Use of combined eosin and methylene green staining for the selective detection of eosinophilic granulocytes in the gastrointestinal mucosa
- Авторлар: Zabelnikova A.M.1,2, Beznin G.V.1, Abdurasulova I.N.1, Kirik O.V.1, Fedorova E.A.1, Korzhevskii D.E.1
-
Мекемелер:
- Institute of Experimental Medicine
- Saint-Petersburg State University
- Шығарылым: Том 162, № 4 (2024)
- Беттер: 416-424
- Бөлім: Original Study Articles
- URL: https://ogarev-online.ru/1026-3543/article/view/288235
- DOI: https://doi.org/10.17816/morph.642031
- ID: 288235
Дәйексөз келтіру
Аннотация
BACKGROUND: Eosinophilic granulocytes exhibit antibacterial, antiparasitic, and antiviral activity and play a significant role in the pathogenesis of diseases such as eosinophilic esophagitis and colitis. However, standard methods for their identification have significant limitations, which complicate precise quantification and diagnosis of associated conditions.
AIM: To develop and evaluate a novel staining method for accurate and selective identification of eosinophilic granulocytes in the gastrointestinal tract tissues.
METHODS: The study was conducted using histological sections of the stomach, small intestine, and large intestine from male Wistar rats (n = 16). Tissue sections were stained with a combination of eosin and methylene green.
RESULTS: The developed method provided high-contrast staining of eosinophilic granulocytes and demonstrated greater accuracy compared to conventional hematoxylin and eosin staining. Eosinophils were distinctly visible on slides stained with the new method even under low magnification. The technique enabled easy identification, enumeration, and localization of eosinophilic granulocytes within the gastrointestinal tract tissues.
CONCLUSION: The proposed staining method allows for precise and selective detection of eosinophilic granulocytes in the gastrointestinal mucosa of rats and shows promise for use in diagnosing conditions associated with eosinophilic infiltration.
Негізгі сөздер
Толық мәтін
ОБОСНОВАНИЕ
Эозинофильные гранулоциты — это один из видов гранулоцитов крови, отличительным признаком которых является сегментированное ядро и наличие крупных гранул, содержащих уникальный набор белков, определяющих основные функции этих клеток:
- основные эозинофильные белки — главный щелочной протеин, эозинофильный катионный протеин, эозинофильная пероксидаза и эозинофильный нейротоксин;
- ферменты — коллагеназа, эластаза, β-глюкуронидаза, катепсин, РНКаза, миелопероксидаза;
- цитокины — интерлейкины ИЛ-2, ИЛ-5 и ИЛ-4, гранулоцитарно-макрофагальный колониестимулирующий фактор и др. [1, 2].
Основным компонентом специфических гранул эозинофилов является главный щелочной (или основной) протеин (Major Basic Protein — MBP). Данный белок имеет сродство к кислотным красителям, что позволяет идентифицировать специфические гранулы эозинофильных клеток — гранулы окрашиваются в оранжево-розовый цвет [3]. Эозинофилы могут индуцировать выброс гистамина базофилами и тучными клетками, нивелировать действие гепарина, проявлять антибактериальную, антипаразитарную и противовирусную активность, оказывать цитотоксическое действие в отношении опухолевых клеток.
