Экспериментальная оценка 3-мета-пиридин-1,2,4-оксадиазольного производного дезоксихолевой кислоты как прототипа ингибиторов 5-α-редуктазы в моделях in silico и in vivo
- Авторы: Мешкова Ю.В.1, Баев Д.С.1, Сорокина И.В.1, Попадюк И.И.1, Саломатина О.В.1, Жукова Н.А.1, Толстикова Т.Г.1, Салахутдинов Н.Ф.1
-
Учреждения:
- Новосибирский институт органической химии им. Н.Н. Ворожцова СО РАН
- Выпуск: Том 49, № 1 (2023)
- Страницы: 79-92
- Раздел: Статьи
- URL: https://ogarev-online.ru/0132-3423/article/view/145870
- DOI: https://doi.org/10.31857/S0132342323010189
- EDN: https://elibrary.ru/GGKQXV
- ID: 145870
Цитировать
Полный текст
Аннотация
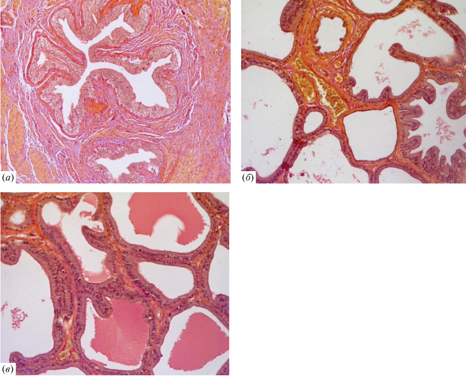
Ингибиторы 5-α-редуктазы (5-АР) считаются наиболее эффективными препаратами в лечении пролиферативных процессов при аденоме предстательной железы. К ним относятся два синтетических азастероида – финастерид и дутастерид, которые в условиях длительной курсовой терапии вызывают побочные эффекты в виде расстройств половой функции у мужчин. В качестве стартового соединения для получения малотоксичных ингибиторов 5-АР нами предложена дезоксихолевая кислота, на основе которой синтезировано целевое соединение, содержащее 3-мета-пиридин-1,2,4-оксадиазольный фрагмент. Методом молекулярного докинга показано, что новый агент, подобно финастериду, способен проникать в сайт связывания 5-АР через образование ковалентных аддуктов с NADP-H. При этом оба лиганда имеют сопоставимые величины энергии связывания с мишенью (–20 и –15 ккал/моль соответственно у финастерида и целевого соединения). В экспериментах на тестостероновой и сульпиридной моделях доброкачественной гиперплазии предстательной железы установлено, что внутрижелудочное введение полученного производного дезоксихолевой кислоты крысам Wistar в дозе 20 мг/кг и финастерида в дозе 10 мг/кг оказывает сходное простатопротекторное действие путем уменьшения пролиферативных процессов в железистом эпителии и строме простаты крыс. Новый агент менее токсичен, чем финастерид: величина LD50 у мышей CD-1 составляет >1500 мг/кг против 1060 мг/кг у финастерида. На основании полученных результатов 3-мета-пиридин-1,2,4-оксадиазольное производное дезоксихолевой кислоты может рассматриваться как перспективный кандидат для доклинических испытаний.
Об авторах
Ю. В. Мешкова
Новосибирский институт органической химии им. Н.Н. Ворожцова СО РАН
Email: sorokina.irina55@gmail.com
Россия, 630090, Новосибирск, просп. акад. Лаврентьева, 9
Д. С. Баев
Новосибирский институт органической химии им. Н.Н. Ворожцова СО РАН
Email: sorokina.irina55@gmail.com
Россия, 630090, Новосибирск, просп. акад. Лаврентьева, 9
И. В. Сорокина
Новосибирский институт органической химии им. Н.Н. Ворожцова СО РАН
Автор, ответственный за переписку.
