Protein Profile of the Incubation Medium and Cestode Extract from the Intestines of Various Fish Species
- Authors: Frolova T.V.1, Izvekova G.I.1
-
Affiliations:
- Papanin Institute for Biology of Inland Waters, Russian Academy of Sciences
- Issue: No 3 (2023)
- Pages: 383-390
- Section: ЭКОЛОГИЧЕСКАЯ ФИЗИОЛОГИЯ И БИОХИМИЯ ГИДРОБИОНТОВ
- URL: https://ogarev-online.ru/0320-9652/article/view/134935
- DOI: https://doi.org/10.31857/S0320965223030075
- EDN: https://elibrary.ru/PHKCPW
- ID: 134935
Cite item
Full Text
Abstract
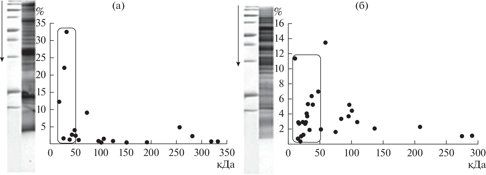
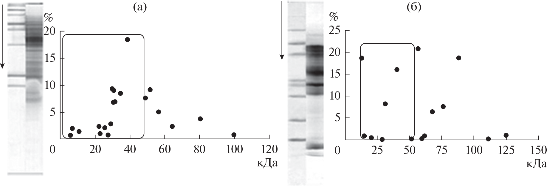
The protein composition of the incubation medium and extracts of various types of cestodes inhabiting the intestines of freshwater fish was investigated. Proteins with apparent molecular weights from 10 to 312.5 kDa were found in both biological media of worms. In most of the investigated worms, 64 to 82% of the protein bands in the incubation medium and the extract have an apparent molecular weight below 50 kDa. An assumption was made about the importance of these proteins in the vital activity of helminths and the need to concentrate further efforts on the study of this particular component of the proteome.
Keywords
About the authors
T. V. Frolova
Papanin Institute for Biology of Inland Waters, Russian Academy of Sciences
Author for correspondence.
Email: bianka28061981@gmail.com
Russia, Nekouzskii raion, Yaroslavl oblast, Borok
G. I. Izvekova
Papanin Institute for Biology of Inland Waters, Russian Academy of Sciences
Email: bianka28061981@gmail.com
Russia, Nekouzskii raion, Yaroslavl oblast, Borok
References
- Извекова Г.И., Фролова Т.И., Жохов А.Е. 2018. Активность протеиназ активность протеиназ в кишечнике ерша Gymnocephalus cernuus (L.) (Pisces) в зависимости от размера населяющих его цестод Proteocephalus cernuae (Gmelin) // Биология внутр. вод. № 1. С. 88. https://doi.org/10.7868/S0320965218010114
- Кочнева А.А., Борвинская Е.В., Бедулина Д.С. и др. 2018. Протеомные исследования особенностей жизнедеятельности паразитических червей // Паразитология. Т. 52. № 3. С. 177.
- Куперман Б.И. 1988. Функциональная морфология низших цестод. Л.: Наука.
- Экологические проблемы Верхней Волги: Коллективная монография. 2001. Ярославль: Изд-во Ярослав. гос.-техн. ун-та.
- Barrett J., Precious W.Y. 1995. Application of metabolic control analysis to the pathways of carbohydrate breakdown in Hymenolepis diminuta // Int. J. Parasitol. V. 25. № 4. P. 431. https://doi.org/10.1016/0020-7519(94)00144-D
- Bień J., Sałamatin R., Sulima A. et al. 2016. Mass spectrometry analysis of the excretory-secretory (E-S) products of the model cestode Hymenolepis diminuta reveals their immunogenic properties and the presence of new E-S proteins in cestodes // Acta Parasitologica. № 61(2). P. 429. https://doi.org/10.1515/ap-2016-0058
- Bosi G., Shinn A.P., Giari L., Dezfuli B.S. 2015. Enteric neuromodulators and mucus discharge in a fish infected with the intestinal helminth Pomphorhynchus laevis // Parasites & Vectors. V. 8. P. 359. https://doi.org/10.1186/s13071-015-0970-7
- Bruno R., Maresca M., Canaan S. et al. 2019. Worms’ Antimicrobial Peptides // Marine Drugs. № 17(9). P. 512. https://doi.org/10.3390/md17090512
- Dezfuli B.S., Bosi G., DePasquale J.A. et al. 2016. Fish innate immunity against intestinal helminthes // Fish and Shellfish Immunol. V. 50. P. 274. https://doi.org/10.1016/j.fsi.2016.02.002
- Dezfuli B.S., Lui A., Giari L. et al. 2013. Piscidins in the intestine of European perch, Perca fluviatilis, naturally infected with an enteric worm // Fish and Shellfish Immunol. V. 35. P. 1539. https://doi.org/10.1016/j.fsi.2013.08.023
