Фоторасщепляемые направляющие РНК для фоторегулируемой системы CRISPR/Cas9
- Авторы: Ахметова Е.А.1, Вохтанцев И.П.1,2, Мещанинова М.И.1, Воробьева М.А.1, Жарков Д.О.1,2, Новопашина Д.С.1,2
-
Учреждения:
- Институт химической биологии и фундаментальной медицины СО РАН
- Новосибирский государственный университет
- Выпуск: Том 50, № 4 (2024)
- Страницы: 556-567
- Раздел: Статьи
- URL: https://ogarev-online.ru/0132-3423/article/view/267350
- DOI: https://doi.org/10.31857/S0132342324040147
- EDN: https://elibrary.ru/MWHLXY
- ID: 267350
Цитировать
Полный текст
Аннотация
Создание систем редактирования генома на основе CRISPR/Cas с повышенной эффективностью и специфичностью, а также возможностью регуляции действия путем облучения светом представляет собой актуальную задачу. Перспективный способ решения этой задачи – модификация компонентов систем CRISPR/Cas, в частности направляющих РНК, путем введения фоторасщепляемых линкеров. Мы разработали подход к получению фоторасщепляемых направляющих sgРНК (single guide RNA) для системы CRISPR/Cas9, содержащих линкеры на основе 1-(2-нитрофенил)-1,2-этандиола. При облучении УФ-светом такие направляющие РНК разрушаются, и происходит “выключение” системы CRISPR/Cas9. Нами получено три варианта фотомодифицированных sgРНК с различным расположением фотолинкера. Показано, что sgРНК, в которой фотолинкер расположен в области связывания с белком Cas9 и формирования шпильки, способна эффективно направлять белок Cas9 для расщепления ДНК-мишени до облучения УФ-светом и утрачивает свою активность после облучения. Выбраны условия для контролируемого расщепления 40% модельной ДНК-мишени. Разработанный подход обеспечивает специфическую инактивацию системы геномного редактирования CRISPR/Cas9 в заданный момент времени в определенном месте. Фоторегуляция геномного редактирования позволит не только снизить нежелательные нецелевые эффекты, но также может стать основой для лечения ряда генетических заболеваний.
Полный текст
Сокращения: CRISPR – регулярно расположенные кластеры коротких палиндромных повторов (clustered regularly interspaced short palindromic repeats); Cas9 – CRISPR-ассоциированный белок (CRISPR associated protein 9); crРНК – CRISPR РНК; PAM – мотив, прилегающий к протоспейсеру (protospacer adjacent motif); PL – фоторасщепляемый линкер на основе 1-(2-нитрофенил)-1,2-этандиола; sgРНК – единая направляющая РНК (single guide RNA); siРНК – малые интерферирующие РНК; tracrРНК – транс-активирующая crРНК (trans-activating crRNA).
ВВЕДЕНИЕ
CRISPR-системы (Clustered Regularly Interspaced Short Palindromic Repeats) – кластеризованные, регулярно распределенные короткие палиндромные повторы, разделенные уникальными последовательностями (спейсерами), которые заимствуются из чужеродных генетических фрагментов (бактериофагов) и обеспечивают противовирусную защиту бактерий [1, 2]. Вблизи этих повторов расположены белок-кодирующие CRISPR-ассоциированные гены (Cas). В настоящее время для редактирования генома широко используется система CRISPR/Cas9, которая состоит из белка Cas9 Streptococcus pyogenes и двух РНК: crРНК, узнающей чужеродную ДНК по принципу комплементарности, и tracrРНК, связывающейся с crРНК и белком Cas9. Вместо пары crРНК и tracrРНК можно использовать специально сконструированную молекулу единой направляющей РНК (sgРНК), содержащую фрагмент, обеспечивающий узнавание ДНК, и фрагмент, обеспечивающий связывание с белком Cas9 [3–5]. В процессе узнавания комплекс РНК и белка Cas9 находит в двуцепочечной ДНК-мишени последовательности PAM (Protospacer Adjacent Motif). Затем ДНК вблизи PAM частично раскручивается, и образуется дуплекс между crРНК и ДНК-мишенью, после чего вступают в действие нуклеазные домены белка Сas9, которые разрезают обе цепи ДНК.
Известно множество примеров использования синтетических направляющих РНК в составе системы CRISPR/Cas9 для редактирования генома [6]. Для контролируемого включения системы геномного редактирования предложено использовать фотоблокированные РНК [7–10].
Важная для практического применения задача – создание систем редактирования генома на основе CRISPR/Cas, которые обладали бы повышенной эффективностью и специфичностью действия одновременно с дополнительной возможностью регуляции активности на уровне направляющей РНК путем облучения светом. Перспективный способ решения этой задачи – модификация компонентов систем CRISPR/Cas, в частности направляющих РНК [9, 10].
Описанные в литературе фоторегулируемые системы активируются путем облучения, но их невозможно инактивировать при необходимости в определенный момент времени. При этом задача остановки системы CRISPR/Cas9 внутри клеток весьма актуальна для снижения нецелевого редактирования, а также для разработки средств генной терапии заболеваний, вызванных увеличением числа копий определенных генов, когда требуется отредактировать только часть геномных локусов. Для решения этой проблемы предложено несколько подходов, основанных на использовании белков Cas9, способных к регулируемой димеризации [11, 12], или на индуцируемой деструкции самой кодирующей последовательности Cas9 [13, 14].
В данной работе мы предлагаем использовать фоторасщепляемые направляющие РНК, которые позволяли бы инактивировать систему геномного редактирования CRISPR/Cas9 при облучении светом ближнего УФ-диапазона. Предложенный подход расширяет арсенал направляющих РНК, способных инактивировать систему геномного редактирования CRISPR/Cas9 и дает возможность специфической инактивации системы геномного редактирования CRISPR/Cas9 в определенный момент времени в живых клетках.
