Morphological changes in the hippocampus of the rat brain in ischemia and in conditions of combined preconditioning
- Autores: Novikov V.E.1, Levchenkova O.S.1, Korneva J.S.1
-
Afiliações:
- Smolensk State Medical University
- Edição: Volume 15, Nº 2 (2024)
- Páginas: 117-126
- Seção: Neuropsychopharmacology
- URL: https://ogarev-online.ru/1606-8181/article/view/259272
- DOI: https://doi.org/10.17816/phbn626415
- ID: 259272
Citar
Resumo
BACKGROUND: Preconditioning is effective for increasing the body’s resistance to hypoxia/ischemia. AIM: To evaluate morphological changes in the most hypoxia-sensitive fields of the hippocampus CA1 and CA3 in cerebral ischemia in rats and under conditions of combined preconditioning. MATERIALS AND METHODS: Cerebral ischemia was simulated in rats under anesthesia (8% chloral hydrate solution, 400 mg/kg) by bilateral ligation of the common carotid arteries. The combined preconditioning method included the alternate use of two preconditional factors: pharmacological (amtisol, 25 mg/kg) and hypoxic (hypobaric hypoxia, 410 mmHg; exposure time, 60 min). Morphometric assessment of brain damage was performed a day after modeling ischemia in the CA1 and CA3 fields of the hippocampus. RESULTS: Combined preconditioning has a positive effect on the morphometric parameters of the brain during ischemia, including increasing neuronal survival in the early and late periods of ischemia modeling, preventing the formation of necrotically and apoptotically altered neurons, hyperactivation of microglial cells, and contributing to endotheliocyte preservation. CONCLUSIONS: Combined preconditioning (amtisol + hypobaric hypoxia) has a neuroprotective effect in cerebral ischemia.
Palavras-chave
Texto integral
BACKGROUND
Over the past decades, cerebral ischemia is a leading cause of mortality and disability worldwide [1]. Preconditioning is an effective way to increase the body’s tolerance to hypoxia/ischemia, including cerebral ischemia. It mobilizes the body’s physiological reserves under the influence of preconditioning, such as short-term and repeated sublethal ischemia or hypoxia [2, 3]. Preconditioning can be induced by drugs from several pharmacological classes [4–8]. Nevertheless, pharmacological preconditioning is less effective than physical methods regarding the extent of protective effect [9]. Conversely, pharmacological agents can be used to enhance the impact of physical methods of preconditioning, thereby reducing the effect of physical factors [8–10]. Experimental studies demonstrated that the combination of pQ-4 compound with moderate hypobaric hypoxia significantly increased the survival rate of rats with cerebral ischemia and reduced neurological deficits in the postischemic period [11].
This study aimed to assess morphological changes in the most hypoxia-sensitive hippocampal CA1 and CA3 regions during brain ischemia in rats and under conditions of ischemia modeling following combined pharmacological–hypoxic preconditioning.
MATERIALS AND METHODS
The study included 38 white Wistar rats (Scientific Center for Biomedical Technologies of the Federal Medical and Biological Agency, Stolbovaya, Russia) weighing 200–230 g. The studies were conducted in accordance with the Rules of Laboratory Practice (Order of the Ministry of Health of Russia no. 199n, dated April 1, 2016).
Combined preconditioning (CPreC) involved the alternate application of two preconditioning factors: pharmacological and hypoxic. On experiment days 1, 3, and 5, the animals were intraperitoneally injected with amtisol at 25 mg/kg. On days 2, 4, and 6, rats were subjected to moderate hypobaric hypoxia (410 mmHg; exposure time: 60 min) [11, 12]. Following the final session of CPreC, the rats were subjected to a model of cerebral ischemia under anesthesia (8% chloral hydrate solution at 400 mg/kg) through bilateral ligation of the common carotid arteries. The experimental animals were divided into four groups: 1 control group with ischemia, two experimental groups of CPreC with ischemia (CPreC Isch), one hour after preconditioning (CPreC Isch after one hour), and 48 hours after preconditioning (CPreC Isch after 48 hours).
