Morphometric Study of Skin Vessels After Mechanical Injury Based on von Willebrand Factor Antibody Labeling
- Авторлар: Berezovskaya T.I.1, Konyaev G.V.1
-
Мекемелер:
- Kirov Military Medical Academy
- Шығарылым: Том 163, № 1 (2025)
- Беттер: 39-48
- Бөлім: Original Study Articles
- URL: https://ogarev-online.ru/1026-3543/article/view/292734
- DOI: https://doi.org/10.17816/morph.640909
- EDN: https://elibrary.ru/CLUYSH
- ID: 292734
Дәйексөз келтіру
Аннотация
BACKGROUND: Angiogenesis is one of the most important factors of histogenesis in tissue regeneration. In the evaluation of wounds of various etiologies, identifying blood vessels in hematoxylin- and eosin-stained specimens is often challenging. This difficulty arises from the histological structure of the vascular wall and the complex histotopographic arrangement of vessels. Immunohistochemical staining with antibodies to von Willebrand factor, a specific endothelial cell protein, is one of the most informative methods for vascular detection. Applying this technique to the study of wound healing enhances the assessment of the histotopography and morphology of the microvascular network involved in skin repair.
AIM: To assess the changes in the number and size of skin vessels at various stages of regenerative histogenesis following mechanical injury, using immunohistochemical staining with antibodies against von Willebrand factor.
METHODS: A single-center, controlled, randomized, nonblinded experimental study was conducted. The study material consisted of skin samples from the mid-thigh region of Wistar rats collected at different time points during wound healing after a deep incised injury. The animals were divided into 9 groups: the control group (n = 3) included intact animals, whereas the remaining groups (3 animals per group) corresponded to different time points of removement from the experiment — 12 hours, 24 hours, and 2, 3, 6, 10, 15, and 25 days after injury. At each time point, skin biopsies were processed for histological examination with immunohistochemical staining using antibodies to von Willebrand factor, followed by morphometric analysis of the resulting digital images.
RESULTS: Blood vessels were visualized in the dermis and hypodermis of rat skin and classified into 4 groups according to their caliber (visible cross-sectional area). The most pronounced changes were observed in small-caliber vessels (cross-sectional area ≤ 100 μm2). These vessels were absent in intact skin specimens but appeared in the experimental groups from day 2 through day 10 after injury. In skin samples obtained on days 15 and 25 after injury, a gradual decrease in the number of vessels with a cross-sectional area ≤ 100 μm2 was noted. Similar trends were observed for vessels of medium (100–500 μm2) and large (500–1000 μm2) caliber. Vessels with a cross-sectional area ≥ 1000 μm2 were rare, and their number did not correlate with the wound healing phase.
CONCLUSION: Immunohistochemical staining with anti–von Willebrand factor antibodies in rat skin sections demonstrated good reproducibility and yielded high-quality specimens. In the experimental wound healing model, the method exhibited high selectivity in identifying blood vessels. Morphometric analysis of histological samples confirmed a correlation between vessel count and the sequential phases of the wound healing process.
Негізгі сөздер
Толық мәтін
BACKGROUND
Regenerative histogenesis is a part of reparative tissue regeneration process. In the healing of various types of wounds, this process occurs similarly and follows well-known rules. The most important tissue regeneration processes take place in histotopographic zones identified by histologists at the Kirov Military Medical Academy, which include the wound channel, the area of primary traumatic necrosis; and the perinecrotic area [1]. This histological study analyzed exactly these areas of skin biopsy specimens. The reaction of the microcirculatory vessels is an important factor determining the course of events after a mechanical injury [2]. Sufficient vascularization is crucial for replenishing undifferentiated cell reserves and forming an optimal amount of connective tissue intercellular substance. It is known that the favorable healing of skin wounds is related to the development of granulation tissue, a special type of tissue that cannot mature without capillary involvement [3]. In scientific research, blood vessels can be identified using various histological methods. The most commonly used method is tissue staining with hematoxylin and eosin [4, 5]. However, this method is not sufficiently selective for reliable evaluation of the morphometric indicators of vessels in tissue specimens. In addition, after staining with hematoxylin and eosin, the use of automated image analysis systems (e.g., ImageJ) is challenged due to the insufficient specificity of vessel staining [6]. Several authors [7–9] describe effective visualization of endothelial cells on histological specimens using immunohistochemical (IHC) staining with antibodies to von Willebrand factor (vWF). Therefore, in this experimental study, we used IHC to track changes in the number and morphological characteristics of the vessels involved in regenerative histogenesis.
