Индукция холинергического фенотипа в клетках нейробластомы мыши фактором роста нервов
- Авторы: Корягина А.А.1, Недогреева О.А.1, Буянова А.А.1, Спивак Ю.С.1, Большаков А.П.1, Гуляева Н.В.1, Степаничев М.Ю.1
-
Учреждения:
- Федеральное государственное бюджетное учреждение науки Институт высшей нервной деятельности и нейрофизиологии РАН
- Выпуск: Том 40, № 4 (2023)
- Страницы: 435-445
- Раздел: Экспериментальные работы
- URL: https://ogarev-online.ru/1027-8133/article/view/231952
- DOI: https://doi.org/10.31857/S1027813323040131
- EDN: https://elibrary.ru/OOFTHU
- ID: 231952
Цитировать
Полный текст
Аннотация
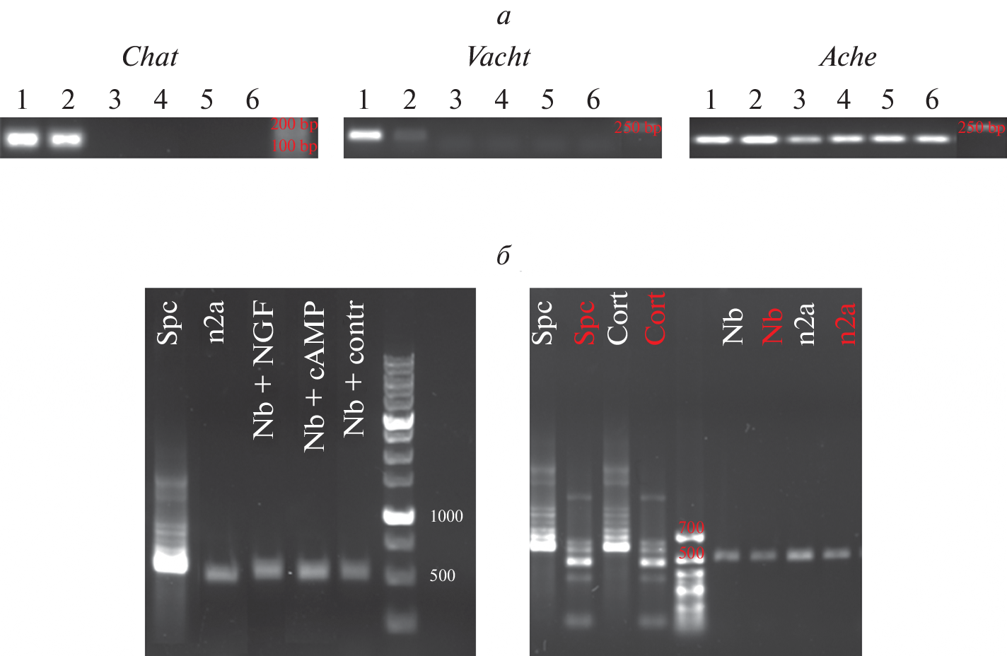
Фактор роста нервов (ФРН) является фактором, определяющим дифференцировку нейронов. ФРН играет важную роль в росте и дифференцировке сенсорных и симпатических нейронов в периферической нервной системе. В зрелом мозге ФРН участвует в поддержании холинергического фенотипа нервных клеток. В работе была исследована возможность индукции холинергического фенотипа в клетках нейробластомы мыши, которые часто используются для моделирования разных физиологических и патологических процессов, протекающих в нервной системе. Клетки нейробластомы линий NB41A3 и Neuro2a чаще всего используются, когда необходимо исследовать свойства холинергических нейронов. В клетках этих линий была обнаружена экспрессия рецепторов TrkA и p75NGFR, которая характерна для холинергических нейронов базальных ядер переднего мозга. Дифференцировку клеток вызывали аппликацией ФРН или 8-Br-цАМФ. ФРН не вызывал выраженной дифференцировки клеток по нейрональному фенотипу. Кроме того, не было обнаружено изменений содержания мРНК и белка холинацетилтрансферазы и везикулярного транспортера ацетилхолина, которые использовали в качестве маркеров холинергического фенотипа. Таким образом, клетки линий NB41A3 и Neuro2a не могут быть рекомендованы для использования в качестве модели холинергических нейронов in vitro, поскольку они не дифференцируются и/или не демонстрируют признаков холинергического фенотипа в ответ на стимуляцию ФРН.
