Морфологическая характеристика заживления ран при применении экстракта алоэ, гидрогеля и их комбинации: экспериментальное исследование
- Авторы: Черданцева Т.М.1, Федосеев А.В.1, Инютин А.С.1, Некрасова М.С.1, Качкуркина А.А.1, Антошкин Я.А.1
-
Учреждения:
- Рязанский государственный медицинский университет имени академика И.П. Павлова
- Выпуск: Том 162, № 2 (2024)
- Страницы: 164-173
- Раздел: Оригинальные исследования
- URL: https://ogarev-online.ru/1026-3543/article/view/272640
- DOI: https://doi.org/10.17816/morph.633191
- ID: 272640
Цитировать
Аннотация
Обоснование. В настоящее время высока частота встречаемости повреждений кожного покрова, связанных с ожогами, механической травмой, хроническими заболеваниями, поэтому актуально изучение вопросов регенерации и лечения кожных ран.
Цель исследования — провести морфологический анализ заживления кожных ран при использовании экстракта алоэ, гидрогеля и их комбинации в эксперименте.
Материалы и методы. Объектами исследования явились 40 половозрелых морских свинок, которых разделили на 4 группы: контрольную (самостоятельное заживление раны) и 3 опытные (нанесение экстракта алоэ, нанесение гидросорб геля, послойное нанесение препаратов). Готовили гистологические препараты кожи на 3, 7, 14, 28-й день эксперимента. В каждом микропрепарате в 10 полях зрения микроскопа при ×50 измеряли морфометрические параметры в микрометрах (мкм): толщину гнойно-некротического струпа, воспалительного (лейкоцитарного) инфильтрата, грануляционной ткани; протяжённость новообразованного эпителия на 3, 7, 14-е сутки; толщину эпителия, его протяжённость; толщину соединительной ткани в центральной части регенерата на 28-е сутки. Все данные статистически обрабатывали.
Результаты. Использование лекарственных препаратов приводило к уменьшению степени выраженности воспалительной реакции, ускорению образования грануляционной ткани, частичной эпителизации раны к 7-му дню эксперимента, однако более выраженные признаки ранозаживления отмечали при послойном нанесении экстракта алоэ и гидрогеля. Использование лекарственных препаратов вне зависимости от методики применения показало признаки более эффективного заживления раны к 14-му дню. Так, протяжённость эпителия увеличилась в 1,2–1,6 раза, глубина грануляционной ткани — в 1,0–1,2 раза по сравнению с контролем. К концу эксперимента у всех животных произошло полное закрытие раневого дефекта с образованием рубца, но в экспериментальных группах отмечались признаки ремоделирования кожи с придатками.
Заключение. Морфологический анализ показал, что применение экстракта алоэ, гидросорб геля и их комбинации ускоряет процессы регенерации полнослойных кожных ран в эксперименте.
Ключевые слова
Полный текст
ОБОСНОВАНИЕ
В настоящий момент для защиты кожной раны от бактериальной инфекции и ускорения её регенерации используются разнообразные раневые покрытия (повязки). К так называемым биоактивным повязкам относят гидрогели — производные биополимеров (например, целлюлозы), обладающих хорошей совместимостью с тканью, низкой токсичностью и травматичностью [1]. Наличие в составе гидрогелей трёхмерной химической структуры из гидрофильных полимеров позволяет им удерживать большое количество воды, что способствует созданию оптимальной влажной среды на поверхности раны. Благодаря наличию сходства с тканями кожи гидрогели обеспечивают оптимальные условия для пролиферации фибробластов, кератиноцитов и для развития новой сосудистой сети [2, 3].
Из-за возрастающей антибиотикорезистентности микроорганизмов в терапию кожных ран активно включаются растительные лекарственные препараты [4]. Экстракт алоэ древовидного (aloe arborescencs) за счёт биоактивных соединений, таких как антрахиноны, обладает противомикробным эффектом [5]. Ранозаживляющий эффект продемонстрирован исследователями при нанесении крема «Алоэ вера» на рану кожи животных, что привело к уменьшению воспалительной инфильтрации, увеличению толщины эпителия и изменению соотношения CD4+/CD8+ лимфоцитов в области раны [6]. Однако использование данного крема не обеспечивает достаточное для нормального репаративного процесса увлажнение раневой поверхности. Поэтому, по нашему мнению, сочетание экстракта алоэ с гидрогелем позволит обеспечить разнонаправленное действие и ускорить регенерацию кожной раны.