The von Willebrand factor is a large multimeric glycoprotein found in blood plasma and subendothelial matrix, which is also present in the Weibel–Palade bodies of endothelial cells and in the α-granules of platelets [10]. vWF has been shown to play a certain role in the onset of inflammatory reactions. Thus, vWF multimers and platelets attached to the damaged endothelium promote active leukocyte influx, creating conditions for the spread of inflammation [11]. According to the previous data, vWF is secreted by endothelial cells in three ways: through constitutive and regulated exocytosis of Weibel–Palade bodies, as well as through exocytosis involving autophagosomes [12, 13]. Exocytosis of vWF is activated under various conditions, including inflammation, vascular damage, hypoxia, and some other pathological factors. Endothelial cells are the main source of vWF circulating in the blood. The data on the role of von Willebrand factor in angiogenesis are contradictory. Some authors note that the absence of vWF contributes to angiogenic processes, manifested as a significant increase in vitro endothelial cell proliferation [14]. In addition, experimental data indicate that von Willebrand factor can act as an inhibitor of angiogenesis dependent on vascular endothelial growth factor (VEGF). It is believed that vWF deposited in the endothelium limits the proliferation of endothelial cells induced by the VEGF growth factor. However, the opposite effect was observed in other types of cells. When the wall of a large vessel is damaged, vWF can penetrate the intima, coming into contact with smooth muscle cells. The deposition of von Willebrand factor in the intima is accompanied by intimal thickening, indicating that vWF promotes cell proliferation. In vitro studies have shown that vWF directly stimulates the proliferation of smooth muscle cells [12]. Nevertheless, despite the ambiguity of vWF multimer functions, immunohistochemical reaction using antibodies to this protein allows for accurate labeling of blood vessel endothelium, while lymphatic vessels are not stained. In this context, the use of the IHC method can be highly beneficial in comprehensive research, as it enables the acquisition of reliable data on the quantity and caliber of blood vessels at various stages of regenerative histogenesis, as well as the establishment of correlations between these parameters and the regeneration phase.
This study aimed to assess the changes in the number and size of skin vessels at various stages of regenerative histogenesis following mechanical injury, using immunohistochemical reactions with antibodies to von Willebrand factor.
METHODS
Study Design
A single-center, continuous, controlled, randomized, nonblinded study was conducted. The study material consisted of skin samples from the mid-thigh region of Wistar rats collected at different time points during wound healing after a deep incised injury. The biopsy specimens were used to prepare paraffin sections and conduct immunohistochemical reactions with antibodies to von Willebrand factor. Images of the specimens were digitized for further analysis of the changes in the total number of vessels visible in the section and the assessment of their morphometric characteristics, including location and cross-sectional area of each vessel.
Eligibility Criteria
The study included 27 rats aged 1.0–1.5 months, with a baseline weight of 180–200 g.
Study Setting
The experimental part of the work was carried out in the certified vivarium of the State Research and Testing Institute of Military Medicine of the Ministry of Defense of the Russian Federation (Agreement on Scientific Cooperation No. 15 between the Kirov Military Medical Academy and the State Research and Testing Institute of Military Medicine of the Ministry of Defense of the Russian Federation, dated September 13, 2023). The morphometric and statistical analysis was performed at the Department of Histology and Embryology at the Kirov Military Medical Academy of the Ministry of Defense of the Russian Federation.
Study Duration
Skin patches at the site of injury with adjacent normal tissue were excised 12 hours, 24 hours, 2, 3, 6, 10, 15, and 25 days after injury. The animals were removed from the experiment after overdosing with a combination of tiletamine and zolazepam (Zoletil 50 (10 mg/kg; Virbac, France)) with xylazine (10 mg/kg; Pharmamagist Ltd., Hungary) administered intramuscularly.
