Роль физических процессов в онтогенезе оболочки пыльцы: гипотеза и экспериментальное подтверждение
- Авторы: Габараева Н.И.1
-
Учреждения:
- Ботанический институт им. В.Л. Комарова РАН
- Выпуск: Том 54, № 5 (2023)
- Страницы: 283-305
- Раздел: ОБЗОРЫ
- URL: https://ogarev-online.ru/0475-1450/article/view/137065
- DOI: https://doi.org/10.31857/S0475145023050051
- EDN: https://elibrary.ru/KAHONH
- ID: 137065
Цитировать
Полный текст
Аннотация
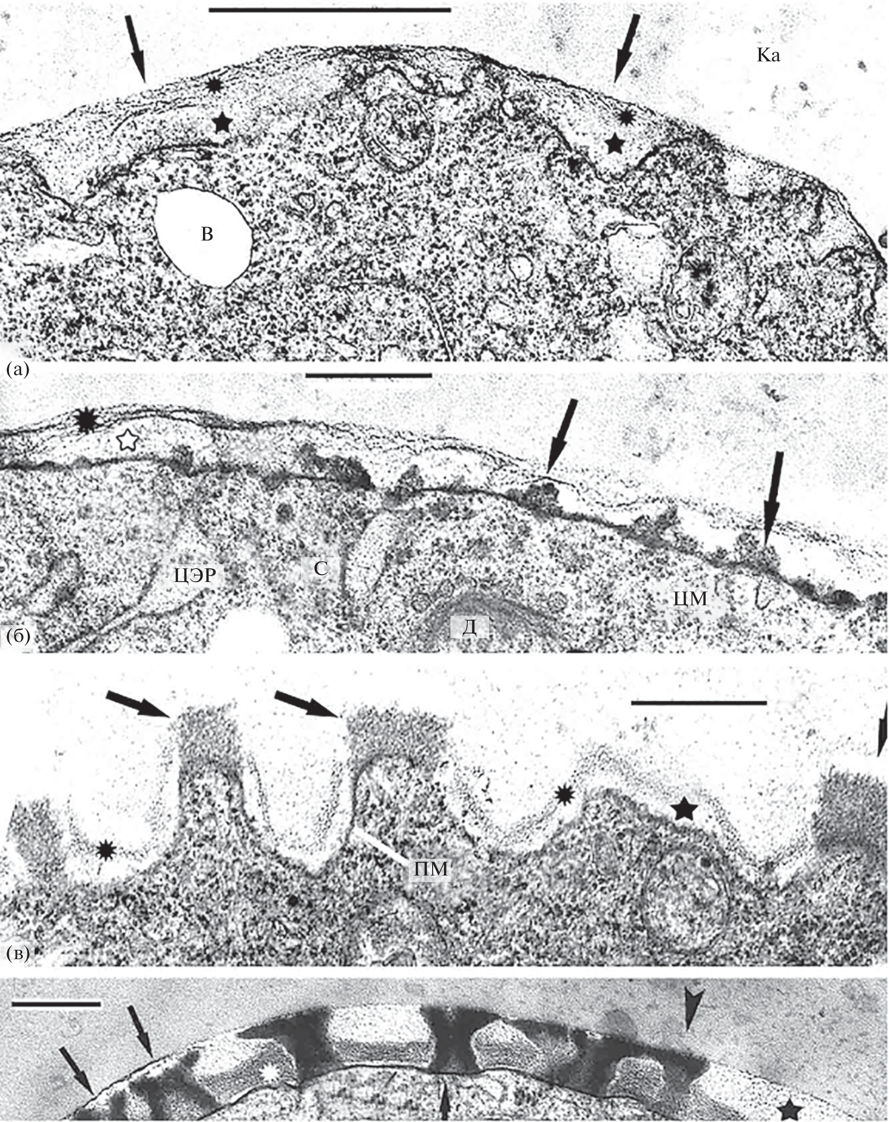
Обзор посвящен анализу и обобщению современных знаний о процессах, лежащих в основе онтогенеза оболочки мужского гаметофита. Обсуждены новые и ранее полученные данные по развитию экзины, а также выделены фазы, повторяющиеся в развитии экзины филогенетически далеких друг от друга видов растений. Хотя показано, что формирование экзины зависит от множества генов, повторяемость паттернов экзины у различных видов растений (например, колумеллятной и гранулярной эктэкзины, ламелл эндэкзины с “белыми линиями”) позволяет предположить, что эти паттерны основаны на неких небиологических принципах заполнения пространства. Механизмы, вовлеченные в развитие экзины, оставались неясными до тех пор, пока не было показано, что последовательность структур, наблюдаемая в ходе развития экзины, совпадает с последовательностью самоорганизующихся мицеллярных мезофаз. Позднее было обнаружено, что в формировании экзины участвует и другой физико-химический процесс – фазовое разделение. Чтобы подтвердить, что экзино-подобные паттерны могут генерироваться in vitro за счет простых физических процессов, и их формирование не требует регуляции на уровне генома, нами и другими авторами был предпринят ряд экспериментов. В обзоре обсуждены полученные в этих экспериментах данные. Несколько серий наших новых опытов по моделированию развития экзины с применением смесей поверхностно-активных веществ привели к получению структур, симулирующих основные типы экзины. Анализ образцов методом трансмиссионной электронной микроскопии показал, что эти структуры формируются за счет совместного действия фазового разделения и мицеллярной самоорганизации. Пересмотр и анализ данных по морфогенезу экзины и по моделированию ее формирования выявили, что молекулярно-генетические механизмы и физические силы работают в тандеме, со значительным вкладом физических процессов.
