Становление хромаффинных модулей в постнатальном онтогенезе
- Авторы: Кемоклидзе К.Г.1
-
Учреждения:
- Ярославский государственный медицинский университет
- Выпуск: Том 162, № 4 (2024)
- Страницы: 374-389
- Раздел: Оригинальные исследования
- URL: https://ogarev-online.ru/1026-3543/article/view/288231
- DOI: https://doi.org/10.17816/morph.636944
- ID: 288231
Цитировать
Аннотация
Обоснование. Принцип дискретности, подразумевающий организацию на основе морфофункциональных единиц (модулей), — это один из основополагающих принципов для живых систем всех уровней. Для мозгового вещества (МВ) надпочечников лишь недавно было установлено наличие адреналин-продуцирующих (А-) и норадреналин-продуцирующих (НА-) модулей, что поставило вопрос о характере их онтогенетического становления.
Цель исследования — изучить постнатальное становление хромаффинных модулей мозгового вещества надпочечников.
Методы. Проведено наблюдательное одномоментное выборочное неконтролируемое исследование МВ надпочечников крыс. Для надёжного определения А- и НА-клеток и оценки состояния образуемых ими комплексов гистологические препараты надпочечников обрабатывали по методу Оноре и по стандартной методике, рекомендованной для трансмиссионной электронной микроскопии.
Результаты. Исследованы надпочечники крыс в следующие возрастные периоды: новорождённые, 6–8 суток, 14 суток, 21 сутки, 1 месяц и 6–8 месяцев. Для каждого возрастного периода исследовали по 5–8 образцов на каждый из двух методов обработки материала (n=80). МВ надпочечников взрослых животных содержит зрелые А- и НА-модули. А-модули представляют собой округлые комплексы тесно контактирующих А-клеток. В центре модуля А-клетки формируют характерные расширенные межклеточные пространства. НА-модули образованы НА-клетками, связанными между собой менее тесно, образующими характерные ампуловидные межклеточные расширения и сливающимися в мощные полигональные массивы. При этом полигональные НА-модули демонстрируют эффект «вклинивания» между округлыми А-модулями. Каждый хромаффиноцит находится только в составе модуля своего типа. МВ надпочечников новорождённых крыс содержит округлые комплексы хромаффинобластов, называемые «мозговыми шарами». Большинство таких комплексов состоит из электронопрозрачных тесно уложенных клеток, но встречаются и редкие менее округлые комплексы из более электроноплотных и менее тесно связанных клеток. Указанные особенности позволяют считать «мозговые шары» зачатками А- и НА-модулей. На 6–8 сутки после рождения хромаффинобласты дифференцируются в А- и НА-клетки и находятся строго в составе комплексов своего типа, уже проявляющих характерные черты А-модулей (округлая форма, тесно уложенные клетки, центральные межклеточные расширения) или НА-модулей (полигональная форма, менее тесные межклеточные контакты с ампуловидными расширениями). В последующие возрастные периоды эти морфологические особенности становятся более выраженными. Размеры хромаффинных модулей обоих типов линейно увеличиваются на протяжении всего постнатального периода. А-модули с момента закладки и далее сохраняют форму цельнокрайних слабо вытянутых эллипсоидов, в то время как форма НА-модулей и образуемых ими массивов становится всё более вытянутой и угловатой. Эти изменения происходят особенно динамично в возрастные периоды 14–21 сутки, 1 месяц и 6–8 месяцев, что соответствует особенностям роста хромаффинной ткани МВ надпочечников в целом.
Заключение. Появление А- и НА-модулей одновременно с дифференцировкой хромаффинобластов в А- и НА-клетки, а также особенности их формирования, хорошо согласуются с концепцией модульной организации МВ надпочечников как его морфофункциональной основы.
Полный текст
ОБОСНОВАНИЕ
Представление о морфофункциональных единицах (модулях) является одним из ключевых положений в системе взглядов на базовые принципы организации живых систем. На тканевом уровне и уровне межтканевых взаимодействий такие модули представляют собой наименьшие повторяющиеся комплексы, способные выполнять ту же (лишь в меньшем масштабе) специфическую функцию, что и весь орган, и состоящие из основного компонента, непосредственно выполняющего эту функцию, и вспомогательных компонентов (опорных, трофических, регуляторных и др.), способствующих её выполнению [1, 2]. При этом, если для одних органных структур представления о модулях давно сложились (нефроны почек, дольки печени, колонки коры большого мозга и др.), то для других они только формируются или вовсе отсутствуют. Ко вторым относится мозговое вещество (МВ) надпочечников, для которого наличие модулей на основе чётких базовых критериев было продемонстрировано лишь недавно. В зрелом МВ надпочечников крысы для каждого из основных типов хромаффиноцитов — адреналин-продуцирующих (А-) и норадреналин-продуцирующих (НА-), выявлены собственные модули, состоящие из функциональных комплексов хромаффинных клеток соответствующего типа и вспомогательных компонентов. А-модули представляют собой округлые кластеры плотно уложенных А-клеток, образующих в центре модуля характерные межклеточные расширения, а НА-модули состоят из полигональных балок менее тесно уложенных НА-клеток, образующих межклеточные контакты с характерными ампуловидными расширениями. Вспомогательные компоненты включают соединительнотканный каркас, микрососуды, нервные и другие элементы [3]. Одним из вопросов, вытекающих из имеющихся фактов, стал вопрос онтогенетического становления хромаффинных модулей. На его решение и направлено настоящее исследование.
Цель исследования — изучить становление хромаффинных модулей мозгового вещества надпочечников в постнатальном онтогенезе.
МАТЕРИАЛЫ И МЕТОДЫ
Дизайн исследования
Проведено наблюдательное одномоментное выборочное неконтролируемое исследование с участием лабораторных животных.
Критерии соответствия
Критерии включения: интактные самцы крыс породы Вистар с известной датой рождения. По мере достижения группой животных нужного возраста из неё случайным образом отбирали крыс для включения в исследование. Крыс содержали и выращивали в условиях вивария, соответствующих ГОСТ 33215-2014 от 07.01.2016 г. и ГОСТ 33216-2014 для данного вида животных. Тип корма — гранулированный комбикорм (ООО «АПК Стойленская нива»), вода — в постоянном доступе.
Критерий невключения: наличие видимых признаков патологических состояний (выявлены не были).
Условия проведения
Исследование проведено на базе кафедры гистологии, цитологии и эмбриологии Ярославского государственного медицинского университета Минздрава России. А также на базе центра коллективного пользования электронной микроскопии Института биологии внутренних вод им. И.Д. Папанина Российской академии наук.
Продолжительность исследования
Исследование проведено в 2 этапа: с 2016 по 2018 год — выращивание животных с известной датой рождения, отбор материала, подготовка образцов для световой микроскопии, приготовление гистологических препаратов, частичная обработка данных и получение предварительных результатов исследования; с 2021 по 2024 год — подготовка образцов для трансмиссионной электронной микроскопии (ТЭМ), работа на электронном микроскопе, окончательная обработка результатов исследования, написание и оформление рукописи.
Описание вмешательства
Для проведения эвтаназии животным вводили внутримышечно смесь тилетамина и золазепама (препарат Золетила 100®; Virbac, Франция) в дозе 10 мг/100 г. У животных изымали надпочечники и проводили их обработку по методикам приготовления препаратов для световой микроскопии и ТЭМ, что позволило не только получить общую морфологическую картину, но и надёжно различить А- и НА-клетки.
