Molecular hydrogen reduces mean and systolic blood pressure in various forms of hypertension, as well as inflammatory processes in lung tissue, in Wistar rats
- 作者: Artemieva М.М.1, Kuropatkina Т.А.2,3, Shishkina V.V.4, Serebryanaya D.V.1,5, Adasheva D.А.1, Medvedev О.S.1,6, Medvedeva N.А.1
-
隶属关系:
- Lomonosov Moscow State University
- Plekhanov Russian University of Economics
- Peoples' Friendship University of Russia
- Voronezh State Medical University named after N.N. Burdenko
- Pirogov Russian National Research Medical University
- National Medical Research Centre of Cardiology
- 期: 卷 110, 编号 10 (2024)
- 页面: 1666-1682
- 栏目: EXPERIMENTAL ARTICLES
- URL: https://ogarev-online.ru/0869-8139/article/view/274776
- DOI: https://doi.org/10.31857/S0869813924100073
- EDN: https://elibrary.ru/VRNEGA
- ID: 274776
如何引用文章
全文:
详细
Molecular hydrogen demonstrates antioxidant and anti-inflammatory properties. It has been shown to have a protective effect in several cardiovascular diseases. The aim of this work was to study the effect of breathing atmospheric air containing 4% hydrogen on the degree of development of monocrotaline-induced pulmonary hypertension and associated lung tissue inflammation, as well as the severity of renovascular hypertension in Wistar rats. Methods. Monocrotaline-induced pulmonary hypertension (MCT-PH) was used as a model of small circle hypertension. Three groups of animals were used in the experiment: "Control" – animals injected with monocrotaline solvent, "MCT-Control" and "MCT-H2" – groups injected with MCT once. The "Control" and "MCT-Control" groups breathed atmospheric air for 21 days, and the "MCT-H2" group breathed air containing 4% hydrogen. Inhalations were kept constant until 21 days. On day 21, haemodynamic parameters were measured under urethane anesthesia and lung samples were fixed for subsequent morphological analysis. Renovascular hypertension 1R1С (RVH) was used as a model of systemic hypertension. There were two groups in the experiment: RVH-C – rats breathed atmospheric air and RVH-H2 rats breathed air containing 4% hydrogen. During the experiment, systolic blood pressure (SBP) was measured and renal excretory function was assessed. On day 28, haemodynamic parameters were measured under urethane anesthesia. Results. In the MCT model, hydrogen had no effect on the haemodynamic symptoms of MCT hypertension, but decreased mean blood pressure (MBP), SBP and the measured markers of connective tissue remodeling in the lungs, TGF-β and MMP-9, and resulted in decreased tryptase secretion and mast cell counts. In the RVG model, hydrogen breathing decreased MBP, SBP and had no effect on renal excretory function. Conclusion. Inhalation of 4% hydrogen reduces systemic MBP and SBP in both models of arterial hypertension, reduces the severity of the inflammatory process, regulates the phenotypic and functional status of mast cells and inhibits the activity of profibrotic factors in lung tissue in MCT-PH. It is likely that the central action of hydrogen is combined with its anti-inflammatory and anti-fibrotic effects.
全文:
ВВЕДЕНИЕ
Артериальное давление (АД) является интегративным показателем состояния сердечно-сосудистой системы. Нормальный уровень давления в организме создается и регулируется нервным, гуморальным, гормональным, местным и др. механизмами. Длительное повышение АД приводит к развитию артериальной гипертонии. Гипертония – обширная группа заболеваний, которая характеризуется стойким увеличением АД и является одной из ведущих причин возникновения сердечно-сосудистых заболеваний в организме человека [1]. В последнее время появляются данные, что одним из важнейших факторов патогенеза этого заболевания являются оксидативный стресс и воспаление. Оба этих фактора опосредуют патологические изменения миокарда, сосудов и окружающей ткани. Среди перспективных и неспецифических методов предупреждения и терапии гипертонии рассматривается применение антиоксидантов [2]. Молекулярный водород – природный антиоксидант, может избирательно нейтрализовать гидроксильные радикалы (OH) и пероксинитрит (ONOO-), которые являются очень сильными окислителями и активность которых приводит к необратимым изменениям тканей и гибели клеток. Важно, что молекулярный водород не восстанавливает такие важные сигнальные молекулы в тканях, как Н2О2 и NO [3]. Влияние молекулярного водорода на организм умеренное, побочных эффектов до сих пор не выявлено [4]. Обладая такими свойствами, молекулярный водород может уменьшать оксидативный стресс, при этом не влияя на сигнальные молекулы, участвующие в физиологических процессах в клетках [5]. Тучные клетки (ТК) рассматриваются потенциальными мишенями для выявления противовоспалительных эффектов молекулярного водорода и иммунного ответа. Ферменты и протеазы (триптаза), высвобождаемые ТК, а также образующиеся во время дегрануляции активные формы кислорода, сопровождают ранние стадии воспалительного процесса [6]. Кроме того, было показано, что Н2 способен ингибировать синтез провоспалительных и воспалительных цитокинов, изменяя внутриклеточные пути реализации их сигналов [7]. Открытие этих свойств Н2 положило начало широкому кругу исследований на животных о возможном влиянии Н2 на течение различных сердечно-сосудистых и других заболеваний. В работах, проведенных на крысах, было показано, что добавление молекулярного водорода к атмосферному воздуху, которым дышат животные, уменьшает ишемическое/реперфузионное повреждение миокарда за счет снижения оксидативного стресса и NLRP3-опосредованного пироптоза у крыс [8]. Защитное действие газообразного водорода продемонстрировано также при изучении ишемического/реперфузионного повреждения спинного мозга. Показано, что транспортер-1 глутамата играет важную роль в этом эффекте [9]. Были получены данные о том, что вдыхание газообразного водорода уменьшает ремоделирование миокарда сердца и фиброз путем регулирования воспаления у крыс с инфарктом миокарда [10] и в легких у животных с легочной гипертонией [11]. Матриксные металлопротеиназы (MMП) представляют собой группу ферментов, участвующих в деградации большинства компонентов внеклеточного матрикса и, следовательно, в ремоделировании тканей, связанном с патологическими состояниями, в том числе с развитием легочной гипертонии [12]. Матриксная металлопротеиназа-9 (MMП-9), влияя на активацию тканевого фактора, при взаимодействии с MMП-2 вызывает нарушение строения дыхательных путей и базальной мембраны сосудов, что напрямую приводит к повышению их проницаемости. Кроме того, MMП-9 усиливает активность нейтрофилов через NF-κB-путь, увеличивает высвобождение воспалительных факторов, таких как IL-6, и катализирует прогрессирование легочного воспаления [12].
