Properties of Hydrolyzed Polyalumotris(acetylacetonato)ethylsiloxane
- Авторлар: Shapkin N.P.1, Pervakov K.A.1, Fedorets A.N.1, Lembikov A.O.1, Dran’kov A.N.1, Savchenko V.G.1
-
Мекемелер:
- Far Eastern Federal University
- Шығарылым: Том 94, № 3 (2024)
- Беттер: 440-449
- Бөлім: Articles
- URL: https://ogarev-online.ru/0044-460X/article/view/261512
- DOI: https://doi.org/10.31857/S0044460X24030146
- EDN: https://elibrary.ru/FXZMYM
- ID: 261512
Дәйексөз келтіру
Толық мәтін
Аннотация
The work is devoted to the study of the structural and sorption properties of metal exchangers obtained under conditions of extraction by hydrochloric acid (1:2) of the product of interaction of tris(3-chlorosulfenyl)-2,4-aluminum pentanedionate with vinyl trichlorosilane. The reaction was considered using two organic solvents – chloroform and toluene. A comparison of diffractometric parameters, elemental analysis, NMR spectra, thermogravimetric curves, as well as surfaces (SEM) and internal structure of isolated substances was presented. The capacity of the products with respect to Fe³⁺ is on the order of 7.1 mg·eq/g.
Толық мәтін
ВВЕДЕНИЕ
Изучение и исследование такого класса кремнийорганических соединений как полиметаллорганосилоксаны обусловлено разнообразием их эксплуатационных характеристик. Особую нишу заняли металлорганосилоксаны на основе ацетилацетонатов металлов, в структуре которых есть хелатный металлокомплексный фрагмент. Данная разновидность полиметаллорганосилоксанов, в отличие от типичных представителей класса, имеющих связь металл–кислород–кремний, в своей структуре содержит дополнительный фрагмент, где атом металла связан с кремнием через органический радикал. Имеются сведения о том, что полимерные материалы, полученные на основе этих веществ [1], имеют большой потенциал при создании селективных хелатообразующих ионообменников и гетерогенных катализаторов [2, 3].
Одним из ключевых прикладных направлений использования данных соединений является разработка модификаторов, способных улучшать сорбционные свойства природных носителей, например, силикагеля [4]. Применение металлосилоксанов общего вида M–O–Si≡ как модификаторов может быть отнесено и к созданию специальных покрытий (стойких к эрозии [5], термически отвержденных эпоксидных смол [6]). Так, в работе [7] описан способ модификации полипропиленовых волокон, где алюмосилоксан позволяет повысить антистатические свойства поверхности.
Ранее проведенное исследование [8] показало, что в результате реакции присоединения сульфенилхлоридов ацетилацетонатов металлов к поливинилсилсесквиоксану образуются сшитые нерастворимые пространственные металлохелатные полимеры. В работе [9] дана структурная характеристика продуктов этой реакции с помощью различных методов физико-химического анализа при использовании в качестве исходных веществ поливинилсилсесквиосана и поливинил-, полидиметилсилоксана и сульфенилхлорида ацетилацетоната хрома(III).
Исследование структуры производных алюминия для полимеров этого типа может оказаться более важным, поскольку алюминий более легко извлекаем из металлокомплексного фрагмента ацетилацетонатного ядра, чем хром, что может являться перспективной основой для получения сорбента, действие которого заключается в хемосорбции хелатного узла свободных ацетилацетонатных групп.
В работе [8] описано получение ионообменных материалов, однако в настоящей работе осуществлен более тщательный анализ свойств, строения и структуры подобных ионообменников с проведением двух параллельных синтезов в различных растворителях (толуол и хлороформ).
РЕЗУЛЬТАТЫ И ОБСУЖДЕНИЕ
Извлечь атом металла из нерастворимых сшитых полимеров, выделенных по методике [8], не представляется возможным, так как при обработке соляной кислотой образуется другая сшитая полимерная форма, поэтому для осуществления данного процесса необходимо использовать другой подход. При этом следует учитывать природу образующихся комплексов металлов и для извлечения лучше использовать менее стойкий комплекс. Использование в качестве исходного комплекса сульфенилхлорида хрома(III) считали неэффективным ввиду его устойчивости и, как следствие, прочности, а также невозможностью получить спектр ЯМР на ядрах хрома из-за парамагнитных свойств атома.