Об авторах
Н. И. Габараева
Ботанический институт им. В.Л. Комарова РАН
Автор, ответственный за переписку.
Email: 1906ng@mail.ru
Россия, 197376, Санкт-Петербург, ул. Попова, 2
Список литературы
- Габараева Н.И. Гипотетические пути детерминации структуры экзины // Ботанический журн. 1990. Т. 75. С. 1353–1362 (с аннотацией на английском).
- Фридрихсберг Д.А. Коллоидная химия. Санкт-Петербург: Химия, 1995 (2010 – 2е изд.). 416 с.
- Герасимова-Навашина Е.Н. Физико-химическая природа формирования примэкзины пыльцевых зерен покрытосеменных // В: Коварский А. (Ред.). Эмбриология покрытосеменных. Кишинев: Штиинца, 1973. P. 57–70.
- Ariizumi T., Hatakeyama K., Hinata K. et al. Disruption of the novel plant protein NEF1 affects lipid accumulation in the plastids of the tapetum and exine formation of pollen, resulting in male sterility in Arabidopsis thaliana // Plant J. 2004. V. 39. P. 170–181. https://doi.org/10.1111/j.1365-313X.2004.02118.x
- Ariizumi T., Hatakeyama K., Hinata K. et al. The HKM gene, which is identical to the MS1 gene of Arabidopsis thaliana, is essential for primexine formation and exine pattern formation // Sex Plant Reprod. 2005. V. 18. P. 1–7. https://doi.org/10.1007/s00497-005-0242-3
- Ariizumi T., Toriyama K. Genetic regulation on sporopollenin synthesis and pollen exine development // Ann. Rev. Plant Biol. 2011. V. 62. P. 1–24. https://doi.org/10.1146/annurev-arplant-042809-
- Ball P. Designing the Molecular World. Princeton: Princeton University Press, 1994. 384 p.
- Benítez M. An interdisciplinary view on dynamic models for plant genetics and morphogenesis: scope, examples and emerging research avenues // Front. Plant Sci. 2013. V. 4. P. 7. https://doi.org/10.3389/fpls.2013.00007
- Blackmore S., Wortley A.H., Skvarla J.J., Rowley J.R. Pollen wall development in flowering plants // New Phytol. 2007. V. 174. P. 483–498. https://doi.org/10.1111/j.1469-8137.2007.02060
- Blackmore S., Wortley A.H., Skvarla J.J., Gabarayeva N.I., Rowley J.R. Developmental origins of structural diversity in pollen walls of Compositae // Plant Syst. Evol. 2010. V. 284. P. 17–32. https://doi.org/10.1007/s00606-009-0232-2
- Blackmoore S., Skvarla J.J. John Rowley (1926–2010), palynologist extraordinaire // Grana. 2012. V. 51. № 2. P. 77–83. https://doi.org/10.1080/00173134.2012.661454
- Bray D. Model for membrane movements in the neural growth cone // Nature. 1973. V. 244. P. 93–96. https://doi.org/10.1038/244093a0
- Chaikovsky J.V. (2018) Autopoiesis. Society of scientific editions KMK, Moscow (In Russian: Chaikovski J.V. Avtopoez).
- Meyen S.V. (1984) Basic features of gymnosperm systematics and phylogeny as evidenced by the fossil record. Bot Rev 50. https://doi.org/10.1007/BF02874305
- Coen E.S., Meyerowitz E.M. The war of the whorls: genetic interactions controlling flower development // Nature. 1991. V. 353. P. 31–37. https://doi.org/10.1038/353031a0
- Curantz C., Manceau M. Trends and variation in vertebrate patterns as outcomes of self-organization // Current Opinion in Genetics & Development. 2021. V. 1(69). P. 147–153.
- Dickinson H.G., Sheldon J.M. The generation of patterning at the plasma membrane of the young microspore of Lilium // In: Blackmore S., Ferguson I.K. (eds.) Pollen and Spores: form and function. London: Academic Press. pp. 1–18.