Intervention
After being divided into groups, the rats were kept in separate marked cages, one for each point of experimental material collection. Manipulations with animals were conducted in the morning. Each animal received an intramuscular injection of a combination of Zoletil® and xylazine at 10 mg/kg each. Using a sharp scalpel, a deep transverse incision was made in the skin of the mid-thigh. The incision length varied from 1.5 to 2.0 cm. No initial surgical treatment of the wound was performed, and no bandage was applied. After the injury, the animals were placed in the appropriate cage until the end of a certain regeneration period. No further medical procedures were performed to simulate a contaminated wound.
The experimental material collection involved excising a skin patch at the site of injury with adjacent normal tissue 12 hours, 24 hours, 2, 3, 6, 10, 15, and 25 days after injury. The skin of intact rat limbs was used as an intact control.
Main Study Outcome
In this study, IHC staining of sections allowed identifying blood vessel endothelium, which enabled the use of an automated method (Zen 2.3 software; Zeiss, Germany) to count blood vessels and determine their morphometric parameters (cross-sectional area and localization) during the evaluation of the phases of the wound healing process.
Subgroup Analysis
All rats were divided into groups. The control group (n = 3) consisted of intact animals: they were not injured, and the time points were not observed. In this group, three normal skin fragments were taken from the mid-third of the thigh. The data from the analysis of these fragment specimens were used to compare regeneration at different stages.
The remaining groups corresponded to the time points at which the animals were removed from the experiment: 12 hours, 24 hours, 2, 3, 6, 10, 15, and 2 days after the mechanical injury (n = 3 for each group).
Outcome Registration
Immunohistochemical study: To detect vWF expression, immunohistochemical reactions were performed using specific polyclonal antibodies (Agilent, USA, catalog number: A008202) at a dilution of 1:400. The skin specimens were fixed in 10% buffered formalin solution for 24 hours, after which they were transferred to 96% ethanol. After completing all process stages, the material was poured into paraffin blocks in special plastic cassettes. Paraffin sections of 5 μm thick were prepared using a Sakura (Japan) manual microtome and placed on poly-l-lysine-coated slides. The glass slides with sections were then dried in a thermostat for 12 hours at 37 °C. The specimens were deparaffinized in two rounds of washing with xylene (10 minutes each), rehydrated in decreasing concentrations of alcohol (two rounds of washing with 96% ethanol for 5 minutes each, one round of washing with 80% ethanol for 5 minutes), and rinsed in distilled water (5 minutes). The specimens were placed in S 1700 citrate buffer (Dako, Denmark), preheated to 60 °C in a thermostat. Antigen thermal unmasking was carried out in a steamer for 20–25 minutes. The sections were rinsed in distilled water for 5 minutes and then placed in a 3% hydrogen peroxide (H2O2) solution for 10 minutes. Next, after rinsing, the specimen was transferred to a 0.01M phosphate-buffered saline (PBS, pH 7.4; Biolot, Russia) solution for 5 minutes. To block nonspecific antibody binding, a blocking solution (Protein Block DP-125, Spring Bioscience, USA) was used at room temperature for 10 minutes. After removing the blocking solution, a solution of primary antibodies to vWF was applied. The specimens were placed in a humid chamber and incubated at 27 °C for 24 hours. After incubation with primary antibodies, the slides were washed in two rounds of PBS and anti-rabbit secondary reagents (Reveal Polyvalent HRP DAB Detection System (Spring Bioscience, USA)) were applied, conjugated with a polymer for binding to the corresponding primary antibodies and with horseradish peroxidase for detection. The incubation was carried out in a humid chamber in a thermostat at 27 °C for 30–40 minutes. After rinsing in PBS, a working solution of the chromogenic substrate 3,3’-diaminobenzidine tetrahydrochloride (Dako, Denmark) was applied onto the sections. The formation of the colored reaction product occurred within 1–3 minutes. After achieving optimal section staining, which was monitored under a microscope, the samples were washed in a 3% hydrogen peroxide solution (3 rounds of washing, 5 minutes each). At the final stage, the sections were washed in distilled water, dehydrated in isopropyl alcohol and a 1:1 mixture of isopropyl alcohol and xylene, clarified in xylene, and embedded in Cytoseal 60 mounting medium (Thermo Scientific, USA). A Zeiss Axio Scope.A1 light microscope with a built-in Zeiss Axiocam ERc 5s camera (Zeiss, Germany) was used to visualize the results of the IHC reaction.
