Структурные и ультраструктурные изменения поперечно-полосатой скелетной мышечной ткани после высокоэнергетических повреждений в ранний посттравматический период
- Авторы: Захаров П.А.1, Овчинникова А.А.1, Толкачев Я.Д.1, Гладышев Н.С.1, Печерская М.С.2, Емелин А.М.1, Лимаев И.С.1, Бучака А.С.1, Чекмарева И.А.2, Козлова М.А.1, Арешидзе Д.А.2, Щедрина М.А.3, Онницев И.Е.3, Деев Р.В.1
-
Учреждения:
- Российский научный центр хирургии им. акад. Б.В. Петровского
- Национальный медицинский исследовательский центр хирургии им. А.В. Вишневского
- Главный военный клинический госпиталь им. Н.Н. Бурденко
- Выпуск: Том 163, № 4 (2025)
- Страницы: 363-377
- Раздел: Оригинальные исследования
- URL: https://ogarev-online.ru/1026-3543/article/view/349040
- DOI: https://doi.org/10.17816/morph.688357
- EDN: https://elibrary.ru/SWEGOV
- ID: 349040
Цитировать
Аннотация
Обоснование. В связи с резким увеличением числа минно-взрывных ранений одной из важных задач современной гистологии становится оценка морфогенеза высокоэнергетических повреждений тканей конечностей.
Цель — охарактеризовать поперечно-полосатую скелетную мышечную ткань в зоне минно-взрывного отрыва части сегмента конечности в ранний посттравматический период (1–4 суток).
Методы. Применены гистологические [окраска гематоксилином и эозином и окраска на давность образования фибрина MSB (Martius Scarlet Blue — окраска по Марццу, Скарлетт и Блю)], иммуногистохимические и иммунофлуоресцентный методы [антитела к CD3, CD20, CD31 (Platelet Endothelial Cell Adhesion Molecule-1), CD68, NETs (Neutrophil Extracellular Traps)], трансмиссионная электронная микроскопия, морфометрические методы исследования.
Результаты. Установлено, что после травмы патологические изменения затрагивают как мышечную ткань (некроз, фрагментация мышечных волокон, травматический отёк), так и соединительную ткань эндомизия и перимизия (травматический отёк, пропитывание фибрином). Показано нарушение структуры цитоскелета (саркомеров) мышечных волокон, гибель миостателлитоцитов и эндотелиоцитов капилляров. Нарушения местной гемодинамики проявляются мозаичными тромбозами, эмболией и кровоизлияниями. В первые сутки после ранения наблюдали спазм артерий и артериол, приводящий к снижению тканевой перфузии. Спазм частично разрешается к 4-м суткам после травмы, что, вероятно, связано с развитием II периода травматической болезни (торпидная фаза травматического шока). Среди лейкоцитов первыми реагируют CD68+ макрофаги, что проявляется их экстравазацией начиная со 2-х суток после травмы. Аналогичная тенденция установлена и для CD3+ Т-лимфоцитов. CD20+ B-лимфоциты в указанные сроки не проявили морфологических признаков реактивности. Показано формирование NETs как в сосудах, так и во внесосудистом компартменте.
Заключение. Таким образом, охарактеризованы структурные и ультраструктурные изменения мышц в первые 4 суток после минно-взрывного повреждения.
Ключевые слова
Полный текст
ОБОСНОВАНИЕ
Оценка закономерностей повреждения и регенерации тканей после высокоэнергетических воздействий на организм человека является сегодня чрезвычайно актуальным разделом гистологии [1]. Особую практическую важность такие исследования приобретают в периоды вооружённых конфликтов, когда их результаты напрямую влияют на лечебно-диагностическую тактику врачей разных специальностей [2, 3]. Высокоэнергетические, преимущественно огнестрельные, повреждения подробно изучены как на экспериментальном, так и на клиническом материалах [4–7]. При обычной механической травме и при огнестрельных ранениях были определены особенности регенерационного гистогенеза тканей кожи, поперечно-полосатой скелетной мышечной и костной тканей [1, 4, 7, 8]. Клинико-морфологический анализ повреждений внутренних органов у военнослужащих как при местных, так и системных реакциях позволил обосновать так называемую гемодинамическую концепцию травматической болезни [6, 8]. Согласно данной концепции, объёмы ишемического некроза, развившиеся вследствие посттравматического нарушения микроциркуляции и последующего замещения функциональной ткани органов соединительной тканью, связаны не только с первичным повреждением структур в момент ранения, но и с патологическими вазомоторными реакциями на уровне микроциркуляции, что влечёт за собой функциональную недостаточность внутренних органов.
Авторы отмечают, что соотношение разных видов боевых повреждений изменяется в зависимости от особенностей тактики на том или ином театре военных действий [2, 9], а также указывают на преобладание в последнее время минно-взрывных ранений. Несмотря на это, морфологический анализ тканей конечностей при таком виде высокоэнергетического повреждения остаётся недостаточно изученным.
В отличие от пулевого или осколочного, минно-взрывное ранение рассматривается как комбинированное. Оно является результатом: бризантного действия газопылевого потока (волна газообразных продуктов детонации, взрывная волна); ударной волны, причиняющей контузионно-коммоционное повреждение тканям; действия осколков, пламени и токсических продуктов горения [6, 10]. Перечисленный комплекс факторов в значительной степени определяет особенности минно-взрывной раны и распространённость повреждения по областям тела или сегментам конечностей. В частности, при минно-взрывных отрывах частей сегментов конечностей невозможно проследить известную зональность раневого канала, описанную и изученную для пулевых и осколочных ранений, ввиду отсутствия раневого канала как такового [8]. Несмотря на то, что при минно-взрывных ранениях возможно проследить ряд морфологических закономерностей развития раневого процесса [5, 11], данных, позволяющих охарактеризовать события, лежащие в основе развития I и II периодов травматической болезни — а именно принципы формирования первичного и вторичного некрозов, отсроченной запрограммированной клеточной гибели, развития инфекционного процесса, местной и системной иммунных реакций — пока недостаточно [6, 8, 11].
Цель — охарактеризовать поперечно-полосатую скелетную мышечную ткань в зоне минно-взрывного отрыва части сегмента конечности в ранний посттравматический период (1–4 суток).
МЕТОДЫ
Условия проведения исследования
Работа выполнена в рамках соглашения о научном сотрудничестве с Главным военным клиническим госпиталем им. акад. Н.Н. Бурденко.
Критерии соответствия
В исследование включён 31 образец скелетной мышечной ткани, полученный при выполнении первичной хирургической обработки культи нижней конечности по поводу минно-взрывного отрыва частей сегментов конечностей. Изучены тканевые изменения на сроках 1–4 суток после повреждения.
Критерии включения: возраст пациентов от 18 до 65 лет; наличие травмы, сопровождающейся полным или частичным отрывом конечности; проведение ампутации в рамках первичной хирургической обработки — от 1 до 6 см от линии отрыва; подписание добровольного информированного согласия
Критерии невключения: наличие у пациентов системных заболеваний (сахарного диабета, атеросклероза сосудов нижних конечностей, ВИЧ-инфекции, вирусного гепатита B и C) и злокачественных новообразований.