Об авторах
А. А. Корягина
Федеральное государственное бюджетное учреждение наукиИнститут высшей нервной деятельности и нейрофизиологии РАН
Email: nchjournal@gmail.com
Россия, Москва
О. А. Недогреева
Федеральное государственное бюджетное учреждение наукиИнститут высшей нервной деятельности и нейрофизиологии РАН
Email: nchjournal@gmail.com
Россия, Москва
А. А. Буянова
Федеральное государственное бюджетное учреждение наукиИнститут высшей нервной деятельности и нейрофизиологии РАН
Email: nchjournal@gmail.com
Россия, Москва
Ю. С. Спивак
Федеральное государственное бюджетное учреждение наукиИнститут высшей нервной деятельности и нейрофизиологии РАН
Email: nchjournal@gmail.com
Россия, Москва
А. П. Большаков
Федеральное государственное бюджетное учреждение наукиИнститут высшей нервной деятельности и нейрофизиологии РАН
Email: nchjournal@gmail.com
Россия, Москва
Н. В. Гуляева
Федеральное государственное бюджетное учреждение наукиИнститут высшей нервной деятельности и нейрофизиологии РАН
Email: nchjournal@gmail.com
Россия, Москва
М. Ю. Степаничев
Федеральное государственное бюджетное учреждение наукиИнститут высшей нервной деятельности и нейрофизиологии РАН
Email: nchjournal@gmail.com
Россия, Москва
Список литературы
- Meakin S.O., Shooter E.M. // Trends Neurosci. 1992. V. 15. P. 323–331.
- Sofroniew M.V., Howe C.L., Mobley W.C. // Annu. Rev. Neurosci. 2001. V. 24. P. 1217–1281.
- Chao M.V. // Nat. Rev. Neurosci. 2003. V. 4. P. 299–309.
- Niewiadomska G., Mietelska-Porowska A., Mazurkiewicz M. // Behav. Brain Res. 2011. V. 221. P. 515–526.
- Schliebs R., Arendt T. // Behav. Brain Res. 2011. V. 221. P. 555–563.
- Tuszynski M.H. // Cell Transplant. 2000. V. 9. P. 629–636.
- Dobryakova Y.V., Spivak Y.S., Zaichenko M.I., Koryagina A.A., Markevich V.A., Stepanichev M.Y., Bolshakov A.P. // Front. Neurosci. 2021. V. 15. P. 745050.
- Dobryakova Y.V., Zaichenko M.I., Spivak Y.S., Stepaniche M.Y., Markevich V.A., Bolshakov A.P. // Neurochem. J. 2021. V. 15. P. 273–281.
- Stepanichev M.Y. // Neurochem. J. 2011. V. 5. P. 159–168.
- Tuszynski M.H., Yang J.H., Barb D., U H.S., Bakay R.A., Pay M.M., Masliah E., Conner J.M., Kobalka P., Roy S., Nagahara A.H. // JAMA Neurol. 2015. V. 72. P. 1139–1147.
- Tuszynski M.H., Thal L., Pay M., Salmon D.P., U H.S., Bakay R., Patel P., Blesch A., Vahlsing H.L., Ho G., Tong G., Potkin S.G., Fallon J., Hansen L., Mufson E.J., Kordower J.H., Gall C., Conner J. // Nat. Med. 2005. V. 11. P. 551–555.
- Ferro M., Doyle A. // Cell Biol. Toxicol. 2001. V. 17. P. 205–212.
- Colom L.V., Castaneda M.T., Reyna T., Hernandez S., Garrido-Sanabria E. // Synapse. 2005. V. 58. P. 151–164.
- Colom L.V., Castaneda M.T., Aleman D., Touhami A. // Neurosci. Lett. 2013. V. 541. P. 54–57.
- Huh C.Y.L., Danik M., Manseau F., Trudeau L.E., Williams S. // J. Neurosci. 2008. V. 28. P. 1404–1409.
- Teles-Grilo Ruivo L.M., Mellor J.R. // Front. Synaptic Neurosci. 2013. V. 5. P. 2.
- Mangoura D., Vernadakis A. // Dev. Brain Res. 1988. V. 40. P. 25–35.
- Latina V., Caioli S., Zona C., Ciotti M.T., Amadoro G., Calissano P. // Front. Cell Neurosci. 2017. V. 11. P. 68.