Morphometric study: For morphometric analysis of digitized images from a Zeiss Axio Scope.A1 light microscope with a built-in Zeiss Axiocam ERc 5s camera, licensed Zen 2.3 software was used. Labeled endothelial cells were visualized in 10 fields of view in each area: wound channel, primary necrosis, and perinecrotic area. The number of vessels formed by labeled cells was counted in automated mode using the “point” option. Next, the area of each detected vessel was calculated using the built-in “spline” option. Numerical data was entered into Excel spreadsheets to create graphs.
Statistical Analysis
Principles for calculating the sample size: The sample size was not precalculated.
Statistical analysis methods: The quantitative data in the article are presented as the mean and standard deviation (M±SD). The statistical significance of differences in quantitative characteristics between experimental groups was not assessed.
RESULTS
Participants
The skin fragments from the mid-third of the thigh of Wistar rats after inflicting a deep incised injury. The biopsy specimens measuring 1.5–2.0 cm included the wound channel and surrounding visually normal tissue.
Primary Results
Owing to high selectivity of the chosen method for labeling blood vessels and the use of an automated system for counting and morphometry of digital images, the detected structures were classified into four groups based on the mean visible lumen area (Sm): 0–100 μm2, small; 101–500 μm2, medium; 501–1000 μm2, large; and <1000 μm2, very large. We did not aim to determine whether each vessel belonged to the arterial or venous system, and when characterizing the phases of the wound healing process, we only considered their number, caliber, and location relative to the skin layers.
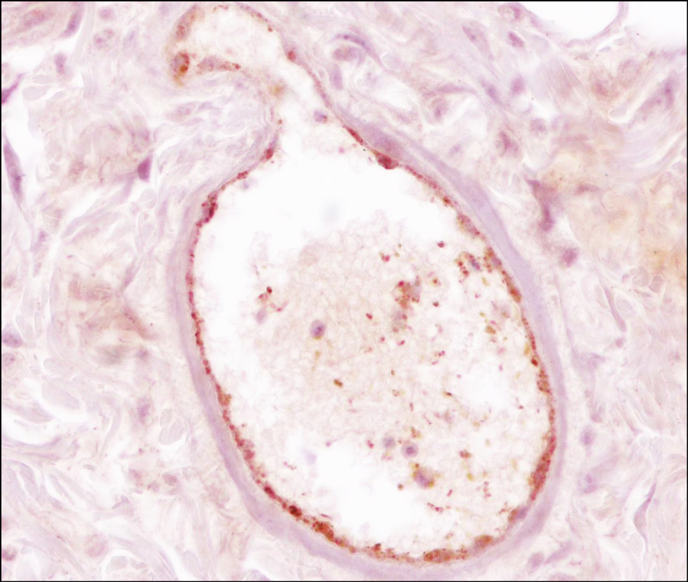
When examining intact skin specimens, only three blood vessels were found in the hypodermis: two large ones (Scp = 604.16 ± 0.61 μm2) and a very large one (Scp = 2578 μm2; Fig. 1).
Fig. 1. Intact skin of the rat thigh. A large blood vessel in the dermis. Immunohistochemical staining with anti–von Willebrand factor antibodies; objective ×40, eyepiece ×10.
Notably, small-caliber vessels in intact skin were not observed in any field of view. However, the samples of injured skin in the necrosis phase, which corresponds to a period of 12–24 hours, revealed seven small-caliber vessels in the reticular layer of the dermis: four vessels at 12 hours of the experiment and three at 24 hours (Fig. 2).
Fig. 2. Skin of the rat thigh on day 2 after mechanical injury. Small blood vessels in the dermis within the perinecrotic area. Immunohistochemical staining with anti–von Willebrand factor antibodies; objective ×63, eyepiece ×10.