Для приготовления препаратов надпочечников для световой микроскопии использовали высокоспецифичный гистохимический метод Оноре [4], который включал фиксацию в 5% глутаровом альдегиде (EMS, США) на фосфатном буфере (pH 7,4; БиолоТ, Россия), стандартную заливку в парафин (Deltalab, Испания) и окраску срезов бихроматом калия (Лабхим, Россия) и толуидиновым синим. В результате А-клетки окрашивались в голубой, а НA-клетки — в зелёный цвет. Срезы готовили на ротационном микротоме PFM SLIDE 2003 (PFM medical Ag, Германия).
Для ТЭМ надпочечники фиксировали в 2,5% глутаровом альдегиде (EMS, США), постфиксировали и контрастировали 1% тетраоксидом осмия (Аурат, Россия) на фосфатном буфере (pH 7,4; БиолоТ, Россия), далее выполняли стандартную заливку в эпон (Sigma-Aldrich, США). На ультратоме Leica EM U6C (Leica Microsystems, Германия) изготавливали ультратонкие срезы, которые доконтрастировали уранилацетатом (Sigma-Aldrich, США). После обработки А- и НА-клетки различали по характерному виду хромаффинных гранул: гранулы А-клеток имели однородную умеренную оптическую и электронную плотность, а гранулы НA-клеток — асимметрично расположенные «ядра» высокой оптической и электронной плотности [5].
Основной исход исследования
Конечной точкой исследования стало обнаружение в МВ надпочечников крыс разного возраста морфологически схожих комплексов хромаффинных клеток.
Анализ в группах
Для каждой из двух методик приготовления гистологических препаратов задействовано по 6 групп животных. Согласно общепринятой классификации [6] крысы были распределены по следующим возрастным периодам: новорождённые (0–1 сутки), подсосные (6–8 суток, 14 суток и 21 сутки), инфантильные (1 месяц) и взрослые животные (6–8 месяцев).
Методы регистрации исходов
На полученных с помощью микроскопа OPTIKA DM-20 (Италия) цифровых фотографиях случайно выбранных гистологических срезов (от 5 до 15 срезов на одно животное в зависимости от размера образца) в программе ImageJ (версия 1.54f, National Institutes of Health) проводили морфометрический анализ — по 40 измерений для каждого из случаев в выборке. Для всех возрастов отдельно анализировали А- и НА-клетки, за исключением новорождённых, у которых дифференцировка хромаффиноцитов на А- и НА-клетки ещё не завершена.
Для изученных морфологических структур определяли площадь сечения и параметры формы:
- округлость (Circularity), рассчитывается по формуле:
Circ = 4πS ⁄ P2 (1)
где S — площадь объекта, P — периметр объекта, а максимальное значение 1,0 имеют идеально круглые объекты;
- закруглённость (Roundness), рассчитывается по формуле:
Round = 4S ⁄ πL2 (2)
где S — площадь объекта, L — длина наибольшей оси эллипса, в который вписан объект, а максимальное значение 1,0 имеют объекты с идеально ровным, без вогнутостей и/или выпуклостей контуром;
- вытянутость (Aspect ratio), рассчитывается по формуле:
AR = L ⁄ B (3)
где L — длина наибольшей оси эллипса, в который вписан объект; B — длина наименьшей оси эллипса, в который вписан объект, а минимальное значение 1,0 присваивается объекту, имеющему равные величины наибольшей и наименьшей осей.
Ультратонкие срезы изучали с помощью трансмиссионного электронного микроскопа JEM-1011 (JEOL, Япония).
Этическая экспертиза
Обращение с животными осуществляли согласно действующим национальным и международным нормативам (ГОСТ 33215-2014 от 07.01.2016 г., ГОСТ 33216-2014, Директива 2010/63/ЕС ЕП и СЕС от 22.09.2010, Рекомендация Коллегии ЕЭК № 33 от 14.11.2023).
Протокол исследования одобрен Этическим Комитетом ФГБОУ ВО «Ярославский государственный медицинский университет» МЗ РФ (протокол № 70 от 16.09.2024).
Статистический анализ
Принципы расчёта размера выборки: размер выборки предварительно не рассчитывался.
Методы статистического анализа данных: статистическую обработку проводили с использованием пакета анализа Microsoft Excel 2019 (Microsoft, США). Нормальность распределения значений всех оцениваемых показателей проверяли с помощью теста Шапиро–Уилка, а равенство дисперсий подтверждали с помощью F-теста. После проверки равенства дисперсий для выявления значимости различий между выборками использовали двухвыборочный t-критерий Стьюдента. Каждый морфометрический показатель попарно сравнивали: со значением для хромаффиноцитов этого же типа в соседней, более старшей, возрастной группе; со значениями для хромаффиноцитов альтернативного типа этой же возрастной группы. Дополнительно применяли post-hoc тест Тьюки для проверки интегральной динамики выборок каждого показателя по всем возрастным группам. Морфометрические показатели приведены в виде M ± SD, где M — выборочное среднее, SD — выборочное стандартное отклонение. Для всех тестов критическим уровнем значимости различий считали p=0,05.
РЕЗУЛЬТАТЫ
Объекты исследования
Изучены образцы надпочечников 80 интактных крыс породы Вистар без видимых патологий и с известной датой рождения. Из них 40 образцов были обработаны по методу Оноре для проведения анализа с помощью световой микроскопии: 8 образцов — крысы в возрасте 0–1 сутки, 8 образцов — 6–8 суток, 6 образцов — 14 суток, 5 образцов — 21 сутки, 5 образцов — 1 месяц и 8 образцов — 6–8 месяцев. Другие 40 образцов были подготовлены для исследования на ТЭМ: 8 образцов — крысы в возрасте 0–1 сутки, 8 образцов — 6–8 суток, 5 образцов — 14 суток, 6 образцов — 21 сутки, 5 образцов — 1 месяц и 8 образцов — 6–8 месяцев.
Основные результаты исследования
Строение хромаффинных модулей в разные возрастные периоды
Мозговое вещество надпочечников взрослых животных содержит чётко выраженные А- и НА-модули (рис. 1, f; рис. 2). А-модули представляют собой округлые комплексы, образованные плотно уложенными А-клетками, и имеют центральные межклеточные расширения. НА-модули образованы полигональными комплексами НА-клеток (балками), которые контактируют друг с другом менее плотно и образуют характерные ампуловидные расширения, микроскладки и выросты. Многие НА-модули сливаются в мощные полигональные массивы. На периферии хромаффинных модулей, в местах их контактов с сосудами, формируются развитые вокругсосудистые пространства. Каждая А- или НА-клетка находится строго в составе своего модуля, одиночные клетки крайне редки, а модули смешанного типа отсутствуют. Организация зрелого МВ надпочечников по модульному принципу на структурном и ультраструктурном уровне более подробно рассмотрена нами в недавней публикации [3]. В настоящем исследовании мы дополнили опубликованные данные параметрами формы А- и НА-модулей и использовали их как конечные точки при оценке динамики становления модульной организации МВ.
Рис. 1. Мозговое вещество надпочечников крыс в разные возрастные периоды: a — новорождённый, b — 8 дней, c — 14 дней, d — 21 день, e — 1 месяц, f — 6–8 месяцев. 1 — адреналин-продуцирующие модули; 2 — норадреналин-продуцирующие модули и массивы, образующиеся при их слиянии; 3 — округлые кластеры малодифференцированных хромаффинных клеток. Окраска по Оноре; a–d — объектив ×20; e, f — объектив х40. © Эко-Вектор, 2024.