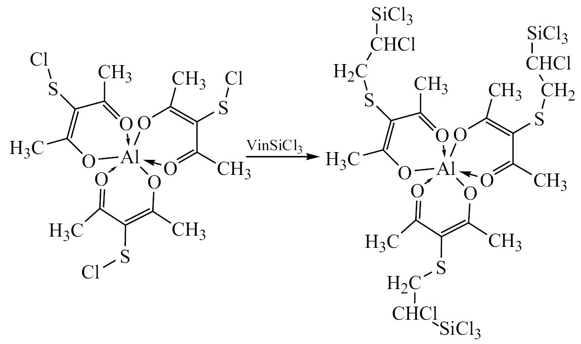
В качестве модельной реакции взят процесс, описанный в работе [8]. Взаимодействие сульфенилхлорида ацетилацетоната алюминия с винилтрихлорсиланом протекает как присоединение по двойной связи (схема 1).
Схема 1.
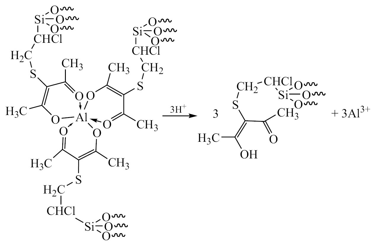
Осуществление методики, приведенной в работе [8], оказалось неэффективным, и наблюдались иные процессы, указанные в вышеупомянутой статье, так как гидролиз продукта взаимодействия VinSiCl₃ и комплекса алюминия соляной кислотой не приводил к образованию геля, а нагрев смеси способствовал потемнению раствора с образованием осадка.
Схема 2.
В действительности кислотный гидролиз (схема 2), как мы предполагаем, приводит к одновременному протеканию нескольких процессов. В результате происходит образование растворимой полимерной части, которую мы и называем после выделения ионообменником, и в большем количестве полимера, нерастворимого в органических растворителях. Извлечение проводили двумя параллельными синтезами, где в качестве растворителей использовали толуол и хлороформ соответственно, что было обусловлено хорошей растворимостью исходных веществ и гидролизованных продуктов в данных растворителях.
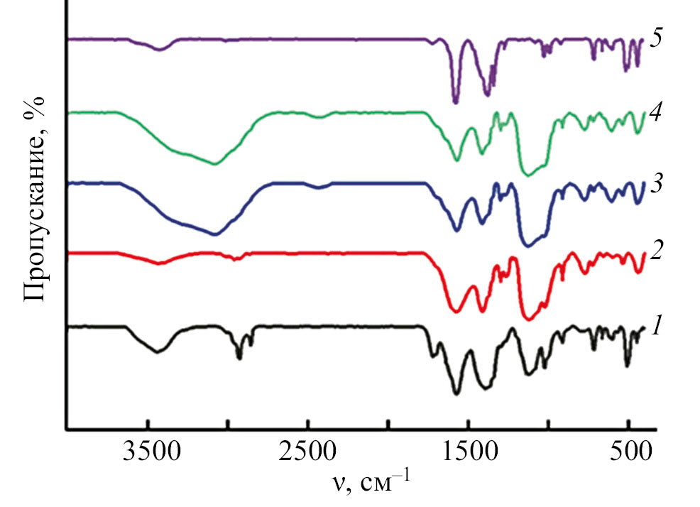
Присутствие свободных ацетилацетонатных групп в соединениях подтверждается наличием полосы 1700–1720 см⁻¹ в ИК спектре (рис. 1).
Рис. 1. ИК спектры растворимых продуктов, выделенных из толуола (1) и хлороформа (2), соответствующих нерастворимых продуктов (3, 4) и сульфенилхлорида ацетилацетоната алюминия (5).
