The vole genus Alexandromys (Rodentia, Arvicolinae) of the middle amur lowland and the description of four new karyotype variants of Alexandromys Maximowiczii (Rodentia, Arvicolinae)
- Authors: Kartavtseva I.V.1, Stepanova A.I.1
-
Affiliations:
- Federal Scientific Center of East Asia Terrestrial Biodiversity, Far Eastern Branch, Russian Academy of Sciences
- Issue: Vol 103, No 12 (2024)
- Pages: 91-107
- Section: ARTICLES
- URL: https://ogarev-online.ru/0044-5134/article/view/280392
- DOI: https://doi.org/10.31857/S0044513424120054
- EDN: https://elibrary.ru/tgqojt
- ID: 280392
Cite item
Full Text
Abstract
Previously, only Alexandromys fortis has been found to occur in the northeastern part of the Middle Amur Lowland. Karyotype studies on voles at the northernmost locality of the lowland, near the village of Elban, reveal a second species, A. maximowiczii, shifting its eastern range limit 200 km east of the nearest known one. Four karyotype variants found in individuals from the Middle Amur Lowland are described for the first time for Maximowicz’s vole which shows multiple chromosomal polymorphism. Two karyotype variants are found to predominate: 2n = 40, NF = 58 and 2n = 41a, NF = 60, vs firther two which are rare:2n = 41b, NF = 59 and 2n = 41c, NF = 59. According to the 2n and NF numbers, these variants correspond to the chromosomal form “C”. The variability of the chromosome number in this species is due to the tandem fusion of metacentric chromosomes № 3 and № 4 to form a large metacentric № 3/4. Centric fusion of acrocentric chromosomes № 11 and № 20 to form a medium-sized metacentric chromosome № 11.20 is generally stabilized, with the exception of one individual of 54 examined. A sharp decrease in heterozygotes for tandem fusion is noted for individuals in the middle part of the lowland, vs the northeastern part where it was high. The number of chromosomes being 39 is excluded from the chromosomal form “C” as unsubstantiated. Rare variants have one pair of autosomes in the heterozygous state (SM/A). Such a variability seem to be associated with a shift in the centromere in chromosome № 10 in variant 41b and a pericentric inversion in chromosome № 16 in variant 41c. Based on the previously published data of genetic analyses, allozyme, chromosomal and molecular-genetic for both species involved, A. maximowiczii and A. fortis, chromosomal characteristics and their habitats, including syntopic ones, are presented.
Full Text
Многие виды серых (Microtus Schrank 1798) и восточноазиатских (Alexandromys Ognev 1914) полевок имеют слабые морфологические различия, однако уникальные хромосомные характеристики позволяют хорошо их диагностировать (Орлов, 1974; Загороднюк, 1992; Мейер и др., 1996; Орлов и др., 2023). В ряде таксономических сводок по грызунам данные о числе хромосом введены в ключи для определения современных видов полевок (Громов, Поляков, 1977; Громов, Ербаева, 1995; Костенко, 2000). В южных регионах Дальнего Востока России обитают два вида восточноазиатских полевок – дальневосточная полевка (Alexandromys fortis (Büchner 1889)) (рис. 1А) и полевка Максимовича (Alexandromys maximowiczii (Schrenck 1859)) (рис. 1Б), имеющих изменчивые дифференцирующие признаки, что затрудняет их диагностику и, как было показано при исследовании коллекций черепов полевок (Лисовский и др., 2018), может приводить к ошибочному определению вида. По числу и морфологии хромосом эти виды хорошо различаются. A. fortis имеет стабильное диплоидное число (2n = 52) и мелкие хромосомы. A. maximowiczii имеет изменчивое число хромосом (2n = 36–44), размеры которых варьируют от крупных до мелких. В популяциях юга Дальнего Востока России это число варьирует от 39 до 42 (Kartavtseva et al., 2008). Полевка Максимовича оказалась сложным объектом для выяснения внутривидовой изменчивости кариотипа, так как имеет множественную хромосомную изменчивость, включающую тандемные, центрические (Робертсоновские) слияния, инверсии и смещения центромеры (Мейер и др., 1996). Впервые множественный хромосомный полиморфизм A. maximowiczii был обнаружен для популяций Забайкалья (Бурятии), откуда было описано тринадцать вариантов кариотипа (Ковальская, 1977) и выделено три хромосомные формы – “A”, “Б”, “В” (Ковальская и др., 1980). Описание вариантов кариотипа было сделано без дифференциального окрашивания, что привело к неверному определению хромосомных перестроек и, соответственно, вариантов кариотипа (Мейер и др., 1996). Для 242 полевок Максимовича из Забайкалья, Дальнего Востока России и Монголии был проведен анализ хромосомных характеристик. Из этой выборки у новых 74 особей из ранее не исследованных 12 локальных популяций Забайкалья и Дальнего Востока России было выделено шесть хромосомных форм “A”, “B”, “V”, “D”, “C” и “I”). Первые три хромосомные формы были выделены ранее для полевок Забайкалья (Ковальская и др., 1980), затем для этого региона была выделена еще одна хромосомная форма (“D”) (Kartavtseva et al., 2008). Для популяций юга Дальнего Востока России выделены две новые хромосомные формы – “C” и “I” (Kartavtseva et al., 2008). Позднее полевки хромосомной формы “I” (подвида Microtus maximowiczii gromovi Vorontsov 1988) были выведены из состава M. maximowiczii и определены как полёвка Громова (Alexandromys shantaricus Ognev 1929 (Шереметьева, 2023)).
Следует заметить, что в этих двух работах хромосомные формы различались только по значениям 2n и NF, без указания характера хромосомных перестроек и описания хромосомных вариантов кариотипа. Применение метода дифференциального G-окрашивания хромосом полевок трех популяций из Бурятии, Забайкальского и Хабаровского краев позволило описать для вида семь хромосомных перестроек, приводящих к изменению числа и морфологии хромосом (Мейер и др., 1996). Три перестройки из семи были структурные: одна – тандемное слияние и две – центромерные слияния. В этой работе был выявлен характер хромосомных перестроек в трех популяциях полевки Максимовича (две популяции из Забайкалья и одна популяция из Дальнего Востока России). Число исследованных особей было невелико, что не позволило авторам описать варианты кариотипа хромосомных форм.
Данные о числе хромосом в кариотипе полевки Максимовича Среднеамурской низменности опубликованы в трех работах, где был использован метод дифференциального окрашивания без указания номеров пар хромосом (Мейер и др., 1996; Kartavtseva et al., 2008; Фрисман и др., 2011). Последовательность расположения хромосом и их группы (двуплечих и одноплечих) в этих работах различались. В первой работе кариотип (2n = 39– 41) представлен двумя морфологическими группами хромосом: двуплечими (метацентрические, субмета- и субтелоцентрические) и одноплечими (акроцентрические). Во второй работе кариотип (2n = 40–41) представлен тремя группами хромосом: две группы с двуплечими (метацентрические и субмета–субтелоцентрические) и одна группа с одноплечими (акроцентрические) хромосомами. В третьей работе кариотип (2n = 40–41) представлен четырьмя группами хромосом: метацентрические, субметацентрические, субтелоцентрические и акроцентрические. Такие же числа и группы хромосом, как и в последней работе, без дифференциального окрашивания, приведены для хабаровской популяции (Картавцева и др., 2017).
Использование метода молекулярной цитогенетики – флуоресцентной гибридизации (FISH) зондов целых хромосом полевки Microtus agrestis (Linnaeus 1761) на метафазные хромосомы полевки Максимовича – позволило выявить видоспецифичные консервативные хромосомные сегменты. Дифференциальное G-окрашивание дало возможность определить номера пар хромосом в кариотипе A. maximowiczii (с 2n = 41, NFa = 54) и показать две структурные перестройки – тандемное (№ 3/4) и центромерное (№ 11.20) слияния хромосом (Lemskaya et al., 2010). Номера хромосом в этой работе базировались на максимальном числе хромосом (2n = 44), не имеющих структурных перестроек, что сделало удобным использование такой нумерации для дальнейшего исследования хромосомной изменчивости вида и выявления хромосомных перестроек. В этой работе точка отлова одной самки полевки Максимовича не указана, но из устного сообщения Ф. Н. Голенищева, предоставившего эту особь для кариотипирования, следует, что полевка была отловлена в Забайкальском крае и, возможно, соответствует хромосомной форме “А”. Чтобы понять, какие номера хромосом сопровождали структурные перестройки полевки Максимовича хромосомной формы “С”, были исследованы кариотипы особей из популяции Норского заповедника Амурской обл. с применением методов FISH и G-окрашивания хромосом (Картавцева и др., 2013). При этом кариотипы этих особей ранее были исследованы и вошли в работу (Kartavtseva et al., 2008), посвященную выделению хромосомных форм. Согласно приведенным данным, и для этого кариотипа особей этой популяции характерны те же две структурные перестройки, что и для кариотипа особи хромосомной формы “А” из Забайкалья. Исследований по наличию других хромосомных перестроек для популяции Норского заповедника не проводили. Внутри- и межпопуляционная кариотипическая изменчивость пяти хромосомных форм A. maximowiczii (четырех в Забайкалье и одной на Дальнем Востоке России) все еще не известна.