Fig. 1. Adrenal medulla of rats at different postnatal ages: a, newborn; b, 8 days; c, 14 days; d, 21 days; e, 1 month; f, 6–8 months. 1, A-modules; 2, NA-modules and arrays formed by their fusion; 3, rounded clusters of poorly differentiated chromaffin cells. Honore staining; a, b, c, d: objective ×20; e, f: objective ×40. © Eco-Vector, 2024.
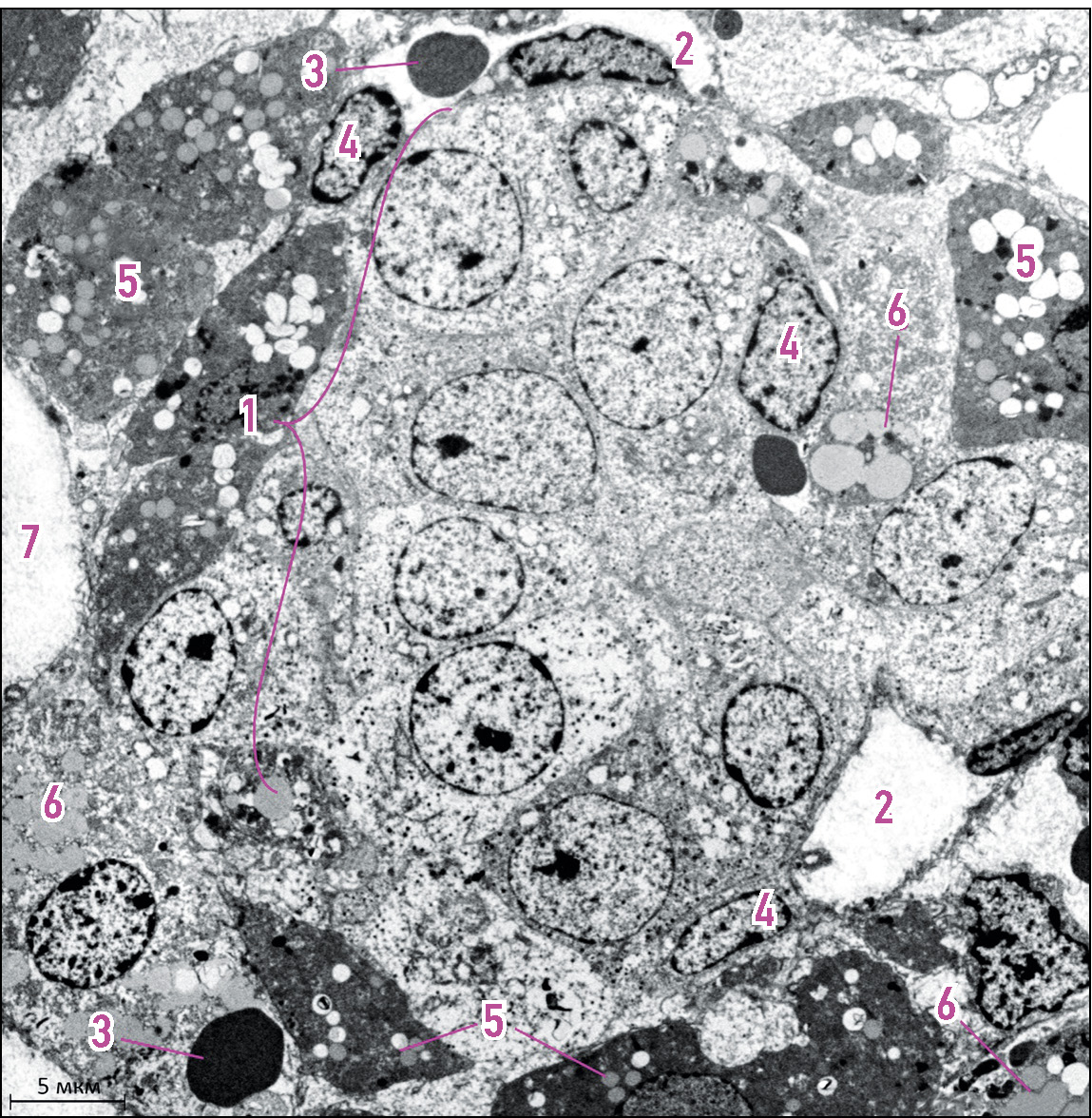
Рис. 2. Мозговое вещество надпочечника взрослой крысы: 1 — адреналин-продуцирующие модули, 2 — норадреналин-продуцирующие модули, 3 — венозные синусы, 4 — фибробласты, 5 — нервные волокна, 6 — эндотелиальная клетка, 7 — периваскулярные пространства. Трансмиссионная электронная микроскопия. © Эко-Вектор, 2024.
Fig. 2. Adrenal medulla of an adult rat: 1, A-modules; 2, NA-module; 3, venous sinuses; 4, fibroblasts; 5, nerve fibers; 6, endothelial cell; 7, perivascular spaces. Transmission electron microscopy. © Eco-Vector, 2024.
В МВ надпочечников новорождённых крыс присутствуют выраженные округлые кластеры хромаффиноцитов, еще не имеющих чётких признаков принадлежности к адреналин- или норадреналин-продуцирующему типу (хромаффинобласты). Кластеры разобщены, каждый из них окружён сетью кровеносных сосудов и корковыми клетками, многие из которых находятся на той или иной стадии деградации (рис. 1, a; рис. 3). Между хромаффиноцитами, особенно внутри крупных кластеров, присутствуют скопления форменных элементов крови (рис. 4), находящихся вне кровеносных сосудов и контактирующих непосредственно с плазмолеммой хромаффиноцитов (кровоизлияния). Большинство кластеров имеет форму эллипсоидов и состоит из электронопрозрачных тесно контактирующих друг с другом клеток. Среди кластеров встречаются редкие менее округлые скопления более электроноплотных клеток, имеющих менее тесные контакты (рис. 5). Характерные для зрелого МВ расширенные межклеточные пространства в центральной части округлых кластеров хромаффиноцитов и вокругсосудистые пространства на их периферии у новорождённых развиты слабо.
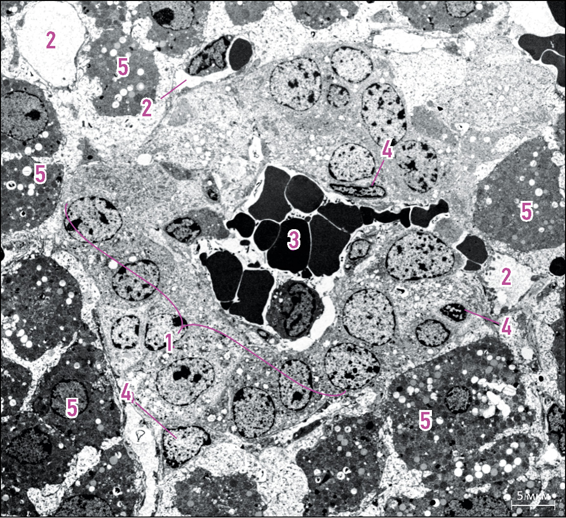
Рис. 3. Мозговое вещество надпочечника новорождённой крысы: 1 — кластеры электронопрозрачных (светлых) хромаффинобластов, 2 — капилляр, 3 — эритроциты, 4 — фибробласты, 5 — клетки коры, 6 — деградирующая клетка коры, 7 — венозный синус. Трансмиссионная электронная микроскопия. © Эко-Вектор, 2024.