Эозинофильные гранулоциты можно рассматривать как клетки соединительной ткани, поскольку количество тканевых эозинофилов в сотни раз превышает количество эозинофилов крови. По некоторым данным, на каждый эозинофил крови приходится 100–300 эозинофилов в тканях [4]. Этот факт особенно важен для понимания роли эозинофильных гранулоцитов в патологических процессах. Они принимают активное участие в патогенезе таких заболеваний, как бронхиальная астма, хронический полипозный риносинусит, гиперэозинофильный синдром и эозинофильные эзофагит, гастрит, энтерит и колит [5, 6]. Эозинофильные гранулоциты оказывают значительное влияние на патогенез воспалительных заболеваний кишечника, таких как язвенный колит, болезнь Крона и синдром раздражённого кишечника [7]. Кортикостероиды эффективно снижают хемотаксис и адгезию эозинофилов, что способствует уменьшению накопления этого типа клеток в тканях. Однако применение кортикостероидов при лечении воспалительных заболеваний кишечника связано с серьёзными побочными эффектами, такими как иммуносупрессия и токсичность для печени, что ограничивает их использование в долгосрочной терапии. В качестве альтернативы предлагается нацеливание на такие молекулы, как CCR3 (C-C chemokine receptor type 3). Это ключевой рецептор, участвующий в хемотаксисе и миграции эозинофилов в ткани. Он связывается с несколькими лигандами, включая эотаксин-1 (CCL11 — C-C Motif Chemokine Ligand 11), который определяет миграцию эозинофилов в желудочно-кишечный тракт и другие органы. Эотаксин-3 (CCL26 — C-C Motif Chemokine Ligand 26) индуцирует миграцию эозинофилов в пищевод при эозинофильном эзофагите [8, 9]. С учётом новых морфометрических данных о клеточно-дифферонном составе эпителия кишечника при патологиях [10], исследование роли эозинофилов в воспалительных процессах становится важным для углублённого понимания патогенеза.
Для диагностики эозинофильного эзофагита рекомендовано использовать биоптаты слизистой оболочки пищевода, желудка и двенадцатиперстной кишки, в которых под микроскопом подсчитывают количество эозинофилов в поле зрения [11]. В случае эозинофильного колита рекомендуется исследование биоптатов из различных отделов толстой кишки с последующим сопоставлением результатов с референтными значениями для данных участков [12]. Таким образом, для подтверждения диагноза необходима высокоточная оценка содержания эозинофилов [13]. Широко используемая стандартная окраска гематоксилином и эозином недостаточно эффективна для определения степени эозинофильной инфильтрации, поскольку низкий цветовой контраст затрудняет идентификацию клеток.
В связи с этим целью настоящего исследования являлась разработка метода окрашивания образцов ткани слизистой оболочки пищеварительного тракта, который, с одной стороны, позволяет селективно выявлять эозинофильные гранулоциты, а с другой — ориентироваться в микроанатомических структурах препарата.
МАТЕРИАЛЫ И МЕТОДЫ
Дизайн исследования
Проведено экспериментальное исследование для усовершенствования метода выявления эозинофильных гранулоцитов в желудочно-кишечном тракте с отработкой протокола окрашивания эозином и метиленовым зелёным.
В качестве объекта исследования выбраны срезы желудка, тонкой и толстой кишки самцов крыс линии Вистар (n=16). Для каждого фрагмента органа крысы изготавливали семь срезов: три среза окрашивали гематоксилином и эозином по стандартному протоколу; четыре среза — по разработанному авторами методу окраски эозином и метиленовым зелёным.
Описание исследования
Желудок и фрагменты кишечника крыс после извлечения фиксировали в растворе цинк-этанол формальдегида (Вектон, Россия) [14], обезвоживали в спиртах возрастающей концентрации и ксилоле, после чего заливали в парафин. Срезы толщиной 5 мкм изготавливали на ротационном микротоме Rotary 3003 PFM (Германия) и монтировали на предметные стёкла с адгезивным покрытием PCI (Citotest, Китай).
Для окрашивания использовали 0,003% водный раствор эозина (Биовитрум, Россия). Перед работой готовили исходные растворы красителей: 0,1% водный раствор эозина и 0,1% водный раствор метиленового зелёного. Для получения рабочего раствора эозина (0,003%) брали 30 мкл исходного 0,1% раствора и добавляли в 100 мл дистиллированной воды. Водный раствор эозина хорошо сохраняет свои свойства в течение года при комнатной температуре (24–26°C) в закрытой упаковке. Ядра докрашивали 0,1% водным раствором метиленового зелёного (Вектон, Россия). После окраски срезы обезвоживали и заключали в прозрачную перманентную среду.