Помимо хромосомных методов (Мейер и др., 1996; Картавцева и др., 2009; Kartavtseva et al., 2008), для диагностики A. fortis и A. maximowiczii юга Дальнего Востока России были использованы аллозимные (Фрисман и др., 2009, 2011, 2016) и молекулярно-генетические методы (Шереметьева и др., 2015, 2022; Wang et al., 2014; Sheremetyeva et al., 2024). Эти исследования позволили достоверно выявить обитание двух видов на территории Среднеамурской низменности, однако полная картина их распространения отсутствует. Также A. maximowiczii и A. fortis можно дифференцировать и по форме головки сперматозоидов (Мейер и др., 1996). Этот метод самый простой, так как позволяет определять виды в полевых условиях, однако он применим только для половозрелых самцов и не используется зоологами.
До начала генетических исследований полевок в Среднеамурской низменности зоологи полагали, что на этой территории распространен один вид – A. fortis. Еще в 1991 г. в популяции дальневосточной полевки, обитающей близ г. Хабаровск, были обнаружены два штамма хантавируса “Хабаровск” (HBRV) и “Владивосток” (VlAV) (Dzagurova et al., 1995; Hörling et al., 1996), что было необычно, поскольку определенный штамм вируса соответствует определенному виду хозяина (Kariwa et al., 1999). Только в 2008 г. результаты генетических исследований в Китае (виды определены с помощью анализа гена cytb мтДНК) показали, что носителем генотипа HBRV, описанного ранее для хабаровской популяции A. fortis, является другой вид – A. maximowiczii (Zou et al., 2008). По результатам этой работы был сделан вывод, что и в хабаровской популяции штамм HBRV принадлежит A. maximowiczii, а штамм VlAV – A. fortis (Яшина и др., 2008). Хромосомные (Картавцева и др., 2009) и молекулярно-генетические данные (Шереметьева и др., 2022; Sheremetyeva et al., 2024) полевок этой популяции подтвердили совместное обитание двух видов – A. fortis и A. maximowiczii.
Долгое время без подтвержденных данных считали, что в Хабаровском крае, в окрестностях г. Советская Гавань и близлежащих поселках обитает A. maximowiczii (Костенко, 2000). По данным других источников, здесь (рис. 1Б) обитает A. fortis (Shenbrot, Krasnov, 2005; Kryštufek, Shenbrot, 2022), на основании чего в первой работе распространение вида было указано на всей территории Сихотэ-Алиня, во второй – вдоль восточных склонов горного хребта морского побережья Японского моря до г. Советская Гавань. Однако кариотипирование полевок из г. Советская Гавань и окрестных поселков (Картавцева и др., 2011) позволило выявить инвазивный вид – восточноевропейскую полевку (Microtus rossiameridionalis Ognev 1924). Молекулярно-генетический анализ (Шереметьева и др., 2021) подтвердил нахождение здесь восточноевропейской полевки, а также неоднократный ее завоз и в г. Хабаровск. Все три вида, обнаруженных в Хабаровске, являются носителями видоспецифичных штаммов различных вирусных и бактериальных инфекций, опасных для человека (Лапин и др., 2015), поэтому знание об их распространении представляет интерес не только для зоологов, но и для эпидемиологов.
Среднеамурская низменность представляет собой плоское, сильно заболоченное пространство. Главная река Среднеамурской низменности – Амур, для русла которой характерно наличие многочисленных протоков, рукавов, стариц и озерных котловин (Крюкова, 1999). Северо-восточная часть этой низменности (Амуро-Сунгарийская низменность) расположена в России (Хабаровский край), а средняя часть – на территории как России (Еврейская автономная область (Еврейская АО) и Хабаровский край, вдоль долины р. Уссури), так и на северо-востоке Китая (Саньцзянская равнина), южная часть – только на северо-востоке Китая. В средней части низменности отмечали (до появления генетических методов) только один вид – A. fortis, а восточная граница ареала A. maximowiczii доходила до р. Зея в Амурской обл. (Костенко, 2000). Данные хромосомных исследований (Мейер и др., 1996) позволили обнаружить A. maximowiczii на берегу р. Тунгуска, впадающей в Амур близ г. Хабаровск, и на этом основании сдвинуть восточную границу ареала вида до Хабаровска (Shenbrot, Krasnov, 2005). Позднее восточная граница ареала была смещена на восток до г. Комсомольск-на-Амуре (Kryštufek, Shenbrot, 2022), где появилась новая точка находки полевки Максимовича (близ г. Комсомольск-на-Амуре), без ссылки на источник с описанием этой находки, и далее на север, в район Эворон-Чукчагирской низменности, также без указания ссылок на находки (рис. 1А). По данным генетических исследований полевок рода Alexandromys, в Эворон-Чукчагирской низменности обитает только эворонская полевка (Alexandromys evoronensis (Kowalskaya et Sokolov 1980)) (Картавцева и др., 2022). В северо-восточной части Среднеамурской низменности между городами Хабаровск и Комсомольск-на-Амуре достоверно отмечено обитание только A. fortis (Шереметьева и др., 2022).
Отсутствие географических барьеров для полевки Максимовича в Среднеамурской низменности позволило предположить, что этот вид может обитать во влажных биотопах северо-восточной части низменности. Именно поэтому целью нашего исследования был анализ распространения восточноазиатских полевок в ранее не исследованном районе северо-восточной части Среднеамурской низменности с применением хромосомного метода не только для видовой диагностики, но и для выяснения характера хромосомных перестроек и их роли во внутрипопуляционной изменчивости на клеточном уровне. Использование ранее опубликованных данных о кариотипе полевки Максимовича позволило определить варианты кариотипа и хромосомные перестройки в ранее исследованных популяциях средней части Среднеамурской низменности. На основании литературных данных о комплексном генетическом (хромосомном, молекулярно-генетическом и аллозимном) исследовании полевки Максимовича и дальневосточной полевки в Среднеамурской низменности установлены места как раздельного, так и их совместного обитания.
МАТЕРИАЛЫ И МЕТОДЫ
В результате полевых работ в северо-восточной части Среднеамурской низменности (северный берег р. Амур), в окрестностях пос. Эльбан в Хабаровском крае (рис. 1А) нами были отловлены полевки рода Alexandromys (n = 20). Отлов проводили ловушками Шермана 20–23 июля 2023 г. в двух точках. Точка 1 (n = 18) находилась в 4 км западнее пос. Эльбан, расположенного на правом берегу одноименной реки, притока р. Амур (50°06ʹ03ʺ с. ш., 136°27ʹ39ʺ в.д). Точка 2 (n = 2) находилась в 10 км к юго-востоку от поселка, на левом берегу р. Эльбан (50°02ʹ45ʺ с. ш., 136°33ʹ43ʺ в.д). Обе точки были приурочены к заброшенным сельскохозяйственным полям (залежам), расположенным вблизи небольших широколиственных лесов, с двумя типами биотопов – влажными (преобладание осоки и вейника) и сухими (преобладание кровохлебки).
Рис 1. Ареалы двух видов восточноазиатских полевок рода Alexandromys: А – Alexandromys maximowiczii, Б – Alexandromys fortis (по: Kryštufek, Shenbrot, 2022). Эллипсом выделена Среднеамурская низменность, штриховкой обозначен предполагаемый ареал вида, мелкими точками – места отлова полевок, большими точками – места terra typica и названия подвидов. Звездочкой и стрелкой отмечена новая находка кариотипированной полевки Максимовича.
Суспензии хромосом полевок готовили в полевых условиях стандартным методом с небольшой модификацией по общепринятому методу (Ford, Hamerton, 1956; Макгрегор, Варли, 1986): из клеток костного мозга, взятых из бедренной кости с предварительным введением 0.04% раствора колхицина на 25–30 минут (а не 40 минут). Костный мозг из бедренной кости вымывали в пробирку при помощи медицинского шприца, наполненного гипотоническим раствором (0.56% KCl), и затем оставляли для инкубации на 20–25 минут при комнатной температуре (не 15 мин при температуре 37°С). Затем раствор центрифугировали (800– 1000 об/мин) 5 минут. После центрифугирования надосадочную жидкость сливали, а клеточный осадок, без его разбивания, фиксировали свежеприготовленным фиксатором – смесью 96% этанола (а не метанола) и ледяной уксусной кислоты (в соотношении 3:1) не менее 10 минут. Затем осадок (состоящий из ядер и хромосом на разных стадиях деления) разбивали до однородной взвеси. Смену фиксатора производили не менее трех раз, центрифугируя осадок в течение 5 минут. Общее время фиксации не менее 40 минут. В последней порции фиксатора суспензию клеток оставляли в холодильнике для хранения при температуре –20°С.
Для анализа хромосомных чисел и морфологии хромосом препараты окрашивали 2% орсеином, растворенным в ледяной уксусной кислоте. В полевых условиях использовали небольшой микроскоп Longway LW91–06E (Китай), окуляры: 40/0.65 и 100/1.25. Дальнейшую обработку хромосомных препаратов проводили в лабораторных условиях. При микрофотографировании использовали микроскоп Axio Imager 1, цифровую камеру и программное обеспечение Metasystems фирмы Carl Zeiss MicroImaging GmbH (Германия) Центра коллективного пользования “Биотехнология и генетическая инженерия” ФНЦ Биоразнообразия ДВО РАН (Владивосток). Использованная нами номенклатура хромосом кариотипа была разработана ранее для полевки Максимовича из Забайкалья (Lemskaya et al., 2010) и применена к полевкам Амурской области (Картавцева и др., 2013). Номенклатура была создана с помощью методов FISH и G-окрашивания хромосом, которые позволили дать характеристику хромосомной форме “С”, определить структурные перестройки и вовлеченные в эти перестройки номера хромосом. Так, метацентрической хромосоме, образованной в результате центрического слияния хромосом пар № 11 и № 20, присвоен номер 11.20 (точка указывает на робертсоновское слияние), другой метацентрической хромосоме, образованной в результате тандемного слияния пар № 3 и № 4, присвоен номер 3/4 (косая черта указывает на тандемное или теломерное слияние). Вариантам кариотипа с одинаковым числом хромосом, различающихся по числу плеч (NF), присваивали букву, которую ставили после диплоидного числа, например 2n = 41a, 2n = 41b и т. д. Такое обозначение вариантов кариотипа было использовано ранее для эворонской полевки, имеющей множественные хромосомные перестройки (Kartavtseva et al., 2021). Вариант 2n = 41b, NF = 59 описан по опубликованной раскладке хромосом (Мейер и др., 1996, вклейка рис. 86 г), вариант 2n = 41с, NF = 59 описан по полученным ранее данным (Картавцева и др., 2017), где номера хромосомам не были присвоены.
