Самореплицирующиеся рекомбинантные вирусоподобные частицы лентивирусов, размножающиеся в клетках глиобластомы и макрофагах человека
- Авторы: Мошков Г.Д.1, Мошков А.Е.2,3, Мошков Д.А.1,2,3
-
Учреждения:
- Научно-исследовательский институт вакцин и сывороток имени И.И. Мечникова
- US Pharma Biotechnology Inc.
- Global Virus Network
- Выпуск: Том 101, № 5 (2024)
- Страницы: 650-660
- Раздел: ОРИГИНАЛЬНЫЕ ИССЛЕДОВАНИЯ
- URL: https://ogarev-online.ru/0372-9311/article/view/276638
- DOI: https://doi.org/10.36233/0372-9311-505
- EDN: https://elibrary.ru/qvxepa
- ID: 276638
Цитировать
Аннотация
Введение. В борьбе с заболеваниями применяются аттенуированные и инактивированные вакцины. Инактивированные вакцины весьма разнообразны и включают цельноклеточные и бесклеточные вакцины, содержащие белковые целевые антигены, или нуклеиновые кислоты, кодирующие целевые антигены. Считается, что иммунитет, индуцируемый инактивированными вакцинами, не долгосрочен. Весьма проблематична разработка вакцин против вирусов, интегрирующихся в геном клеток хозяина, а также против персистирующих вирусов, проникающих в центральную нервную систему (ЦНС), что характерно для вируса иммунодефицита человека типа 1 (ВИЧ-1).
Цель работы: оценить возможность образования на основе самореплицирующихся РНК (срРНК), продуцирующих целевые антигены лентивируса на платформе альфавирусного репликона (вирус Синдбис или вирус венесуэльского энцефаломиелита лошадей), рекомбинантных вирусоподобных частиц (рекВПЧ) ВИЧ-1B и рекВПЧ ВИЧ-1В и вируса иммунодефицита обезьян (SHIV89.6P), а также их способность инфицировать клетки глиобластомы и макрофаги человека.
Материалы и методы. Клетки почки новорождённого хомяка (BHK-21) трансфицировали срРНК с помощью электропорации; рекВПЧ в инфицированных клетках выявляли с помощью микроиммунофлуоресцентного анализа и электронной микроскопии и использовали для заражения клеток глиобластомы и макрофагов человека.
Результаты. На основе геномной РНК альфавируса созданы плазмиды, позволяющие получить срРНК, экспрессирующие в клетках продукты генов лентивирусов в количестве, достаточном для формирования зрелых рекВПЧ. В клетках BHK-21, трансфицированных срРНК, вирусспецифичные антигены выявляются только в цитоплазме клеток. Клетки глиобластомы (U87), содержащие рецептор СD4 и корецепторы ССR5 и CXR4, а также макрофаги человека дают инфекционное потомство рекВПЧ ВИЧ-1B и SHIV89.6P при инфицировании супернатантом, полученным после трансфекции срРНК клеток BHK-21.
Заключение. Полученные результаты показывают возможность экспрессии структурных белков лентивируса в клетках глиобластомы (U87) и в макрофагах человека и могут быть использованы в дальнейшем для изучения презентации антигенов в нативной и функциональной конформации в соответствующих модельных системах для исследования возможности подавления инфекции ВИЧ в резервуарах вируса в ЦНС.
Полный текст
Введение
Несмотря на введение антиретровирусной терапии в 1996 г., около половины пациентов с вирусом иммунодефицита человека (ВИЧ) демонстрируют когнитивные нарушения, известные как ВИЧ-ассоциированные нейрокогнитивные расстройства (HAND). По современным оценкам, HAND выявляется у 50% людей с длительно существующей ВИЧ-инфекцией12. Механизмы HAND, связанные с ВИЧ типа 1 (ВИЧ-1), не ясны. Центральная нервная система (ЦНС) сильно компартментализирована и служит специфическим местом инфекции ВИЧ-1. Репликация ВИЧ-1 в ЦНС сохраняется, несмотря на длительную комбинированную антиретровирусную терапию, из-за неспособности современных антиретровирусных препаратов проникать и преодолевать гематоэнцефалический барьер (ГЭБ) [1]. В результате устойчивой репликации ВИЧ-1 в ЦНС даже на фоне комбинированной антиретровирусной терапии наблюдается высокая частота HAND [2, 3].
С другой стороны, при анализе пандемии COVID-19 появляется всё больше доказательств того, что SARS-CoV-2 влияет не только на дыхательные пути, но и на ЦНС, что приводит к неврологическим симптомам, таким как потеря обоняния и вкуса, головная боль, усталость, тошнота и рвота, которые наблюдаются у более чем трети людей с COVID-19 [4, 5]; отмечены острые цереброваскулярные симптомы и сообщалось о нарушениях сознания [6]. Два штамма эндемичного SARS-CoV-2 проникают и персистируют в ЦНС, и вирусная РНК была выявлена в головном мозге и спинномозговой жидкости [7–10].
Таким образом, как ВИЧ-1, так и SARS-CoV-2 можно отнести к пантропным вирусам, нейротропность которых может быть обусловлена как офтальмологическим и клеточными путями проникновения в ЦНС, так и другими, пока не выявленными механизмами [11].
Нами ещё в 1990-е гг. было предложено использовать для создания вакцин против таких пантропных вирусов векторные вирусные системы, утратившие нейровирулентность, но сохранившие нейроинвазивность. Проведённый анализ привёл нас к выводу, что наиболее пригодны для этого вакцинные штаммы ТС-83 и 15 вируса венесуэльского энцефаломиелита лошадей (VEEV). Модельные эксперименты подтвердили, что использование вакцинного штамма с такими характеристиками защищает животных даже от внутримозгового заражения вирулентным штаммом [12–14].
В 1998 г. нами была показана возможность иммунизации модельных животных при введении самореплицирующейся РНК (срРНК) вируса Синдбис, несущей гены env и gag ВИЧ-1B3, что было подтверждено A.J. Geal и соавт. в 2012 г. при использовании срРНК VEEV [15].
В 2000–2003 гг. в рамках программы Международной организации по борьбе со СПИДом, Инициативы по вакцинам, Сотрудничества по разработке вакцины против СПИДа Национального института изучения аллергических и инфекционных заболеваний Национального института здоровья США нами были созданы плазмиды репликона VEEV, экспрессирующие белки Gag/Pol и белок Env (gp160) SHIV89.6P. Полученные плазмиды затем были использованы для изучения влияния быстрой деградации на экспрессию части Gag SIV в одноцикловом векторе. Установлено, что вирусоподобные частницы (ВПЧ) VEEV, не способные к саморепликации, эффективнее представляют целевой антиген в том случае, когда рекомбинантный репликон упакован в ВПЧ, несущие шипы гликопротеина дикого типа VEEV [16].