Описание вмешательства
Материал из ампутированной в ходе первичной хирургической обработки культи отбирали в условиях предоперационной из четырёх участков: непосредственно по линии отрыва; на расстоянии 2, 4 и 6 см вглубь сегмента. Все полученные образцы фиксировали в 10% растворе формалина с последующей стандартной гистологической проводкой и заключением в парафиновые блоки. Изготавливали серийные срезы толщиной 4 мкм, которые окрашивали гематоксилином и эозином (ООО «МЛТ», Россия), а также на фибрин (Martius Scarlet Blue — MSB; ООО «ЭргоПродакшн», Россия). Количественно оценивали периметр и площадь мышечных волокон. Для определения уровня перфузии мышцы определяли взаимодополняющие индексы Вагенворта (рассчитывали как отношение площади стенки к площади просвета артерии) и Керногана (рассчитывали как отношение толщины сосудистой стенки к диаметру просвета сосуда) [12, 13].
Клетки инфильтрата типировали иммуногистохимическим методом с использованием антител к CD3 (разведение 1:75; кат. № MRQ-39, Cell Marque, США) — выявление Т-лимфоцитов; CD20 (1:100; кат. № L26, Cell Marque, США) — выявление В-лимфоцитов; CD68 (1:100; кат. № PG-M1, Dako, США) — выявление макрофагов. Для иммуногистохимической идентификации эндотелия кровеносных сосудов применяли антитела к CD31 (Platelet Endothelial Cell Adhesion Molecule-1, разведение 1:50; кат. № JC70, Cell Marque, США). Реакции с антителами проводили автоматизированным способом на приборе Bond III (Leica Biosystems, США).
Детекцию нейтрофильных внеклеточных ловушек (Neutrophil extracellular traps — NETs) осуществляли на срезах фрагментов скелетных мышц на уровне 2 и 6 см проксимальнее линии отрыва. Использовали первичные антитела к фибриногену (1:1000; кат. № ab118533, Abcam, Великобритания) и миелопероксидазе (1:500; кат. № ab9535, Abcam, Великобритания). В качестве систем детекции применяли антитела, конъюгированные с флуорофорами Alexa Fluor 488 (1:500; кат. № ab150105, Abcam, Великобритания) и Alexa Fluor 405 (1:500; кат. № ab175676, Abcam, Великобритания). Препараты изучали в полумоторизованном прямом микроскопе Olympus BX53 (Olympus Corporation, Япония) методом флуоресценции в отражённом свете, в синем и зелёном диапазонах спектра, с последующей обработкой путём наложения двух изображений друг на друга.
Для трансмиссионной электронной микроскопии тотчас после операции (ампутации) прямо в предоперационной из образца вырезали фрагмент мышечной ткани размером приблизительно 1 мм3 и помещали его в 2,5% раствор глутарового альдегида на фосфатном буфере (рН 7,4) для фиксации. Далее, уже в лаборатории, образцы дофиксировали в 1% растворе оксида осмия, обезвоживали в этаноле, контрастировали 1% уранилацетатом на 70% этаноле и заливали в смесь эпон–аралдит. Полутонкие срезы окрашивали метиленовым синим (НИЦФ, Россия). Ультратонкие срезы, полученные на приборе UC Enuity (Leica Microsystems, Германия), дополнительно контрастировали цитратом свинца по Рейнольдсу. Микроскопирование проводили в электронном микроскопе с полевой эмиссией Himera EM50X (Ciqutek, Китай).
Статистические процедуры
Статистическую обработку данных выполняли на языке программирования R (v. 4.4.1; R Foundation for Statistical Computing) с использованием пакетов tidyverse, rlang, purrr и flextable. Для каждой количественной переменной рассчитывали медиану и межквартильный размах (M [Q1; Q3]) отдельно по дням наблюдения (1, 2 и 4-й) и по уровням относительно линии отрыва (0, 2, 4 и 6 см).
Сравнение групп проводили с использованием непараметрического критерия Краскела–Уоллиса; двусторонние p-значения <0,05 считали статистически значимыми.
РЕЗУЛЬТАТЫ
В первые сутки на линии отрыва мышечные волокна полностью утрачивают поперечную исчерченность и в ряде участков фрагментированы. В краевых участках отчётливо визуализируется область карбонизации; к мышечной ткани прилегают лоскуты кожи, в состав тканей включены инородные тела в виде элементов растительной клетчатки и сажи. На поперечных срезах мышечные волокна разобщены, эндомизий существенно изменён, межволоконные пространства заполнены рыхлыми массами фибрина (рис. 1, a). Фибриновое пропитывание носит тотальный характер, в его составе отмечены единичные лейкоциты и эритроциты. При определении давности фибрина в одном и том же образце могут обнаруживаться участки как «молодого» (4–6 часов), так и «зрелого» фибрина (рис. 1, c–f).
Рис. 1. Фибрин в составе тканевой жидкости эндомизия: a — мышечная ткань в области отрыва конечности, спустя 1 сутки после повреждения; b — мышечная ткань в области отрыва конечности, спустя 4 суток; c — фибриноген (синий цвет) в эндомизии, на расстоянии 2 см от линии отрыва, спустя 1 сутки. Фибрин в составе экссудата в эндомизии: d, e — фибрин в составе экссудата в эндомизии, соответствующий давности до 12 часов; f — фибрин в составе экссудата в эндомизии, соответствующий давности 18–24 часа. Окраска: a, b — гематоксилин и эозин; c — иммунофлуоресцентная реакция с антителами к фибриногену (Alexa Flour 405); d–f — окраска по Марццу, Скарлетт и Блю. Увеличение: a, b, d–f ×400; c ×50.
Fig. 1. Fibrin in the interstitial fluid of the endomysium: a, skeletal muscle tissue at the site of limb avulsion, 1 day after injury; b, skeletal muscle tissue at the site of limb avulsion, 4 days after injury; c, fibrinogen (blue) in the endomysium, 2 cm from the avulsion line, 1 day after injury. Fibrin in the endomysial exudate: d, e, fibrin in the endomysial exudate corresponding to an interval of up to 12 hours; f, fibrin in the endomysial exudate corresponding to 18–24 hours. Staining: a, b, hematoxylin and eosin; c, immunofluorescence with antibodies to fibrinogen (Alexa Fluor 405); d–f, Martius Scarlet Blue. Magnification: a, b, d–f, ×400; c, ×50.
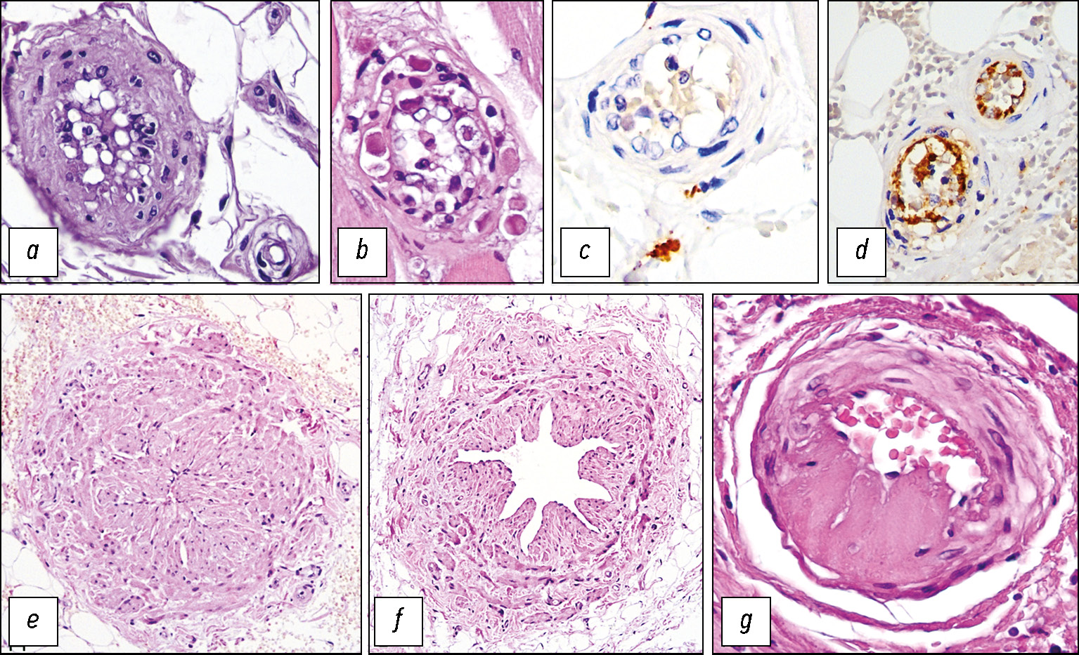
Кровеносные сосуды характеризуются выраженным спазмом, который развивается не только в мелких артериях и артериолах (рис. 2), но и в венах. Характерными находками были фибриновые и гиалиновые тромбы в просветах мелких сосудов. Оптически пустые вакуоли в части сосудов свидетельствуют о развитии жировой и (или) воздушной эмболии.
