Анализ гистологических особенностей и морфометрических показателей яичников при абсансной эпилепсии
- Авторы: Садртдинова И.И.1, Хисматуллина З.Р.1
-
Учреждения:
- Уфимский университет науки и технологий
- Выпуск: Том 160, № 2 (2022)
- Страницы: 85-92
- Раздел: Оригинальные исследования
- URL: https://ogarev-online.ru/1026-3543/article/view/143743
- DOI: https://doi.org/10.17816/morph.119879
- ID: 143743
Цитировать
Полный текст
Аннотация
Обоснование. Абсансная эпилепсия является одним из наиболее распространённых эпилептических синдромов, который чаще встречается у девочек. Нередко в подростковом возрасте присоединяются генерализованные тонико-клонические приступы (до 50%). У женщин, страдающих эпилепсией, часто отмечают нарушение репродуктивной функции. В этой связи актуальным представляется исследование морфофункционального состояния яичников при абсансной эпилепсии.
Цель исследования — оценка морфологических и морфометрических параметров яичников при абсансной эпилепсии.
Материалы и методы. С помощью гистологических и морфометрических методов проведено исследование яичников крыс линий Wistar и WAG/Rij (генетическая модель абсансной эпилепсии человека).
Результаты. У крыс линии WAG/Rij обнаружена деструкция коркового и мозгового веществ яичника: слой гранулёзных клеток, окружающих ооцит, имел более рыхлую структуру по сравнению с нормой, наблюдались деструктивные изменения фолликулярного эпителия и апоптотическая гибель гранулёзных клеток. Морфометрический анализ показал, что у крыс линии WAG/Rij вес яичников был в 2 раза меньше, чем у крыс линии Wistar: 37,30±0,93 мг против 55,84±2,36 мг. Толщина эпителиального слоя составила 7,81±0,25 мкм, что на 26,2% меньше, чем у крыс линии Wistar (p <0,05). Фолликулы яичников крыс линии WAG/Rij были неправильной формы, меньшего диаметра и площади, а численная плотность всех видов фолликулов была ниже по сравнению с крысами линии Wistar, что свидетельствует о нарушении процессов овуляции.
Заключение. При абсансной эпилепсии наблюдались структурные и количественные изменения в яичниках крыс WAG/Rij, что свидетельствует о нарушениях эндокринной функции яичников и процесса фолликулогенеза.
Ключевые слова
Полный текст
ВВЕДЕНИЕ
Эпилепсия — это хроническое неврологическое заболевание головного мозга, которое оказывает негативное влияние на состояние физического и психического здоровья человека, приводя к выраженному снижению качества жизни и нарушению репродуктивной функции [1–4]. Известно, что женские половые гормоны играют важную роль в регуляции абсансных приступов как у пациентов-людей, так и у моделей животных [5, 6]. В регуляции репродуктивной функции принимают участие мозговые структуры, являющиеся составной частью гипоталамо-гипофизарно-овариальной системы [7]. Начальным звеном этой оси служат нейроны, синтезирующие гонадотропин-рилизинг-гормон [8]. Эпилептические приступы приводят к нарушению секреции гонадотропных гормонов, что объясняет высокую распространённость сексуальных расстройств и бесплодия у больных эпилепсией [7, 9–11]. По данным литературы, у женщин с эпилепсией отмечаются нарушения менструального цикла, синдром поликистозных яичников, функциональная гипоталамическая аменорея [12, 13].
Целью настоящего исследования стала оценка морфологических и морфометрических параметров яичников при абсансной эпилепсии.
МАТЕРИАЛЫ И МЕТОДЫ
Опыты проводились на половозрелых самках крыс линий Wistar (контроль) и WAG/Rij (признанная модель абсансной эпилепсии человека), в каждой группе по 10 животных в возрасте 5 мес, массой тела — 150–170 г. Всех использованных в работе животных содержали в стандартных условиях вивария кафедры физиологии и общей биологии Уфимского университета науки и технологий при обычном световом и температурном режимах. При работе с крысами полностью соблюдались этические принципы, установленные Европейской конвенцией по защите позвоночных животных, используемых для экспериментальных и других научных целей (Страсбург, 2006).