Позднее C.K. Jurgens и соавт., используя созданные Д.А. Мошковым плазмиды репликона VEEV, экспрессирующие антигены SHIV89.6P Gag и SHIV89.6P Env (gp160), провели изучение экспрессии этих белков в клетках обезьян [17]. Они установили, что экспрессия белков Gag и Env на платформе РНК VEEV в клетках приматов привела к сборке частиц, которые морфологически и функционально напоминали вирионы лентивирусов и включали репликон альфавируса. Инфицирование CD4+-клеток химерными лентивирусоподобными частицами было специфичным и продуктивным, что приводило к репликации РНК, экспрессии Gag и Env и образованию дочерних химерных частиц. Дальнейшие модификации генома, направленные на усиление инкапсидации генома химерного вируса и экспрессию аттенуированной протеазы вируса иммунодефицита обезьян (SIV) для созревания частиц, улучшили способность химерных лентивирусоподобных частиц размножаться в клеточной культуре. Показана возможность презентации иммуногенов лентивируса в нативной и функциональной конформации [17].
В обзоре, проведённом сотрудниками 48-го Центрального научно-исследовательского института Министерства обороны РФ, рассмотрено применение альфавирусных векторов для разработки вакцин против широкого круга вирусов [18]. Подчёркивается, что РНК-репликоны альфавирусов сочетают безопасность инактивированных и иммуногенность живых аттенуированных вакцин. Такие конструкции пригодны для экспрессной разработки вакцин с целью специфической профилактики вирусных инфекционных заболеваний, и наличие пригодного для иммунизации человека штамма ТС-83 VEEV определяет перспективы создания РНК-репликона на основе генома этого возбудителя [18]. Казахскими исследователями ген зелёного флуоресцирующего белка встроен в геном VEEV под контроль синтетической копии вирусного промотора 26S субгеномной РНК. РНК-транскрипт рекомбинантного вируса трансфицирован в культуру клеток почки новорождённого хомяка (BHK-21). К 36 ч после трансфекции почти все клетки в культуре демонстрировали яркую флуоресценцию маркерного белка [19]. Таким образом, данные, полученные в последние 3 десятилетия, подтверждают перспективность выбранного нами направления.
Цель данной работы — оценить возможность образования на основе срРНК, продуцирующих целевые антигены лентивируса на платформе альфавирусного репликона, ВПЧ ВИЧ-1B и ВПЧ рекомбинанта ВИЧ-1B и SHIV89.6P, а также способность ВПЧ ВИЧ-1B и SHIV89.6P инфицировать клетки глиобластомы и макрофаги человека.
Материалы и методы
Плазмиды, экспрессирующие РНК репликона VEEV и химерные вирусные геномы
Плазмиды рекомбинантного репликона VEEV, полученные Д.А. Мошковым и применённые в исследованиях ранее, описаны в соответствующих работах [16, 17], схематическое изображение плазмид представлено на рис. 1.
Рис. 1. Схематическое изображение плазмид, транскрибированная РНК с которых ведёт к трансляции белков, способных образовывать ВПЧ.
а — на платформе репликона вируса Синдбис; б — на платформе репликона VEEV.
Fig. 1. Schematic representation of plasmids, transcribed RNA from which leads to translation of proteins capable of forming VLPs.
a — on the Sindbis virus replicon platform; b — on the VEEV replicon platform.
Наработка и титрование частиц репликона
Линеаризованные плазмиды, кодирующие целевые белки, служили матрицей для синтеза кэпированных РНК с использованием набора «mMessage Machine T7» («Ambion»). Субконфлюэнтные (80%) клетки собирали и готовили для электропорации. Клетки осаждали центрифугированием при 800g в течение 10 мин, промывали фосфатным буферным раствором, не содержащим рибонуклеазы, и ресуспендировали до концентрации 1,5 × 107 клеток/мл в фосфатном буферном растворе, не содержащем рибонуклеазы.
Синтезированной in vitro срРНК (1 мкг) трансфицировали клетки BHK-21 с помощью электропорации с использованием «BioRAD GenePulser» («Bio-Rad»). Клетки трижды подвергали импульсному воздействию при напряжении 850 В и ёмкости 25 мкФ.
Сбор и очистку рекомбинантных ВПЧ (рекВПЧ) проводили путём осаждения через подушку из раствора сахарозы.
РекВПЧ титровали путём инфицирования клеток глиобластомы U87.CD4-CCR5 и U87.CD4-CXCR4 серийными разведениями очищенных рекВПЧ в течение 16 ч при 37ºC с последующей 10-минутной фиксацией метанолом при 4ºC. Фиксированные клетки регидратировали в фосфатно-солевом буфере рН 7,2 и инкубировали с соответствующей антисывороткой в разведении 1 : 100 в течение 1 ч при комнатной температуре. Антисыворотки к белкам лентивирусов получили от доктора D.C. Montefiore по программе получения реагентов по СПИД (отдел СПИД, National Institute of Allergy and Infectious Diseases, National Institutes of Health). Оценка этих нейтрализующих антител против ВИЧ, SIV и SHIV приведена в работе [20]. Клетки промывали и инкубировали с биотинилированным антимышиным IgG, затем со стрептавидином, конъюгированным с Alexaflour Texas Red. Заражённые рекВПЧ клетки оценивали под микроскопом по флуоресценции при ультрафиолетовом освещении.
Клетки
Все клетки получали по программе получения реагентов по СПИД (отдел СПИД, National Institute of Allergy and Infectious Diseases, National Institutes of Health).
Клетки BHK-21 поддерживали в минимально необходимой среде альфа, дополненной 10% фосфатно-солевым буфером, 2 мМ L-глутамина и 100 ЕД/мл пенициллина и стрептомицина при 37ºC в CO2-инкубаторе [17].
Клетки U87, стабильно экспрессирующие CD4 и корецептор CCR5 дикого типа (U87.CD4+CCR5+ и U87.CD4+X4+), культивировали в модифицированной среде Дульбекко по Искову («Termo Fischer Scientific») с добавлением 10% эмбриональной телячьей сыворотки, L-глутамина и пенициллин/стрептомицина (10 мкг/мл) [21].
