Comparative characterization of Kupffer cells in the livers of SHR and Wistar rats
- Authors: Nikitina I.A.1, Razenkova V.A.1, Korzhevskii D.E.1
-
Affiliations:
- Institute of Experimental Medicine
- Issue: Vol 60, No 6 (2024)
- Pages: 608–616
- Section: EXPERIMENTAL ARTICLES
- URL: https://ogarev-online.ru/0044-4529/article/view/276215
- DOI: https://doi.org/10.31857/S0044452924070039
- EDN: https://elibrary.ru/KKDGIO
- ID: 276215
Cite item
Full Text
Abstract
In the present study, the structural features of resident liver macrophages were analyzed in the context of sustained arterial hypertension, compared to a normotensive control group. To identify resident macrophages in liver samples from nine-month-old male SHR and Wistar rats (n = 14), immunohistochemical staining against the Iba-1 protein was employed. Morphometric parameters and the spatial distribution patterns of Kupffer cells were assessed using the mathematical processing and image analysis software ImageJ and GIMP. It was shown that Kupffer cells in liver samples from SH rats predominantly exhibit a poorly branched or ellipsoidal shape and do not display a direct correlation with their location within the hepatic acinus, in contrast to macrophages from the Wistar group. Statistically significant differences were observed in the distribution patterns of Kupffer cells: in the SHR group, cells were distributed more uniformly within the hepatic acinus compared to those in the Wistar group, where the highest density of distribution was observed in the intermediary zone of the acinus. Identified structural and functional characteristics of resident liver macrophages in SH rats may be attributed to the functional disturbances in the liver associated with sustained arterial hypertension.
Keywords
Full Text
ВВЕДЕНИЕ
Клетки Купфера — это резидентные макрофаги печени, располагающиеся между гепатоцитами и тесно контактирующие с эндотелиальными клетками синусоидных капилляров печени. Данные клетки входят в состав мононуклеарной фагоцитарной системы и составляют самый большой пул тканевых макрофагов в организме [1].
Резидентные макрофаги печени выполняют ряд функций, направленных на поддержание гомеостаза, таких как: фагоцитоз чужеродных частиц, поступающих из желудочно-кишечного тракта по системе портального кровообращения; регуляция иммунного ответа; участие в воспалительных и противовоспалительных реакциях организма; ремоделирование внеклеточного матрикса печени [2, 3]. В настоящее время мировое научное сообщество активно изучает влияние резидентных макрофагов на функции печени при различных патологиях человека и в условиях экспериментального моделирования патологий у животных. Так, становится известно, что клетки Купфера человека, благодаря регуляции активности Т-клеток, способствуют антиметастатическим процессам в канцерогенезе [4, 5], а у крыс за счет контролируемой гибели эффекторных Т-клеток могут поддерживать толерантность к аллотрансплантам печени [6]. Кроме того, установлена роль клеток Купфера в развитии воспаления и фиброза печени при ВИЧ-инфекции у человека [7]. Инфицирование резидентных макрофагов печени ВИЧ-1 нарушает противовоспалительную регуляцию, что может приводить к воспалению тканей печени и фиброзу. Имеется информация об участии резидентных макрофагов печени в патогенезе неалкогольной жировой болезни печени: при развитии неалкогольного стеатогепатита наблюдается дисфункция “самообновления” данных клеток [8, 9].
Тем не менее несмотря на обширные данные о физиологических характеристиках клеток Купфера, их функциональные и фенотипические особенности при артериальной гипертензии остаются недостаточно изученными.
Согласно оценкам, артериальная гипертензия наблюдается у 10–20% взрослого населения и является причиной 5.8% всех случаев смертности в мире [10]. Патофизиологический механизм заболевания обусловлен дисфункцией множества физиологических систем организма [11] и включает активацию симпатической нервной системы, дисфункцию ренин-ангиотензин-альдостероновой системы, активацию бета-адренорецепторов и усиление оксидативного стресса в тканях [10]. Результатом указанных изменений является развитие ряда патологических состояний: окклюзивный инфаркт миокарда, цереброваскулярные инсульты, аневризма аорты, хроническая почечная недостаточность, портальная и перипортальная гипертензия, жировая дистрофия и цирроз печени. В настоящее время в качестве экспериментальной модели для изучения влияния артериальной гипертензии на функционирование органов и систем организма активно используются спонтанно-гипертензивные крысы линии SHR. Генетические особенности данной линии обуславливают развитие системных гипертензивных изменений уже в возрасте 5–6 недель, а к половозрелому возрасту (8–12 неделям) патология приобретает стойкий характер [12].
Принимая во внимание необходимость получения дополнительных данных о возможных изменениях в клетках Купфера в условиях повышения артериального давления, а также удобство и эффективность изучения артериальной гипертензии на животных моделях линии SHR, цель настоящего исследования состояла в определении изменений популяции клеток Купфера в печени крыс линии SHR по сравнению с печенью нормотензивных крыс породы Wistar.