Для проведения морфологического исследования яичники фиксировали в нейтральном забуференном 10% формалине, материал заливали в парафин по стандартной методике. На санном микротоме получали серийные срезы толщиной 10–15 мкм, окрашивали гематоксилином и эозином. Морфометрические измерения (количество и диаметр фолликулов, толщина однослойного эпителия и белочной оболочки яичника) осуществляли с использованием программы Levenhuk ToupView v. 3.7.2774, разрешение изображений — 1300×1030 пикселей. Изучение гистологических препаратов проводили при увеличениях 4×10, 10×10 и 40×10.
Статистическая обработка полученных результатов выполнена с помощью пакета прикладных программ Statistica v.10.0 (Stat Soft Inc., США). Для оценки значимости различий применяли непараметрический U-критерий Манна–Уитни. Различия считали статистически значимыми при p <0,05.
РЕЗУЛЬТАТЫ
Проведённый нами анализ гистологических препаратов показал, что яичники крыс линии Wistar были покрыты однослойным кубическим эпителием, под которым находилась белочная оболочка, образованная плотной волокнистой соединительной тканью. В центре яичника определялось мозговое вещество, а по периферии — корковое вещество. В корковом веществе были видны фолликулы на разных стадиях зрелости.
При анализе фолликулярного аппарата мы опирались на классификацию C. Emori и K. Sugiura, которая учитывает размер фолликулов и наличие в них полостей [14]. Установлено, что фолликулы в большинстве случаев имели округлую или овальную форму. Между фолликулами определялась соединительнотканная строма яичника. Непосредственно под белочной оболочкой яичника в виде цепочки были расположены примордиальные фолликулы, а также первичные фолликулы, внутри которых визуализировался ооцит 1-го порядка, окружённый одним слоем кубических клеток фолликулярного эпителия.
Вторичные фолликулы были распределены неравномерно по всему яичнику и легко выявлялись. У них формировалась соединительнотканная оболочка — тека. Ооциты стали крупнее и были окружены двумя или более слоями близко расположенных друг к другу фолликулярных клеток кубической формы. Вокруг ооцита четко определялась блестящая оболочка.
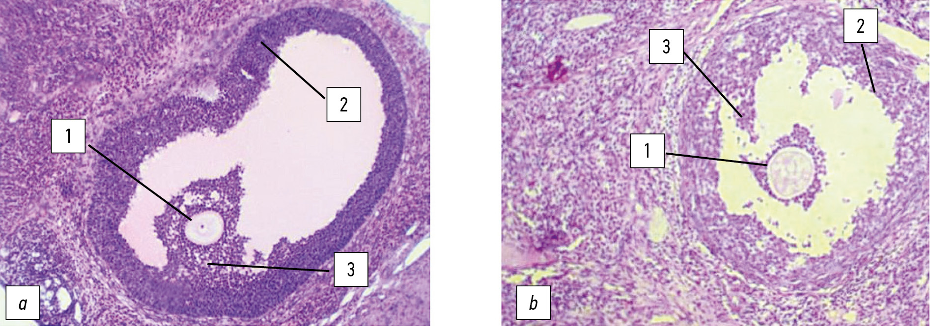
По мере созревания вторичный фолликул заполняется фолликулярной жидкостью и превращается в третичный фолликул и далее в зрелый. Зрелые фолликулы располагались на поверхности коркового вещества яичника. Они отличались крупными размерами, эксцентрично расположенным ооцитом в яйценосном бугорке (рис. 1, a). Ооцит окружён блестящей оболочкой и лучистым венцом, представляющим собой слой фолликулярных клеток, внутренние части которых обращены к блестящей оболочке.
Рис. 1. Зрелый фолликул (Граафов пузырёк) яичника крыс линий Wistar (a) и WAG/Rij (b): 1 — ооцит; 2 — фолликулярный слой, 3 — яйценосный холмик. Окраска гематоксилином и эозином. Об. ×10, ок. ×10. / Fig. 1. Mature ovarian follicle of Wistar (a) and WAG/Rij (b) rat lines: 1 — oocyte; 2 — follicular layer, 3 — egg-bearing mound. Stained with hematoxylin and eosin. Lens ×10, ocular ×10.