Email: sorokina.irina55@gmail.com
Россия, 630090, Новосибирск, просп. акад. Лаврентьева, 9
И. И. Попадюк
Новосибирский институт органической химии им. Н.Н. Ворожцова СО РАН
Email: sorokina.irina55@gmail.com
Россия, 630090, Новосибирск, просп. акад. Лаврентьева, 9
О. В. Саломатина
Новосибирский институт органической химии им. Н.Н. Ворожцова СО РАН
Email: sorokina.irina55@gmail.com
Россия, 630090, Новосибирск, просп. акад. Лаврентьева, 9
Н. А. Жукова
Новосибирский институт органической химии им. Н.Н. Ворожцова СО РАН
Email: sorokina.irina55@gmail.com
Россия, 630090, Новосибирск, просп. акад. Лаврентьева, 9
Т. Г. Толстикова
Новосибирский институт органической химии им. Н.Н. Ворожцова СО РАН
Email: sorokina.irina55@gmail.com
Россия, 630090, Новосибирск, просп. акад. Лаврентьева, 9
Н. Ф. Салахутдинов
Новосибирский институт органической химии им. Н.Н. Ворожцова СО РАН
Email: sorokina.irina55@gmail.com
Россия, 630090, Новосибирск, просп. акад. Лаврентьева, 9
Список литературы
- Launer B.M., McVary K.T., Ricke W.A., Lloyd G.L. // BJU Int. 2021. V. 127. P. 722–728. https://doi.org/10.1111/bju.15286
- Lim K.B. // Asian J. Urol. 2017. V. 4. P. 148–151. https://doi.org/10.1016/j.ajur.2017.06.004
- Carson C., Rittmaster R. // Urology. 2003. V. 61. P. 2–7. https://doi.org/10.1016/S0090-4295(03)00045-1
- Vickman R.E., Franco O.E., Moline D.C., Vander Griend D.J., Thumbikat P., Hayward S.W. // Asian J. Urol. 2020. V. 7. P. 191–202. https://doi.org/10.1016/j.ajur.2019.10.003
- La Vignera S., Condorelli R.A., Russo G.I., Morgia G., Calogero A.E. // Andrology. 2016. V. 4. P. 404–411. https://doi.org/10.1111/andr.12186
- Thiruchelvam N. // Renal and Urological Surgery III. 2014. V. 32. P. 314–322. https://doi.org/10.1016/j.mpsur.2014.04.006
- Gravas S., Cornu J.N., Drake M.J., Gacci M., Gratzke C., Herrmann T.R.W., Madersbacher S., Mamoulakis C., Tikkinen K.A.O. // Eur. Assoc. Urol. 2018. https:// uroweb.org/wp-content/uploads/EAU-Guidelines-on-the-Management-of-Non-neurogenic-Male-LUTS-2018-large-text.pdf
- Kim E.H., Brockman J.A., Andriole G.L. // Asian J. Urol. 2018. V. 5. P. 28–32. https://doi.org/10.1016/j.ajur.2017.11.005
- Сорокина И.В., Попадюк И.И., Жукова Н.А., Низомов С.А., Мешкова Ю.В., Баев Д.С., Саломатина О.В., Толстикова Т.Г., Салахутдинов Н.Ф. // Патент RU 2 750 488 C1, 2021.
- Huang Y., Cui J., Jia L., Gan C., Song H., Zeng C., Zhou A. // Molecules. 2013. V. 18. P. 7436–7447. https://doi.org/10.3390/molecules18077436
- Verzele D., Madder A. // J. Org. Chem. 2007. P. 1793–1797. https://doi.org/10.1002/ejoc.200600972
- Schrodinger Small Molecule Drug Discovery Suite. 2017. https://www.schrodinger.com
- Harder E., Damm W., Maple J., Wu C., Reboul M., Xiang J.Y., Wang L., Lupyan D., Dahlgren M.K., Knight J.L., Kaus J., Cerutti D., Krilov G., Jorgensen W., Abel R., Friecner R. // J. Chem. Theory Comput. 2016. V. 12. P. 281–296. https://doi.org/10.1021/acs.jctc.5b00864
- Xiao Q., Wang L., Supekar S., Shen T., Liu H., Ye F., Huang J., Fan H., Wei Z., Zhang C. // Nat. Commun. 2020. V. 11. P. 1–10. https://doi.org/10.1038/S41467-020-19249-Z
- Makino C., Watanabe A., Deguchi T., Shiozawa H., Schreck I., Rozehnal V., Ishizuka T., Watanabe N., Ando O., Murayama N., Yamazaki H. // Xenobiotica. 2019. V. 49. P. 961–969. https://doi.org/10.1080/00498254.2018.1514545
- Tsalta C.D., Madatian A., Schubert E.M., Xia F., Hardesty W., Deng Y., Seymour J.L., Gorychi P.D. // Drug Metab. Dispos. 2011. V. 39. P. 1620–1632. https://doi.org/10.1124/dmd.110.036467
- Makridakis N., Akalu A., Reichardt J.K.V. // Oncogene. 2004. V. 23. P. 7399–7405. https://doi.org/10.1038/sj.onc.1207922
- Li J., Tian Y., Guo S., Gu H., Yuan Q., Xie X. // PLoS One. 2018. V. 13. P. 1–13. https://doi.org/10.1371/journal.pone.0191469
- Миронов А.Н., Бунятян Н.Д. // Руководство по проведению доклинических исследований лекарственных средств. Часть первая. М.: Гриф и К., 2012. 944 с.
