Опыт комбинированного лечения пациентов с невриномами тройничного нерва c одновременным супра- и субтенториальным распространением
- Авторы: Безбородова Т.Ю.1, Таняшин С.В.1, Золотова С.В.1, Струнина Ю.В.1
-
Учреждения:
- Национальный медицинский исследовательский центр нейрохирургии имени академика Н.Н. Бурденко
- Выпуск: Том 71, № 1 (2025)
- Страницы: 182-191
- Раздел: ОПЫТ РАБОТЫ ОНКОЛОГИЧЕСКИХ УЧРЕЖДЕНИЙ
- URL: https://ogarev-online.ru/0507-3758/article/view/291730
- DOI: https://doi.org/10.37469/0507-3758-2025-71-1-182-191
- ID: 291730
Цитировать
Полный текст
Аннотация
Введение. Невринома тройничного нерва (ТН) — опухоль с вариабельным естественным течением заболевания. При супра- и субтенториальном распространении данное новообразование вызывает трудности при выборе метода лечения в связи с рисками инвалидизации после хирургии или прогрессии после облучения.
Цель. Оценить результаты комбинированного лечения пациентов с невриномами тройничного нерва с одновременным супра- и субтенториальным ростом.
Материалы и методы. В материал исследования вошли данные о 23 пациентах с невриномами тройничного нерва с одновременным ростом опухоли в нескольких черепных ямках, которым было проведено комбинированное лечение в НМИЦ нейрохирургии им. ак. Н.Н. Бурденко с 2010 по 2022 г. На первом этапе всем пациентам была проведена операция по удалению опухоли, на втором — стереотаксически ориентированное лучевое лечение. Интервал между хирургией и облучением в среднем составил 14,1 мес.
Результаты. Проведенное комбинированное лечение способствовало улучшению мозжечковых нарушений (p-value = 0,008), исчезновению нистагма (p-value < 0,001), но также, в свою очередь, нарастанию недостаточности чувствительной порции тройничного нерва (p-value = 0,018), особенно гипестезии (p-value = 0,002), появлению нейропатической боли (p-value = 0,015) и парестезий в лице (p-value < 0,001), а также дисфункции двигательной порции тройничного нерва (p-value — 0,012).
При сравнении уровня активности по шкале Карновского до операции после хирургии и через 6 мес. после лучевого лечения наблюдалось снижение показателей непосредственно после удаления опухоли в 60 % случаев с последующим повышением уровня активности в отдаленном периоде в 65 % лечения (p-value < 0,001).
Медиана беспрогрессивной выживаемости в данной группе пациентов составила 106 мес. Трехлетняя беспрогрессивная выживаемость — 0,938.
Выводы. Нарастание дисфункции тройничного нерва после проведенного лечения вполне закономерно и обусловлено самой природой опухоли. Улучшение уровня активности по шкале Карновского в отдаленном периоде (более 6 мес. после лучевого лечения) и высокий результат трехлетней беспрогрессивной выживаемости позволяют рассматривать комбинированное лечение как метод выбора в лечении пациентов с невриномами тройничного нерва с супра- и субтенториальным ростом.
Полный текст
Введение
Невринома тройничного нерва (ТН) — это доброкачественное новообразование, растущее из оболочки тройничного нерва, которое развивается в результате инактивации белка-супрессора мерлина (моэзин-эзрин-радиксин-подобный белок, также известный как шванномин) в ядре шванновских клеток. Частота встречаемости данной опухоли очень низкая — не более 0,5 % среди всех внутричерепных новообразований. В то же время эти опухоли являются вторыми по частоте интракраниальными невриномами после вестибулярных шванном. Невринома тройничного нерва регистрируется в любом возрасте с наибольшей встречаемостью в 30−40 лет [1].
Исходный рост невриномы тройничного нерва может происходить из любого его участка — корешка, узла, периферических ветвей, локализуясь интракраниально как в пределах одной, так и в нескольких черепных ямках [2]. Морфологически опухоль может быть невриномой/шванномой или нейрофибромой [3, 4].
Первая классификация неврином тройничного нерва была предложена в 1955 г. Jefferson и соавт. [5]. Несмотря на общие принципы формирования, на данный момент в литературе приводится большое количество классификаций, которые лежат в основе систематизации этих опухолей. Чаще остальных используется классификация K. Yoshida и T. Kawasee 1999 г. Они разделили невриномы тройничного нерва на 6 типов:
- тип Р представлен изолированным поражением ЗЧЯ за счет роста из корешка нерва;
- тип М представлен опухолями, поражающими СЧЯ, и растущими из Гассерова узла или из периферических ветвей, идущих в латеральной стенке кавернозного синуса;
- тип Е включает опухоли из периферических ветвей с экстракраниальным ростом. Этот вариант делится на две подкатегории: Е1— с ростом невриномы в орбиту, Е2 — с прорастанием опухоли в крылонебную и/или подвисочную ямки.