В исследованиях используют несколько способов применения водорода, каждый из которых имеет свои особенности. В настоящее время в экспериментальных и клинических исследованиях часто применяют ингаляции воздухом, содержащим разный процент добавленного водорода. Было показано, что вдыхание газовой смеси с концентрацией водорода от 2 до 4% безопасно [13].
Несмотря на большое количество работ, касающихся изучения защитного действия молекулярного водорода на развитие патологий сердца и мозга, исследования на моделях гипертонии единичны. Так, в одном из них было показано, что ежедневные 4-часовые ингаляции с Н2 у пожилых людей (50–70 лет) с диагностированной артериальной гипертонией приводят к уменьшению систолического артериального давления [14]. Предполагается, что кроме изменения активности ренин-ангиотензиновой системы, в этом эффекте принимает участие уменьшение активности симпатической системы. В связи с этим мы в настоящей работе изучали влияние Н2 на развитие гипертонии на двух моделях. Первая модель воспроизводит гипертонию малого круга кровообращения – легочную гипертонию, которая характеризуется увеличением среднего артериального давления в легочных сосудах более чем на 25 мм рт. ст. Развитие МКТ гипертонии ассоциировано с интерстициальной болезнью легких (ИЗЛ). При этом наблюдается развитие эндотелиальной дисфункции, воспаления, оксидативного стресса, ремоделирование сосудистой стенки и соединительной ткани легких, т. е. все симптомы развития ИЗЛ [15]. Важно, что эта форма гипертонии не сопровождается изменением системного артериального давления. Изучены многие молекулярные механизмы, лежащие в основе ее патогенеза [16]. Уменьшение процессов воспаления и фиброза в легких может явиться маркером действия молекулярного водорода при ингаляциях.
В качестве второй модели была выбрана модель гипертонии большого круга кровообращения – реноваскулярная гипертония “одна почка – одна клипса” (РВГ 1П1К), которая зависит от ренин-агиотензиновой системы только в начале заболевания. Показано, что механизм развития РВГ запускается при сужении просвета приносящей почечной артерии не менее чем на 70–80% [17]. Считается, что важную роль в увеличении системного артериального давления и ЧСС играет увеличение симпатической активности [18].
Таким образом, целью настоящего исследования явилось изучение влияния дыхания атмосферным воздухом, содержащим 4% молекулярного водорода, на степень развития МКТ-легочной гипертонии и ассоциированной с ней интерстициальной болезни легких, а также выраженности реноваскулярной (1П1К) гипертонии в экспериментах на крысах.
МЕТОДЫ ИССЛЕДОВАНИЯ
Животные. Исследование проводили на самцах крыс линии Wistar, массой 180–220 г, полученных из вивария НИИ общей патологии и патофизиологии (Москва, Россия). При содержании крыс соблюдались условия 12-часового светового дня со свободным доступом к воде и пище при контроле влажности и температуры. Эксперименты начинали не ранее, чем через 7 дней после доставки животных.
Моделирование МКТ-ЛГ. Эксперименты проводились на 24 животных, которые были разделены на три группы по 8 крыс. Для получения модели МКТ-ЛГ животным однократно подкожно вводили монокроталин (МКТ) (60 мг/кг в 60%-ном этиловом спирте) (Sigma Aldrich, Дармштадт, Германия). Контрольной группе (Контроль) вводили только растворитель для МКТ (эквивалентный объем 60%-ного этилового спирта). Животные этой группы были помещены в пластиковые камеры, так же как и МКТ группы, они дышали атмосферным воздухом. Животные, получавшие МКТ-инъекцию, были разделены на две группы. В 1-й группе крысы дышали атмосферным воздухом (МKТ-Контроль), во 2-й группе – атмосферным воздухом, содержащим 4% водорода (МKТ-Н2). Воздействие было хроническим – в течение 3 недель. В течение этого времени убыль животных не наблюдалась, однако в ходе острого эксперимента не всегда удавалось корректно измерить систолическое давление в правом желудочке сердца как одного из симптомов развития МКТ-ЛГ, или же животные с гипертонией плохо переносили наркоз и умирали. Поэтому в конечном итоге представлены результаты по 5 или 6 животным в группах.
Схема эксперимента. В ходе эксперимента животных помещали в пластиковые контейнеры объемом 130 л (SAMLA 203.764.41, Inter IKEA Systems). Внутри каждого контейнера располагалось по две клетки Т3 для животных, в каждой из которых помещалось по 4 крысы. Для вентиляции контейнеров использовали воздушный компрессор (Hiblow XP 40, Techno Takatsuki CO, Япония). Водород подавали от генератора молекулярного водорода (Pioneer, Vodorodpomogaet Россия). Подачу водорода и атмосферного воздуха контролировали ротаметрами (LZB-3, LZM-4T, Китай). Она составляла 0.15 л/мин для водорода и 4 л/мин для воздуха. Содержание водорода в этом случае составляло 3.5–4.0% в воздухе, которым дышали крысы (рис. 1).
Риc. 1. Схематическое изображение экспериментальной установки.
Моделирование РВК 1П1К. Перед началом эксперимента животных взвешивали, измеряли систолическое артериальное давление (САД) плетизмографическим методом и помещали в метаболические клетки производства компании Tecniplast на 22 ч. Животные в метаболических клетках (метабоклетки) имели неограниченный доступ к воде. Сразу после того, как животных извлекали из метабоклеток, у них из хвостовой вены отбирали пробы крови на биохимический анализ, определяли количество выпитой воды и суточный объем выделенной мочи. Полученные образцы крови и мочи замораживали при температуре –20 °С для последующего анализа. Животные после метабоклеток восстанавливались в течение двух дней для увеличения выживаемости при последующей операции.
Операцию по моделированию РВГ 1П1К гипертонии проводили под тиопенталовым наркозом (40 мг/кг, 20 мг/мл в 0.9%-ном растворе NaCl, внутрибрюшинно). У животных удаляли правую почку, а на почечную артерию левой почки накладывали клипсу, которую изготовляли из отрезка серебряной ленты (толщина 0.1 мм) длиной 8–9 мм, шириной 2 мм. Просвет клипсы составлял 0.26–0.27 мм в зависимости от массы тела крысы. После операции крысам внутрибрюшинно вводили антибиотик ципрофлоксацин, 5 мг/кг/день, 2 мг/мл, в течение четырех дней (Ciprinol®, раствор для инфузии, KRKA). Оперированных животных помещали в индивидуальные клетки на 7 дней.
