Suppression of Aseptic Inflammation Reduces the Severity of Remodeling of the Pulmonary Artery Branches and Improves Progressing of Experimental Chronic Thromboembolic Pulmonary Hypertension
- Authors: Karpov А.А.1,2,3, Krylov А.А.1,4, Shilenko L.A.1, Mihailova А.М.1, Vaulina D.D.1, Ivkin D.Y.2, Isakova N.P.4, Vorotilov A.V.1, Semenova N.Y.1, Zinserling V.A.1, Galagudza М.М.1
-
Affiliations:
- Almazov National Medical Research Centre
- Saint-Petersburg State Chemical and Pharmaceutical University
- Saint-Petersburg Electrotechnical University "LETI"
- Herzen State Pedagogical University of Russia
- Issue: Vol 110, No 5 (2024)
- Pages: 799-813
- Section: EXPERIMENTAL ARTICLES
- URL: https://ogarev-online.ru/0869-8139/article/view/266896
- DOI: https://doi.org/10.31857/S0869813924050109
- EDN: https://elibrary.ru/BKNFTX
- ID: 266896
Cite item
Full Text
Abstract
Chronic thromboembolic pulmonary hypertension (CTEPH) is a complication of pulmonary embolism, characterized by increased pressure in the pulmonary artery and impaired lysis of thromboemboli. Previously, the presence of aseptic inflammation in CTEPH was identified in the wall of the pulmonary artery branches and perivascularly. However, the role of this inflammation in the CTEPH formation is unknown. The aim of the work was to study the effect of aseptic inflammation on the CTEPH formation and progression. The experiments were performed on 54 male rats. The CTEPH model was reproduced by repeated intravenous administration of partially biodegradable microspheres (MS). Immediately after the last administration of MS, all animals were divided into groups: control CTEPH (c.CTEPH) – saline solution was administered intramuscularly (i/m) for 6 weeks; low dose of prednisolone (LD) – prednisolone was administered i/m at a dose of 1.5 mg/kg; high dose (HD) – prednisolone was administered i/m at a dose of 6 mg/kg; healthy animals. After 6 weeks, the following was performed: treadmill test, TTE, cardiac catheterization with manometry, and histological examination of the lungs. In a separate series of experiments, the severity of inflammatory infiltration of the vascular wall and perivascular zone was assessed by immunohistochemical studies (IHC). In the LD group, there was the decreasing of hypertrophy index (HI) and the percentage of collagen fibers in the vascular wall compared to c.CTEPH. There was a significantly greater reduction in HI compared to HD. In the HD group, there was positive effect on the percentage of collagen fibers in the vascular wall, this parameter did not significantly differ from healthy animals. According to IHC data, prednisolone in low dose effectively suppressed inflammatory infiltration of the vascular wall and perivascular space. The results of the study revealed the ability of prednisolone, by suppressing aseptic inflammation, to reduce the severity of remodeling of the pulmonary artery branches.
Full Text
СПИСОК СОКРАЩЕНИЙ
ИГХ – иммуногистохимическое исследование
ИЛ – интерлейкин
ЛС – легочный ствол
ЛЖ – левый желудочек
ПЖ – правый желудочек
СДПЖ – систолическое давление в правом желудочке
ТЭЛА – тромбоэмболия легочной артерии
ФНО-α – фактор некроза опухоли альфа
ФУ – фракция укорочения
ХТЭЛГ – хроническая тромбоэмболическая легочная гипертензия
ЭХО-КГ – эхокардиографическое исследование
TAPSE – систолическая экскурсия кольца трикуспидального клапана
Vmax – максимальная линейная скорость потока
ВВЕДЕНИЕ
Хроническая тромбоэмболическая легочная гипертензия (ХТЭЛГ) является одним из наиболее тяжелых осложнений тромбоэмболии легочной артерии (ТЭЛА) и характеризуется стабильным повышением давления в легочной артерии и нарушением лизиса тромбоэмболов [1]. Повышенное давление в легочной артерии приводит к быстрому ремоделированию правого желудочка (ПЖ) и сосудов малого круга кровообращения, сердечной недостаточности и в конечном итоге к смерти [2]. Несмотря на развитие хирургических подходов к лечению ХТЭЛГ, таких как легочная эндартерэктомия (PEA) и баллонная легочная ангиопластика, значительное число пациентов остается неоперабельными, или эффект от проведенного хирургического лечения недостаточен [3]. В этой связи консервативные подходы к лечению ХТЭЛГ имеют существенное значение. В настоящее время в качестве ЛАГ-специфических препаратов используются вазодилататоры малого круга кровообращения [2]. Однако даже при лечении ЛАГ-специфическими препаратами средняя пятилетняя выживаемость пациентов с неоперабельной ХТЭЛГ остается на уровне 53–69% [4, 5]. Поэтому более глубокое понимание патогенеза ХТЭЛГ могло бы способствовать разработке новых терапевтических стратегий.
