva, V.A. Physiology of blood coagulation in conditions of natural adaptation: Dissertation abstract of the Doctor of Medical Science: 03.03.01. Frunze, 1976. 45 p. (In Russ.).
- Raimzhanov A.R. Aplastic anemia and mountain climate. Monograph. Bishkek, 2001. 304 p. (In Russ.).
- Shore P.M., Jackson E.K., Wisniewski S.R. et al. Vascular endothelial growth factor is increased in cerebrospinal fluid after traumatic brain injury in infants and children. Neurosurgery. 2004;54(3):605–611.
- Brines M.L., Ghezzi P., Keenan S. et al. Erythropoietin crosses the blood-brain barrier to protect against experimental brain injury. Proceedings of the National Academy of Sciences of the United States of America. 2000;97(19):10526–10531.
- Wang G.L., Jiang B.H., Rue E.A., Semenza G.L. Hypoxia-inducible factor 1 is a basic-helix-loop-helix-PAS heterodimer regulated by cellular O2 tension. Proc Natl Acad Sci USA. 1995;92:5510–5514.
- Huang X., Ketova T., Fleming J.T. et al. C. Sonic hedgehog signaling regulates a novel epithelial progenitor domain of the hindbrain choroid plexus. Development. 2009;136(15):2535–43.
- Wallace V.A. Purkinje-cell-derived Sonic hedgehog regulates granule neuron precursor cell proliferation in the developing mouse cerebellum. Curr Biol. 1999;9(8):445–448.
- Khanna A., Walcott B.P., Kahle K.T., Simard J.M. Effect of glibenclamide on the prevention of secondary brain injury following ischemic stroke in humans. Neurosurg Focus. 2014;36(1):E11. doi: 10.3171/2013.10. FOCUS13404
- Mitoma H., Buffo A., Gelfo F. et al. Consensus Paper. Cerebellar Reserve: From Cerebellar Physiology to Cerebellar Disorders. Cerebellum. 2020;19(1):131–153. doi: 10.1007/s12311-019-01091-9. PMID: 31879843.