- Dobritsa A.A., Geanconteri A., Shrestha J. et al. A Large-scale genetic screen in Arabidopsis to identify genes involved in pollen exine production // Plant Physiol. (Lancaster). 2011. V. 157, P. 947–970. https://doi.org/10.1104/pp.111.179523
- Dobritsa A.A., Coerper D. The novel plant protein INAPERTURATE POLLEN1 marks distinct cellular domains and controls formation of apertures in the Arabidopsis pollen exine // Plant Cell. 2012. V. 24. P. 4452–4464. https://doi.org/10.1105/tpc.112.101220
- Dong X.Y., Hong Z.L., Sivaramakrichnan M. et al. Callose synthase (CalS5) is required for exine formation during microgametogenesis and for pollen viability in Arabidopsis // Plant J. 2005. V. 42. P. 315–328. https://doi.org/10.1111/j.1365-313X.2005.02379.x
- Gabarayeva N.I. Hypothetical ways of exine pattern determination // Grana. 1993. V. 33. P. 54–59. doi.org/https://doi.org/10.1080/00173139309428980
- Gabarayeva N.I., Grigorjeva V.V. Exine development in Encephalartos altensteinii (Cycadaceae): ultrastructure, substructure and the modes of sporopollenin accumulation // Rev. Palaeobot. Palynol. 2004. V. 132. P. 175–193. https://doi.org/10.1016/j.revpalbo.2004.05.005
- Gabarayeva N.I., El-Ghazaly G. Sporoderm development in Nymphaea mexicana (Nymphaeaceae). Plant Syst. Evol. 1997. V. 204. P. 1–19.
- Gabarayeva N.I., Grigorjeva V.V. Exine development in Stangeria eriopus (Stangeriaceae): ultrastructure and substructure, sporopollenin accumulation, the equivocal character of the aperture, and stereology of microspore organelles // Rev. Palaeobot. Palynol. 2002. V. 122. P. 185–218. https://doi.org/10.1016/S0034-6667(02)00183-5
- Gabarayeva N.I., Grigorjeva V.V. Sporoderm ontogeny in Chamaedorea microspadix (Arecaceae). Self-assembly as the underlying cause of development // Grana. 2010. V. 49. P. 91–114. https://doi.org/10.1080/00173131003650920
- Gabarayeva N.I., Grigorjeva V.V. Sporoderm development in Swida alba (Cornaceae), interpreted as a self-assembling colloidal system // Grana. 2011. V. 50. P. 81–101. https://doi.org/10.1080/00173134.2011.580448
- Gabarayeva N.I., Hemsley A.R. Merging concepts: The role of self-assembly in the development of pollen wall structure // Rev. Palaeobot. Palynol. 2006. V. 138. P. 121–139. https://doi.org/10.1016/j.revpalbo.2005.12.001
- Gabarayeva N.I., Grigorjeva V.V., Rowley J.R., Hemsley A.R. Sporoderm development in Trevesia burckii (Araliaceae). I. Tetrad period: further evidence for the participation of self-assembly processes // Rev. Paleobot. Palynol. 2009. V. 156. № 1–2. P. 211–232. https://doi.org/10.1016/j.revpalbo.2008.12.001
- Gabarayeva N.I., Grigorjeva V.V., Rowley J.R. Sporoderm development in Acer tataricum (Aceraceae). An interpretation // Protoplasma. 2010a. V. 247. P. 65–81. https://doi.org/10.1007/s00709-010-0141-9
- Gabarayeva N.I., Grigorjeva V.V., Rowley J.R. A new look at sporoderm ontogeny in Persea americana. Micelles and the hidden side of development // Ann. Bot. 2010b. V. 105. P. 939–955. https://doi.org/10.1093/aob/mcq075
- Gabarayeva N.I., Grigorjeva V.V., Polevova S.V. Exine and tapetum development in Symphytum officinale (Boraginaceae). Exine substructure and its interpretation // Plant Syst. Evol. 2011. V. 296. P. 101–120.
- Gabarayeva N., Grigorjeva V. Sporoderm development and substructure in Magnolia sieboldii and other Magnoliaceae: an interpretation // Grana. 2012. V. 51. P. 119–147. https://doi.org/10.1080/00173134.2012.688863
- Gabarayeva N.I., Grigorjeva V.V., Kosenko Y.V. Primexine development in Passiflora racemosa Brot. Overlooked aspects of development // Plant Syst. Evol. 2013. V. 299. P. 1013–1035.
- Gabarayeva N., Grigorjeva V., Polevova S. Sporoderm and tapetum ontogeny in Juniperus communis (Cupressaceae). Connective structures between tapetum and microspores // Rev. Palaeobot. Palynol. 2014a. V. 206. P. 23–44.
