Bicompatible Metal-Organic Framework for Functional Packing of Food Products
- Authors: Pak A.M.1,2, Zakharchenko E.N.1,2, Maiorova E.A.2, Novikov V.V.1,2,3
-
Affiliations:
- Nesmeyanov Institute of Organoelement Compounds, Russian Academy of Sciences, Moscow, Russia
- Moscow Institute of Physics and Technology (National Research University), Moscow, Russia
- Bauman Moscow State Technical University, Moscow, Russia
- Issue: Vol 49, No 2 (2023)
- Pages: 122-128
- Section: Articles
- URL: https://ogarev-online.ru/0132-344X/article/view/137264
- DOI: https://doi.org/10.31857/S0132344X22700141
- EDN: https://elibrary.ru/BNYFOB
- ID: 137264
Cite item
Full Text
Abstract
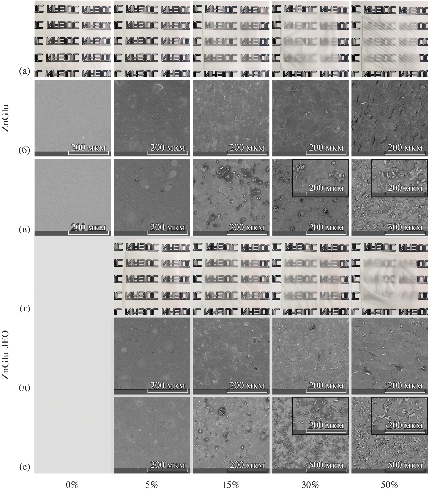
Biocompatible metal-organic framework [Zn4(GA)4(H2O)4]·4H2O (H2GA is glutamic acid) is tested as a “container” with bioactive hydrophobic components of jasmine essential oil for the preparation of functional composite materials based on a hydrocolloid matrix containing kappa-carrageenan and hydroxypropyl methylcellulose. The prepared composite film coatings exhibit high antimicrobial and antioxidant activities in the model experiment with a long-term storage of fruits, which indicates broad prospects for the practical use of these materials as an active packing of food products.
About the authors
A. M. Pak
Nesmeyanov Institute of Organoelement Compounds, Russian Academy of Sciences, Moscow, Russia;Moscow Institute of Physics and Technology (National Research University), Moscow, Russia
Email: novikov84@ineos.ac.ru
Россия, Москва; Россия, Москва
E. N. Zakharchenko
Nesmeyanov Institute of Organoelement Compounds, Russian Academy of Sciences, Moscow, Russia;Moscow Institute of Physics and Technology (National Research University), Moscow, Russia
Email: novikov84@ineos.ac.ru
Россия, Москва; Россия, Москва
E. A. Maiorova
Moscow Institute of Physics and Technology (National Research University), Moscow, Russia
Email: novikov84@ineos.ac.ru
Россия, Москва
V. V. Novikov
Nesmeyanov Institute of Organoelement Compounds, Russian Academy of Sciences, Moscow, Russia;Moscow Institute of Physics and Technology (National Research University), Moscow, Russia;
Bauman Moscow State Technical University, Moscow, Russia
Author for correspondence.
Email: novikov84@ineos.ac.ru
Россия, Москва; Россия, Москва; Россия, Москва
References
- Ozdemir M., Floros J.D. // Crit. Rev. Food Sci. 2004. V. 44. № 3. P. 185.
- Yildirim S., Röcker B., Pettersen M.K. et al. // Compr. Rev. Food Sci. Food Saf. 2018. V. 17. № 1. P. 165.
- Siracusa V., Rocculi P., Romani S. et al. // Trends Food Sci. Technol. 2008. V. 19. № 12. P. 634643.
- Dickinson E. // Food Hydrocoll. 2009. V. 23. № 6. P. 1473.
- Saha D., Bhattacharya S. // J. Food Sci. Technol. 2010. V. 47. № 6. P. 587.
- Krempel M., Griffin K., Khouryieh H. // Preservatives and Preservation Approaches in Beverages / Ed. Grumezescu A.M., Holban A.M. Academic Press, 2019. P. 427465.
- Vries J. de // Conf. “CoGums and Stabilisers for the Food Industry – 12”. 2004. P. 2331.
- Jiménez A., Requena R., Vargas M. et al. // Role Mater. Sci. Food Bioengineering / Ed. Grumezescu A.M., Holban A.M. Academic Press, 2018. P. 263299.