Рис. 2. Артерии эндомизия и перимизия, спустя 1 сутки после травмы, на расстоянии 2–4 см от линии отрыва: a — воздушная и (или) жировая эмболия, десквамация эндотелиоцитов; b — отёк сосудистой стенки и её клеток, десквамация эндотелиоцитов; c, d — частичная обтурация просвета десквамированными эндотелиоцитами; e, f — артерии в состоянии спазма; g — частичный (полуциркулярный) некроз и отёк сосудистой стенки, расслоение tunic adventitia. Окраска: a, b, e–g — гематоксилином и эозином; c — результат иммуногистохимической реакции с антителами к CD68; d — результат иммуногистохимической реакции с антителами к CD31. Увеличение: a–d, g ×400; e, f ×100.
Fig. 2. Endomysial and perimysial arteries, 1 day after injury, 2–4 cm from the avulsion line: a, air and/or fat embolism, endothelial desquamation; b, vascular wall and cellular edema, endothelial desquamation; c, d, partial lumen occlusion by desquamated endothelial cells; e, f, arterial spasm; g, partial (semicircular) necrosis and edema of the vascular wall, dissection of the tunica adventitia. Staining: a, b, e–g, hematoxylin and eosin; c, immunohistochemistry with CD68 antibodies; d, immunohistochemistry with CD31 antibodies. Magnification: a–d, g, ×400; e, f, ×100.
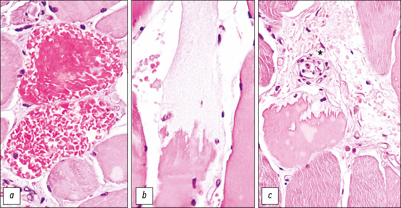
На глубине 2 см от линии отрыва фрагментированные мышечные волокна характеризуются частичной утратой ядер. Массы фибрина в эндомизии содержат большое количество эритроцитов, что позволяет говорить о геморрагическом пропитывании мышц. Цвет фибрина при окрашивании МSB свидетельствует о давности его образования около 18–24 часов, что в целом соответствует срокам ранения. На некоторых участках фибрин и матрикс эндомизия разрыхлены за счёт отёка. В качестве единичных находок обнаружены интрафибриллярные кровоизлияния (рис. 3, a). Кроме того, для этой области характерен парциальный некроз (деструкция) мышечных волокон с заполнением разрушенной части мелкогранулярным содержимым (рис. 3, b, c).
Рис. 3. Повреждение поперечно-полосатой скелетной мышечной ткани (поперечный срез), спустя 1 сутки после ранения, на расстоянии 2 см от линии отрыва: a — интрафибриллярные кровоизлияния; b, c — парциальная деструкция мышечных волокон; * обозначен обтурированный кровеносный сосуд с отёком стенки. Окраска гематоксилином и эозином; увеличение ×400.
Fig. 3. Damage to striated skeletal muscle tissue (cross-section), 1 day after injury, 2 cm from the avulsion line: a, intrafibrillar hemorrhages; b, c, partial destruction of muscle fibers; * denotes an occluded blood vessel with wall edema. Hematoxylin and eosin staining; magnification ×400.
Часть сосудов без очевидных топографических закономерностей относительно линии отрыва находится в состоянии спазма; в просвете некоторых из них обнаружены эмболы (оптически пустые вакуоли), состоящие как из пузырьков воздуха и жировых капель, так и из десквамированных эндотелиальных клеток (рис 2, d); в некоторых случаях отмечен отёк сосудистой стенки, её частичный некроз, асимметричный спазм. Поиск солокализации фибриногена и миелопероксидазы (NETs) обнаруживает положительную реакцию среди сладжированных эритроцитов в мелких сосудах исследованной зоны.
Ультраструктурные признаки повреждения весьма гетероморфны. Так, в некоторых краевых участках найдены коагулированные ткани, в мышечных волокнах верифицировано нарушение расположения элементов саркомеров — уменьшение расстояний между Z линиями, исчезновение чётких границ между A- и I-дисками. Саркоплазматический ретикулум и митохондрии вакуолизированы, причём последние содержат единичные дезориентрованные короткие кристы в электроннопрозрачном матриксе. Характерна гибель миосателлитоцитов: обнаружено резкое уменьшение объёма вакуолизированной цитоплазмы, исчезновение органелл, разрывы плазмолеммы, крупное с инвагинациями ядро и контрастные глыбки хроматина вдоль нуклеолеммы (рис. 4, a). В других полях зрения миосателлитоциты и стромальные клетки характеризуются более электроннопрозрачной цитоплазмой. Иногда обнаруживаются локальные расширения перинуклеарного пространства, а также мелкие глыбки хроматина в светлом ядре (рис. 4, b; рис. 5, a). В цитоплазме заметны расширенные канальцы гранулярной цитоплазматической сети, гетероморфные, часто отёчные митохондрии, разрушение плазмолеммы на большом протяжении.
Рис. 4. Ультраструктурные изменения поперечно-полосатой скелетной мышечной ткани на расстоянии 2–4 см от линии отрыва, спустя 1 сутки после травмы: a — фрагмент мышечного волокна с разрушенными митохондриями, погибший миосателлитоцит; b — разрушенная клетка эндомизия; c — цитоскелет мышечного волокна, * обозначены митохондрии в состоянии деструкции; d — фрагмент мышечного волокна с разобщёнными миофибриллами и разрушенными митохондриями, * обозначен капилляр с эритроцитом, ** обозначена отёчная базальная мембрана. Трансмиссионная электронная микроскопия, увеличение: a ×7000, b ×7500, c ×14000, d ×5500.
Fig. 4. Ultrastructural changes in striated skeletal muscle tissue, 1 day after injury, 2–4 cm from the avulsion line: a, fragment of a muscle fiber with destroyed mitochondria and a degenerated myosatellitocyte; b, destroyed endomysial cell; c, cytoskeleton of a muscle fiber, * indicates mitochondria undergoing destruction; d, fragment of a muscle fiber with disorganized myofibrils and destroyed mitochondria, * indicates a capillary with a red blood cell, ** indicates edematous basement membrane. Transmission electron microscopy, magnification: a, ×7000; b, ×7500; c, ×14,000; d, ×5500.