В процессе отработки метода были протестированы разные температурные режимы (от 20°C до 37°C) и продолжительность нахождения препаратов в окрашивающем растворе (от 10 до 24 часов). На основании результатов этих экспериментов был выбран оптимальный протокол окрашивания:
- срезы депарафинировали и гидратировали;
- предметные стёкла со срезами погружали в стакан с 0,003% водным раствором эозина, инкубировали 20–24 часа при комнатной температуре (24–26°C);
- промывали препараты в одной смене дистиллированной воды в течение 5 минут;
- на стёкла наносили 0,1% водный раствор красителя метиленового зелёного, инкубировали 7 мин при комнатной температуре (24–26°C);
- срезы промывали в одной смене дистиллированной воды в течение 5 минут;
- на последнем этапе препараты обезвоживали в спиртах восходящей концентрации, просветляли в ксилоле и заключали в перманентную среду.
Референсом служила наиболее распространённая в гистологической диагностике эозинофилии окраска гематоксилином и эозином [15]. Использовали квасцовый гематоксилин Джилла (Биовитрум, Россия) и 1% водный раствор эозина.
Анализ изображений осуществляли на микроскопе Olimpus CX41 (Olimpus, Япония), оснащённом цифровой камерой MIchrome 5 Pro (Tucsen, Китай).
Этическая экспертиза
Проведённое исследование одобрено Локальным этическим комитетом ФГБНУ «ИЭМ» (протокол № 3/23 от 20.09.2023). Работу с животными проводили в соответствии с «Правилами проведения работ с использованием экспериментальных животных» (приложение к приказу МЗ СССР № 755 от 12.08.1977 г.), Хельсинкской декларацией 1975 года и её пересмотренным вариантом 2000 года, а также с соблюдением Европейской конвенции о защите позвоночных животных, используемых для экспериментов или в иных научных целях (Страсбург, 18.03.1986). Животных содержали в стандартных условиях вивария ФГБНУ «ИЭМ» при свободном доступе к корму и воде.
Статистический анализ
Статистическая обработка данных не проводилась.
РЕЗУЛЬТАТЫ
Объекты исследования
В исследовании использованы гистологические срезы желудка, тонкой и толстой кишки самцов крыс линии Вистар (n=16) в возрасте 6 месяцев, массой 250–280 г. Животных содержали в стандартных условиях вивария, а биоматериал был получен в соответствии с протоколами, одобренными локальным этическим комитетом.
Основные результаты исследования
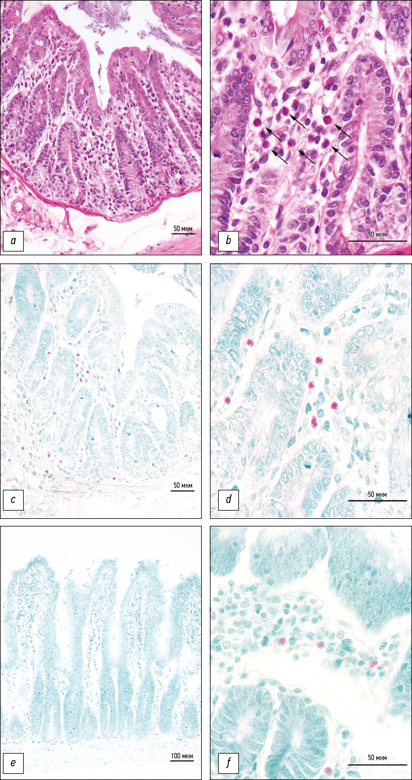
Анализ препаратов желудка, тонкой и толстой кишки крыс, окрашенных по общепринятой методике гематоксилином и эозином, показал, что данный метод позволяет хорошо различать структурные элементы различных отделов кишечника, включая толстую кишку (рис. 1, a). На препаратах цитоплазма эпителиальных клеток крипт, коллагеновые волокна и мышечные элементы собственной пластинки соединительной ткани окрашиваются в ярко-розовый цвет, а гранулы эозинофильных гранулоцитов — в малиново-красный (см. рис. 1, a). При просмотре препаратов с использованием стандартного объектива 40х/0,65 из-за низкого цветового контраста эозинофилы очень сложно визуально отличить на фоне окружающей ткани, что снижает точность их подсчёта. Использование иммерсионного объектива 100х/1,25 позволяет дифференцировать эозинофилы от других типов клеток благодаря полиморфной форме ядра и характерному малиново-красному оттенку (рис. 1, b).