Спустя неделю после операции животным измеряли САД плетизмографическим методом и разделяли их на 2 группы – РВГ-К и РВГ-Н2. Животных распределяли так, чтобы усредненное увеличение САД после операции было статистически равным между двумя группами. Так же как и в предыдущих экспериментах, в течение 3 недель животные в опытной группе (РВГ-Н2) дышали воздухом, содержащим 4% молекулярного водорода, а животные в контрольной группе (РВГ-К) дышали атмосферным воздухом. За 2 дня до острого эксперимента животных сажали в метаболические клетки, проводили измерение массы до и после метабоклеток, определяли потребление воды за сутки и объем суточной мочи, проводили отборы проб сыворотки крови и мочи. В пробах крови и мочи проводили измерение содержания креатинина и мочевины коммерческими наборами.
Для регистрации гемодинамических параметров животных анестезировали уретаном (1.2 г/кг, 0.6 г/мл в воде) внутрибрюшинно. Среднее артериальное давление (ср. АД), систолическое АД (САД), диастолическое АД (ДАД) и систолическое давление в правом желудочке (СПЖД) в случае МКТ-ЛГ животных и частоту сердечных сокращений (ЧСС) оценивали непосредственно с помощью датчика артериального давления Statham (Statham Instrument Inc., Лос-Анджелес, Калифорния, США). Данные через усилитель и аналого-цифровой преобразователь L-Card E14–140 (версия 1, L-Card, Москва, Россия) передавались на компьютер. Наркотизированным крысам в бедренную артерию вживляли катетер РЕ10 для регистрации давления и ЧСС. В бедренную вену вставляли катетер РЕ 50 (Медсил, Москва, Россия) для введения веществ. Для МКТ-ЛГ животных в правую яремную вену вставляли катетер РЕ 50 и проводили его в правый желудочек под контролем регистрации кривой давления. О степени развития реноваскулярной гипертонии судили по изменению системного АД, а МКТ гипертонии – по величине СПЖД и гипертрофии правого желудочка сердца. Степень гипертрофии правого желудочка (ПЖ) оценивали как отношение массы ПЖ к сумме масс левого желудочка (ЛЖ) и межжелудочковой перегородки (пер) (ПЖ/(ЛЖ + пер)) в процентах.
Биохимический анализ проводили в образцах сыворотки крови и мочи животных с РВГ 1П1К. В пробах измеряли содержание креатинина и мочевины с помощью коммерческих наборов Ольвекc-Диагностикум (Россия): Креатинин-Ольвекс, Мочевина-Ольвекс. Спектрофотометрический анализ проводили на анализаторе Multiscan EX (Thermo EC, Delaware, США).
Морфологический анализ. Взятые образцы легких незамедлительно фиксировали в 10%-ном забуференном растворе формалина в течение 2–3 дней. После стандартной процедуры пробоподготовки из парафиновых блоков изготавливали серийные срезы толщиной 5 мкм для окрашивания гематоксилином и эозином, а также раствором Гимзы для идентификации ТК; срезы толщиной 2 мкм использовали для иммуногистохимического исследования. Иммуногистохимически определяли секрецию триптазы ТК с использованием мышиных моноклональных антител к триптазе (Abcam #ab2378, разведение 1 : 2000), профиброзные маркеры TGF-β 1 [EPR21143] (Abcam #ab215715, разведение 1 : 500) и MMП-9 [EP127] (#AC-0122RUO, разведение 1 : 200, Cell Marque, Epitomics Inc., США) для оценки ремоделирования легких. Проводили иммунофлуоресцентное выявление триптазы ТК (козий анти-мышиный IgG Ab (#A-11029) Invitrogen, (метка Alexa Fluor 488) и MMП-9 (козий анти-кроличий IgG Ab (#A-11034) Invitrogen, (метка-Cy3)), ядра контрастировали 4´,6-диамидино-2-фенилиндолом (DAPI, 5 мкг/мл в PBS). Количественный анализ иммунопозитивных клеток осуществлялся по 30 полям зрения при увеличении ×20. Сводные данные приведены в табл. 1. Все гистологические срезы анализировали слепым способом с использованием микроскопа Zeizz Imager.A2, программного обеспечения ImagePro (Германия).
Таблица 1. Среднее количество триптаза-позитивных тучных клеток и клеток, экспрессирующих профиброзные маркеры в 1 мм2 легких (M ± SD)
Группа Маркер | Контроль (n = 7) | MКT-Контроль (n = 6) | MКT-H2 (n = 6) |
Триптаза ТК | 23 ± 6 | 40 ± 13* | 28 ± 10*,# |
TGF-β | 4 ± 3 | 106 ± 50* | 42 ± 10*,# |
ММП-9 | 3 ± 1 | 48 ± 9* | 21 ± 7*,# |
Примечание. Триптаза ТК – *Контроль vs. MКT-Control, MКT-H2, p < 0.05, # MКT-H2 vs. MКT-Контроль, p < 0.05, one-way ANOVA; TGF-β – *Контроль vs. MКT-Control, MКT-H2, p < 0.00001, # MКT-H2 vs. контроль, MКT-Контроль односторонний ANOVA; *Контроль vs. MКT-Контроль, MКT-H2 , p < 0.05, # MКT-H2 vs. MКT-Контроль, p < 0.05, one-way ANOVA.
Статистическая обработка результатов. Данные экспериментов оформлены и представлены в виде среднего ± стандартное отклонение (M ± SD). Статистический анализ данных проводили в программах Statistica 12.0 (Statistica Inc., США) и GraphPad Prism 8.0. Проверку нормальности распределения проводили с помощью критерия Шапиро – Уилка. One-Way ANOVA использовали для определения наличия статистически значимых различий по одному фактору между средними значениями трех или более независимых групп. Для того чтобы установить одновременное влияние группы и продолжительности воздействия, а также оценить взаимодействие между этими факторами, использовали двухфакторный дисперсионный анализ Two-way ANOVA. Для сравнения ранговых данных использовали тест Краскела – Уоллиса. Исключение статистических выбросов проводили с использованием критерия ROUT при Q > 1%. Качественные данные описывали абсолютными (n) и относительными данными (%). Как статистически значимый рассматривали уровень доверительной вероятности р < 0.05.