Цель исследования — провести морфологический анализ заживления ран при использовании экстракта алоэ, гидрогеля и их комбинации в эксперименте.
МАТЕРИАЛЫ И МЕТОДЫ
Дизайн исследования
Проведено экспериментальное одноцентровое сплошное неконтролируемое неослеплённое исследование.
Объектами исследования явились 40 половозрелых морских свинок средней массой тела 320–370 г, находящихся на стандартном пищевом и питьевом рационе в изолированных клетках. На начальном этапе всем животным под золетил-ксилазиновым наркозом с соблюдением правил асептики моделировали плоскостную полнослойную кожную рану. Для этого на спинке в межлопаточной области выбривали участок шерсти с подшёрстком и после обработки операционного поля по трафарету вырезали кожный лоскут размером 2×2 см (площадь — 4 см2) с удалением подкожно-жировой клетчатки. Начиная с 3-го дня эксперимента осуществляли местное лечение ран. В связи с поставленной целью животные были разделены на 4 группы: контрольную (самостоятельное заживление раны) и 3 опытные (нанесение экстракта алоэ, нанесение гидросорб геля, послойное нанесение препаратов) (табл. 1).
Таблица 1. Группы животных
Table 1. Groups of animals
Группа | Местное воздействие | Количество особей, шт. |
Контрольная группа | Самостоятельное заживление раны | 10 |
Опытная группа 1 | Заполнение раны экстрактом алоэ (Ереванская химико-фармацевтическая фирма, Ереван) по инструкции | 10 |
Опытная группа 2 | Заполнение раны гидросорб гелем (Hydrosorb® Gel, Hartmann, Германия) по инструкции | 10 |
Опытная группа 3 | Послойное нанесение препаратов: вначале экстракт алоэ, затем гидросорб гель | 10 |
У всех животных для оценки динамики заживления проводили макроскопический осмотр раны, а также измеряли её размеры с площадью по методу Л.Н. Поповой [7]. Согласно стадийности течения раневого процесса вывод особей из эксперимента осуществляли путём передозировки наркоза на 3-и сутки (4 животных), 7, 14 и 28-е сутки (по 3 животных из каждой группы на срок), с последующим забором материала на гистологическое исследование. Полученные кусочки ткани помещали в 10% забуференный раствор формалина, затем обезвоживали и пропитывали парафином по стандартной методике. Полученные парафиновые срезы окрашивали гематоксилином и эозином. Срезы изучали с помощью микроскопа Leica DM 2000 (Leica Microsystems, Германия) при общем увеличении ×50. В каждом микропрепарате кожи в 10 полях зрения с помощью программы «ВидеоТест-Морфология 5.0» (Россия) измеряли следующие морфометрические параметры в микрометрах (мкм): толщину гнойно-некротического струпа, воспалительного (лейкоцитарного) инфильтрата, грануляционной ткани; протяжённость новообразованного эпителия на 3, 7, 14-е сутки; толщину эпителия, его протяжённость и толщину соединительной ткани в центральной части регенерата на 28-е сутки [8].
Этическая экспертиза
Исследование проводили на базе вивария ФГБОУ ВО РязГМУ Минздрава России с согласия Биоэтического комитета (протокол № 27 от 23.04.2021 г.). Все манипуляции с лабораторными животными осуществляли в соответствии с требованиями Хельсинкской декларации (2013) и Европейской конвенции о защите позвоночных животных, используемых для экспериментов или в иных научных целях (ETS № 123, Страсбург, 18.03.1986 (с изм. от 22.06.1998)).
Статистический анализ
Размер выборки предварительно не рассчитывали. Математическую и статистическую обработку данных проводили в программах Microsoft Excel 2010 и SPSS Statistics 23.0 (IBM, США). Проверку нормальности распределения выполняли с помощью графического метода и критерия согласия Пирсона. Морфометрические данные представлены в виде медианы и квартилей (Me [Q1; Q3]). Для сравнения данных несвязанных выборок использовали U-критерий Манна–Уитни с поправкой Бонферрони, различия считали статистически значимыми при p ≤0,05.