РЕЗУЛЬТАТЫ И ОБСУЖДЕНИЕ
Несомненное преимущество использования фотолабильных соединений – неинвазивность методов регуляции биологических процессов, а также высокое пространственно-временное разрешение экспериментов с их участием. Привлекательность использования таких соединений подтверждена многочисленными исследованиями, в которых различные фотолабильные группы включены в конструкции на основе олигонуклеотидов.
Для получения фоторасщепляемых направляющих sgРНК нами был разработан подход, основанный на введении в состав РНК фоторасщепляемых линкеров на основе 1-(2-нитрофенил)-1,2-этандиола (PL) в определенные положения олигонуклеотидной цепи. Для этого нами был синтезирован фосфитамид 1-(2-нитрофенил)-1,2-этандиола, как описано ранее [15]. Твердофазным фосфитамидным методом были синтезированы 102-звенная sgРНК и три ее фотомодифицированных аналога (sgRNA-PL1, sgRNA-PL2, sgRNA-PL3), содержащие фотолинкер в районе протоспейсера, связывающей петли и шпилек в структуре sgРНК. Протоколы синтеза олигорибонуклеотидов были оптимизированы с учетом их протяженности. Для повышения выходов целевых соединений при синтезе полноразмерных sgРНК на отечественном синтезаторе ASM-800 в качестве активатора на стадии конденсации использовали модифицированный тетразол, а именно 5-[3,5бис(трифторметил)фенил]-1H-тетразола (Активатор 42ТМ), для кэпирования применяли пропионовый ангидрид. Время конденсации и объемы растворов фосфитамида и конденсирующего реагента увеличивали с ростом олигонуклеотидной цепи. Для введения фотолинкера использовали более концентрированный раствор фосфитамида по сравнению со стандартными рибонуклеотидами, а время конденсации увеличивали до 30 мин. Время постсинтетических обработок при деблокировании было увеличено на 25% по сравнению со стандартным протоколом. Время обработки 40%-ным раствором метиламина увеличивали до 20 мин, а удаление 2'-трет-бутилдиметилсилильных групп проводили в течение 2 ч вместо 1.5 ч при стандартном деблокировании. Выделение sgРНК осуществляли путем препаративного электрофореза в 12%-ном денатурирующем ПААГ. Все эти изменения позволили успешно получить протяженные 102-звенные олигорибонуклеотиды и выделить целевые sgРНК в количествах, достаточных для проведения экспериментов.
Таблица 1. Фотолабильные направляющие sgРНК, их немодифицированные аналоги и фрагменты
sgРНК | Последовательность |
sgRNA | 5'-GGAUAACUCAAUUUGUAAAAAAGUUUUAGAGCUAGAAAUAGCAAGUUAAAAUAAGGCUAGUCCGUUAUCAACUU- GAAAAAGUGGCACCGAGUCGGUGCUUUU-3' |
crRNA | 5'-AUAACUCAAUUUGUAAAAAAGUUUUAGAGCUAUGCUGUUUUG-3' |
tracrRNA | 5'- AACAGCAUAGCAAGUUAAAAUAAGGCUAGUCCGUUAUCAACUUGAAAAAGUGGCACCGAGUCGGUGCUUUUUUU-3' |
sgRNA-PL1 | 5'-GGAUAACUCAAUUUGU-PL-AAAAAAGUUUUAGAGCUAGAAAUAGCAAGUUAAAAUAAGGCUAGUCCGUU- AUCAACUUGAAAAAGUGGCACCGAGUCGGUGCUUUU-3' |
sgRNA-PL2 | 5'-GGAUAACUCAAUUUGUAAAAAAGUUUUAGAGCUAGAAAUAGCA- PL-AGUUAAAAUAAGGCUAGUCCGUUAUCAACUUGAAAAAGUGGCACCGAGUCGGUGCUUUU-3' |
sgRNA-PL3 | 5'-GGAUAACUCAAUUUGUAAAAAAGUUUUAGAGCUAGAAAUAGCAAGUUAAAAUAAGGCUAGUCCGUUAUC- PL-AACUUGAAAAAGUGGCACCGAGUCGGUGCUUUU-3' |
5ʹfr_sgRNA-PL2 | 5'-GGAUAACUCAAUUUGUAAAAAAGUUUUAGAGCUAGAAAUAGCA-3' |
3ʹfr_sgRNA-PL2 | 5'-AGUUAAAAUAAGGCUAGUCCGUUAUCAACUUGAAAAAGUGGCACCGAGUCGGUGCUUUU-3' |
5ʹfr_sgRNA-PL3 | 5'-GGAUAACUCAAUUUGUAAAAAAGUUUUAGAGCUAGAAAUAGCAAGUUAAAAUAAGGCUAGUCCGUUAUC-3' |
Примечание: подчеркнута нуклеотидная последовательность, участвующая в образовании дуплекса с ДНК-мишенью. PL – фоторасщепляемый линкер на основе 1-(2-нитрофенил)-1,2-этандиола.
Описанным выше способом были получены три варианта фотомодифицированных sgРНК (sgRNA-PL1, sgRNA-PL2, sgRNA-PL3) (табл. 1). Дополнительно для сравнения были синтезированы олигорибонуклеотиды sgRNA-PL2 (5ʹfr_sgRNA-PL2 и 3ʹfr_sgRNA-PL2) и sgRNA-PL3 (5ʹfr_sgRNA-PL3), соответствующие фрагментам РНК, которые должны формироваться после облучения sgRNA-PL2 и sgRNA-PL3 соответственно. В качестве контрольных были синтезированы немодифицированная sgРНК, а также пара направляющих РНК crРНК и tracrРНК. Последовательности полученных олигорибонуклеотидов представлены в табл. 1.