Коммерческие культуры макрофагов получали из CD14+-моноцитов периферической крови человека (чистота > 90%). Макрофаги культивированы из моноцитов в среде, содержащей rhM-CSF, в течение нескольких дней и готовы к использованию. Человеческие макрофаги были изолированы у здорового взрослого донора. Макрофаги характеризуются использованием антител, специфичных к CD14, CD11b. Коммерческие макрофаги отрицательны на ВИЧ-1, вирус гепатита B и C, микоплазму, бактерии, дрожжи и грибы.
Микроиммунофлуоресцентный анализ
Для мониторинга трансфекции (электропорации) и определения титра рекВПЧ с помощью микроиммунофлуоресцентного анализа клетки BHK21 выращивали на 4- или 8-луночных предметных стёклах «LabTek» («Nalge Nunc International») в CO2-инкубаторе при 37ºC. Через 24 ч после заражения предметные стекла фиксировали в ацетон-метаноле (1 : 1) при 4ºC не менее 1 ч. При исследовании трансфицированных клеток примерно 105 электропорированных клеток высевали на 4- или 8-луночные предметные стекла, инкубировали и фиксировали, как описано выше. Фиксированные клетки регидратировали в фосфатно-солевом буферном растворе рН 7,2 и инкубировали с разведением 1 : 100 соответствующими антисыворотками к Gag и Env, полученными от доктора D.C. Montefiore, в течение 1 ч при комнатной температуре, а также с мышиными анти-ВИЧ p17 моноклональными антителами и сывороткой от ВИЧ+-пациента. После 3 промываний в фосфатно-солевом буфере добавляли конъюгат козьего античеловеческого или козьего антимышиного IgG-изотиоцианата флуоресцеина («Sigma») в разведении 1 : 100, предметное стекло инкубировали в течение 30 мин при комнатной температуре с последующими 3 дополнительными промывками. Слайды исследовали и фотографировали под конфокальным флуоресцентным микроскопом «Zeiss LSM110» («Carl Zeiss SMT, Inc.»). Изображения были оцифрованы и проанализированы с помощью программы «Photoshop» («Adobe Systems Inc.»).
Электронная микроскопия
Клеточные монослои кратковременно промывали бессывороточной средой и фиксировали 4% глутаральдегидом в 0,15 М натрия фосфатном буфере pH 7,4 в течение ночи. Следующие 3 промывания делали фосфатным буфером и фиксировали монослои в течение 1 ч в смеси 1% OsO4 и 1,25% феррицианида калия в 0,15 М натрий-фосфатном буфере. Далее клетки промывали деионизированной водой и обезвоживали за счёт увеличения концентрации этанола (30, 50, 75 и 100%, по 5 мин каждый). Клетки были инфильтрированы двумя концентрациями эпоксидной смолы Polybed 812 (состав 1A : 2B, «Polysciences, Inc.») в течение нескольких часов при каждой смене, полимеризовали в течение 24 ч при 60ºC в формах для заливки, где их отделяли от пластин перед секционированием. Ультратонкие срезы (70 нм) были вырезаны алмазным ножом Diatome; секции монтировали на медные сетки (200 ячеек) и окрашивали 4% водным раствором уранилацетата в течение 15 мин, затем цитратом свинца Рейнольдса в течение 7 мин. Срезы были сфотографированы с помощью просвечивающего электронного микроскопа «LEO EM910» («Carl Zeiss SMT, Inc.») при 80 кВ.
Результаты
В конструкции прототипа химерной вирусной вакцины использован неполный геном РНК альфавируса (Синдбис или VEEV), содержащий гены gag/pol и env, экспрессирующие соответствующие белки лентивируса. Электропорация клеток транскрибированными с этих плазмид срРНК приводит к самосборке лентивирусоподобных частиц.
Последовательности ДНК, кодирующие белки Gag/Pol и Env gp160 лентивирусов (HIV-1B и SHIV89.6P) были получены стандартными методами генной инженерии. Плазмида, содержащая ДНК, кодирующую белки HIV-1B, сконструирована на платформе репликона вируса Синдбис (рис. 1, а). Плазмида, содержащая ДНК, кодирующую белки SHIV89.6P на платформе репликона VEEV, сконструирована из молекулярного клона SHIV89.6P KB9 (GenBank # U89134) (рис. 1, б).
У плазмиды SHIV89.6P 5'-праймер содержал субгеномные промоторные последовательности 26S, а 3'-праймер — стоп-кодон и сайт AscI для клонирования в плазмиду репликона VEEV. C-конец последовательностей промотора NSP4 и 26S амплифицировали с помощью полимеразной цепной реакции (ПЦР) и использовали в ПЦР с перекрывающимся удлинением с фрагментом, содержащим структурные гены с промотором 26S репликона для проведения ПЦР. Фрагмент, содержащий С-конец NSP4, полный субгеномный промотор VEEV 26S, структурный ген SHIV89.6P и сайт рестрикции AscI, внедряли в вектор ПЦР-клонирования Zero Blunt («Invitrogen») и определяли последовательность нуклеотидов. Фрагмент 26S-Gag лигировали с pVR100 SHIV89.6P Env. Фрагмент 26S-Env лигировали с pVR21 SHIV89.6P Gag. Положительные клоны идентифицировали с помощью рестрикционного анализа и идентифицировали секвенированием. Более полно получение этих плазмид и их дальнейшая модификация описаны ранее [16, 17].
Транскрибированными с синтезированных плазмид рекомбинантными срРНК (по 1 мкг), экспрессирующими структурные белки альфавирусов, трансфицировали клетки BHK21. Полученные ВПЧ исследовали с помощью электронной микроскопии. Обнаружено, что трансфекция клеток как рекРНК вируса Синдбис (экспрессия структурных белков ВИЧ-1B), так и рекРНК VEEV (экспрессия структурных белков SHIV89.6P) приводит к формированию ВПЧ. Титры получаемых на платформе VEEV рекВПЧ составляли 105–106 инфекционных единиц на 1 мл, что совпадает с данными других авторов, использовавших полученные нами плазмиды [17].
Таким образом, нами были созданы конструкции, экспрессирующие продукты генов HIV1B и SHIV89.6P в количестве, достаточном для формирования зрелых рекВПЧ (рис. 2).
Рис. 2. Электронно-микроскопические фотографии лентивирусных ВПЧ.
а и б — ВПЧ ВИЧ-1B; в — ВПЧ SHIV89.6P.
Fig. 2. Electron microscopic photographs of lentiviral VLPs.
a and b — HIV-1B VLPs; c — VLP SHIV89.6P VLPs.