РЕЗУЛЬТАТЫ
При макроскопическом осмотре ран на 3-и сутки до начала лечения у всех животных наблюдались признаки воспалительного процесса. Края раны были гиперемированы, отёчны, с гнойными выделениями на поверхности, что говорит об инфицировании раневого дефекта. При гистологическом исследовании у всех особей эпителизация отсутствовала, на поверхности раны определялись гнойно-некротический детрит толщиной 532,67 [391, 74; 790, 40] мкм, выраженная воспалительная инфильтрация толщиной 282,64 [214, 84; 340, 0] мкм, в которой преобладали полиморфноядерные лейкоциты. Молодая грануляционная ткань глубиной 351,34 [264, 61; 432, 40] мкм встречалась единичными участками преимущественно в боковых частях раны с невыраженными признаками развития новообразованных сосудов.
На 7-е сутки исследования при осмотре ран морских свинок всех групп отмечалась воспалительная реакция: обильное гнойное отделяемое при надавливании, отёчные и гиперемированные края. Однако в опытных группах 1 и 3 воспалительные явления были менее выражены. Существенных различий в показателях площади раневого дефекта в группах лечения отдельно экстрактом алоэ и гидросорб гелем по сравнению с контрольной группой не наблюдалось, однако при послойном нанесении этих препаратов площадь раны уменьшилась на 10%.
Морфологический анализ ран на 7-е сутки (табл. 2) показал, что в контрольной группе рана была покрыта выраженным струпом, под которым располагалась воспалительная (нейтрофильная) инфильтрация толщиной 204,99 [145, 86; 271, 02] мкм. Под ней на всём протяжении формировалась молодая грануляционная ткань с расширенными полнокровными сосудами. В этой ткани отмечено большое количество клеток фибробластического дифферона, а также тонкие, разнонаправленные пучки коллагеновых волокон в поверхностных слоях, однонаправленно расположенные в глубоких слоях. Протяжённость новообразованного эпителия составила 1065,35 мкм (Ме). После лечения раны экстрактом алоэ установлено статистически значимое уменьшение толщины струпа на 18,63% (p <0,001), воспалительной инфильтрации — на 36,54% (p <0,0005), а также увеличение толщины грануляционной ткани на 29,1% (p <0,0005) по сравнению с контрольной группой. Применение гидросорб геля привело к уменьшению воспалительной инфильтрации на 19,7% (p <0,001), а также к увеличению показателя эпителизации раны на 16,6% (p <0,003) по сравнению с группой контроля. Послойное применение лекарственных препаратов значительно ускорило регенерацию раны, при этом толщина струпа по медиане составила 349,86 мкм, лейкоцитарной инфильтрации — 142,9 мкм, грануляционной ткани — 1349,19 мкм (p <0,0005) (см. табл. 2).
Таблица 2. Морфометрические показатели регенерации кожи на 7-е сутки эксперимента, Ме [Q25; Q75]
Table 2. Morphometric indices of skin regeneration on the 7th day experiment (Ме [Q25; Q75])
Показатель | Контрольная группа | Опытная группа 1 | Опытная группа 2 | Опытная группа 3 |
Толщина гнойно-некротического струпа, мкм | 502,62 | 408,99* | 516,90 | 349,86* |
Толщина лейкоцитарного инфильтрата, мкм | 204,99 | 130,09* | 164,58* | 142,90* |
Глубина грануляционной ткани, мкм | 899,29 | 1269,37* | 835,73 | 1349,19* |
Протяжённость новообразованного эпителия (эпителизация), мкм | 1065,35 | 1124,49 | 1242,26* | 1663,57* |
* статистически значимые отличия от показателей контрольной группы (U-критерий Манна–Уитни, p <0,008).
* significant differences from the control group (Mann–Whitney U test, p <0.008).