Для подтверждения гипотезы о том, что в полученных соединениях имеются предполагаемые нами фрагменты, проведена их аналитическая реакция с раствором треххлористого железа, в результате которой наблюдалось образование темно-красных осадков. Это также указывает на то, что в соединениях присутствуют свободные ацетилацетонатные группировки.
Спектры ЯМР извлеченных продуктов частично различаются между собой. Полимеры содержат в спектре ЯМР ¹H группу сигналов в области 2.3–2.5 м. д., характерную для протонов метильной группы в ацетилацетонатном фрагменте. В спектре ЯМР ¹³C сигнал кето-группы ацетилацетоната регистрируется при 198 м. д., сигнал углерода, связанного двойной связью в ацетилацетонатном цикле, проявляется при 106 м. д. В области 24–25 м. д. регистрируются сигналы углеродов метильных фрагментов, выше 25 м. д. – сигналы углеродов групп, связанных с дезэкранирующими атомами серы и хлора. В спектре ²⁷Al полимера, извлеченного из CHCl₃, отсутствует какой-либо сигнал, что говорит о фактически полном извлечении алюминия. В спектре продукта, извлеченного из толуола, присутствует сигнал, отвечающий октаэдрическому окружению алюминия, с химическим сдвигом около –2 м. д., примерно равным по значению сдвигу сульфенилхлорида (–2.81 м. д.), интенсивность которого оказывается гораздо больше. Присутствие силоксановой компонентны подтверждается твердотельным спектром ²⁹Si (рис. 2), в котором присутствуют сигналы при –69 (T2 окружение) и –79 м. д. (T3 окружение).
Рис. 2. Спектр ЯМР ²⁹Si растворимого продукта, выделенного из раствора хлороформа.
В спектрах ЯМР ¹H всех продуктов имеется наиболее интенсивный общий сигнал при 2.38 м. д., причем в исходных сульфенилхлоридах самый интенсивный сигнал лежит в области 2.64–2.58 м. д., что может быть объяснено донорным влиянием кремния в первом случае. В спектре исходного ацетиалацетоната сигнал метильных протонов находится в более сильном поле – в области 1.98 м. д.
В работе [8] для данного метода извлечения отмечалось, что процесс сопровождается эффектом бета-расщепления связи Si–C, что приводит к отрыву определенной части полимерного узла (схема 3).
Упоминалось о том, что влияние галогена становится более существенным при использовании жестких условий извлечения (конц. HCl). Однако в нашем случае результаты химического анализа и данные спектроскопии ЯМР говорят о том, что разрушение связи кремний–углерод под действием галогена в β-положении [10] происходит только в случае толуольного продукта, для второго продукта этот эффект менее выражен, хотя часть хлорид-анинов и подвергается миграции. Образование гидроксильной группы у кремния при кислотном гидролизе приводит к дополнительным реакциям конденсации, из-за чего происходит процесс полимеризации, и образуется нерастворимая часть.
Таблица 1. Данные дифрактометрического анализа исследуемых полимеров.
Вещество | 2θ, град | FWHM, град | d001, нм | Sb, нм² | lОКР, нм | VОКР, нм³ |
Растворимый полимер из толуола | 6.01 | – | 1.47 | 1.50 | – | – |
Растворимый полимер из хлороформа | 7.04 | 2.62 | 1.25 | 1.16 | 3.04 | 3.52 |
Нерастворимый полимер из толуола | 7.09 | 3.50 | 1.25 | 1.14 | 2.27 | 2.60 |
Нерастворимый полимер из хлороформа | 7.30 | 2.59 | 1.21 | 1.09 | 3.07 | 3.35 |
Для выделенных продуктов получены данные дифрактометрического анализа (табл. 1). Для нахождения размера области когерентного рассеяния использовали формулу Селякова–Шеррера (1):
(1)
где λ – длина волны рентгеновского излучения, нм; θ – угол рассеяния, град; FWHM – ширина на полувысоте, град.