At later stages corresponding to the inflammatory phase (starting from day 3 of the experiment), a positive trend in the number of small-caliber vessels is observed up to day 10, when there is an explosive growth in their number. If by day 6, we could observe a small increase in the number of small vessels (11 vessels) compared with day 3 of the experiment (9 vessels), then on day 10, their number increased by 37 (Sm = 35.28 ± 3.32 μm2). Medium-sized vessels are detected on intact skin specimens. Their number progressively increases during the initial phases of the wound healing process: 2 vessels in samples 24 hours after injury (Sm = 244.54 ± 1.42 μm2), 4 by day 6 (Sm = 209.00 ± 4.81 μm2), and 6 by day 10 (Sm = 190.86 ± 1.43 μm2). We observed small and medium-sized vessels mainly in the dermis of the skin, while the largest vessels are found only in the hypodermis. Similar to the intact skin sections where one very large vessel was found, very large vessels with the same localization were found in the sections 12 hours after injury (Sm = 4296.04 μm2) and 24 hours later (Sm = 2986.45 μm2). However, at some time points, such as day 3, we did not detect any such vessels. Single large-caliber vessels were also observed in the view field (Sm = 698.75 μm2 on day 6 and Sm = 788.40 μm2 on day 10).
Based on the histology of specimens on days 15 and 25 of the experiment, a period corresponding to the adaptation phase, we can conclude that there is a significant decrease in vascularization of the studied area during this period. During the adaptation phase, we observe a single very large vessel (Sm = 1173.95 μm2), the absence of large and medium-sized vessels, and, unlike previous periods, a significant decrease in the number of small vessels: in the 15-day specimens, there are 21 vessels (Sm = 79.62 ± 2.12 μm2), and in the 25-day specimens, there are only 7 (Sm = 54.47 ± 3.36 μm2).
DISCUSSION
Summary of Primary Results
The regeneration of connective tissue in the skin involves blood vessels, as shown by differences in the number and caliber of blood vessels in rat skin between the initial phase of regenerative histogenesis and the subsequent phases of the wound healing process.
Small-caliber vessels (cross-sectional area ≤ 100 μm2) are likely to play a special role in the regeneration of incised wounds. The number of these vessels steadily increases up to 10 days of the experiment, corresponding to the proliferation/differentiation phase. It is the number of small-caliber vessels that shows the most prominent changes over time (Fig. 3). At later stages (15 and 25 days after injury), their number decreases. The largest vessels are isolated and found only in the hypodermis at all the time points studied. Therefore, further research is needed to clarify their morphological characteristics in the wound healing process.
Fig. 3. Changes in blood vessel count across the phases of the wound healing process.
Discussion of Primary Results
The wound healing process is a complex set of the body’s responses to injury, that is characterized by phases. The process includes four phases (necrosis, inflammation, proliferation and differentiation, adaptation) that all injuries go through, but the severity of these phases varies. The reaction of the microcirculatory vessels plays an important role in regenerative histogenesis. The immunohistochemical analysis of blood vessels in different stages of the wound healing process revealed that the most significant changes affect the number of small blood vessels, primarily located at the reticular layer of the dermis in the perinecrotic area of the incised injury (Fig. 4).
Fig. 4. Graph showing the number of blood vessels of different calibers in relation to the time elapsed after mechanical skin injury.
In the specimens of rat thigh skin 12 and 24 hours after mechanical injury, we observe an increase in the number of visible vessels, which is consistent with the results of the previous experimental studies. It has been demonstrated that during the first hours after injury, the damaged tissues are partially excluded from the bloodstream. This effect is then replaced by the initial signs of an inflammatory response, arterial and venous hyperemia with an increase in vascularization. During the IHC study, we observed a similar pattern: 12 hours after injury, only a few capillaries of various calibers were detected in the specimens, but by the end of the first day, vWF-positive endothelial cells were visualized much more frequently. It is known that during the wound healing process, hyperemia is accompanied by increased vascular permeability. This promotes the migration of leukocytes into the wound, the release of hydrolytic enzymes that destroy microorganisms and cellular debris, cleaning the wound, as well as the secretion of cytokines (tumor necrosis factor and interleukins) that induce inflammation. After 1–2 days, monocytes migrate to the wound and transform into macrophages, and by days 3–4 they become the predominant cellular elements in the area of tissue damage. Macrophages are involved in the phagocytosis of necrotic cells and foreign matter, as well as to secrete hemostatic and growth factors that activate various regenerative processes, including angiogenesis [15]. Our study shows that the day 3 of the wound healing process marks the beginning of a steady increase in the number of small and medium-sized blood vessels. Subsequently, fibroblast activity results in the formation of granulation tissue, the proper development of which ensures favorable healing. However, fibroblasts require oxygen, amino acids, and trace elements for normal functioning [16]. They are supplied by the process of neoangiogenesis from the intact vessels located in the perinecrotic area [2]. If angiogenesis is not active enough, fibroblast migration slows down, eventually stopping completely and halting the healing process. In our study, the external appearance of experimental wound healing indicates active formation of well-vascularized regenerate, which is confirmed by the results of IHC staining.