Черепа, шкурки, хромосомные препараты, суспензии хромосом хранятся в лаборатории эволюционной зоологии и генетики ФНЦ Биоразнообразия ДВО РАН.
Для видовой диагностики двух видов полевок (дальневосточной и полевки Максимовича) в полевых условиях также была проанализирована морфология головки спермиев взрослых самцов. У полевки Максимовича и эворонской полевки головка спермия округлая, у дальневосточной полевки – крючковатая (Мейер и др., 1996). Содержимое эпидидимиса самцов (без физраствора и фиксатора) наносили на предметное стекло тонким слоем и просматривали в полевом микроскопе при увеличении объектива х40, без окрашивания и фиксации. Далее эпидидимис фиксировали тем же фиксатором, что и суспензии хромосом.
Места находок полевки Максимовича и дальневосточной полевки на Среднеамурской низменности были определены на основании данных о локалитетах полевок, полученных при проведении молекулярных, хромосомных и аллозимных исследований (табл. 1 и 2).
Таблица 1. Места генетического исследования – хромосомного, молекулярно-генетического и аллозимного – полевки Максимовича (Alexandromys maximowiczii) на территории Среднеамурской низменности
№ | Локалитет | Методы исследования | Источник | |||||
молекулярный | хромосомный | аллозимный | ||||||
2n = 40a | 2n = 41 | |||||||
a | b | c | ||||||
Хабаровский край левый берег Амура | ||||||||
1 | Пос. Эльбан | 10 | 8 | Наши данные | ||||
правый берег Амура | ||||||||
2 | Пос. Кукан. | 3 | 13 | Фрисман и др., 2011 | ||||
3 | Жд разъезд Утиная, р. Тунгуска (восточный берег) | 4 | 1 | Мейер и др., 1996 | ||||
4 | Пос. Галкино, южный берег р. Амур | 10 | Шереметьева и др., 2015; Sheremetyeva et al., 2024 | |||||
Там же | 8 | 1 | Картавцева и др., 2017 | |||||
5 | О-в Большой уссурийский (Китай) | 11 | Sheremetyeva et al., 2024; Wang et al., 2014 | |||||
6 | Пос. Оренбургское, левый берег р. Бикин | 2 | Шереметьева и др., 2015, Sheremetyeva et al., 2024 | |||||
Еврейская АО левый берег Амура | ||||||||
7 | Пос. Кульдур. | 4 | Фрисман и др., 2011, 2019 | |||||
8 | Пос. Известковый | 17 | Фрисман и др., 2011, 2019 | |||||
9 | Пос. Пашково | 1 | Фрисман и др., 2019 | |||||
10 | Пос. Радде | 3 | Фрисман и др., 2011 | |||||
11 | Пос. Амурзет | 3 | Шереметьева и др., 2015; Sheremetyeva et al., 2024, | |||||
Там же | 2 | Фрисман и др., 2011 | ||||||
12 | Пос. Садовое | 9 | Шереметьева и др., 2015; Sheremetyeva et al., 2024 | |||||
13 | Пос. Ленинское | 4 | Шереметьева и др., 2015 | |||||
Там же | 6 | 1 | Kartavtseva et al., 2008 | |||||
Там же | 3 | 3 | Фрисман и др., 2011 | |||||
Там же | 5 | Фрисман и др., 2009 | ||||||
14 | Пос. Желтый Яр, р. Бира | 1 | Sheremetyeva et al., 2024 | |||||
15 | Г. Биробиджан | 5 | Sheremetyeva et al., 2024 | |||||
Там же | 1 | Kartavtseva et al., 2008 | ||||||
16 | 13 км к югу от г. Биробиджан | 1 | Фрисман и др., 2011 | |||||
17 | Природный заповедник Бастак (основной кластер) | 4 | Sheremetyeva et al., 2024 | |||||
Там же | 3 | 8 | Фрисман и др., 2011, | |||||
Там же | 4 | 2019 | ||||||
18 | Пос. Аур | 1 | Фрисман и др., 2009 | |||||
Там же | 1 | Kartavtseva et al., 2008 | ||||||
Там же | 2 | Фрисман и др., 2009 | ||||||
Число особей Число локалитетов | 49 | 42 | 10 | 1 | 1 | 60 | ||
9 | 10 | 3 | 1 | 1 | 7 | |||
Таблица 2. Места генетического исследования – хромосомного, молекулярно-генетического и аллозимного – дальневосточной полевки (Alexandromys fortis) на территории Среднеамурской низменности
№ | Локалитет | Методы исследования | Источник | ||
молекулярный | хромосомный | аллозимный | |||
Хабаровский край, левый берег Амура | |||||
1 | Г. Комсомольск-на-Амуре | 3 | 8 | Шереметьева и др., 2006, 2022 | |
2 | Пос. Пивань | 2 | Мейер и др., 1996 | ||
Хабаровский край, правый берег Амура | |||||
3 | Пос. Томское | 2 | 6 | Фрисман и др., 2011 | |
4 | Пос. Галкино, южный берег | 14 | Шереметьева и др., 2015, 2022 | ||
Там же | 2 | Картавцева и др., 2009 | |||
5 | Г. Бикин, правый берег | 8 | Шереметьева и др., 2015, 2022 | ||
Еврейская АО левый берег Амура | |||||
6 | Пос. Даниловка, р. Тунгуска | 2 | Шереметьева и др., 2015, 2022 | ||
7 | Пос. Желтый Яр, р. Бира | 2 | Шереметьева и др., 2022 | ||
8 | Г. Биробиджан | 1 | Фрисман и др., 2009 | ||
Там же | 2 | 15 | Фрисман и др., 2011 | ||
Там же | 1 | Шереметьева и др., 2022 | |||
9 | 13 км к югу от | 1 | 1 | Фрисман и др., 2011 | |
10 | Заповедник Бастак, | 2 | Фрисман и др., 2013 | ||
11 | Пос. Кульдур | 1 | Фрисман и др., 2011, 2013, 2019 | ||
12 | Г. Облучье | 6 | Фрисман и др., 2019 | ||
Там же | 5 | Шереметьева и др., 2022 | |||
13 | Пос. Пашково | 2 | 2 | Фрисман и др., 2019 | |
14 | Пос. Столбовое | 11 | Фрисман и др., 2019 | ||
15 | Пос. Амурзет | 2 | 5 | Фрисман и др., 2011 | |
16 | Пос. Биджан | 8 | Шереметьева и др., 2022 | ||
17 | Пос. Ленинское | 2 | 2 | Фрисман и др., 2009 | |
Там же | 2 | Шереметьева и др., 2022 | |||
Число особей Число локалитетов | 47 | 23 | 50 | ||
10 | 9 | 11 | |||
Распространение двух видов рода Alexandromys в Среднеамурской низменности установлено при использовании опубликованных ранее данных генетического анализа (хромосомного, аллозимного и молекулярно-генетического) (см. табл. 1 и 2). Иногда два или три генетических метода, указанных выше, были применены к одной особи, поэтому число отловленных полевок в локалитете восстановить сложно, следовательно, в таблицах число особей и число локалитетов свидетельствуют об использовании при исследовании определенного метода. Кариотипирование полевок в этих работах проведено И.В. Картавцевой, поэтому в данной работе для ранее выявленных числовых хромосомных характеристик и имеющихся в нашем распоряжении хромосомных раскладок были определены варианты кариотипа, которые позволили выявить частоту встречаемости вариантов у ранее исследованных полевок из популяций в Среднеамурской низменности. Отлов полевок в Еврейской АО был проведен И. В. Картавцевой совместно с И. Н. Шереметьевой и Л. В. Фрисман, также Л. В. Фрисман и К. В. Коробицыной. В окрестностях г. Хабаровск отлов проводили зоологи Хабаровской противочумной станции Роспотребнадзора – А. В. Аднагулова и Н. П. Высочина. На левом берегу р. Бикин, окрестности пос. Орунбургское, отлов был проведен И. В. Картавцевой.
РЕЗУЛЬТАТЫ
Спермии всех исследованных взрослых самцов (n = 8) имели округлую головку, что соответствовало характеристикам полевки Максимовича и эворонской полевки.