- Gabarayeva N., Grigorjeva V. Sporoderm and tapetum development in Eupomatia laurina (Eupomatiaceae). An interpretation // Protoplasma. 2014b. V. 251. P. 1321–1345. https://doi.org/10.1007/s00709-014-0631-2
- Gabarayeva N., Grigorjeva V. Simulation of exine patterns by self-assembly // Plant Syst. Evol. 2016. V. 302. P. 1135–1156. https://doi.org/10.1007/s00606-016-1322-6
- Gabarayeva N., Grigorjeva V., Polevova S., Hemsley A.R. Pollen wall and tapetum development in Plantago major L. (Plantaginaceae): assisting self-assembly // Grana. 2016. V. 56. № 2. P. 81–111. https://doi.org/10.1080/00173134.2016.1159729
- Gabarayeva N.I., Grigorjeva V.V. An integral insight into pollen wall development: involvement of physical processes in exine ontogeny in Calycanthus floridus L., with an experimental approach // Plant J. 2021. V. 105. P. 736–753. https://doi.org/10.1111/tpj.15070
- Gabarayeva N.I., Polevova S.V., Grigorjeva V.V., Blackmore S. Assembling the thickest plant cell wall: exine development in Echinops (Asteraceae, Cynareae) // Planta. 2018. V. 248. P. 323–346. https://doi.org/10.1007/s00425-018-2902-1
- Gabarayeva N.I., Grigorjeva V.V., Shavarda A.L. Mimicking pollen and spore walls: self-assembly in action // Ann. Bot. 2019. V. 123. P. 1205–1218. https://doi.org/10.1093/aob/mcz027
- Gabarayeva N.I., Grigorjeva V.V., Lavrentovich M.O. Artificial pollen walls simulated by the tandem processes of phase separation and self-assembly in vitro // New Phytol. 2020. V. 225. P. 1956–1973. https://doi.org/10.1111/nph.16318
- Gabarayeva N.I., Polevova S.V., Grigorjeva V.V., Hiscock S.J. Underlying mechanisms of development: pollen wall ontogeny in Chloranthus japonicus and a reconsideration of pollen ontogeny in early-diverging lineages of angiosperms // Bot. J. Linn. Soc. V. XX. P. 1–21. https://doi.org/10.1093/BOTLINNEAN/BOAA102
- Gingell D. Membrane permeability change by aggregation of mobile glycoprotein units // J. Theor. Biol. 1973. V. 38. P. 677–679.
- Grienenberger E., Kim S.S., Lallemand B. et al. Analysis of TETRAKETIDE α-PYRONE REDUCTASE function in Arabidopsis thaliana reveals a previously unknown, but conserved, biochemical pathway in sporopollenin monomer biosynthesis // Plant Cell. V. 22. P. 4067–4083. https://doi.org/10.1105/tpc.110.080036
- Grigorjeva V.V., Gabarayeva N. Pollen wall ontogeny in Polemonium caeruleum (Polemoniaceae) and suggested underlying mechanisms of development // Protoplasma. 2018. V. 255. P. 109–128. https://doi.org/10.1007/s00709-017-1121-0
- Grigorjeva V.V., Polevova S.V., Gabarayeva N.I. Pollen wall development in Hydrangea bretschneiderii Dippel. (Hydrangeaceae): advanced interpretation through physical input, with in vitro experimental verification // Protoplasma. 2021. V. 258. № 2. P. 431–447. https://doi.org/10.1007/s00709-020-01571-4
- Gubatz S., Herminghaus S., Meurer B., Strack D., Wiermann R. The location of hydroxycinnamic acid amides in the exine of Corylus pollen // Pollen & Spores. 1986. V. 28. P. 347–354.
- Gunning B.E.S., Steer M.W. Plant cell biology: Structure and Function. Jones & Bartlett Leaing, 1996. 120 p.
- Hamley I. Introduction to soft matter. Polymers, colloids, amphiphiles and liquid crystals. Chichester: John Wiley & Sons, 2000. 331 p.
- Hemsley A.R., Gabarayeva N.I. Exine development: the importance of looking through a colloid chemistry “window” // Plant Syst. Evol. 2007. V. 263. P. 25–49. https://doi.org/10.1007/s00606-006-0465-2
- Hemsley A.R. Nonlinear variation in simulated complex pattern development // J. Theor. Biol. 1998. V. 192. P. 73–79. https://doi.org/10.1006/jtbi.1997.0610
- Hemsley A.R., Collinson M.E., Brain A.P.R. Colloidal crystal-like structure of sporopollenin in the megaspore walls of recent Selaginella and similar fossil spores // Bot. J. Linn. Soc. 1992. V. 108. P. 307–320.
- Hemsley A.R., Scott A.C., Barrie P.J., Chaloner W.G. Studies of fossil and modern spore wall biomacromolecules using 13C solid state NMR // Ann. Bot. 1996. V. 78. P. 83–94. https://doi.org/10.1006/anbo.1996.0099
- Hemsley A.R., Griffiths P.C. Architecture in the microcosm: biocolloids, self-assembly and pattern formation // Phil. Trans. Royal Soc. London A. 2000. V. 358. P. 547–564.