Рис. 1. Микрофотографии гистологических срезов: a–d — толстая кишка крысы; e, f — тонкая кишка крысы. Окраска: a, b — гематоксилином и эозином; c–f — эозином и метиленовым зелёным. Стрелками указаны эозинофилы. Объектив: e — 20х/0,40; a, c — 40х/0,65; b, d, f — 100х/1,25.
Fig. 1. Microphotographs of histological sections: a–d, rat large intestine; e, f, rat small intestine. Staining: a, b, hematoxylin and eosin; c–f, eosin and methylene green. Eosinophils are indicated by arrows. Objective magnification: e, 20×/0.40; a, c, 40×/0.65; b, d, f, 100×/1.25.
На препаратах, окрашенных по разработанному методу, эозинофильные гранулоциты в соединительной ткани собственной пластинки выявляются как малиново-красные клетки с зернистой цитоплазмой и зелёно-голубым сегментированным ядром.
Высокий цветовой контраст и отсутствие окраски у других эозинофильных структур позволяют не только чётко идентифицировать клетки, но и определять их локализацию относительно микроанатомической структуры уже при малых увеличениях микроскопа (объектив 20х/0,40; рис. 1, e).
При применении средних увеличений (объектив 40х/0,65) количественную оценку клеток можно проводить непосредственно под микроскопом (рис. 1, c), а с помощью иммерсионного объектива (100х/1,25; рис. 1, d и f) в отдельных случаях можно наблюдать гранулярную структуру цитоплазмы клеток и процесс дегрануляции. Возможность ориентироваться в структурах ткани достигается с помощью подкраски ядер метиленовым зелёным.
ОБСУЖДЕНИЕ
Сравнение разработанного метода с обзорной окраской гематоксилином и эозином показало, что оптимальная толщина срезов для обоих методов составляет 5 мкм. Однако при стандартной окраске гематоксилином и эозином наблюдается низкий цветовой контраст между структурами, что затрудняет идентификацию эозинофильных гранулоцитов. То есть, несмотря на широкое использование, метод имеет ряд существенных ограничений при оценке эозинофильной инфильтрации тканей. Во-первых, эозинофильные гранулы сложно различить даже при среднем увеличении объектива 40х/0,65. Во-вторых, метод требует высокой квалификации специалистов, так как дифференциация клеток может быть затруднена, особенно в случаях дегрануляции эозинофилов, например, при бронхиальной астме и эозинофильном эзофагите [16]. Общепринятый метод окрашивания гематоксилином и эозином в большей степени ориентирован на качественный анализ и визуализацию клеточных элементов, чем на количественную оценку, что затрудняет диагностику заболеваний.
Разработанный метод окраски гистологических препаратов обеспечивает высокий контраст, что позволяет уже при малых увеличениях микроскопа 20х/0,40 дифференцировать эозинофильные гранулоциты и определять места их локализации в ткани. Высокий цветовой контраст позволяет не только выявлять эозинофилы, но и осуществлять их подсчёт в ручном или полуавтоматическом режиме с использованием цифровой камеры и общедоступной программы для обработки изображений Fiji [17].