Fig. 3. Adrenal medulla of a newborn rat: 1, clusters of electron-lucent (light) chromaffinoblasts; 2, capillary; 3, erythrocytes; 4, fibroblasts; 5, cortical cells; 6, degenerating cortical cell; 7, venous sinus. Transmission electron microscopy. © Eco-Vector, 2024.
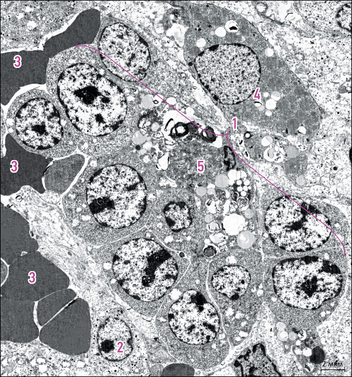
Рис. 4. Мозговое вещество надпочечника новорождённой крысы: 1 — кластер электронопрозрачных (светлых) хромаффинобластов, 2 — капилляр, 3 — кровоизлияние внутри «мозгового шара», 4 — фибробласты, 5 — клетки коры. Трансмиссионная электронная микроскопия. © Эко-Вектор, 2024.
Fig. 4. Adrenal medulla of a newborn rat: 1, cluster of electron-lucent (light) chromaffinoblasts; 2, capillary; 3, hemorrhage within a medullary sphere; 4, fibroblasts; 5, cortical cells. Transmission electron microscopy. © Eco-Vector, 2024.
Рис. 5. Кластер электроноплотных хромаффинобластов в мозговом веществе надпочечника новорождённой крысы: 1 — кластер электроноплотных (тёмных) хромаффинобластов, 2 — электронопрозрачные (светлые) хромаффинобласты, 3 — эритроцит, 4 — корковая клетка, 5 — деградирующая корковая клетка. Трансмиссионная электронная микроскопия. © Эко-Вектор, 2024.
Fig. 5. Cluster of electron-dense chromaffinoblasts in the adrenal medulla of a newborn rat: 1, cluster of electron-dense (dark) chromaffinoblasts; 2, electron-lucent (light) chromaffinoblasts; 3, erythrocyte; 4, cortical cell; 5, degenerating cortical cell. Transmission electron microscopy. © Eco-Vector, 2024.
К концу первой постнатальной недели А- и НА-клетки отчётливо различаются как под световым (рис. 1, b), так и под электронным (рис. 6) микроскопом. А-клетки образуют округлые комплексы с более тесными межклеточными контактами, а комплексы НА-клеток имеют более угловатые очертания с менее тесными межклеточными контактами (рис. 5, а). То есть каждый тип хромаффиноцитов формирует А- и НА-модули, обладающие выраженными отличительными признаками. Хромаффинные модули в этом возрасте расположены более тесно, чем округлые кластеры хромафинобластов новорождённых, контактируют друг с другом и разделены либо прослойками соединительной ткани, либо кровеносными сосудами. Деградирующие корковые клетки, как и кровоизлияния, встречаются преимущественно по периферии МВ надпочечников. Кроме того, значительно сильнее выражены центральные межклеточные расширения и вокругсосудистые пространства. В формирующихся балках между НА-клетками уже присутствуют характерные для НА-модулей ампуловидные расширения, микроскладки и выросты (рис. 6, b, c). В последствии наблюдается развитие заложенных тенденций. Деградирующие корковые клетки исчезают. У животных в возрасте 14 суток балки НА-клеток приобретают всё более угловатую форму и лежат разрозненно среди более крупных и многочисленных А-модулей, которые сохраняют округлую форму. У крыс в возрасте 21 сутки многие балки НА-клеток сливаются в крупные массивы. Границы между А-модулями становятся более отчётливыми за счёт развития соединительнотканных прослоек. За исключением менее угловатых очертаний массивов НА-клеток, общая структура МВ надпочечников уже в этот срок близка к зрелой и сохраняет те же черты у крыс в возрасте 1 месяц.
Рис. 6. Мозговое вещество надпочечников крыс в возрасте 6–8 суток: a — адреналин- и норадреналин-продуцирующие модули; b, c — межклеточные соединения норадреналин-продуцирующих клеток. 1 — адреналин-продуцирующий модуль, 2 — норадреналин-продуцирующий модуль, 3 — венозные синусы, 4 — периваскулярные пространства, 5 — фибробласты, 6 — эндотелиальная клетка, 7 — эритроциты, 8 — капилляры, 9 — деградирующие корковые клетки, 10 — граница между двумя кластерами адреналин-продуцирующих клеток, 11 — ампуловидные межклеточные расширения, 12 — простые межклеточные соединения, 13 — ядра, 14 — микроскладки, 15 — десмосомы. Трансмиссионная электронная микроскопия. © Эко-Вектор, 2024.
Fig. 6. Adrenal medulla of rats aged 6–8 days: a, A- and NA-modules; b, c, intercellular junctions between NA-cells. 1, A-module; 2, NA-module; 3, venous sinuses; 4, perivascular spaces; 5, fibroblasts; 6, endothelial cell; 7, erythrocytes; 8, capillaries; 9, degenerating cortical cells; 10, boundary between two A-cell clusters; 11, ampullary intercellular enlargements; 12, simple intercellular junctions; 13, nuclei; 14, microfolds; 15, desmosomes. Transmission electron microscopy. © Eco-Vector, 2024.
Возрастная динамика параметров формы хромаффинных модулей
В ходе постнатального онтогенеза размеры А-модулей (рис. 7, a; табл. 1) линейно увеличиваются: p=0,052 — возраст 14 суток vs 7 суток; p=0,029 — 1 месяц vs 21 сутки; p=0,001 — взрослые крысы vs животные в возрасте 1 месяц по t-критерию Стьюдента. Между животными в возрасте 14 и 21 сутки статистически значимых отличий нет, однако тенденция к увеличению размера А-модулей сохраняется и в этот период. Модульные комплексы НА-клеток также увеличиваются в размерах в течение постнатального онтогенеза: p=0,034 — возраст 14 суток vs 7 суток; p=0,0004 — 21 сутки vs 14 суток; p=0,006 — между 1 месяц vs 21 сутки; p=0,001 — взрослые крысы vs животные в возрасте 1 месяц.
Рис. 7. Возрастная динамика параметров формы модульных комплексов хромаффинных клеток надпочечников крыс: a — площадь, b — округлость, c — закруглённость, d — вытянутость. По оси Х — возраст крыс (сутки); по оси Y — значения параметров формы: a — мкм2; b, c — доля от максимального значения равного 1,0; d — соотношение длин наибольшей и наименьшей осей объекта. © Эко-Вектор, 2024.
Fig. 7. Age-related changes of shape parameters of chromaffin cell modular complexes in the rat adrenal medulla: a, area; b, circularity; c, roundness; d, elongation. X-axis, rat age (days); Y-axis, values of shape parameters: a, µm2; b, c, fraction of the maximum value (equal to 1.0); d, ratio of the major to the minor axis length. © Eco-Vector, 2024.