При микроиммунофлуоресцентном анализе структурные белки SHIV89.6P выявлены только в цитоплазме трансфицированных клеток (рис. 3). Титры рекВПЧ составляли 104–106 инфекционных единиц на 1 мл.
Рис. 3. ИФА, репликация срРНК в цитоплазме клеток BHK-21 и экспрессия белков гена gag (а) и гена env (б) SHIV89.6P.
Fig. 3. ELISA, srRNA replication in the cytoplasm of BHK-21 cells and protein expression of the gag gene (a) and env gene (b) of SHIV89.6P.
CCR5 и CXCR4 являются двумя основными корецепторами, необходимыми для проникновения ВИЧ. Клетки глиобластомы линии U87.CD4.CCR5 и U87.CD4.CXCR4 надёжно поддерживают инфекцию ВИЧ-1 различных адаптированных к лабораторным условиям штаммов и первичных изолятов с различным использованием корецепторов (R5, X4 и R5/X4), что позволяет исследовать противовирусную эффективность комбинированной CCR5 и CXCR4 блокады антагонистами [22].
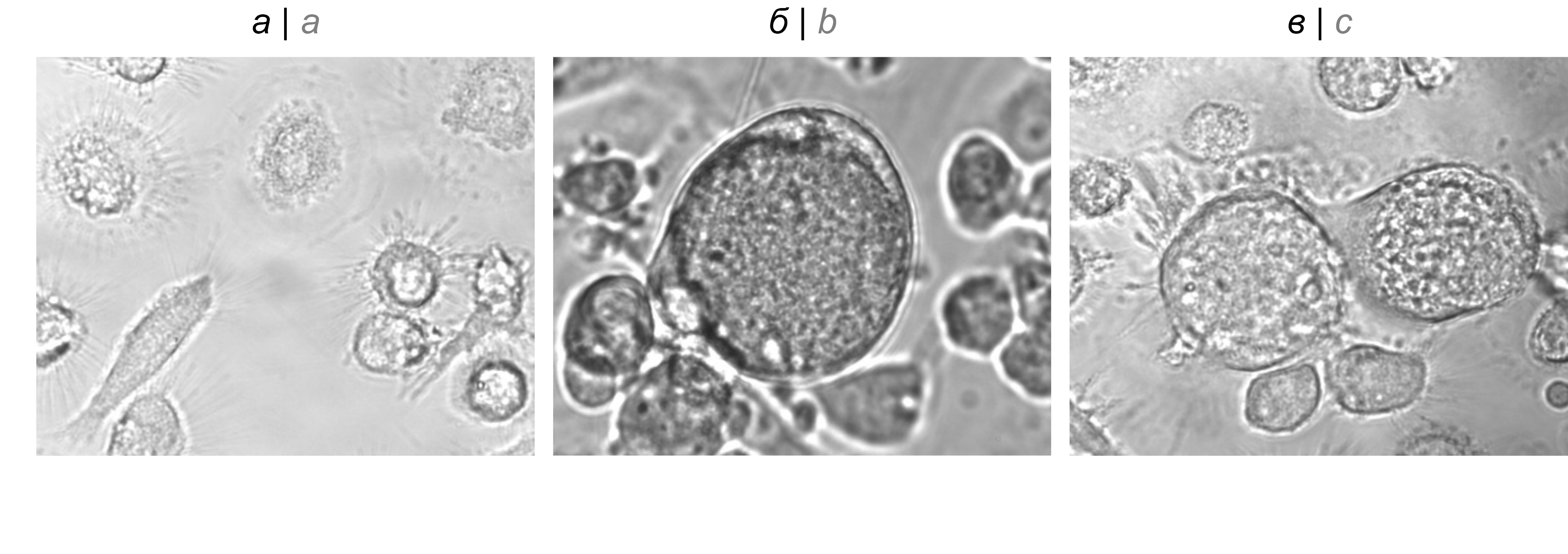
Заражение этих линий клеток U87 с рецептором CD4 и корецепторами CCR5 и Х4 и макрофагов человека химерными лентивирусоподобными частицами было специфичным и продуктивным и приводило к репликации срРНК, экспрессии и процессингу продуктов генов gag/pol и env ВИЧ-1B, и SHIV89.6P и генерации дочерних химерных частиц рекВПЧ, способных давать инфекционное потомство. Заражение макрофагов человека приводило к формированию синцития как при инфицировании рекВПЧ ВИЧ-1B, так и при инфицировании рекВПЧ SHIV89.6P (рис. 4).
Рис. 4. Образование синцития на макрофагах человека, инфицированных рекВПЧ лентивирусов.
а — негативный контроль, ×20; б, в — сформированный синцитий, ×40: рекВПЧ ВИЧ-1В (б) и рекВПЧ SHIV89.6P (в).
Fig. 4. Formation of syncytium on human macrophages infected with lentivirus recVLPs.
a — negative control, ×20; b, c — formed syncytium, ×40: HIV-1B recVLPs (b) and SHIV89.6P recVLPs (c).
Таким образом, самовоспроизводящиеся ВПЧ лентивирусов способны реплицироваться в клетках глиобластомы и вызывать слияние нормальных макрофагов человека.
Обсуждение
Работы по созданию вакцин против ВИЧ ведутся более 30 лет, однако, несмотря на определённые достижения, особого успеха не достигнуто. Одной из причин является создание резервуара ускользающих от иммунитета вариантов ВИЧ в ЦНС. Решением этой проблемы могло бы быть применение аттенуированных альфавирусных векторов с утраченной нейровирулентностью, но сохранённой нейроинвазивностью [12, 13, 23].
Нами были сконструированы плазмиды, которые позволяют транскрибировать срРНК, трансфекция которыми клеток позволяет не только экспрессировать целевые белки, но и приводит к формированию инфекционных рекВПЧ. Эти рекВПЧ, по-видимому, могут представлять антиген клеткам иммунной системы в конформациях, близких к нативным [24–26]. При попадании в клетку срРНК происходит репликация, и срРНК упаковывается в такие химерные частицы. Когда геном репликона затем высвобождается в цитоплазму после проникновения химерных частиц в восприимчивые клетки, химерные частицы потенциально могут воспроизводиться и функционировать как живая вирусная вакцина. Используя созданные конструкции, показали, что экспрессия генов gag и env рекомбинантной РНК VEEV в клетках приматов приводила к сборке частиц, которые морфологически и функционально были ВПЧ лентивируса и включали рекомбинантную альфавирусную РНК, обеспечивающую самосборку ВПЧ. Таким образом, рекВПЧ с оболочкой ВИЧ-1B и SHIV89.6P по сути являются рекомбинантными вирусами, что может помочь обойти сложности, обычно присущие неинфекционным ВПЧ.