РЕЗУЛЬТАТЫ ИССЛЕДОВАНИЯ
Изучение влияния молекулярного водорода на развитие МКТ-ЛГ
Влияния добавленного молекулярного водорода к атмосферному воздуху на основные сердечно-сосудистые показатели развития МКТ-ЛГ не было выявлено. Показатели СПЖД для группы МКТ-Контроль и МКТ-Н2 достоверно не отличались друг от друга и составляли 56 ± 7 мм рт. ст. (n = 5) и 55 ± 6 мм рт. ст. (n = 6) соответственно. Обе величины были достоверно выше СПЖД контрольной группы без МКТ-ЛГ, где оно составляло 29 ± 5 мм рт. ст. (p < 0.05), что свидетельствует о развитии МКТ-ЛГ в обеих экспериментальных группах. Индекс гипертрофии ПЖ сердца в группе контроля составил 29.2 ± 4.0%, в группе МКТ-Контроль – 38.3 ± 6.1% и в группе МКТ-Н2 – 42.1 ± 6.8%. Два последних показателя статистически значимо не отличались друг от друга, но были достоверно больше величины в группе Контроль (р < 0.05). Эти данные свидетельствуют о развитии гипертонии в МКТ группах и отсутствии влияния Н2 на этот показатель, что подтверждает полученные ранее данные [11].
Изучение величины САД показало, что в группе животных с МКТ-ЛГ, которые дышали атмосферным воздухом, содержащим 4% молекулярного водорода (МКТ-Н2), наблюдается достоверное уменьшение ср. АД на 11% по сравнению с ср. АД в контрольной группе и на 13% по сравнению с группой МКТ-Контроль (p < 0.05) (рис. 2).
Рис. 2. Среднее артериальное давление (а), систолическое (b) и диастолическое (c) артериальное давление на 21-й день эксперимента. *MCT-H2 vs Control, MCT-Control, p < 0.05, One-way ANOVA. Цифры внутри столбиков обозначают количество животных.
Так как ср. АД представляет собой некоторый усредненный показатель между САД и ДАД, мы посмотрели, за счет какой составляющей наблюдается выявленное нами уменьшение ср. АД. Как показано на рис. 2b, изменение ср. АД обусловлено снижением его систолической составляющей. САД в группе МКТ-Н2 составляет 107 ± 8 мм рт. ст., а в группе МКТ – 121 ± 9 мм рт. ст., в группе Контроль – 120 ± 15 мм рт. ст. (p < 0.05). ДАД и ЧСС при этом не отличались.
МКТ-ЛГ является моделью легочной гипертонии, ассоциированной с интерстициальным заболеванием легких, которое характеризуется воспалением и фиброзом. Морфологический анализ выявил признаки воспалительного процесса, а также изменение активности профиброзных маркеров в сторону активации синтеза фибриллярных структур с образованием фиброзных структур с неравномерной плотностью, утолщение стенок сосудистого русла (рис. 3b). Морфологический анализ образцов группы MКT-H2 показал, что структуры ацинуса приобрели классическую форму; альвеолы имели ячеистый вид и слегка утолщенные стенки с полноценными кровеносными сосудами в интерстиции (рис. 3e). Признаки интерстициального отека уменьшились, но пневмоциты с признаками гипертрофии сохранялись. Реакция ТК показала как количественное, так и функциональное снижение по сравнению с контрольной группой MКT. Ранее мы описывали, что дыхание воздухом с примесью 4% Н2 у животных с МКТ приводит к снижению количества и функциональной активности тучных клеток (включая клетки, содержащие триптазу) в среднем на 30% по сравнению с группой MКT-Контроль, т. е. вызывает уменьшение воспаления в легких (табл. 1). Секреция TGF-β альвеолярными макрофагами и альвеолярными клетками II типа была высокой по сравнению с контролем и MКT-H2 в группах (табл. 1, рис. 4). При общем увеличении количества клеток TGF-β наблюдалось их неравномерное распределение в респираторной части легкого с формированием преимущественного накопления в определенных локусах ацинуса. Продолжая это исследование, в данной работе мы проводили иммуногистохимический и иммунофлуоресцентный анализ содержания одного из ферментов семейства матриксных металлопротеиназ – ММП-9. Как уже говорилось выше, при ЛГ наблюдается ремоделирование стенки легочных сосудов. В этом процессе принимает участие и изменение внеклеточного матрикса, которое регулируется как иммунокомпетентными клетками, так и ферментами семейства ММП [19]. Результаты показали, что экспрессия MMП-9 в группе МКТ-Контроль была выше, чем в группах Контроль в 16 раз, а по сравнению с группой МКТ-Н2 – в 2.3 раза (р < 0.05) (табл. 1, рис. 4).
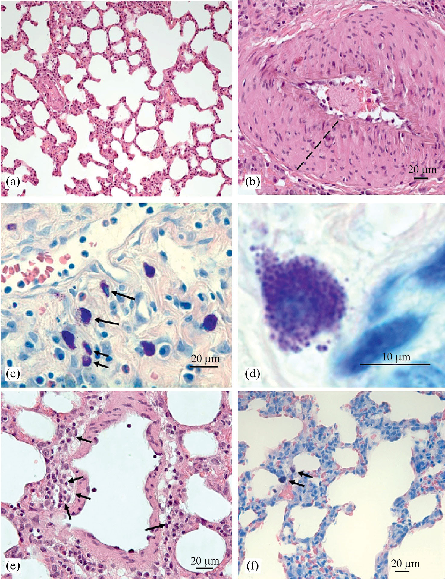
Рис. 3. Морфологические особенности структур легких и тучных клеток крыс линии Вистар при моделировании легочной гипертонии. Методы окрашивания: (a), (b), (e) – гематоксилин и эозин, (c), (d), (f) – раствор Гимзы. (a) – группа контроля, (b, c, d) – МКТ-Контроль, (e, f) – МКТ-Н2. (a) – в респираторном отделе легкого удлиненные альвеолярные проходы переходят в тонкостенные альвеолы, признаков воспалительного инфильтрата и отека стромы не наблюдается; (b) – выявляются структурные и функциональные изменения в артериальной стенке и облитерации просвета с гипертрофией медии; (c) – тучные клетки (фиолетовое окрашивание) инфильтрируют строму легочной ткани, активно дегранулируют; (d) – в локусе отмечаются нейтрофилы и плазмоциты; (e) – менее выраженный отек интерстициальных структур и альвеолоцитов легкого, периваскулярно расположено незначительное количество клеток воспалительного инфильтрата; (f) – единичные тучные клетки в поле зрения без признаков дегрануляции. Увеличение (a) – х 200, (b, c, e, f) – х 400, (d) – х 1000.