На первом этапе проводили сравнительное изучение способности фотомодифицированных и контрольных немодифицированных направляющих РНК индуцировать расщепление плазмидной ДНК-мишени pBluescriptII SK(−) белком Cas9. Плазмида pBS2SKM содержала протоспейсерную последовательность и PAM (5'-TGG-3'). В ходе эксперимента фотолабильные направляющие РНК sgRNA-PL1, sgRNA-PL2 и sgRNA-PL3 предварительно облучали УФ-светом (365 нм) в течение 30 мин. Длительность облучения подбирали так, чтобы происходило количественное расщепление PL в составе РНК. Затем использовали их в реакции направленного расщепления ДНК нуклеазой Cas9, при этом для сравнения исследовали также расщепление ДНК-мишени в присутствии необлученных фотолабильных направляющих РНК (рис. 1).
Рис. 1. Расщепление плазмиды pBluescriptII SK(−) системой CRISPR/Cas9. (а) – Схематическое изображение комплекса ДНК-мишени и немодифицированной sgРНК с белком Cas9 и последовательности фотолабильных направляющих РНК sgRNA-PL1, sgRNA-PL2 и sgRNA-PL3; (б) – электрофоретический анализ продуктов расщепления в 1%-ном агарозном геле. М – маркер длины ДНК, К⁻ – исходная кольцевая суперскрученная плазмидная ДНК-мишень, содержащая незначительное количество ДНК в релаксированной форме; К⁺ – продукты расщепления ДНК-мишени в присутствии немодифицированной химически синтезированной 102-звенной sgRNA; остальные дорожки – анализ продуктов расщепления ДНК-мишени в присутствии облученных (+UV) и необлученных (–UV) фотолабильных направляющих РНК (sgRNA-PL1, sgRNA-PL2 или sgRNA-PL3). Время реакции 60 мин, температура 37°C. Условия проведения реакции см. в “Эксперим. части”.
По результатам электрофоретического анализа можно заключить, что введение фотолинкера в положение 1 (sgRNA-PL1) значительно уменьшает эффективность расщепления дцДНК по сравнению с контрольной немодифицированной sgРНК, что, вероятно, связано с нарушением структуры гетеродуплекса между sgРНК и ДНК-мишенью (рис. 2). При введении фотолинкера в положение 2 (sgRNA-PL2) эффективность расщепления остается достаточно высокой, а при локализации в положении 3 (sgRNA-PL3) практически не отличается от контроля. Облучение существенно снижает эффективность расщепления для sgRNA-PL1 и sgRNA-PL2, но практически не изменяет картину расщепления для sgRNA-PL3. Этот факт может свидетельствовать о том, что соответствующий участок 3'-концевой области sgРНК не играет существенную роль в расщеплении ДНК-мишени в данных условиях.
Рис. 2. Анализ эффективности расщепления дцДНК-мишени системой CRISPR/Cas9, содержащей фотолабильные направляющие РНК, до и после облучения. Условия расщепления см. в “Эксперим. части”. Данные получены усреднением результатов не менее трех независимых экспериментов.
Таким образом, среди исследованных вариантов расположения фотолинкера в составе направляющей РНК наиболее выгодным является положение 2, которое обеспечивает эффективное расщепление до облучения и значительное снижение степени расщепления после облучения. Поэтому для дальнейших исследований была выбрана направляющая РНК sgRNA-PL2.
С целью проверки гипотезы о сниженной способности sgRNA-PL2 направлять нуклеазу Cas9 на ДНК-мишень после облучения проводили исследование расщепления мишени в присутствии олигорибонуклеотидов 5ʹfr_sgRNA-PL2 и 3ʹfr_sgRNA-PL2 (43 и 59 нт соответственно), которые соответствуют фрагментам молекулы sgRNA-PL2, теоретически образующимся в результате расщепления фотолинкера. Кроме того, для проверки предположения о незначительной роли 3ʹ-концевой области sgRNA-PL3 для функционирования системы CRISPR/Cas9 in vitro мы исследовали способность олигонуклеотида 5ʹfr_sgRNA-PL3, соответствующего теоретически образующемуся при облучении 5ʹ-фрагменту sgRNA-PL3, индуцировать Cas9-опосредованное расщепление ДНК.