Заражение клеток с рецептором CD4 и корецепторами CCR5 и Х4 химерными лентивирусоподобными частицами было специфичным и продуктивным и приводило к репликации РНК, экспрессии и процессингу продуктов генов gag/pol и env ВИЧ и генерации дочерних химерных частиц. Дальнейшие модификации плазмид, кодирующих белки SHIV89.6P (рис. 1, в), проведённые другими исследователями и направленные на усиление инкапсуляции генома химерного вируса и экспрессии протеазы SHIV89.6P для созревания частиц, улучшали способность химерных лентивирусоподобных частиц размножаться в клеточной культуре [17].
Проведённые здесь и ранее исследования привели к получению РНК, способных к самовоспроизведению, и при трансфекции этими РНК формируются рекВПЧ. Экспрессия этими рекВПЧ антигенов лентивирусов наблюдается только в цитоплазме. Поскольку отсутствует интеграция в геном хозяина, вакцинация такими ВПЧ не должна приводить к персистирующей или хронической инфекции. Альфавирусы чувствительны к интерферону. Поэтому для повышения чувствительности к интерферону в геном можно встроить аттенуирующие мутации [22, 23]. Вакцинный штамм VEEV, разрешённый для применения в группах риска, способен проникать в ЦНС модельных животных через ГЭБ [12, 13, 27]. По нашему мнению, данные, представленные в настоящей работе и полученные ранее, а также проведённый анализ опубликованных работ позволяют считать, что дальнейшие исследования по совершенствованию такого рода вакцины оправданны и должны включать, прежде всего, применение адекватных животных моделей, изучение напряжённости индуцируемого иммунитета и оценку безопасности таких вакцин.
При наработке срРНК этап получения вирусного потомства для последующей иммунизации не требуется. Это, по-видимому, позволит использовать мукозальный или внутрикожный (ID) способы иммунизации, более эффективные, экономные и иммуногенные по сравнению с внутримышечной инфекцией [28–30].
Выполненная работа и данные авторов, использовавших созданные Д.А. Мошковым плазмиды [17], обеспечивают доказательство возможности созданных нами химерных конструкций экспрессировать структурные белки лентивируса и собираться в инфекционные частицы для презентации иммуногенов лентивируса в их нативной и функциональной конформации.
ВИЧ может проникать в ЦНС, заражая иммунокомпетентные клетки, которые способны преодолевать ГЭБ. Таким образом, ВИЧ может маскироваться, обходя биологический барьер, который ограничивает проникновение большинства других чужеродных молекул. Антиретровирусные препараты, как правило, не способны эффективно проникать через ГЭБ или быстро выводятся из паренхимы головного мозга, что приводит к неэффективной элиминации ВИЧ из головного мозга и образованию резервуаров вируса. В мозге существуют гетерогенные клеточные резервуары, способные содержать покоящийся ВИЧ. Такое накопление в ЦНС может привести к отскоку вируса и рецидиву инфекции. Налицо парадокс, заключающийся в том, что чужеродные вирусные компоненты пересекают ГЭБ и передаются в ЦНС, в то время как важнейшие терапевтические препараты не могут туда проникнуть [3].
Как у нечеловекообразных приматов, так и у кошек из ткани ЦНС или из спинномозговой жидкости выделены нейровирулентные варианты [31, 32], вызывающие более быстрое нарушение поведенческих реакций и ускоренную гибель. Выделение и клонирование вариантов лентивирусов, вызывающих гибель животных в короткие сроки, открывает возможность быстрой проверки эффективности защитных препаратов. Изолят SIVsmmPBj14 (SIV-PBj14) является одним из наиболее вирулентных известных лентивирусов приматов: он вызывает острое заболевание и смерть в течение 6–10 дней после внутривенной инокуляции свинохвостым макакам [33, 34]. SIV-PBj14 реплицировался более эффективно, чем исходный пул вируса в мононуклеарных клетках периферической крови (peripheral blood mononuclear cells, PBMC) человека, а также реплицировался в PBMC шимпанзе. Нормальные РВМС макак, инфицированные in vitro SIV-PBj14, образовывали синцитии с Т-лимфобластами из лимфомы человека (Sup-T1), тогда как исходный пул вируса не приводил к образованию синцитий с этими клетками [36]. Инфекция ВПЧ SHIV89.6P нормальных макрофагов также приводила к образованию синцитий, что, по нашему мнению, является положительным свойством при дальнейшей разработке вакцины, способной к подавлению ВИЧ-нейроинфекции.
Повышенная реактогенность штамма ТС-83, обычно рассматриваемая как нежелательный признак [35], в случае борьбы с неизбежным проникновением ВИЧ в ЦНС будет, по-видимому, являться положительным свойством. Уместно напомнить ситуацию с фиксированным вирусом бешенства, когда высокое и быстрое накопление вируса в ЦНС и разрушение нейронов, которое не наблюдается при инфекции грызунов диким штаммом, включает воспалительный и иммунный ответы, что ведёт к созданию выраженной и надёжной защиты [36]. Целью проведённых в США исследований, по-видимому, было получение аттенуированных вариантов VEEV, утративших способность передаваться комарами и пригодных для иммунизации лошадей, а также неспособных ревертировать к дикому типу [37], т. к. периодические вспышки VEEV приводили к гибели десятков тысяч лошадей [38]. Введение дополнительных аттенуирующих мутаций в штамм ТС-83 VEEV привело к получению вариантов со сниженным цитопатическим действием. Виремия у взрослых мышей не выявлялась, а виремия у мышей-сосунков, если и обнаруживалась, то была низкого уровня. Невозможность вызвать виремию отрицательно сказывалась на титрах, индуцированных нейтрализующих антител. Они стали в 10 раз ниже, чем при иммунизации штаммом TC-83. Когда мутировавший белок нуклеокапсида был помещён под контроль участка внутренней посадки рибосомы вируса энцефаломиокардита мышей, то хотя вариант стал менее вирулентен для мышей-сосунков, он был менее эффективен в индукции нейтрализующих антител. Он не вызывал виремию и не проникал в мозг взрослых мышей [40]. Инактивированная вакцина на основе высокоаттенуированного штамма ТС-83 230 не защищала животных от аэрогенного заражения, при котором вирулентные штаммы легко проникают в мозг. В то же время штамм, аналогичный по характеристикам штамму ТС-83 (с утраченной нейровирулентностью, но сохранённой нейроинвазивностью), защищал даже от внутримозгового заражения энцефалитогенным штаммом VEEV [12]. Вывод о том, что для опережающей защиты ЦНС целесообразно использовать векторы на платформе VEEV и что для создания вакцины-кандидата наиболее пригоден штамм ТС-83 [1], по-видимому, справедлив и в настоящее время. Целесообразность применения репликона VEEV для создания эффективных кандидатов вакцин против ряда вирусов достаточно полно рассмотрена в обзоре А.А. Петрова и соавт. [18].