К 14-му дню исследования при макроскопическом осмотре ран у всех животных отмечалось уменьшение признаков воспаления: рана бледно-розового цвета, грануляции мелкозернистые, с присутствием фибрина у животных контрольной группы и опытных групп 1 и 2. При послойном нанесении препаратов грануляция была крупнозернистой, красного цвета за счёт образования большого количества сосудов. Отмечалась частичная эпителизация раны у всех животных, однако более выражена она была в опытной группе 3. При гистологическом исследовании у животных всех групп центральная часть раны была покрыта гомогенной оксифильной массой, в подлежащей ткани сохранялись воспалительная полиморфно-ядерная инфильтрация и единичные полнокровные сосуды. Протяжённость новообразованного эпителия по медиане: 1819,0 мкм — в контрольной группе, от 2183,93 до 3079,77 мкм — в опытных группах (табл. 3). Грануляционная ткань представлена на всём протяжении раны, при этом её толщина была выше контрольных значений на 11,89% в опытной группе 1 (p <0,006), на 17,01% — в группе 2 (p <0,001), на 5% — в группе 3 (p <0,002) (см. табл. 3). Она имела типичное строение, преобладали продольно расположенные коллагеновые волокна с фибробластами, фиброцитами и большим количеством вертикальных сосудов, а также отмечались единичные очаговые гистиолимфоцитарные инфильтраты.
Таблица 3. Морфометрические показатели регенерации кожи на 14-е сутки эксперимента, Ме [Q25; Q75]
Table 3. Morphometric indices of skin regeneration on the 14th day experiment (Ме [Q25; Q75])
Показатель | Контрольная группа | Опытная группа 1 | Опытная группа 2 | Опытная группа 3 |
Глубина грануляционной ткани, мкм | 2216,45 | 2515,56* | 2670,77* | 2339,15* |
Протяжённость новообразованного эпителия (эпителизация), мкм | 1819,28 | 3079,77* | 2332,74* | 2183,93* |
* статистически значимые отличия от показателей контрольной группы (U-критерий Манна–Уитни, p <0,008).