Кариотип 18 изученных полевок из двух точек в окрестностях пос. Эльбан был изменчив по числу хромосом, диплоидные числа 40 и 41. Частота попадания полевок в ловушки в этих точках была по 20%. В точке 1 девять полевок имели 40 хромосом: самцы – № 4836, № 4841, № 4856, № 4866, № 4867, № 4868, самки – № 4835, № 4865, № 4839 и семь полевок имели 41 хромосому: самцы – № 4837, № 4838, № 4840, № 4849, № 4852, № 4855, самка № 4850. В точке 2 40 хромосом имела пойманная самка № 4854 и 41 хромосому – самка № 4853. В кариотипе Х-хромосома акроцентрическая, среднего размера, Y-хромосома акроцентрическая, небольшого размера. Такой кариотип соответствовал A. maximowiczii. На основании изменчивости числа и морфологии хромосом кариотипа особей из исследуемой популяции выявлено два варианта кариотипа. Анализ собственных и литературных данных позволил выявить еще два варианта кариотипа полевки Максимовича из Среднеамурской низменности.
Хромосомные характеристики A. maximowiczii в окрестностях пос. Эльбан в северо-восточной части Среднеамурской низменности
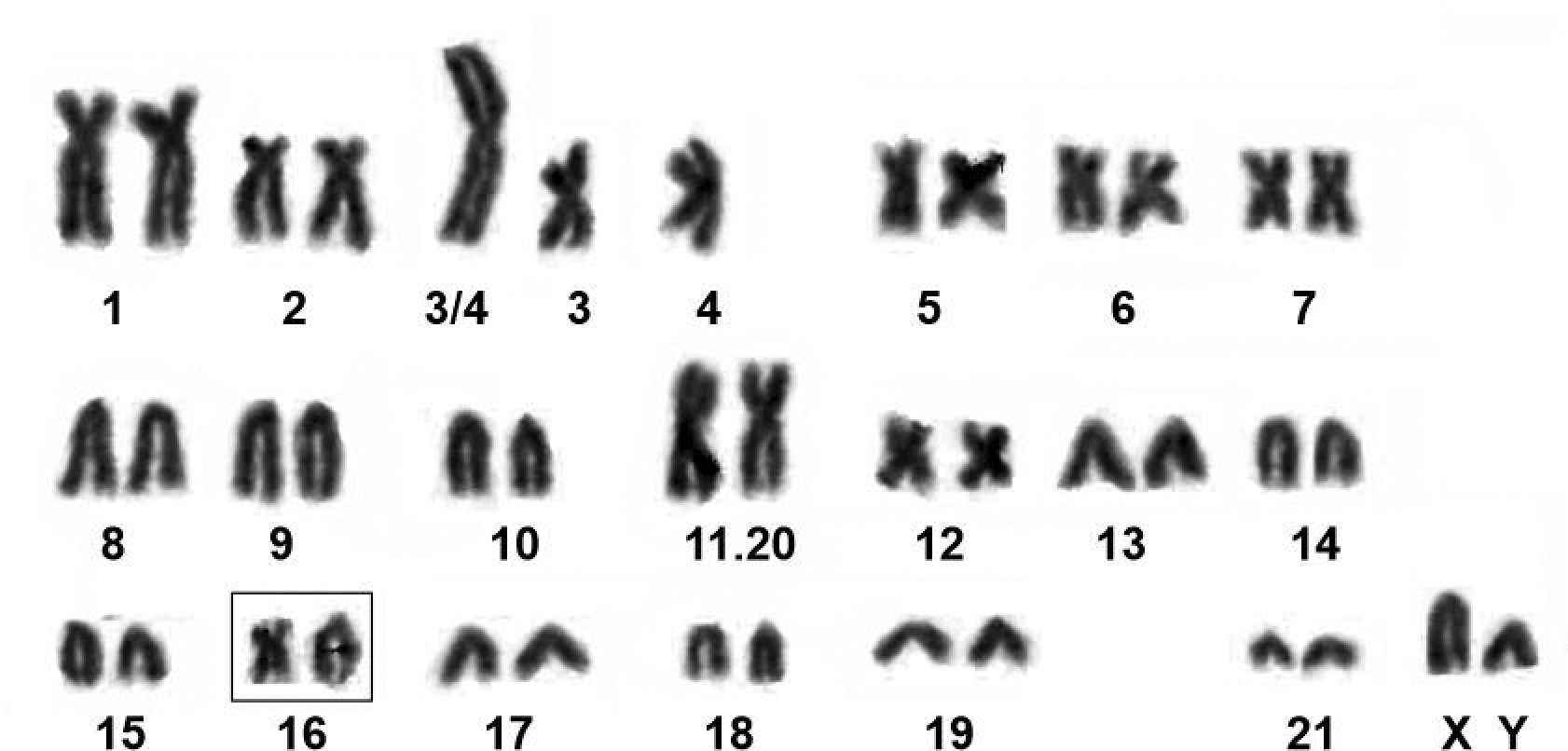
Вариант 2n = 40a, NF = 58 (рис. 2А), хромосомный набор: одна пара крупных метацентриков (№ 3/4), образованных путем теломерного слияния метацентрических хромосом среднего размера (№ 3 и № 4); две пары субтелоцентриков (№ 1 и № 2) крупного и среднего размера; три пары метацентриков, средних по размеру и примерно одинаковых (№№ 5, 6 и 7); метацентрик средних размеров (№ 11.20), образованный в результате слияния центромер акроцентрических хромосом (№ 11 и № 20); две пары мелких субтелоцентрических хромосом (№№ 12 и 16) и десять парных акроцентриков (№№ 8–10, 13–15, 17–19 и 21). Х-хромосома средних размеров акроцентрик, Y-хромосома мелкий акроцентрик.
Вариант 2n = 41а, NF = 60 (рис. 2Б), хромосомный набор: крупный метацентрик № 3/4; два метацентрика № 3 и № 4; два парных субтелоцентрика (№ 1 и № 2); три пары метацентриков средних размеров, относительно одинаковых по размеру (№ 5, № 6 и № 7); парные метацентрики средних размеров (№ 11.20); две пары мелких субтелоцентрических хромосом (№ 12 и № 16) и десять парных акроцентриков (№№ 8–10, №№ 13–15, № 17–19 и № 21). Х-хромосома средних размеров акроцентрик, Y-хромосома мелкий акроцентрик.
Хромосомные характеристики A. maximowiczii средней части Среднеамурской низменности
Также, по ранее опубликованным (Мейер и др., 1996 Картавцева и др., 2017) хромосомным данным (2n и NF) полевки Максимовича из Среднеамурской низменности (табл. 1), мы описываем еще два варианта кариотипа с 2n = 41.
Рис. 2. Хромосомы полевки Максимовича Alexandromys maximowiczii из окрестностей поселка Эльбан Хабаровского края: А – самка № 4854 из точки 2 (вариант 2n = 40а, NF = 58), Б – самец № 4838 из точки 1 (вариант 2n = 41а, NF = 60). Дробь в числе 3/4 указывает на тандемное слияние хромосом, точка в числе 11.20 – на акроцентрическое слияние. В кариотипе пары № 12 и № 16 – субметацентрические хромосомы. Номера пар хромосом соответствуют таковым для полевок Забайкальского края, приведенным в публикации Lemskaya с соавторами (2010).
Вариант 2n = 41b, NF = 59 хромосомный набор характеризуется гетерозиготным состоянием трех хромосом: № 11 и № 20 (акроцентрики) и № 11.20 (метацентрик). Одна из пар аутосом среднего размера, примерно равна паре № 10 в исследованных вариантах кариотипа (рис. 2). Описание кариотипа дано по опубликованной раскладке (Мейер и др., 1996). Вариант обнаружен для полевки из долины р. Тунгуска (локалитет № 3, табл. 1). Остальные особи этой популяции имели вариант 2n = 40а. Половые хромосомы акроцентрические.
Рис. 3. Кариотип самца № 694 полевки Максимовича (Alexandromys maximowiczii), вариант 2n = 41c, NF = 59 (Хабаровская популяция) окрестности пос. Галкино (по: Картавцева и др., 2017, с измененным положением пар хромосом). В рамке гетероморфная (M/A) пара № 16.
Вариант 2n = 41с, NF = 59 (рис. 3) хромосомный набор сходен с вариантом 2n = 41а, но отличается от него гетерозиготным состоянием мелкой пары № 16, которая представлена акроцентриком (А) и метацентриком (М). Изменчивость по морфологии мелкой пары хромосом была обнаружена ранее в Хабаровском крае, в окрестностях пос. Галкино (Картавцева и др., 2017). В работе вариант кариотипа не был описан, а пары хромосом не имели номеров. Из девяти исследованных ранее особей этой популяции только у одного самца обнаружена изменчивость морфологии мелкой пары аутосом. Остальные полевки имели 2n = 40.
Анализ изменчивости частот вариантов кариотипа и хромосомных перестроек в популяциях A. maximowiczii из различных частей Среднеамурской низменности
Если в исследованной в настоящей работе популяции Эльбан (двух локальных точек) частоты двух описанных вариантов кариотипа (2n = 40a, NF = 58 и 2n = 41а, NF = 60) относительно равны – 55.6 и 44.4% соответственно, то в популяциях средней части Среднеамурской низменности преобладал вариант 2n = 40a, NF = 58 (87.5%). Только две полевки из локалитетов № 8 и № 12 в Еврейской АО (табл. 1) имели вариант 2n = 41а, NF = 60 (5.55%). Редкие варианты 2n = 41b, NF = 59 (3.5%) и 2n = 41с, NF = 59 (3.5%) обнаружены у полевок Хабаровского края в локалитетах № 3 и № 4.