The degree of brain damage was assessed 1 day after surgery using morphometry. The brain was fixed in 10% neutral buffered formalin. Brain slices 5-μm-thick (3.8 ± 0.2 mm posterior to the bregma [13]) were prepared after standard pouring in paraffin and stained with hematoxylin and eosin and toluidine blue according to the Nissl method. The number of neurons in the hippocampal CA1 and CA3 fields was quantified in 10 non-overlapping fields of view at ×400 magnification (Carl Zeiss, Germany). The following cell types were counted: normal (unchanged), reversibly damaged (hypochromic), and irreversibly damaged neurons (apoptotic, hyperchromic) and necrotic cells (shadow cells). Additionally, microglia cells and endotheliocytes were counted.
The results were statistically analyzed using the Stat Plus Pro 7.0.1.0 program. The Mann–Whitney (U) test was employed to identify differences between the studied indicators in the compared two independent samples. When comparing a larger number of independent samples, the Kruskal–Wallis rank analysis of variance (H-criterion) was used (p ≤ 0.05). Descriptive statistics by groups are presented as median and percentiles (Q1; Q3).
RESULTS
A morphometric study of the hippocampus of rats with ischemia revealed pronounced, widespread pathomorphologic changes 1 day after surgery compared to falsely operated animals. In animals with ischemia, pyramidal neurons in the hippocampal CA1 and CA3 fields exhibited absence of normal morphology, in contrast to the presence of damaged neurons (H = 15.41; p = 0.002 and H = 21.68; p < 0.001, respectively, for the fields), which were predominantly necrotic (Table 1, Fig. 1).
Table 1. Morphometric changes in the hippocampus during cerebral ischemia and under preconditioning
Hippocampal field | Cells | Animal groups | |||
Falsely operated | Ischemia | Preconditioning with amtisol + ischemia | |||
Early period | Late period | ||||
СА1 | NN | 19 (15,3; 28,6) | 0 (0; 0)* | 0 (0; 3,5)* | 3 (0; 4)* |
HN | 8,2 (5,8; 12,7) | 1 (0; 11)* | 15,7 (12,6; 24,5)# | 29 (22,7; 35)# | |
HRN | 1,2 (0,3; 2,2) | 16,5 (7,5; 18,5)* | 2,2 (2; 2,8)# | 0 (0; 0,2)#+ | |
SCs | 2 (1,6; 2,1) | 20 (18,2; 28,2)* | 15,8 (6; 18,0)* | 14 (10,7; 14,5)*# | |
NMG | 17,5 (12,8; 26) | 6 (1; 12)* | 15 (12; 15) | 9,5 (8; 11,5)* | |
DAM | 6,5 (4,7; 7,3) | 3 (0,5; 8,2) | 7,8 (6,3; 8,8) | 7,5 (5,5; 8,0) | |
McG | 3,5 (2,3; 4) | 12,5 (4; 20)* | 3,8 (3,5; 4) | 5,5 (4,5; 10) | |
EC | 11 (7,8; 14,1) | 6 (3,7; 6,5)* | 15 (12; 15,4)# | 17 (13; 19)# | |
СА3 | NN | 23,7 (20; 26,2) | 0 (0; 0,5)* | 7,5 (3,3; 9,7)*# | 8,5 (3,2; 26,5)# |
HN | 5,0 (4,2; 8,3) | 0 (0; 4,2) | 11,2 (8,7; 13,3)*# | 13,5 (3,5; 30,5)# | |
HRN | 2 (0,6; 3,3) | 15 (11,2; 16,5)* | 1,5 (0,6; 2)# | 2 (1; 3)# | |
SCs | 0 (0; 2,6) | 27 (26,5; 28,5)* | 8 (6,2; 13,5)*# | 8 (4,7; 10,5)*# | |
NMG | 14,7 (11; 15,8) | 6 (2,5; 8,7)* | 11,2 (10,2; 11,8)# | 8 (6,2; 14,7) | |
DAM | 5,2 (4,2; 5,8) | 4,5 (2; 5,5) | 8 (6,2; 9,7)*# | 7 (4,2; 8) | |
McG | 2,5 (1,6; 3) | 12 (7,7; 22,5)* | 5,5 (5; 8,2)* | 5,5 (4,7; 7)*# | |
EC | 7,2 (5,8; 10,1) | 6 (4; 7) | 14 (10,2; 17)*# | 13 (12; 15,5)*# | |
Note: *, indices [median (Q1; Q3)] are significantly different from the sham-operated group (control); #, from the control group with ischemia; +, from the group of combined preconditioning with amtisol in the early period at p < 0.05; Mann–Whitney U-criterion. NN, normal neurons; HRN, hyperchromic neurons; HN, hypochromic neurons; SCs, shadow cells; NMG, normal macroglia; DAM, dystrophically altered macroglia; McG, microglia; EC, endotheliocyte.