- типы МР, МЕ и МРЕ являются комбинациями опухолей типа Р, М и Е [6].
Основными методами диагностики невриномы тройничного нерва являются клинические и нейровизуализационные данные. Клиническая картина характеризуется специфическими симптомами, связанными с дисфункцией тройничного нерва: гипестезией, снижением роговичного рефлекса, невралгической или нейропатической болью в лице, парестезиями, слабостью и атрофией височной и жевательной мышц. Также возможно развитие общемозговой симптоматики, недостаточности других черепных нервов, мозжечковой, вторично-стволовой, пирамидной и пароксизмальной симптоматики, а также экзофтальма, зрительных нарушений и др. В целом клиническая картина обусловлена топографией и распространением невриномы [1, 2, 5−8].
Данные МРТ головного мозга с контрастным усилением являются основным нейровизуализационным методом для диагностики невриномы тройничного нерва. Возможно также использование КТ головы с контрастированием и СКТ-перфузии в сложных диагностических случаях [9].
В зависимости от размера ТН делятся на:
- маленькие — до 2 см в диаметре;
- средние — от 2 до 3 см в диаметре;
- большие — более 3 см в диаметре [7].
Некоторые авторы выделяют гигантские ТН — более 4 см в диаметре [8]. В течение длительного времени при лечении неврином тройничного нерва в основном применялся хирургический метод. На данный момент существует несколько методов лечения данного заболевания. В хирургическом пособии помимо микрохирургических техник широко используется эндоскопия. С конца XX столетия активно применяется лучевое лечение как самостоятельный метод, так и в качестве комбинации с хирургией. При асимптомных небольших невриномах используется также выжидательная тактика (“wait and see”), позволяющая части пациентов находиться под наблюдением с регулярным рентгенологическим контролем на протяжении нескольких лет — до фиксации прогрессии опухоли или появления и нарастания неврологического дефицита [1−2, 5−25]. Цель исследования — оценить результаты комбинированного лечения пациентов с невриномами тройничного нерва с одновременным супра- и субтенториальным ростом.
Материалы и методы
В материал исследования вошли данные о 23 пациентах с невриномами тройничного нерва с одновременным ростом опухоли в нескольких черепных ямках, которым было проведено комбинированное лечение в НМИЦ нейрохирургии им. ак. Н.Н. Бурденко с 2010 по 2022 г. На первом этапе всем пациентам была сделана операция по удалению опухоли, на втором этапе проведено стереотаксически ориентированное лучевое лечение. Интервал между хирургией и облучением в среднем составил 14,1 мес.
Показания для комбинированного подхода в лечении пациентов с одновременным супра- и субтенториальным распространением ТН:
- при расположении ТН в нескольких черепных ямках и наибольшим диаметром опухоли в одной из них более 2 см и вызывает клиническую симптоматику, а в других — менее 2 см, вызывает минимальные проявления и не деформирует IV желудочек;
- явное вовлечение по данным МРТ в структуру опухоли магистральных сосудов (ВСА, ПА, БА и др.), что заранее обуславливает нетотальное удаление ТН;
- интраоперационная картина отсутствия четких границ между опухолью и окружающими структурами, что обуславливает нетотальное удаление ТН.
Перед началом лечения оценивался соматический, неврологический, офтальмологический и оториноларингологический статус больных, выполнялось МРТ головного мозга без и с контрастным усилением, КТ головы. При необходимости пациент проходил дополнительные исследования и консультации других специалистов.
Выбор режима облучения при проведении второго этапа лечения зависит от нескольких факторов. При остаточной опухоли небольшого размера, которая не компримирует ствол головного мозга, радиохирургия является методом выбора лучевого воздействия. Чем больше опухоль, хуже неврологический статус пациента, а также более выражена декомпенсация сопутствующих заболеваний, облучение в режимах гипофракционирования, а в редких случаях и стандартного фракционирования, становится преимущественным методом в лечении данной группы пациентов.
Результаты
Среди 23 вошедших в исследование пациентов соотношение мужчин и женщин составило 34,8 к 65,2 % (1:1,875 соответственно). Средний возраст — 41,52 года (мин. — 25,7, макс. — 58). Сопутствующие заболевания выявлены у 34,8 % пациентов. Распределение ТН по топографо-анатомическим характеристикам в данной группе следующее: тип МР — 21 пациент (91,3 %), тип МРЕ — 2 пациента (8,7 %).
Основными симптомами заболевания в анализируемой группе являлись мозжечковые нарушения (73,9 %), снижение роговичного рефлекса (60,9 %), нистагм (56,5 %), гипестезия лица (52,2 %), общемозговая симптоматика (43,5 %) (рис. 1).
Рис. 1. Неврологический статус пациентов перед операцией
Fig. 1. Neurological status of patients before surgery
Перед операцией состояние пациентов оценивалось по шкале Карновского: 70 баллов у 5, (21,7 %), 80 баллов у 12, (52,2 %), 90 баллов у 6 пациентов (26,1 %).