Рис. 5. Ультраструктурные изменения поперечно-полосатой скелетной мышечной ткани на расстоянии 4 см от линии отрыва, спустя 1 сутки после травмы: a — фрагмент миосателлитоцита со сморщенным ядром и разрушенными митохондриями, * обозначены эритроциты в просвете капилляра, частичная деструкция миофибрилл и тотальная гибель митохондрий; b — фрагментация миофибрилл, разрушение митохондрий и триад. Трансмиссионная электронная микроскопия, увеличение: a ×3000, b ×7000.
Fig. 5. Ultrastructural changes in striated skeletal muscle tissue, 1 day after injury, 4 cm from the avulsion line: a, fragment of a myosatellitocyte with a shrunken nucleus and destroyed mitochondria, * indicates red blood cells in the capillary lumen, partial myofibril destruction and total mitochondrial death; b, fragmentation of myofibrils, destruction of mitochondria and triads. Transmission electron microscopy, magnification: a, ×3000; b, ×7000.
На уровне цитоскелета мышечных волокон часто выявляется нарушение архитектуры A- и I-дисков, отсутствие Z-линий (рис. 4, c). Обнаружены волокна с фрагментацией миофибрилл при сохранившемся правильном расположении Z-линий и ассоциированных с ними триад (рис. 5, b). В просветлённом субсарколеммальном пространстве заметен хлопьевидный материал — детрит. В межмиофибриллярных участках сконцентрированы отёчные, вакуолизированные митохондрии со светлым электроннопрозрачным матриксом и остатками единичных крист. Саркоплазматический ретикулум вакуолизирован. Сосуды микроциркуляторного русла характеризуются значительным отёком сосудистой стенки и сужением просвета; кроме того, выявлены выраженный периваскулярный отёк, деструкция эндотелиоцитов некоторых сосудов (лизис цитоплазмы и клеточных органелл) и гибель перицитов.
Для мышечной ткани, находящейся на удалении 4–6 см от линии отрыва характерно мозаичное чередование разрушенных мышечных волокон, геморрагического пропитывания и умеренной лейкоцитарной инфильтрации. На этом участке в тканях регистрируется экстравазация полиморфноядерных лейкоцитов. Большинство мышечных волокон с признаками деструкции саркоплазматического материала (рис. 5). Изменения в кровеносных сосудах стереотипны: артерии и артериолы спазмированы, характеризуются звёздчатым просветом из-за складчатости tunica intima; в мелких венах находится большое число лейкоцитов. Единичные CD68+ макрофаги и CD3+ Т-лимфоциты обнаружены в эндомизии в интимной связи с мышечными волокнами или периваскулярно. CD20+ B-лимфоциты встречаются крайне редко.
В материале, полученном через 2-е суток после ранения по фронту мышечной ткани на линии отрыва отмечено вегетирование палочковидных микроорганизмов без какой-либо реакции со стороны подлежащих тканей. Мышечная ткань характеризуется отсутствием ядер и фрагментацией мышечных волокон; формирующиеся пространства между фрагментами мышечных волокон заполнены фибриновыми массами с единичными блуждающими клетками. В ряде волокон отмечен феномен свободных ядер.
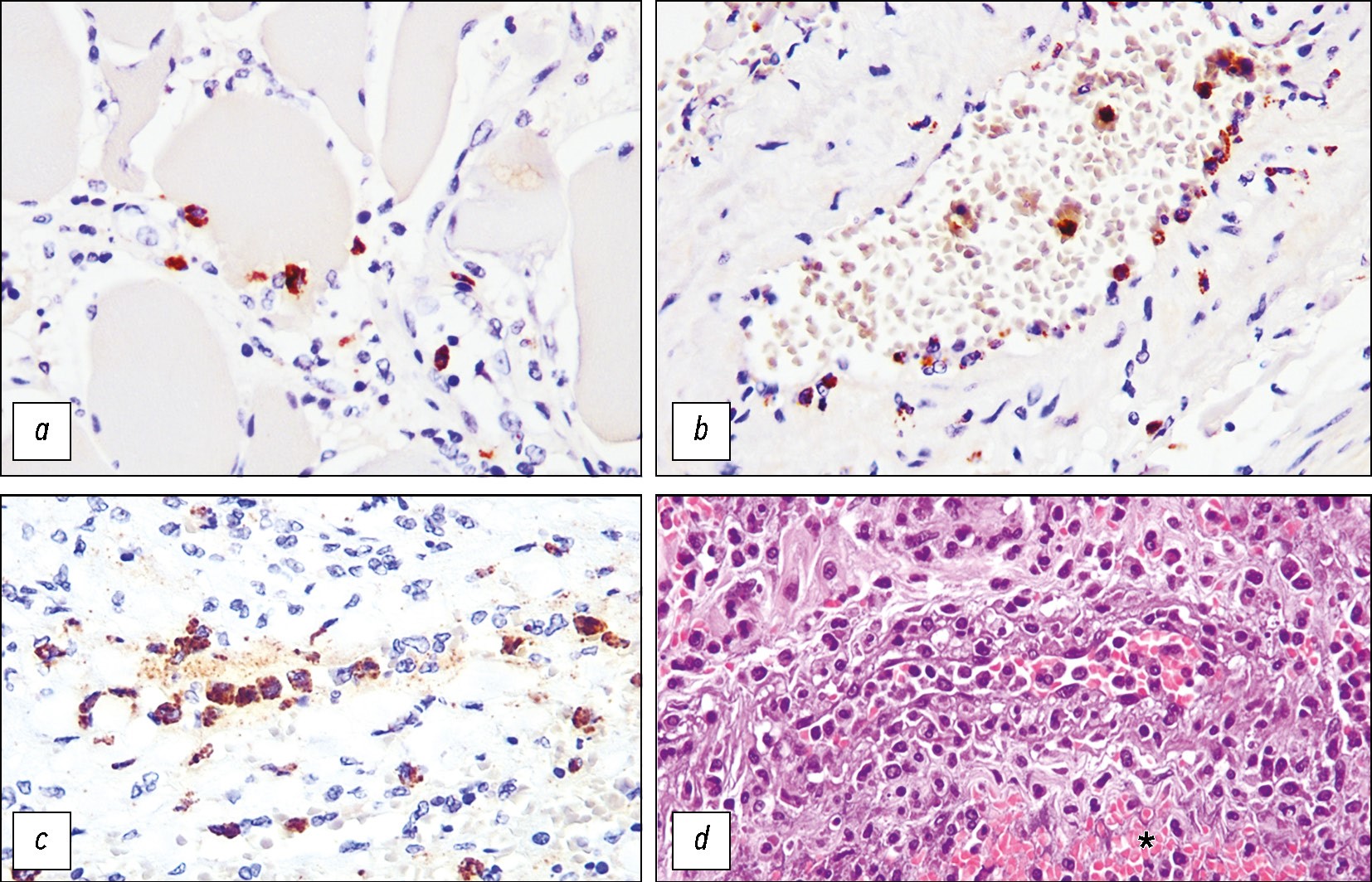
На расстоянии 2 см от линии отрыва лейкоцитарная реакция более выражена. Выявлена гистиоцитарная инфильтрация отёчного перимизия, краевое стояние макрофагов в артериях и инфильтрация ими сосудистых стенок (рис. 6, b, c). Некротизированные мышечные волокна подвергаются фагоцитозу единичными макрофагами. Большинство сосудов артериального русла спазмировано; сохраняются фибриновые и гиалиновые тромбы, могут быть обнаружены признаки эмболии. NETs обнаружены как среди тромботических масс, так и вне сосудов, в областях геморрагического пропитывания.