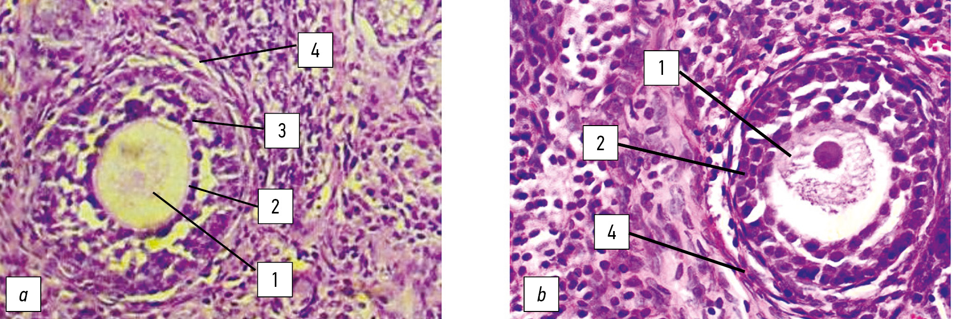
Рис. 2. Вторичные фолликулы яичника крысы линии WAG/Rij, определяется истончение блестящей оболочки (a) и отсутствие блестящей оболочки (b): 1 — ооцит, 2 — блестящая оболочка, 3 — гранулёзные клетки, 4 — тека. Окраска гематоксилином и эозином. Об. ×10, ок. ×40. / Fig. 2. Secondary ovarian follicles of the WAG/Rij rat line, thinning of the zona pellucida (a) and absence of the zona pellucida (b) are determined: 1 — oocyte, 2 — zona pellucida, 3 — granulosa cells, 4 — theca. Stained with hematoxylin and eosin. Lens ×10, ocular ×40
Местами встречались жёлтые тела и атретические фолликулы, в которых находились разрушенные первичные ооциты.
Гистологический анализ яичников самок крыс линии WAG/Rij позволил выявить морфологические изменения их основных компонентов (рис. 3). Определялось утолщение белочной оболочки яичника по сравнению с контрольной группой. Однослойный поверхностный эпителий представлен клетками кубической формы. При визуальном анализе микропрепаратов в яичниках крыс линии WAG/Rij отмечено увеличение объёма мозгового вещества яичника крысы по отношению к корковому веществу.
Рис. 3. Общий план строения яичника крысы линии WAG/Rij: 1 — корковое вещество, 2 — мозговое вещество, 3 — зрелый фолликул. Окраска гематоксилином и эозином. Об. ×4, ок. ×10. / Fig. 3. General plan of the structure of the ovary of a WAG/Rij rat: 1 — cortical substance, 2 — medulla, 3 — mature follicle. Stained with hematoxylin and eosin. Lens ×4, ocular ×10.
Фолликулярный аппарат крыс линии WAG/Rij был представлен фолликулами всех стадий развития. Примордиальные фолликулы располагались преимущественно одиночно, первичные и вторичные фолликулы часто имели овальную форму, зрелые фолликулы встречались единично.
Во вторичных фолликулах слой фолликулярных клеток, окружающих ооцит, у крыс линии WAG/Rij, по сравнению с линией Wistar, имеет более рыхлую структуру без чёткой границы между фолликулярными клетками, наблюдается истончение блестящей оболочки, а иногда — её отсутствие (см. рис. 2). В ооцитах местами имеет место отёк цитоплазмы.
Зрелые фолликулы имели относительно небольшие размеры и неправильную форму (рис. 3).
Не все фолликулярные клетки плотно прилегали друг к другу, некоторые располагались разрозненно (рис. 1, b). В яичниках крыс линии WAG/Rij мы также обратили внимание на высокое содержание атретических фолликулов.