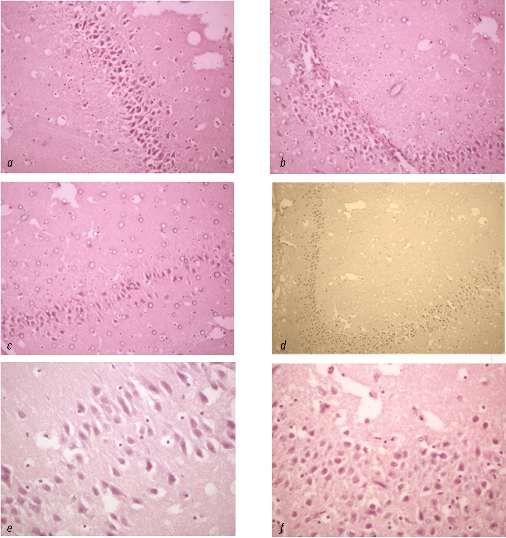
Fig. 1. Zones CA1 (a, c, e) and CA3 (b, d, f) fields of the hippocampus of the rat brain with simulated ischemia. The histoarchitecture is unclear, cellularity is sharply reduced, pronounced pericellular edema, foci of destruction in the brain tissue. e, f: in both zones, there are no normal neurons, and almost all neurons are hyperchromatic, wrinkled, reduced in size, lacking processes; single sharply swollen macroglial cells are detected; capillaries are not detected; maximum number of microglial cells. Hematoxylin–eosin staining. Magnification for a, b, c × 200, for d × 100, for e, f × 400
The number of hypochromic neurons was significantly lower in the CA1 field than in the group of falsely operated animals (U = 14; p = 0.032). However, no significant difference was observed in the number of hypochromic neurons in the CA3 field (U = 32; p = 0.116). Most neurons exhibited morphological alterations. Consequently, the number of hyperchromic neurons was significantly higher in both hippocampal fields under study compared to the falsely operated group (U = 45.5; p = 0.042 for CA1 and U = 6.5; p = 0.038 for CA3). Additionally, shade cells were significantly increased compared to the falsely operated group in CA1 (U = 56; p = 0.001) and CA3 (U = 0; p = 0.002) fields. Normal macroglia cells in controls with ischemia were significantly fewer compared to the falsely operated controls in the CA1 (U = 7.5; p = 0.017) and CA3 (U = 37; p = 0.022) fields. Concurrently, no significant differences were found in the number of dystrophically altered macroglia cells in the CA1 (U = 18; p = 0.247) and CA3 (U = 27; p = 0.391) fields. The number of microglia cells, which are particularly reactive in ischemic brain injury, increased in the CA1 (U = 44; p = 0.05) and CA3 (U = 4.5; p = 0.018) fields compared to the group of falsely operated animals. One day after ischemia, the number of endothelial cells was lower than in the group of falsely operated rats in the hippocampal CA1 field (U = 10; p = 0.037), but not in the hippocampal CA3 field (U = 31; p = 0.153).
When ischemia was simulated 1 hour (early period) and 48 hours (late period) after CPreC with amtisol (CPreC-Amt), positive morphological changes were noted in hippocampal CA1 and CA3 fields compared to ischemic controls (Table 1, Fig. 2).