По данным МРТ головного мозга, средний объем опухоли в данной группе составил 14,91 см3. Средние размеры опухоли в СЧЯ — 1,9 × 2,07 × 1,9 см, средний объем 4,86 см3. При этом средняя доля кистозного компонента в опухолях СЧЯ — 31,63 %. Средние размеры опухоли в ЗЧЯ — 2,45 × 2,67 × 2,01 см, средний объем — 9,8 см3. Средняя доля кист в объеме опухоли в ЗЧЯ составила 46,96 %.
При расположении опухоли в ЗЧЯ в 80 % случаев обнаруживалась компрессия ствола головного мозга с деформацией IV желудочка, в 20 % — без деформации IV желудочка. При этом в 30 % присутствовал односторонний отек ствола мозга. В СЧЯ отек окружающих тканей не был выявлен ни в одном случае. У 1 пациента была диагностирована гидроцефалия обструктивного типа в результате компрессии ствола мозга с перивентрикулярным отеком.
На первом этапе всем пациентам было проведено оперативное лечение, средняя продолжительность которого составила 278,26 мин. В 12 случаях была удалена опухоль в задней черепной ямке (52,2 %), в 7 — средней черепной ямке (30,4 %), в 4 — опухоль и в СЧЯ, и в ЗЧЯ (17,4 %).
В 82,6 % (19 пациентам) случаев операция проводилась в положении на операционном столе «на спине», в 13 % (3 пациентам) — «полусидя», в 4,3 % (1 пациенту) — «на боку».
Ретросигмовидный доступ был использован в 52,2 % (у 12 пациентов), в 13 % (3 пациентам) — лобно-височный интрадуральный, в 13 % (3 пациента) — лобно-височный экстрадуральный, в 8,7 % (у 2 пациентов) — орбитозигоматический экстрадуральный, в 4,3 % (1 пациенту) — орбитозигоматический интрадуральный, в 4,3 % (1 пациент) — эндоскопический трансназальный, в 4,3 % (1 пациенту) — ЛРТЭД.
В 82,6 % случаев (у 18 пациентов) обнаружена четкая граница между опухолью и окружающими структурами. При этом невринома тесно прилежала к окружающим структурам в 90,9 % случаев. В 30,4 % случаев опухоль была мягкая, в 34,8 % — плотная, в 34,8 % имела очаги различной плотности. Соотношение неврином с однородной и неоднородной консистенцией составило 1:1,09 (47,8 % и 52,3 % соответственно). Кровоточивость опухоли была оценена как умеренная у 8 пациентов (34,8 %), интенсивная у 6 пациентов (26,1 %), малокровоточивая у 9 пациентов (39,1 %).
Радикальность удаления оценивалась в отношении той части опухоли, которая непосредственно являлась целью хирургической резекции. Тотальное удаление опухоли в нашем исследовании достигнуто в 47,8 % случаев (11 пациентов), почти тотальное в 21,7 % (5 пациентов), субтотальное в 21,7 % (5 пациентов), частичное в 4,3 % (1 пациент), биопсия в 4,3 % (1 пациент) (рис. 2). Интраоперационных осложнений не зафиксировано.
Рис. 2. Радикальность хирургического лечения
Fig. 2. Radicality of surgical treatment
По данным морфологического исследования, у 19 пациентов диагностирована шваннома (WHO Grade I) (91,3 %), у 2 пациентов — нейрофиброма (WHO Grade I) (8,7 %).
В течение первых 7 суток после операции в клинической картине доминировали недостаточность чувствительной порции тройничного нерва (95,5 %) в виде снижения роговичного рефлекса (86,4 %), гипестезии лица (81,8 %), недостаточность отводящего нерва (45,5 %), мозжечковые нарушения (36,4 %), стволовые симптомы — нистагм (31,8 %).
После операции состояние пациентов оценивалось по шкале Карновского: на 40 баллов — 2 пациента (9,1 %), 60 баллов — 1 пациент (4,5 %), 70 баллов — 8 пациентов (36,4 %), 80 баллов — 10 пациентов (45,5 %), 90 баллов — 1 пациент (4,5 %).
Количество дней, проведенных в стационаре после операции, в среднем было равно 8. На момент выписки зафиксированы следующие исходы лечения: ухудшение произошло у 11 пациентов (47,8 %), без изменений осталось 7 пациентов (30,4 %), улучшение — у 5 пациентов (21,7 %).
Ранние осложнения (в течение 4 недель после операции) выявлены у 8 пациентов (34,8 %): кератопатия у 5 пациентов (21,7 %, лечение — консервативное), местные инфекционные осложнения в области раны (4,3 %, антибиотикотерапия), нарастающая гидроцефалия и массивный отек головного мозга (4,3 %, установка наружного вентрикулярного дренажа с последующим вентрикуло-перитонеальным шунтированием), бульбарный синдром (4,3 %, установка назогастрального зонда и трахеостомия), эпилептические приступы (4,3 %, лечение — консервативное), гемотимпанум (4,3 %, лечение — консервативное).