* significant differences from the control group (Mann–Whitney U test, p <0.008).
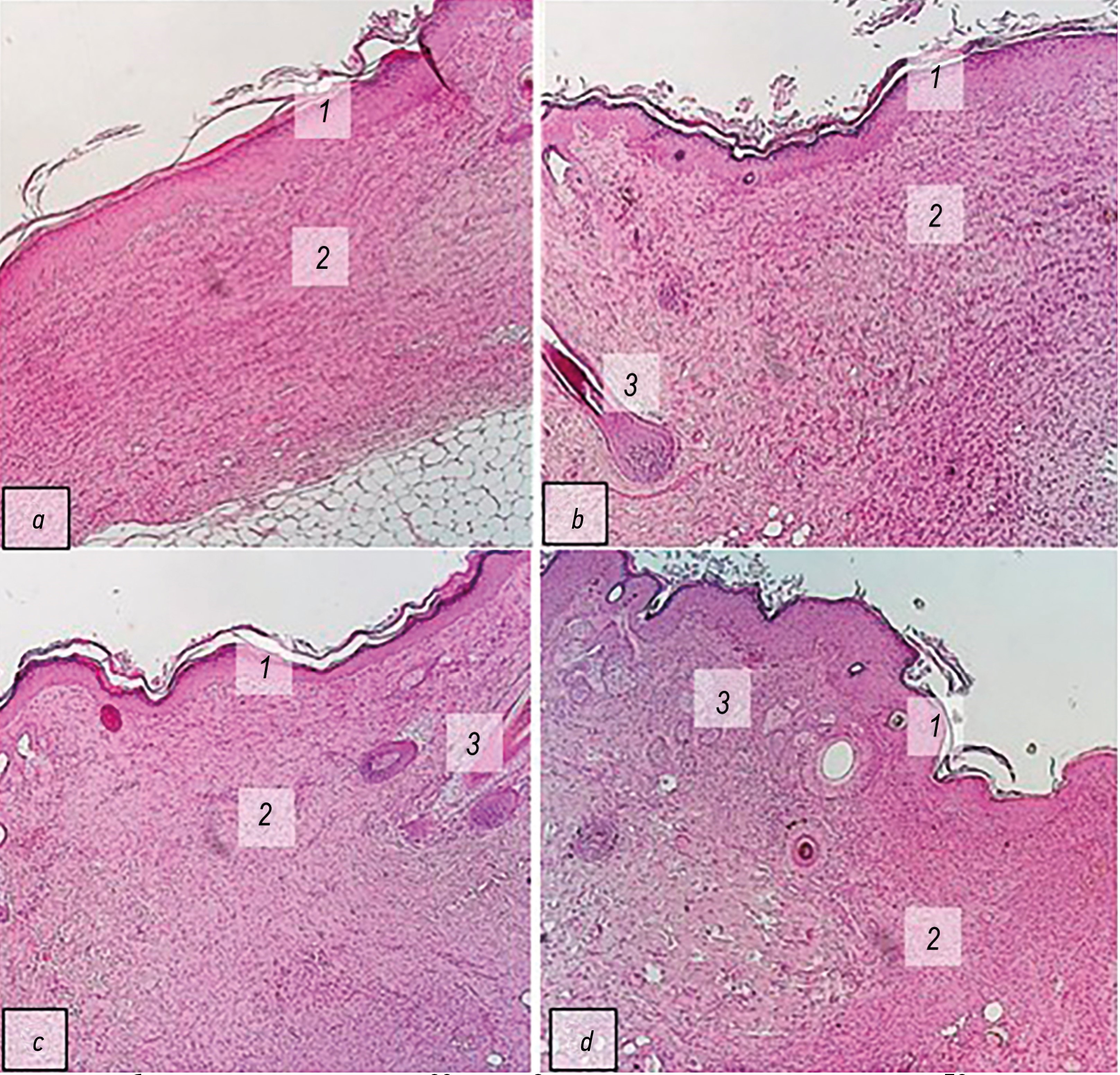
Рис. 1. Участок кожи в области повреждения через 28 суток. Окраска гематоксилином и эозином, ×50: a — контрольная группа; b — опытная группа 1; c — опытная группа 2; d — опытная группа 3; 1 — эпителий в центральной части регенерата, 2 — соединительная ткань в центральной части регенерата, 3 — кожные дериваты.
Fig. 1. Skin area in the damaged area after 28 days. Hematoxylin and eosin stain, ×50: a — control group; b — experimental group 1; c — experimental group 2; d — experimental group 3; 1 — epithelium in the central part of the regenerate, 2 — connective tissue in the central part of the regenerate, 3 — skin derivatives.
Таблица 4. Морфометрические показатели регенерации кожной раны на 28-е сутки эксперимента, Ме [Q25; Q75]
Table 4. Morphometric indices of skin wound regeneration on the 28th day of the experiment (Ме [Q25; Q75])
Показатель | Контрольная группа | Опытная группа 1 | Опытная группа 2 | Опытная группа 3 |
Толщина эпителия в центральной части регенерата, мкм | 195,81 | 183,02 | 153,01* | 180,07 |
Толщина соединительной ткани в центральной части регенерата, мкм | 1173,76 | 1541,86* | 1875,95* | 2324,37* |
Протяжённость эпителия в зоне рубца, мкм | 2001,11 | 2323,87* | 1467,94* | 1667,02* |
* статистически значимые отличия от показателей контрольной группы (U-критерий Манна–Уитни, p <0,008).
* significant differences from the control group (Mann–Whitney U test, p <0.008).
Анализ межгрупповых различий кожных ран на 7-е и 14-е сутки показал, что у всех животных происходили уменьшение толщины струпа на 11–16%, увеличение протяжённости новообразованного эпителия более чем на 30%, уменьшение лейкоцитарного инфильтрата на 48–60%, увеличение глубины грануляции более чем на 98%.