Таблица 1. Параметры формы хромаффинных модульных комплексов мозгового вещества надпочечников крыс в разные возрастные периоды
Table 1. Morphometric parameters of chromaffin modular complexes in the adrenal medulla of rats at different postnatal ages
Возраст | Площадь, мкм2 | Округлость | Закруглённость | Вытянутость |
Адреналиновые модульные комплексы | ||||
6–8 суток | 648,2±26,0 • | 0,871±0,007 • | 0,974±0,003 • | 1,46±0,08 • |
14 суток | 869,9±96,4 *• | 0,876±0,032 | 0,970±0,008 | 1,42±0,10 |
21 сутки | 974,8±152,7 | 0,851±0,031 • | 0,962±0,012 • | 1,43±0,041 • |
1 месяц | 1204,5±96,9 * | 0,874±0,021 • | 0,969±0,006 • | 1,35±0,02 *• |
6–8 месяцев | 2316,9±356,6 * | 0,869±0,020 • | 0,971±0,004 • | 1,35±0,04 • |
Возраст | Норадреналиновые модульные комплексы | |||
6–8 суток | 343,5±26,5 *• | 0,809±0,024 *• | 0,954±0,012 *• | 1,67±0,04 *• |
14 суток | 524,6±68,0 *• | 0,836±0,047 | 0,960±0,011 | 1,62±0,19 |
21 сутки | 979,0±109,2 * | 0,740±0,037 *• | 0,914±0,018 *• | 1,68±0,11 • |
1 месяц | 1241,8±92,9 * | 0,765±0,053 • | 0,925±0,027 • | 1,65±0,11 • |
6–8 месяцев | 2707,7±402,9 * | 0,592±0,063 *• | 0,822±0,041 *• | 1,84±0,14 *• |
* p <0,05 по t-критерию, сравнение с модульными комплексами того же типа в предыдущий возрастной период; • p <0,05 по t-критерию, сравнение с модульными комплексами другого типа в тот же возрастной период.
* p < 0.05 by t-test, comparison with modular complexes of the same type in the previous age group; • p < 0.05 by t-test, comparison with modular complexes of the other type in the same age group.
Оценка интегральной динамики для А-модулей с использованием теста Тьюки показала высокий уровень различия средних значений: между животными в возрасте 7 суток и 1 месяц (p=0,004) и между взрослыми крысами и всеми более ранними возрастными периодами (p от 1,5×10−6 до 1,5×10−9). Для массивов НА-клеток: между животными в возрасте 7 суток и 21 сутки (p=0,001); 7 суток и 1 месяц (p=0,0001); 14 суток и 1 месяц (p=0,002), а также между взрослыми крысами и более ранними возрастными периодами (p от 6,8×10−8 до 1,5×10−11). Между животными в возрасте 14 и 21 сутки тест показал пограничный уровень значимости (p=0,055), что подтверждает общее плавное увеличение размеров модульных комплексов НА-клеток с возрастом.
Размеры модульных комплексов НА-клеток в первые 2 недели жизни меньше, чем размеры А-модулей: животные в возрасте 7 суток — в 2 раза (p=1×10−7); 14 суток — в 1,7 раза (p=0,009); в последующие сроки размеры А- и НА-модулей статистически значимо не различаются.
Показатель округлости (рис. 7, b; см. табл. 1) А-модулей остаётся высоким и стабильным в течение всего постнатального онтогенеза (p >0,05 для всех пар возрастов по t-критерию и по тесту Тьюки). Для комплексов НА-клеток t-критерий показал значимое увеличение округлости модулей в периоды 14–21 сутки (p=0,045) и 1 месяц – взрослые животные (p=0,003). Оценка интегральной динамики с использованием теста Тьюки выявила значимые различия между взрослыми животными и всеми остальными возрастными периодами, а также пограничную значимость отличий в сторону роста между крысами в возрасте 14 и 21 сутки (p=0,072). Такие результаты свидетельствуют о постепенном уменьшении округлости массивов НА-клеток с возрастом.
По t-критерию показатель округлости комплексов НА-клеток значительно ниже, чем у А-модулей во все возрастные периоды: p=0,003 на 7-е сутки; p=0,001 на 21-е сутки; p=0,020 у животных в возрасте 1 месяц и p=0,003 у взрослых крыс. Статистически значимых различий нет только у крыс в возрасте 14 суток, однако и в этом случае индивидуальные значения показателя округлости НА-модулей колеблются в более низком диапазоне, чем у А-модулей.
Динамика степени закруглённости модулей (см. рис. 7, c; см. табл. 1) сходна с динамикой показателя округлости. У А-модулей в постнатальном онтогенезе закруглённость стабильно высокая (p >0,05 для всех пар возрастов по t-критерию и по тесту Тьюки). Степень закруглённости модульных комплексов НА-клеток ниже у крыс в возрасте 21 сутки по сравнению с 14-ми сутками, а также у взрослых крыс по сравнению с животными в возрасте 1 месяц (t-критерий p=0,005 и 0,003 соответственно). Тест Тьюки показал высокий уровень значимости различий между взрослыми животными и всеми более ранними возрастными периодами (p от 2,1×10−6 до 0,0001), что указывает на возрастную динамику в сторону уменьшения величины показателя закруглённости, хотя и менее выраженную, чем для параметра округлости.
По t-критерию показатель закруглённости модульных комплексов НА-клеток также значительно ниже, чем у А-модулей во все возрастные периоды: p=0,021 на 7-е сутки; p=0,002 на 21-е сутки; p=0,043 у животных в возрасте 1 месяц и p=0,001 у взрослых крыс. Как и в случае показателя округлости, только у крыс в возрасте 14 суток статистически значимых различий не выявлено.
Значения показателя вытянутости А-модулей (см. рис. 7, d; см. табл. 1) до 21-х суток не меняются (p >0,05 по t-критерию и по тесту Тьюки), несколько снижаются у животных в возрасте 1 месяц и остаются на том же уровне у взрослых крыс (p=0,010 для пары 21 сутки vs 1 месяц и p=0,938 для пары 1 месяц vs взрослые животные по t-критерию). По тесту Тьюки получены пограничные значения для пар 7 сутки vs 21 сутки и 7 сутки vs взрослые животные (p=0,081 и 0,065 соответственно). У модульных комплексов НА-клеток показатель вытянутости в раннем возрасте также остаётся неизменным (p >0,05 по тесту Тьюки). Однако, начиная с 1 месяца проявляется слабая тенденция к росту вытянутости (p=0,028 у взрослых крыс по сравнению с возрастом 1 месяц по t-критерию).
Вытянутость модульных комплексов НА-клеток с момента закладки и до 1-го месяца существенно выше, чем у А-модулей, кроме животных в возрасте 14 суток (p=0,002 на 7-е сутки; p=0,004 на 21-е сутки; p=0,010 у крыс в возрасте 1 месяц и p=0,001 у взрослых животных по t-критерию).
Дополнительные результаты исследования
Отсутствуют.
ОБСУЖДЕНИЕ
Резюме основного результата исследования
Исследование показало очень раннее появление в постнатальном онтогенезе МВ надпочечников морфофункциональных комплексов, соответствующих зачаткам А- и НА-модулей. Характерные черты таких комплексов проявляются параллельно дифференцировке хромаффинных предшественников на А- и НА-клетки в первую постнатальную неделю, а дальше лишь усиливаются. А-модули в ходе всего постнатального онтогенеза стабильно сохраняют форму цельнокрайних слегка вытянутых эллипсоидов. НА-модули, напротив, более пластичны — вклиниваясь между консервативно округлыми А-модулями, они становятся всё более вытянутыми и угловатыми, сливаясь в большие полигональные массивы.