- Carpena M., Nuñez-Estevez B., Soria-Lopez A. et al. // Resources. 2021. V. 10. № 1. P. 7.
- Sharma S., Barkauskaite S., Jaiswal A.K. et al. // Food Chem. 2021. V. 343. P. 128403.
- Kykkidou S., Giatrakou V., Papavergou A. et al. // Food Chem. 2009. V. 115. № 1. P. 169.
- Ayala-Zavala J.F., Silva-Espinoza B.A., Cruz-Valenzuela M.R. et al. // Flavour Fragr. J. 2013. V. 28. № 1. P. 39.
- Chouhan S., Sharma K., Guleria S. // Medicines. 2017. V. 4. № 3. P. 58.
- Torres-Martínez R., García-Rodríguez Y.M., Ríos-Chávez P. et al. // Phcog. Mag. 2017. V. 13. Suppl. 4. P. S875.
- Angelini P., Tirillini B., Akhtar M.S. et al. // Anticancer Plants: Natural Products and Biotechnological Implements. V. 2 / Ed. Akhtar M.S., Swamy M.K. Singapore: Springer, 2018. P. 207.
- Sánchez-González L., Chiralt A., González-Martínez C. et al. // J. Food Eng. 2011. V. 105. № 2. P. 246.
- Perdones Á., Vargas M., Atarés L. et al. // Food Hydrocoll. 2014. V. 36. P. 256.
- Acosta S., Chiralt A., Santamarina P. et al. // Food Hydrocoll. 2016. V. 61. P. 233.
- Zhao J., Wei F., Xu W. et al. // Appl. Surf. Sci. 2020. V. 510. P. 145418.
- Eddaoudi M., Li H., Yaghi O.M. // J. Am. Chem. Soc., 2000. V. 122. № 7. P. 1391.
- Huang L., Wang H., Chen J. et al. // Microporous Mesoporous Mater. 2003. V. 58. № 2. P. 105.
- McKinlay A.C., Morris R.E., Horcajada P. et al. // Angew. Chem. Int. Ed. 2010. V. 49. № 36. P. 6260.
- Li J.-R., Sculley J., Zhou H.-C. // Chem. Rev. 2012. V. 112. № 2. P. 869.
- Dybtsev D.N., Nuzhdin A.L., Chun H. et al. // Angew. Chem. 2006. V. 118. № 6. P. 930.
- Horcajada P., Chalati T., Serre C. et al. // Nat. Mater. 2010. V. 9. № 2. P. 172.
- Wang H.-S. // Coord. Chem. Rev. 2017. V. 349. P. 139155.
- Horcajada P., Gref R., Baati T. et al. // Chem. Rev. 2012. V. 112. № 2. P. 1232.
- Tibbetts I., Kostakis G.E. // Molecules. 2020. V. 25. № 6. P. 1291.
- Miller S.R., Heurtaux D., Baati T. et al. // Chem. Commun. 2010. V. 46. № 25. P. 4526.
- Schneemann A., Bon V., Schwedler I. et al. // Chem. Soc. Rev. 2014. V. 43. № 16. P. 6062.
- Lin W., Cui Y., Yang Y. et al. // Dalton Trans. 2018. V. 47. № 44. P. 15882.
- Noorian S.A., Hemmatinejad N., Navarro J.A.R. // J. Inorg. Biochem. 2019. V. 201. P. 110818.
- Kathalikkattil A.C., Roshan R., Tharun J. et al. // Chem. Commun. 2016. V. 52. № 2. P. 280.
- McHugh T.H., Avena-Bustillos R., Krochta J.M. // J. Food Sci. 1993. V. 58. № 4. P. 899.
- Pak A.M., Zakharchenko E.N., Korlyukov A.A. et al. // Russ. J. Coord. Chem. 2022. V. 48. № 4. P. 195.
- Cherrington R., Liang J. Materials and Deposition Processes for Multifunctionality. Oxford: William Andrew Publishing, 2016.
- Rhein-Knudsen N., Ale M.T., Meyer A.S. // Mar. Drugs. 2015. V. 13. № 6. P. 3340.
- Riduan S.N., Zhang Y. // Chem. Asian J. 2021. V. 16. № 18. P. 2588.
Supplementary files