Облучение в режиме гипофракционирования проведено 12 пациентам (52,2 %), радиохирургии — 9 пациентам (39,1 %), стандартного фракционирования — 2 пациентам (8,7 %).
Расположение опухоли на момент облучения: СЧЯ — 3 пациента (13 %), ЗЧЯ — 1 пациент (4,3 %), СЧЯ и ЗЧЯ — 17 человек (73,9 %), СЧЯ, ЗЧЯ и периферические ветви — 2 пациента (8,7 %).
Средний объем облученной опухоли составил 13,305 см3 (min — 0,36 см3, max — 32 см3).
Предписанная доза при лечении на аппарате Гамма-нож составляла 12 Гр по 50 % изодозной кривой (5 пациентам); при лечении на аппарате Кибер-нож или Новалис средняя доза составляла 13,5–14 Гр.
В режиме стандартного фракционирования СОД 54 Гр была достигнута за 27–30 фракций с РОД 1,8–2 Гр.
При проведении лечения использовались следующие режимы гипофракционирования: 5 пациентов 3 по 6,5–7 Гр, 7 пациентов 5 по 5 Гр.
16 пациентам во время проведения лучевой терапии (ЛТ) вводились глюкокортикостероиды (84,2 %).
Через 6 мес. после лучевого лечения в клинической картине доминировали следующие симптомы: гипестезия (95,2 %), снижение роговичного рефлекса (85,7 %), парестезии (52,4 %), дисфункция двигательной порции V нерва (40 %), нейропатическая боль (28,6 %), невралгическая боль (14,3 %). Также встречались недостаточность отводящего нерва (33,3 %), кохлеовестибулярные (33,3 %) и мозжечковые нарушения (33,3 %).
Состояние пациентов через 6 мес. также оценивалось по шкале Карновского: 70 баллов — 2 пациента (9,5 %), 80 баллов — 12 пациентов (57,1 %), 90 баллов — 6 пациентов (28,6 %), 100 баллов — 1 пациент (4,8 %).
Катамнез удалось проследить у 21 пациента. Средний период катамнестического наблюдения составил 49,8 мес. 13 человек вернулись к прежней работе, 1 — к более легкому труду, 7 пациентов не вернулись к труду. Реабилитационное лечение дополнительно прошли 3 пациента. Через 6 мес. после операции кератопатия сохранилась у 1 человека, который продолжал лечиться медикаментозно.
В данном исследовании выявлена статистически значимая связь использования радиохирургии с правой стороной расположения опухоли (p-value = 0,029). Также определена корреляция между наличием до операции в клинической картине недостаточности отводящего нерва и использованием радиохирургии как метода лучевого воздействия (p-value = 0,006).
Проведенное комбинированное лечение способствует улучшению мозжечковых нарушений (p-value = 0,008), исчезновению нистагма (p-value < 0,001), но также, в свою очередь, нарастанию недостаточности чувствительной порции тройничного нерва (p-value = 0,018), особенно гипестезии (p-value = 0,002), появлению нейропатической боли (p-value = 0,015) и парестезий в лице (p-value < 0,001), а также дисфункции двигательной порции тройничного нерва (p-value — 0,012).
При сравнении уровня активности по шкале Карновского до операции, после хирургии и через 6 мес. после лучевого лечения наблюдается снижение показателей непосредственно после удаления опухоли в 60 % случаев с последующим повышением уровня активности в отдаленном периоде в 65 % лечения (p-value < 0,001).
Медиана беспрогрессивной выживаемости в данной группе пациентов составила 106 мес. Трехлетняя беспрогрессивная выживаемость — 0,938.
На рис. 3 представлен график беспрогрессивной выживаемости пациентов, разделенных на две группы: прошедшие лучевое лечение в пределах 12 мес. после операции и более чем через год после удаления.
Рис. 3. Кривая Каплана-Майера для оценки беспрогрессивной выживаемости в двух группах пациентов. Ось абсцисс — время (месяцы). Ось ординат — вероятность дожития
Fig. 3. Kaplan-Meier curve for the assessment of progression-free survival in two groups of patients. The x-axis is time (months). The y-axis is the probability of survival
Для иллюстрации «типичного пациента» для данного исследования приводим следующий клинический случай. В результате выбранной тактики был достигнут удовлетворительный результат в рамках контроля роста опухоли, а также сохранения качества жизни.