Рис. 4. Гистотопография и характер экспрессии триптазы тучных клеток (a, b), TGF-β (c, d) и ММП-9 (e, f) в легких при развитии ЛГ (b, d, f) и при ЛГ с ингаляцией 4% H2 (a, c, e). Специфическое для иммуногистохимической реакции коричневое окрашивание выявляет скопление триптаза-позитивных тучных клеток с признаками дегрануляции в интерстиции легочной ткани (b), в то время как под влиянием ингаляции 4% H2 снижается экспрессия данной протеазы (a); инфильтрация иммунопозитивными клетками с высокой экспрессией TGF-β в группе МКТ-Контроль (d) в сравнении с немногочисленными TGF-β позитивными клетками в группе применения молекулярного водорода (c); низкая экспрессия ММП–9 (красный цвет, метка-Cy3) на фоне солоколизации с триптаза-позитивными тучными клетками (зеленый цвет, метка Alexa Fluor 488) в группе (e) и скопление ММП-9 позитивных клеток, преимущественно нейтрофилов (в соответствии с морфологией клеток) в присутствии триптаза-позитивных тучных клеток. Методы окрашивания: (a, b, c, d) – иммуногистохимическая реакция, (e, f) – иммунофлуоресцентное окрашивание. Увеличение (a, b, d) – х 400; (c, e, f) – х 1000.
Таким образом, в гипертензивной группе, крысы которой дышали воздухом с 4% водорода, количество ММП-9-позитивных клеток было статистически значимо уменьшено по сравнению с МКТ-контрольной группой. MMП-9 в легких, идентифицируемая путем иммунофлуоресцентного окрашивания, экспрессировалась преимущественно в нейтрофилах, в меньшей степени – в ТК. Результаты показали, что экспрессия MMП-9 в группе MКT-Контроль была выше, иммунопозитивные MMП-9 клетки часто солокализовались с триптаза-позитивными ТК (табл. 1, рис. 4).
Таким образом, несмотря на отсутствие влияния Н2 на основные сердечно-сосудистые симптомы развития МКТ, у крыс из группы МКT-Н2 ингаляция с молекулярным водородом вызывает статистически значимое уменьшение ср. АД, опосредованное уменьшением САД, а также оказывает регуляторное воздействие на функциональный и фенотипический статус ТК, снижает количество TGF-β позитивных клеток и приводит к ингибированию активности ММП-9 – фактора, участвующего в ремоделировании внеклеточного матрикса легких, проявляя антифибротическое и противовоспалительное действие.
Изучение влияния молекулярного водорода на развитие РВГ 1П1К
В течение эксперимента в обеих группах с РВГ (РВГ-К и РВГ-H2) на бодрствующих животных непрямым плетизмографическим методом измеряли САД. На рис. 5a представлена динамика изменения САД за 28 дней опыта.
Рис. 5. Параметры гемодинамики бодрствующих (а) и наркотизированных (b – d) крыс линии Wistar с реноваскулярной почечной гипертонией 1П1К. (a) – динамика САД у бодрствующих крыс, измеренная непрямым плетизмографическим методом. (b – d) гемодинамические показатели у наркотизированных крыс – (b) ЧСС; (с) – cр. АД; (d) – CАД; (e) – ДАД. # - статистически значимые различия между 1 и 3 точками (p < 0.05) two-way ANOVA. * – статистически значимые различия между группами (p < 0.05) по t-тесту для несвязанных переменных. ** – статистически значимые различия между группами (p < 0.01) по t-тесту для несвязанных переменных. Цифры внутри столбиков обозначают количество животных.
В “0” точке средняя величина САД составила 122.5 ± 8.5 мм рт. ст. (n = 16). Через неделю после проведения операции 1П1К у животных измеряли САД, делили их произвольно на две группы (РВГ-К и РВГ-Н2) и начинали эксперимент по ингаляции молекулярным водородом. Измерение САД на 28-й день показало, что оно возросло в обеих группах. Для группы РВГ-К оно составило 151.7 ± 16.5 мм рт. ст. (n = 5, p < 0.05), а для группы РВГ-H2 – 138.6 ± 5.9 мм рт. ст. (n = 6, p = 0.065). Таким образом, в обеих группах наблюдалось увеличение ср. АД, однако его степень в группе РВГ-Н2 была меньше, чем в контрольной группе.
Исследования на наркотизированных животных показали статистически значимое уменьшение (p < 0.01) ср. АД (рис. 5c) в группе РВГ-Н2 (85.6 ± 5.2 мм рт. ст., n = 6) по сравнению с группой РВГ-К (96.5 ± 5.7 мм рт. ст., n = 5). Уменьшение ср. АД, так же как и в случае МКТ-ЛГ, было снижено за счет САД (рис. 5d), которое у животных из группы РВГ-Н2 (102.2 ± 9.9 мм рт. ст.) было статистически значимо (p < 0.05) меньше по сравнению с группой РВГ-К (116.2 ± 8.7 мм рт. ст.). ДАД (рис. 5e) и ЧСС (рис. 5b) достоверно не изменялись, хотя последний показатель имел тенденцию к уменьшению. Таким образом, и в случае РВГ 1П1К гипертонии при добавлении Н2 к атмосферному воздуху наблюдается уменьшение ср. АД за счет САД.
В ходе этого эксперимента проводилось изучение выделительной способности почки. В пробах суточной мочи и крови исследовалось содержание креатинина и мочевины до операции по моделированию РВГ и на 26-й день эксперимента (риc. 6).
Развитие РВГ сопровождалось статистически значимым возрастанием концентрации креатинина (рис. 6a) (на 44% в группе РВГ-К и на 55% в группе РВГ-H2) и мочевины (рис. 6d) (на 20% в группе РВГ-К и на 78% в группе РВГ-H2) в пробах крови. Их экскреция с суточной мочой возросла в обеих группах: для креатинина на 91% в группе РВГ-К и на 51% в группе РВГ-H2 (рис. 6b), для мочевины на 40% в группе РВГ-К и на 58% в группе РВГ-H2 (рис. 6e). Значимых различий между группами РВГ-К и РВГ-Н2 для этих показателей не выявлено. В качестве показателя скорости клубочковой фильтрации был изучен клиренс эндогенного креатинина (рис. 6c). Наблюдалось некоторое увеличение этого показателя к концу эксперимента, но статистически значимого изменения скорости клубочковой фильтрации, рассчитанной по креатинину, выявлено не было. Не отличался он и между группами РВГ-К и РВГ-Н2 (0.80 ± 0.29 мл/мин и 1.13 ± 0.17 мл/мин до операции и 1.07 ± 0.16 мл/мин и 1.17 ± 0.62 мл/мин в конце эксперимента соответственно). Таким образом, при данной форме РВГ выделительная способность почки адаптируется к возрастанию катаболизма белков, так как клиренс не меняется. Водород на этот показатель также не влиял.