Помимо рутинных гистологических красителей для выявления эозинофилов в исследованиях часто используют иммуногистохимический метод. Он основан на применении высокоспецифичных антител к компонентам гранул эозинофилов, например, широко используются антитела против главного основного белка или эозинофильной пероксидазы у человека [18]. Однако, некоторые белки-маркеры эозинофилов характеризуются низким уровнем консервативности и имеют существенные межвидовые различия. Производители коммерческих антител в качестве антигена чаще всего используют аминокислотную последовательность белков человека и антитела, полученные таким способом, плохо взаимодействуют с соответствующими антигенами животных. Для ряда исследований в лабораториях самостоятельно вырабатывают антитела к белкам гранул эозинофилов мышей, таким как эозинофильная пероксидаза и главный основной белок [19]. Кроме того, для постановки иммуногистохимических реакций рекомендуется использовать специализированные стёкла с адгезивным покрытием, способные удержать срезы в жёстких условиях демаскирования антигена. Иммуногистохимический метод невозможно применять в случаях, когда нужна экспресс-диагностика из-за длительной подготовки образцов и процедуры окрашивания. Таким образом, по сравнению с предложенным нами методом иммуногистохимический метод имеет ряд ограничений: отсутствие адаптированных для работы на животных специфичных антител к ряду белков, значительные затраты на реагенты и необходимость в более высокой квалификации исследователя.
Ещё одним альтернативным методом анализа является аутофлуоресцентная визуализация клеток, которая позволяет идентифицировать эозинофилы на основе их уникальных спектральных характеристик. Метод основан на способности эозинофилов испускать достаточно интенсивный аутофлуоресцентный сигнал благодаря значительному содержанию НАДФН (восстановленного никотинамидадениндинуклеотидфосфата), ФАД (флавинадениндинуклеотида) и триптофана в гранулах. Метод позволяет идентифицировать клетки без использования красителей или антител, однако требует специализированного оборудования, например, наличия флуоресцентного микроскопа с набором фильтров, и может быть ограничен спектральными наложениями [20].
Ограничения исследования
С учётом использованных методов и выборок ограничения исследования отсутствуют.
ЗАКЛЮЧЕНИЕ
Таким образом, представленный методический подход позволяет эффективно выявлять эозинофильные гранулоциты в слизистой оболочке органов пищеварительного тракта крыс, достаточно прост в реализации и выполняется с использованием доступных реагентов. Дальнейшие исследования будут направлены на изучение пригодности разработанного метода окрашивания для количественного определения эозинофильных гранулоцитов с использованием различных технических средств.
ДОПОЛНИТЕЛЬНАЯ ИНФОРМАЦИЯ
Вклад авторов. Все авторы одобрили рукопись (версию для публикации), а также согласились нести ответственность за все аспекты работы и гарантировали, что вопросы, связанные с точностью или добросовестностью любой части работы, будут должным образом рассмотрены и решены. А.М. Забельникова — подготовка материала, проведение окрашивания, анализ полученных препаратов, обзор литературы, сбор и анализ литературных источников, написание текста и редактирование статьи; Г.В. Безнин — подготовка материала, анализ полученных препаратов, написание текста и редактирование статьи; И.Н. Абдурасулова — анализ полученных препаратов, написание текста и редактирование статьи; Е.А. Федорова — подготовка материала, проведение окрашивания, анализ полученных препаратов, написание текста и редактирование статьи; О.В. Кирик — анализ полученных препаратов, обзор литературы, сбор и анализ литературных источников, написание текста и редактирование статьи; Д.Э. Коржевский — анализ полученных препаратов, обзор литературы, сбор и анализ литературных источников, написание текста и редактирование статьи.
Источники финансирования. Работа выполнена по государственному заданию ФГБНУ «ИЭМ» в рамках ПНИ FGWG-2023-0004.
Раскрытие интересов. Авторы заявляют об отсутствии отношений, деятельности и интересов (личных, профессиональных или финансовых), связанных с третьими лицами (коммерческими, некоммерческими, частными), интересы которых могут быть затронуты содержанием статьи, а также иных отношений, деятельности и интересов за последние три года, о которых необходимо сообщить.