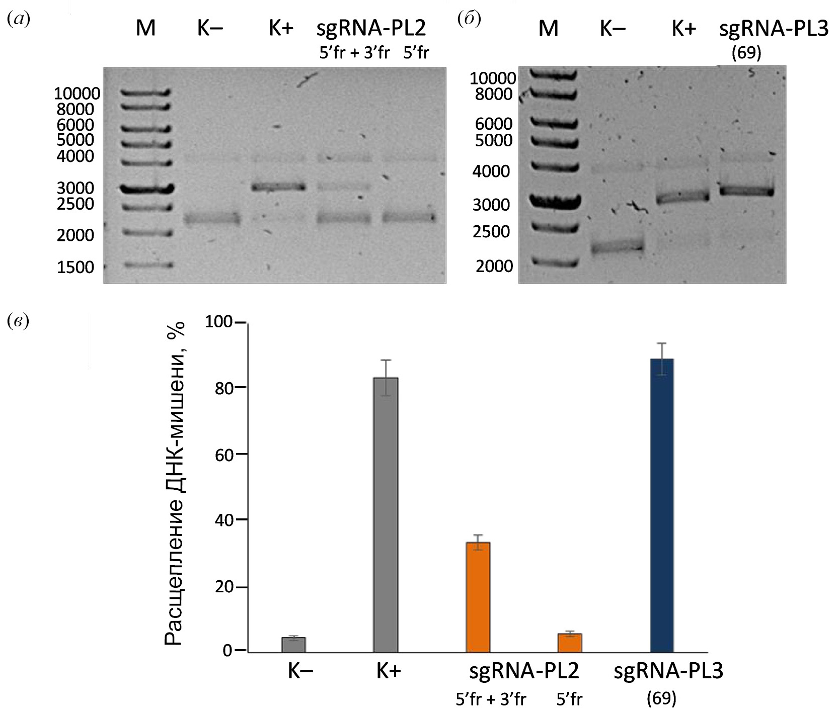
Рис. 3. Электрофоретический анализ продуктов расщепления плазмиды pBluescriptII SK(−) в присутствии фрагментов sgРНК в 1%-ном агарозном геле. М – маркер длины ДНК, К⁻ – исходная кольцевая суперскрученная плазмидная ДНК-мишень, содержащая незначительное количество ДНК в релаксированной форме; K+ – продукт расщепления ДНК-мишени в присутствии немодифицированной химически синтезированной sgРНК; (а) – sgRNA-PL2 – продукты расщепления ДНК-мишени в присутствии 5ʹfr_sgRNA-PL2 и 3ʹfr_sgRNA-PL2 (5ʹfr +3ʹfr) или только 5ʹfr_sgRNA-PL2 (5ʹfr); (б) – sgRNA-PL3 (69) – продукты расщепления ДНК-мишени в присутствии 69-звенного 5ʹ-фрагмента sgRNA-PL3; (в) – анализ эффективности расщепления плазмиды нуклеазой Cas9 в присутствии фрагментов sgРНК. Условия расщепления см. в “Эксперим. части”. Данные получены усреднением результатов не менее двух независимых экспериментов.
Электрофоретический анализ продуктов расщепления плазмиды в агарозном геле подтвердил первоначальные предположения. Было показано, что в присутствии химически синтезированных фрагментов фоторасщепляемой направляющей РНК sgRNA-PL2 эффективность расщепления ДНК нуклеазой Cas9 значительно ниже по сравнению с немодифицированной sgРНК (рис. 3а, 3в). При этом эффективность расщепления ДНК в присутствии 5ʹ-концевого фрагмента sgRNA-PL3 белком Cas9 не уступает эффективности расщепления в присутствии немодифицированной sgРНК в использованных условиях (рис. 3б, 3в).
Полученные результаты показывают, что выбранное положение для введения фотолинкера в направляющей РНК sgRNA-PL2 в петле между верхним и нижним стеблем в области связывания с белком Cas9 является критическим для эффективной работы системы CRISPR/Cas9 и позволяет эффективно выключать систему облучением. Необходимо также отметить, что укороченная до 69 нт направляющая РНК достаточно эффективна для расщепления ДНК-мишени системой CRISPR/Cas9. Данные наших экспериментов по активности систем CRISPR/Cas9, содержащих укороченные sgРНК, согласуются с ранее опубликованными выводами других исследовательских групп о минимальной длине химерной направляющей РНК для нуклеазы Cas9 [16, 17]. Так, в работе Nishimasu et al. [16] 68-звенная sgРНК в составе комплекса с нуклеазой Cas9 была способна направлять расщепление ДНК-мишени.
На следующем этапе проводили сравнение кинетики расщепления ДНК-мишени белком Cas9 в присутствии различных вариантов направляющих РНК. Избыток эффекторного комплекса по отношению к плазмидной ДНК-мишени уменьшали с 50- до 15-кратного по сравнению с предыдущим исследованием эффективности расщепления. Кинетические кривые расщепления плазмиды эффекторным комплексом с немодифицированными направляющими РНК, в том числе с укороченным 69-нуклеотидным вариантом, представлены на рис. 4.
Рис. 4. Кинетические кривые расщепления ДНК-мишени комплексами Cas9 с направляющими немодифицированными РНК, полученные путем обработки данных электрофоретического анализа реакционных смесей в агарозном геле с визуализацией бромистым этидием. Условия расщепления см. в “Эксперим. части”. Данные получены усреднением результатов не менее трех независимых экспериментов.
Укороченная 69-звенная sgРНК спустя 40 мин реакции позволила достичь 90%-ного расщепления мишени, как и пара направляющих crРНК⁻ tracrРНК. Однако при этом константа скорости расщепления для 69-звенного фрагмента оказалась значительно ниже (ksgРНК(69) = 0.09 ± 0.01 мин⁻¹, kcrРНК:tracrРНК = 1.47 ± 0.02 мин⁻¹, ksgРНК(102) = = 0.57 ± 0.01 мин⁻¹). Возможно, это связано с тем, что при использовании укороченной sgРНК доля продуктивного комплекса Cas9/РНК сравнима с долей продуктивного комплекса в присутствии полноразмерных направляющих РНК, но скорость расщепления значительно снижается из-за отсутствия дополнительных взаимодействий белка с 3'-концевыми шпильками tracrРНК или sgРНК.
С учетом описанных выше результатов по расщеплению плазмидной ДНК белком Cas9 в присутствии фоточувствительных направляющих РНК, для исследования кинетики расщепления ДНК-мишени была выбрана sgRNA-PL2. Полученные для нее кинетические кривые расщепления плазмидной ДНК представлены на рис. 5.
Рис. 5. Кинетические кривые расщепления ДНК-мишени комплексом белка Cas9 с sgRNA-PL2. 1 – контрольная РНК (sgRNA), 2 – фоточувствительная РНК (sgRNA-PL2), 3 – дезактивированная фоточувствительная РНК в комплексе с Cas9, 4 – остановка реакции УФ-облучением (30 мин) с 5-й минуты от начала реакции, 5 – остановка реакции УФ-облучением (5 мин) с 5-й минуты от начала реакции, 6 – дезактивированная вне комплекса с Cas9 фоточувствительная РНК. Условия расщепления см. в “Эксперим. части”. Данные получены усреднением результатов не менее трех независимых экспериментов.