- Hemsley A.R., Lewis J., Griffiths P.C. Soft and sticky development: some underlying reasons for microarchitectural pattern convergence // Rev. Paleobot. Palenol. 2004. V. 130. P. 105–119. https://doi.org/10.1016/j.revpalbo.2003.12.004
- Herminghaus S., Gubatz S., Arendt S., Wiermann R. The occurrence of phenols as degradation products of natural sporopollenin – a comparison with “synthetic sporopollenin” // Zeit für Nat. 1988. Bd 43c. P. 491–500.
- Heslop-Harrison J. Pattern in plant cell walls: morphogenesis in miniature // Proc. Roy. Inst. GB. 1972. V. 45. P. 335–351.
- Hu J., Wang Z., Zhang L., Sun M.X. The Arabidopsis Exine Formation Defect (EFD) gene is required for primexine patterning and is critical for pollen fertility // New Phytol. 2014. V. 203. P. 140–154. https://doi.org/10.1111/nph.12788
- Ingber D. Cellular tensegrity: defining new rules of biological design that govern the cytoskeleton // J. Cell. Sci. 1993. V. 104. P. 613–627. https://doi.org/10.1242/jcs.104.3.613
- Ingber D.E. Tensegrity I. Cell structure and hierarchical systems biology // J. Cell. Sci. 2003a. V. 116. P. 1157–1173. https://doi.org/10.1242/jcs.00359
- Ingber D.E. Tensegrity II. How structural networks influence cellular information processing networks // J. Cell. Sci. 2003b. V. 116. 1397–1408. https://doi.org/10.1242/jcs.00360
- Ingber D.E., Jamieson J.D. Cells as tensegrity structures: architectural regulation of histodifferentiation by physical forces transduced over basement membrane. In: Andersson L.C., Gahmberg C.G., Ekblom P. (eds.), Gene expression during normal and malignant differentiation. Orlando, FL.: Academic Press, 1985. P. 13–32.
- Jia Q.S., Zhu J., Xu X.F., Lou Y., Zhang Z.L., Zhang Z.P., Yang Z.N. Arabidopsis AT-hook protein TEK positively regulates the expression of arabinogalactan proteins for nexine formation // Mol. Plant. 2015. V. 8. P. 251–260. https://doi.org/10.1016/j.molp.2014.10.001
- Kadzik R.S., Homa K.E., Kovar D.R. F-actin cytoskeleton network self-organization through competition and cooperation // Annual review of cell and developmental biology. 2020. V. 6(36). P. 35–60.
- Kanaoka M.M., Shimizu K.K., Xie B. et al. KOMPEITO, an atypical Arabidopsis rhomboid-related gene, is required for callose accumulation and pollen wall development // Int. J. Mol. Sci. 2022. V. 23. P. 5959. https://doi.org/10.3390/ijms23115959
- Kauffman S.A. The origin of order. New York, Oxford: Oxford University Press, 1993. 709 p.
- Kim M.J., Kim M., Lee M.R. et al. LATERAL ORGAN BOUNDARIES DOMAIN (LDB) 10 interacts with SIDECAR POLLEN/LBD27 to control pollen development in Arabidopsis // Plant J. 2015. V. 81. P. 794–809. https://doi.org/10.1111/tpj.12767
- Kurakin A. Self-organization versus watchmaker: stochastic dynamics of cellular organization // Biol. Chem. 2005. V. 386. P. 247–254. https://doi.org/10.1515/BC.2005.030
- Lavrentovich M.O., Horsley E.M., Radja A., Sweeney A.M., Kamien R.D. First-order patterning transitions on a sphere as a route to cell morphology // Proc. Nat. Acad. Sci. USA. 2016. V. 113. P. 5189–5194. https://doi.org/0.1073/pnas.1600296113
- Lecuit T. “Developmental mechanics”: cellular patterns controlled by adhesion, cortical tension and cell division // HFSP J. 2008. V. 2. 72–78. https://doi.org/10.2976/1.2896332
- Lecuit T., Lenne P.F. Cell surface mechanics and the control of cell shape, tissue patterns and morphogenesis // Mol. Cell. Biol. 2007. V. 8. P. 633–644. https://doi.org/10.1038/nrm2222
- Lehmann O. Flüssige Kristalle, sowie Plastizität von Kristallen im Allgemeinen, molekulare Umlagerungen und Aggregatzustandsänderungen. Leipzig: Engelmann, 1904. 267 p.