Рис. 6. Оценка выделительной функции почки у крыс линии Wistar с РВГ. (a) – концентрация креатинина в сыворотке крови; (b) – суточная экскреция креатинина; (с) – клиренс креатинина; (d) – концентрация мочевины в сыворотке крови; (e) – суточная экскреция мочевины. ** – статистически значимые различия между значениями до и после операции (p < 0.01) по two-way ANOVA. *** – статистически значимые различия между значениями до и после операции (p < 0.001) по two-way ANOVA. Цифры внутри столбиков обозначают количество животных.
Влияние атмосферного воздуха, содержащего 4% молекулярного водорода, на гемодинамические показатели здоровых животных
Для выяснения того, насколько полученный эффект уменьшения ср. АД и САД при МКТ-ЛГ и РВГ 1П1К при дыхании с Н2 связан с развитием патологического процесса, была проведена полностью идентичная серия на здоровых животных. В этой серии экспериментов гипотензивный эффект не был получен, а ср. АД и САД составили в среднем 98 ± 9 и 112 ± 14 мм рт. ст. соответственно (n = 8), что не отличалось от показателей контрольной группы (n = 8), которая дышала только атмосферным воздухом. Влияния H2 на ЧСС в этой серии также не наблюдалось, и в среднем величина ЧСС составила 373 ± 74 уд/мин.
ОБСУЖДЕНИЕ РЕЗУЛЬТАТОВ
Согласно современным представлениям, молекулярный водород обладает антиоксидантными и противовоспалительными свойствами [1–5, 7]. Именно такой эффект мы получили, изучая маркеры (тучные клетки, триптаза, TGF-β), ассоциированные с МКТ-ЛГ интерстициальной болезнью легких. Было показано их значимое уменьшение в настоящей работе и в предыдущих исследованиях [11]. Кроме того, мы выявили снижение экспрессии ММП-9 в легких в группе МКТ-Н2 по сравнению с группами МКТ-контроль и Контроль. MMП-9 участвует в фиброзе и ремоделировании соединительной ткани легких и легочных кровеносных сосудов [20]. Регуляторную роль на активность ММП-9 могут оказывать многие иммунокомпетентные клетки, в том числе тучные клетки, которые не только регулируют активность MMП-9, но и сами производят данный фермент [12, 21]. Водородная ингаляция уменьшала степень утолщения альвеолярных перегородок и их инфильтрацию воспалительными клетками, что способствовало значительному снижению показателей повреждения легких. Вдыхание водорода значительно улучшило состояние интерстиция легких, снизив воспалительную инфильтрацию, уменьшило отек легких и кровоизлияния, повлияло на активность секреции профиброзных маркеров, тем самым предотвращая воспалительные каскадные структурные изменения дыхательных путей. Воздействие молекулярного водорода на тучные клетки может быть эффективным способом уменьшения воспалительного повреждения и профиброзного состояния тканей легкого в патогенезе легочной гипертонии. Однако несмотря на то, что уменьшение экспрессии ММП-9 предполагает уменьшение ремоделирования не только соединительной ткани легких, но и стенки сосудов, мы не выявили влияния Н2 на гемодинамические показатели МКТ-ЛГ. Хотя такое взаимодействие можно было бы ожидать, учитывая, что использование терапии, направленной на коррекцию ИЗЛ, приводит к улучшению качества жизни пациентов с ЛГ и уменьшению суммарных расходов на их лечение [22]. По-видимому, для проявления этого взаимодействия необходимо более длительное или более интенсивное действие Н2.
Несмотря на отсутствие влияния молекулярного водорода на показатели гемодинамики малого круга кровообращения, в нашем исследовании было зарегистрировано значимое снижение ср. АД и САД в большом круге кровообращения в группе МКТ-Н2. Эффект не наблюдался в группах МКТ-контроль и Контроль. Схожие результаты были получены в исследованиях на людях. В рандомизированном плацебо-контролируемом исследовании проводилось наблюдение за 60 пациентами с диагностированной артериальной гипертонией в возрасте 50–70 лет. Их подвергали ингаляциям комнатного воздуха или его смеси с водородом (0.2–0.4%) в течение четырех часов в день на протяжении 2 недель. Было отмечено, что систолическое артериальное давление значительно снизилось после водородных ингаляций по сравнению с исходным, чего не наблюдалось в группе плацебо. Эффект сопровождался снижением соотношения альдостерона к ренину и содержания кортизола в крови испытуемых, что позволило авторам высказать предположение о понижении активности симпатической системы при действии молекулярного водорода [14]. В нашем исследовании этот эффект наблюдался при МКТ-ЛГ, которая обычно не сопровождается изменением системного артериального давления, но связана с развитием воспалительного процесса. В последнее время появились исследования, которые показывают, что хроническое воспаление является одним из факторов патогенеза системной гипертонии [23]. Можно предположить, что молекулярный водород, уменьшая воспалительный процесс, снижает и ср. АД. Тот факт, что уменьшение этого показателя происходит за счет его систолической составляющей, позволяет предположить, что этот процесс связан с понижением активности симпатической системы.
Имеются исследования, результаты которых подтверждают такое предположение. В исследовании реноваскулярной гипертонии на крысах, где использовалось хирургическое удаление 5/6 одной почки при удалении второй, ингаляции водородом в течение 1 ч в сутки вызывали уменьшение повышенного АД у этих животных. Спектральный анализ вариабельности АД показал, что Н2 уменьшает дисбаланс вегетативной нервной системы за счет подавления активности симпатической нервной системы [24].
В нашем исследовании мы использовали модель реноваскулярной гипертонии 1П1К. Как уже говорилось выше, механизм повышения АД в этой модели запускается при сужении просвета артерии не менее чем на 70–80% [11]. Считается, что важную роль в увеличении системного артериального давления при этом играет повышение активности симпатической нервной системы [18].