Наиболее быстро и эффективно происходит расщепление плазмиды нуклеазой Cas9 в присутствии немодифицированной sgРНК. Действие системы с использованием sgRNA_PL2 удалось остановить так, чтобы конечная доля расщепленной плазмиды составляла не более 40% (рис. 5, кривые 4 и 5). При этом облучение реакционной смеси проводили с 20-й минуты от начала реакции вследствие более медленного протекания реакции расщепления плазмиды. Отметим, что увеличение продолжительности облучения с 5 до 30 мин не приводило к дополнительному снижению скорости и эффективности расщепления – ход соответствующих кривых 4 и 5 на рис. 5 практически совпадает. Интересно, что облучение sgРНК вне комплекса с белком Cas9 позволяет более эффективно ингибировать расщепление ДНК-мишени нуклеазой Cas9, т.к. приводит к полному расщеплению фотомодифицированной sgРНК (рис. 5, кривая 6), в отличие от облучения в составе комплекса (рис. 5, кривая 3). Этот эффект, вероятно, связан с частичным экранированием РНК внутри комплекса от УФ-излучения.
Таким образом, полученные результаты о кинетике расщепления плазмиды белком Cas9 в составе эффекторного комплекса с направляющими фоточувствительными РНК подтверждают возможность выключения системы CRISPR/Cas9 путем облучения в определенный момент времени.
ЭКСПЕРИМЕНТАЛЬНАЯ ЧАСТЬ
В работе использовали следующие реактивы: N,N'-дисукцинимидилкарбонат, N-метилимидазол, пропионовый ангидрид (Acros Organics, США), 2-цианоэтил-N,N,Nʹ,Nʹ-тетраизопропилфосфитамид, 5'-O-(4,4'-диметокситритил)-дезоксириботимидин, 5'-O-(4,4'-диметокситритил)-N-ацетилзащищенные 2'-O-трет-бутилдиметилсилилрибонуклеозид-3'-фосфитамиды, а также твердофазные носители с присоединенным первым нуклеозидным звеном – 5'-О-(4,4'-диметокситритил)-2'-О-трет-бутилдиметилсилил-N4-ацетилцитидин-CPG, 5'-О-(4,4'-диметокситритил)-2'-О-трет-бутилдиметилсилил-N6-ацетиладенозин-CPG и 5'-О-(4,4'-диметокситритил)-2'-О-трет-бутилдиметилсилилуридин-CPG (ChemGenes, США); краситель Stains-all, персульфат аммония, дихлоруксусную кислоту, акриламид, N,N'-метиленбисакриламид, 2,6-лутидин, бромистый этидий, солянокислый цистеин, трисгидроксиметиламинометан (Fluka, Швейцария); мочевину, 40%-ный водный раствор метиламина, нингидрин (Merck, Германия); молекулярные сита Trap-PacTM Molecular Sieve Bag 3 Å (Millipore, США); агарозу (MP, США); пиридин, ацетон, тетрагидрофуран (PanReac, Испания); ксиленцианол FF, бромфеноловый синий, N,N,N',N'-этилендиаминтетрауксусную кислоту (Serva, Германия); 1-(2-нитрофенил)1,2-этандиол, триэтиламин, триэтиламинтригидрофторид, этокситриметилсилан, 5-[3,5-бис(трифторметил)фенил]-1H-тетразол (Активатор 42ТМ), хлористый метилен, ацетонитрил (Sigma-Aldrich, США); иод кристаллический, формамид, гексан, концентрированную серную кислоту (Реахим, Россия); ацетонитрил (Криохром, Россия), а также другие реактивы и растворители отечественного и зарубежного производства. PL получали, как описано нами ранее [15].
Рекомбинантная эндонуклеаза Cas9 и плазмида pBS2SKM на основе вектора pBluescript II SK(–) со вставкой протоспейсерной последовательности и PAM (5'-TGG-3') получены согласно стандартному протоколу [15, 18].
Синтез фоторасщепляемых олигорибонуклеотидов. Олигонуклеотиды были получены на автоматическом ДНК/РНК-синтезаторе ASM800 (Биоссет, Россия) твердофазным фосфитамидным методом синтеза в масштабе 0.4 мкмоль согласно оптимизированному для данного прибора синтетическому протоколу. Фосфитамиды рибонуклеотидов использовали в концентрации 0.1 М в абсолютном ацетонитриле, время конденсации составило 5 мин. Фосфитамид фоторасщепляемого линкера (PL) использовали в концентрации 0.15 М в абсолютном ацетонитриле, время конденсации составляло 30 мин. В качестве конденсирующего реагента использовали 0.25 М раствор 5-[3,5-бис(трифторметил)фенил]-1H-тетразола (Активатор 42ТМ) в абсолютном ацетонитриле. С ростом олигонуклеотидной цепи время конденсации и объемы растворов фосфитамида и конденсирующего реагента увеличивали на 15% после 50, 70 и 90 синтетических циклов. Смеси (v/v) пропионовый ангидрид/2,6-лутидин/тетрагидрофуран (10 : 10 : 80) и N-метилимидазол/тетрагидрофуран (16 : 84) применяли в качестве кэпирующих реагентов. Окисление проводили 0.02 M иодом в смеси пиридин/вода/тетрагидрофуран (1 : 9 : 90). В качестве детритилирующего реагента использовали дихлоруксусную кислоту (3%) в хлористом метилене.