- Leibler S., Andelman D. Ordered and curved meso-structures in membranes and amphiphilic films. J. Phys. Paris. 1987. V. 48. P. 2013–2018. https://doi.org/10.1051/jphys:0198700480110201300
- Li W., Liu Y., Douglas C. Role of glycosyltransferases in pollen wall primexine formation and exine patterning // Plant Physiol. 2017. V. 173. P. 167–182. https://doi.org/10.1104/pp.16.00471
- Li J., Yu M., Geng L.L., Zhao J. The fasciclin-like arabinogalactan protein gene, FLA3, is involved in microspore development of Arabidopsis // Plant J. 2010. V. 64. P. 482–497. https://doi.org/10.1111/j.1365-313X.2010.04344.x
- Li F.S., Phyo P., Jacobowitz J. et al. The molecular structure of plant sporopollenin // Nat. Plants. 2019. V. 5. P. 41–46. https://doi.org/10.1038/s41477-018-0330-7
- Lintilhac P.M. The problem of morphogenesis: unscripted biophysical control systems in plants // Protoplasma. 2014. V. 251. P. 25–36. https://doi.org/10.1007/s00709-013-0522-y
- Liu L., Wang T. Male gametophyte development in flowering plants: A story of quarantine and sacrifice // J. Plant Physiol. 2021. V. 258–259. P. 153365. https://doi.org/10.1016/j.jplph.2021.153365
- Lou Y., Xu X.F., Zhu J., Gu J.N., Blackmore S., Yang Z.N. The tapetal AHL family protein TEK determines nexine formation in the pollen wall // Nat. Commun. 2014. V. 5. P. 3855. https://doi.org/10.1038/ncomms4855
- Mandelbrot B.B. The Fractal Geometry of Nature. San Francisco: WH Freeman and Co., 1982. 460 p.
- Mi L., Mo A., Yang J. et al. Arabdopsis novel microgametophyte defective mutant 1 is required for pollen viability via influencing intine development in Arabidopsis. Front. Plant Sci. 2022. https://doi.org/10.3389/fpls.2022.814870
- Moore S.E.M., Gabarayeva N., Hemsley A.R. Morphological, developmental and ultrastructural comparison of Osmunda regalis L. spores with spore mimics // Rev. Paleobot. Palynol. 2009. V. 156. P. 177–184.
- Neto A., Salinas S. The physics of lyotropic liquid crystals: Phase transitions and structural properties. Oxford: Oxford Science Publications, 2005. 320 p.
- Nishikawa S., Zinkl G.M., Swanson R.J., Maruyama D., Preuss D. Callose (β-1, 3 glucan) is essential for Arabidopsis pollen wall patterning, but not tube growth // BMC Plant Biol. 2005. V. 5. P. 22–30. https://doi.org/10.1186/1471-2229-5-22
- Padmanaban S., Czerny D.D., Levin K.A. et al. Transporters involved in pH and K+ homeostasis affect pollen wall formation, male fertility, and embryo development // J. Exp. Bot. 2017. V. 68. P. 3165–3178. https://doi.org/10.1093/jxb/erw483
- Paxson-Sowders D.M., Owen H.A., Makaroff C.A. A comparative ultrastructural analysis of exine pattern development in wild-type Arabidopsis and a mutant defective in pattern formation // Protoplasma. 1997. V. 198. P. 53–65.
- Paxson-Sowders D.M., Dodrill C.H., Owen H.A., Makaroff C.A. Dex1, a novel plant protein, is required for exine pattern formation during pollen development in Arabidopsis // Plant physiol. 2001. V. 127. P. 1739–1749. https://doi.org/10.1104/pp.010517
- Pettitt J.M. Ultrastructure and cytochemistry of spore wall morphogenesis. In: Dyer AF (ed) The experimental biology of ferns. London, N.Y., San Francisco: Academic Press, 1979. P. 211–252.
- Pettitt J.M., Jermy A.C. The surface coats on spores // Biol. J. Linn. Soc. 1974. V. 6. P. 245–257.
- Plourde S.M., Amom P., Tan M., Dawes A.T., Dobritsa A.A. Changes in morphogen kinetics and pollen grain size are potential mechanisms of aberrant pollen aperture patterning in previously observed and novel mutants of Arabidopsis thaliana // PLoS Comput. Biol. 2019. V. 15. e1006800. https://doi.org/10.1371/journal. pcbi.1006800
- Polevova S.V., Grigorjeva V.V., Gabarayeva N.I. Pollen wall and tapetal development in Cymbalaria muralis: the role of physical processes, evidenced by in vitro modelling // Protoplasma. 2023. V. 260. P. 281–298. https://doi.org/10.1007/s00709-022-01777-8
- Pozhidaev A.E. Polymorphism of pollen in the genus Acer (Aceraceae). Isomorphism of deviant forms of Angiosperm pollen. Grana. 1993. V. 32. P. 79–85. https://doi.org/10.1080/00173139309429457
- Pozhidaev A.E. Pollen morphology of the genus Aesculus (Hippocastanaceae). Patterns in the variety of morphological characteristics. Grana. 1995. V. 34. P. 10–20. https://doi.org/10.1080/00173139509429028
- Pozhidaev A.E. Hypothetical way of pollen aperture patterning. 1. Formation of 3-colpate patterns and endoaperture geometry. Rev. Palaeob. Palynol. 1998. V. 104. P. 67–83.
- Pozhidaev A.E. Hypothetical way of pollen aperture patterning. 2. Formation of polycolpate patterns and pseudoaperture geometry. Rev. Palaeobot. Palynol. 2000. V. 109. P. 235–254.