ADDITIONAL INFORMATION
Authors’ contribution. All authors approved the manuscript (publication version) and agreed to take responsibility for all aspects of the work, ensuring that any issues related to accuracy or integrity will be appropriately addressed and resolved. A.M. Zabelnikova: material preparation, staining procedures, analysis of obtained specimens, literature review, collection and analysis of literature sources, manuscript writing, and editing. G.V. Beznin: material preparation, specimen analysis, manuscript writing, and editing. I.N. Abdurasulova: specimen analysis, manuscript writing, and editing. E.A. Fedorova: material preparation, staining procedures, specimen analysis, manuscript writing, and editing. O.V. Kirik: specimen analysis, literature review, collection and analysis of literature sources, manuscript writing, and editing. D.E. Korzhevskii: specimen analysis, literature review, collection and analysis of literature sources, manuscript writing, and editing. All authors confirm that their authorship complies with the international ICMJE criteria (all authors made substantial contributions to the study’s concept, execution, and manuscript preparation, and have read and approved the final version before publication).
Funding sources. This study was conducted as part of the state assignment of the Institute of Experimental Medicine, Saint Petersburg, Russia under the research program FGWG-2023-0004.
Disclosure of interests. The authors declare no relationships, activities, or interests (personal, professional, or financial) involving third parties (commercial, non-commercial, or private) that could be affected by the content of this article. Additionally, they report no other relevant relationships, activities, or interests over the past three years that require disclosure.
Авторлар туралы
Aleksandra Zabelnikova
Institute of Experimental Medicine; Saint-Petersburg State University
Хат алмасуға жауапты Автор.
Email: zabel.am@yandex.ru
ORCID iD: 0009-0002-2618-7670
SPIN-код: 8573-1606
Ресей, 12 Academic Pavlov st, 197022, Saint Petersburg; Saint Petersburg
Gleb Beznin
Institute of Experimental Medicine
Email: beznin.gv@iemspb.ru
ORCID iD: 0000-0001-5730-4265
SPIN-код: 7796-1107
Cand. Sci. (Medicine)
Ресей, 12 Academic Pavlov st, 197022, Saint PetersburgIrina Abdurasulova
Institute of Experimental Medicine
Email: i_abdurasulova@mail.ru
ORCID iD: 0000-0003-1010-6768
SPIN-код: 5019-3940
Cand. Sci. (Biology)
Ресей, 12 Academic Pavlov st, 197022, Saint PetersburgOlga Kirik
Institute of Experimental Medicine
Email: olga_kirik@mail.ru
ORCID iD: 0000-0001-6113-3948
SPIN-код: 5725-8742
Cand. Sci. (Biology)
Ресей, 12 Academic Pavlov st, 197022, Saint PetersburgElena Fedorova
Institute of Experimental Medicine
Email: el-fedorova2014@ya.ru
SPIN-код: 5414-4122
Cand. Sci. (Biology)
Ресей, 12 Academic Pavlov st, 197022, Saint PetersburgDmitrii Korzhevskii
Institute of Experimental Medicine
Email: dek2@yandex.ru
ORCID iD: 0000-0002-2456-8165
SPIN-код: 3252-3029
MD, Dr. Sci. (Medicine), Professor
Ресей, 12 Academic Pavlov st, 197022, Saint PetersburgӘдебиет тізімі
- Rothenberg ME, Hogan SP. The eosinophil. Annu Rev Immunol. 2006;24(1):147–174. doi: 10.1146/annurev.immunol.24.021605.090720
- Lacy P, Moqbel R. Eosinophil cytokines. Chem Immunol. 2000;76:134–155. doi: 10.1159/000058782