Согласно Миллеру–Бойеру [11] рассчитаны площади сечения полимерной цепи по формуле (2):
, (2)
где d = d001 – межплоскостное расстояние; S – площадь поперечного сечения полимерной цепи.
Из значений l и S можно найти объем области, где выполняются законы дифракции, согласно формуле (3):
. (3)
Различие в количестве фаз в веществах может быть обусловлено влиянием растворителя, более длительным временным воздействием соляной кислоты и сохранением фрагментов сульфенилхлорида в соединении, отвечающим смещенным рефлексам на дифрактограмме.
Рис. 3. Дифрактограммы растворимых продуктов, извлеченных из толуола (1), хлороформа (2), и соответствующих нерастворимых продуктов (3, 4).
Дифрактограмма первого вещества на рис. 3 демонстрирует, что в толуоле разрушение комплекса идет гораздо глубже, из-за чего первый рефлекс проявляется неявно и определить ширину на полувысоте не представляется возможным. В общем случае при извлечении алюминия объем ОКР образующихся полимеров повышается и приближается к значению объема ОКР исходного поливинилсилоксана. Рефлексы, характерные силоксановым полимерам [12] вблизи 10 и 24° на дифрактограмме, сохраняются. Хлороформ как координирующий растворитель облегчает выход металла, из-за чего структура оказывается более упорядоченной, а извлечение оказывается более полным, на что указывает отсутствие алюминия в растворимом продукте в спектре ЯМР ²⁷Al.
Рис. 4. Изменение межплоскостного расстояния продуктов при извлечении в толуоле и хлороформе (данные для [VinSiO₁.₅]n[SCl(acac)]₃Al взяты из работы [9]).
Разрушение хлорсилильного производного сульфенилхлорида ацетилацетоната алюминия приводит к промежуточному нерастворимому продукту, где повышается значение межплоскостного расстояния. Дальнейшее извлечение приводит к получению растворимого продукта (рис. 4), в котором также увеличивается значение межплоскостного расстояния. В случае более значительного разрушения для толуольного продукта разброс значений d001 оказывается больше, и происходит большее расширение цепи.
Рис. 5. Термограммы продуктов, полученных после извлечения алюминия в растворе толуола (а) и хлороформа (б).
Присутствие силоксановой компоненты в частично разрушенных соляной кислотой комплексах, помимо данных ЯМР и дифрактометрии, доказывается внешним видом термограмм, представленных на рис. 5. Наличие экзоэффектов 292 и 326°C для первого продукта и 305°C для второго говорит о присутствии в структуре ацетилацетонатного фрагмента, который обычно разрушается при данной температуре. Сохранение этилсилоксанового звена подтверждается наличием высокотемпературного экзоэффекта при 605 и 595°C соответственно, причем содержание силоксановой компоненты, по данным ТГА, для толуольного продукта оказывается меньше (сухой остаток SiO2), что также следует из элементного анализа.
Рис. 6. Изменение поглощательной способности вещества с увеличением числа циклов сорбции-десорбции для металлообменников, полученных из растворов толуола (1) и хлороформа (2).
Для выделенных из растворов толуола и хлороформа комплексов, содержащих свободные ацетилацетонатные группы, проведено три цикла сорбции-десорбции раствора железа (рис. 6). В целом, вещества на первом и последнем циклах имеют близкие показатели: исходный ионообменник поглощает около 80 мг металла (7.1 мг∙экв металла на 1 г сорбента), увеличение числа регенерации ионообменника приводит к его частичному разрушению (бета-эффект, cхема 3) и уменьшению сорбционной способности. На третьем цикле число поглощенных ионов уменьшается приблизительно в 2 раза. При еще нескольких дополнительно проведенных циклов сорбционная способность снижается до минимума. Отличие полученных продуктов отмечается, главным образом, на втором цикле, где металлообменник из раствора толуола сохраняет высокую сорбционную способность.
Рис. 7. Увеличенные изображения СЭМ растворимого продукта, выделенного после извлечения кислотой в растворе хлороформа в виде твердого порошка (а–в) и тонкой пленки на предметном стекле (г–е).