Обсуждение основного результата исследования
Первое, что обращает на себя внимание в динамике становления хромаффинных модулей МВ надпочечников — это раннее формирование их закладок в виде округлых кластеров дифференцирующихся клеток. Эти структуры имеют долгую историю: впервые их описал J. Wiesel ещё в 1901 году в перинатальных надпочечниках свиней, обозначив термином «мозговые шары» (Markballen) [7]. Позже было установлено, что такие образования в разной мере проявляются в развивающихся надпочечниках самых разных видов млекопитающих [8]. Н.А. Смиттен представила наибольшее количество морфологических деталей, характеризующих «мозговые шары» у крыс [9]. Она показала, что в эмбриогенезе крыс закладываются округлые скопления «спонгиобластических элементов» — так называемые «тёмные шары», которые к моменту рождения большей частью превращаются в округлые скопления хромаффинобластов — «светлые шары». К 10-му постнатальному дню эти структуры целиком состоят из типичных хромаффиноцитов [9]. На основе изучения «мозговых шаров» надпочечников плодов свиней были сделаны выводы о том, что данные образования являются центрами размножения и дифференцировки хромаффинных клеток [10]. Это хорошо согласуется с данными Смиттен, однако не раскрывает причин тяготения развивающихся хромаффиноцитов к образованию комплексов именно такой формы. В надпочечниках в перинатальный период присутствуют клетки хромаффиноцитарной линии разной степени дифференцировки [9, 11], при этом к размножению способны как малодифференцированные, так и высокодифференцированные формы хромаффиноцитов [11, 12]. Следовательно, «мозговые шары» не являются аналогами пролиферативных островков, в которых округлая форма является следствием равномерного окружения со всех сторон малодифференцированных, пролиферирующих клеток их более зрелыми не размножающимися потомками. Поэтому нет достаточных оснований считать, что именно особенности пролиферации являются главным фактором, формирующим характерные для перинатального МВ надпочечников округлые структуры, а других вариантов предложено не было. Концепция модульного принципа организации МВ надпочечников, учитывающая особенности строения хромаффинных модулей в виде округлых кластеров А-клеток и полигональных балок НА-клеток [3], даёт ключ к решению данной проблемы. С точки зрения этой концепции перинатальные «мозговые шары» — это зачатки хромаффинных модулей. Кроме того, находит объяснение и смена «тёмных шаров» на «светлые» [9]. С рождения и до конца первой постнатальной недели, когда практически все хромаффиноциты становятся либо А-, либо НА-продуцирующими, в МВ надпочечников присутствуют клетки промежуточного фенотипа, содержащие одновременно адреналиновые и норадреналиновые гранулы [11]. С момента дифференцировки и далее кратно преобладающие среди хромаффиноцитов А-клетки — это прямые потомки промежуточной формы клеток, содержащих одновременно адреналиновые и норадреналиновые гранулы. В процессе созревание этих клеток происходит потеря более интенсивно окрашивающихся норадреналиновых гранул и сохранение менее интенсивно окрашивающихся адреналиновых гранул. По международной номенклатуре альтернативное название норадреналоцитов — «тёмные хромаффинные клетки», а адреналоцитов — «светлые хромаффинные клетки». В связи с этим происходит переход от зачатков хромаффинных модулей, содержащих и адреналиновые, и норадреналиновые гранулы, а значит от более «тёмных шаров» к состоящим только из адреналоцитов А-модулям — к более «светлым шарам». Смиттен указывает, что по мере дифференцировки клеток после рождения «светлые шары» вытягиваются и образуют клеточные тяжи. Она не упоминает разделение на фенотипы А- и НА-клеток. Однако учитывая сохранение преимущественно округлой формы кластеров А-клеток в течение всего постнатального онтогенеза, речь, видимо, идёт о появлении анастомозов между всё более тесно прилегающими друг к другу А-модулями, а также о начале формирования вытянутых полигональных НА-модулей.
Есть некоторое противоречие между данными разных авторов, описывающих хромаффинные предшественники до их окончательной дифференцировки в зрелые формы А- и НА-клеток. В одном случае на основе данных ТЭМ и иммуногистохимии утверждается, что в этот период в МВ надпочечников присутствует промежуточная недифференцированная форма клеток, содержащих одновременно адреналиновые и норадреналиновые гранулы [13, 11]. В другом случае с помощью иммуногистохимии показаны различия между предшественниками А- и НА-клеток уже на 16–18-й день эмбриогенеза [14]. Сопоставление этих данных с тем, что у крыс для А-клеток более характерны никотиновые ацетилхолиновые рецепторы, а для НА-клеток — мускариновые [15], и с тем, что никотиновые рецепторы появляются около 19,5 недели эмбриогенеза крыс, а мускариновые — лишь к моменту рождения [16], позволяет сделать вывод, что у новорождённых крыс в МВ надпочечников уже присутствуют две отдельные формы предшественников адреналиновой и норадреналиновой линий. Этому утверждению не хватало подкрепляющих его качественных морфологических данных. Наше исследование показало, что в МВ надпочечников новорождённых крыс, на фоне численно преобладающих групп более электронопрозрачных (светлых) клеток с тесными контактами (см. рис. 3), присутствуют немногочисленные группы более мелких и электроноплотных (тёмных) клеток с менее тесными межклеточными контактами (см. рис. 5). Таким образом, наши морфологические данные подтверждают наличие фенотипически различимых детерминированных предшественников в МВ надпочечников крыс. Некоторая противоречивость данных, на наш взгляд, связана с тем, что в качестве промежуточной формы описаны более многочисленные группы предшественников А-клеток. Эти клетки наряду со зрелыми адреналиновыми гранулами могут содержать и гранулы с норадреналином, который является предшественником адреналина и появляется в эмбриональном МВ надпочечников раньше него. Результатом являются соответствующая ультраструктура и иммуннореактивность. Малочисленные группы предшественников НА-клеток, отстающие в созревании и ещё не содержащие типичные норадреналиновые гранулы, просто не принимали во внимание или относили к более ранним малодифференцированным формам. Следует добавить, что у крыс в возрасте 6 суток НА- и А-модули различаются по структуре межклеточных контактов: у НА-модулей они не только менее тесные, но и образуют многочисленные микровыступы и характерные ампуловидные расширения (см. рис. 5), фактически идентичные таковым у взрослых животных. Это не было ранее отмечено авторами, представлявшими данные ТЭМ мозгового вещества надпочечников крыс и сосредоточившимися преимущественно на отличиях во внутреннем строении разных типов хромаффиноцитов. При модульном подходе преемственная связь между упомянутыми электроноплотными группами созревающих хромаффиноцитов в мозговом веществе новорождённых крыс с НА-модулями в последующие сроки очевидна.