Fig. 2. Zones CA1 (a, c) and CA3 (b, d) of the hippocampus of the rat brain (combined preconditioning with amtizol, early period). The histoarchitecture can be traced, the cellularity is relatively preserved, and there is pronounced perivascular and, in some places, pericellular edema. Both zones: single normal neurons are found (more in the CA3 field); hyperchromic neurons are present. CA1 field: shadow cells and hypochromic neurons are detected; macroglia are partially preserved; capillaries are identified, but their endothelium is absent in places; single microglial cells appear. Hematoxylin–eosin staining. Magnification for a, b × 200, for c, d × 400
A comparison of four independent samples, namely, the group of falsely operated animals, control with ischemia, and two experimental groups of CPreC-Amt, revealed a difference in the number of normal neurons (the Kruskal–Wallis rank H-criterion was used to compare the results between the groups; H = 87.4; df = 3; p < 0.001). The greatest number of normal neurons in the hippocampal CA1 field was observed in the group of falsely operated animals, followed by the late preconditioning period (CPreC-Amt Isch group after 48 hours) and then the early preconditioning period (CPreC-Amt Isch group after 1 hour), with the least number found in the control group with ischemia. In the hippocampal CA3 field, similar significant differences in the number of normal neurons were observed between the studied groups (H = 54.7; df = 3; p < 0.001). A pairwise comparison of the number of preserved normal neurons between groups (Mann–Whitney U-criterion was used) showed that preserved normal neurons were significantly increased in the CA3 field than in the control with ischemia (U = 41.5; p = 0.03). The Mann–Whitney U-criterion test presented no significant differences in the number of preserved normal neurons between the CA1 field and CPreC-Amt Isch after 1 hour (U = 5.0; p = 0.012) or CPreC-Amt Isch after 48 hours (U = 0; p = 0.012).
A significant difference was observed in the number of hypochromic neurons in the hippocampal CA1 field between the studied groups (H = 15.7; df = 3; p = 0.014). The most reversibly damaged hypochromic neurons were identified in the CPreC-Amt Isch group after 48 hours, followed by the CPreC-Amt Isch group after 1 hour, then the falsely operated animals, and finally the control group with ischemia. In the hippocampal CA3 field, the greatest number of hypochromic neurons were observed in the CPreC-Amt Isch group after 48 hours, followed by the CPreC-Amt Isch group after 1 hour, and then in the falsely operated rats group. The number of hypochromic neurons was minimal in the control group with ischemia (H = 25.7; df = 3; p < 0.001). In pairwise comparisons, a relatively high number of hypochromic neurons was observed in the CPreC-Amt Isch group than in controls with ischemia. This was noted for both the CA1 and CA3 fields after 1 hour (U = 34.5; p = 0.05 and U = 38.0; p = 0.015, respectively). The number of hypochromic neurons was significantly higher in the CPreC-Amt Isch group than in the control group in the CA1 and CA3 fields after 48 hours (U = 4.0; p = 0.008 and U = 6.0; p = 0.018, respectively). No significant differences were observed between the experimental groups of CPreC with amtisol (U = 28; p = 0.317 for CA1 and U = 21; p = 0.715 for CA3).
The number of hyperchromic neurons in the hippocampal fields CA1 and CA3 exhibited significant differences between the studied groups (H = 33.1 and H = 30.1, respectively, for CA1 and CA3; df = 3; p < 0.001). Considerable apoptotic hyperchromic neurons were observed during ischemia, followed by the CPreC-Amt Isch group 1 hour after ischemia onset, then by the group of falsely operated animals, and finally by the CPreC-Amt Isch group 48 hours after ischemia onset. A pairwise comparison found that the number of hyperchromic neurons was significantly lower in the CPreC-Amt Isch group after 1 hour in the CA3 field (U = 0.5; p = 0.003) than in the control group with ischemia. This was further observed after 48 hours in both fields (U = 44.0; p = 0.004 for CA3). The results indicated that the protective effect against neuronal apoptosis in the CPreC-Amt Isch group was greater when CPreC-Amt was used 48 hours before surgery (U = 40.5; p = 0.005 for the CA1 field) compared to after 1 hour (U = 0.5; p = 0.003 for the CA3 field).
The number of shade cells in the hippocampal CA1 field significantly differed between the studied groups (H = 67.3; df = 3; p < 0.001). The control group with ischemia exhibited the highest number of cells, followed by the CPreC-Amt Isch group after 1 hour, CPreC-Amt Isch group after 48 hours, and falsely operated animals group, which exhibited the lowest number of cells. The same ranking was observed for the CA3 field regarding the number of shade cells in the studied groups (H = 69.2; df = 3; p < 0.001). The highest number of cells were observed in the control group with ischemia, followed by the CPreC-Amt Isch group after 1 hour, and then the CPreC-Amt Isch group after 48 hours, and the lowest number was observed in the falsely operated (control) group. In pairwise comparisons, the number of necrotic neuron-shadow cells was lower in the CPreC-Amt Isch group after 1 hour than in the control group with ischemia only in the CA3 field (U = 2.0; p = 0.006). After 48 hours, it was lower in the CPreC-Amt Isch group in both hippocampal fields (U = 44.0; p = 0.012 for CA1 and U = 48.5; p = 0.002 for CA3).