Поверхность извлеченного продукта имеет несколько характерных участков (рис. 7). Стоит отметить, что некоторые области поверхности имеют вид, схожий с комплексами, полученными в работе [9]. Большая часть поверхности состоит из включений, которые образуют ямы в объеме. При большем увеличении видно, что эти образования имеют пористую структуру. Внутри некоторых ям содержатся пластинки, и их пустота не до конца заполняется.
Рис. 8. Изображения, полученные с помощью оптического микроскопа, для растворимых продуктов, выделенных после извлечения кислотой в растворе хлороформа (а, б) и толуола (в) в виде тонкой пленки.
Изображения СЭМ и оптической микроскопии подтверждают разнородную ксерогельную структуру, причем структура состоит из нескольких слоев (рис. 8). Между слоями пространство заполняется плотной монолитной поверхностью, содержащей полусферические углубления (кратеры), поры размером 10–80 нм и вдавленные деформированные сферы с пустотами.
Морфология толуольной пленки, по данным СЭМ и оптической микроскопии, имеет такой же характер, как и для пленки, полученной из хлороформа, поэтому здесь мы не приводили аналогичные снимки. Отличие состоит в увеличении числа пор на единицу площади в толуольном продукте, а также появлением образований типа «sun flower» (рис. 8), что может быть объяснено сохранением исходной матрицы в фрагменте, из-за чего на поверхности имеются не полностью извлеченные участки.
ВЫВОДЫ
Таким образом, в результате реакции кислотного гидролиза металлохелатного полиэтилсилоксана получены растворимые и нерастворимые полимерные продукты. Значительное преобладание выхода нерастворимой фракции, по всей видимости, обусловлено дополнительными процессами сшивания, которые сопровождают процессы гидролиза и извлечения атома металла из ацетилацетонатного узла. Растворимые фракции образуются с выходом 25–35%, при этом в зависимости от подобранного растворителя их структурные, поверхностные и сорбционные свойства могут незначительно меняться. Использование выделенного в условиях данного процесса ионообменника может быть осуществлено при модификации поверхности природного носителя.
ЭКСПЕРИМЕНТАЛЬНАЯ ЧАСТЬ
ИК спектры записывали на ИК-Фурье спектрометре ФСМ 2201 (Инфраспек, Россия), используя таблетки KBr. Спектры ЯМР регистрировали с помощью спектрометра высокого разрешения Avance II-400 МГц (Bruker, Германия) в дейтерохлороформе. Твердотельные спектры ЯМР некоторых образцов регистрировали с помощью Advance AV-300 (MAS∙ЯМР) (Bruker, Германия). Изображения поверхности образцов получали с помощью растрового электронного микроскопа (РЭМ) Carl Zeiss Ultra 55+ (Германия) с приставкой для энергодисперсионного (ЭДС) микроанализа Oxford Instruments X-Max 80 (Великобритания). Исследования поверхности образцов твердых веществ в проходящем свете осуществляли при помощи микроскопа Olympus BX-43 с камерой Olympus XC-50 (Япония). Рентгеноструктурные исследования порошков проводили с использованием рентгеновского дифрактометра Colibri (Burevestnik, Россия). Средняя длина волны (λ) излучения CuKα1–Kα2 (40 кВ, 10 мА) составляла 1.5418 Å. Сигнал регистрировали детектором Muthen2, оснащенным Kβ-Ni-фильтром, и диапазон углов составлял 1–60°, экспозиция – 1–2 с. Количественный рентгеноструктурный анализ проводили с использованием программы Fityk. Термогравиметрический анализ (ТГА) проводили на дифференциальном термогравиметрическом анализаторе DTG-60H (Shimadzu, Япония); нагрев от 25 до 1000°C со скоростью нагрева 20 град/мин; среда для термического анализа пробы – воздух, использовали платиновый тигель.