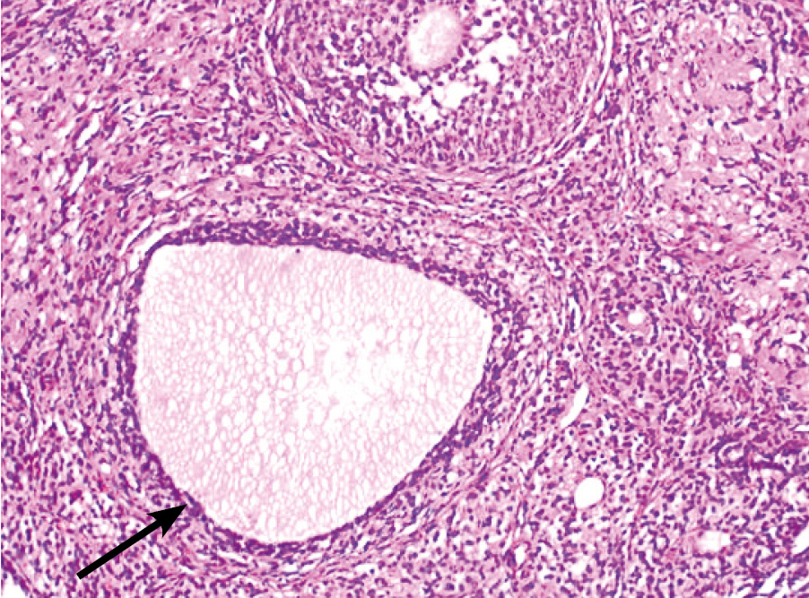
Кроме того, в яичниках крыс линии WAG/Rij нами зафиксированы кистоподобные образования различных размеров (рис. 4). Их полости были заполнены гомогенным эозинофильным содержимым, сходным по морфологическим признакам с фолликулярной жидкостью.
Рис. 4. Кистоподобное образование в яичнике крысы линии WAG/Rij (стрелка). Окраска гематоксилином и эозином. Об. ×10, ок. ×10. / Fig. 4. Cyst-like formation in the ovary of a WAG/Rij rat (arrow). Stained with hematoxylin and eosin. Lens ×10, ocular ×10.
Несмотря на указанные морфофункциональные изменения, определялись растущие фолликулы, соответствующие стадиям нормального развития, что говорит о сохранности овуляции.
Далее нами выполнен морфометрический анализ яичников крыс в норме и при абсансной эпилепсии.
В ходе исследования установлена разница в весовых параметрах яичников: у крыс линии WAG/Rij вес яичников был меньше по сравнению с Wistar (табл. 1), что указывает на структурные изменения яичников.
Таблица 1. Средние количественные показатели структурных компонентов яичников крыс, M±m / Table 1. Mean quantitative indicators of structural components of rat ovaries, M±m
Показатели | Крысы линии Wistar | Крысы линии WAG/Rji |
Вес яичников, мг | 55,84±2,36 | 37,30±0,93* |
Толщина однослойного эпителия, мкм | 10,57±0,39 | 7,81±0,25* |
Толщина белочной оболочки яичника, мкм | 12,62±0,35 | 12,11±0,32 |
Количество первичных фолликулов, n | 14,02±0,22 | 9,31±0,23* |
Количество вторичных фолликулов, n | 11,07±1,89 | 8,24±0,36* |
Количество третичных фолликулов, n | 6,06±0,22 | 3,50±1,02* |
Диаметр первичного фолликула, мкм | 72,34±3,78 | 63,07±1,85* |
Диаметр вторичного фолликула, мкм | 181,37±9,95 | 156,34±11,04* |
Диаметр третичного фолликула, мкм | 253,91±22,01 | 215,31±26,11* |
* статистически значимые различия по сравнению с контрольной группой при p <0,05.
* statistically significant difference compared to the control group at p <0.05.
У крыс линии WAG/Rij толщина однослойного эпителия, покрывающего снаружи яичник крысы, была меньше на 26,2%, чем у крыс линии Wistar. В толщине белочной оболочки статистически значимых изменений не обнаружено.
Подсчёт фолликулов показал, что у крыс линии WAG/Rij численность овариальных фолликулов меньше, чем у Wistar (p <0,05) (см. табл. 1). Выявлено, что диаметр всех фолликулов у крыc линии WAG/Rij меньше по сравнению с Wistar (см. табл. 1).