Рис. 6. Макрофаги в зоне повреждения мышечной ткани, на расстоянии 2–4 см от линии отрыва: a — CD68+ макрофаги в составе эндомизия и фагоцитоз повреждённого мышечного волокна, спустя 1 сутки после травмы; b — краевое стояние моноцитов-макрофагов в артерии, спустя 2 суток после травмы; c — моноциты-макрофаги в тонкостенном сосуде эндомизия, спустя 2 суток после травмы; d — моноциты-макрофаги в просвете сосуда, в составе инфильтрата и организующегося кровоизлияния (обозначено *), спустя 4 суток после травмы. Окраска: a–c — иммуногистохимическая реакция с антителами к CD68; d — гематоксилином и эозином. Увеличение ×400.
Fig. 6. Macrophages in the area of muscle tissue injury, 2–4 cm from the avulsion line: a, CD68+ macrophages in the endomysium and phagocytosis of a damaged muscle fiber, 1 day after injury; b, margination of monocytes/macrophages in an artery, 2 days after injury; c, monocytes/macrophages in a thin-walled endomysial vessel, 2 days after injury; d, monocytes/macrophages in the vascular lumen, within an infiltrate and organizing hemorrhage (*), 4 days after injury. Staining: a–c, immunohistochemistry with CD68 antibodies; d, hematoxylin and eosin. Magnification ×400.
На расстоянии 4–6 см от линии отрыва выявлены массированное геморрагическое пропитывание, фрагментация и деструкция мышечных волокон, а также признаки аутолиза. Лейкоцитарная реакция скудная.
Представления о выраженности внутриклеточного отё-ка в мышечных волокнах дают измерения их периметра и площади в различные сроки после травмы (табл. 1, 2). Установлено статистически значимое увеличение этих показателей с 1 по 4-е сутки после ранения. При этом выраженность такого отёка снижается по мере удаления от линии отрыва вглубь мышцы (1 и 4 сутки).
Таблица 1. Периметр мышечного волокна (в мкм)
Table 1. Perimeter of muscle fibers (µm)
Расстояние от линии отрыва, см | Срок после травмы, сут | Значение p | ||
1 | 2 | 4 | ||
0 | 0,0236 | |||
2 | 0,0026 | |||
4 | 0,0000 | |||
6 | 0,0000 | |||
Значение p | 0,0000 | 0,2511 | 0,0000 | - |
Таблица 2. Площадь мышечного волокна (в мкм)
Table 2. Cross-sectional area of muscle fibers (µm2)
Расстояние от линии отрыва, см | Срок после травмы, сут | Значение p | ||
1 | 2 | 4 | ||
0 | 0,1176 | |||
2 | 0,0660 | |||
4 | 0,0000 | |||
6 | 0,0000 | |||
Значение p | 0,0000 | 0,0787 | 0,0000 | - |
На 4-е сутки после повреждения мышечная ткань на линии отрыва интенсивно инфильтрирована нейтрофильными гранулоцитами, имеются области геморрагического пропитывания. Фибрин, выпавший между мышечными волокнами, гомогенизирован и уплотнён (рис. 1, b). Скопления элементов реактивно изменённой соединительной ткани создают предпосылки для начальных этапов развития грануляционной ткани (рис. 5, d).
В 2-х см от линии отрыва выражен аутолиз мышечной ткани с массированной фрагментацией её волокон. Ткань подвергается литическим изменениям за счёт накопления богатого лейкоцитами экссудата. В соединительно-тканном матриксе эндомизия и перимизия наблюдаются отёк, разрушение коллагеновых волокон и насыщение лейкоцитами. Обнаружены единичные миосимпласты небольшого диаметра с интенсивно базофильными ядрами, собранными в розетки или цепочки.
Изменения сосудистого русла сохраняют стереотипный паттерн, включающий мозаичный спазм мелких артерий и артериол, а также уменьшающиеся по выраженности эмболии. Перфузионные индексы демонстрируют значимую динамику как в зависимости от глубины повреждения, так и на разных этапах раннего посттравматического периода (табл. 3, 4). Индекс Вагенворта снижается начиная со дня травмы и достигает минимального значения к четвёртым суткам на максимальном исследованном расстоянии (6 см) от линии отрыва. Индекс Керногана подтверждает данную обнаруженную тенденцию.
Таблица 3. Индекс Вагенворта
Table 3. Wagenvoort index
Расстояние от линии отрыва, см | Срок после травмы, сут | Значение p | ||
1 | 2 | 4 | ||
0 | 0,0088 | |||
2 | 0,0163 | |||
4 | 0,3401 | |||
6 | 0,0032 | |||
Значение p | 0,0166 | 0,8523 | 0,0001 | - |
Таблица 4. Индекс Керногана
Table 4. Kernohan index
Расстояние от линии отрыва, см | Срок после травмы, сут | Значение p | ||
1 | 2 | 4 | ||
0 | 0,0088 | |||
2 | 0,0163 | |||
4 | 0,3401 | |||
6 | 0,0032 | |||
Значение p | 0,0166 | 0,8523 | 0,0001 | - |
На удалении 4–6 см от линии отрыва большие поля ткани разобщены геморрагиями, а также участками, содержащими жировые капли и имеющими начальные признаки организации, массированной лейкоцитарной инфильтрации. Обращает на себя внимание отсутствие гемосидерофагов. Тонкостенные сосуды интенсивно доставляют в эту зону полиморфноядерные лейкоциты. В то же время артериальные сосуды остаются в состоянии спазма. В ряде случаев их стенка насыщена лейкоцитами со стороны tunica externa, что позволяет констатировать развитие васкулита, сосуды при этом проходимы.
В связи с описанными изменениями особый интерес представляет динамика лейкоцитов в зонах повреждения, демонстрирующая как возможности оксигенации зоны повреждения, так и доставки лейкоцитов.
Динамика числа CD68+ макрофагов свидетельствует о том, что изменения носят диффузно-очаговый характер и зависят от перфузии того или иного участка мышечной ткани (табл. 5). Установлено, что число CD68+ клеток увеличивается при удалении от линии отрыва, а также при увеличении длительности посттравматического периода. Исключения из этой закономерности скорее обусловлены мозаичным характером тканевых изменений, а также неравномерностью распределения повреждающих факторов и локальных нарушений кровоснабжения.
Таблица 5. Число CD68+ макрофагов в тканях (в шт. на 1 мм2)
Table 5. Number of CD68+ macrophages in tissues (per 1 mm2)
Расстояние от линии отрыва, см | Срок после травмы, сут | Значение p | ||
1 | 2 | 4 | ||
2 | 0,000 | |||
6 | 0,143 | |||
Значение p | 0,027 | 0,001 | 0,202 | - |
Близкая по выраженности закономерность показаны и для Т-лимфоцитов (табл. 6). CD20+ В-лимфоциты обнаруживаются лишь в единичных случаях на всех изученных сроках после повреждения.