- Antonov S.A., Manuilova E.S., Dolotov O.V., Kobylyansky A.G., Safina D.R., Grivennikov I.A. // Bull. Exp. Biol. Med. 2017. V. 162. P. 679–683.
- Ortiz-Virumbrales M., Moreno C.L., Kruglikov I., Marazuela P., Sproul A., Jacob S., Zimmer M., Paull D., Zhang B., Schadt E.E., Ehrlich M.E., Tanzi R.E., Arancio O., Noggle S., Gandy S. // Acta Neuropathol. Commun. 2017. V. 5. P. 77.
- Moreno C.L., Guardia L., Della Shnyder V., Ortiz-Virumbrales M., Kruglikov I., Zhang B., Schadt E.E., Tanzi R.E., Noggle S., Buettner C., Gandy S. // Mol. Neurodegener. 2018. V. 13. P. 33.
- Campos Cogo S., Gradowski Farias da Costa do Nascimento T., de Almeida Brehm Pinhatti F., de França Junio N., Santos Rodrigues B., Cavalli L.R., Elifio-Esposito S. // Exp. Biol. Med. 2020. V. 245. P. 1637–1647.
- Johnsen J.I., Dyberg C., Wickström M. // Front. Mol. Neurosci. 2019. V. 12. P. 9.
- Rosenberg R.N., Vandeventer L., De Francesco L., Friedkin M.E. // Proc. Natl. Acad. Sci. USA. 1971. V. 68. P. 1436–1440.
- Blusztajn J.K., Venturini A., Jackson D.A., Lee H.J., Wainer B.H. // J. Neurosci. 1992. V. 12. P. 793–799.
- Kumar M., Katyal A. // Data Br. 2018. V. 21. P. 2435–2440.
- Thompson J., London E., Johnson Jr.J. // Neuroscience. 1982. V. 7. P. 1807–1815.
- Thompson G., Lewis J., Mawdsley D. // 2012. https://www.dst.defence.gov.au/publication/characterisation-cell-culture-system-investigating-nerve-agent-neurotoxicology-part-i
- Monsma F.J., Brassard D.L., Sibley D.R. // Brain Res. 1989. V. 492. P. 314–324.
- Dziedzicka-Wasylewska M., Solich J. // Mol. Brain Res. 2004. V. 128. P. 75–82.
- Pemberton K., Mersman B., Xu F. // J. Undergrad. Neurosci. Educ. 2018. V. 16. P. A186–194.
- Zeineldin M., Patel A.G., Dyer M.A. // Neuron. 2022. V. 110. P. 2916–2928.
- Chen T., Hinton D., Zidovetzki R., Hofman F. // Lab. Invest. 1998. V. 78. P. 165–174.
- Sánchez S., Jiménez C., Carrera A.C., Diaz-Nido J., Avila J., Wandosell F. // Neurochem. Int. 2004. V. 44. P. 231–242.
- Aloe L., Rocco M.L., Balzamino B.O., Micera A. // J. Exp. Clin. Cancer Res. 2016. V. 35. P. 1–7.
- Martorana F., Gaglio D., Bianco M.R., Aprea F., Virtuoso A., Bonanomi M., Alberghina L., Papa M., Colangelo A.M. // Cell Death Dis. 2018. V. 9. P. 391.
- Reichardt L.F. // Philos. Trans. R. Soc. Lond. B. Biol. Sci. 2006. V. 361. P. 1545–1564.
- Yeo T.T., Chua-Couzens J., Butcher L.L., Bredesen D.E., Cooper J.D., Valletta J.S., Mobley W.C., Longo F.M. // J. Neurosci. 1997. V. 17. P. 7594–7605.
- Sobreviela T., Clary D.O., Reichardt L.F., Brandabur M.M., Kordower J.H., Mufson E.J. // J. Comp. Neurol. 1994. V. 350. P. 587–611.
- Wu D., Hersh L.B. // J. Neurochem. 1994. V. 62. P. 1653–1663.
- Blume A., Gilbert F., Wilson S., Farber J., Rosenberg R., Nirenberg M. // Proc. Natl. Acad. Sci. USA. 1970. V. 67. P. 786–792.
- Harris A.J., Dennis M.J. // Science. 1970. V. 167. P. 1253–1255.
Дополнительные файлы