Для деблокирования гетероциклических оснований, удаления цианоэтильных защитных групп с межнуклеотидных фосфатных групп и отделения олигорибонуклеотидов от твердофазного носителя использовали обработку 40%-ным раствором метиламина в течение 20 мин при 65°C и постоянном перемешивании. Охлаждали в течение 10 мин при –20°C. Полимерный носитель промывали раствором ацетонитрил/этанол/вода (1 : 1 : 1, v/v/v). Растворы объединяли и упаривали досуха.
Для удаления 2'-OTBDMS защитных групп с олигорибонуклеотида к сухому остатку сразу после упаривания добавляли 250 мкл свежеприготовленного раствора NMP/Et3N/Et3N·3HF (1.5 : 0.75 : 1, v/v/v) и выдерживали в течение 2 ч при 65°C и перемешивании. Далее к полученному раствору добавляли 375 мкл этокситриметилсилана и перемешивали на термомиксере в течение 10 мин при 25°C. К полученной смеси добавляли 1 мл серного эфира, перемешивали, центрифугировали, удаляли надосадочную жидкость, после чего осадок промывали серным эфиром и высушивали на воздухе.
Выделение целевых олигомеров проводили с использованием препаративного гель-электрофореза в денатурирующих условиях (12%-ный ПААГ, акриламид : N,Nʹ-метиленбисакриламид 30 : 0.5, 7 М мочевина, 50 мМ Трис-H3BO3, pH 8.3, 0.1 M Na2ЭДТА). Визуализизацию олигонуклеотидов в геле проводили наложением геля на пластину DC-Alufolien Kieselgel 60 F254 (Merck, Германия) в свете УФ-лампы (λ = 254 нм). В случае фоточувствительных олигонуклеотидов во избежание активации реакции расщепления под воздействием УФ-излучения закрывали стеклом основную часть геля, содержащую продукт, оставляя только небольшую его часть, достаточную для визуализации и аппроксимации. Измельченный гель, содержащий олигонуклеотидный материал, помещали в пробирку типа Эппендорф на 1.5 мл, содержащую 1 мл 0.3 М раствора ацетата натрия (pH 5.2), и перемешивали на термомиксере Thermomixer Comfort (Eppendorf, Германия) в течение 16 ч при 25°С. Олигорибонуклеотиды после элюции осаждали из 0.3 M раствора ацетата натрия четырехкратным объемом этилового спирта, выдерживая при –20°C в течение 2–12 ч. Супернатант после центрифугирования отбирали, осадок промывали охлажденным 80%-ным этиловым спиртом и высушивали досуха на воздухе.
Гомогенность полученных олигонуклеотидов подтверждали методом аналитического гель-электрофореза в 12%-ном ПААГ (условия см. выше). Для нанесения на гель использовали 5 мкл раствора 7 М мочевины с содержанием 0.025% ксиленцианолового FF. Для визуализации олигонуклеотидов использовали раствор красителя Stains-all, приготовленный из 50 мг красителя Stains-all и 100 мл смеси вода/формамид (1 : 1, v/v). После окрашивания гели высушивали на приборе Gel Dryer model 583 (Bio-Rad, США).
Расщепление плазмидной ДНК белком Cas9 в присутствии направляющих РНК. Реакцию проводили в 10 мкл раствора, содержащего 20 мМ HEPES (pH 7.5), 100 мМ KCl, 1 мМ дитиотреит, 0.5 мМ Na2ЭДТА, 2 мМ MgCl2, 5% глицерина. Контрольный раствор содержал все компоненты, кроме направляющей РНК и белка Cas9. К 2 мкл буфера (5×) добавляли 1.35 мкл (1 мкМ, 1.35 пмоль) направляющей РНК и 0.6 мкл раствора белка Cas9 (2.24 мкМ, 1.35 пмоль) в 50-кратном избытке по отношению к плазмиде pBS2SKM. Объем доводили до 9 мкл водой. Растворы перемешивали и инкубировали 15 мин при 37°C для сборки рибонуклеопротеинового комплекса. Аналогичным образом готовили растворы, содержащие дезактивированные УФ-облучением в течение 30 мин (λ = 365 нм) направляющие sgРНК.
Затем в каждую пробирку добавляли 1 мкл раствора (50 нг/мкл, 27 фмоль) плазмиды pBS2SKM, содержащей протоспейсер и последовательность PAM. Реакционные смеси перемешивали и инкубировали в течение 1 ч при 37°C в условиях отсутствия прямого солнечного света.
Для остановки реакции к реакционной смеси добавляли 2.5 мкл раствора, содержащего 250 мМ Na2ЭДТА, 1.2% SDS, 0.01% бромфенолового синего и 30% глицерина (Quenching buffer).
Эффективность реакции расщепления плазмиды белком Cas9 в присутствии направляющих РНК анализировали методом гель-электрофореза в 1%-ном агарозном геле в TAE-буфере (4 мМ Трис, 3 мМ CH3COOH, 0.07 мМ Na2ЭДТА) с добавлением 2.5 мкл бромида этидия (концентрация – 10 мг/мл). На гель наносили 10 мкл реакционной смеси в Quenching buffer. Для контроля подвижности в геле продуктов расщепления использовали ДНК-маркер 1 kb, длина фрагментов 250–10000 п.н. (СибЭнзим, Россия). Визуализацию проводили с использованием системы гель-документации Quantum (Vilber Lourmat, Франция). Для получения количественных характеристик изображения переводили в цифровую форму в программном пакете Quantity Оne (Bio-Rad, США).
Долю расщепления плазмиды рассчитывали по следующим формулам в программном продукте Microsoft Excel:
,
,
.