Таблица 6. Число CD3+ Т-лимфоцитов в тканях (в шт. на 1 мм2)
Table 6. Number of CD3+ T cells in tissues (per 1 mm2)
Расстояние от линии отрыва, см | Срок после травмы, сут | Значение p | ||
1 | 2 | 4 | ||
2 | 0,000 | |||
6 | 0,000 | |||
Значение p | 0,032 | 0,005 | 0,281 | - |
ОБСУЖДЕНИЕ
По меткому выражению одного из патологоанатомов военного времени (1943–1945 гг.) А.П. Авцына «С общебиологической точки зрения огнестрельную травму можно кратко охарактеризовать как чудовищный по своей грубости эксперимент на человеке» [14]. Принято считать, что в отечественной практике особые разрушительные последствия высокоэнергетической травмы для тканей заметил Н.И. Пирогов: «Что особливо отличает в моих глазах действие огнестрельного снаряда на ткани, это есть именно молекулярное сотрясение, которое оно им сообщает; его границы и степень мы никогда не в состоянии определить точно» [15]. Морфологические особенности раневого канала при пулевом и (или) осколочном ранении в ходе Первой мировой войны описал немецкий патологоанатом М. Борст. В частности, им предложена концепция о трёхслойном строении стенки раневого канала. Он выделил: зону дефекта тканей, связанную с воздействием головной ударной волны и самого ранящего снаряда; боковую стенку, являющуюся зоной первичного некроза и формирующуюся под действием энергии боковой ударной волны (боковой удар); более глубокую часть — зону вторичного некроза, чьё развитие зависит от микроциркуляторных расстройств в тканях (в современных терминах) [16]. Вторая мировая война и последующий период принесли новые знания о раневой баллистике и реакции тканей на высокоэнергетическое воздействие. Основополагающие данные в этих исследованиях были получены отечественными морфологами И.В. Давыдовским, А.М. Максименковым, Е.А. Дыскиным и другими [3, 10].
Практика вооружённых конфликтов XX и начала XXI века показала, что в структуре боевых потерь доля минно-взрывной травмы неуклонно растёт [2, 8–11]. При этом, повреждающие факторы минно-взрывного ранения делают образующуюся рану нетождественной ране пулевой. В частности, устоявшееся зонирование становится не столь очевидным. Н.Д. Клочков и соавт. [8] считают, что на границе отрыва части сегмента конечности формируется не имеющая чёткой границы зона первичного травматического некроза (1-я зона). В хирургической практике её предложено называть зоной отрыва, размозжения и отсепаровки тканей. Показано, что протяжённость такой зоны иногда достигает 5–35 см [11]. 1-я зона продолжается в зону контузионно-коммоционных повреждений (2-я зона), которая условно может быть расценена как аналог зоны вторичного некроза (бокового удара), где преобладают вазомоторные расстройства, захватывающие всю оставшуюся часть сегмента [8]. Вместе с тем во 2-й зоне обнаруживаются и участки мало изменённых или совсем не изменённых тканей [11]. Протяжённость этих двух зон зависит от ряда факторов, в том числе от вида боеприпаса, угла приложения энергии взрыва, положения конечности и других [11].
В настоящей работе исследовали участки мышечной ткани, относящиеся преимущественно к 1-й и частично 2-й зонам минно-взрывного повреждения. Ранее были описаны структурные изменения поперечно-полосатой скелетной мышечной ткани в областях, прилегающих к границе отрыва части сегмента конечности и продемонстрировано, что они могут включать так называемые «лестничные» разрывы мышц [8]. В своих исследованиях мы наблюдали фрагментацию мышечных волокон, которая всегда обнаруживалась на фоне выраженного травматического отёка, образующегося за счёт богатой фибрином жидкости, что формировало иную морфологическую картину. Развитие внутриклеточного отёка подтверждено посуточной динамикой периметра и площади поперечного сечения мышечных волокон (см. табл. 1, 2). Указанные находки согласуются с утверждениями о том, что в ранний посттравматический период после высокоэнергетической травмы изменения носят альтеративно-экссудативный характер [8, 17].
Механизмы повреждения тканей вследствие воздействия газопылевого удара в научной и учебной литературе зачастую обозначаются различными терминами. Принято понятие бризантного, то есть дробящего действия. Вместе с действием ударной волны оно дополняется расшифровкой отдельных механизмов: расщепляющим, инерциальным и кавитационным повреждениями [10]. Исследование тканей после ранения свидетельствует, что повреждающие факторы оказывают своё действие не только на структурном, но и на ультраструктурном уровне, разрушая мембранные и немембранные органеллы, цитоскелет и энергетический аппарат клеток. Причём митохондрии, по-видимому, в условиях высокоэнергетического повреждения являются особенно чувствительными к повреждению органеллами. Вероятно, локальное нарушение перфузии, то есть гипоксическое (вторичное) повреждение, вносит вклад в развитие ультраструктурного (молекулярного) повреждения.
Не вызывает сомнений, что гидродинамический удар, обусловленный распространением взрывной волны по жидкой фазе (крови) в сосудах, приводит к выраженным структурным изменениям в кровеносных сосудах. В опубликованных материалах схематично показаны расщепляющие ударно-волновые повреждения в виде продольных линейных разрывов t. intima артерий, распространяющихся на внутреннюю эластическую мембрану [11]. В нашем исследовании такой феномен не наблюдался. Вместе с тем, на разном удалении от линии отрыва в первый период травматической болезни (первичная реакция на травму, реализующаяся за счёт нейроэндокринного механизма) многократно выявлен выраженный спазм артерий и артериол, который приводит к резкому повышению складчатости внутренней и мышечной оболочек сосудов. Оценка перфузионных индексов свидетельствует, что несмотря на диффузно-очаговый характер изменений, в первые сутки морфологическим эквивалентом немедленной реакции на тяжёлую, часто сочетанную травму становится генерализованный вазоспазм. Вместе с тем к четвёртым суткам после ранения отмечена динамика индексов Керногана и Вагенворта, связанная с увеличением просвета сосудов, а в некоторых случаях — с утолщением артериальной стенки за счёт отёка. Вероятно, эта тенденция является проявлением второго периода травматической болезни, соответствующего торпидной фазе травматического шока, который связан с поступлением в системный кровоток продуктов аутолиза большого объёма некротизирующихся тканей (ферментемией), а также с гипоксией и ацидозом в тканях [6, 8, 18]. Вместе с тем, в мышцах не наблюдается тотальной релаксации кровеносных сосудов — в различных компартментах мышечного органа мозаично сохраняются стойко спазмированные артерии и артериолы.
Оценка лейкоцитарной реакции в тканях в ответ на высокоэнергетическую травму продемонстрировала ряд особенностей. Большое число лейкоцитов в венозном русле обращало на себя внимание и ранее [2]. С.С. Вайль объяснял это явление рефлекторной природой [2]. Сами же ткани на линии отрыва относительно длительное время (1–2 суток) не содержат фагоцитирующих элементов, несмотря на выраженные некротические изменения. Причиной этому могут являться стойкие нарушения гемодинамики и проходимости кровеносных сосудов в этой области. Задержка развития всех фаз раневого процесса, от формирования и обособления некроза до развёртывания картины воспаления, отмечалась и ранее [6, 17].
Обнаружение признаков особой гибели нейтрофилов — NETs — как во внутрисосудистом компартменте (сладж, тромбы), так и в кровоизлияниях может иллюстрировать высокий уровень микробной контаминации после минно-взрывных ранений и проявление неспецифических форм защиты (врождённого иммунитета) уже на ранних этапах раневого процесса. Известно, что возможными причинами образования нейтрофильных ловушек являются бактериальная, грибковая и вирусная инфекции, способные через патоген-ассоциированные молекулярные паттерны (Pathogen-associated molecular patterns — PAMPs) индуцировать этот вид гибели нейтрофилов [19, 20]. Помимо канонического пути известен и второй механизм индукции NETs — через воздействие молекулярных паттернов, ассоциированных с повреждениями (Damage-associated molecular patterns — DAMPs), к которым относятся некоторые цитоплазматические и ядерные белки, нуклеиновые кислоты, компоненты митохондрий, лизосом и другие [20, 21]. Их выделение из глубоко повреждённых тканевых структур после высокоэнергетической травмы является очевидным [22, 23]. Процесс высвобождения NETs с последующим образованием тромбов может рассматриваться как неспецифическая форма защиты тканей и организма в целом, активирующаяся ещё до развития воспаления, связанного с проникновением микроорганизмов.