Современные концепции утверждают, что ХТЭЛГ – это двойное сосудистое заболевание со стенозом, фиброзными сетями и окклюзиями в легочных артериях большого и среднего размера в области, где располагался тромбоэмбол. Кроме того, отмечается формирование вторичной микроваскулопатии, затрагивающей преимущественно мелкие резистивные сосуды [6]. Характерными морфологическими признаками ремоделирования сосудистого русла при ХТЭЛГ в крупных сосудах является наличие организованных тромбов, атеросклеротических бляшек, разрушения эластических волокон медии. В мелких сосудах гистологическая картина близка к изменениям при легочной артериальной гипертензии: отмечается гипертрофия медии, формирование неоинтимы, плексиформных изменений, расширение различных типов анастомозов [7]. Одним из ключевых неблагоприятных факторов ремоделирования сосудистого русла вне зависимости от диаметра является отложение коллагена [8]. Фиброзирование сосудистой стенки приводит к увеличению ее жесткости, что, в свою очередь, ведет к повышению легочного сосудистого сопротивления и значительному ухудшению прогноза. При этом в целом ряде недавних исследований было показано наличие асептического воспаления как в стенке ветвей легочной артерии, так и периваскулярно [9, 10]. Кроме того, в тканях и плазме крови при ХТЭЛГ изменяется паракринный профиль. Многие исследования показывают повышение провоспалительных цитокинов в плазме крови, таких как интерлейкин ИЛ-1β, ИЛ-6, ИЛ-8, фактор некроза опухоли альфа (ФНО-α), трансформирующий фактор роста бета (TGFβ) [11, 12], С-реактивный белок и моноцитарный хемоаттрактантный белок-1 (MCP-1/CCL2) [13]. Некоторые исследования отметили увеличение концентрации CXCL9, CXCL13 [12], CCL3 (MIP-1α), CCL-5 (RANTES), CXCL10 (IP-10 (IFNγ-индуцируемый белок 10)) [14]. В большинстве исследований отмечено увеличение вазоконстриктора эндотелина-1 (ET-1) как показателя эндотелиальной дисфункции [15]. Также отмечено значительное увеличение экспрессии молекул клеточной адгезии лейкоцитов и эндотелиальных клеток VCAM-1, ICAM-1 [16].
Однако роль этого воспаления в формировании и прогрессировании ХТЭЛГ неизвестна и требует дальнейшего изучения.
Цель исследования: изучить влияние асептического воспаления на формирование и прогрессирование ХТЭЛГ.
МЕТОДЫ ИССЛЕДОВАНИЯ
Животные
В работе было использовано 54 крысы-самцы стока Wistar конвенциональной категории массой 223 ± 38 г. Все животные содержались в стандартизированных условиях вивария барьерного типа, имели неограниченный доступ к полнорационному гранулированному корму и воде.
Эмболизирующие частицы
В качестве эмболизирующих частиц были использованы частично биодеградируемые микросферы, полученные из ультрачистого альгината натрия (Sigma-Aldrich, США) с помощью электростатического инкапсулятора B-390 (Buchi, Швейцария). В качестве стабилизирующего агента использовали 2%-ный раствор хлорида бария. Целевой размер частиц – 180 ± 30 мкм. Все микросферы производились в стерильных условиях.
Расчет дозы преднизолона
Преднизолон вводился крысам в двух вариантах: низкая доза – 1.5 мг/кг и высокая доза – 6 мг/кг. С учетом разницы метаболических процессов это соответствует 0.25 мг/кг и 1 мг/кг для человека [17]. Доза для животного (мг/кг) рассчитывалась как произведение дозы для человека (мг/кг) и коэффициента преобразования (k), где k для крыс составляет 6 [18].
Дизайн исследования
В основной экспериментальной серии было использовано 44 животных. Для моделирования ТЭЛА микросферы в объеме 50 мкл были суспензированы в 1 мл физиологического раствора и вводились в хвостовую вену 8 раз с интервалом в 4 дня. После этого все животные случайным образом были разделены на следующие группы:
- Контрольная ХТЭЛГ (к.ХТЭЛГ) (n = 10) – животным сразу после последнего введения микросфер внутримышечно вводился физиологический раствор ежедневно в течение 6 недель.
- Низкая доза преднизолона (НД) (n = 10) – по аналогичному протоколу внутримышечно вводился преднизолон в дозе 1.5 мг/кг/сутки.
- Высокая доза преднизолона (ВД) (n = 11) – внутримышечно вводился преднизолон в дозе 6 мг/кг/сутки.
- Здоровые животные (Интакт) (n = 10).
Через 6 недель после последнего введения микросфер выполнялись следующие исследования: тредмил-тест, эхокардиографическое исследование (ЭХО-КГ), измерение систолического давления в ПЖ (СДПЖ) путем катетеризации, гистологические исследования легких (рис. 1).
Рис. 1. Дизайн исследования.
Отдельная серия экспериментов была выполнена для иммуногистохимического исследования. Целью этого анализа стала оценка выраженности воспалительной инфильтрации сосудистой стенки и перифокальной зоны, определение ее клеточного состава, а также влияния преднизолона на эту инфильтрацию. В исследование было включено 10 животных. Моделирование ХТЭЛГ производилось по ранее описанному протоколу. После этого все выжившие животные были разделены на 3 группы:
- Контрольная ХТЭЛГ (к.ХТЭЛГ) (n = 2) – животным сразу после последнего введения микросфер внутримышечно вводился физиологический раствор ежедневно в течение 6 недель.
- Применение глюкокортикостероида (n = 3) – сразу после последнего введения микросфер внутримышечно вводился преднизолон в дозе 1.5 мг/кг/сутки ежедневно в течение 6 недель.
- Здоровые животные (n = 3).
Тредмил-тест
Оценка толерантности к физической нагрузке выполнялась с помощью аппарата Treadmill LE8710 (Harvard Apparatus, США). В ходе исследования производилось градиентное увеличение каждые 30 с скорости вращения ленты: с 5 м/мин до 40 м/мин. Регистрировалась пройденная каждым животным дистанция (м).
Эхокардиографическое исследование
ЭХО-КГ выполнялось с помощью ультразвуковой установки высокого разрешения MyLab One Touch SL 3116 (Esaote; Италия) с сосудистым линейным датчиком (частота – 13 МГц, глубина сканирования – 2 см). Животные были наркотизированы изофлураном, подававшимся ингаляционно с помощью SomnoSuite Low-Flow Anesthesia System (Kent Scientific, Torrington, CT, США). Ключевыми параметрами оценки были: диаметр легочного ствола (мм), максимальная скорость потока в легочной артерии (м/с), диаметр выносящего тракта ПЖ (мм), максимальная скорость потока в выносящем тракте ПЖ (м/с), систолическая экскурсия кольца трикуспидального клапана (TAPSE) (мм), частота сердечных сокращений (ЧСС), конечный диастолический размер левого желудочка (ЛЖ) (мм), конечный систолический размер ЛЖ (мм), фракция укорочения (ФУ) ЛЖ.