Авторы статьи осознают сложности стоящей проблемы — как у любой новой технологии, использование срРНК имеет свои плюсы и минусы. В опубликованном в 2021 г. обзоре [39] А.В. Благов и соавт. справедливо отмечают, что главным преимуществом РНК-вакцин является скорость их разработки и производства. Тем более что появляются новые эффективные методы бесклеточного синтеза кольцевой ДНК. Минимизация использования живых бактериальных культур и вирусов в производстве вакцин позволяет снизить риски контаминации и сделать производство ещё более быстрым и безопасным. Авторы обзора также указывают, что нестабильность РНК может быть как недостатком из-за опасности деградации молекулы и развития слишком сильной воспалительной реакции, так и преимуществом из-за того, что сама мРНК может выполнять роль адъюванта. Нестабильность также влияет на режим хранения мРНК-вакцин (от –80ºС до –20ºС), вынуждая поддерживать холодовую цепь или применять липидные наночастицы для повышения термостабильности мРНК-вакцин [39]. Метод получения описанных в этом исследовании срРНК, по-видимому, может быть масштабируем, а сами рекВПЧ нарабатываются и в клетках грызунов, и в клетках приматов и характеризуются высокой иммуногенностью. рекВПЧ на платформе VEEV хорошо охарактеризованы как качественно, так и количественно, более того, показана их эффективность против высоковирулентного для обезьян штамма SIV [16, 17, 40].
В настоящее время, по-видимому, создались условия для проведения исследований, позволяющих изучить возможность создания эффективной вакцины против ВИЧ, ускользающего от иммунитета в резервуарах ЦНС. На промежуточной стадии исследований конструкции, разработанные казахскими исследователями на базе вакцинного штамма ТС-83 VEEV [19], можно применить для подкожного заражения модельных животных (мыши или кролики). Если этот рекомбинантный вирус сохранил способность проникать через ГЭБ, то в мозге инфицированных животных, по-видимому, будет экспрессироваться зелёный флуоресцирующий белок. Поскольку самореплицирующиеся ВПЧ способны инфицировать и клетки ЦНС (глиобластома), и макрофаги, то целесообразно внедрить в конструкцию флуоресцирующий маркерный белок и изучить его экспрессию в составе рекВПЧ SHIV89.6P в ЦНС обезьян. В случае экспрессии маркерного белка можно будет перейти к заключительной стадии проверки эффективности рекВПЧ, экспрессирующих белки Env и Gag, на модели SIV — приматы или на модели кошки — вариант вируса иммунодефицита кошек, вызывающий быструю гибель животных.
Таким образом, полученные нами и другими исследователями результаты позволяет получать рекВПЧ. Эти ВПЧ индуцируют наработку антигенов в клетках обезьян [17], способны реплицироваться в клетках ЦНС человека и вызывают образование синцития у макрофагов человека. В данной работе с срРНК идет синтез лентивирусных белков и рекРНК, которые формируют полноценные вирусные частицы, способные заражать чувствительную клеточную линию и давать потомство вирионов. Поэтому получаемые таким образом ВПЧ корректнее называть рекВПЧ. Ещё раз обращаем внимание на то, что рекВПЧ инфицируют макрофаги человека, а значит, появляется система, способная как доставить целевые антигены в ЦНС, так и представлять их иммунокомпетентным клеткам.
Всё это позволяет считать, что возможно представление в ЦНС антигенов в нативной и функциональной конформации. Поэтому можно говорить о целесообразности применения подобных конструкций в дальнейших исследованиях, направленных на получение вакцины кандидата для подавления ВИЧ в резервуарах ЦНС.
Данная работа является частью исследований по созданию вакцины против ВИЧ, способной элиминировать вирус из ЦНС. Естественно, что дальнейшие работы следует проводить в условиях повышенной биологической защиты.
Выводы
На платформе репликона альфавирусов сконструированы плазмиды, содержащие гены, кодирующие белки Gag и Env ВИЧ (репликон вируса Синдбис) и белки Gаg и Env рекомбинанта SIV и ВИЧ-1B SHIV89.6P (репликон VEEV).
РНК, транскрибируемая с этих плазмид, при трансфекции клеток приводит к образованию ВПЧ.
РекВПЧ SHIV89.6P способны инфицировать клетки ЦНС человека (линии U87.CD4+CCR5+ и U87.CD4+X4+ глиобластомы) и макрофаги здорового донора.
При инфекции макрофагов человека рекВПЧ SHIV89.6P наблюдается образование синцития.
Данные, полученные при изучении рекВПЧ SHIV89.6P авторами и другими исследователями, свидетельствуют о том, что презентация иммуногенов лентивируса возможна в нативной и функциональной конформации (индукция специфических антител, связывание с соответствующими рецепторами на клетках ЦНС, образование синцития у макрофагов), и поддерживают целесообразность применения подобных конструкций при дальнейших разработках по созданию вакцины для подавления ВИЧ в резервуарах ЦНС.
1 Wenzel E.D. Mechanism of hiv-1 gp120 neurotoxicity: the role of microtubules. A Dissertation submitted to the Faculty of the Graduate School of Arts and Sciences of Georgetown University in partial fulfillment of the requirements for the degree of Doctor of Philosophy in Pharmacology. Washington; 2019.
2 Smith L.K. Role of neurotropism in hiv-1 gp120 induced oxidative stress and neurodegeneration. A Dissertation submitted in partial fulfillment of the requirements for the Degree of Doctor of Philosophy in Biochemistry and Neuroscience. Fairbanks; 2020.
3 Мошков Д.А. Клонирование и экспрессия генов GAG и ENV вируса иммунодефицита человека в векторных системах на основе генома вируса Синдбис: автореф. дис. … канд. биол. наук: 03.00.15. М.; 1998.