В целом, в изученный период после ранения не обнаружено значимых признаков формирования гнойного воспаления, а наблюдаемая картина свидетельствует об альтеративно-экссудативном процессе. В участках с мозаично сохранённым кровообращением миграция моноцитов-макрофагов развивается на 2–4 сутки после травмы. Аналогичная закономерность характерна и для Т-лимфоцитов, которые, по мнению В.С. Сидорина [17], создают иммунологическое обеспечение репаративной регенерации при формировании грануляционной ткани и её последующей перестройке. Обнаруженное увеличение количества В-лимфоцитов относится к более поздним срокам развития раневого процесса [17].
Ограничения исследования
Настоящее исследование выполнено на образцах тканей пациентов, полученных непосредственно после проведения ампутации культи конечности в ходе первичной хирургической обработки. При этом при трактовке данных авторы исходили из того, что после получения тяжёлой сочетанной высокоэнергетической травмы, сопровождающейся острой массированной кровопотерей и развитием травматического шока, пациенты находятся в состоянии развития системной реакции на травму. Индивидуальная выраженность такой реакции, в силу объективных обстоятельств, не могла быть учтена в каждом проанализированном случае. За рамками обсуждения осталось также влияние лечебных воздействий (обезболивания, остановки кровотечения, инфузионной терапии и других), что является важным ограничением проведённого анализа.
ЗАКЛЮЧЕНИЕ
Таким образом, проведённое исследование позволило установить, что в ранний посттравматический период (1–4 суток) после высокоэнергетического повреждения конечности (отрыв части сегмента) в тканях происходят изменения, включающие травматический отёк богатой белком жидкостью, нарастание признаков перфузионных нарушений, а также выраженные повреждения на ультраструктурном уровне (молекулярное сотрясение). На этом фоне некоторая задержка реакций врождённого иммунитета и местной лимфоцитарной реакции создают предпосылки к формированию вторичного некроза и развитию осложнений.
Знания о тканевых реакциях и гемодинамических закономерностях после минно-взрывных ранений способствуют раскрытию новых патогенетических мишеней при лечении раненых. В абсолютном большинстве случаев повреждения носят сегментарный характер [6, 8, 10, 11] и не предполагают сберегательную тактику лечения, которое в данном случае подчиняется доктрине о том, что ампутация должна быть выполнена в пределах тканей, чьё повреждение носит обратимый характер [11]. Несмотря на это, поддержание жизнеспособности тканей, а также изыскание способов эффективной системной доставки лекарственных средств в повреждённые участки носят универсальный характер и могут быть применимы в соответствующих клинических ситуациях.
ДОПОЛНИТЕЛЬНАЯ ИНФОРМАЦИЯ
Вклад авторов. Р.В. Деев, И.Е. Онницев — определение концепции, проведение исследования, написание рукописи; П.А. Захаров, А.А. Овчинникова, Я.Д. Толкачев, Н.С. Гладышев, М.С. Печерская, А.М. Емелин, И.С. Лимаев, А.С. Бучака, И.А. Чекмарева, М.А. Козлова, Д.А. Арешидзе, М.А. Щедрина — проведение исследования. Все авторы одобрили рукопись (версию для публикации), а также согласились нести ответственность за все аспекты настоящей работы, гарантируя надлежащее рассмотрение и решение вопросов, связанных с точностью и добросовестностью любой её части.
Этическая экспертиза. Исследование одобрено локальным этическим комитетом ГНЦ РФ ФГБНУ «РНЦХ им. акад. Б.В. Петровского» (протокол № 8 от 04.10.2024).
Источники финансирования. Работа выполнена в рамках исполнения темы государственного задания «Патоморфогенез механических и высокоэнергетических повреждений структур опорно-двигательного аппарата и биотехнологические способы их коррекции» FURG-2026-0035.
Раскрытие интересов. Авторы заявляют об отсутствии отношений, деятельности и интересов за последние три года, связанных с третьими лицами (коммерческими и некоммерческими организациями), интересы которых могут быть затронуты содержанием статьи.
Оригинальность. При проведении исследования и создании настоящей статьи авторы не использовали ранее полученные и опубликованные сведения (данные, текст, иллюстрации).
Доступ к данным. Все данные, полученные в настоящем исследовании, представлены в статье.
Генеративный искусственный интеллект. При создании настоящей статьи технологии генеративного искусственного интеллекта не использовали.
Рассмотрение и рецензирование. Настоящая работа подана в журнал в инициативном порядке и рассмотрена по обычной процедуре. В рецензировании участвовали два внешних рецензента, член редакционной коллегии и научный редактор издания.
ADDITIONAL INFORMATION
Author contributions: R.V. Deev, I.E. Onnitsev: conceptualization, investigation, writing—original draft; P.A. Zakharov, A.A. Ovchinnikova, Ya.D. Tolkachev, N.S. Gladyshev, M.S. Pecherskaya, A.M. Emelin, I.S. Limaev, A.S. Buchaka, I.A. Chekmareva, M.A. Kozlova, D.A. Areshidze, M.A. Shchedrina: investigation. All the authors approved the version of the manuscript to be published and agreed to be accountable for all aspects of the work, ensuring that questions related to the accuracy or integrity of any part of the work are appropriately investigated and resolved.
Ethics approval: The study was approved by the Local Ethics Committee of the Petrovsky National Research Centre of Surgery (Minutes No. 8, dated October 4, 2024).
Funding sources: This work was conducted as part of the state assignment “Pathomorphogenesis of mechanical and high-energy injuries of the musculoskeletal system and biotechnological methods of their correction” (FURG-2026-0035).
Disclosure of interests: The authors have no relationships, activities, or interests for the last three years related to for-profit or not-for-profit third parties whose interests may be affected by the content of the article.
Statement of originality: No previously obtained or published material (text, images, or data) was used in this study or article.
Data availability statement: All data obtained in this study are available in this article.
Generative AI: No generative artificial intelligence technologies were used to prepare this article.
Provenance and peer review: This paper was submitted unsolicited and reviewed following the standard procedure. The peer review process involved two external reviewers, a member of the Editorial Board, and the in-house scientific editor.