ОБСУЖДЕНИЕ
В результате проведённого исследования у крыс линии WAG/Rij было обнаружено снижение количества овариальных фолликулов по сравнению с крысами линии Wistar, что свидетельствовало о нарушении процессов овуляции, а также уменьшение их размеров, связанное со структурно-функциональными изменениями в яичниках.
У крыс линии WAG/Rij фолликулы имели неправильную форму, прослеживалось незначительное нарушение адгезии между фолликулярными клетками, определялось истончение блестящей оболочки, окружающей ооцит, и иногда — её отсутствие. Известно, что блестящая оболочка формируется в растущих фолликулах во время фолликулогенеза между плазматической мембраной ооцита и внутренним слоем гранулёзных клеток [15] и представляет собой зону трофического и информационного контакта ооцита и кубических клеток фолликулярного эпителия [16].
Исследователями отмечается, что наиболее выраженным морфологическим признаком полового созревания является активный рост гонад, который у самок животных тесным образом связан с фолликулогенезом — поступательным развитием фолликулов от стадии примордиальных до Граафовых пузырьков. Он не только играет важную роль в росте и развитии яичников, от этого процесса зависит формирование гормонального статуса и воспроизводительная функция самки в целом [17].
Из наиболее изученных факторов, влияющих на фолликулогенез, выделяют фолликулостимулирующий и лютеинизирующий гормоны, регулирующие главным образом гормон-зависимую фазу роста и овуляцию [18]. Нарушенный фолликулогенез служит основой любой патологии генеративной функции яичников. По данным литературы, между структурно-метаболической организацией фолликулярного комплекса и способностью ооцита к оплодотворению существует зависимость, т.е. судьба яйцеклетки во многом зависит от состояния фолликулярного гистиона [19].
На некоторых препаратах выявлялись кистоподобные образования. Одной из возможных причин появления кист могут быть центральные нарушения вследствие отклонений в нормальной стимуляции яичников гонадотропными гормонами. Согласно литературным данным [7], гормональный дисбаланс ведёт к формированию кист из незрелых фолликулов, секретирующих тестостерон.
При снижении секреции гонадотропинов аденогипофизом рост фолликулов замедляется на стадии предполостных и малых полостных, сопровождаясь торможением активации ароматазной системы, уменьшением синтеза эстрогенов. Избыток фолликулостимулирующего гормона в сочетании с недостатком лютеинизирующего гормона приводит к формированию большого числа фолликулярных кист [20]. Фолликулогенез является ключевым компонентом репродуктивной физиологии [21]. Количественное исследование популяции фолликулов показало снижение их суммарного содержания у крыс линии WAG/Rij по сравнению с крысами линии Wistar, что может свидетельствовать о нарушении процесса фолликулогенеза и функции яичников в целом.
Полученные нами данные указывают на гипофункцию яичников, как репродуктивную, так и, возможно, эндокринную, так как одним из важнейших показателей структурно-функциональной зрелости яичника служат общее количество фолликулов и их морфометрические показатели [22].
Известно, что эпилепсия может нарушать работу гипоталамо-гипофизарной оси, влиять на частоту импульсных выбросов гонадотропин-рилизинг-гормона и секрецию лютеинизирующего гормона [23]. Полученные нами результаты согласуются с литературными данными, где отмечается, что вид эпилепсии, а также локализация поражения могут приводить к развитию различных репродуктивных нарушений [24]. В исследованиях показано, что электрические разряды как в межприступном периоде, так и во время генерализованных и фокальных приступов могут изменять секрецию гормонов на уровне гипофиза и яичников, и это может вызывать нарушения репродуктивной функции [25]. Ранее нами было выявлено, что у крыс линии WAG/Rij имеют место нерегулярные эстральные циклы [26].
ЗАКЛЮЧЕНИЕ
В представленной работе нами были впервые описаны структурно-количественные изменения в яичниках крыс линии WAG/Rij, которые являются генетической моделью абсансной эпилепсии человека. В дальнейшем наша работа будет сосредоточена на исследовании репродуктивных дисфункций в зависимости от возраста, а также от активизации эпилептоидных проявлений.