Использованные растворители и жидкие реагенты использованы после предварительной перегонки: толуол (т. кип. 110–111°C), хлороформ (т. кип. 61°C), винилтрихлорсилан (т. кип. 91°C). Сульфенилхлорид ацетилацетоната алюминия получен по методу Клюйбера [13] из ацетилацетоната алюминия и дихлорида серы.
Извлечение алюминия проводили, основываясь на работе [8]. К 5.43 г (0.0103 моль) сульфенилхлорида ацетилацетоната алюминия, растворенного при нагревании в 100 мл толуола, добавляли 5.00 г (0.0309 моль) винилтрихлорсилана и гидролизовали 50 мл соляной кислоты (1:1). Данную смесь оставляли на сутки, дополнительно добавляли 30 мл конц. HCl и 50 мл толуола и оставляли еще на сутки. Декантированный от образовавшейся беловатой сметаноподобной массы толуольный раствор отделяли от водной фазы на делительной воронке, нейтрализовали раствором 5%-ной соды, слои повторно разделяли на воронке и толуольную часть обезвоживали сульфатом натрия. Собранную после фильтрования от Na2SO4 фракцию желтоватого цвета отгоняли на роторном испарителе и остаток досушивали в вакуумном шкафу. После всех операций было выделено 1.1 г вещества темно-желтого, коричневатого цвета. В осадок, выделенный на стадии декантирования, добавляли 150 мл воды, отфильтровывали, промывали раствором 5%-ной соды до нейтральной реакции, после высушивания был выделен осадок розово-оранжевого цвета.
Аналогичным образом проводили синтез в растворе хлороформа. К 7.3 г (0.01395 моль) сульфенилхлорида ацетилацетоната алюминия, растворенного в 100 мл хлороформа, добавляли 6.76 г (0.04185 моль) винилтрихлорсилана. На вторые сутки после протекания реакции раствор становился малиново-красным, в этот момент к раствору добавляли 50 мл конц. HCl и оставляли на сутки. После разбавления раствор центрифугировали с получением трех фракций: верхней – водный кислотный слой, средней – осадок, нижней – желтый хлороформный слой. Хлороформный слой выделяли, промывали, отгоняли большую часть растворителя и сушили в вакуумном шкафу. Выделено 2.3 г целевого вещества. Остальная массовая часть уходит на образование сшитого нерастворимого пространственного полимера розоватого цвета.
Сорбционную способность полученных ионообменников оценивали, используя стандартный раствор соли железа FeCl₃ концентрацией 1 мг/мл. Раствор готовили из точной навески по металлическому железу (ХЧ) и последующим его растворением в эквивалентном количестве соляной кислоты. Определение равновесной концентрации после сорбции осуществляли при помощи метода градуировочного графика (λ = 500 нм, l = 10 мм). Для определения оптической плотности использовали спектрофотометр UNICO 1200/1201 (США).
Навеску вещества массой 0.2 г растворяли в 40 мл ацетона, добавляли 100 мл раствора железа (1 мг/мл). На всех стадиях циклов наблюдали образование осадка вишневого цвета. Осадок отделяли фильтрованием, фильрат собирали в мерную колбу объемом 200 мл, фильтрат еще раз фильтровали для создания полностью прозрачного раствора и доводили до метки дистиллированной водой. Проводили анализ полученного раствора на спектрофотометре и рассчитывали массу поглощенного вещества, исходя из данных градуировки. Оставшийся на фильтре красный осадок сушили и далее обрабатывали на фильтре 120 мл 12%-ной соляной кислоты. После регенерации ионообменника осадок снова сушили и повторяли действия по растворению осадка в ацетоне, добавлению стандартного раствора, фотометрированию и извлечению кислотой в течение трех циклов.
Трис(ацетилацетонат) алюминия использовали без предварительной очистки. Спектр ЯМР ¹H, δ, м. д.: 1.98 с (6H, CH₃), 5.47 с (1H, =CHCO). Спектр ЯМР ¹³C, δС, м. д.: 26.78 (CH₃) 101.14 (=CHCO) 191.46 (C=O). Спектр ЯМР ²⁷Al, δAl, м. д.: –1.82 (Al–O).