Об авторах
Павел Андреевич Захаров
Российский научный центр хирургии им. акад. Б.В. Петровского
Email: P.zakharov2510@gmail.com
ORCID iD: 0009-0005-0425-9532
Россия, Москва
Алёна Андреевна Овчинникова
Российский научный центр хирургии им. акад. Б.В. Петровского
Email: ovchinnikova_aa@student.med.ru
ORCID iD: 0009-0005-7610-998X
Россия, Москва
Ярослав Дмитриевич Толкачев
Российский научный центр хирургии им. акад. Б.В. Петровского
Email: yaroslav.tolkachev.06@mail.ru
ORCID iD: 0009-0006-5188-1890
Россия, Москва
Никита Сергеевич Гладышев
Российский научный центр хирургии им. акад. Б.В. Петровского
Email: krinege@mail.ru
ORCID iD: 0000-0003-2732-5676
SPIN-код: 1852-6469
Россия, Москва
Мария Сергеевна Печерская
Национальный медицинский исследовательский центр хирургии им. А.В. Вишневского
Email: dr.uskova@mail.ru
ORCID iD: 0000-0003-0835-1545
SPIN-код: 7410-1681
Россия, Москва
Алексей Михайлович Емелин
Российский научный центр хирургии им. акад. Б.В. Петровского
Email: eamar40rn@gmail.com
ORCID iD: 0000-0003-4109-0105
SPIN-код: 5605-1140
Россия, Москва
Игорь Сергеевич Лимаев
Российский научный центр хирургии им. акад. Б.В. Петровского
Email: ig.limaev@gmail.com
ORCID iD: 0000-0002-0994-9787
SPIN-код: 4909-6550
Россия, Москва
Антон Сергеевич Бучака
Российский научный центр хирургии им. акад. Б.В. Петровского
Email: abpao62@yandex.ru
ORCID iD: 0000-0003-3580-1492
SPIN-код: 2416-2075
Россия, Москва
Ирина Александровна Чекмарева
Национальный медицинский исследовательский центр хирургии им. А.В. Вишневского
Email: chia236@mail.ru
ORCID iD: 0000-0003-0126-4473
SPIN-код: 5994-7650
д-р биол. наук
Россия, МоскваМария Александровна Козлова
Российский научный центр хирургии им. акад. Б.В. Петровского
Email: ma.kozlova2021@outlook.com
ORCID iD: 0000-0001-6251-2560
SPIN-код: 5647-1372
канд. биол. наук
Россия, МоскваДавид Александрович Арешидзе
Национальный медицинский исследовательский центр хирургии им. А.В. Вишневского
Email: labcelpat@mail.ru
ORCID iD: 0000-0003-3006-6281
SPIN-код: 4348-6781
канд. биол. наук
Россия, МоскваМарина Анатольевна Щедрина
Главный военный клинический госпиталь им. Н.Н. Бурденко
Email: Schcedrina-m@mail.ru
ORCID iD: 0000-0002-4265-012X
SPIN-код: 1441-7163
канд. мед. наук
Россия, МоскваИгорь Евгеньевич Онницев
Главный военный клинический госпиталь им. Н.Н. Бурденко
Email: ionnicev@mail.ru
ORCID iD: 0000-0002-3858-2371
SPIN-код: 9659-4740
д-р мед. наук
Россия, МоскваРоман Вадимович Деев
Российский научный центр хирургии им. акад. Б.В. Петровского
Автор, ответственный за переписку.
Email: romdey@gmail.com
ORCID iD: 0000-0001-8389-3841
SPIN-код: 2957-1687
канд. мед. наук, доцент
Россия, МоскваСписок литературы
- Danilov RK. Wound process: histogenetic bases. Saint Petersburg: VMedA; 2007. (In Russ.)
- Vail SS. Materials on the pathological anatomy of combat trauma. Kirov: Izdatel’stvo Voenno-morskoi meditsinskoi akademii; 1943. (In Russ.)
- Davydovsky IV. Human gunshot wound. Morphological and general pathological analysis. Moscow: Izdatel’stvo AMN SSSR; 1952. (In Russ.)
- Gololobov VG. Bone tissue regeneration during healing of gunshot fractures. Saint Petersburg: Peterburg–XXI vek; 1997. (In Russ.) ISBN: 5-88485-045-X
- Nechaev EA, Gritsanov AB, Fomin NF, Minnullin IP. Mine blast injury. Saint Petersburg: Sankt-Peterburgskiy NIITO im. R. Vredena; 1997. (In Russ.)
- Povzun SA, Gerasimov SM, Klochkov ND, et al. Pathological anatomy of combat injuries and their complications. Povzun SA, Klochkov ND, editors. Saint Petersburg: SM Kirov Military Medical Academy; 2002. (In Russ.)
- Odintsova IA. Regeneration histogenesis in skin-muscle wound [dissertation]. Saint Petersburg; 2005. (In Russ.)
- Klochkov ND, Povzun SA, Sidorin VS, et al. Pathological anatomy of combat trauma. In: Experience of medical support of troops in Afghanistan 1979-1989. V 2. Organization and scope of surgical care. Eryukhin IA, Khrupkin VI, editors. Moscow: NN Burdenko GVKG, 2002. P:68–131. (In Russ.)
- Trishkin DV, Kryukov EV, Alekseev DE, et al. Military field surgery. National guidelines. Samokhvalov IM, editor. Moscow: GEOTAR-Media; 2024. (In Russ.) doi: 10.33029/9704-8036-6-VPX-2024-1-1056 ISBN: 978-5-9704-8036-6 EDN: AYGYWM
- Nechaev EA, Gritsanov AI, Minnullin IP, et al. Explosive injuries: A guide for doctors and students. Nechaev EA, editor. Saint Petersburg: IKF «Foliant»; 2002. (In Russ.)
- Wagenvoort CA, Wagenvoort N. Primary pulmonary hypertension: A pathologic study of the lung vessels in 156 clinically diagnosed cases. Circulation. 1970;42(6):1163–1184. doi: 10.1161/01.CIR.42.6.1163
- Kernohan JW, Anderson EW, Keith NM. The arterioles in cases of hypertension. Arch Intern Med. 1929;44(3):395–423. doi: 10.1001/archinte.1929.00140030094010
- Avtsyn AP. Essays on military pathology. Moscow: Medgiz; 1946. (In Russ.)
- Pirogov NI. Military medical care and private assistance in the theater of war in Bulgaria and in the rear of the active army in 1877-1878. In: Pirogov NI. Collected Works. Moscow: Medgiz; 1960. (In Russ.)
- Вorst M. Algemeines uber die Wirkung der Geschosse, Waffen. In: Hand. d. Arcitl. Erfahrungen im Weltkriege 1914-1918 Jahr. Bd. 8. Leipzig; 1921. S:206–235. (In German)
- Fomin NF. The contribution of surgeons-anatomists of the Military Medical Academy to the study of mechanogenesis and morphology of combat surgical trauma. In: Proceedings of the All-Russian scientific and practical conference «Anatomical, physiological and clinical-morphological aspects of modern high-energy injuries», Saint Petersburg, 2024 Nov 11. Saint Petersburg: VMedA; 2024. P. 5–18. EDN: ZUPMKW
- Sidorin VS. Pathomorphology of the immune system in traumatic disease in the wounded [dissertation]. Saint Petersburg; 1993. (In Russ.)
- Povzun SA. Wounds and wound process. Traumatic, radiation and burn diseases. In: Pathological anatomy: national guidelines. Paltsev MA, Kaktursky LV, Zairatyants OV, editors. Moscow: GEOTAR-Media; 2011. P:1162–1186 (In Russ.)
- Papayannopoulos V. Neutrophil extracellular traps in immunity and disease. Nat Rev Immunol. 2018;18(2):134–147. doi: 10.1038/nri.2017.105 EDN: YFDICD
- Bhatia N, George B, Masih D, et al. Mechanistic insights into PAMP and DAMP driven activation of NETosis in autoimmune disorders. Int Immunopharmacol. 2025;162:115149. doi: 10.1016/j.intimp.2025.115149
- Chen T, Li Y, Sun R, et al. Receptor-mediated NETosis on neutrophils. Front Immunol. 2021;12:775267. doi: 10.3389/fimmu.2021.775267 EDN: OZLLHQ
- Relja B, Land WG. Damage-associated molecular patterns in trauma. Eur J Trauma Emerg Surg. 2020;46(4):751–775. doi: 10.1007/s00068-019-01235-w EDN: GVLJJO
- Pantalone D, Bergamini C, Martellucci J, et al. The Role of DAMPS in burns and hemorrhagic shock immune response: Pathophysiology and clinical issues. Review. Int J Mol Sci. 2021;22(13):7020. doi: 10.3390/ijms22137020 EDN: OYNNGJ
Дополнительные файлы