Об авторах
Герман Дмитриевич Мошков
Научно-исследовательский институт вакцин и сывороток имени И.И. Мечникова
Email: moshkoffd@gmail.com
ORCID iD: 0009-0009-0598-6992
м. н. с. кафедры вирусологии
Россия, МоскваАндрей Евгеньевич Мошков
US Pharma Biotechnology Inc.; Global Virus Network
Email: moshkoffd@gmail.com
ORCID iD: 0000-0002-7101-2469
г. н. с. отдела вирусологии, советник
США, Балтимор; БалтиморДмитрий Андреевич Мошков
Научно-исследовательский институт вакцин и сывороток имени И.И. Мечникова; US Pharma Biotechnology Inc.; Global Virus Network
Автор, ответственный за переписку.
Email: moshkoffd@gmail.com
ORCID iD: 0009-0008-4009-5477
к. б. н., с. н. с. кафедры вирусологии, основатель, г. н. с. U.S. Pharma Biotechnology Inc., советник
Россия, Москва; Балтимор, США; Балтимор, СШАСписок литературы
- Moretti S., Virtuoso S., Sernicola L., et al. Advances in SIV/SHIV non-human primate models of NeuroAIDS. Pathogens. 2021;10(8):1018. DOI: https://doi.org/10.3390/pathogens10081018
- Hokello J., Sharma A.L., Tyagi P., et al. Human Immunodeficiency Virus type-1 (HIV-1) transcriptional regulation, latency and therapy in the central nervous system. Vaccines. 2021;9(11):1272. DOI: https://doi.org/10.3390/vaccines9111272
- Osborne O., Peyravian N., Nair M., et al. The paradox of HIV blood-brain barrier penetrance and antiretroviral drug delivery deficiencies. Trends Neurosci. 2020;43(9):695–708. DOI: https://doi.org/10.1016/j.tins.2020.06.007
- Huang C., Wang Y., Li X., et al. Clinical features of patients infected with 2019 novel coronavirus in Wuhan, China. Lancet. 2020;395(10223):497–506. DOI: https://doi.org/10.1016/s0140-6736(20)30183-5
- Conde Cardona G., Quintana Pájaro L.D., Quintero Marzola I.D., et al. Neurotropism of SARS-CoV 2: Mechanisms and manifestations. J. Neurol. Sci. 2020;412:116824. DOI: https://doi.org/10.1016/j.jns.2020.116824
- Mao L., Jin H., Wang M., et al. Neurologic manifestations of hospitalized patients with coronavirus disease 2019 in Wuhan, China. JAMA Neurol. 2020;77(6):683–90. DOI: https://doi.org/10.1001/jamaneurol.2020.1127
- Puelles V.G., Lütgehetmann M., Lindenmeyer M.T., et al. Multiorgan and renal tropism of SARS-CoV-2. N. Engl. J. Med. 2020;383(6):590–2. DOI: https://doi.org/10.1056/nejmc2011400
- Moriguchi T., Harii N., Goto J., et al. A first case of meningitis/encephalitis associated with SARS-Coronavirus-2. Int. J. Infect. Dis. 2020;94:55–8. DOI: https://doi.org/10.1016/j.ijid.2020.03.062
- Zubair A.S., McAlpine L.S., Gardin T., et al. Neuropathogenesis and neurologic manifestations of the coronaviruses in the age of coronavirus disease 2019: A review. JAMA Neurol. 2020;77(8):1018–27. DOI: https://doi.org/10.1001/jamaneurol.2020.2065
- Cyranoski D. Profile of a killer: the complex biology powering the coronavirus pandemic. Nature. 2020;581(7806):22–6. DOI: https://doi.org/10.1038/d41586-020-01315-7
- Meinhardt J., Radke J., Dittmayer C., et al. Olfactory transmucosal SARS-CoV-2 invasion as a port of central nervous system entry in individuals with COVID-19. Nat. Neurosci. 2021;24(2):168–75. DOI: https://doi.org/10.1038/s41593-020-00758-5
- Мошков А.Е., Мошкова С.П., Львов Д.К. Белые крысы как модель при изучении экспериментальной инфекции альфавирусами. В кн.: Итоги науки и техники. Серия «Вирусология». Арбовирусы и арбовирусные инфекции. Часть 1. М.;1992:167–75. Moshkov A.E., Moshkova S.P., L'vov D.K. White rats as a model in the study of experimental infection with alphaviruses. The results of science and technology. The series "Virology". Arboviruses and arbovirus infections. Part 1 [Itogi nauki i tekhniki. Seriya «Virusologiya». Arbovirusy i arbovirusnye infektsii. Chast' 1]. Moscow;1992:167–75.
- Мошков А.Е., Урываев Л.В., Маренникова С.С., Мошков Д.А. Перспективы использования РНК-содержащих вирусов в качестве векторов. Вопросы вирусологии. 1993;38(3):98–101. Moshkov A.E., Uryvaev L.V., Marennikova S.S., Moshkov D.A. The prospects for using RNA-containing viruses as vectors. Problems of Virology. 1993;38(3):98–101. EDN: https://elibrary.ru/yoylil
- Moshkov A.E., Moshkova S.P., Moshkov D.A., et al. Selection of the RNA-containing virus for working out of a vaccine against the AIDS associated complex. Biotechnology. 1999;(1):26–31.