При сравнительном изучении изменения содержания норадреналина в плазме крови животных с разными моделями РВГ (1П1К или 2П1К) было показано его увеличение только в модели 1П1К, что коррелировало с возрастанием ЧСС [25]. В хронической форме эта модель РВГ является ренин-независимой. Используя эту модель, мы показали, что добавление 4% водорода в дыхательную смесь крысам со 2-й недели развития РВГ (группа РВГ-Н2) привело к значимому уменьшению ср. АД и САД по сравнению с группой РВГ-К. Эффект сопровождался тенденцией к уменьшению ЧСС (р < 0.065). Молекулярный водород не влиял на повышение уровня креатинина и мочевины в крови крыс обеих групп и выделительную способность почки. Учитывая патогенез данной модели РВГ, уменьшение САД, тенденцию к уменьшению ЧСС и отсутствие влияния на выделительную способность почки можно рассматривать как аргумент в пользу центрального действия молекулярного водорода. Наличие воспалительного процесса при этой форме гипертонии также, вероятно, присутствует, учитывая хирургическое вмешательство.
Возникает вопрос: какое место в этом эффекте занимает противовоспалительное и антиоксидантное действие молекулярного водорода. По-видимому, эти свойства молекулярного водорода реализуются и в этом случае, так как эффект понижения системного АД наблюдается только на животных с гипертонией. На здоровых животных без патологии этот эффект не выявляется, что соответствует литературным данным [13].
Таким образом, мы показали, что добавление 4% молекулярного водорода во вдыхаемый воздух вызывает уменьшение системного АД и САД при гипертонии как малого, так и большого кругов кровообращения. При МКТ-ЛГ уменьшается воспалительный процесс в легких, но сердечно-сосудистые показатели малого круга кровообращения не меняются. В случае РВГ гипертонии уменьшается ср. АД и САД, что не связано с выделительной способностью почки. Предполагается, что эффект уменьшения АД связан с уменьшением активности симпатической системы на фоне уменьшения воспалительного процесса.
ВКЛАДЫ АВТОРОВ
Идея работы и планирование эксперимента: Н. А. М., О. С. M., В. В. Ш., сбор данных, проведение эксперимента, обработка данных экспериментов: М. М. А., Т. А. К., Д. В. С., Д. А. А., В. В. Ш., написание и редактирование манускрипта: Н. А. М., О. С. М., В. В. Ш., М. М. А., Т. А. К.
ФИНАНСИРОВАНИЕ РАБОТЫ
Данная работа финансировалась за счет средств бюджета биологического факультета и факультета фундаментальной медицины Московского государственного университета имени М. В. Ломоносова в рамках научного проекта Государственного задания Правительства Российской Федерации Московскому государственному университету имени М. В. Ломоносова №№ 121032300071-8 и 118011790188-5, при поддержке Российского Научного Фонда (проект № 24-25-00051) и Договора о научном сотрудничестве между Воронежским государственным медицинским университетом имени Н. Н. Бурденко и МГУ имени М. В. Ломоносова. Никаких дополнительных грантов на проведение или руководство данным конкретным исследованием получено не было.
СОБЛЮДЕНИЕ ЭТИЧЕСКИХ СТАНДАРТОВ
Эксперименты с животными проводились в соответствии с международными рекомендациями по проведению биомедицинских исследований с лабораторными животными и были одобрены Комиссией по биоэтике биологического факультета МГУ имени М. В. Ломоносова, протокол 113-G, 19.06.2020 г.
КОНФЛИКТ ИНТЕРЕСОВ
Авторы данной работы заявляют, что у них нет конфликта интересов.
作者简介
М. Artemieva
Lomonosov Moscow State University
编辑信件的主要联系方式.
Email: marinka.artemieva@gmail.com
俄罗斯联邦, Moscow
Т. Kuropatkina
Plekhanov Russian University of Economics; Peoples' Friendship University of Russia
Email: marinka.artemieva@gmail.com
俄罗斯联邦, Moscow; Moscow
V. Shishkina
Voronezh State Medical University named after N.N. Burdenko
Email: marinka.artemieva@gmail.com
俄罗斯联邦, Voronezh
D. Serebryanaya
Lomonosov Moscow State University; Pirogov Russian National Research Medical University
Email: marinka.artemieva@gmail.com
俄罗斯联邦, Moscow; Moscow
D. Adasheva
Lomonosov Moscow State University
Email: marinka.artemieva@gmail.com
俄罗斯联邦, Moscow
О. Medvedev
Lomonosov Moscow State University; National Medical Research Centre of Cardiology
Email: marinka.artemieva@gmail.com
俄罗斯联邦, Moscow; Moscow
N. Medvedeva
Lomonosov Moscow State University
Email: marinka.artemieva@gmail.com
俄罗斯联邦, Moscow
参考
- Ge L, Yang M, Yang NN, Yin XX, Song WG (2020) Molecular hydrogen: a preventive and therapeutic medical gas for various diseases. Oncotarget 8(60): 102653–102673. https://doi.org/10.18632/oncotarget.21130
- Ohsawa I, Ishikawa M, Takahashi K, Watanabe M, Nishimaki K, Yamagata K, Katsura K, Katayama Y, Asoh S, Ohta S (2007) Hydrogen acts as a therapeutic antioxidant by selectively reducing cytotoxic oxygen radicals. Nat Med 13(6): 688–694. https://doi.org/10.1038/nm1577 2007
- Ohta S (2011) Recent progress toward hydrogen medicine: potential of molecular hydrogen for preventive and therapeutic application. Current Pharmaceutical Design 17(22): 2241–2252. https://doi.org/10.2174/138161211797052664
- Ohta S (2014) Molecular hydrogen as a preventive and therapeutic medical gas: initiation, development and potential of hydrogen medicine. Pharmacol & Therap144(1): 1–11. https://doi.org/ 10.1016/j.pharmthera.2014.04.006
- Huang L (2016) Molecular hydrogen: a therapeutic antioxidant and beyond. Med Gas Res 6(4): 219–222. https://doi.org/10.4103/2045-9912.196904