- Altavilla D., Minutoli L., Polito F., Irrera N., Arena S., Magno C., Rinaldi M., Burnett B.P., Squadrito F., Bitto A. // Br. J. Pharmacol. 2012. V. 167. P. 95–108. https://doi.org/10.1111/j.1476-5381.2012.01969.x
- Hsu C.Y., Lin Y.S., Weng W.C., Panny L., Chen H.L., Tung M.C., Ou Y.C., Lin C.C., Yang C.H. // Life. 2021. V. 11. P. 743. https://doi.org/10.3390/life11080743
- Veeresh Babu S.V., Veeresh B., Patil A.A., Warke Y.B. // Eur. J. Pharmacol. 2010. V. 626. P. 262–265. https://doi.org/10.1016/j.ejphar.2009.09.037
- Сорокина И.В., Жукова Н.А., Мешкова Ю.В., Баев Д.С., Толстикова Т.Г., Бакарев М.А., Лушникова Е.Л. // Бюллетень экспериментальной биологии и медицины. 2022. Т. 173. С. 656–663. https://doi.org/10.47056/0365-9615-2022-173-5-656-663
- Van Coppenolle F., Slomianny C., Carpentier F., Le Bourhis X., Achidouch A., Croix D., Legrand G., Dewailly E., Fournier S., Cousse H., Authie D., Raynaud J.-P., Beauvillain J.-C., Dupouy J.-P., Prevarskaya N. // Am. J. Physiol. Endocrinol. Metab. 2001. V. 280. P. 120–129. https://doi.org/10.1152/ajpendo.2001.280.1.e120
- Тюзиков И.А., Мартов А.Г. // Андрология. 2012. № 3. С. 39–47.
- Han Y.T., Yun H. // Org. Prep. Proc. Int. 2017. V. 49. P. 163–168. https://doi.org/10.1080/00304948.2017.1291005
- Shruthi N., Poojary B., Kumar V., Hussain M.M., Rai V.M., Pai V.R., Bhat M., Revannasiddappa B.C. // RSC Adv. 2016. V. 6. P. 8303–8316. https://doi.org/10.1039/C5RA23282A
- Friesner R.A., Murphy R.B., Repasky M.P., Frye L.L., Greenwood J.R., Halgren T.A., Sanschagrin P.C., Mainz D.T. // J. Med. Chem. 2006. V. 49. P. 6177–6196. https://doi.org/10.1021/jm051256o
- Biovia Dicovery Studio Visualizer. 2016. https://discover.3ds.com/discovery-studio-visualizer-download
- Jeon W.-Y., Kim O.S., Seo C.-S., Jin S.E., Kim J.-A., Shin H.-K., Kim Y., Lee Y. // BMC Complement. Altern. Med. 2017. V. 17. P. 384. https://doi.org/10.1186/s12906-017-1877-y
- Автандилов Г.Г. // Медицинская морфометрия. М.: Медицина, 1990. 384 с.
- Саноцкий И.В. // Методы определения токсичности и опасности химических веществ (токсикометрия). Москва: Медицина, 1970. 99 с.
Дополнительные файлы










