Mechanosynthesis of Sulfur-Containing Silver Halide Nanocomposites in a Dimethyl Sulfoxide Medium
- Authors: Urakaev F.K.1,2, Burkitbayev M.M.2
-
Affiliations:
- Sobolev Institute of Geology and Mineralogy, Siberian Branch, Russian Academy of Sciences
- Al-Farabi Kazakh National University
- Issue: Vol 97, No 10 (2023)
- Pages: 1471-1480
- Section: PHYSICAL CHEMISTRY OF NANOCLUSTERS, SUPRAMOLECULAR STRUCTURES, AND NANOMATERIALS
- Submitted: 18.10.2023
- Published: 01.10.2023
- URL: https://ogarev-online.ru/0044-4537/article/view/140331
- DOI: https://doi.org/10.31857/S0044453723100254
- EDN: https://elibrary.ru/PONFHC
- ID: 140331
Cite item
Full Text
Abstract
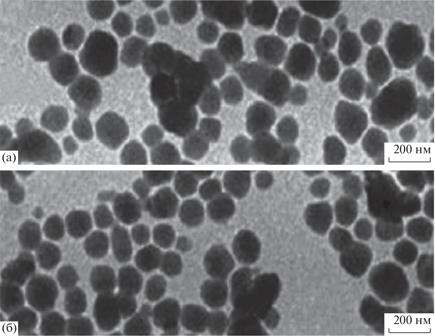
Transformations in the S–AgNO3–NH4X–NH4NO3 (X = Cl, Br, I) system show that nanoparticles and nanocomposites with a controlled size of particles and content of components can be synthesized via mechanical treatment and adding small amounts of a liquid in which the precursors are soluble. Nanoparticles form in a dimethyl sulfoxide (DMSO) medium through conventional (continuous dissolution–crystallization) or reactive means (continuous dissolution of precursors and their reacting with subsequent crystallization of the target product), rather than by direct mechanical activation. The first version is used for synthesizing sulfur nanoparticles (nanosulfur); the second, for synthesizing silver halides. Sulfur-containing S/AgX nanocomposites with a controlled content of sulfur are synthesized mechanochemically. A predetermined content of nanosulfur in the nanocomposites is obtained via the dissolution–crystallization (recrystallization) of sulfur in DMSO inside a mechanochemical reactor. The proposed technical solution allows the synthesis of S/AgX nanocomposites through processing AgNO3, NH4X, and NH4NO3 (diluent) precursors, commercial sulfur, and small amounts of DMSO in planetary ball mills with different fittings. The water-soluble components of the product of mechanosynthesis are readily washed off.
About the authors
F. Kh. Urakaev
Sobolev Institute of Geology and Mineralogy, Siberian Branch, Russian Academy of Sciences; Al-Farabi Kazakh National University
Email: urakaev@igm.nsc.ru
630090, Novosibirsk, Russia; 050040, Almaty, Kazakhstan
M. M. Burkitbayev
Al-Farabi Kazakh National University
Author for correspondence.