К 28-му дню наблюдения макроскопически у животных произошло полное закрытие раневого дефекта. Рубец представлен в виде белой полоски, что подтверждается гистологически (рис. 1). Периферическая часть регенерата имела признаки нормальной кожи морской свинки. При этом центральная часть регенерата у животных контрольной группы была представлена новообразованным многослойным плоским ороговевающим эпителием со сглаженным сосочковым рисунком, у животных опытных групп сосочковый слой был сформирован. Толщина эпителия в центральной части регенерата (табл. 4) во всех группах была примерно одинакова и составляла 180,07–195,81 мкм (Ме), в опытной группе 2 этот показатель значительно отличался от контрольной и составил 153,01 мкм (p <0,0005) (Ме). Под эпителием располагалась плотная соединительная ткань с параллельно лежащими коллагеновыми волокнами и клетками фибробластического дифферона, толщиной по медиане в контрольной группе 1173,76 мкм, в опытных группах — 1541,86–2324,37 мкм (p <0,0005) (см. табл. 4). Производные кожи (волосы, сальные железы) отсутствовали в центральной части регенерата.
ОБСУЖДЕНИЕ
Проведённое исследование показало, что морфологическая картина заживления полнослойной кожной раны отличалась в контрольной группе и при использовании экстракта алоэ, гидросорб геля и их комбинации.
Нанесение экстракта алоэ на рану приводило к уменьшению воспалительных явлений, способствовало большему развитию грануляционной ткани к 7-му дню наблюдения по сравнению с контролем. В исследовании Y.A. Prakoso с соавт. также продемонстрировано уменьшение воспалительной реакции при применении крема «Алоэ вера», содержащего компоненты алоэ: у животных при нанесении крема уменьшались лейкоцитарная инфильтрация и соотношение CD4+/CD8+ лимфоцитов в ране [6]. Антибактериальный эффект Алоэ вера продемонстрирован в исследовании кожной раны, инфицированной Staphylococcus aureus [9]. К 14-му дню эксперимента увеличилась эпителизация раны на 69%, глубина грануляционной ткани — на 13% по сравнению с контролем. К 28-му дню наблюдения отмечалось полное заживление раны. Её центральная часть была представлена многослойным плоским ороговевающим эпителием, под которым наблюдалась значительной толщины рубцовая соединительная ткань. Известно, что активные компоненты Алоэ вера, такие как алоэзин, алоин и эмодин, активируют экспрессию факторов роста в фибробластах (трансформирующего фактор роста β1, фактор роста фибробластов и др.), увеличивают пролиферацию кератиноцитов, что оказывает благоприятное влияние на регенерацию раны [5, 10].
Нанесение на поверхность раны гидрогеля привело не только к снижению воспалительной (лейкоцитарной) инфильтрации на 19,7%, но и к увеличению эпителизации раны на 16,6% по сравнению с контролем на 7-е сутки эксперимента. К 14-му дню наблюдения протяжённость эпителия увеличилась на 28,2%, глубина зрелой грануляционной ткани — на 20,5%. На 28-е сутки центральная часть раневого дефекта была представлена рубцом, покрытым эпителием, в котором происходили активные процессы ремоделирования в плотную неоформленную соединительную ткань. Гидросорб гель является многокомпонентным гелем, включающим синтетические полимеры, такие как карбоксиметилцеллюлоза, гидроксиэтилцеллюлоза, ускоряющие регенерацию кожных ран [11]. Согласно литературным данным, ранозаживляющий эффект производных целлюлозы обусловлен их способностью влиять на миграцию и пролиферацию фибробластов за счёт высвобождения факторов роста фибробластов, а также на пролиферацию эпителиоцитов за счёт эпидермального фактора роста [12].
Значительно ускорило регенерацию кожной раны на 7-е сутки эксперимента именно послойное нанесение экстракта алоэ и гидросорб геля, что подтверждается уменьшением воспалительной реакции, развитостью грануляционной ткани и протяжённостью новообразованного эпителия. Данная тенденция сохраняется на протяжении всего эксперимента и завершается значительным преобразованием по толщине рубца в плотную волокнистую неоформленную ткань с придатками кожи. Скорее всего, такие изменения связаны с суммарным ранозаживляющим эффектом двух лекарственных препаратов, влияющих на разные компоненты процесса регенерации.
Стоит отметить, что во всех группах исследования ремоделирование соединительной ткани не завершилось к концу эксперимента, однако этот процесс активнее проходил при использовании гидрогеля и послойном нанесении лекарственных препаратов.
