Взаимодействие тетрасульфофталоцианина кобальта с дополнительным белком ORF8 SARS-CoV-2
- Авторы: Койфман О.И.1,2, Майзлиш В.Е.2, Лебедева Н.Ш.1, Юрина Е.С.1, Гусейнов С.С.1, Гурьев Е.Л.3, Губарев Ю.А.1
-
Учреждения:
- Институт химии растворов им. Г.А. Крестова РАН
- Ивановский государственный химико-технологический университет
- Нижегородский государственный университет им. Н.И. Лобачевского
- Выпуск: Том 49, № 10 (2023)
- Страницы: 659-664
- Раздел: Статьи
- URL: https://ogarev-online.ru/0132-344X/article/view/162310
- DOI: https://doi.org/10.31857/S0132344X23600042
- EDN: https://elibrary.ru/TCRLOA
- ID: 162310
Цитировать
Полный текст
Аннотация
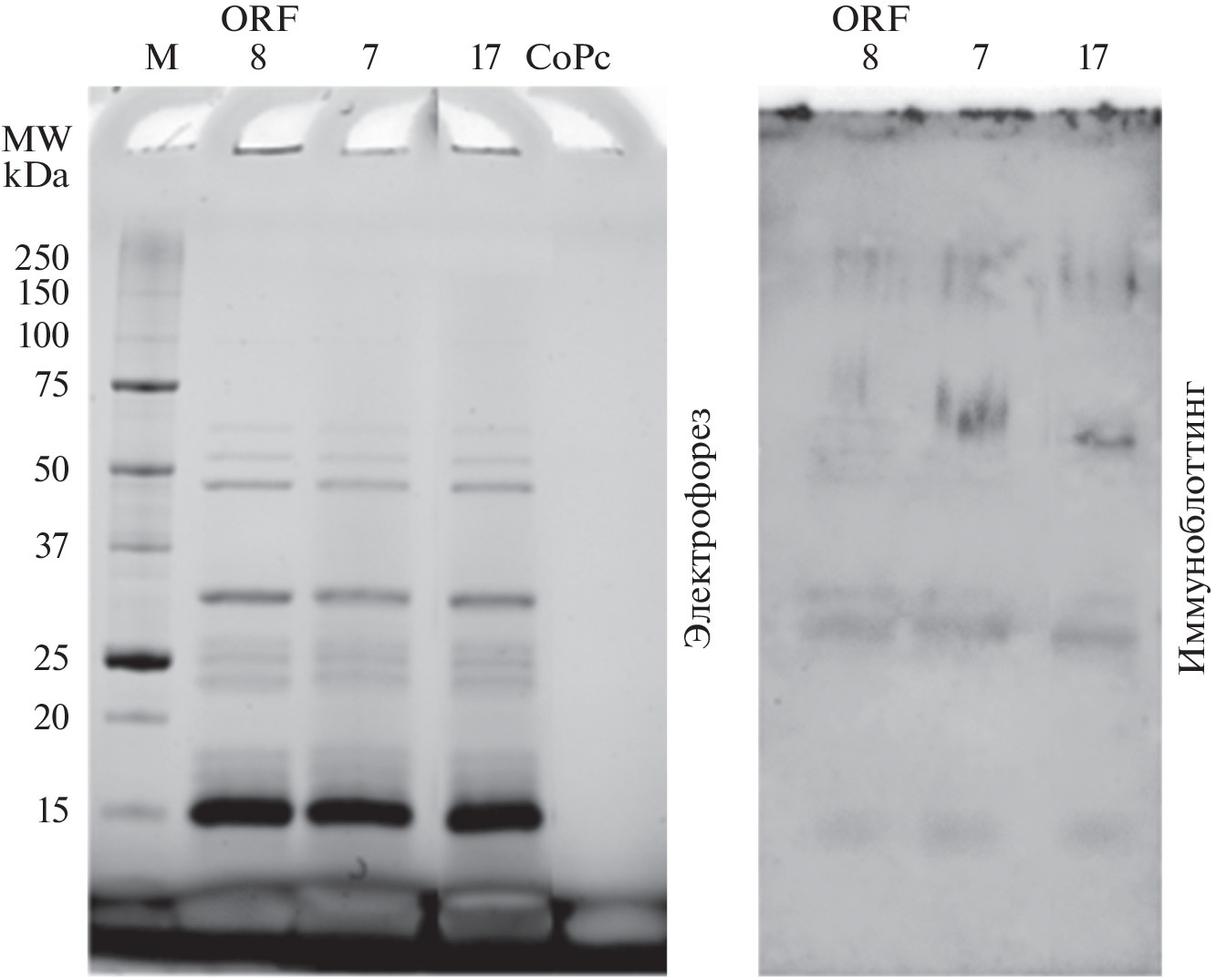
Методами спектроскопии и калориметрии изучено взаимодействие водорастворимого тетрасульфофталоцианина кобальта(II) (СоРс) с дополнительным белком ORF8 SARS-CoV-2. Установлено, что белок вызывает смещение агрегационного равновесия в растворах тетрасульфофталоцианина кобальта в сторону димеризации. Димер СоРс связывается с белком ORF8, вероятнее всего, со стороны большего β-листа, вызывая тушение флуоресценции. Константа аффинности белка к димеру СоРс составляет 1.5 × 105. Методом дифференциальной сканирующей калориметрии установлено, что ORF8 подвергается термоиндуцированной денатурации в температурном интервале 38–67°С. Плавление белка ORF8 осуществляется в две стадии частично накладывающиеся друг на друга. Комплексообразование ORF8 с СоРс приводит к термостабилизации белка, препятствуя второму этапу разворачивания белка. Денатурация комплекса протекает в интервале от 40 до 77°С в две температурно разделенные стадии. Методами гельэлектрофореза и иммуноблоттинга показано, что фотооблучение растворов комплекса белка ORF8 с СоРс видимым светом не приводит к фотоокислению белка. Показано, что водорастворимый сульфозамещенный фталоцианин кобальта может рассматриваться как потенциальный препарат ингибирующий дополнительный белок ORF8.