Рис. 4. Локальные популяции Alexandromys maximowiczii (A) и Alexandromys fortis (Б) территории Среднеамурской низменности. Выборки объединены в географические зоны Среднеамурской низменности: 1 – Еврейская АО, левый берег Амура; 2 – Хабаровский край, правый берег Амура; 3 – Хабаровский край, левый берег Амура. Доля особей, исследованных тремя методами, показана цветами: хромосомный (красный); аллозимный (желтый); мт ДНК контрольный регион (синий). Цифры в квадрате означают номер локальной популяции, в которой обнаружен один вид, в кружке – обнаружены одновременно два вида (№ 4 и № 13), в треугольнике – обнаружена смена вида в различные годы исследования (№№ 7, 9, 15, 16). Номера локальных популяций соответствуют таковым для Alexandromys maximowiczii в табл. 1, для Alexandromys fortis в табл. 2.
Варианты 2n = 40a, NF = 58, 2n = 41а, NF = 60 характеризуются двумя структурными перестройками, которые присутствуют одновременно. Для варианта 2n = 40a, NF = 58 характерно гомозиготное состояние двух структурных перестроек: центромерное слияние метацентрика № 11.20; тандемное слияние двух метацентриков средних размеров с образованием метацентрика № 3/4. Кариотип с 41 хромосомой имеет три варианта: первый – гетерозиготное состояние тандемного слияния (2n = 41а, NF = 60); второй – гетерозиготное состояние Робертсоновской перестройки и смещение центромеры (2n = 41b, NF = 59); третий – гетерозиготное состояние тандемного слияния и перицентрической инверсии (2n = 41с, NF = 59). Кариотип 2n = 42 хромосомной формы ”С”, обнаруженный ранее из Амуро-Зейской равнины (Мейер, 1968; Meyer et al., 1967; Kartavtseva et al., 2008) в Приамурье (вариант кариотипа не описан), в Среднеамурской низменности не обнаружен.
ОБСУЖДЕНИЕ
Хромосомная изменчивость полевки Максимовича (A. maximowiczii)
Ранее для видовой диагностики полевки Максимовича Среднеамурской низменности (табл. 2) были использованы только данные 2n и NF без описания вариантов кариотипа. Использование номенклатуры кариотипа полевки Максимовича по собственным и литературным данным позволило дать номера хромосомам, вовлеченным в перестройки, а также выявить и описать четыре варианта кариотипа.
После присвоения номеров парам хромосом в кариотипе полевки Максимовича (Lemskaya et al., 2010) для хромосомной формы “C” выявлено две структурные перестройки (тандемное № 3/4 и центромерное № 11.20 слияния хромосом) для полевок из Амуро-Зейской равнины (Картавцева и др., 2013) и Среднеамурской низменности (настоящая работа). Однако кариотип с 2n = 41 из Забайкалья отличался от варианта 2n = 41b из Среднеамурской низменности, обнаруженного нами у одной особи, тем, что имел другие хромосомные характеристики (другое число мелких акроцентрических хромосом) и, следовательно, иной вариант кариотипа с 2n = 41. Варианты кариотипа полевки Максимовича из Амуро-Зейской равнины и Забайкалья все еще не описаны.
Частоты вариантов, связанных с тандемным слиянием хромосом
Для полевок окрестностей пос. Эльбан частоты вариантов 2n = 40a, NF = 58 и 2n = 41а, NF = 60 составляли 55.6 и 44.4% соответственно. Для полевок средней части Среднеамурской низменности эти показатели были иные – 88.9% (2n = 40a) и 11.1% (2n = 41а) (табл. 2), что свидетельствует о процессе стабилизации кариотипа 2n = 40a, NF = 58. Возможно, стабилизация хромосомной перестройки по тандемному типу слияния хромосом обусловлена внутрипопуляционным инбридингом изучаемых популяций, показанным ранее при анализе аллозимной изменчивости полевки Максимовича в Еврейской АО (Фрисман и др., 2016). Кроме того, по результатам исследования контрольного региона митохондриальной ДНК, каждая отдельная выборка в Еврейской АО имела значительное снижение нуклеотидного разнообразия (более чем 1.5 раза), для вида в целом снижение было менее выраженным (Sheremetyeva et al., 2024). Исключение составила выборка окрестностей пос. Ленинское (выборка № 13, табл. 1), где нуклеотидное разнообразие было более чем в 2 раза выше, чем в остальных исследованных выборках. Снижение нуклеотидного разнообразия в отдельных выборках авторы объясняют биологией вида, для которого характерны глубокие депрессии численности. Расширение нуклеотидного разнообразия внутри выборки окрестностей пос. Ленинское авторы объясняют обнаружением здесь двух субклад – “Amur” и “Khab” – филогенетической группы “Amur”. Хромосомные различия между этими двумя субкладами не обнаружены.
По данным G-окрашивания хромосом полевки Максимовича Забайкалья (локалитет не известен) (Lemskaya et al., 2010) и юга ДВ России в Амурской области, Зейско-Буреинской равнины (Картавцева и др., 2013), показано, что крупная метацентрическая хромосома № 3/4 образована в результате тандемного слияния двуплечих хромосом. Сходство G-окрашенных крупных двуплечих хромосом полевок из Забайкалья (Мейер и др., 1996), Амурской области (Kartavtseva et al., 2008), Еврейской АО (Фрисман и др., 2011) и Хабаровского края (Мейер и др., 1996; Картавцева и др., 2017) свидетельствует о том, что в этих популяциях образование этой хромосомы происходит в результате тандемного слияния одних и тех же двуплечих аутосом. Крупную двуплечую хромосому ранее отмечали в других популяциях Забайкалья (Ковальская и др., 1980). В связи с тем, что эта перестройка встречается на всем ареале вида от Забайкалья до юга Дальнего Востока России, вероятно, она не является вредной для вида. Высокая частота этой хромосомы в гетерозиготном состоянии в популяциях полевок трех хромосомных форм (“A” – 46%, “B” – 42.8% (Ковальская и др., 1980) Забайкалья и исследованной нами хромосомной формы “C” из северо-востока Средне-амурской низменности – 44.4%), согласно интерпретации модели Харди-Вайнберга, свидетельствует о нормальном распределении гетерозигот. Напротив, уменьшение частоты гетерозиготного состояния этой хромосомы у полевок Забайкалья хромосомных форм “B” – 14.7% (Ковальская и др., 1980), “D” – 10% (Kartavtseva et al., 2008) и полевок центральной части Среднеамурской низменности – 11.1% (табл. 1) свидетельствует о том, что в популяциях идет инбридинг, стабилизирующий структурную перестройку (тандемное слияние) хромосом.
Для всех ранее исследованных хромосомных форм полевки Максимовича Бурятии была характерна крупная хромосома, которую регистрировали как в гомозиготном, так и гетерозиготном состоянии (Ковальская и др., 1980) с различной частотой. При этом только для одной особи в одной популяции в Забайкалье (хромосомная форма “А”) обнаружено гомозиготное состояние (!) хромосом № 3 и № 4, принимающих участие в тандемном слиянии. Во всех остальных исследованных популяциях гомозиготное состояние хромосом № 3 и № 4 не выявлено. Вероятно, в одной из этих пар произошла вредная мутация (в Забайкалье), не совместимая с жизнью. Поскольку от Забайкалья до Дальнего Востока России в кариотипах полевки Максимовича всегда присутствует хромосома № 3/4, можно предположить, что слияние хромосом № 3 и № 4 произошло до того как вредная мутация появилась в Забайкалье и распространилась в четырех хромосомных формах (“B”, “C”, “D” и “V”), где исходный кариотип с 2n = 44 не обнаружен.
Примеры такой изменчивости хромосом в популяциях млекопитающих мы не нашли, и такое событие является уникальным и интересным для дальнейшего исследования роли хромосомных перестроек в процессах видообразования. Полевка Максимовича хорошо разводится в неволе и может служить лабораторным видом для генетических исследований. Полиморфизм по тандемному слиянию хромосом в популяциях млекопитающих принято считать редким и вредным (King, 1993; Dobigny et al., 2017), однако в популяциях полевки Максимовича тандемное слияние – не редкое событие. Нами ранее также было показано отсутствие вредного влияния двух типов тандемного слияния хромосом в двух хромосомных расах эворонской полевки (Картавцева и др., 2021; Kartavtseva et al., 2021, 2023). Вариант 2n = 41b, обусловленный гетерозиготным состоянием центромерного слияния (№ 11.20, № 11, № 20), редкий для популяций Среднеамурской низменности. Из 54 кариотипированных особей полевки Максимовича Среднеамурской низменности (табл. 2) только в одной локальной популяции (№ 3, табл. 1) была обнаружена робертсоновская перестройка (11.20) в гетерозиготном состоянии. Изменчивость числа хромосом, связанная с центромерным слиянием хромосом, – событие нередкое (Орлов и др., 2023).
Для особей популяции № 3 полевки Максимовича диплоидные числа хромосом равны 40 и 41 (Мейер и др., 1996). Однако в таблице 29, в которой представлен материал исследования, приведены иные хромосомные числа для этой популяции – 39, 40. При этом авторы указали на хромосомные перестройки в кариотипе с 2n = 41. Число 39 должно было быть связано еще с одной робертсоновской перестройкой, которая не была описана. Из этого мы делаем вывод, что в таблицу закралась опечатка, т. к. для этих полевок число хромосом, судя по характеру описанных хромосомных перестроек этой популяции, должно быть только 40 и 41. Но необычное число хромосом (39) вошло в хромосомные характеристики хромосомной формы “С” в ряде публикаций (Фрисман и др., 2009; Kartavtseva et al., 2008; Kryštufek, Shenbrot, 2022; Sheremetyeva et al., 2024). Считаем, что это число (39) в дальнейшем не может быть использовано для хромосомных чисел хромосомной формы “С” и для нее следует оставить числа 40, 41 и 42 (2n = 42 – обнаружено у полевок Амурской области). Варианты кариотипа полевки Максимовича Амурской области не описаны.