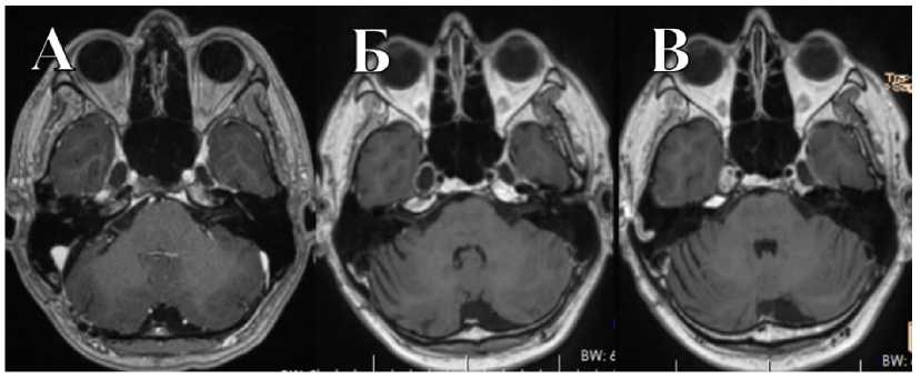
В НМИЦ нейрохирургии им. ак. Н.Н. Бурденко обратился пациент О., 33 лет. Развитие заболевания протекало в течение года в виде онемения в правой половине лица и болью в области внутреннего угла глаза. По данным МРТ, выявлена внемозговая опухоль средней и задней черепных ямок справа, накапливающая контрастное вещество, размеры узла в СЧЯ 1,2 × 1,25 × 1,4 см, в ЗЧЯ — 2,16 × 1,9 × 1,56 см (рис. 4). Объем опухоли в СЧЯ — 2,37 см3, в ЗЧЯ — 3,85 см3. При объективном обследовании перед операцией выявлены нарушения функции тройничного нерва справа в виде снижения роговичного рефлекса, а также горизонтальный нистагм.
Рис. 4. МРТ пациента О. до операции. Внемозговая опухоль СЧЯ и ЗЧЯ, накапливающая контрастное вещество
Fig. 4. MRI of patient O. before surgery. Extracerebral tumor of MCF and PCF with contrast enhancement
Учитывая наличие в ЗЧЯ опухоли большего объема с кистозным компонентом и компрессию ствола мозга, было принято решение о проведении комбинированного лечения. Первым этапом стало микрохирургическое удаление, вторым — лучевая терапия на опухоли в СЧЯ.
Операция выполнена в положении «лежа» на спине с поворотом головы влево. Проведено тотальное удаление опухоли из ретросигмовидного доступа (рис. 5).
Рис. 5. Интраоперационные снимки удаления опухоли в ЗЧЯ пациента О. А — невринома тройничного нерва; Б — акустико-фациальная группа нервов; В — верхняя каменистая вена; Г — отводящий нерв; Д — волокна тройничного нерва
Fig. 5. Intraoperative images of tumor removal in the PCF of patient O. A — trigeminal neuroma; Б — facial acoustic nerve group; B — superior petrosal vein; Г — abducens nerve; Д — trigeminal nerve fibres
В течение первых суток после операции выполнена КТ головы, по результатам которой не зафиксировано наличие послеоперационных осложнений.
На седьмые сутки после операции пациент выписан из стационара в удовлетворительном состоянии. В клинической картине наросла симптоматика со стороны тройничного нерва в виде появления гипестезии правой половины лица. По данным морфологического исследования — шваннома, WHO Grade I.
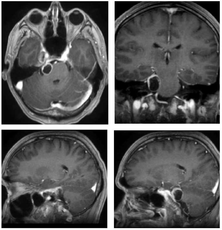
Через 6 мес. после операции пациенту проведено лучевое лечение на аппарате Кибер-нож в режиме радиохирургии. Разовая доза — 13,52 Гр, объем облученной опухоли составил 3,46 см3. На МРТ перед лучевой терапии визуализирован фрагмент невриномы тройничного узла в СЧЯ справа размерами 1,56 × 1,59 × 1,35 см, объем опухоли 2,46 см3 (рис. 6). В клинической картине на момент облучения сохранялась гипестезия и снижение роговичного рефлекса, однако через 3 мес. присоединились парестезии в лице и слабость жевательной и височной мышц на стороне операции.
Через 1 г. после лучевой терапии в клинической картине пациент отмечает частичное восстановление чувствительности на лице, а также появление недостаточности VIII черепного нерва справа. Контрольная МРТ продемонстрировала уменьшение опухоли, размеры — 1 × 1,88 × 0,74 см, объем — 0,73 см3 (рис. 6).