Характерные для новорождённых кровоизлияния, вероятно, возникают вследствие перестройки микроциркуляторного русла в ходе формирования МВ надпочечников. Гибнущие корковые клетки центральной части эмбриональных надпочечников замещаются мигрирующими в эту область мозговыми клетками, что сопровождается разрушением связанных с деградирующими корковыми клетками микрососудов. Преимущественное расположение небольших очагов кровоизлияний в центральной части «мозговых шаров» и сообщение кровоизлияний с их периферической частью (см. рис. 4) имеет явную связь с формированием расширенных межклеточных пространств в центральной части зрелых А-модулей. Такие межклеточные расширения играют роль депо адреналина, готового к быстрому выбросу в случае острого стрессового воздействия [3]. В филогенезе позвоночных первоначально самостоятельные супрареналовая и интерреналовая железы сливаются у млекопитающих в один орган, превращаясь, соответственно, в его корковое и мозговое вещество. В онтогенезе мы наблюдаем рекапитуляцию этого процесса в виде заселения закладки коркового вещества мозговыми клетками. Это заселение сопровождается гибелью корковых клеток центральной части надпочечника (см. рис. 3; рис. 4; рис. 5). При этом должна произойти и перестройка микроциркуляторного русла с обслуживания только корковых клеток на обслуживание также и мозговых. Отражением этой перестройки является разрушение корковых микрососудов, окружённых хромаффинобластами, что приводит к появлению очагов кровоизлияний внутри мозговых шаров (см. рис. 4). Можно предположить, что по такому пути в ходе филогенеза шло и формирование округлых кластеров А-клеток с депонирующими адреналин центральными межклеточными пространствами – А-модулей. Дальнейшее движение по этому пути привело к формированию А-модулей в виде округлых кластеров, с центральными расширенными межклеточными пространствами, куда адреналин попадет до его поступления в просвет микрососудов.
Кластеры недифференцированных хромаффиноцитов новорождённых в полной мере оправдывают название «мозговые шары» своей шарообразной формой. Анализ комплексов дифференцированных клеток по совокупной динамике параметров формы показывает, что А-модули имеют форму цельнокрайних слабо вытянутых эллипсоидов и сохраняют её на протяжении всего постнатального онтогенеза. Форма массивов НА-клеток сразу после дифференцировки из «мозговых шаров» отличается менее правильной формой и от «мозговых шаров», и от А-модулей. В целом форма НА-массивов более вытянутая с более неровными краями. В ходе постнатального онтогенеза выраженность этих параметров динамично усиливается, особенно в возрастном периоде между 14 и 21 сутками, а также между 1 месяцем и взрослыми животными, у которых форма массивов НА-клеток наименее правильная. Причины различий в строении зрелых А- и НА-модулей уже были подробно аргументированы нами ранее [3]. Можно добавить, что приверженность А-модулей характерной эллипсоидной форме отчётливо проявляется уже в перинатальный период и сохраняется в течение всего последующего постнатального онтогенеза. Модульные комплексы НА-клеток демонстрируют иную динамику: предшественники НА-клеток участвуют в образовании «мозговых шаров», но НА-модули, не привязанные к округлой форме, продолжают наращивать свой объём с ростом мозгового вещества, постепенно они всё больше вклиниваются между сохраняющими округлую форму А-модулями, вытягиваются и, в конечном итоге, приобретают вид полигональных балок, объединяющихся в массивы, образующие грубую сеть [17, 18]. Тот факт, что НА-клетки с момента своей дифференцировки склонны объединяться в массивы, а не располагаться одиночно, служит дополнительным аргументом в пользу того, что полигональные балки НА-клеток представляют собой закономерно (запрограммированно) образующиеся морфофункциональные единицы — НА-модули, а не случайно сгруппированные НА-клетки, бессистемно занимающие свободное от А-модулей пространство. Одним из механизмов, способствующих одновременно избирательному связыванию НА-клеток и разграничению их от А-клеток, очевидно, служит фактор адгезии нейрональных клеток L1, который экспрессируется только НА-клетками [14]. При этом фактор нейрональной адгезии NCAM (Neural Cell Adhesion Molecule) экспрессируется обоими типами хромаффиноцитов и усиливает адгезивные свойства L1 [19]. Показательно, что первым наиболее динамичным периодом роста объёма МВ надпочечников крыс является период с 12 до 30 суток. В этот период объём хромаффинной ткани увеличивается троекратно, в основном за счёт НА-клеток, число которых возрастает в 3,8 раза, а размеры — на 50%. Количество А-клеток в это время вырастает в 2 раза, а размеры — на 30%. Вторым наиболее динамичным периодом роста оказался промежуток от 1 до 6 месяцев, в котором объём хромаффинной ткани увеличивается в 2,5 раза, преимущественно за счёт А-клеток. В это время количество А-клеток возрастает в 1,7 раза, а размеры — на 70%, при этом количество НА-клеток увеличивается лишь в 1,2 раза, а размеры — на 20% [12]. Эти факты хорошо подкрепляют тезис о причинах формирования полигональных балок НА-клеток с эффектом вклинивания между округлыми А-модулями. Именно с 1-го месяца и до окончания взросления мы видим опережающий рост количества и размеров А-клеток, при этом А-модули сохраняют стабильно округлую форму. В результате растущие менее интенсивно массивы НА-клеток, которым для сохранения их модульной организации не нужно придерживаться округлой формы, но необходимо сохранять физическую связь между клетками, оказываются зажатыми между округлыми А-модулями. Таким образом, именно стабильная форма А-модулей определяет образование остроконечных клиньев НА-клеток между ними. Тот же эффект, хотя и менее выраженный из-за меньших размеров и менее тесного расположения А-модулей в этот возрастной период, вызывает опережающий рост НА-клеток с 14 по 21 сутки. Сопоставление приведённых фактов показывает, что периоды наиболее существенных изменений параметров того или иного вида хромаффинных клеток мозгового вещества надпочечников полностью совпадают с периодами наиболее значимых преобразований хромаффинных модулей, образованных этими клетками.
Ограничения исследования
В отношении изученного объекта не было выявлено факторов, способных существенно повлиять на выводы исследования. Однако при экстраполяции результатов исследования следует учитывать, что, несмотря на наличие общих базовых черт, строение МВ надпочечников в классе Млекопитающих весьма вариабельно.
ЗАКЛЮЧЕНИЕ
Результаты настоящего исследования показали, что в ходе постнатального онтогенеза в МВ надпочечников происходит очень ранняя закладка хромаффинных модулей. Уже у новорождённых животных имеются их зачатки — «мозговые шары» с признаками разделения на основные типы: адреналовый и норадреналовый. Далее идёт развитие заложенных тенденций и уже к 21-м суткам общий вид МВ мало отличается от такового у взрослых крыс. Однако результаты морфометрии свидетельствуют о том, что к этому возрасту окончательное формирование ещё не завершено. При этом наибольшую динамику демонстрируют НА-модули и их агломерации в виде полигональных массивов, тогда как А-модули проявляют крайнюю структурную консервативность и, за исключением роста размеров, сохраняют неизменные параметры формы с момента своей дифференцировки в первую постнатальную неделю. Такая структурная стабильность А-модулей и пластичность НА-модулей хорошо согласуются с представлением, что округлая форма А-модулей обусловлена необходимостью депонировать в расширенных межклеточных пространствах часть готового адреналина для максимально быстрого выброса его дополнительной порции в кровь в случае непредсказуемого острого стресса. Действие норадреналина этого не требует. Описанные данные других авторов, а также согласованность результатов исследования с данными о клеточных механизмах постнатального роста МВ надпочечников [12], полученными до разработки модульной концепции организации МВ [3] и вне связи с ней, хорошо подкрепляют предложенную концепцию.