Ключевые слова
Об авторах
О. И. Койфман
Институт химии растворов им. Г.А. Крестова РАН; Ивановский государственный химико-технологический университет
Email: gua@isc-ras.ru
Россия, Иваново; Россия, Иваново
В. Е. Майзлиш
Ивановский государственный химико-технологический университет
Email: gua@isc-ras.ru
Россия, Иваново
Н. Ш. Лебедева
Институт химии растворов им. Г.А. Крестова РАН
Email: gua@isc-ras.ru
Россия, Иваново
Е. С. Юрина
Институт химии растворов им. Г.А. Крестова РАН
Email: gua@isc-ras.ru
Россия, Иваново
С. С. Гусейнов
Институт химии растворов им. Г.А. Крестова РАН
Email: gua@isc-ras.ru
Россия, Иваново
Е. Л. Гурьев
Нижегородский государственный университет им. Н.И. Лобачевского
Email: gua@isc-ras.ru
Россия, Нижний Новгород
Ю. А. Губарев
Институт химии растворов им. Г.А. Крестова РАН
Автор, ответственный за переписку.
Email: gua@isc-ras.ru
Россия, Иваново
Список литературы
- Garcia-Vidal C., Meira F., Cózar-Llistó A. et al. // Revista Española de Quimioterapia. 2021. V. 34. P. 136. https://doi.org/10.37201/req/018.2021
- Benfield T., Bodilsen J., Brieghel C. et al. // Clin. Infect. Dis. 2021. V. 73. P. 2031. https://doi.org/10.1093/cid/ciab536
- Koifman O., Ageeva T., Kuzmina N.S. // Macroheterocycles. 2022. V. 15. P. 207. https://doi.org/10.6060/mhc224870k
- Lebedeva N.S., Gubarev Y.A., Koifman M.O. et al. // Molecules. 2020. V. 25. P. 4368. https://doi.org/10.3390/molecules25194368
- Gubarev Y.A., Lebedeva N.S., Yurina E.S. et al. // J. Biomol. Struct. Dyn. 2022. P. 1. https://doi.org/10.1080/07391102.2022.2079562
- Lebedeva N.S., Gubarev Y.A., Mamardashvili G.M. et al. // Sci. Reports. 2021. V. 11. P. 1. https://doi.org/10.1038/s41598-021-99072-8
- Koifman O.I., Lebedeva N.S., Gubarev Y.A. et al. // Chem. Heterocycl. Compd. 2021. V. 57. P. 423. https://doi.org/10.1007/s10593-021-02920-8
- Koifman M.O., Malyasova A.S., Romanenko Y.V. et al. // Spectrochim. Acta. A. 2022. V. 279. P. 121403. https://doi.org/https://doi.org/10.1016/j.saa.2022.121403
- Koifman O.I., Ageeva T.A., Beletskaya I.P. et al. // Macroheterocycles. 2020. V. 13. https://doi.org/10.6060/mhc200814k
- Weber J.H., Busch D.H. // Inorg. Chem. 1965. V. 4. P. 469. https://doi.org/10.1021/ic50026a007
- Шапошников Г., Кулинич В., Майзлиш В. Модифицированные фталоцианины и их структурные аналоги. М.: Красанд, 2012.
- Майзлиш В., Мочалова Н., Снегирева Ф. и др. // Изв. вузов. Хим. и хим. технол. 1986. Т. 29. P. 3.
- Trott O., Olson A.J. // J. Comput. Chem. 2010. V. 31. P. 455. https://doi.org/10.1002/jcc.21334
- Zhang C., Zheng W., Huang X. et al. // J. Proteome Res. 2020. V. 19. P. 1351. https://doi.org/10.1021/acs.jproteome.0c00129
- Zheng W., Zhang C., Li Y. et al. // Cell Reports Methods. 2021. P. 100014. https://doi.org/10.1016/j.crmeth.2021.100014
- Neese F. // Wiley Interdiscip. Rev. Comput. Mol. Sci. 2022. V. 12. Art. e1606. https://doi.org/10.1002/wcms.1606
- Baker N.A., Sept D., Joseph S. et al. // Proc. Natl. Acad. Sci. U.S.A. 2001. V. 98. P. 10037. https://doi.org/10.1073/pnas.181342398
- Zhang Y., Chen Y., Li Y. et al. // Proc. Natl. Acad. Sci. U.S.A. 2021. V. 118. Art. e2024202118. https://doi.org/10.1073/pnas.2024202118
- Li J.-Y., Liao C.-H., Wang Q. et al. // Virus Res. 2020. V. 286. P. 198074. https://doi.org/10.1016/j.virusres.2020.198074
- Lebedeva N.S., Yurina E.S., Gubarev Y.A. et al. // J. Photochem. Photobiol. A. 2018. V. 353. P. 299. https://doi.org/10.1016/j.jphotochem.2017.11.037
- Lebedeva N.S., Popova T., Mal’kova E. et al. // Russ. J. Phys. Chem. A. 2013. V. 87. P. 2030. https://doi.org/10.1134/S0036024413120133
- Flower T.G., Buffalo C.Z., Hooy R.M. et al. // Proc. Natl. Acad. Sci. U.S.A. 2021. V. 118. Art. e2021785118. https://doi.org/10.1073/pnas.2021785118
Дополнительные файлы