Рис. 6. МРТ пациента О.: А — перед лучевой терапией: невринома в СЧЯ, опухоль в ЗЧЯ удалена тотально; Б — через 6 мес. после лучевой терапии: небольшой остаток опухоли в СЧЯ; В — через 1 г. после лучевой терапии: небольшой остаток опухоли в СЧЯ
Fig. 6. MRI of patient O.: A — before radiation therapy: neuroma in MCF, tumor in PCF completely removed; Б — 6 months after radiation therapy: small tumor remnant in MCF; В — 1 year after radiation therapy: small tumor remnant in MCF
Обсуждение
Первое описание операции удаления опухоли из Гассерова узла представил A. Krogius в 1896 г. [26]. С этого момента хирургия длительное время была доминирующим способом лечения неврином тройничного нерва. Частота летальных исходов и осложнений была очень высокой, но постепенно снижалась благодаря развитию и внедрению в рутинную практику нейрохирурга микроскопа и базальных доступов, а также улучшению анестезиологического пособия. В 1960 г. G. Schisano и H. Olivecrona описали результаты хирургического лечения 39 пациентов. 41 % (16 пациентов) умерли после проведенной операции [27]. На протяжении же последних 10–15 лет летальность после удаления невриномы тройничного нерва снизилась радикальным образом и на сегодняшний день не превышает 2,5 % [1, 2, 5–12, 14–16, 24–25]. Целью хирургического лечения является максимально возможная резекция опухолевой ткани.
В 1988 г. Wallner и соавт. представили результаты лучевой терапии неврином тройничного нерва [17]. Это стало отправной точкой развития самостоятельного метода лечения данного заболевания. В настоящее время применяются различные режимы лучевого лечения: стереотаксическая радиохирургия, лучевая терапия в режимах стандартного фракционирования и гипофракционирования. Целью лучевой терапии является контроль роста опухоли. Это достигается как за счет непосредственного разрушения ДНК в клетках опухоли, так и благодаря отложенной облитерации внутриопухолевых сосудов [20].
В доступной литературе на данный момент обнаруживаются малочисленные описания случаев комбинированного лечения пациентов с невриномами тройничного нерва, поэтому возможность непосредственного сопоставления результатов данного исследования с аналогичными затруднена. Однако практически в каждой статье о хирургическом или лучевом лечении данного заболевания встречаются пациенты, прошедшие оба вида терапии.
Чаще всего облучение дополняет хирургию в случаях отсутствия возможности радикального удаления невриномы. Обычно такое решение принимается интраоперационно. В редких случаях комбинированное лечение является заранее запланированным лечебным подходом к пациенту.
Возможен и обратный порядок применения методов: в случаях истинной прогрессии после проведенной лучевой терапии требуется резекция увеличенной в объеме опухоли.
В данное исследование вошли пациенты с ростом опухоли в нескольких черепных ямках. С точки зрения выбора метода лечения эта группа пациентов является наиболее трудной. Большая операция одноэтапного удаления, двухэтапная хирургия через временной промежуток в несколько месяцев, лучевое лечение или комбинация хирургии и облучения — выбор того или иного метода всегда требует от специалиста взвешенного подхода с соотношением возможных рисков и пользы; а также необходимо принимать во внимание пожелания самого пациента.
До операции среди пациентов данного исследования в клинической картине помимо дисфункции тройничного нерва доминировали мозжечковые нарушения, нистагм и общемозговая симптоматика. Согласно полученным результатам статистического анализа проведенное комбинированное лечение способствовало улучшению мозжечковых симптомов и исчезновению нистагма. Нарастание недостаточности тройничного нерва вполне закономерно. Несмотря на вид проведенного лечения, сама природа опухоли обуславливает ухудшение как чувствительных, так и двигательных функций тройничного нерва.
Ухудшение результатов оценки пациентов после операции по шкале Карновского также объяснимо и связано с тяжестью проведенного лечения. При этом в отдаленном периоде после лучевой терапии наблюдается статистически значимое улучшение показателей по данной шкале функционального состояния пациентов. В 65 % это улучшение приводит к достижению предоперационного уровня, в 20 % превышает его.
Данное исследование демонстрирует высокий результат трехлетней беспрогрессивной выживаемости (0,938). Медиана беспрогрессивной выживаемости составила 106 мес. — 8,8 г., что является достаточно обнадеживающим для пациентов с данным заболеванием.
Заключение
Невринома тройничного нерва — доброкачественное новообразование с большим разнообразием вариантов естественного течения заболевания. Широкий спектр методов лечения дает возможность индивидуального подхода к пациенту с данной патологией.
Методы и технологии хирургического и лучевого лечения постоянно совершенствуются. Хирургические технологии позволяют с одной стороны снизить травматичность оперативного вмешательства и риск развития инвалидизирующих осложнений, с другой — добиться значимого уменьшения объема опухоли, что, несомненно, ведет к повышению качества жизни после операции. Лучевое лечение, благодаря расширению спектра его разновидностей, дает возможность уверенно контролировать развитие опухоли при сопутствующей низкой травматичности и высокой точности метода, что реализуется минимальным нарастанием неврологического дефицита.
Комбинация этих лечебных методов может рассматриваться как наиболее рациональный и обоснованный выбор при опухолях, имеющих широкое распространение по основанию черепа, которые не могут быть надежно и эффективно пролечены при помощи изолированного применения методик лечения, пусть даже и многократных.
Конфликт интересов
Авторы заявляют об отсутствии в статье конфликта интересов.
Conflict of interest
The authors declare no conflict of interest.