Email: Mukhambetkali.Burkitbayev@kaznu.edu.kz
050040, Almaty, Kazakhstan
References
- Friščić T., Childs S.L., Rizvi S.A.A., Jones W. // CrystEngComm. 2009. V. 11. № 3. P. 418. https://doi.org/10.1039/B815174A
- Meenatchi B., Renuga V. // Chem Sci Trans. 2015. V. 4. № 2. P. 577. https://doi.org/10.7598/cst2015.1028
- Ying P., Yu J., Su W. // Adv Synth Catal. 2021. V. 363. № 5. P. 1246. https://doi.org/10.1002/adsc.202001245
- Zaikin P.A., Dyan O.T., Elanov I.R., Borodkin G.I. // Molecules. 2021. V. 26. № 19. P. 5756. https://doi.org/10.3390/molecules26195756
- Kosimov A., Yusibova G., Aruväli J. et al. // Green Chem. 2022. V. 24. № 1. P. 305. https://doi.org/10.1039/D1GC03433B
- Boldyreva E. // Chem. Soc. Rev. 2013. V. 42. № 18. P. 7719. https://doi.org/10.1039/C3CS60052A
- Michalchuk A.A., Boldyreva E.V., Belenguer A.M. et al. // Front. Chem. 2021. V. 9. № 1. P. 685789. https://doi.org/10.3389/fchem.2021.685789
- Boldyreva E.V. // Faraday Discuss. 2023. V. 241. № 1. P. 9. https://doi.org/10.1039/D2FD00149G
- Matsuoka M., Danzuka K. // J. Chem. Eng. Japan. 2009. V. 42. № 6. P. 393. https://doi.org/10.1252/jcej.09we068
- Baláž P., Achimovičová M., Baláž M. et al. // Chem. Soc. Rev. 2013. V. 42. № 18. P. 7571. https://doi.org/10.1039/C3CS35468G
- Katsenis A., Puškarić A., Štrukil V. et al. // Nat Commun. 2015. V. 6. P. 6662. https://doi.org/10.1038/ncomms7662
- Уракаев Ф.Х., Хан Н.В., Татыкаев Б.Б. и др. // Коллоидн. журн. 2020. Т. 82. № 1. С. 101. DOI: (Urakaev F.Kh., Khan N.V., Tatykaev B.B. et al. // Colloid Journal. 2020. V. 82. № 1. P. 76.) https://doi.org/10.1134/S1061933X2001016010.1134/S1061933X20010160https://doi.org/10.1134/S0023291220010164
- Nieto-Castro D., Garcés-Pineda F.A., Moneo-Corcuera A. et al. // Inorg. Chem. 2020. V. 59. № 12. P. 7953. https://doi.org/10.1021/acs.inorgchem.9b03284
- Kadja G.T.M., Suprianti T.R., Ilmi M.M. et al. // Microporous Mesoporous Mater. 2020. V. 47. P. 110550. https://doi.org/10.1016/j.micromeso.2020.110550
- Zyryanov V.V., Petrov S.A., Ulihin A.S. // Ceram Int. 2021. V. 47. № 20. P. 29499. https://doi.org/10.1016/j.ceramint.2021.07.118
- Zyryanov V.V. // Solid State Ionics. 2022. V. 383. P. 115987. https://doi.org/10.1016/j.ssi.2022.115987
- Dubadi R., Huang S.D., Jaroniec M. // Materials. 2023. V. 16. № 4. P. 1460. https://doi.org/10.3390/ma16041460
- Burkitbayev M.M., Urakaev F.Kh. // J. Mol. Liq. 2020. V. 316. P. 113886. https://doi.org/10.1016/j.molliq.2020.113886
- Du G.-X., Xue Q., Ding H., Li Z. // Int. J. Min Process. 2015. V. 141. P. 15. https://doi.org/10.1016/j.minpro.2015.06.008
- Lu J., Lu Z., Li X. et al. // J Clean Prod. 2015. V. 92. P. 223. https://doi.org/10.1016/j.jclepro.2014.12.093
- Lu J., Cong X., Li Y. et al. // J. Clean Prod. 2018. V. 172. P. 1978. https://doi.org/10.1016/j.jclepro.2017.11.228
- Kurniawan T., Muraza O., Hakeem A.S., Al-Amer A.M. // Cryst Growth Des. 2017. V. 17. № 6. P. 3313. https://doi.org/10.1021/acs.cgd.7b00295
- de Oliveira Y.S., Oliveira A.C., Ayala A.P. // Eur J Pharm Sci. 2018. V. 114 (1March). P. 146. https://doi.org/10.1016/j.ejps.2017.11.028
- Yang P., Li X., Li Z. et al. // ACS Sustain Chem Eng. 2022. V. 10. № 11. P. 3513. https://doi.org/10.1021/acssuschemeng.1c07869