Катетеризация сердца с манометрией
Перед катетеризацией сердца животные были наркотизированы по протоколу, идентичному с проведением ЭХО-КГ. Животные располагались на термостатируемом столике TCAT-2LV Animal Temperature Controller (Physitemp Instruments Inc., США). Искусственная вентиляция легких осуществлялась с помощью аппарата SAR – 830/AP (CWE Inc., США). Параметры вентиляции: частота дыхания – 60/мин, дыхательный объем – 3 мл/100 г массы тела. Измерение СДПЖ выполнялось с помощью пункции верхушки.
Гистологическое и иммуногистохимическое исследования
Перед гистологическим исследованием животные были эвтаназированы путем передозировки изофлурана. Нижняя доля правого легкого была использована для гистологического и иммуногистохимического исследований. Она была разделена на 4 равные части. Срезы изготавливались толщиной 3–5 мкм и окрашивались методом Пикро – Маллори, специфичным к соединительной ткани. Анализ проводился в двух дистальных срезах легкого во всех идентифицированных сосудах, принадлежащих к ветвям легочной артерии. Исследование препаратов выполнялось с помощью микроскопа Eclipse Ni-U (Nikon, Япония) при увеличении от ×10 до ×40. Результаты микроскопии оценивали с помощью программного обеспечения Nis Elements Br4 (Nikon, Япония) и ImageJ (Wayne Rasband, США). В качестве критериев оценки ремоделирования легочных артерий были использованы следующие показатели: индекс гипертрофии сосудистой стенки, рассчитанный как отношение площади сосудистой стенки к площади всего сосуда в поперечном сечении в процентах, и процент коллагеновых волокон в структуре сосудистой стенки.
Для иммуногистохимического исследования использовалась поливалентная система визуализации EnVision FLEX, High pH (Dako, Дания). Для оценки воспалительной инфильтрации выявлялись маркеры: СD45 (общелейкоцитарный антиген, RTU, Dako, Дания), СD68 (моноциты/макрофаги, RTU, Dako, Дания), CD3 (Т-лимфоциты, RTU, Dako, Дания), CD20 (В-лимфоциты, RTU, Dako, Дания). Подсчет иммунных клеток осуществлялся с помощью наложения на микрофотографию сосуда сетки со стороной ячейки 32 мкм (площадь ячейки 1024 мкм2). Для каждого сосуда произвольно выбиралось 5 ячеек, захватывающих стенку сосуда и периваскулярную область. В выбранных зонах рассчитывалось количество меченых клеток с последующим определением среднего содержания клеток для каждого сосуда.
Анализ данных
Анализ полученных данных производился с помощью пакета программного обеспечения Statistica 10.0 (StatSoft; США), GraphPad Prism (Dotmatics; США). Данные представлены в виде медианы, 25-го и 75-го процентилей (Me [Q1; Q3]). Учитывая небольшие размеры выборки и ненормальное распределение, различия проанализированы с использованием непараметрических тестов. Критерий Краскела – Уоллиса использован для определения общих различий между группами по всем протестированным конечным точкам. Парные сравнения между группами выполнены с использованием непараметрического U-критерия Манна – Уитни. Различия считали значимыми при p < 0.05.
РЕЗУЛЬТАТЫ ИССЛЕДОВАНИЯ
Выживаемость животных
В основной серии экспериментов при введении микросфер смертность в группах моделирования ХТЭЛГ составила 6.8% (3 животных). Причинами смерти животных во всех случаях была острая правожелудочковая недостаточность и парадоксальная эмболия с развитием острой недостаточности мозгового кровообращения. В последующие 6 недель потерь животных не было (рис. 2).
В дополнительной серии, выполненной с целью иммуногистохимического исследования, смертность составила 2 животных. Причины смерти не отличались от основной серии.
Рис. 2. Схема потерь экспериментальных животных в основной серии. CTEPH – хроническая тромбоэмболическая легочная гипертензия, MS – микросферы, RV – правый желудочек, Saline – физиологический раствор.
Эхокардиографическое исследование
По данным ЭХО-КГ в группе к.ХТЭЛГ было выявлено значимое снижение TAPSE по сравнению с группой здоровых животных (p < 0.001). В группах, получавших преднизолон, значимого снижения систолической функции ПЖ не отмечалось (рис. 3a). В группе НД было выявлено снижение Vmax легочного ствола по сравнению со здоровыми животными (р = 0.02) (рис. 3b). По другим показателям значимых различий между исследуемыми группами получено не было (табл. 1).
Рис. 3. Результаты неинвазивных тестов. (a – b) – результаты эхокардиографического исследования. (a) – систолическая экскурсия кольца трикуспидального клапана (ТAPSE). (b) – максимальная линейная скорость потока (Vmax) в легочном стволе (ЛС). (c) – пройденная дистанция по данным тредмил-теста. Int – группа здоровых животных, c.CTEPH – группа контрольной хронической тромбоэмболической легочной гипертензии, LD – низкая доза преднизолона, HD – высокая доза преднизолона.