где NΣ – суммарное расщепление плазмиды; NdsDNA – расщепление двух цепей ДНК плазмиды; NssDNA – расщепление одной цепи ДНК плазмиды; Iлин – интенсивность полосы, соответствующей линейной форме плазмиды; Iрел – интенсивность полосы, соответствующей релаксированной форме плазмиды; Iсуперск – интенсивность полосы, соответствующей суперскрученной форме плазмиды; k = 1.14 – коэффициент эффективности окрашивания суперскрученной формы ДНК относительно релаксированной формы [19].
Кинетика расщепления плазмидной ДНК белком Cas9 в присутствии направляющих РНК. Реакцию проводили в 85 мкл раствора, содержащего 20 мМ HEPES (pH 7.5), 100 мМ KCl, 1 мМ дитиотреит, 0.5 мМ Na2ЭДТА, 2 мМ MgCl2, 5% глицерина. К 17 мкл буфера добавляли 3.5 мкл (1 мкМ, 3.5 пмоль) направляющей sgРНК и 1.56 мкл раствора белка Cas9 (5.8 мкМ, 3.50 пмоль) в 15-кратном избытке по отношению к плазмиде pBS2SKM, доводили объем до 70 мкл водой. Растворы перемешивали и инкубировали 15 мин при 37°C. Затем в каждую пробирку добавляли 8.5 мкл раствора (50 нг/мкл, 0.233 пмоль) плазмиды pBS2SKM. Реакционные смеси перемешивали и инкубировали в течение 1.5 ч при 37°C в условиях отсутствия прямого солнечного света. Для остановки реакции отбирали аликвоты по 10 мкл через 2, 5, 10, 20, 30, 45, 60 и 90 мин после начала реакции и добавляли их в пробирки с 2.5 мкл Quenching buffer.
Результаты реакции анализировали в 1%-ном агарозном геле, как описано выше. Для получения количественных характеристик изображения переводили в цифровую форму в программном пакете Quantity Оne (Bio-Rad, США).
ЗАКЛЮЧЕНИЕ
В данной работе разработан подход к получению фоторасщепляемых направляющих sgРНК для системы CRISPR/Cas9, содержащих линкеры на основе 1-(2-нитрофенил)-1,2-этандиола. С использованием предложенного подхода нами были получены три варианта фотомодифицированных sgРНК с различным расположением фотолинкера и показано, что облучении УФ-светом такие направляющие РНК разрушаются.
В результате исследований выявлена оптимальная локализация фотолинкера в составе направляющей sgРНК, позволяющая регулировать активность системы CRISPR/Cas9 путем ее облучения. Такие sgРНК в составе комплекса с нуклеазой Cas9 эффективно направляют систему для расщепления ДНК-мишени до облучения и дают возможность ее инактивации после УФоблучения. Выбран режим облучения для достижения 40%-ного уменьшения количества ДНК-мишени в результате действия созданной нами фотомодифицированной системы CRISPR/Cas9. Сочетание короткого времени облучения и использования света в ближней части УФ-диапазона, который гораздо более безопасен для клеток, чем УФ-B, УФ-C и дальний УФ-A [20, 21], открывает перспективу использования фотоинактивируемых sgРНК in vivo.
Подтверждена возможность удаления 3'-концевого фрагмента sgРНК без критического снижения ее функциональной активности. Укороченные до 69 звеньев sgРНК можно использовать для расщепления ДНК-мишеней: хотя скорость такого расщепления ниже, чем в случае полноразмерных sgРНК, предельная степень расщепления практически не снижается.
Полученные в работе результаты подтверждают возможность создания фоточувствительной системы редактирования генома CRISPR/Cas9 с использованием фоторасщепляемых линкеров в структуре направляющих РНК. Разрушение направляющей РНК в определенный момент времени позволит снизить вероятность нецелевых эффектов при редактировании генов. В дальнейшем данная стратегия может быть применена для лечения ряда генетических заболеваний, которые обусловлены наличием “лишних” копий определенного гена. К таким патологиям относится, например, синдром Шарко–Мари–Тута, причиной которого может служить лишняя копия гена периферического белка миелина PMP22. Подход к светозависимому “выключению” активности CRISPR-системы предложен нами впервые.
ФОНДОВАЯ ПОДДЕРЖКА
Исследование выполнено при поддержке Российского научного фонда (проект № 22-14-00294) и базового бюджетного финансирования в рамках проекта государственного задания Института химической биологии и фундаментальной медицины СО РАН (2021–2024 гг.) № 121031300042-1.
СОБЛЮДЕНИЕ ЭТИЧЕСКИХ СТАНДАРТОВ
Настоящая статья не содержит описания исследований с участием людей или использованием животных в качестве объектов исследования.
КОНФЛИКТ ИНТЕРЕСОВ
Авторы заявляют об отсутствии конфликта интересов.
Об авторах
Е. А. Ахметова
Институт химической биологии и фундаментальной медицины СО РАН
Email: danov@niboch.nsc.ru
Россия, 630090 Новосибирск, просп. Акад. Лаврентьева, 8
И. П. Вохтанцев
Институт химической биологии и фундаментальной медицины СО РАН; Новосибирский государственный университет
Email: danov@niboch.nsc.ru
Россия, 630090 Новосибирск, просп. Акад. Лаврентьева, 8; 630090 Новосибирск, ул. Пирогова, 1
М. И. Мещанинова
Институт химической биологии и фундаментальной медицины СО РАН
Email: danov@niboch.nsc.ru
Россия, 630090 Новосибирск, просп. Акад. Лаврентьева, 8
М. А. Воробьева
Институт химической биологии и фундаментальной медицины СО РАН
Email: danov@niboch.nsc.ru
Россия, 630090 Новосибирск, просп. Акад. Лаврентьева, 8
Д. О. Жарков
Институт химической биологии и фундаментальной медицины СО РАН; Новосибирский государственный университет
Email: danov@niboch.nsc.ru
Россия, 630090 Новосибирск, просп. Акад. Лаврентьева, 8; 630090 Новосибирск, ул. Пирогова, 1
Д. С. Новопашина
Институт химической биологии и фундаментальной медицины СО РАН; Новосибирский государственный университет
Автор, ответственный за переписку.