- Уракаев Ф.Х., Булавченко А.И., Уралбеков Б.М. и др. // Коллоидн. журн. 2016. Т. 78. № 2. С. 193. (Urakaev F.Kh., Bulavchenko A.I., Uralbekov B.M. et al. //Colloid Journal. 2016. V. 78. №. 2. P. 210.) https://doi.org/10.1134/S1061933X1602015010.1134/S1061933X16020150https://doi.org/10.7868/S0023291216020154
- Shalabayev Zh., Baláž M., Daneu N. et al. // ACS Sustain Chem Eng. 2019. V. 7. № 15. P. 12897. https://doi.org/10.1021/acssuschemeng.9b01849
- Шалабаев Ж.С., Уракаев Ф.Х., Балаж М. и др. Способ получения игольчатых нанокристаллов сульфида меди (II) // Патент РК нa полезную модель № 5287. Номер бюллетеня: 32. Дата бюллетеня: 14.08.2020. https://gosreestr.kazpatent.kz/Utilitymodel/DownLoadFilePdf?patentId=326616&lang=ru
- Khan N., Baláž M., Burkitbayev M. et al. // Appl Surf Sci. 2012. V. 601. P. 154122. https://doi.org/10.1016/j.apsusc.2022.154122
- Khan N.V., Baláž M., Burkitbayev M.M. et al. // Int. J. Biol. Chem. 2022. V. 15. № 1. P. 79. https://doi.org/10.26577/ijbch.2022.v15.i1.09
- Уракаев Ф.Х., Буркитбаев М.М., Уралбеков Б.М., Шалабаев Ж.С. Способ получения наночастиц серы из растворов в диметилсульфоксиде // Евразийское патентное ведомство, Патент № 033075. Номер бюллетеня – 2019-08, 2019.08.30. https://www.eapo.org/ru/publications/publicat/viewpubl.php?id=033075http://www.eapatis.com/Data/EATXT/eapo2019/PDF/201700540.pdf
- Urakaev F.Kh., Burkitbayev M.M., Khan N.V. // Int. J. Biol. Chem. 2022. V. 15. № 2. P. 54. https://doi.org/10.26577/ijbch.2022.v15.i2.09
- Буркитбаев М.М., Хан Н.В., Мадикасимова М.С. и др. Способ получения серосодержащих нанокомпозитов // Патент РК нa полезную модель № 5241. Номер бюллетеня: 30. 30.07.2020. https://gosreestr.kazpatent.kz/Utilitymodel/DownLoadFilePdf?patentId=325175&lang=ru
- Urakaev F.Kh. // Mendeleev Commun. 2012. V. 22. № 4. P. 215. https://doi.org/10.1016/j.mencom.2012.06.016
- Urakaev F.Kh. // Mendeleev Commun. 2016. V. 26. № 6. P. 546. https://doi.org/10.1016/j.mencom.2016.11.030
- LeBel R.G., Goring D.A.I. // J. Chem. Eng. Data. 1962. V. 7. № 1. P. 100–101.https://doi.org/10.1021/je60012a032
- Ellson R., Stearns R., Mutz M. et al. // Comb Chem High Throughput Screen. 2005. V. 8. № 6. P. 489. https://doi.org/10.2174/1386207054867382
- Waybright T.J., Britt J.R., McCloud T.G. // J. Biomol. Screen. 2009. V. 14. № 6. P. 708. https://doi.org/10.1177/1087057109335670
- Rabiei M., Palevicius A., Dashti A. et al. // Materials (Basel). 2021. V. 14. № 11. P. 2949 . https://doi.org/10.3390/ma14112949
- Himabindu B., Latha Devi N.S.M.P., Rajini Kanth B. // Materials Today: Proceedings. 2021. V. 47. № 14. P. 4891. https://doi.org/10.1016/j.matpr.2021.06.256
- Tirpude M.P., Tayade N.T. Frustrate Microstructures Composed PbS Cluster’s Size Perspective from XRD by Variant Models of Williamson-Hall plot method // Preprint. 2022. 25 April, 36 p. https://doi.org/10.21203/rs.3.rs-1586320/v1
- Assis M., Groppo Filho F.C., Pimentel D.S. et al. // Chemistry Select. 2020. V. 5. № 15. P. 4655. https://doi.org/10.1002/slct.202000502
- Nims C., Cron B., Wetherington M. et al. // Sci Rep-UK. 2019. V. 9. № 1. P. 7971 . https://doi.org/10.1038/s41598-019-44353-6
Supplementary files