Таблица 1. Результаты эхокардиографического исследования
Параметры | Интакт. | к.ХТЭЛГ | НД | ВД |
Диаметр ЛС (мм) | 3.04 [2.92; 3.13] | 2.88 [2.82; 3.03] | 2.98 [2.58; 3.54] | 3.05 [2.85; 3.3] |
Диаметр ВТПЖ (мм) | 3.82 [3.11; 3.93] | 3.74 [3.54; 3.81] | 3.43 [3.35; 3,6] | 3.61 [3.54; 3.78] |
Vmax ВТПЖ (м/с) | 2.67 [2.46; 2.78] | 2.79 [2.62; 3.24] | 2.75 [2.55; 2.89] | 2.72 [2.56; 2.88] |
ЧСС (в мин) | 363 [335; 377] | 366 [351; 394] | 374 [369; 385] | 365 [336; 396] |
ФУ ЛЖ (%) | 54.5 [49.4; 61.2] | 48.3 [46.4; 53,4] | 51.7 [48.0; 58.9] | 49.7 [47.8; 51.7] |
Интакт. – группа здоровых животных, к.ХТЭЛГ – группа контрольной хронической тромбоэмболической легочной гипертензии, НД – низкая доза преднизолона, ВД – высокая доза преднизолона, ЛС – легочный ствол, Vmax – максимальная линейная скорость потока, ВТПЖ – выносящий тракт правого желудочка, ЧСС – частота сердечных сокращений, ЛЖ – левый желудочек, ФУ – фракция укорочения.
Тредмил-тест
По данным тредмил-теста толерантность к физической нагрузке в группах к.ХТЭЛГ и ВД была значимо ниже, чем у здоровых животных (p < 0.001). Напротив, в группе НД не было выявлено значимого снижения пройденной дистанции по сравнению со здоровыми животными (p = 0.11) (рис. 3b).
Катетеризация сердца с манометрией
По данным катетеризации сердца СДПЖ во всех экспериментальных группах было значимо выше по сравнению с группой здоровых животных (р < 0.05). При этом отмечалась тенденция (p = 0.05) к снижению СДПЖ в группе НД по сравнению с к.ХТЭЛГ (рис. 4).
Рис. 4. Систолическое давление в правом желудочке (RVSP) по данным катетеризации сердца. INT – группа здоровых животных, c.CTEPH – группа контрольной хронической тромбоэмболической легочной гипертензии, LD – низкая доза преднизолона, HD – высокая доза преднизолона.
Гистологическое исследование
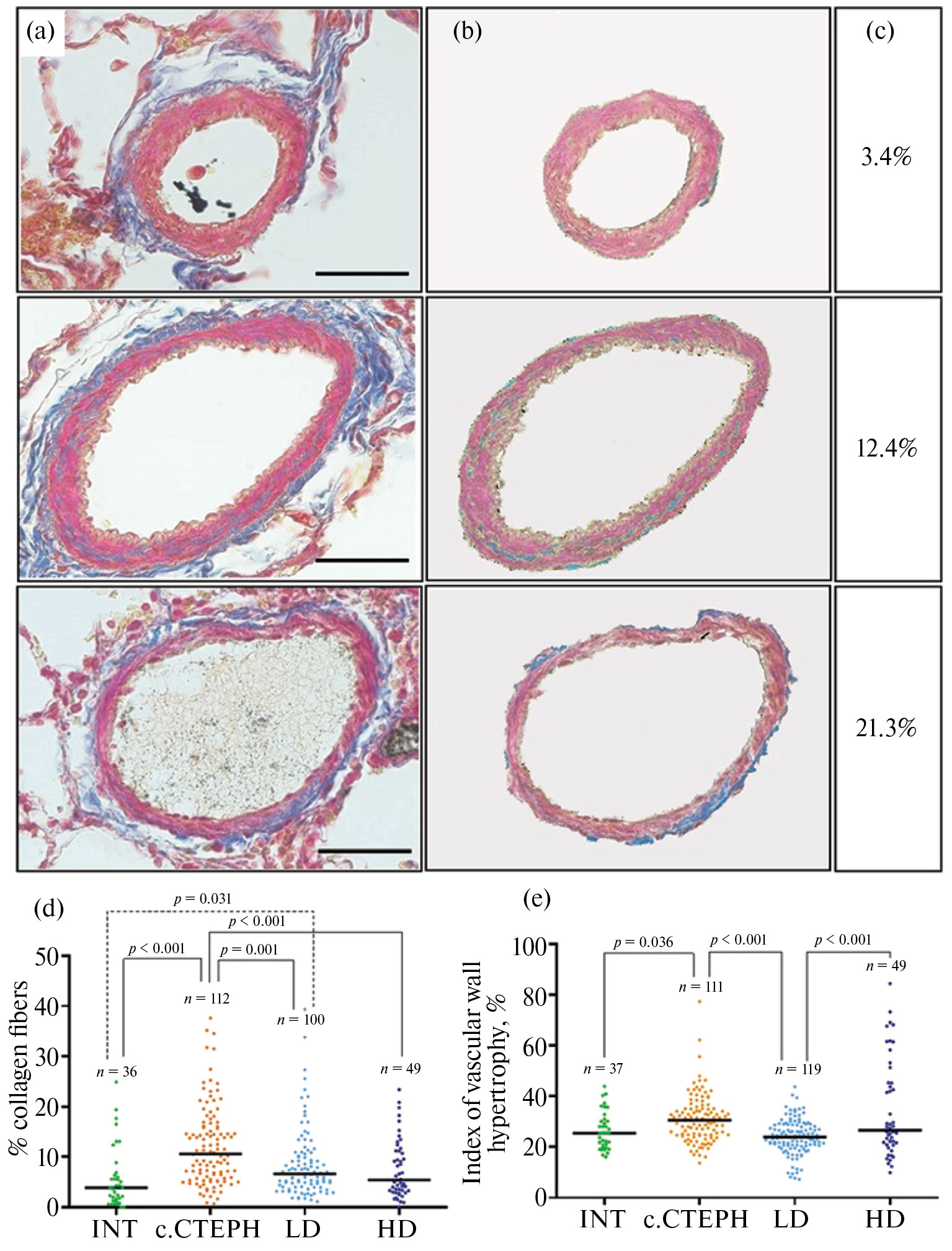
По данным гистологического исследования процент коллагеновых волокон в сосудистой стенке в исследуемых группах составил: к.ХТЭЛГ – 10.6 [5.8; 15.9]%, НД – 6.6 [4.1; 10.4]%, ВД – 5.4 [3.3; 11.2]%, в группе здоровых животных – 3.9 [1.4; 6.5]%. Было выявлено значимое повышение этого показателя в группах к.ХТЭЛГ и НД по сравнению со здоровыми животными (p < 0.001 и p = 0.031 соответственно). При этом как в группе НД, так и в группе ВД отмечалось снижение процента коллагеновых волокон по сравнению с группой к.ХТЭЛГ (p = 0.001 и р < 0.001 соответственно). Значимых различий между группами НД и ВД выявлено не было (рис. 5a – d).