- Hamann KJ, Barker RL, Ten RM, Gleich GJ. The molecular biology of eosinophil granule proteins. Int Arch Allergy Appl Immunol. 1991;94(1-4):202–209. doi: 10.1159/000235362
- Kolobovnikova YuV, Urazova OI, Novitskiy VV, et al. Eosinophil: A modern concept of the kinetics, structure, and function. Russian journal of hematology and transfusiology. 2012;57(1):30–36. EDN: PEVZTZ
- Wechsler ME, Munitz A, Ackerman SJ, et al. Eosinophils in Health and Disease: A State-of-the-Art Review. Mayo Clin Proc. 2021;96(10):2694–2707. doi: 10.1016/j.mayocp.2021.04.025
- Kornienko EA, Moiseenkova YuA, Volkova NL, Loboda TB. Eosinophilic disorders of the gastrointestinal tract: clinical manifestations, diagnosis and treatment. Almanac of Clinical Medicine. 2018;46(5):482–496. doi: 10.18786/2072-0505-2018-46-5-482-496 EDN: YNLUAH
- Jacobs I, Ceulemans M, Wauters L, et al. Role of Eosinophils in Intestinal Inflammation and Fibrosis in Inflammatory BowelDisease: An Overlooked Villain? Front Immunol. 2021;12:754413. doi: 10.3389/fimmu.2021.754413
- Klion AD, Ackerman SJ, Bochner BS. Contributions of Eosinophils to Human Health and Disease. Annu Rev Pathol. 2020;15:179–209. doi: 10.1146/annurev-pathmechdis-012419-032756
- Filippone RT, Sahakian L, Apostolopoulos V, Nurgali K. Eosinophils in Inflammatory Bowel Disease. Inflamm Bowel Dis. 2019;25(7):1140–1151. doi: 10.1093/ibd/izz024
- Bernardelli LI, Indeickin FA, Matyusheva LG, et al. The cellular-differential composition of the intestinal epithelium in various phases of inflammatory bowel diseases. Morphology. 2024;162(2):127–139. doi: 10.17816/morph.633461
- Korochanskaya NV, Serikova SN, Basenko MA, Serikov SS. Supporting therapy in eosinophilic esophagitis: why, whom, how? Kuban Scientific Medical Bulletin. 2018;25(3):167–172. doi: 10.25207/1608-6228-2018-25-3-167-172 EDN: LFLAJI
- Impellizzeri G, Marasco G, Eusebi LH, et al. Eosinophilic colitis: A clinical review. Dig Liver Dis. 2019;51(6):769–773. doi: 10.1016/j.dld.2019.04.011
- Gigon L, Fettrelet T, Yousefi S, et al. Eosinophils from A to Z. Allergy. 2023;78(7):1810–1846. doi: 10.1111/all.15751
- Grigorev IP, Korzhevskii DE. Current Technologies for Fixation of Biological Material for Immunohistochemical Analysis (Review). Modern Technologies in Medicine. 2018;10(2):156–165. doi: 10.17691/stm2018.10.2.19 EDN: XRVMWL
- Silva J, Canão P, Espinheira MC, et al. Eosinophils in the gastrointestinal tract: how much is normal? Virchows Arch. 2018;473(3):313–320. doi: 10.1007/s00428-018-2405-2
- Protheroe C, Woodruff SA, de Petris G, et al. A novel histologic scoring system to evaluate mucosal biopsies from patients with eosinophilic esophagitis. Clin Gastroenterol Hepatol. 2009;7(7):749–755.e11. doi: 10.1016/j.cgh.2009.03.022
- Schindelin J, Arganda-Carreras I, Frise E, et al. Fiji: an open-source platform for biological-image analysis. Nat Methods. 2012;9(7):676–682. doi: 10.1038/nmeth.2019
- Zhu X, Zimmermann N. Detection of Eosinophils in Tissue Sections by Immunohistochemistry. Methods Mol Biol (NY). 2022;2506:199–209. doi: 10.1007/978-1-0716-2364-0_14
- Nazaroff CD, LeSuer WE, Masuda MY, et al. Assessment of Lung Eosinophils In Situ Using Immunohistological Staining. Methods Mol Biol (NY). 2021;2223:237–266. doi: 10.1007/978-1-0716-1001-5_17
- Buchwalow I, Atiakshin D, Samoilova V, et al. Identification of autofluorescent cells in human angioimmunoblastic T-cell lymphoma. Histochem Cell Biol. 2017;149(2):169–177. doi: 10.1007/s00418-017-1624-y
Қосымша файлдар