Some authors observed the greatest number of newly formed vessels 10–14 days after injury, which is consistent with our data [17]. This period refers to the proliferation and differentiation phase of the wound healing process. In our study, all injuries healed by primary tension, and after the control time point of 10 days, we recorded a gradual decrease in the number of vessels. This was reflected in the formation of thin scars, which gradually changed color from red, due to the large number of blood vessels, to a lighter shade, pink or almost white.
It should be noted that the sequential change of phases in the wound healing process always has individual characteristics. Thus, when the wound is heavily contaminated with microorganisms and devitalized tissue, the duration of the inflammatory phase may increase significantly. We examined contaminated wounds, so the course of their regeneration varied among different animals. The removal of necrotic tissue, scab formation, granulation tissue formation, and connective tissue scar formation occurred at different times in different animals, but all processes followed the general laws of regenerative histogenesis.
Study Limitations
The data on the correlation between the phase of the wound healing process and the number of blood vessels in the regenerate obtained in our study are generally consistent with the information from the previous works. However, we believe that the study sample may have been insufficient for a reliable study of changes in the largest skin vessels over time. Furthermore, based on the data from recent studies, we can conclude that labeling with antibodies to vWF allows for selective identification of blood vessels, but not lymphatic vessels.
CONCLUSION
As a result of the study, it can be concluded that immunohistochemical staining using antibodies to von Willebrand factor is the optimal method for determining the phase of the wound healing process and identifying the dynamics of angiogenesis in regenerated tissue in experimental studies of incised skin wounds. This method allows obtaining high-quality histological samples for further morphometric analysis of blood vessels.
ADDITIONAL INFORMATION
Author contributions: T.I. Berezovskaya: conceptualization, methodology, writing—original draft, writing—review & editing, project administration, visualization. G.V. Konyaev: investigation, writing—original draft, writing—review & editing, project administration. All authors approved the final version of the manuscript and agreed to be accountable for all aspects of the work, ensuring the accuracy and integrity of any part of the article.
Ethics approval: The housing and feeding conditions of the experimental animals complied with bioethical standards and the Guidelines for Working with Experimental Animals (Helsinki Declaration, 2000), as well as the Russian Federal Law On the Protection of Animals from Cruelty (Chapter V, Article 104679-GD dated December 1, 1999); Order of the Ministry of Health of the Russian Federation No. 267 dated June 19, 2003, and Order On Approval of the Rules of Good Laboratory Practice No. 199n dated April 1, 2016. The study protocol was approved by the Independent Local Ethics Committee of the S.M. Kirov Military Medical Academy, Ministry of Defense of the Russian Federation. Extract from protocol of the Local Ethics Committee No. 283, dated October 17, 2023.
Funding sources: The authors declare no external funding for this research.
Disclosure of interests: The authors have no relationships, activities, or interests for the last three years related with for-profit or not-for-profit third parties whose interests may be affected by the content of the article.
Авторлар туралы
Tatyana Berezovskaya
Kirov Military Medical Academy
Email: lapi2@yandex.ru
ORCID iD: 0009-0009-1591-9152
SPIN-код: 2508-7042
Ресей, Saint Petersburg
Grigory Konyaev
Kirov Military Medical Academy
Хат алмасуға жауапты Автор.