Рис. 5. Результаты гистологического исследования. (a – b) – репрезентативные микрофотографии сосудов: (a) – окрашивание по методу Пикро – Маллори; (b) – выбор границ сосудов с помощью ImageJ (Wayne Rasband, США); (c) – номинальный процент фиброза сосудистой стенки на репрезентативных микрофотографиях; (d) – процент коллагеновых волокон в структуре сосудистой стенки ветвей легочной артерии в исследуемых группах; (e) – индекс гипертрофии сосудистой стенки. Одно деление = 100 мкм. INT – группа здоровых животных, c.CTEPH – группа контрольной хронической тромбоэмболической легочной гипертензии, LD – низкая доза преднизолона, HD – высокая доза преднизолона.
Индекс гипертрофии сосудистой стенки в группе к.ХТЭЛГ 30.6 [24.8; 35.1]% был выше, чем в группе здоровых животных 25.4 [20.7; 30.2]% (p = 0.036). Значимых различий в группах НД 24.0 [20.6; 28.7]% и ВД 26.6 [21.7; 45.3]% по сравнению со здоровыми животными выявлено не было. Кроме того, в группе НД этот показатель был ниже, чем в группах ВД и к.ХТЭЛГ (p < 0.001) (рис. 5e). В просвете части ветвей легочной артерии диаметром 100–250 мкм обнаруживались нерастворенные микросферы, что указывало на частично сохранявшуюся обструкцию сосудистого русла.
По данным иммуногистохимического исследования общее количество лейкоцитов (СD45+ клетки) и отдельно количество макрофагов (СD68+ клетки), а также Т-лимфоцитов (CD3+ клетки) в группе к.ХТЭЛГ было выше, чем в группе здоровых животных (р < 0.001) и в группе ГКС (р < 0.001) (рис. 6a – b). Значимых различий по всем указанным маркерам между группами ГКС и здоровыми животными выявлено не было. При анализе количества В-лимфоцитов (СD20+ клетки) отмечалась та же тенденция: в группе к.ХТЭЛГ количество позитивных клеток было выше, чем в группе здоровых животных (р = 0.008) и в группе ГКС (р < 0.001). Однако было выявлено значимое снижение В-лимфоцитов в группе ГКС по сравнению со здоровыми животными (р = 0.026) (рис. 6d).
Рис. 6. Результаты иммуногистохимического исследования для оценки воспалительной инфильтрации сосудистой стенки и перифокальной области. (a) – репрезентативные микрофотографии иммуногистохимических препаратов в группах к.ХТЭЛГ и ГКС: верхний ряд – окрашивание на СD20 (В-лимфоциты), нижний ряд – окрашивание на СD68 (моноциты / макрофаги). Позитивные клетки маркированы ярким коричневым окрашиванием мембран. (b – e) – среднее количество позитивных клеток в анализируемых ячейках для каждого сосуда. (b) – СD45 (общелейкоцитарный антиген); (c) – СD68 (моноциты / макрофаги), (d) – СD3 (Т-лимфоциты); (e) – СD20 (В-лимфоциты). Одно деление = 50 мкм. Int – группа здоровых животных, c.CTEPH – группа контрольной хронической тромбоэмболической легочной гипертензии, PSL – группа применения низкой дозы преднизолона.
ОБСУЖДЕНИЕ РЕЗУЛЬТАТОВ
Основным результатом этого исследования стала выявленная способность преднизолона путем подавления асептического воспаления снижать выраженность ремоделирования ветвей легочной артерии.
В данном исследовании использовалась модель ХТЭЛГ, основанная на введении частично биодеградируемых микросфер из альгината натрия, в связи с тем, что она позволяет наиболее точно моделировать патогенез этой патологии у крыс [19]. Более того, в группе к.ХТЭЛГ были достигнуты все критерии моделируемой патологии [1]: стабильное повышение СДПЖ, остаточная обструкция сосудистого русла, снижение толерантности к физической нагрузке, выраженное ремоделирование ветвей легочной артерии, что свидетельствует об эффективности выбранного протокола моделирования. В сосудистой стенке и периваскулярном пространстве ветвей легочной артерии в группе к.ХТЭЛГ обнаруживалась значимая воспалительная инфильтрация с преимущественным содержанием СD68+ клеток (макрофаги). Эти данные согласуются с ранее опубликованными результатами, где использовался материал, полученный от пациентов с ХТЭЛГ [10].
С учетом того, что в настоящее время не существует препаратов для лечения ХТЭЛГ, которые использовались бы непосредственно для подавления асептического воспаления и связанного с ним фиброза [20, 21], в качестве эталона коррекции иммунной гиперреактивности в этом исследовании был выбран преднизолон в двух различных дозах: низкой дозе (1.5 мг/кг/сутки, что соответствует 0.25 мг/кг/сутки у человека) и высокой (6 мг/кг/сутки, что соответствует 1 мг/кг/сутки у человека). Иммуносупрессивное действие глюкокортикостероидов, в том числе преднизолона, обусловлено как супрессией генов, кодирующих провоспалительные цитокины (ФНО-α, гранулоцитарно-макрофагальный колониестимулирующий фактор (GM–CSF), ИЛ-8), хемокины (CCL1, CCL5, CXCL8) и молекулы адгезии (ICAM-1, VCAM-1), так и активацией транскрипции противовоспалительных белков, таких как аннексин-1, β2-адренорецептор, ингибитор ядерного фактора κB (IκB-α), секреторная лейкопротеаза (SLPI), митоген-активируемая киназа фосфатаза-1 (MKP-1). В дальнейшем MKP-1 действует как ингибитор на пути МАР-киназы, необходимой для стабилизации мРНК таких цитокинов, как ИЛ-1β, ИЛ-6, ИЛ-8, ФНО-α, GM–CSF, COX-2 [22].