Также редкое событие акроцентрического (А) состояния одного из гомологов аутосом пары 16 в варианте гетерозигот 2n = 41с, NF = 59 (рис. 3). Во всех исследованных локальных популяциях Среднеамурской низменности эта пара хромосом имеет метацентрическую (М) морфологию. По результатам дифференциального окрашивания, такая перестройка хромосомы связана с перицентрической инверсией (Картавцева и др., 2017). На изменчивость морфологии мелких четырех пар аутосом полевки Максимовича из Забайкалья, сопряженную с перицентрической инверсией, указывали как Ковальская (1977), которая не использовала метод дифференциального окрашивания хромосом, так и Раджабли и Саблина (Мейер и др., 1996), которые применили метод дифференциального окрашивания хромосом.
В варианте 2n = 41b одна из аутосом средних размеров также имеет гетерозиготное состояние – субметацентрик/акроцентрик (SM/A). По данным Раджабли и Саблиной (Мейер и др., 1996), обе хромосомы имеют одинаковый рисунок G-блоков, что служит доказательством наличия смещения центромеры. Смещение центромеры (centromere reposition) наблюдается в хромосомах, которые ранее были образованы в результате тандемного слияния двух и более хромосом. “Скольжение” центромеры по хромосоме может быть довольно распространенным явлением у млекопитающих, но эти исследования малочисленны (Dobigny et al., 2017).
Внутривидовая изменчивость морфологии хромосом млекопитающих в результате перицентрических инверсий и смещения центромеры отмечена для ряда видов млекопитающих (Dobigny et al., 2017). Из 12 нынеживущих видов рода Alexandromys можно указать пять, где для двух видов – A. maximowiczii (Ковальская, 1977; Мейер и др., 1996; настоящая работа) и A. mujanensis Orlov et Kovalskaja 1978 (Картавцева и др., 2019) – обнаружены оба типа перестроек в четырех парах хромосом (частоту каждой указать сложно), для двух видов – A. fortis и A. middendorffii – инверсии только по одной из пар аутосом. Так, изменчивость морфологии аутосом (субтелоцентрик и акроцентрик, ST и A), связанную с перицентрической инверсией, как редкое событие обнаружили у A. fortis популяций юга Дальнего Востока России, где лишь у четырех особей из 130 исследованных седьмая пара аутосом имела акроцентрическую морфологию (Шереметьева и др., 2006). Для A. m. middendorffii и A. m. hyperboreus обнаружена перицентрическая инверсия (ST и A) в самой крупной паре аутосом (Гилева, 1972). Частота гетерозигот для A. m. middendorffii в этой работе немного превышала ожидаемую частоту по формуле Харди-Вайнберга при исследовании 24 природных и 38 лабораторных особей южного Ямала.
Все четыре хромосомных варианта кариотипа полевки Максимовича имеют структурные перестройки: тандемное слияние метацентрических хромосом (№ 3 и № 4) и центромерное слияние акроцентрических хромосом (№ 11 и № 20) и два из этих вариантов имеют и внутри хромосомные перестройки – смещение центромеры и инверсию. Тандемное слияние метацентрических хромосом c образованием крупной двуплечей хромосомы отмечено для всех исследованных особей Среднеамурской низменности. Нами показано снижение частоты гетерозигот по этой перестройке (как правило, это кариотип с 2n = 41) в ранее исследованных популяциях полевки Максимовича, что свидетельствует о близкородственном скрещивании в этих популяциях и подтверждает мнение о внутрипопуляционном инбридинге полевок (Фрисман и др., 2016).
Так как для хромосомной формы “C” известно другое хромосомное число (2n = 42) из Амуро-Зейской равнины в Амурской области, планируем продолжить исследования хромосомных наборов полевок из различных регионов ДВ России и выполнить описание новых вариантов кариотипа с указанием характера перестроек хромосом.
Хромосомная изменчивость дальневосточной полевки (A. fortis)
На территории Среднеамурской низменности дальневосточная полевка имеет уникальную вариабельность числа и локализации гетерохроматиновых блоков в центромерных и теломерных районах аутосом и половых хромосом при стабильном диплоидном числе (2n = 52, NFa = 62–64) (Ковальская и др., 1991; Шереметьева и др., 2006). Уникальность состоит в изменчивости числа и локализации гетерохроматинового материала в теломерных районах, которая не выявлена для других видов серых и восточноазиатских полевок.
Такая изменчивость аналогична изменчивости дальневосточной полевки в Приморском крае. Субтелоцентрическая (ST) морфология 7-й пары аутосом обнаружена у семи полевок из восьми исследованных около г. Комсомольск-на-Амуре (левый берег Амура), акроцентрическая (A) – у двух полевок из окрестностей пос. Пивань Комсомольского района (правый берег Амура). Для дальневосточной полевки из различных локальных популяций Еврейской АО отмечена изменчивость морфологии этой пары хромосом, но частота изменчивости не описана (Фрисман и др., 2011). Короткие плечи этой пары хромосом часто столь малы, что при сильной спирализации хромосом трудно определить ее морфологию (A или ST)
Таким образом, новые данные о кариотипах полевки Максимовича и анализ проведенных ранее генетические исследований позволили дифференцировать морфологически сходные два вида восточноазиатских полевок и сделать предположение о распространении двух видов на всей Среднеамурской низменности территории Российского Дальнего Востока. Два вида могут обитать симпатрически не только на одной территории, но и в одном локалитете. Для полевки Максимовича восточная граница ареала в Хабаровском крае смещена нами от ранее известной на 200 км в сторону г. Комсомольск-на Амуре.
Распространение A. fortis и A. maximowiczii в Среднеамурской низменности
Полевка Максимовича. По данным генетического анализа – молекулярно-генетического, хромосомного и аллозимного – в Среднеамурской низменности этот вид обнаружен в 18 локалитетах (табл. 1, рис. 4А). Для многих популяций использован тот или иной метод идентификации вида и только для двух популяций в Еврейской АО – № 8 и № 11 – применены все три метода. На рис. 4 диаграммами показан вклад каждого из трех генетических методов исследования в идентификацию двух видов в трех зонах Среднеамурской низменности. Первые две зоны – это правый и левый берег Амура в средней части низменности, третья зона – на северо-востоке низменности. Дифференциально окрашенные хромосомы исследованы для двух локальных популяций Хабаровского края (№ 3 и № 4) и одной локальной популяции Еврейской АО (№ 11), что позволило определить не только видовую принадлежность полевок, но и идентифицировать пары хромосом и подтвердить их отнесение к хромосомной форме “С”.
Дальневосточная полевка. Согласно данным генетического анализа, проведенного (смотри табл. 2) с использованием трех методов, для дальневосточной полевки Среднеамурской низменности левобережья Амура на карте указаны 17 локалитетов (рис. 4Б). Вклад каждого из трех генетических методов в диагностику вида показан диаграммами для трех зон Среднеамурской низменности.
Для двух видов локальных популяций Еврейская АО больший вклад внес аллозимный анализ, Хабаровского края – молекулярно-генетический и хромосомный анализы (рис. 4).
Совместное обитание двух видов. В двух локальных популяциях одновременно отлавливали два вида полевок: в окрестностях пос. Галкино, расположенного недалеко от г. Хабаровск, локалитет № 4 (табл. 1 и 2) и окрестностях пос. Ленинское, локалитет № 13 для полевки Максимовича (табл. 1) и локалитет № 17 для дальневосточной полевки (табл. 2). На рис. 4 номера локалитетов совместного обитания дальневосточной полевки и полевки Максимовича обозначены кружками.
Замена одного вида на другой в одной локальной популяции при отлове в различные годы отмечена в четырех локальных популяциях Еврейской АО (рис. 4А, 4Б, популяции очерчены треугольником) – в двух локальных популяциях (годы отлова не указаны) близ г. Биробиджан (Фрисман и др., 2009, 2011) и в двух популяциях в окрестностях пос. Кульдур и окрестностях пос. Пашково, где в 2010 г. отлавливали полевку Максимовича, в 2011 – дальневосточную полевку (Фрисман и др., 2016).
Интересны находки двух видов в устьях двух рек (Бикин и Тунгуска) в Хабаровском крае. Так, если на левом берегу р. Бикин, окрестностей с. Оренбургское (популяция № 6, табл. 1), обнаружена полевка Максимовича, то на правом берегу р. Бикин, в окрестностях г. Бикин (популяция № 5, табл. 2), – дальневосточная полевка. В устье р. Тунгуска на восточном берегу, ж. д. разъезд Утиная (локалитет № 3, табл. 1), обнаружена полевка Максимовича, на западном берегу, у пос. Даниловка, Еврейская АО – дальневосточная полевка (локалитет № 6, табл. 2).
Обнаружение полевки Максимовича в северо-восточной части Среднеамурской низменности позволило изменить восточную границу ее ареала и уточнить распространение вида на исследуемой территории. Сопоставление результатов хромосомного анализа выявило четыре варианта кариотипа с 2n = 40 и 2n = 41. Кариотип характеризуется двумя структурными перестройками – тандемным слиянием метацентрических хромосом № 3 и № 4 и центромерным слиянием акроцентрических пар № 11 и № 20. Центромерное слияние хромосом во всех исследованных локальных популяциях стабилизировано, за исключением одного случая, обнаруженного в долине р. Тунгуска, точке № 4 (табл. 2). Изменчивость числа хромосом в остальных случаях связана с тандемным слиянием аутосом.