ЗАКЛЮЧЕНИЕ
Проведённое исследование показало отличие морфологической картины регенерации полнослойной кожной раны при применении экстракта алоэ, гидросорб геля и их комбинации. В ранние сроки эксперимента использование лекарственных препаратов приводило к уменьшению воспалительной реакции, ускорению образования грануляционной ткани, частичной эпителизации раны, однако более выраженные признаки ранозаживления отмечались при послойном нанесении экстракта алоэ и гидрогеля. К концу эксперимента у всех животных произошло полное закрытие раневого дефекта с образованием рубца. Во всех экспериментальных группах исследования отмечались признаки ремоделирования кожи (формирование сосочкового и сетчатого слоёв дермы с зачатками придатков кожи), наиболее выраженные при использовании гидросорб геля и его комбинации с экстрактом алоэ.
Таким образом, морфологический анализ показал, что применение экстракта алоэ, гидросорб геля и их комбинации ускоряет процессы ранозаживления полнослойных кожных ран в эксперименте.
ДОПОЛНИТЕЛЬНАЯ ИНФОРМАЦИЯ
Источник финансирования. Авторы заявляют об отсутствии внешнего финансирования при проведении исследования.
Конфликт интересов. Авторы декларируют отсутствие явных и потенциальных конфликтов интересов, связанных с публикацией настоящей статьи.
Вклад авторов. Все авторы подтверждают соответствие своего авторства международным критериям ICMJE (все авторы внесли существенный вклад в разработку концепции, проведение исследования и подготовку статьи, прочли и одобрили финальную версию перед публикацией). Наибольший вклад распределён следующим образом: Т.М. Черданцева — концепция и дизайн исследования, обзор литературы, сбор и обработка материала, написание и редактирование текста статьи; А.В. Федосеев — концепция и дизайн исследования, сбор и обработка материала, написание и редактирование текста статьи; А.С. Инютин — дизайн исследования, сбор материала, написание и редактирование текста статьи; М.С. Некрасова — обзор литературы, сбор и анализ литературных данных, сбор и обработка материала, подготовка и написание текста статьи; А.А. Качкуркина — обзор литературы, сбор и анализ литературных источников, сбор и обработка материала, редактирование текста статьи; Я.А. Антошкин — дизайн исследования, сбор и обработка материала, редактирование текста статьи.
ADDITIONAL INFORMATION
Funding source. This study was not supported by any external sources of funding.
Competing interests. The authors declare that they have no competing interests.
Authors’ contribution. All authors made a substantial contribution to the conception of the work, acquisition, analysis, interpretation of data for the work, drafting and revising the work, final approval of the version to be published and agree to be accountable for all aspects of the work. T.M. Cherdantseva — concept and design research, literature review, collection and processing of material, writing and editing the text of the article; A.V. Fedoseev — concept and design research, collection and processing of material, writing and editing the text of the article; A.S. Inyutin — design research, collection of material, writing and editing the text of the article; M.S. Nekrasova — literature review, collection and analysis of literary sources, collection and processing of material, preparation and writing of the article; A.A. Kachkurkina — literature review, collection and analysis of literary sources, collection and processing of material, editing the text of the article; I.A. Antoshkin — design research, collection and processing of material, editing the text of the article.
Об авторах
Татьяна Михайловна Черданцева
Рязанский государственный медицинский университет имени академика И.П. Павлова
Email: cherdan.morf@yandex.ru
ORCID iD: 0000-0002-7292-4996
SPIN-код: 3773-8785
доктор медицинских наук, доцент
Россия, 390026, Рязань, ул. Высоковольтная, д. 9Андрей Владимирович Федосеев
Рязанский государственный медицинский университет имени академика И.П. Павлова
Email: hirurgiarzn@gmail.com
ORCID iD: 0000-0002-6941-1997
SPIN-код: 6522-1989
доктор медицинских наук, профессор
Россия, 390026, Рязань, ул. Высоковольтная, д. 9Александр Сергеевич Инютин
Рязанский государственный медицинский университет имени академика И.П. Павлова
Email: aleksandr4007@rambler.ru
ORCID iD: 0000-0001-8812-3248
SPIN-код: 7643-9022
доктор медицинских наук, доцент
Россия, 390026, Рязань, ул. Высоковольтная, д. 9Марина Сергеевна Некрасова
Рязанский государственный медицинский университет имени академика И.П. Павлова
Email: marinanekrasova555@gmail.com
ORCID iD: 0000-0001-8178-6014
SPIN-код: 2035-8060
Россия, 390026, Рязань, ул. Высоковольтная, д. 9
Антонина Алексеевна Качкуркина
Рязанский государственный медицинский университет имени академика И.П. Павлова
Email: mifffka_08@mail.ru
ORCID iD: 0009-0005-9523-6896
SPIN-код: 5877-1753
Россия, 390026, Рязань, ул. Высоковольтная, д. 9
Ярослав Андреевич Антошкин
Рязанский государственный медицинский университет имени академика И.П. Павлова
Автор, ответственный за переписку.