Соблюдение прав пациентов и правил биоэтики
Все процедуры с вовлечением больных были проведены в соответствии с Хельсинкской декларацией по правам человека в редакции 2013 г. Проведение данной работы одобрено этическим комитетом при ФГАУ «НМИЦ нейрохирургии им. ак. Н.Н. Бурденко» Минздрава России, протокол № 12/2021 от 08.12.2021. Все больные подписывали информированное согласие на участие в исследовании.
Compliance with patient rights and principles of bioethics
All procedures performed in studies involving human participants were in accordance with the ethical standards of the Declaration of Helsinki Protocol (2013). The study was approved by the Ethics Committee of the N.N. Burdenko National Medical Research Centre of Neurosurgery. Protocol No. 12/2021, dated 08.12.2021. All patients gave written informed consent to participate in the study.
Финансирование
Работа выполнена по инициативе авторов без привлечения финансирования.
Financing
The work was performed without external funding.
Участие авторов
Все авторы в равной степени участвовали в подготовке публикации: разработке концепции статьи, получении и анализе фактических данных, написании и редактировании текста статьи, проверке и утверждении текста статьи.
Authors’ contributions
All authors made a substantial contribution to the conception of the work, acquisition, analysis, interpretation of data for the work, drafting and revising the work and final approval of the version to be published.
Об авторах
Татьяна Юрьевна Безбородова
Национальный медицинский исследовательский центр нейрохирургии имени академика Н.Н. Бурденко
Автор, ответственный за переписку.
Email: riabovatu@gmail.com
ORCID iD: 0000-0003-2490-1682
Россия, Москва
Сергей Владимирович Таняшин
Национальный медицинский исследовательский центр нейрохирургии имени академика Н.Н. Бурденко
Email: riabovatu@gmail.com
ORCID iD: 0000-0001-8351-5074
SPIN-код: 5490-1820
Россия, Москва
Светлана Вячеславовна Золотова
Национальный медицинский исследовательский центр нейрохирургии имени академика Н.Н. Бурденко
Email: riabovatu@gmail.com
ORCID iD: 0000-0001-8893-3830
SPIN-код: 8844-8530
Россия, Москва
Юлия Владимировна Струнина
Национальный медицинский исследовательский центр нейрохирургии имени академика Н.Н. Бурденко
Email: riabovatu@gmail.com
ORCID iD: 0000-0001-5010-6661
SPIN-код: 9799-5066
Россия, Москва
Список литературы
- Konovalov A.N., Spallone A., Mukhamedjanov D.J., et al. Trigeminal neurinomas. A series of surgical cases from a single institution. Acta Neurochirurgica. 1996; 138(9): 1027-1035.-doi: 10.1007/BF01412304.
- Niranjan A., Barnett S., Anand V., Agazzi S. Multimodality management of trigeminal schwannomas. J Neurol Surg B Skull Base. 2016; 77(4): 371-378.-doi: 10.1055/s-0036-1581138.
- Мацко Д.Е., Коршунов А.Г. Атлас опухолей центральной нервной системы. Издательство СПб; РНХИ. 1998; 197: цв. ил.; 27.-ISBN: 5-900356-10-8. [Matsko D.E., Korshunov A.G. Atlas of tumors of the central nervous system. St. Petersburg: RNSI. 1998; 197: col. Ill; 27.-ISBN: 5-900356-10-8 (In Rus)].
- Louis D.N., Perry A., Wesseling P., et al. The 2021 WHO Classification of Tumors of the Central Nervous System: a summary. Neuro Oncol. 2021; 23(8): 1231-1251.-doi: 10.1093/neuonc/noab106.
- Jefferson G. The trigeminal neurinomas with some remarks on malignant invasion of the gasserian ganglion. Clin Neurosurg. 1955; 1: 11-54.-doi: 10.1093/neurosurgery/1.cn_suppl_1.11.
- Yoshida K., Kawase T. Trigeminal neurinomas extending into multiple fossae: surgical methods and review of the literature. J Neurosurg. 1999; 91: 202-211.-doi: 10.3171/jns.1999.91.2.0202.
- Wanibuchi M., Fukushima T., Zomordi A.R., et al. Trigeminal schwannomas: skull base approaches and operative results in 105 patients. Neurosurg. 2012; 70 (1, Suppl Operative): 132-143.-doi: 10.1227/NEU.0b013e31822efb21.
- Fukaya R., Yoshida K., Ohira T., Kawase T. Trigeminal schwannomas: experience with 57 cases and a review of the literature. Neurosurg Rev. 2010; 34(02): 159-171.-doi: 10.1007/s10143-010-0289-y.
- Osborn A.G., Barkovich, J. Diagnostic imaging brain. Amirsys, Salt Lake City. 2010; 84-85.-URL: https://www.scirp.org/reference/referencespapers?referenceid=3564540.