Трис(3-хлорсульфенил-2,4-пентандионат) алюминия. ИК спектр, ν, см⁻¹: 516 (Al–O), 1271 (C=C, C–CH₃), 1338 [νs(CH₃)], 1375 [νs(CH₃)], 1411 [νas(CH₃)], 1575 (C=O, C=C), 1720 (C–O). Спектр ЯМР ¹H, δ, м. д.: 2.61 д (6H, CH₃). Спектр ЯМР ¹³C, δC, м. д.: 27.65 (CH₃) 109.96 (CH₃C=CO) 201.64 (C=O). Спектр ЯМР ²⁷Al, δAl, м. д.: –2.81 (Al–O). Найдено, %: C 33.31; Cl 19.04; S 17.55. AlC¹5Cl₃H18O6S3. Вычислено, %: C 34.38; Cl 20.34; S 18.34.
Растворимый продукт, выделенный из толуола. Выход 20.2%. ИК спектр, ν, см⁻¹: 1080 (Si–O–Si), 1114 (Si–C), 1263 (C=C, C–CH₃), 1340 [νs(CH₃)], 1388 [νs(CH₃)], 1413 [νas(CH₃)], 1570 (C=O, C=C), 1697 (C–O), 1718 (C–O). Спектр ЯМР ¹H, δ, м. д.: 2.39 м (6H, CH₃), 7.19 м (3H, CH₂=CHSi). Спектр ЯМР ¹³C, δC, м. д.: 24.76 (2CH₃), 27.93 и 29.93 (осколки, 2CH₃), 100.13 (=CHCOH), 106.44 (CH₃C=CO), 128.46 и 129.27 (CH₂=CHSi), 198.12 (C=O) и 199.77 (осколок, C=O). Спектр ЯМР ²⁷Al, δAl, м. д.: –1.15 (Al–O). Найдено, %: C 36.55; Si 7.85; Cl 6.31; S 12.27. C⁷ClH¹⁰O³.5SSi. Вычислено, %: C 34.21; Si 11.41; Cl 14.46; S 13.04.
Растворимый продукт, выделенный из хлороформа. Выход 31.5%. ИК спектр, ν, см⁻¹: 1080 (Si–O–Si), 1116 (Si–C), 1265 (C=C, C–CH₃), 1369 [νs(CH₃)], 1409 [νas(CH₃)], 1574 (C=O, C=C). Спектр ЯМР ¹H, δ, м. д.: 2.39 м (6H, CH₃). Спектр ЯМР ¹³C, δC, м. д.: 24.8 (2CH₃), 25.35 (осколки, 2CH₃), 36.96 (CH₂S) и 40.27 (осколок, CH₂S), 44.08 (CHCl), 100.13 (=CHCOH) и 103.32 (=CHCOH), 106.44 (CH₃C=CO), 198.12 (C=O) и 198.56 (осколок, C=O). Спектр ЯМР ²⁹Si (твердотельный), δSi, м. д: –69.3 (T2), –79.4 (T3). Найдено, %: C 35.62; Si 10.88; Cl 10.83; S 14.37. C⁷ClH¹⁰O³.5SSi. Вычислено, %: C 34.21; Si 11.41; Cl 14.46; S 13.04.
Нерастворимый продукт, выделенный из толуола. ИК спектр, ν, см⁻¹: 1058 (Si–O–Si), 1124 (Si–C), 1265 (C=C, C–CH₃), 1346 [νs(CH₃)], 1371 [νs(CH₃)], 1409 [νas(CH₃)], 1568 (C=O, C=C), 1697 (C–O), 1718 (C–O).
Нерастворимый продукт, выделенный из хлороформа. ИК спектр, ν, см⁻¹: 1060 (Si–O–Si), 1120 (Si–C), 1265 (C=C, C–CH₃), 1346 [νs(CH₃)],1409 [νas(CH₃)], 1568 (C=O, C=C), 1699 (C–O).