В настоящем исследовании применение преднизолона оказывало влияние как на ремоделирование сосудов малого круга кровообращения, так и на функциональные показатели, такие как толерантность к физической нагрузке и систолическая функция ПЖ. Кроме того, отмечалось значимое снижение воспалительной инфильтрации сосудистой стенки и периваскулярного пространства.
При использовании низкой дозы преднизолона (1.5 мг/кг/сутки) отмечалось снижение индекса гипертрофии и процента коллагеновых волокон в сосудистой стенке ветвей легочной артерии по сравнению с к.ХТЭЛГ. По данным ЭХО-КГ, в отличие от группы к.ХТЭЛГ, не было отмечено снижения систолической функции ПЖ, оцененной с помощью TAPSE, однако наблюдалось снижение Vmax легочного ствола по сравнению со здоровыми животными. Данное изменение потребует уточнения в дальнейших исследованиях. Толерантность к физической нагрузке у животных из этой группы была наибольшая из всех опытных групп и значимо не отличалась от группы здоровых животных.
В группе применения высокой дозы преднизолона (6 мг/кг/сутки) было выявлено положительное влияние на процент коллагеновых волокон в структуре сосудистой стенки, этот показатель значимо не отличался от здоровых животных. Однако, в отличие от группы применения низких доз преднизолона, не было выявлено значимого снижения индекса гипертрофии по сравнению с группой к.ХТЭЛГ. Это, вероятнее всего, связано с тем, что высокие дозы преднизолона могут способствовать повышению давления в малом круге кровообращения за счет неиммунного механизма, как это происходит и в большом круге кровообращения. Подтверждением этого служат ранее опубликованные данные. Так, в статье Chapados с соавт. на модели асфиксии-реоксигенации новорожденных поросят продемонстрировано увеличение давления в легочной артерии после применения гидрокортизона в дозировке 1 мг/кг через 2 ч после его перорального введения. Авторы указали, что это связано с влиянием гидрокортизона на изменения уровня эндотелина-1, но не на NO, пероксинитрит, MMP-2 или MMP-9 [23]. Более того, похожий эффект глюкокортикостероидов был показан в работе Gluskowski с соавт. в ходе клинических исследований преднизолона на пациентах со 2-й или 3-й стадией саркоидоза [24]. Также косвенным подтверждением этого служит отсутствие снижения СДПЖ в группе высоких доз преднизолона по сравнению с к.ХТЭЛГ, в то время как в группе применения низких доз преднизолона отмечалась тенденция к снижению этого показателя (р = 0.054). На фоне использования высоких доз преднизолона отсутствовало отрицательное действие на уровень TAPSE, что положительно отличало эту группу от к.ХТЭЛГ. Однако толерантность к физической нагрузке, в отличие от группы НД, была снижена по сравнению со здоровыми животными.
Среди ранее опубликованных работ существует лишь несколько исследований, посвященных тестированию глюкокортикостероидов при лечении ХТЭЛГ. Kerr с соавт. [25] применили короткий курс метилпреднизолона непосредственно перед легочной тромбэндартерэктомией для предотвращения острого повреждения легких. Было продемонстрировано снижение уровней ИЛ-6 и ИЛ-8 наряду с увеличением ИЛ-10 в плазме крови, а также снижение ИЛ-1 и ИЛ-6 в бронхоальвеолярном лаваже через сутки после операции. Однако эти молекулярные изменения не повлияли на частоту острого повреждения легких.
В настоящем исследовании преднизолон, используемый в низкой дозе, эффективно подавлял воспалительную инфильтрацию сосудистой стенки и периваскулярного пространства, уменьшал выраженность ремоделирования ветвей легочной артерии не только за счет ограничения гипертрофии сосудистой стенки, но и за счет подавления отложения коллагена. Таким образом, была продемонстрирована существенная роль асептического воспаления в патогенезе развития и прогрессирования ХТЭЛГ. Полученные данные могут быть использованы при разработке новых подходов в лечении данной патологии.
ВКЛАДЫ АВТОРОВ
А. А. Карпов – разработка концепции и дизайна исследования, статистический анализ и интерпретация данных, участие в написании рукописи и проверка критически важного интеллектуального содержания, окончательное утверждение для публикации. А. А. Крылов – анализ и интерпретация данных гистологического исследования. Л. А. Шиленко – проведение тредмил-теста, инвазивное измерение гемодинамики, анализ и интерпретация данных, участие в написании рукописи. А. М. Михайлова, Д. Д. Ваулина – изготовление эмболизирующих частиц, участие в их внутривенном введении, статистический анализ данных, участие в написании рукописи. Д. Ю. Ивкин, Н. П. Исакова – статистический анализ и интерпретация данных, участие в написании рукописи. А. В. Воротилов – проведение тредмил-теста, инвазивное измерение гемодинамики, анализ и интерпретация данных. Н. Ю. Семенова, В. А. Цинзерлинг – проведение иммуногистохимического исследования, анализ и интерпретация данных. М. М. Галагудза – разработка концепции и дизайна исследования, участие в написании рукописи и проверка критически важного интеллектуального содержания, окончательное утверждение для публикации.
ФИНАНСИРОВАНИЕ РАБОТЫ
Данная работа финансировалась за счет гранта Российского научного фонда № 23–75–10122 https://rscf.ru/project/23–75–10122/. Никаких дополнительных грантов на проведение или руководство данным конкретным исследованием получено не было.