A significant difference was observed in the number of normal macroglia cells in the hippocampal CA1 field between the studied groups (H = 33.5; df = 3; p < 0.001). The falsely operated animals exhibited the highest preservation level, followed by the CPreC-Amt Isch group after 1 hour, then the CPreC-Amt Isch group after 48 hours, and finally the ischemic animals, which exhibited the lowest preservation level. In the hippocampal CA3 field, the number of unaltered macroglia cells was significantly different between groups (H = 12.2; df = 3; p = 0.007). It was better preserved in the false-operated group (control), then in the CPreC-Amt Isch group after 1 hour, and in the CPreC-Amt Isch group after 48 hours. The group with ischemia exhibited the least preservation. A pairwise comparison of the number of normal macroglia cells between groups showed a significant difference only for the CPreC-Amt Isch group after 1 hour when compared to the control group with ischemia in the hippocampal CA3 field (U = 37; p = 0.022). When dystrophically altered macroglia cells were identified, no significant differences were found in the studied groups in both the CA1 (H = 5.4; df = 3; p = 0.142) and CA3 (H = 11.3; df = 3; p = 0.103) fields.
A significant difference was noted in the number of microglia cells in both hippocampal fields between the studied groups (H = 17.4; df = 3; p = 0.006 for CA1 and H = 29.8; df = 3; p < 0.001 for CA3). The highest number of microglia cells was observed in rats in the control group with ischemia and the lowest number in the CPreC-Amt Isch group after 48 hours. Furthermore, the number of microglia cells was lowest in the falsely operated animals. A pairwise comparison of the number of microglia cells revealed that the number of microglia cells in the experimental group of CPreC-Amt Isch after 1 hour was not statistically different from the number of microglia cells in the group of falsely operated animals (U = 29.5; p = 0.477). However, it was not significantly less compared to the control. The number of microglia cells in the hippocampal field CA1 was greater for the group with ischemia (U = 12.5; p = 0.224) than for the falsely operated animals group (U = 4; p = 0.024), but not significantly different from that of the control group with ischemia (U = 11; p = 0.153). The number of microglia cells was significantly lower in the CPreC-Amt Isch experimental group than in controls with ischemia for the hippocampal field CA3 (U = 21; p = 0.03) after 48 hours. However, no such changes were found for the hippocampal field CA1 (U = 18.5; p = 0.443).
A significant difference was observed in the number of endothelial cells in the hippocampal fields CA1 and CA3 between the groups (H = 31; df = 3; p < 0.001 for CA1 and H = 34.2; df = 3; p < 0.001 CA3). The greatest number of endothelial cells was observed in the CPreC-Amt Isch rats after 48 hours, followed by the CPreC-Amt Isch group after 1 hour, then the falsely operated animals, and finally the control group with ischemia, which exhibited the lowest number of endothelial cells and highest mortality. The number of endotheliocytes in the CA1 field was significantly higher in the experimental group CPreC-Amt Isch than in the control with ischemia (U = 4.5; p = 0.018). In the CA3 field, there were more endothelial cells than in the control group with ischemia (U = 2; p = 0.006) and in the falsely operated animals (U = 6; p = 0.045). Similar results were obtained for the experimental group CPreC-Amt Isch after 48 hours. In the hippocampal field CA1, the number of endothelial cells was significantly higher in comparison with the control group that underwent ischemia (U = 0; p = 0.001). Similarly, in field CA3, the number of endothelial cells was significantly higher in comparison with the control group that underwent ischemia (U = 0; p = 0.001) and the falsely operated animals (U = 6; p = 0.032).
Consequently, CPreC (amtisol in combination with moderate hypobaric hypoxia) positively affects morphometric indices in the hippocampal fields CA1 and CA3 of the rat brain following modeling of ischemia. The results indicate that CPreC with amtisol induces a neuroprotective effect, increasing neuronal survival in the early and late periods of ischemia modeling. This prevents the formation of necrotically and apoptotically altered neurons and hyperactivation of microglia cells and promotes endothelial cell preservation. Regarding the impact of CPreC on morphometric indices in ischemia, it is crucial to highlight the reduction in microglial hyperactivation, given that microglial activation is a key pathogenic mechanism in brain damage. This is accompanied by structural and functional remodeling of mitochondria, a shift toward glycolytic ATP production, and an increase in reactive oxygen species production [14–16].