Email: hoogs@mail.ru
ORCID iD: 0009-0001-6309-3350
SPIN-код: 8937-8653
Россия, 390026, Рязань, ул. Высоковольтная, д. 9
Список литературы
- Elangwe C.N., Morozkina S.N., Olekhnovich R.O., et al. Pullulan-based hydrogels in wound healing and skin tissue engineering applications: a review // Int J Mol Sci. 2023. Vol. 24, N 5. P. 4962. doi: 10.3390/ijms24054962
- Firlar I., Altunbek M., McCarthy C., et al. Functional hydrogels for treatment of chronic wounds // Gels. 2022. Vol. 8, N 2. P. 127. doi: 10.3390/gels8020127
- Francesko A., Petkova P., Tzanov T. Hydrogel dressings for advanced wound management // Curr Med Chem. 2018. Vol. 25, N 41. P. 5782–5797. doi: 10.2174/0929867324666170920161246
- Бубенчикова В.Н., Малютина А.Ю., Затолокина М.А., и др. Морфологическая характеристика течения раневого процесса при лечении экспериментальной инфицированной раны гелем на основе густого экстракта травы прозанника крапчатого // Современные проблемы науки и образования. 2013. № 3. С. 363. EDN: RPOOEF
- Sánchez M., González-Burgos E., Iglesias I., Gómez-Serranillos M.P. Pharmacological update properties of aloe vera and its major active constituents // Molecules. 2020. Vol. 25, N 6. P. 1324. doi: 10.3390/molecules25061324
- Prakoso Y.A., Kurniasih. The effects of aloe vera cream on the expression of CD4+ and CD8+ lymphocytes in skin wound healing // J Trop Med. 2018. Vol. 2018. P. 6218303. doi: 10.1155/2018/6218303
- Савченко Ю.П., Федосов С.Р. Методы определения размеров раневой поверхности // Вестник хирургии им. И.И. Грекова. 2007. Т. 166, № 1. С. 102–105. EDN: ISVFLL
- Шестакова В.Г., Банин В.В., Баженов Д.В. Морфометрия и математическое моделирование регенераторного процесса полнослойной раны кожи при стимулированном ангиогенезе // Медицинская наука и образование Урала. 2022. Т. 23, № 1. С. 200–203. EDN: NZIDPW doi: 10.36361/1814-8999-2022-23-1-200-203
- Prakoso Y.A., Setiyo Rini C., Wirjaatmadja R. Efficacy of Aloe vera, Ananas comosus, and Sansevieria masoniana cream on the skin wound infected with MRSA // Adv Pharmacol Sci. 2018. Vol. 2018. P. 4670569. doi: 10.1155/2018/4670569
- Teplicki E., Ma Q., Castillo D.E., et al. The effects of aloe vera on wound healing in cell proliferation, migration, and viability // Wounds. 2018. Vol. 30, N 9. P. 263–268.
- Никитин В.Г. Инновационные средства местного лечения ран // Сахарный диабет. 2007. № 3. С. 69–73. EDN: ICFNVF doi: 10.14341/2072-0351-6003
- Alven S., Aderibigbe B.A. Chitosan and cellulose-based hydrogels for wound management // Int J Mol Sci. 2020. Vol. 21, N 24. P. 9656. doi: 10.3390/ijms21249656
Дополнительные файлы