СОБЛЮДЕНИЕ ЭТИЧЕСКИХ СТАНДАРТОВ
Эксперименты с животными проводились в соответствии с международными рекомендациями по проведению биомедицинских исследований с лабораторными животными и были одобрены Комиссией по этике Санкт-Петербургского государственного химико-фармацевтического университета Министерства здравоохранения РФ (протокол БЭК СПХФУ Rats-02.2019–5 от 12 февраля 2019 г.).
КОНФЛИКТ ИНТЕРЕСОВ
Авторы данной работы заявляют, что у них нет конфликта интересов.
About the authors
А. А. Karpov
Almazov National Medical Research Centre; Saint-Petersburg State Chemical and Pharmaceutical University; Saint-Petersburg Electrotechnical University "LETI"
Email: uplavice@gmail.com
Russian Federation, Saint-Petersburg; Saint-Petersburg; Saint-Petersburg
А. А. Krylov
Almazov National Medical Research Centre; Herzen State Pedagogical University of Russia
Email: uplavice@gmail.com
Russian Federation, Saint-Petersburg; Saint-Petersburg
L. A. Shilenko
Almazov National Medical Research Centre
Email: uplavice@gmail.com
Russian Federation, Saint-Petersburg
А. М. Mihailova
Almazov National Medical Research Centre
Email: uplavice@gmail.com
Russian Federation, Saint-Petersburg
D. D. Vaulina
Almazov National Medical Research Centre
Author for correspondence.
Email: uplavice@gmail.com
Russian Federation, Saint-Petersburg
D. Yu. Ivkin
Saint-Petersburg State Chemical and Pharmaceutical University
Email: uplavice@gmail.com
Russian Federation, Saint-Petersburg
N. P. Isakova
Herzen State Pedagogical University of Russia
Email: uplavice@gmail.com
Russian Federation, Saint-Petersburg
A. V. Vorotilov
Almazov National Medical Research Centre
Email: uplavice@gmail.com
Russian Federation, Saint-Petersburg
N. Y. Semenova
Almazov National Medical Research Centre
Email: uplavice@gmail.com
Russian Federation, Saint-Petersburg
V. A. Zinserling
Almazov National Medical Research Centre
Email: uplavice@gmail.com
Russian Federation, Saint-Petersburg
М. М. Galagudza
Almazov National Medical Research Centre
Email: uplavice@gmail.com
Russian Federation, Saint-Petersburg
References
- Simonneau G, Montani D, Celermajer DS, Denton CP, Gatzoulis MA, Krowka M, Williams PG, Souza R (2019) Haemodynamic definitions and updated clinical classification of pulmonary hypertension. Eur Respir J 53(1): 1801913. https://doi.org/10.1183/13993003.01913–2018
- Humbert M, Kovacs G, Hoeper MM, Badagliacca R, Berger RMF, Brida M, Carlsen J, Coats AJS, Escribano-Subias P, Ferrari P, Ferreira DS, Ghofrani HA, Giannakoulas G, Kiely DG, Mayer E, Meszaros G, Nagavci B, Olsson KM, Pepke-Zaba J, Quint JK, Rådegran G, Simonneau G, Sitbon O, Tonia T, Toshner M, Vachiery JL, Vonk Noordegraaf A, Delcroix M, Rosenkranz S; ESC/ERS Scientific Document Group (2022) 2022 ESC/ERS Guidelines for the diagnosis and treatment of pulmonary hypertension. Eur Heart J 43(38): 3618–3731. https://doi.org/10.1093/eurheartj/ehac237
- Yang J, Madani MM, Mahmud E, Kim NH (2023) Evaluation and Management of Chronic Thromboembolic Pulmonary Hypertension. Chest 164(2): 490–502. https://doi.org/10.1016/j.chest.2023.03.029
- Rådegran G, Kjellström B, Ekmehag B, Larsen F, Rundqvist B, Blomquist SB, Gustafsson C, Hesselstrand R, Karlsson M, Kornhall B, Nisell M, Persson L, Ryftenius H, Selin M, Ullman B, Wall K, Wikström G, Willehadson M, Jansson K, Söderberg S, on behalf of SveFPH and SPAHR (2016) Characteristics and survival of adult Swedish PAH and CTEPH patients 2000–2014. Scand Cardiovasc J 50(4): 243–250. https://doi.org/10.1080/14017431.2016.1185532
- Quadery SR, Swift AJ, Billings CG, Thompson AAR, Elliot CA, Hurdman J, Charalampopoulos A, Sabroe I, Armstrong IJ, Hamilton N, Sephton P, Garrad S, Pepke-Zaba J, Jenkins DP, Screaton N, Rothman AM, Lawrie A, Cleveland T, Thomas S, Rajaram S, Hill C, Davies C, Johns CS, Wild JM, Condliffe R, Kiely DG (2018) The impact of patient choice on survival in chronic thromboembolic pulmonary hypertension. Eur Respir J 52(3): 1800589. https://doi.org/10.1183/13993003.00589–2018
- Lang IM, Dorfmüller P, Vonk Noordegraaf A (2016) The Pathobiology of Chronic Thromboembolic Pulmonary Hypertension. Ann Am Thorac Soc 13 Suppl 3: S215–S221. https://doi.org/10.1513/AnnalsATS.201509–620AS
- Delcroix M, Vonk Noordegraaf A, Fadel E, Lang I, Simonneau G, Naeije R (2013) Vascular and right ventricular remodelling in chronic thromboembolic pulmonary hypertension. Eur Respir J 41(1): 224–232. https://doi.org/10.1183/09031936.00047712
- Andersen S, Reese-Petersen AL, Braams N, Andersen MJ, Mellemkjær S, Andersen A, Bogaard HJ, Genovese F, Nielsen-Kudsk JE (2023) Biomarkers of collagen turnover and wound healing in chronic thromboembolic pulmonary hypertension patients before and after pulmonary endarterectomy. Int J Cardiol 384: 82–88. https://doi.org/10.1016/j.ijcard.2023.05.016