Email: Grisha061000@gmail.com
ORCID iD: 0009-0009-9584-5973
Ресей, Saint Petersburg
Әдебиет тізімі
- Danilov RK. The wound process: histogenetic basis. Saint-Petersburg: VMedA im. S.M. Kirova; 2008. (In Russ.) EDN: QLRHVH
- Veith AP, Henderson К, Spencer А, et al. Therapeutic strategies for enhancing angiogenesis in wound healing. Adv Drug Deliv Rev. 2019;146:97–125. doi: 10.1016/j.addr.2018.09.010
- Kimmel HM, Grant A, Ditata J. The presence of oxygen in wound healing. Wounds. 2016; 28(8):264–270.
- Gujam FJA, Going JJ, Edwards J, et al. The role of lymphatic and blood vessel invasion in predicting survival and methods of detection in patients with primary operable breast cancer. Crit Rev Oncol Hematol. 2014;89(2):231–241. doi: 10.1016/j.critrevonc.2013.08.014
- Yang X, Sun HJ, Li ZR, et al. Gastric cancer-associated enhancement of von Willebrand factor is regulated by vascular endothelial growth factor and related to disease severity. BMC Cancer. 2015;15:80. doi: 10.1186/s12885-015-1083-6
- Gusel’nikova VV, Yakovlev VS, Syrtsova MA, Korzhevskii DE. Double immunofluorescence staining for blood vessel study. Journal of Anatomy and Histopathology. 2020;9(2):100–105. (In Russ.) doi: 10.18499/2225-7357-2020-9-2-100-105 EDN: PQBZVG
- Wagner DD, Marder VJ. Biosynthesis of von Willebrand protein by human endothelial cells: processing steps and their intracellular localization. J Cell Biol. 1984;99(6):2123–2130. doi: 10.1083/jcb.99.6.2123
- Todorov SS, Deribas VY, Kazmin AS, Todorov (ML) SS. Immunohistochemical assessment of von Willebrand factor and CD31 in the intima of the coronary arteries in the early terms after stenting. Modern Problems of science and education. 2024;1:23. (In Russ.) doi: 10.17513/spno.33277 EDN: MEMOJN
- Korzhevskii DE, Kirik OV, Sukhorukova EG, et al. Von Willebrand factor of endotheliocytes of blood vessels and its use in the course of immunomorphologycal researches. Medical academic journal. 2017;17(1):34–40. (In Russ.) doi: 10.17816/MAJ17134-40 EDN: ZHZLOH
- Lenting PJ, Christophe OD, Denis CV. von Willebrand factor biosynthesis, secretion, and clearance: connecting the far ends. Blood. 2015;125(13):2019–2028. doi: 10.1182/blood-2014-06-528406
- Avtaeva YuN, Melnikov IS, Vasiliev S, Gabbasov ZA. The role of von Willebrand factor in hemostasis pathology. Atherothrombosis (Aterotromboz). 2022;12(2):79–102. (In Russ.) doi: 10.21518/2307-1109-2022-12-2-79-102 EDN: BISWLG
- Chernova EV. Von Willebrand factor. HERALD of North-Western State Medical University named after I.I. Mechnikov. 2018;10(4):73–80. (In Russ.) doi: 10.17816/mechnikov201810473-80 EDN: VUFNYQ
- Avdonin PP, Tsvetaeva NV, Goncharov NV, et al. Von Willebrand factor in health and disease. Biologicheskie Membrany. 2021;38(4):237–256. (In Russ.) doi: 10.31857/S0233475521040034 EDN: DLYUAN
- Starke RD, Ferraro F, Paschalaki KE, et al. Endothelial von Willebrand factor regulates angiogenesis. Blood. 2011;117(3):1071–1080. doi: 10.1182/blood-2010-01-264507
- Wilkinson HN, Hardman MJ. Wound healing: cellular mechanisms and pathological outcomes. Open Biol. 2020;10(9):200223. doi: 10.1098/rsob.200223
- Tamrazova OB. Reparative therapy of “small” wounds from the position of dermatologist and cosmetologist. Allergology and Immunology in Paediatrics. 2019;2(57):4–12. (In Russ.) EDN: ZXNBUT
- Kuriin AA, Gaivoronsky IV, Skryabin ON, et al. Hemostatic effect of vagotomy in acute gastroduodenal massive bleeding. Bulletin of Surgery.1992;148(6):278-284. (In Russ.) EDN: NRTXCZ
Қосымша файлдар