Благодарности
Мы благодарны администрации пос. Эльбан за помощь в проведения полевых работ. Выражаем благодарность анонимным рецензентам, замечания которых позволили улучшить содержание и стиль рукописи.
Финансирование работы
Работа выполнена в рамках государственного задания Министерства науки и высшего образования Российской Федерации (тема № 124012200182-1).
Соблюдение этических стандартов
Исследование проводилось в соответствии с утвержденными национальными рекомендациями по содержанию и использованию лабораторных животных и одобрено Этическим комитетом по содержанию и использованию животных Федерального научного центра биоразнообразия наземных биоресурсов Восточной Азии (утверждено протоколом № 3 от 21 февраля 2023 г.).
Конфликт интересов
Авторы данной работы заявляют, что у них нет конфликта интересов.
About the authors
I. V. Kartavtseva
Federal Scientific Center of East Asia Terrestrial Biodiversity, Far Eastern Branch, Russian Academy of Sciences
Author for correspondence.
Email: kartavtseva@biosoil.ru
Russian Federation, 159 Stoletiya Vladivostok Ave., Vladivostok, 690022
A. I. Stepanova
Federal Scientific Center of East Asia Terrestrial Biodiversity, Far Eastern Branch, Russian Academy of Sciences
Email: kartavtseva@biosoil.ru
Russian Federation, 159 Stoletiya Vladivostok Ave., Vladivostok, 690022
References
- Гилева Э.А., 1972. Хромосомный полиморфизм у двух близких форм субарктических полевок (северосибирской полевки и полевки Миддендорфа) // Доклады АН СССР. Т. 203. № 2. С. 689–692.
- Громов И.М., Поляков И.Я., 1977. Полевки (Microtinae) // Фауна СССР. Новая серия. № 116. Млекопитающие. Т. 3. Вып. 8. Ленинград: Наука. 504 с.
- Громов И.М., Ербаева М.А., 1995. Млекопитающие фауны России и сопредельных территорий. Зайцеобразные и грызуны. СПб.: ЗИН РАН. 522 с.
- Загороднюк И.В., 1992. Кариотипическая изменчивость и систематика серых полевок (Rodentia, Arvicolini). Сообщение 2. Система корреляций хромосомных чисел // Вестник зоологии. № 5. С. 36–45.
- Картавцева И.В., Шереметьева И.Н., Немкова Г.А., Рослик Г.В., Коновалова Е.В., Рябкова А.В., Высочина Н.П., Фрисман Л.В., 2009. Новые данные в исследовании хромосом мелких млекопитающих Приамурья // Комплексные исследования природной среды в бассейне реки Амур: материалы Межрегиональной научной конференции (III Дружининские чтения). Т. 1. C. 186–188.
- Картавцева И.В., Шереметьева И.Н., Романенко С.А., Гладких О.Л., Рябкова А.В., 2013. Изменчивость хромосом полевки Максимовича Microtus maximowiczii (Rodentia, Cricetidae, Microtus) // Цитология. Т. 55. № 4. С. 261–263.
- Картавцева И.В., Тиунов М.П. Лапин А.С., Высочина Н.П., Рябкова А.В., 2011. Инвазия полевки Microtus rossiaemeridionalis на территорию Дальнего Востока России // Российский журнал биологических инвазий. № 4. С. 17–24. [Kartavtseva I.V., Tiunov M. P., Lapin A.S., Visochina N.P., Rabkova A.V., 2012. Invasion of Microtus rossiaemeridionalis in to the Territory of the Russian Far East // Russian Journal of Biological Invasions. V. 3. № 1. P. 11–15. doi: 10.1134/S2075111712010031].
- Картавцева И.В., Аднагулова А.В., Высочина Н.П., 2017. Хромосомная и морфологическая изменчивость полевки Максимовича хабаровской популяции // ИрГСХА. Вып. 83. С. 74–82.
- Картавцева И.В., Васильева Т.В., Шереметьева И.Н., Лемская Н.А., Моролдоев И.В., Голенищев Ф.Н., 2019. Генетическая изменчивость трех изолированных популяций муйской полевки Alexandromys mujanensis Orlov et Kovalskaja, 1978 (Rodentia, Arvicolinae) // Генетика. Т. 55. № 8. С. 920–935. doi: 10.1134/S0016675819080071 [Kartavtseva I.V., Vasilieva T.V., Sheremetyeva I.N., Lemskaya N.A., Moroldoev I.V., Golenishchev F.N., 2019. Genetic Variability of Three Isolated Populations of the Muya Valley Vole Alexandromys mujanensis Orlov et Kovalskaja, 1978 (Rodentia, Arvicolinae) // Russian Journal of Genetics. V. 55. № 8. P. 978– 992. doi: 10.1134/S1022795419080076].
- Картавцева И.В., Шереметьева И.Н., Павленко М.В., 2021. Множественный хромосомный полиморфизм, хромосомной расы “эворон” эворонской полевки (Rodentia, Arvicolinae) // Генетика. Т. 57. № 1. С. 82– 94. doi: 10.31857/S0016675821010082 [Kartavtseva I.V., Sheremetyeva I.N., Pavlenko M.V., 2021. Multiple Chromosomal Polymorphism of “Evoron” Chromosomal Race of the Evoron Vole (Rodentia, Arvicolinae) // Russian Journal of Genetics. 2021. V. 57. № 1. P. 70–82. doi: 10.1134/S1022795421010087].
- Картавцева И.В., Степанова А.И., Шереметьева И.Н., Павленко М.В., Фрисман Л.В., 2022. Новые данные о краснокнижном виде Хабаровского края – эворонской полевке Alexandromys evoronensis (Rodentia, Arvicolinae) // Актуальные проблемы зоогеографии и биоразнообразия Дальнего Востока России: материалы Всероссийского симпозиума, посвященного 150-летию со дня рождения В.К. Арсеньева (г. Хабаровск, 29-31 марта 2022 г.). Под ред. В.В. Рожнова. Хабаровск: БФ «Биосфера). С. 124–130.
- Костенко В.А., 2000. Грызуны (Rodentia) Дальнего Востока России. Владивосток: Дальнаука. 210 с.
- Ковальская Ю.М., 1977. Хромосомный полиморфизм полевки Максимовича Microtus maximowiczii Schrenk, 1858 (Rodentia, Cricetidae) // Бюллетень Московского общества испытателей природы. Биология. Т. 82. № 2. С. 38−48.
- Ковальская Ю.М., Хотолху H., Орлов В.Н., 1980. Географическое распространение хромосомных мутаций и структура вида Microtus maximowiczii (Rodentia, Cricetidae) // Зоологический журнал. Т. 59. № 12. С. 1862−1869.
- Ковальская Ю.М., Анискин В.М., Картавцева И.В., 1991. Географическая изменчивость по гетерохроматину восточной полевки Microtus fortis // Зоологический журнал. Т. 70. № 12. С. 97−103.
- Крюкова М.В., 1999. Конспект водно-прибрежной флоры Среднеамурской низменности. Хабаровск: Институт водных и экологических проблем ДВО РАН. 44 с.
- Лапин А.С., Высочина Н.П., Здановская Н.И., Мусатов Ю.С., Полещук Д.Н., 2015. Экология и эпидемиологическое значение восточноевропейской полевки на юге Хабаровского края // Дальневосточный журнал инфекционной патологии. № 27. C. 53–56.
- Лисовский А.А., Кадетова А.А., Оболенская Е.В., 2018. Морфологическое определение видов восточноазиатских серых полевок Alexandromys (Rodentia, Cricetidae) России и сопредельных территорий // Зоологический журнал. Т. 97. № 1. С. 101–113.
- Мейер М.Н., 1968. Комплексный таксономический анализ вида на примере некоторых форм серых полевок (род Microtus) // Зоологический журнал. Т. 57. Вып. 6. С. 850−859.
- Мейр М.Н., Голенищев Ф.Н., Раджабли С.И., Саблина О.Л., 1996. Серые полевки фауны России и сопредельных территорий // РАН труды Зоол. ин-та. С.-П. Т. 32. 320 c.
- Орлов В.Н., 1974. Кариосистематика млекопитающих. М.: Наука. 207 с.
- Орлов В.Н., Ляпунова Е.А., Баскевич М.И., Картавцева И.В., Малыгин В.М, Булатова Н.Ш., 2023. Цитогенетика млекопитающих и ее вклад в разработку хромосомных диагнозов и системы видов // Зоологический журнал. T. 102. № 4. С. 386−407. doi: 10.31857/S0044513423040104 [Orlov V.N., Lyapunova E.A., Baskevich M.I., Kartavtseva I.V., Malygin V.M., Bulatova N.Sh., 2023. Mammalian Cytogenetics and Its Contribution to the Development of Chromosomal Diagnoses and the Species System // Biology Bulletin. V. 50. № 9. P. 2333–2353. doi: 10.1134/S1062359023090273].
- Фрисман Л.В., Коробицына К.В., Картавцева И.В., Шереметьева И.Н., Войта Л.Л., 2009. Полевки (Microtus Shrank, 1798) Российского Дальнего Востока: аллозимная и кариологическая дивергенция // Генетика. Т. 45. №. 6. С. 804–812. [Frisman L.V., Korobitsyna K.V., Kartavtseva I.V., Sheremetyeva I.N., Voyta L.L., 2009. Voles (Microtus Shrank, 1798) of the Russian Far East: Allozymic and Karyological Divergence // Russian Journal of Genetics. Т. 45. № 6. 707– 714].
