АУГМЕНТАЦИЯ ОБУЧАЮЩЕЙ ВЫБОРКИ ГИСТОЛОГИЧЕСКИХ ИЗОБРАЖЕНИЙ АДВЕРСАТИВНЫМИ АТАКАМИ
- Авторы: Локшин Н.Д.1, Хвостиков А.В.1, Крылов А.С.1
-
Учреждения:
- Московский государственный университет имени М.В. Ломоносова
- Выпуск: № 3 (2023)
- Страницы: 65-70
- Раздел: АНАЛИЗ ДАННЫХ
- URL: https://ogarev-online.ru/0132-3474/article/view/137628
- DOI: https://doi.org/10.31857/S0132347423030020
- EDN: https://elibrary.ru/DEEBYB
- ID: 137628
Цитировать
Полный текст
Аннотация
В работе рассматривается задача аугментации выборки гистологических изображений адверсативными атаками для повышения устойчивости нейросетевых классификаторов, обученных на аугментированной выборке, к адверсативным атакам. В последние годы нейросетевые методы стремительно развивались, новые нейросетевые методы показывают впечатляющие результаты, однако они подвергаются так называемым адверсативным атакам – то есть совершают неверные предсказания на входах, получающихся в результате наложения на изображение малого шума. Из-за этого надежность нейросетевых методов до сих пор является актуальной областью изучения. В этой статье мы представляем и сравниваем между собой различные методы аугментации обучающей выборки, позволяющие повысить устойчивость нейросетевых классификаторов гистологических изображений к адверсативным атакам. Для этого мы предлагаем добавлять в обучающую выборку адверсативные атаки, полученные несколькими актуальными методами.
Об авторах
Н. Д. Локшин
Московский государственный университет имени М.В. Ломоносова
Email: lockshin1999@mail.ru
Россия, 119991, ГСП-1, Москва, Ленинские горы, д. 1
А. В. Хвостиков
Московский государственный университет имени М.В. Ломоносова
Email: khvostikov@cs.msu.ru
Россия, 119991, ГСП-1, Москва, Ленинские горы, д. 1
А. С. Крылов
Московский государственный университет имени М.В. Ломоносова
Автор, ответственный за переписку.
Email: kryl@cs.msu.ru
Россия, 119991, ГСП-1, Москва, Ленинские горы, д. 1
Список литературы
- Goodfellow I.J., Shlens J., Szegedy Ch. Explaining and harnessing adversarial examples // arXiv preprint arXiv:1412.6572, 2014
- Su Jiawei, Vargas Danilo Vasconcellos, Sakurai Kouichi. One pixel attack for fooling deep neural networks // IEEE Transactions on Evolutionary Computation. 2019. № 5. C. 828–841.
- Carlini N., Wagner D. Towards evaluating the robustness of neural networks // IEEE Symposium on Security and Privacy (SP). 2017. P. 39–57.
- Moosavi-Dezfooli, Seyed-Mohsen, Fawzi Alhussein, Frossard Pascal. Deepfool: a simple and accurate method to fool deep neural networks // Proceedings of the IEEE Conference on Computer Vision and Pattern Recognition. 2016. P. 2574–2582.
- He Kaiming, Zhang Xiangyu, Ren Shaoqing, Sun Jian. Deep residual Learning for Image Recognition // Proceedings of the IEEE Conference on Computer Vision and Pattern Recognition. 2016. P. 770–778.
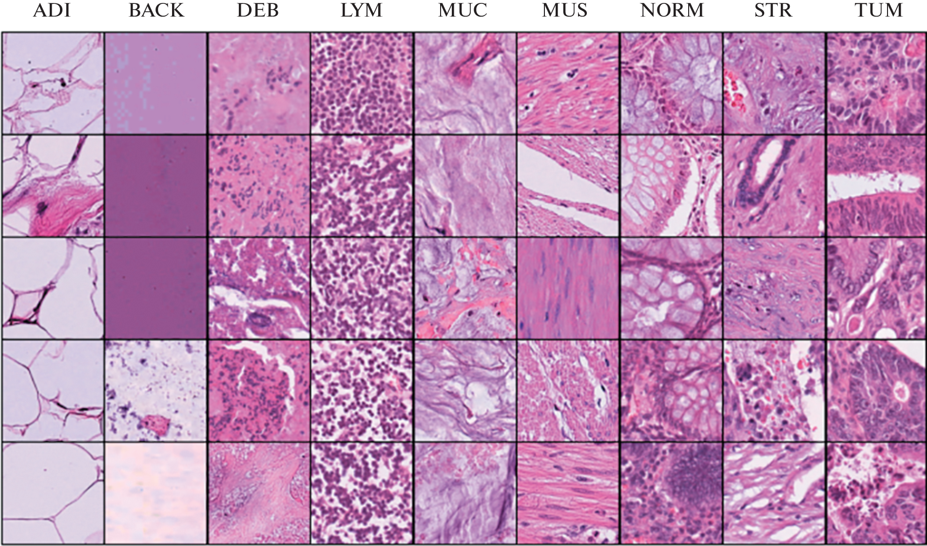
- Kather J.N., Halama N., Marx A. 100 000 histological images of human colorectal cancer and healthy tissue // Zenodo10, 2018.
- Liang Bin, Li Hongcheng, Su Miaoqiang, Li Xirong, Shi Wenchang, Wang Xiaofeng. Detecting adversarial image examples in deep neural networks with adaptive noise reduction // IEEE Transactions on Dependable and Secure Computing. 2018. № 1. P. 72–85.
- Papernot N., McDaniel P., Wu Xi, Jha Somesh, Swami Ananthram. Distillation as a defense to adversarial perturbations against deep neural networks // IEEE Symposium on Security and Privacy (SP), 2016. P. 582–597.
- Xiao Chaowei, Li Bo, Zhu Jun-Yan, He Warren, Liu Mingyan, Song Dawn. Generating adversarial examples with adversarial networks // arXiv preprint arXiv:1801.02610, 2018.
- Goodfellow I., Pouget-Abadie J., Mirza Mehdi, Xu Bing, Warde-Farley D., Ozair Sherjil, Courville A., Bengio Yoshua. Generative adversarial nets // Advances in Neural Information Processing Systems, 2014.
- Madry A., Makelov A., Schmidt L., Tsipras D., Vladu A. Towards deep learning models resistant to adversarial attacks // arXiv preprint arXiv:1706.06083, 2017.
- Karras Tero, Laine Samuli, Aittala Miika, Hellsten Janne, Lehtinen Jaakko, Aila Timo. Analyzing and improving the image quality of stylegan // Proceedings of the IEEE/CVF Conference on Computer Vision and Pattern Recognition. 2020. P. 8110–8119.
- Rony J., Hafemann L.G., Oliveira L.S., Ayed Ismail Ben, Sabourin R., Granger E. Decoupling direction and norm for efficient gradient-based l2 adversarial attacks and defenses // Proceedings of the IEEE/CVF Conference on Computer Vision and Pattern Recognition. 2019. P. 4322–4330.
- Khvostikov A., Krylov A., Mikhailov I., Malkov P., Danilova N. Tissue Type Recognition in Whole Slide Histological Images. 2021.
Дополнительные файлы