- Samii M., Migliori M.M., Tatagiba M., Babu R. Surgical treatment of trigeminal schwannomas. J Neurosurg. 1995; 82: 711–-718.-doi: 10.3171/jns.1995.82.5.0711.
- Wang X., Bao Y., Chen G., et al. Trigeminal schwannomas in middle fossa could breach into subdural space: Report of 4 cases and review of literature. World Neurosurg. 2019; 127: 534-541.-doi: 10.1016/j.wneu.2019.03.194.
- Goel A., Muzumdar D., Raman C. Trigeminal neuroma: analysis of surgical experience with 73 cases. Neurosurg. 2003; 52(4): 783-790.-doi: 10.1227/01.neu.0000053365.05795.03.
- Peciu-Florianul I., Régis J., Levivier M., et al. Tumor control and trigeminal dysfunction improvement after stereotactic radiosurgery for trigeminal schwannomas: a systematic review and meta-analysis. Neurosurg Rev. 2021; 44(5): 2391-2403.-doi: 10.1007/s10143-020-01433-w.
- Park H.H., Hong S.D., Kim Y.H., et al. Endoscopic transorbital and endonasal approach for trigeminal schwannomas: a retrospective multicenter analysis (KOSEN-005). J Neurosurg. 2020; 133(2): 467-476.-doi: 10.3171/2019.3.JNS19492.
- Raza S.M., Amine M.A., Anand V., Schwartz T.H. Endoscopic endonasal resection of trigeminal schwannomas. Neurosurg Clin N Am. 2015; 26: 473-479.-doi: 10.1016/j.nec.2015.03.010.
- Коновалов А.Н., Калинин П.Л., Шиманский В.Н. и соавт. Опыт хирургического лечения неврином тройничного нерва с одновременным распространением в среднюю и заднюю черепные ямки. Вопросы нейрохирургии. 2014; 78(5): 23-32. [Konovalov A.N., Kalinin P.L., Shimanskiĭ V.N., et al. Experience of surgical management of trigeminal schwannomas that simultaneously spread to the middle and posterior cranial fossae. Burdenko’s Journal of Neurosurgery. 2014; 78(5): 23-32 (In Rus)].
- Wallner K.E., Pitts L.H., Davis R.L., Sheline G.E. Radiation therapy for the treatment of non-eight nerve intracranial neurilemmoma. Int J Radiat Oncol Biol Phys. 1988; 14: 287-290.-doi: 10.1016/0360-3016(88)90434-8.
- Huang C.F., Kondziolka D., Flickinger J.C., Lunsford L.D. Stereotactic radisergery for trigeminal schwannomas. Neurosurg. 1999; 45(1): 11-16.-doi: 10.1097/00006123-199907000-00002.
- Linskey M.E., Lunsford L.D., Flickinger J.C. Neuroimaging of acoustic nerve sheath tumors after stereotaxic radiosurgery. AJNR Am J Neuroradiol. 1991; 12: 1165-1175.
- Anniko M., Arndt J., Noren G. The human acoustic neurinoma in organ culture: II- Tissue change after gamma irradiation. Acta Otolaryngol. 1981; 91: 223-235.-doi: 10.3109/00016488109138503.
- Choi C.Y.H., Soltys S.G., Gibbs I.C., et al. Stereotactic radiosergery of cranial nonvestibular schwannomas: results of single- and multisession radiosurgery. Neurosurg. 2011; 68(5): 1200-8.-doi: 10.1227/NEU.0b013e31820c0474.
- Ryu J., Lee S.H., Choi S.K., Lim Y.J. Gamma knife radiosurgery for trigeminal schwannoma: a 20-year experience with long-term treatment outcome. J Neurooncol. 2018; 140: 89-97.-doi: 10.1007/s11060-018-2934-1.
- Champ C.E., Mishra M.V., Shi W., et al. Stereotactic radiotherapy for trigeminal schwannomas. Neurosurg. 2012; 71(2): 270-277.-doi: 10.1227/NEU.0b013e318256bbc5.
- Makarenro S., Ye V., Akagami R. Natural history, multimodal management, and quality of life outcomes of trigeminal schwannomas. J Neurol Surg B Skull Base. 2018; 79: 586-592.-doi: 10.1055/s-0038-1651503.
- Neves M.W.F., de Aguiar P.H., Belsuzarri T.A.B., et al. Microsurgical management of trigeminal schwannoma: cohort analysis and systematic review. J Neurol Surg B Skull Base. 2019; 80(3): 264-269.-doi: 10.1055/s-0038-1669418.
- Ross D.L., Tew J.M. Jr., Benton C., Eisentrout C. Trigeminal schwannoma in a child. Neurosurg. 1984; 15(1): 108-110.-doi: 10.1227/00006123-198407000-00021.
- Schisano G., Olivecrona H. Neurinomas of the Gasserian ganglion and trigeminal root. J Neurosurg. 1960: 17: 306-322.-doi: 10.3171/jns.1960.17.2.0306.
Дополнительные файлы