ДОПОЛНИТЕЛЬНО
Источник финансирования. Авторы заявляют об отсутствии внешнего финансирования при проведении исследования.
Конфликт интересов. Авторы декларируют отсутствие явных и потенциальных конфликтов интересов, связанных с публикацией настоящей статьи.
Вклад авторов. Авторы подтверждают соответствие своего авторства международным критериям ICMJE (все авторы внесли существенный вклад в разработку концепции, проведение исследования и подготовку статьи, прочли и одобрили финальную версию перед публикацией). Наибольший вклад распределён следующим образом: И.И. Садртдинова — обзор литературы, сбор и анализ литературных источников, сбор и обработка материала, статистическая обработка данных, написание текста и редактирование статьи; З.Р. Хисматуллина — обзор литературы, написание текста и редактирование статьи.
ADDITIONAL INFORMATION
Funding source. This study was not supported by any external sources of funding.
Competing interests. The authors declare that they have no competing interests.
Authors’ contribution. All authors made a substantial contribution to the conception of the work, acquisition, analysis, interpretation of data for the work, drafting and revising the work, final approval of the version to be published and agree to be accountable for all aspects of the work. I.I. Sadrtdinova — literature review, collection and analysis of literary sources, collection and processing of material, statistical data processing, writing and editing of the article; Z.R. Khismatullina — literature review, writing and editing of the article.
Об авторах
Индира Илдаровна Садртдинова
Уфимский университет науки и технологий
Автор, ответственный за переписку.
Email: indira.ildarovna@mail.ru
ORCID iD: 0000-0002-4951-0189
SPIN-код: 3902-9682
к.б.н., доцент
Россия, 450076, Республика Башкортостан, Уфа, ул. Заки Валиди, д. 32Зухра Рашидовна Хисматуллина
Уфимский университет науки и технологий
Email: hismatullinazr@mail.ru
ORCID iD: 0000-0002-3209-5265
SPIN-код: 3247-0240
д.б.н., доцент
Россия, 450076, Республика Башкортостан, Уфа, ул. Заки Валиди, д. 32Список литературы
- Isojärvi J.I. Reproductive dysfunction in women with epilepsy // Neurology. 2003. Vol. 61, N 6 (suppl. 2). P. 27–34. doi: 10.1212/wnl.61.6_suppl_2.s27
- Markoula S., Siarava E., Keramida A., et al. Reproductive health in patients with epilepsy // Epilepsy Behav. 2020. Vol. 113. P. 107563. doi: 10.1016/j.yebeh.2020.107563
- Nakamura J., Sorge S.T., Winawer M.R., et al. Reproductive decision-making in families containing multiple individuals with epilepsy // Epilepsia. 2021. Vol. 6, N 5. P. 1220–1230. doi: 10.1111/epi.16889
- Santos A.M.C., Castro Lima Filho H., Siquara G.M., et al. Sexual function in women of fertile age with epilepsy // Epilepsy Behav. 2021. Vol. 125. P. 108399. doi: 10.1016/j.yebeh.2021.108399
- Садртдинова И.И., Хисматуллина З.Р. Амигдала в системе регуляции репродуктивных функций организма при абсансной эпилепсии. Москва : Научно-издательский центр «ИНФРА-М», 2018. 148 с. doi: 10.12737/monography_59fc4bd4451037.74493919
- Verrotti A., Greco R., Latini G., Chiarelli F. Endocrine and metabolic changes in epileptic patients receiving valproic acid // J Pediatr Endocrinol Metab. 2005. Vol. 18, N 5. P. 423–430. doi: 10.1515/jpem.2005.18.5.423
- Котов А.С. Эпилепсия у женщин репродуктивного возраста // Анналы клинической и экспериментальной неврологии. 2010. Т. 4, № 3. С. 10–13.