- Atiakshin D, Kostin A, Volodkin A, Nazarova A, Shishkina V, Esaulenko D, Buchwalow I, Tiemann M, Noda M (2023) Mast Cells as a Potential Target of Molecular Hydrogen in Regulating the Local Tissue Microenvironment. Pharmaceuticals 16(6): 817. https://doi.org/10.3390/ph16060817
- Nicolson G, de Mattos G, Settineri R, Costa C, Ellithrope R, Rosenblatt S, La Valle J, Jimenez A, Ohta Sh (2016) Clinical effects of hydrogen administration: from animal and human diseases to exercise medicine. Int J Clin Med 7(1): 32–76. https://doi.org/ 10.4236/ijcm.2016.71005
- Nie C, Ding X, A R, Zheng M, Li Z, Pan S, Yang W (2021) Hydrogen gas inhalation alleviates myocardial ischemia-reperfusion injury by the inhibition of oxidative stress and NLRP3-mediated pyroptosis in rats. Life Sci 1(272): 119248. https://doi.org/10.1016/j.lfs.2021.119248
- Kimura A, Suehiro K, Mukai A, Fujimoto Y, Funao T, Yamada T, Mori T (2022) Protective effects of hydrogen gas against spinal cord ischemia-reperfusion injury. J Thorac Cardiovasc Surg 164(6): e269–e283. https://doi.org/10.1016/j.jtcvs.2021.04.077
- Nie C, Zou R, Pan S, Gao Y, Yang H, Bai J, Xi S, Wang X, Hong X, Yang W (2021) Hydrogen gas inhalation ameliorates cardiac remodelling and fibrosis by regulating NLRP3 inflammasome in myocardial infarction rats. J Cell Mol Med 25(18): 8997–9010. https://doi.org/10.1111/jcmm.16863
- Куропаткина Т, Гуфранов Х, Сычев Ф, Артемьева М, Бондаренко Г, Есауленко Д, Самойленко Т, Шишкина В, Медведева Н, Медведев О (2024) Влияние ингаляций водорода на сердечно-сосудистые и интерстициальные компоненты легочной гипертензии в экспериментах на крысах. Пульмонология 34 (1): 19–30. [Kuropatkina T, Gufranov Kh, Sychev F, Artemyeva M, Bondarenko G, Esaulenko D, Samoilenko T, Shishkina B, Medvedeva N, Medvedev O (2024) Vliyanie Effect of hydrogen inhalation on cardiovascular and interstitial components of pulmonary hypertension in rats. Pul’monologiya 34 (1): 19–30. (In Russ)]. https://doi.org/10.18093/0869-0189-2024-34-1-19-30
- Шишкина В, Антакова Л, Золотарева С, Атякшин Д (2022) Матриксные металлопротеиназы в ремоделировании внеклеточного матрикса: молекулярные, клеточные и тканевые аспекты. Журн анатом гистопатол 11(3): 93–108. [Shishkina V, Antakova L, Zolotareva S, Atiakshin D (2022) Matrix metalloproteinases in extracellular matrix remodeling: molecular, cellular and tissue aspects. J Anatom Histopathol 11 (3): 93–108. (In Russ)]. https://doi.org/10.18499/2225-7357-2022-11-3-93-108]
- Cole AR, Raza A, Ahmed H, Polizzotti BD, Padera RF, Andrews N, Kheir JN (2019) Safety of inhaled hydrogen gas in healthy mice. Med Gas Res 9(3): 133–138. https://doi.org/10.4103/2045-9912.266988
- Liu B, Jiang X, Xie Y, Jia X, Zhang J, Xue Y, Qin S (2022) The effect of a low dose hydrogen-oxygen mixture inhalation in midlife/older adults with hypertension: A randomized, placebo-controlled trial. Front Pharmacol 7(13): 1025487. https://doi.org/10.3389/fphar
- Poch D, Mandel J (2021) Pulmonary Hypertension. Ann Intern Med 174(4): ITC49–ITC64. https://doi.org/10.7326/AITC202104200
- Nogueira-Ferreira R, Vitorino R, Ferreira R, Henriques-Coelho T (2015) Exploring the monocrotaline animal model for the study of pulmonary arterial hypertension: A network approach. Pulmon Pharmacol Therap 35: 8–16. https://doi.org/10.1016/j.pupt.2015.09.007
- Textor SC, Lerman L (2010) Renovascular hypertension and ischemic nephropathy. Am J Hypertens 23(11): 1159–1169. https://doi.org/10.1038/ajh.2010.174
- Souza HCD, Martins-Pinge MC, Dias da Silva VJ, Borghi-Silva A, Gastaldi AC, Blanco JHD, Tezini GCSV (2008) Heart rate and arterial pressure variability in the experimental renovascular hypertension model in rats. Auton Neurosci 139: 38–45 https://doi.org/10.1016/j.autneu.2008.01.001
- Biasin V, Marsh LM, Egemnazarov B, Wilhelm J, Ghanim B, Klepetko W, Wygrecka M, Olschewski H, Eferl R, Olschewski A, Kwapiszewska G (2014) Meprin β, a novel mediator of vascular remodelling underlying pulmonary hypertension. J Pathol 233(1): 7–17. https://doi.org/10.1002/path.4303
- Zhang H, Huang W, Liu H, Zheng Y, Liao L (2020) Mechanical stretching of pulmonary vein stimulates matrix metalloproteinase-9 and transforming growth factor-β1 through stretch-activated channel/MAPK pathways in pulmonary hypertension due to left heart disease model rats. PLoS One 15(9): e0235824. https://doi.org/10.1371/journal.pone.0235824
- Xu L, Cai Z, Yang F, Chen M (2017) Activation-induced upregulation of MMP9 in mast cells is a positive feedback mediator for mast cell activation. Mol Med Rep 15(4): 1759–1764. https://doi.org/10.3892/mmr.2017.6215
- Waxman AB, Elia D, Adir Y, Humbert M, Harari S (2022) Recent advances in the management of pulmonary hypertension with interstitial lung disease. Eur Respir Rev 31: 210–220. https://doi.org/10.1183/ 16000617.0220-2021
- Zhang Z, Zhaj L, Zhou X, Meng X, Zhou X (2023) Role of inflammation, immunity and oxidative stress in hypertension: New insights and potential therapeutic targets. Front Immunol 13: 1098725. https://doi.org/10.3389/fimmu.2022.1098725
- Sugai K, Tamura T, Sano M, Uemura S, Fujisawa M, Katsumata Y, Endo J, Yoshizawa J, Homma K, Suzuki M, Kobayashi E, Sasaki J, Hakamata Y (2020) Daily inhalation of hydrogen gas has a blood pressure-lowering effect in a rat model of hypertension. Sci Rep 10(1): 20173. https://doi.org/10.1038/s41598-020-77349-8
- Walker SM, Bing RF, Swales JD, Thurston H (1986) Plasma noradrenaline in Goldblatt models of renovascular hypertension in the rat, before and after surgical reversal. Clin Sci (Lond) 71(2): 199–204. https://doi.org/10.1042/cs0710199
补充文件