- Фрисман Л.В., Картавцева И.В., Капитонова Л.В., Высочина Н.П., Рябкова А.В., 2011. Генетическое исследование серых полевок рода Microtus территории Еврейской автономной области // Региональные проблемы. Т. 14. № 2. С. 70−77.
- Фрисман Л.В., Картавцева И.В., Лисовский А.А., Шереметьева И.Н., Вакурин А.А., Капитонова Л.В., Аверин А.А., 2013. Идентификация видов серых полевок и пищухи в заповеднике “Бастак” // X Дальневосточная конференция по заповедному делу: материалы (Благовещенск, 25-27 сент. 2013 г.). Благовещенск, 2013. С. 313–315.
- Фрисман Л.В., Картавцева И.В., Шереметьева И.Н., Павленко М.В., Кораблев В.П., 2016. Аллозимная дифференциация и кариотипические особенности восточноазиатских полевок Дальнего Востока России // Вестник СВНЦ ДВО РАН. № 3. С. 93– 103.
- Фрисман Л.В., Капитонова Л.В., Картавцева И.В., Шереметьева И.Н., Васильева Т.В., 2019. Полевые сборы мелких млекопитающих на территории северо-востока Малого Хингана и южной части Буреинского хребта // Региональные проблемы. Т. 22. № 2. С. 13– 25. doi: 10.31433/2618-9593-2019-22-2-13-25
- Шереметьева И.Н., 2023. Видовой состав и распространение серых полёвок Забайкалья и Дальнего Востока России // Амурский зоологический журнал. Т. 15. № 4. С. 724–743. doi: 10.33910/2686-9519-2023-15-4-724-743
- Шереметьева И.Н., Картавцева И.В., Фрисман Л.В., 2006. Кариологическая и аллозимная изменчивость дальневосточной полевки Microtus fortis Buchner, 1889 (Cricetidae, Rodentia) Дальнего Востока России // Генетика. Т. 42. № 6. С. 833–843. [Sheremetyeva I.N., Kartavtseva I.V., Frisman L.V., 2006. Karyological and allozyme variability of Far Eastern voles Microtus fortis Büchner, 1889 (Cricetidae, Rodentia) from the Russian Far East // Russian Journal of Genetics. V. 42. № 6. P. 681–690].
- Шереметьева И.Н., Картавцева И.В., Фрисман Л.В., Васильева Т.В., Аднагулова А.В., 2015. Полиморфизм и генетическая структура полевки Максимовича Microtus maximowiczii (Schrenck 1858) (Rodentia, Cricetidae) Среднего Приамурья по данным секвенирования контрольного региона мтДНК // Генетика. Т. 51. № 10. С. 1154– 1162. doi: 10.7868/S0016675815100161 [Sheremetyeva I.N., Kartavtseva I.V., Frisman L.V., Vasil’eva T.V., Adnagulova A.V., 2015. Polymorphism and genetic structure of Maximowicz’s vole (Microtus maximowiczii (Schrenck 1858) from the Middle Amur river region as inferred from sequencing of the mtDNA control region // Russian Journal of Genetics. V. 51. № 10. P. 992–999. doi: 10.1134/S1022795415100166].
- Шереметьева И.Н., Картавцева И.В., Емельянова А.А., Лапин А.С., 2021. Изменчивость контрольного региона мтДНК восточноевропейской полевки Microtus rossiaemeridionalis (Rodentia, Arvicolini) из двух инвазивных популяций юга Дальнего Востока России // Генетика. Т. 57. № 11. С. 1252–1260. DOI: S0016675821110138
- Шереметьева И.Н., Картавцева И.В., Павленко М.В., Моролдоев И.В., Баженов Ю.А., Голенищев Ф.Н., 2022. Формирование генетической структуры популяций дальневосточной полевки (Alexandromys fortis, Rodentia, Arvicolinae) на северной периферии ареала // Зоологический журнал. Т. 101. № 10. С. 1173– 1189. DOI: S0044513422080098 [Sheremetyeva I.N., Kartavtseva I.V., Pavlenko M.V., Moroldoev I.V., Bazhenov Yu.A., Golenishchev F.N., 2023. Genetic Structure Formation of Reed Vole Populations at the Northern Periphery of Their Distribution (Alexandromys fortis, Rodentia, Arvicolinae) // Biology Bulletin. V. 50. № 8. P. 67–382. doi: 10.1134/S1062359023080253].
- Яшина Л.Н., Иванов Л.И., Слонова Р.А., Компанец Г.Г., Гуторов В.В., Кушнарева Т.В., Высочина Н.П., Абрамов С.А., Дупал Т.А., Пуховская Н.М., Здановская Н.И., 2008. Хантавирусы, циркулирующие в полевках Microtus fortis и Microtus maximowiczii // Тихоокеанский медицинский журнал. № 2. С. 47–49.
- Dobigny G., Britton-Davidian J., Robinson T.J., 2017. Chromosomal polymorphism in mammals: an evolutionary perspective // Biol. Rev. V. 92. P. 1–21. doi: 10.1111/brv.12213
- Dzagurova T., Tkachenko E., Slonova R., Ivanov L., Ivanidze E., Markeshin S., Dekonenko A., Niklasson B., Lundkvist A., 1995. Antigenic relationships of hantavirus strains analyzed by monoclonal antibodies. Arch. Virol. V. 140. P. 1763–1773.
- Ford C.E., Hamerton J.L., 1956. A colchicine, hypotonic citrate, squash sequence for mammalian chromosomes // Stain Technol. V. 31. P. 247–251.
- Hörling J., Chizhikov V., Lundkvist A., Jonsson M., Ivanov L., Dekonenko A., Niklasson B., Dzagurova T., Peters C. J., Tkachenko E., Nichol S., 1996. Khabarovsk virus: a phylogenetically and serologically distinct Hantavirus isolated from Microtus fortis trapped in Far-East Russia // Journal of General Virology. V. 77. P. 687–694.
- Kartavtseva I.V., Sheremetyeva I.N., Korobitsina K.V., Nemkova G.A., Konovalova E.V., Korablev V.P., Voyta L.L., 2008. Chromosomal forms of Microtus maximowiczii (Schrenck, 1858) (Rodentia, Cricetidae): variability in 2n and NF in different geographic regions // Russian Journal of Genetics. V. 60. № 4. P. 481–492. doi: 10.1134/S1022795424040136
- Kartavtseva I.V., Sheremetyeva I.N., Pavlenko M.V., 2021. Intraspecific Multiple Chromosomal Variations Including Rare Tandem Fusion in the Russian Far Eastern Endemic Evoron Vole Alexandromys evoronensis (Rodentia, Arvicolinae) // Comparative Cytogenetic. V. 15. № 4. P. 393–411. doi: 10.3897/compcytogen.v15.i4.67112
- Kartavtseva I.V., Stepanova A.I., Sheremetyeva I.N., Pavlenko M.V., Frisman L.V., 2023. A new record of the Evoron vole (Rodentia, Arvicolinae: Alexandromys evoronensis) in the Far East // Amurian Zoological Journal. V. 15. № 2. P. 378–384. doi: 10.33910/2686-9519-2023-15-2-378-384
- Kariwa H., Yoshimatsu K., Sawabe J., Yokota E., Arikawa J., Takashima I. et al., 1999. Genetic diversities of hantaviruses among rodents in Hokkaido, Japan and Far East Russia // Virus Research. V. 59. C. 219–228.
- King M., 1993. Chromosomal Speciation Revisited (Again): Species Evolution. The Role of Chromosome Change, Cambridge: Cambridge Univ. Press.
- Kryštufek B., Shenbrot G.I., 2022 Voles and Lemmings (Arvicolinae) of the Palaearctic Region. University of Maribor, University Press. 436 p.
- Lemskaya N.A., Romanenko S.A., Golenishchev F.N., Rubtsova N.V, Sablina O.V, Serdukova N.A., O’Brien P.C.M., Fu B., Yiğit N., Ferguson-Smith M.A., Yang F., Graphodatsky A.S., 2010. Chromosomal evolution of Arvicolinae (Cricetidae, Rodentia). III. Karyotype relationships of ten Microtus species // Chromosome Research. V. 18. P. 459– 471.
- Meyer M., Jordan M., Walknowska J.A. 1967. A karyosystematic study of some Microtus species // Folia boil. (Polska). V. 15. № 3. P. 251–264.
- Shenbrot G.I., Krasnov B.R., 2005. An Atlas of the Geographic Distribution of the Arvicoline Rodents of the world (Rodentia, Muridae: Arvicolinae). Sofia: Pensoft Publ. 336 p.
- Sheremetyeva I.N., Kartavtseva I.V., Pavlenko M.V., Goro-beyko U.V., Bazhenov Yu.A., Moroldoev I.V., Voyta L.L., 2024. Phylogeographic Structure of Alexandromys maximowiczii Schrenck, 1859 (Rodentia, Cricetidae): a Comparison of the MtDNA Control Region Variability and Chromosome Polymorphism Data Russian // Journal of Genetics. V. 60. № 4. P. 481–492. doi: 10.1134/S1022795423010106
- Wang C.-Q., Gao J.-H., Li M., Guo W.-P., Lu M.-Q., et al., 2014. Co-circulation of Hantaan, Kenkeme and Khabarovsk Hantaviruses in Bolshoy Ussuriysky Island, China // Virus Research. V. 191. 51–58.
Supplementary files