- Matthews DT, Hemnes AR (2016) Current concepts in the pathogenesis of chronic thromboembolic pulmonary hypertension. Pulm Circ 6(2): 145–154. https://doi.org/10.1086/686011
- Quarck R, Wynants M, Verbeken E, Meyns B, Delcroix M (2015) Contribution of inflammation and impaired angiogenesis to the pathobiology of chronic thromboembolic pulmonary hypertension. Eur Respir J 46(2): 431–443. https://doi.org/10.1183/09031936.00009914
- Zhang M, Zhang Y, Pang W, Zhai Z, Wang C (2019) Circulating biomarkers in chronic thromboembolic pulmonary hypertension. Pulm Circ 9(2): 2045894019844480. https://doi.org/10.1177/2045894019844480
- Koudstaal T, van Uden D, van Hulst JAC, Heukels P, Bergen IM, Geenen LW, Baggen VJM, van den Bosch AE, van den Toorn LM, Chandoesing PP, Kool M, Boersma E, Hendriks RW, Boomars KA (2021) Plasma markers in pulmonary hypertension subgroups correlate with patient survival. Respir Res 22(1): 137. https://doi.org/10.1186/s12931–021–01716-w
- Magoń W, Stępniewski J, Waligóra M, Jonas K, Przybylski R, Podolec P, Kopeć G (2022) Changes in Inflammatory Markers in Patients with Chronic Thromboembolic Pulmonary Hypertension Treated with Balloon Pulmonary Angioplasty. Cells 11(9): 1491. https://doi.org/10.3390/cells11091491
- Zabini D, Heinemann A, Foris V, Nagaraj C, Nierlich P, Bálint Z, Kwapiszewska G, Lang IM, Klepetko W, Olschewski H, Olschewski A (2014) Comprehensive analysis of inflammatory markers in chronic thromboembolic pulmonary hypertension patients. Eur Respir J 44(4): 951–962. https://doi.org/10.1183/09031936.00145013
- Reesink HJ, Meijer RC, Lutter R, Boomsma F, Jansen HM, Kloek JJ, Bresser P (2006) Hemodynamic and clinical correlates of endothelin-1 in chronic thromboembolic pulmonary hypertension. Circ J 70(8): 1058–1063. https://doi.org/10.1253/circj.70.1058
- Smolders VFED, Lodder K, Rodríguez C, Tura-Ceide O, Barberà JA, Jukema JW, Quax PHA, Goumans MJ, Kurakula K (2021) The Inflammatory Profile of CTEPH-Derived Endothelial Cells Is a Possible Driver of Disease Progression. Cells 10(4): 737. https://doi.org/10.3390/cells10040737
- Ferré A, Thille AW, Mekontso-Dessap A, Similowski T, Legriel S, Aegerter P, Demoule A; Réseau Européen de Recherche en Ventilation Artificielle (REVA) research network (2023) Impact of corticosteroids on the duration of ventilatory support during severe acute exacerbations of chronic obstructive pulmonary disease in patients in the intensive care unit: a study protocol for a multicentre, randomized, placebo-controlled, double-blind trial. Trials 24(1): 231. https://doi.org/10.1186/s13063–023–07229–9
- Nair AB, Jacob S (2016) A simple practice guide for dose conversion between animals and human. J Basic Clin Pharm 7(2): 27–31. https://doi.org/10.4103/0976–0105.177703
- Karpov AA, Anikin NA, Mihailova AM, Smirnov SS, Vaulina DD, Shilenko LA, Ivkin DY, Bagrov AY, Moiseeva OM, Galagudza MM (2021) Model of Chronic Thromboembolic Pulmonary Hypertension in Rats Caused by Repeated Intravenous Administration of Partially Biodegradable Sodium Alginate Microspheres. Int J Mol Sci 22(3): 1149. https://doi.org/10.3390/ijms22031149
- Mukhopadhyay S, Johnson TA, Duru N, Buzza MS, Pawar NR, Sarkar R, Antalis TM (2019) Fibrinolysis and Inflammation in Venous Thrombus Resolution. Front Immunol 10: 1348. https://doi.org/10.3389/fimmu.2019.01348
- Humbert M, McLaughlin V, Gibbs JSR, Gomberg-Maitland M, Hoeper MM, Preston IR, Souza R, Waxman A, Escribano Subias P, Feldman J, Meyer G, Montani D, Olsson KM, Manimaran S, Barnes J, Linde PG, de Oliveira Pena J, Badesch DB; PULSAR Trial Investigators (2021) Sotatercept for the Treatment of Pulmonary Arterial Hypertension. N Engl J Med 384(13): 1204–1215. https://doi.org/10.1056/NEJMoa2024277
- Barnes PJ, Adcock IM, Ito K (2005) Histone acetylation and deacetylation: importance in inflammatory lung diseases. Eur Respir J 25(3): 552–563. https://doi.org/10.1183/09031936.05.00117504
- Chapados I, Lee TF, Chik CL, Cheung PY (2011) Hydrocortisone administration increases pulmonary artery pressure in asphyxiated newborn piglets reoxygenated with 100% oxygen. Eur J Pharmacol 652(1–3): 111–116. https://doi.org/10.1016/j.ejphar.2010.10.089
- Gluskowski J, Hawrylkiewicz I, Zych D, Zieliński J (1990) Effects of corticosteroid treatment on pulmonary haemodynamics in patients with sarcoidosis. Eur Respir J 3(4): 403–407.
- Kerr KM, Auger WR, Marsh JJ, Devendra G, Spragg RG, Kim NH, Channick RN, Jamieson SW, Madani MM, Manecke GR, Roth DM, Shragg GP, Fedullo PF (2012) Efficacy of methylprednisolone in preventing lung injury following pulmonary thromboendarterectomy. Chest 141(1): 27–35. https://doi.org/10.1378/chest.10–2639
Supplementary files