- Genton P., Bauer J., Duncan S., et al. On the association between valproate and polycystic ovary syndrome // Epilepsia. 2001. Vol. 42, N 3. P. 295–304. doi: 10.1046/j.1528-1157.2001.28899.x
- Bilo L., Meo R., Valentino R., et al. Characterization of reproductive endocrine disorders in women with epilepsy // J Clin Endocrinol Metab. 2001. Vol. 86, N 7. P. 2950–2956. doi: 10.1210/jcem.86.7.7633
- Pack A. Effects of treatment on endocrine function in patients with epilepsy // Curr Treat Options Neurol. 2005. Vol. 7, N 4. P. 273–280. doi: 10.1007/s11940-005-0037-8
- Cramer J.A., Jones E.E. Reproductive function in epilepsy // Epilepsia. 1991. Vol. 32, N 6. P. 19–26. doi: 10.1111/j.1528-1157.1991.tb05887.x
- Bauer J., Cooper-Mahkorn D. Reproductive dysfunction in women with epilepsy: menstrual cycle abnormalities, fertility, and polycystic ovary syndrome // Int Rev Neurobiol. 2008. Vol. 83, P. 135–155. doi: 10.1016/S0074-7742(08)00007-X
- Markoula S., Siarava E., Keramida A., et al. Reproductive health in patients with epilepsy// Epilepsy Behav. 2020. Vol. 113, P. 107563. doi: 10.1016/j.yebeh.2020.107563
- Emori C., Sugiura K. Role of oocyte-derived paracrine factors in follicular development // Anim Sci J. 2014.Vol. 85, N 6. Р. 627–633. doi: 10.1111/asj.12200
- Sinowatz F., Kölle S., Töpfer-Petersen E. Biosynthesis and expression of zonapellucida glycoproteins in mammals // Cells Tissues Organs. 2001. Vol. 168, N 1–2. P. 24–35. doi: 10.1159/000016803
- Avella M.A., Xiong B., Dean J. The molecular basis of gamete recognition in mice and humans // Mol Hum Reprod. 2013. Vol. 19, N 5. P. 279–289. doi: 10.1093/molehr/gat004
- Сеин О.Б., Сеин Д.О., Кононова М.С. Особенности фолликулогенеза у свиней в период пубертата // Вестник Курской государственной сельскохозяйственной академии. 2010. № 1. С. 76–78.
- Fawley J.A., Pouliot W.A., Dudek F.E. Epilepsy and reproductive disorders: the role of the gonadotropin-releasing hormone network // Epilepsy Behav. 2006. Vol. 8, N 3. P. 477–482. doi: 10.1016/j.yebeh.2006.01.019
- Кулаков В.И., Овсянникова Т.В. Проблемы и перспективы лечения бесплодия в браке // Акушерство и гинекология. 1997. № 3. С. 5–8.
- Диндяев С.В. Функциональная и клиническая морфология яичников. Иваново : Ивановская государственная медицинская академия, 2010. 218 с.
- Islam M.R., Ichii O., Nakamura T., et al. Unique morphological characteristics in the ovary of cotton rat (Sigmodon hispidus) // J Reprod Dev. 2020. Vol. 66, N 6. P. 529–538. doi: 10.1262/jrd.2020-061
- Дуденкова Н.А., Шубина О.С., Комарова Н.А. Морфологические особенности строения яичников при свинцовой интоксикации // Естественные и математические науки в современном мире. 2015. № 34. С. 67–81.
- Verrotti A., D’Egidio C., Mohn A., et al. Antiepileptic drugs, sex hormones, and PCOS // Epilepsia. 2011. Vol. 52, N 2. P. 199–211. doi: 10.1111/j.1528-1167.2010.02897.x
- Morrell M.J., Guidice L., Flynn K.L., et al. Predictors of ovulatiry failure in women with epilepsy // Ann Neurol. 2002. V. 52, N 6. P. 704–11. doi: 10.1002/ana.10391
- Herzog A.G., Coleman A.E., Jacobs A.R., et al. Interictal EEG discharges, reproductive hormones, and menstrual disorders in epilepsy // Ann Neurol. 2003. Vol. 54, N 5. P. 625–637. doi: 10.1002/ana.10732
- Рахматуллина Г.А., Садртдинова И.И. Влияние витамина Е на эстральный цикл крыс линии WAG/Rij // Доклады Башкирского университета. 2020. Т. 5, № 2. С. 88–91. doi: 10.33184/dokbsu-2020.2.2
Дополнительные файлы