ФИНАНСОВАЯ ПОДДЕРЖКА
Работа выполнена в рамках государственного задания (тема № FZNS-2024-0014) с использованием оборудования Департамента химии и материалов и Департамента ядерных технологий Дальневосточного федерального университета (создание новых молодежных лабораторий).
КОНФЛИКТ ИНТЕРЕСОВ
Авторы заявляют об отсутствии конфликта интересов.
Авторлар туралы
N. Shapkin
Far Eastern Federal University
Email: pervakov.ka@dvfu.ru
Ресей, Vladivostok, 690922
K. Pervakov
Far Eastern Federal University
Хат алмасуға жауапты Автор.
Email: pervakov.ka@dvfu.ru
ORCID iD: 0009-0002-5233-1592
Ресей, Vladivostok, 690922
A. Fedorets
Far Eastern Federal University
Email: pervakov.ka@dvfu.ru
Ресей, Vladivostok, 690922
A. Lembikov
Far Eastern Federal University
Email: pervakov.ka@dvfu.ru
ORCID iD: 0000-0003-0436-0612
Ресей, Vladivostok, 690922
A. Dran’kov
Far Eastern Federal University
Email: pervakov.ka@dvfu.ru
ORCID iD: 0000-0002-2215-7987
Ресей, Vladivostok, 690922
V. Savchenko
Far Eastern Federal University
Email: pervakov.ka@dvfu.ru
Ресей, Vladivostok, 690922
Әдебиет тізімі
- Сергиенко Н.В., Транкина Е.С., Польщикова Н.В., Корлюков А.А. // Коорд. хим. 2021. Т. 47. № 6. С. 344; Sergienko N.V., Trankina E.S., Polshchikova N.V., Korlyukov A.A. // Russ. J. Coord. Chem. 2021. Vol. 47. N 6. P. 382. doi: 10.1134/S1070328421060063.
- Херинг Р. Хелатообразующие ионообменники. М.: Мир, 1971. 279 c.
- Свистунова И.В. Дис. ... канд. хим. наук. Владивосток: ДВФУ, 1998. 101 с.
- Аликовский А.В., Крижаненко Г.А., Капустина А.А., Телешова В.П., Шапкин Н.П. // Колл. ж. 1988. Т. 50. № 3. С. 551.
- Andropova U., Serenko O., Tebeneva N., Tarasenkov A., Askadskii A., Afanasyev E., Novikov L., Chernik V., Voronina E., Muzafarov A. // Polym. Degrad. Stab. 2021. Vol. 183. Article ID 109424. doi: 10.1016/j.polymdegradstab.2020.109424
- Parshina M.S., Tarasenkov A.N., Aysin R.R., Tebeneva N.A., Buzin M.I., Afanasyev E.S., Serenko O.A., Muzafarov A.M. // J. Polym. Sci. 2021. Vol. 138. N 36. P. 1. doi: 10.1002/app.50918
- Yoon C.S., Ji D.S. // Fibers Polym. 2003. Vol. 4. N 4. P. 210.
- Шапкин Н.П., Свистунов Г.М., Шапкина В.Я. // Высокомол. соед. (A). 1989. Т. 31. С. 573.
- Pervakov K.A., Shapkin N.P., Razov V.I., Fedorets A.N. // Silicon. 2024. P. 2509. doi: 10.1007/s12633-024-02861-9
- Петров А.Д., Миронов В.Ф., Пономаренко В.А., Чернышов Е.А. Синтез кремнийорганических мономеров. М., 1961. 551 c.
- Miller R.L., Boyer R.F., Heijboer J. // J. Polym. Sci. (A). 1984. Vol. 22. N 12. P. 2043. doi: 10.1002/pol.1984.180221203
- Андрианов К.А., Кононов А.М., Цванкин Д.Я. // Высокомол. соед. (Б). 1968. Т. 10. № 5. С. 320.
- Kluiber R.W. // J. Am. Chem. Soc. 1961. Vol. 83. N 14. P. 3030. doi: 10.1021/ja01475a013
Қосымша файлдар