Email: danov@niboch.nsc.ru
Россия, 630090 Новосибирск, просп. Акад. Лаврентьева, 8; 630090 Новосибирск, ул. Пирогова, 1
Список литературы
- Wang J.Y., Pausch P., Doudna J.A. // Nat. Rev. Microbiol. 2022. V. 20. P. 641–656. https://doi.org/10.1038/s41579-022-00739-4
- Makarova K.S., Wolf Y.I., Iranzo J., Shmakov S.A., Alkhnbashi O.S., Brouns S.J.J., Charpentier E., Cheng D., Haft D.H., Horvath P., Moineau S., Mojica F.J.M., Scott D., Shah S.A., Siksnys V., Terns M.P., Venclovas Č., White M.F., Yakunin A.F., Yan W., Zhang F., Garrett R.A., Backofen R., van der Oost J., Barrangou R., Koonin E.V. // Nat. Rev. Microbiol. 2020. V. 18. P. 67–83. https://doi.org/10.1038/s41579-019-0299-x
- Jinek M., Chylinski K., Fonfara I., Hauer M., Doudna J.A., Charpentier E. // Science. 2012. V. 337. P. 816–821. https://doi.org/10.1126/science.1225829
- Wang J.Y., Doudna J.A. // Science. 2023. V. 379. P. 8643. https://doi.org/10.1126/science.add8643
- Li T., Yang Y., Qi H., Cui W., Zhang L., Fu X., He X., Liu M., Li P.-F., Yu T. // Sig. Transduct. Target. Ther. 2023. V. 8. P. 36. https://doi.org/10.1038/s41392-023-01309-7
- Filippova J., Matveeva A., Zhuravlev E., Stepanov G. // Biochimie. 2019. V. 167. P. 49–60. https://doi.org/10.1016/j.biochi.2019.09.003
- Liu Y., Zou R.S., He S., Nihongaki Y., Li X., Razavi S., Wu B., Ha T. // Science. 2020. V. 368. P. 1265–1269. https://doi.org/10.1126/science.aay8204
- Jain P.K, Ramanan V., Schepers A.G., Dalvie N.S., Panda A., Fleming H.E., Bhatia S.N. // Angew. Chem. Int. Ed. Engl. 2016. V. 55. P. 12440–12444. https://doi.org/10.1002/anie.2016061
- Zhou W., Brown W., Bardhan A., Delaney M., Ilk A.S., Rauen R.R., Kahn S.I., Tsang M., Deiters A. // Angew. Chem. Int. Ed. 2020. V. 59. P. 8998–9003. https://doi.org/10.1002/anie.201914575
- Sun Y.-J., Chen W.-D., Liu J., Li J.-J., Zhang Y., Cai W.-Q., Liu L., Tang X.-J., Hou J., Wang M., Cheng. L. // Angew. Chem. Int. Ed. 2023. V. 2. P. e202212413. https://doi.org/10.1002/anie.202212413
- Zetsche B., Volz S.E., Zhang F. // Nat. Biotechnol. 2015. V. 33. P. 139–142. https://doi.org/10.1038/nbt.3149
- Nihongaki Y., Kawano F., Nakajima T., Sato M. // Nat. Biotechnol. 2015. V. 33. P. 755–760. https://doi.org/10.1038/nbt.3245
- Chen Y., Liu X., Zhang Y., Wang H., Ying H., Liu M., Li D., Lui K.O., Ding Q. // Mol. Ther. 2016. V. 24. P. 1508–1510. https://doi.org/10.1038/mt.2016.172
- Petris G., Casini A., Montagna C., Lorenzin F., Prandi D., Romanel A., Zasso J., Conti L., Demichelis F., Cereseto A. // Nat. Commun. 2017. V. 8. P. 15334. https://doi.org/10.1038/ncomms15334
- Akhmetova E.A., Golyshev V.M., Vokhtantsev I.P., Meschaninova M.I., Venyaminova A.G., Novopashina D.S. // Russ. J. Bioorg. Chem. 2021. V. 47. P. 496–504. https://doi.org/10.1134/S1068162021020023
- Nishimasu H., Ran F.A., Hsu P.D., Konermann S., Shehata S.I., Dohmae N., Ishitani R., Zhang F., Nureki O. // Cell. 2014. V. 156. P. 935–949. https://doi.org/10.1016/j.cell.2014.02.001
- Jiang F., Doudna J.A. // Ann. Rev. Biophysics. 2017. V. 46. P. 505–529. https://doi.org/10.1146/annurev-biophys-062215-010822
- Anders C., Jinek M. // Methods Enzymol. 2014. V. 546. P. 1–20. https://doi.org/10.1016/B978-0-12-801185-0.00001-5
- Shubsda M.F., Goodisman J., Dabrowiak J.C. // J. Biochem. Biophys. Methods. 1997. V. 34. P. 73–79. https://doi.org/10.1016/S0165-022X(96)01204-3
- Setlow R.B. // Proc. Natl. Acad. Sci. USA. 1974. V. 71. P. 3363–3366. https://doi.org/10.1073/pnas.71.9.3363
- Mullenders L.H.F. // Photochem. Photobiol. Sci. 2018. V. 17. P. 1842–1852. https://doi.org/10.1039/c8pp00182k
Дополнительные файлы