- Franchini G.R., Pórfido J.L., Shimabukuro M.I. et al. 2015. The unusual lipid binding proteins of parasitic helminthes and their potential roles in parasitism and as therapeutic targets // Prostaglandins, Leukotrienes and Essential Fatty Acids. V. 93. P. 31. https://doi.org/10.1016/j.plefa.2014.08.003
- Frolova T.V., Izvekov E.I., Solovyev M.M., Izvekova G.I. 2019. Activity of proteolytic enzymes in the intestine of bream Abramis brama infected with cestodes Caryophyllaeus laticeps (Cestoda, Caryophyllidea) // Comp. Biochem. and Physiol. Part B. V. 235. P. 38. https://doi.org/10.1016/j.cbpb.2019.05.009
- Huang S.-Y., Yue D.-M., Hou J.-L. et al. 2019. Proteomic analysis of Fasciola gigantica excretory and secretory products (FgESPs) interacting with buffalo serum of different infection periods by shotgun LC-MS/MS // Parasitol. Res. V. 118. P. 453. https://doi.org/10.1007/s00436-018-6169-z
- Izvekova G.I., Frolova T.V., Izvekov E.I. 2017. Adsorption and inactivation of proteolytic enzymes by Triaenophorus nodulosus (Cestoda) // Helminthologia. V. 54(1). P. 3. https://doi.org/10.1515/helm-2017-0001
- Frolova T.V., Izvekova G.I. 2022. A Comparative Analysis of the Effect of Intestinal Cestodes in Different Fish Species on Proteolytic Enzyme Activity // J. Evol. Biochem. Physiol. V. 58. №. 3. P. 644. https://doi.org/10.1134/S0022093022030024
- Laemmli U.K. 1970. Cleavage of structural proteins during the assembly of the head of bacteriophage // Nature. V. 4(227). № 5259. P. 680.
- Molehin A.J., Gobert G.N., McManus D.P. 2012. Serine protease inhibitors of parasitic helminthes // Parasitology. V. 139. № 6. P. 681. https://doi.org/10.1017/S0031182011002435
- Oaks J., Knowles W., Cain G. 1977. Simple method of obtaining an enriched fraction of tegumental brush border from Hymenolepis diminuta // J. Parasitol. V. 63. № 3. P. 476. https://doi.org/10.2307/3280005
- Pakchotanon P., Molee P., Nuamtanong S. et al. 2016. Molecular characterization of serine protease inhibitor isoform 3, SmSPI, from Schistosoma mansoni // Parasitol. Res. V. 115. № 8. P. 2981. https://doi.org/10.1007/s00436-016-5053-y
- Ranganathan S., Garg G. 2009. Secretome: clues into pathogen infection and clinical applications // Genome Medicine. V. 1. P. 113. https://doi.org/10.1186/gm113
- Rawlings N.D., Tolle D.P., Barrett A.J. 2004. Evolutionary families of peptidase inhibitors // Biochem. J. V. 378. P. 705. https://doi.org/10.1042/BJ20031825
- Scholz T. 1999. Life cycles of species of Proteocephalus, parasites of fishes in the Palearctic Region: a review // J. Helminthol. V. 73. № 1. P. 1. https://doi.org/10.1017/S0022149X99000013
- Silphaduang U., Colorni A., Noga E.J. 2006. Evidence for widespread distribution of piscidin antimicrobial peptides in teleost fish // Diseases of aquatic organisms. V. 72(3). P. 241. https://doi.org/10.3354/dao072241
- Smith V.J., Desbois A.P., Dyrynda E.A. 2010. Conventional and unconventional antimicrobials from fish, marine invertebrates and micro-algae // Marine Drugs. V. 8. P. 1213. https://doi.org/10.3390/md8041213
- Solovyev M.M., Gisbert E. 2016. Influence of time, storage temperature and freeze/thaw cycles on the activity of digestive enzymes from gilthead sea bream (Sparus aurata) // Fish Physiol. and Biochem. V. 42. P. 1383. https://doi.org/10.1007/s10695-016-0226-2
- Tassanakajon A., Somboonwiwat K., Amparyup P. 2015. Sequence diversity and evolution of antimicrobial peptides in invertebrates // Devel. and Comp. Immunol. V. 48. P. 324. https://doi.org/10.1016/j.dci.2014.05.020
- Zasloff M. 2002. Antimicrobial peptides of multicellular organisms // Nature. V. 415(6870). P. 389. https://doi.org/10.1038/415389a
Supplementary files