- Geall A.J., Verma A., Otten G.R., et al. Nonviral delivery of self-amplifying RNA vaccines. Proc. Natl Acad. Sci. USA. 2012;109(36):14604–9. DOI: https://doi.org/10.1073/pnas.1209367109
- Fluet M.E., Whitmore A.C., Moshkoff D.A., et al. Effects of rapid antigen degradation and VEE glycoprotein specificity on immune responses induced by a VEE replicon vaccine. Virology. 2008;370(1):22–32. DOI: https://doi.org/10.1016/j.virol.2007.08.020
- Jurgens C.K., Young K.R., Madden V.J., et al. A novel self-replicating chimeric lentivirus-like particle. J. Virol. 2012;86(1):246–61. DOI: https://doi.org/10.1128/jvi.05191-11
- Петров А.А., Лебедев В.Н., Плеханова Т.М. и др. Перспективы разработки и применения вакцин на основе РНК-репликона вируса венесуэльского энцефаломиелита лошадей против особо опасных вирусных инфекций. Проблемы особо опасных инфекций. 2014;(3):86–91. Petrov A.A., Lebedev V.N., Plekhanova T.M., et al. Future developments and applications of the vaccines against dangerous viral infections, RNA-replicon-based, obtained from the Venezuelan equine encephalomyelitis virus. Problems of Particularly Dangerous Infections. 2014;(3):86–91. DOI: https://doi.org/10.21055/0370-1069-2014-3-86-91 EDN: https://elibrary.ru/snkbyd
- Балтабекова А.Ж., Шагырова Ж.С., Ким Ю.Г. и др. Вектор на основе генома вируса венесуэльского энцефаломиелита лошадей для экспрессии рекомбинантных белков в клетках млекопитающих. Биотехнология. Теория и практика. 2016;(2):59–69. Baltabekova A.Zh., Shagyrova Zh.S., Kim Yu.G., et al. A vector based on the genome of the Venezuelan equine encephalomyelitis virus for the expression of recombinant proteins in mammalian cells. Eurasian Journal of Applied Biotechnology. 2016;(2):59–69. DOI: https://doi.org/10.11134/btp.2.2016.5 EDN: https://elibrary.ru/wjcwoz
- Montefiori D.C. Evaluating neutralizing antibodies against HIV, SIV, and SHIV in luciferase reporter gene assays. Curr. Protoc. Immunol. 2005;Chapter 12:12.11.1-12.11.17. DOI: https://doi.org/10.1002/0471142735.im1211s64
- Manak M.M., Moshkoff D.A., Nguyen L.T., et al. Anti-HIV-1 activity of the neurokinin-1 receptor antagonist aprepitant and synergistic interactions with other antiretrovirals. AIDS. 2010;24(18):2789–96. DOI: https://doi.org/10.1097/qad.0b013e3283405c33
- Princen K., Hatse S., Vermeire K., et al. Establishment of a novel CCR5 and CXCR4 expressing CD4+ cell line which is highly sensitive to HIV and suitable for high-throughput evaluation of CCR5 and CXCR4 antagonists. Retrovirology. 2004;1:2. DOI: https://doi.org/10.1186/1742-4690-1-2
- Moshkoff A.E., Zaitsev I.Z., Moshkoff D.A. The analysis of alphaviral vectors for creation of an effective vaccine against a human immunodeficiency virus (HIV). In: XIV International AIDS Conference. Barcelona;2002:257–61.
- Blakney A. The next generation of RNA vaccines: self-amplifying RNA. Biochemist. 2021;43(4). DOI: https://doi.org/10.1042/bio_2021_142
- Moshkoff D.A., Moshkova I.I., Bogush A.I., et al. The cloning and expression of HIV gag and env genes in the vector systems based on the Sindbis virus genome. Biotechnology. 1999;15(1):32–9.
- Moshkoff D.A. Expression of two HIV-1 structural open reading frames using alpha-virus replicon. Transactions of the department of chemistry of natural compounds at the M.V. Lomonosov MIFCT. 1999;(1):133–9.
- Moshkov S.P., Grabareva L.P., Moshkov A.E., Gaĭdamovich S.Ia. The immunity generated in white rats vaccinated with strains of the Venezuelan equine encephalomyelitis virus. Problems of Virology. 1991;36(5):417–9.
- Reis E.C., Jacobson R.M., Tarbell S., Weniger B.G. Taking the sting out of shots: control of vaccination-associated pain and adverse reactions. Pediatr. Ann. 1998;27(6):375–86.
- Weniger B.G. Influenza vaccination in the off-label grey zone. Lancet. 2014;384(9944):642–4. DOI: https://doi.org/10.1016/s0140-6736(14)61367-2
- Weniger B.G., Papania M.J. Alternative vaccine delivery methods. In: Plotkin S.A., Orenstein W.A., Offit P.A., eds. Vaccines. Saunders;2013:1200–31. DOI: http://doi.org/10.1016/B978-1-4557-0090-5.00063-X
- Power C., Buist R., Johnston J.B., et al. Neurovirulence in feline immunodeficiency virus-infected neonatal cats is viral strain specific and dependent on systemic immune suppression. J. Virol. 1998;72(11):9109–15. DOI: https://doi.org/10.1128/jvi.72.11.9109-9115.1998
- Overbaugh J., Donahue P.R., Quackenbush S.L., et al. Molecular cloning of a feline leukemia virus that induces fatal immunodeficiency disease in cats. Science. 1988;239(4842):906–10. DOI: https://doi.org/10.1126/science.2893454
- Fultz P.N., Zack P.M. Unique lentivirus – host interactions: SIVsmmPBj14 infection of macaques. Virus Res. 1994;32(2):205–25. DOI: https://doi.org/10.1016/0168-1702(94)90042-6
- Tao B., Fultz P.N. Molecular and biological analyses of quasispecies during evolution of a virulent simian immunodeficiency virus, SIVsmmPBj14. J. Virol. 1995;69(4):2031–7. DOI: https://doi.org/10.1128/jvi.69.4.2031-2037.1995
- McKinney R.W. Inactivated and live VEE vaccines – a review. In: Venezuelan encephalitis. Scientific publication no. 243. Washington;1972:69–367.
- Murphy F.A. Rabies pathogenesis. Arch. Virol. 1977;54(4):279–97. DOI: https://doi.org/10.1007/bf01314774
- Atasheva S., Kim D.Y., Frolova E.I., Frolov I. Venezuelan equine encephalitis virus variants lacking transcription inhibitory functions demonstrate highly attenuated phenotype. J. Virol. 2015;89(1):71–82. DOI: https://doi.org/10.1128/jvi.02252-14
- Aguilar P.V., Estrada-Franco J.G., Navarro-Lopez R., et al. Endemic Venezuelan equine encephalitis in the Americas: hidden under the dengue umbrella. Future Virol. 2011; 6(6): 721–40. DOI: https://doi.org/10.2217/fvl.11.5
- Благов А.В., Букаева А.А., Макаров В.В., Бочкаева З.В. Эффективность и безопасность РНК-вакцин: что известно на сегодняшний день. Медицинская иммунология. 2021; 23(5):1017–30. Blagov A.V., Bukaeva A.A., Makarov V.V., Bochkaeva Z.V. Safety and efficacy of RNA vaccines: state of the art. Meditsinskaya immunologiya. 2021;23(5):1017–30. DOI: https://doi.org/10.15789/1563-0625-SAE-2320 EDN: https://elibrary.ru/nazeez
- Davis N.L., Caley I.J., Brown K.W., et al. Vaccination of macaques against pathogenic simian immunodeficiency virus with Venezuelan equine encephalitis virus replicon particles. J. Virol. 2000;74(1):371–8. DOI: https://doi.org/10.1128/jvi.74.1.371-378.2000
Дополнительные файлы