The positive effect of preconditioning factors on morphometric indices of the brain during ischemia is fully consistent with our earlier results of the effect of this method of CPreC on the survival rate of animals in hypoxia/ischemia, functional activity of the central nervous system and neurological deficit, and pro-/antioxidant status and activity of bioenergetic processes in mitochondria of the brain [10, 17–21].
CONCLUSIONS
A day after modeling of cerebral ischemia in rats, significant neurodegenerative changes of diffuse nature with neuronal death in brain regions highly sensitive to ischemia, namely, pyramidal neurons of hippocampal fields CA1 and CA3, occur, combined with a decrease in the number of normal macroglia, endotheliocytes, and reactive activation of microglia. The variability of the results between the hippocampal CA1 and CA3 fields may be due to the fact that different hippocampal fields are differentially sensitive to the action of ischemia.
In the initial preconditioning phase (ischemia modeling 1 hour after CPreC), the number of surviving normal neurons in the hippocampus increased, particularly in the CA3 field. Hypochromic (reversible damage) neurons were more prevalent than in the control group. Normal macroglia cells showed superior survival rates, and fewer dystrophically altered macroglia cells were observed. The number of microglia cells was found to be lower than in the control group, indicating less hippocampal cell damage. Additionally, the number of endotheliocytes in both hippocampal fields was preserved. Similar changes were observed in the late period of CPreC with amtisol (modeling of ischemia after 48 hours), and in a number of cellular indices, late CPreC demonstrated greater efficacy than early CPreC.
The results of morphometric study of the hippocampus indicate that combined pharmacological–hypoxic preconditioning (amtisol + hypobaric hypoxia) induces a neuroprotective effect in cerebral ischemia.
ADDITIONAL INFORMATION
Authors contribution. Thereby, all authors made a substantial contribution to the conception of the study, acquisition, analysis, interpretation of data for the work, drafting and revising the article, final approval of the version to be published and agree to be accountable for all aspects of the study. O.S. Levchenkova, Yu.S. Korneva — manuscript drafting, writing and pilot data analyses; V.E. Novikov — paper reconceptualization and general concept discussion.
Competing interests. The authors declare that they have no competing interests.
Funding source. This study was not supported by any external sources of funding.
Sobre autores
V. Novikov
Smolensk State Medical University
Autor responsável pela correspondência
Email: nau@sgmu.info
ORCID ID: 0000-0002-0953-7993
Código SPIN: 1685-1028
Professor, Doctor of Medical Sciences, Head of the Department of Pharmacology
Rússia, Krupskaya St., 28, Smolensk, 214019O. Levchenkova
Smolensk State Medical University
Email: os.levchenkova@gmail.com
ORCID ID: 0000-0002-9595-6982
Código SPIN: 2888-6150
MD, Dr. Sci. (Medicine), Assistant Professor
Rússia, SmolenskJ. Korneva
Smolensk State Medical University
Email: nau@sgmu.info
ORCID ID: 0000-0002-8080-904X
Código SPIN: 5169-7740
MD, Cand. Sci. (Medicine), Assistant Professor
Rússia, SmolenskBibliografia
- Campbell BC. Stroke. Lancet. 2020;396(10244):129–142. doi: 10.1016/S0140-6736(20)31179-X
- Novikov VE, Levchenkova OS, Pozhilova EV. Preconditioning as a method of metabolic adaptation to hypoxia and ischemia. Vestnik of the Smolensk State Medical Academy. 2018;17(1):69–79. EDN: YXHXPI
- Hao Y, Xin M, Feng L, et al. Review cerebral ischemic tolerance and preconditioning: methods, mechanisms, clinical applications, and challenges. Front Neurol. 2020;11:812. doi: 10.3389/fneur.2020.00812
- Zenko MYu, Rybnikova EA. Pharmacological preconditioning. Integrative physiology. 2020;1(1):32–39. EDN: CDEKPO doi: 10.33910/2687-1270-2020-1-1-32-39
- Levchenkova OS, Kulagin KN, Novikov VE. Cerebroprotective action of pharmacological and hypoxic preconditioning in brain ischemia. Vestnik of the Smolensk State Medical Academy. 2017;16(2):15–21. EDN: YPCMXX
- Levchenkova OS, Novikov VE. Possibilities of pharmacological preconditioning. Annals of the Russian academy of medical sciences. 2016;71(1):16–24. EDN: VPLXBD doi: 10.15690/vramn626
- Novikov VE, Levchenkova OS. Perspectives of use of inducers of the hypoxia adaptation factor in therapy of ischemic diseases. Journal of Ural medical academic science. 2014;(5):132–138. EDN: TKZNBL
- Yang Y, Lu F, Huang L, et al. Combined preconditioning with hypoxia and GYKI-52466 protects rats from cerebral ischemic injury by HIF-1a/eNOS pathway. Am J Transl Res. 2017;9(12):5308–5319.