- Pozhidaev A.E. Hypothetical way of pollen aperture patterning. 3. A family-based study of Krameriaceae. Rev. Palaeobot Palynol. 2002. V. 127. P. 1–23.
- Pozhidaev A.E., Petrova N.V. Structure of variability of palynomorphological features within and beyond the genus Galeopsis L. Hjl. (Lamiaceae) in the context of divergent morphological evolution. Biol. Bull. Rev. 2023. V. 13. P. 63–80. https://doi.org/10.1134/S2079086423010061
- Quilichini T.D., Grienenberger E., Douglas C.J. The biosynthesis, composition and assembly of the outer pollen wall: A tough case to crack // Phytochemistry. 2015. V. 113. P. 170–182. https://doi.org/10.1016/j.phytochem.2014.05.002
- Radja A. Pollen wall patterns as a model for biological self-assembly // J. Exper. Zool. Part B: Molecular and Developmental Evolution. 2020. V. 336. № 8. P. 629–641. https://doi.org/10.1002/jez.b.23005
- Radja A., Horsley E.M., Lavrentovich M.O., Sweeney A.M. Pollen patterns form from modulated phases // Cell. 2019. V. 176. P. 856–868. https://doi.org/10.1016/j.cell.2019.01.014
- Regier J.C., Hatzopoulos A.K. Evolution in steps: the role of regulatory alterations in the diversification of the moth chorion morphogenetic pathway. In: Varner J.E. (ed.) Self-assembling architecture. N.Y.: Alan R. Liss, 1988. P. 179–202.
- Reinitzer F. Zur Kenntnis des Cholesterins // Monatshefte. 1888. V. 9. P. 421–441.
- Rowley J.R. Implications on the nature of sporopollenin based upon pollen development. In: Brooks J., Grant P.R., Muir M.D., van Gijzel P., Shaw G. (eds.) Sporopollenin. London, N.Y.: Academic Press, 1971. P. 174–218.
- Rowley J.R. Formation of pollen exine bacules and microchannels on a glycocalyx // Grana. 1973. V. 13. P. 129–138.
- Rowley J.R. Lipopolysaccharide embedded within the exine of pollen grains. In: Bailey G.W. (ed.) 33rd Ann Proc Electron Microscopy Soc. Amer. Las Vegas, 1975. P. 572–573.
- Rowley J.R., Dahl A.O. Pollen development in Artemisia vulgaris with special reference to glycocalyx material // Pollen Spores. 1977. V. 19. P. 169–284.
- Scott R.J. Pollen exine – the sporopollenin enigma and the physics of pattern. In: Scott R.J., Stead M.A. (eds.) Molecular and Cellular Aspects of Plant Reproduction. Society for Experimental Biology Seminar Series 55. Cambridge: Univ. Press, 1994. P. 49–81.
- Skriven L.E. Equilibrium bicontinuous structures. In: Mittal K.L. (ed), Micellization, Solubilization, and Microemulsions 1, 2. N.Y. & London: Plenum Press, 1977. P. 548–567.
- Sitte P. Role of lipid self-assembly in subcellular morphogenesis. In Cytomorphogenesis in plants. In: Kiermayer O. (ed.) Cell Biology Monographs 8. Wien. N.Y.: Springer, 1981. P. 401–421. https://doi.org/10.1007/978-3-7091-8602-2_15
- Shapiro B.E., Tobin C., Mjolsness E., Meyerowitz E.M. Analysis of cell division patterns in the Arabidopisis shoot apical meristem // PNAS. 2015. V. 112. P. 4815–4820. https://doi.org/10.1073/pnas.1502588112
- Sheldon J.M., Dickinson H.G. Determination of patterning in the pollen wall of Lilium henryi // J. Cell Sci. 1983. V. 63. P. 191–208.
- Shellard A., Mayor R. Sculpting with stiffness: rigidity as a regulator of morphogenesis // Biochemical Society Transactions. 2023. BST20220826.
- Shi J., Cui M., Yang L., Lim Y.J., Zhang D. Genetic and biochemical mechanisms of pollen wall development // Trends Plant Sci. 2015. V. 20. P. 741–753. https://doi.org/10.1016/j.tplants.2015.07.01
- Stillman N.R., Mayor R. Generative models of morphogenesis in developmental biology // Seminars in Cell & Developmental Biology. 2023. V. 147. P. 83–90.
- Suzuki T., Narciso J., Zeng W. et al. KNS4/UPEX1: A type II arabinogalactan β-(1,3)-galactosyltransferase required for pollen exine development // Plant Physiol. 2017. V. 173. P. 183–205. https://doi.org/10.1104/pp.16.01385
- Schweisguth F., Corson F. Self-organization in pattern formation // Developmental cell. 2019. V. 49(5). P. 659–77.