За более чем сто лет с момента первого описания «мозговых шаров» и последующего установления, что в той или иной мере они присутствуют в перинатальном МВ надпочечников у многих видов млекопитающих и у человека, не было представлено убедительных причин объединения дифференцирующихся хромаффиноцитов именно в такие комплексы. Разработка концепции морфофункциональных единиц (модулей) как основы организации хромаффинной ткани и взгляд на проблему с точки зрения модульной организации, применённый в данном исследовании, позволяют сдвинуть её с мёртвой точки. Это не только подчёркивает важность модульного подхода в изучении МВ надпочечников, но и даёт основание при его применении ожидать прогресса в изучении хромаффинной ткани и по другим направлениям.
ДОПОЛНИТЕЛЬНАЯ ИНФОРМАЦИЯ
Вклад автора. Автор спланировал проведение исследования, внёс существенный вклад в сбор первичных данных и их статистическую обработку, подготовил иллюстрации, выполнил сбор и анализ литературных источников, составил обзор литературы, написал текст статьи и редактировал её. Автор одобрил рукопись (версию для печати), а также согласился нести ответственность за все аспекты работы, гарантируя надлежащее рассмотрение и решение вопросов, связанных с точностью и добросовестностью любой её части.
Благодарности. Автор выражает свою признательность старшему преподавателю Ярославского государственного медицинского университета (Россия) Н.А. Тюминой за неоценимую помощь в получении первичных данных для проведённого исследования.
Источники финансирования. Отсутствует.
Раскрытие интересов. Автор заявляет об отсутствии отношений, деятельности и интересов за последние три года, связанных с третьими лицами (коммерческими и некоммерческими), интересы которых могут быть затронуты содержанием статьи.
ADDITIONAL INFORMATION
Author's contributions. The author designed the study; made a substantial contribution to primary data collection and statistical analysis; prepared the figures; performed the literature search and review; drafted and revised the manuscript. The author confirms compliance with the ICMJE authorship criteria: substantial contribution to the conception of the study, data analysis and interpretation, and manuscript preparation; approval of the final version for publication.
Acknowledgements. The author expresses sincere gratitude to N.A. Tyumina, senior lecturer at Yaroslavl State Medical University, Russia, for her invaluable assistance in obtaining the primary data for this study.
Funding sources. None.
Disclosure of interests. The author declares no relationships, activities, or interests (personal, professional, or financial) with any third parties (commercial, non-commercial, or private) whose interests may be affected by the content of this article, and reports no other relevant relationships, activities, or interests over the past three years.
Об авторах
Константин Гербертович Кемоклидзе
Ярославский государственный медицинский университет
Автор, ответственный за переписку.
Email: K_G_K@mail.ru
ORCID iD: 0000-0003-4907-7757
SPIN-код: 2573-5629
канд. биол. наук, доцент
Россия, 150000, Ярославль, ул. Революционная, д. 5Список литературы
- Danilov RK. General principles of cellular organization, development and classification of tissues. In: Danilov RK, editor. Manual of Histology. 2nd ed. Saint Petersburg: SpetsLit; 2010. P:98–123. (In Russ.)
- Kemoklidze KG. Morphofunctional units of an organ: history and modern state of the question. Morphology. 2019;156(5):93–97. (In Russ.) EDN: MNYOYJ
- Kemoklidze KG, Tyumina NA. Rat adrenal medulla modular organization. RUDN Journal of Medicine. 2022;26(3):259–273. doi: 10.22363/2313-0245-2022-26-3-259-273 EDN: QVRLKF
- Honoré LH. A light microscopic method for the differentiation of noradrenaline and adrenaline producing cells of the rat adrenal medulla. J Histochem Cytochem. 1971;19(8):483–486. doi: 10.1177/19.8.483
- Coupland RE. Ultrastructural features of the mammalian adrenal medulla. In: P. Motta, editor. Ultrastructure of Endocrine Cells and Tissues. New York: Springer New York; 1984. P:168–179. doi: 10.1007/978-1-4613-3861-1_15
- Zapadnyuk IP, Zapadnyuk VI, Zakharia EA Laboratory animals. Breeding, housing, use in experiments. 3rd ed. Kyiv: Vyscha shkola; 1983. (In Russ.)
- Wiesel J. Über die Entwicklung der Nebennicra des Schweines, besondcrs dor Marksubstanz. Anatomische Hefte. 1901;16:115–150. (In German)
- Katznelson ZS, Stabrovsky EM. Histology and biochemistry of chromaffin tissue of the adrenal glands. Leningrad: Medicina; 1975. (In Russ.)
- Smitten NA The sympathoadrenal system in the phylo- and ontogenesis of vertebrates. Moscow: Nauka; 1972. (In Russ.)
- Chumasov EI, Atagimov MZ, Sokolov VI, Seliverstova VG, Development of adrenal chromaffin tissue. Morphology. 2003;123(3):68–73. EDN: WLMDAB
- Coupland RE, Tomlinson A. The development and maturation of adrenal medullary chromaffin cells of the rat in vivo: A descriptive and quantitative study. Int J Dev Neurosci. 1989;7(5):419–438. doi: 10.1016/0736-5748(89)90003-8
- Pavlov AV, Kemoklidze KG. Cytologic mechanisms of postnatal growth of adrenal chromaffin tissue. Ontogenez. 1998;29(2):123–128. (In Russ.) EDN: MOZQOD
- Verhofstad AAJ, Coupland RE, Parker TR, Goldstein M. Immunohistochemical and biochemical study on the development of the noradrenaline- and adrenaline-storing cells of the adrenal medulla of the rat. Cell Tissue Res. 1985;242(2):233–243. doi: 10.1007/BF00214536 EDN: BOCENA
- Léon C, Grant N, Aunis D, Langley K. L1 Cell Adhesion Molecule is Expressed by Noradrenergic but not Adrenergic Chromaffin Cells: A Possible Major Role for L1 in Adrenal Medullary Design. Eur J Neurosci. 1992;4(3):201–209. doi: 10.1111/j.1460-9568.1992.tb00868.x
- Zaika OL, Pochynyuk OM, Yavorskaya EN, et al. Acetylcholine-induced calcium signalling in adrenaline- and noradrenaline-containing adrenal chromaffin cells. Arch Biochem Biophys. 2004;424(1):23–32. doi: 10.1016/j.abb.2004.01.012 EDN: XJSORN
- Oomori Y, Habara Y, Kanno T. Muscarinic and nicotinic receptor-mediated dynamics in rat adrenal chromaffin cells during development. Cell Tissue Res. 1998;294(1):109–123. doi: 10.1007/s004410051161 EDN: ATHOGX
- Kemoklidze KG, Tyumina NA, Leonenko PS. 3D reconstruction of the rat adrenal medulla. Anat Histol Embryol. 2021;50(5):781–787. doi: 10.1111/ahe.12720 EDN: SKWHML
- Kemoklidze KG, Tyumina NA. 3D organization of the rat adrenal medulla. In: Vitamins and Hormones. San Diego: Academic Press; 2024. P:367–392. doi: 10.1016/bs.vh.2023.06.003
- Kadmon G, Kowitz A, Altevogt P, Schachner M. The neural cell adhesion molecule N-CAM enhances L1-dependent cell-cell interactions. J Cell Biol. 1990;110(1):193–208. doi: 10.1083/jcb.110.1.193
Дополнительные файлы