- Novikov VE, Levchenkova OS, Klimkina EI, Kulagin KN. Potentiation of the hypoxic preconditioning effect by antihypoxants. Reviews on Clinical Pharmacology and Drug Therapy. 2019;17(1):37–44. EDN: PHNAKT doi: 10.7816/RCF17137-44
- Levchenkova OS, Novikov VE, Kulagin KN, Ponamareva NS. Influence of combined pharmacological and hypoxic preconditioning on animal survival and functional activity of CNS during model cerebral ischemia. Experimental and clinical pharmacology. 2016;79(6):3–8. EDN: WCOGFF doi: 10.30906/0869-2092-2016-79-6-3-8
- Levchenkova OS, Novikov VE, Parfenov EA, Kulagin KN. Neuroprotective effect of antioxidants and moderate hypoxia as combined preconditioning in cerebral ischemia. Bulletin of Experimental Biology and Medicine. 2016;162(8):173–177. EDN: WHHGMP
- Novikov VE, Levchenkova OS. Erythropoietin and vascular endothelial growth factor level in normoxia and in cerebral ischemia under pharmacological and hypoxic preconditioning. Biomedical chemistry. 2020;(4):339–344. EDN: XDXCGU doi: 10.18097/PBMC2020664339
- Paxinos G, Watson C. The rat brain in stereotaxic coordinates. Hard Cover Edition: Academic Press, 2007. 456 p.
- Novikov VE, Sharov AN. Effect of GABAergic agents on oxidative phosphorylation in brain mitochondria in traumatic brain oedema. Pharmacology and toxicology. 1991;54(6):44–46. (In Russ.)
- Pozhilova EV, Novikov VE, Levchenkova OS. Reactive oxygen species in cell physiology and pathology. Vestnik of the Smolensk State Medical Academy. 2015;14(2):13–22. EDN: UHOVFR
- Novikov VE, Ponamaryova NS, Shabanov PD. Aminothiol antihypoxants in traumatic brain oedema. Saint Petersburg: Elby-SPb; 2008. 176 p. (In Russ.)
- Novikov VE, Kulagin KN, Levchenkova OS, Ponamareva NS. Influence of preconditioning by amtizol and moderate hypoxia on brain mitochondrial function under experimental normoxia/cerebral ischemia conditions. Experimental and clinical pharmacology. 2019;82(12):3–8. EDN: WDPYUW doi: 10.30906/0869-2092-2019-82-12-3-8
- Novikov VE, Levchenkova OS, Pozhilova EV. Pharmacological preconditioning: opportunities and prospects. Vestnik of the Smolensk State Medical Academy. 2020;19(2):36–49. EDN: OMTYRF doi: 10.37903/vsgma.2020:2.6
- Novikov VE, Pozhilova EV. Pharmacological neuroprotection in cerebrovascular insufficiency: Possible approaches. Psychopharmacology and biological narcology. 2024;15(1):23–32. EDN: ZZEGEE doi: 10.17816/phbn626125
- Evseev AV, Mosin OA, Evseeva MA, et al. Antihypoxic effect of almid-containing metal-complex compounds in the experiment. Psychopharmacology and biological narcology. 2024;15(1):53–60. EDN: EAKJEE doi: 10.17816/phbn626030
- Levchenkova OS, Novikov VE, Vorobyova VV, Kulagin KN. Activity of ROS-induced processes in the combined preconditioning with amtizol before and after cerebral ischemia in rats. Res Results Pharmacol. 2021;7(2):49–57. doi: 10.3897/rrpharmacology7.66808
Arquivos suplementares