- Tan W., Cheng S., Li Y. et al. Phase separation modulates the assembly and dynamics of a polarity related scaffold-signaling hub // Nat. Commun. 2022. V. 13. P. 7181. https://doi.org/10.1038/s41467-022-35000-2
- Taylor M.L., Hudson P.J., Rigg J.M. et al. Pollen ontogeny in Victoria (Nymphaeales) // Int. J. Plant Sci. 2013. V. 174. P. 1259–1276. https://doi.org/10.1086/673246
- Taylor M., Cooper R.L., Schneider E.L., Osborn J.M. Pollen structure and development in Nymphaeales: insights into character evolution in an ancient angiosperm lineage // Am. J. Bot. 2015. V. 102. P. 1–18. https://doi.org/10.3732/ajb.1500249
- Taylor M.L., Altrichter K.M., Aeilts L.B. Pollen ontogeny in Ruppia (Alismatidae) // Int. J. Plant Sci. 2018. V. 179. P. 217–230. https://doi.org/10.1086/696535
- Thompson D.A. On growth and form. Cambridge: University Press, 1917. 793 p.
- van Bergen P.F., Blokker P., Collinson M.E., Sinninghe Damsté J.S., de Leeuw J.W. Structural biomacromolecules in plants: what can be learnt from the fossil record? In: Hemsley A.R., Poole I. (eds.) The evolution of plant physiology. Amsterdam: Academic Press, 2004. P. 134–154. https://doi.org/10.1016/B978-012339552-8/50009-3
- Van Uffelen G.A. The control of spore wall formation. In: Blackmore S., Barnes S.H. (eds.) Pollen and spores: patterns of diversification. Oxford: Clarendon Press, 1991. P. 89–102.
- Vignaud T., Blanchoin L., Théry M. Directed cytoskeleton self-organization // Trends in cell biology. 2012. V. 22(12). P. 671–682.
- Wallace S., Fleming A., Wellman Ch.H., Beerling D.J. Evolutionary development of the plant spore and pollen wall // AoB PLANTS plr027. 2011. https://doi.org/10.1093/aobpla/plr027
- Wang R., Dobritsa A. Exine and aperture patterns on the pollen surface: their formation and roles in plant reproduction // Ann. Plant Rev. 2018. V. 1. P. 1–40. https://doi.org/10.1002/9781119312994.apr0625
- Wang R., Dobritsa A. Loss of THIN EXINE2 disrupts multiple processes in the mechanism of pollen exine formation // Plant Physiol. 2021. V. 187. P. 133–157. https://doi.org/10.1093/plphys/kiab244
- Wang R., Owen H.A., Dobritsa A.A. Dynamic changes in primexine during the tetrad stage of pollen development // Plant Physiol. 2021. kiab426. https://doi.org/10.1093/plphys/kiab426
- Weber M. The formation of pollenkitt in Apium nodiflorum (Apiaceae) // Ann. Bot. 1992. V. 70. P. 573–577. https://doi.org/10.1093/oxfordjournals.aob.a088519
- Wiermann R., Gubatz S. Pollen wall and sporopollenin // Int. Rev. Cytol. 1992. V. 140. P. 35–72.
- Wiermann R., Ahlers F., Schmitz-Thom I. Sporopollenin. In: Hofrichter M., Steinbüchel A. (eds.) Biopolymers – Lignin, Humic Substances and Coal, vol. 1. Weinheim: Wiley-VCH, 2001. P. 209–227. https://doi.org/10.1002/3527600035.bpol1007
- Wilmesmeier S., Wiermann R. Influence of EPTC (S-ethyl-dipropyl-thiocarbamate) on the composition of surface waxes and sporopollenin structure in Zea mays // J. Plant Physiol. 1995. V. 146. P. 22–28.
- Wilmesmeier S., Wiermann R. Immunocytochemical localization of phenolic compounds in pollen walls using antibodies against p-coumaric acid coupled to bovine serum albumin // Protoplasma. 1997. V. 197. P. 148–159.
- Wodehouse R.P. Pollen grains: their structure, identification and significance in science and medicine. N.Y.: McGraw-Hill Co. 1935.
- Xiong S.-X., Zeng Q.-Y., Hou J.-Q. et al. The temporal regulation of TEK contributes to pollen wall exine patterning // PLoS Genet. 2020. V. 16. № 5. e1008807. https://doi.org/10.1371/journal.pgen.1008807
- Xu M., Yan X., Wang Y. et al. ADAPTOR PROTEIN-1 complex-mediated post-Golgi trafficking is critical for pollen wall development in Arabidopsis // New Phytol. 2022. V. 235. P. 472-487. https://doi.org/10.1111/nph.18170
- Zhang Z.B., Zhu J., Gao J.F. et al. Transcription factor AtMYB103 is required for anther development by regulating tapetum development, callose dissolution and exine formation in Arabidopsis // Plant J. 2007. V. 52. P. 528–538. https://doi.org/10.1111/j.1365-313X.2007.03254.x
Дополнительные файлы