МЕТОДЫ ИССЛЕДОВАНИЯ
Исследование проводилось на образцах печени половозрелых (9 месяцев) самцов крыс породы Wistar (n = 7) с систолическим давлением менее 200 мм рт. ст. и крыс линии SHR (n = 7) с систолическим давлением, в среднем равным или превышающим 200 мм ртутного столба. Крысы были получены из питомников лабораторных животных “Рапполово” (Ленинградская область, Россия) и “Пущино” (Московская область, Россия), содержались в виварии при комнатной температуре, в стандартных условиях, с свободным доступом к пище и воде. При содержании и умерщвлении животных соблюдали основные принципы Европейской конвенции о защите позвоночных животных, используемых для экспериментов или в иных научных целях (Страсбург, 1986 г.) и “Правила надлежащей лабораторной практики” (приказ №199н от 01.04.2016 г. Минздрава России). Для исследования брали левую долю печени. Образцы печени фиксировали в цинк-этанол-формальдегиде [13] в течение 18-24 часов при комнатной температуре. Фиксированный материал заливали в парафин по стандартной методике. С парафиновых блоков на ротационном микротоме Microm HM 325 (ThermoScientific, США) изготавливали срезы толщиной 5 мкм, которые далее монтировали на предметные стекла с адгезивным покрытием (HistoBond®+M adhesive microscope slides, Marienfeld, Германия). Затем были проведены стандартные процедуры депарафинирования и регидратации. Для выявления резидентных макрофагов печени применяли моноклональные кроличьи антитела к Iba-1 (клон JM36-62, ET1705-78, HuaBio, Китай). В качестве вторичного реагента для первичных кроличьих антител использовали набор UltraVision Quanto HRP DAB Detection System (Thermo Fisher Scientific, США). Для данного варианта антител был проведен отрицательный контроль с использованием соответствующего набора вторичных реагентов и системы проявления HRP. Для постановки негативного контроля вместо раствора первичных антител срезы обрабатывали фосфатным буферным солевым раствором. С целью выявления соединительной ткани срезы обрабатывали раствором 2% водного анилинового синего (Unisource Chemicals Pvt. Ltd., Индия). Для оценки морфологии гепатоцитов использовали стандартную гистологическую методику обработки препаратов гематоксилином и эозином (Biovitrum, Россия). После дегидратации в изопропаноле и просветления в орто-ксилоле полученные препараты заключали в перманентную среду Richard-Allan Scientific Cytoseal 60 (США) и анализировали с помощью светового микроскопа Leica DM750 (Leica, Германия). Фотографирование гистологических препаратов проводили с использованием фотокамеры Zeiss Axiocam 105 color (объективы Plan 10x/0.22; 40x/0.65; 100x/1/25) и программы ZEN 3 (ZEISS, Германия).
Морфометрический анализ полученных изображений проводили с помощью программы ImageJ2 в расширении FIJI [14]. Для каждого случая выбирали по 4 поля зрения. Перед анализом изображения бинаризировали с использованием фиксированного цветового порога. Оценивали общую площадь, число и средний размер Iba-1-иммунопозитивных структур в рамке 331.39 × 248.54 мкм на увеличении (×40). При подсчете площади, числа и размера выявленных Iba-1-позитивных структур значения усредняли по 4 полям зрения для каждого случая. Также оценивали равномерность распределения Iba-1-иммунопозитивных структур на изображениях (при увеличении микроскопа х10) с использованием индекса Шеннона (P). Для его расчета каждое изображение разделяли на 24 равных участка с применением морфометрической сетки, нанесенной на изображения с использованием графического редактора GIMP [15]. Также оценивали равномерность распределения Iba-1-иммунопозитивных структур на изображениях (при увеличении микроскопа х10) с помощью плагина SSIDC Cluster Indicator [16], основанного на алгоритме кластеризации DBSCAN. Минимальное расстояние между объектами для создания нового кластера составило 50 пикселей, а минимальная плотность кластеров — 8 объектов. Статистическую обработку проводили в программе GraphPad Prism 8 (GraphPad Software, США). Данные представляли в виде P-value (p-значение), медианы (Me) и интерквартильного размаха (IQR). Проверку на соответствие распределения нормальному закону проводили с помощью критерия Шапиро-Уилка, для оценки различий применяли t-критерий Стьюдента для независимых выборок. Распределение считали соответствующим нормальному при p > 0.05. Различия считали достоверными при p < 0.05.
РЕЗУЛЬТАТЫ ИССЛЕДОВАНИЯ
В ходе исследования препаратов печени крыс линии SHR и Wistar было обнаружено множество Iba-1-иммунопозитивных структур, расположенных вблизи и в составе стенок синусоидных капилляров долек печени, которые идентифицировали как клетки Купфера и их фрагменты, попавшие в плоскость среза. Иммуногистохимическая реакция на маркер Iba-1 в обеих группах была интенсивной и высокоселективной, неспецифический сигнал в результате реакции отсутствовал. Клетки Купфера в препаратах печени крыс Wistar обладают амебоидной формой и имеют по 1–4 толстых цитоплазматических отростка. Встречаются также одиночные безотростчатые клетки овальной формы (рис. 1).
Рис. 1. Iba-1-иммунопозитивные структуры в препаратах печени: (a, с) — в печени крысы линии SHR, увеличение микроскопа х10 (a) и х100 (с); (b, d) — в печени крысы породы Wistar, увеличение микроскопа х10 (b) и х100 (d). Звездочка — центральная вена; закрашенная стрелка — клетки Купфера с выраженными цитоплазматическими отростками; прозрачная стрелка — клетки Купфера эллипсоидной формы. Объективы Plan 10х/0.22 (a; b); Plan 100x/1.25 (с; d).
Iba-1 иммунопозитивные клетки располагаются повсеместно в срезе печени, формируя скопления повышенной плотности главным образом в интермедиальных зонах печеночного ацинуса (см. рис. 1). У крыс линии SHR клетки имеют преимущественно либо слабоотростчатую (от 1 до 3 коротких цитоплазматических отростка), либо эллипсоидную форму. Резидентные макрофаги печени, обладающие выраженной амебоидной формой, встречаются на препаратах реже. При этом, Iba-1-иммунопозитивные клетки печени у крыс SHR не формируют отчетливых скоплений, а располагаются преимущественно равномерно в поле зрения (рис. 1а).
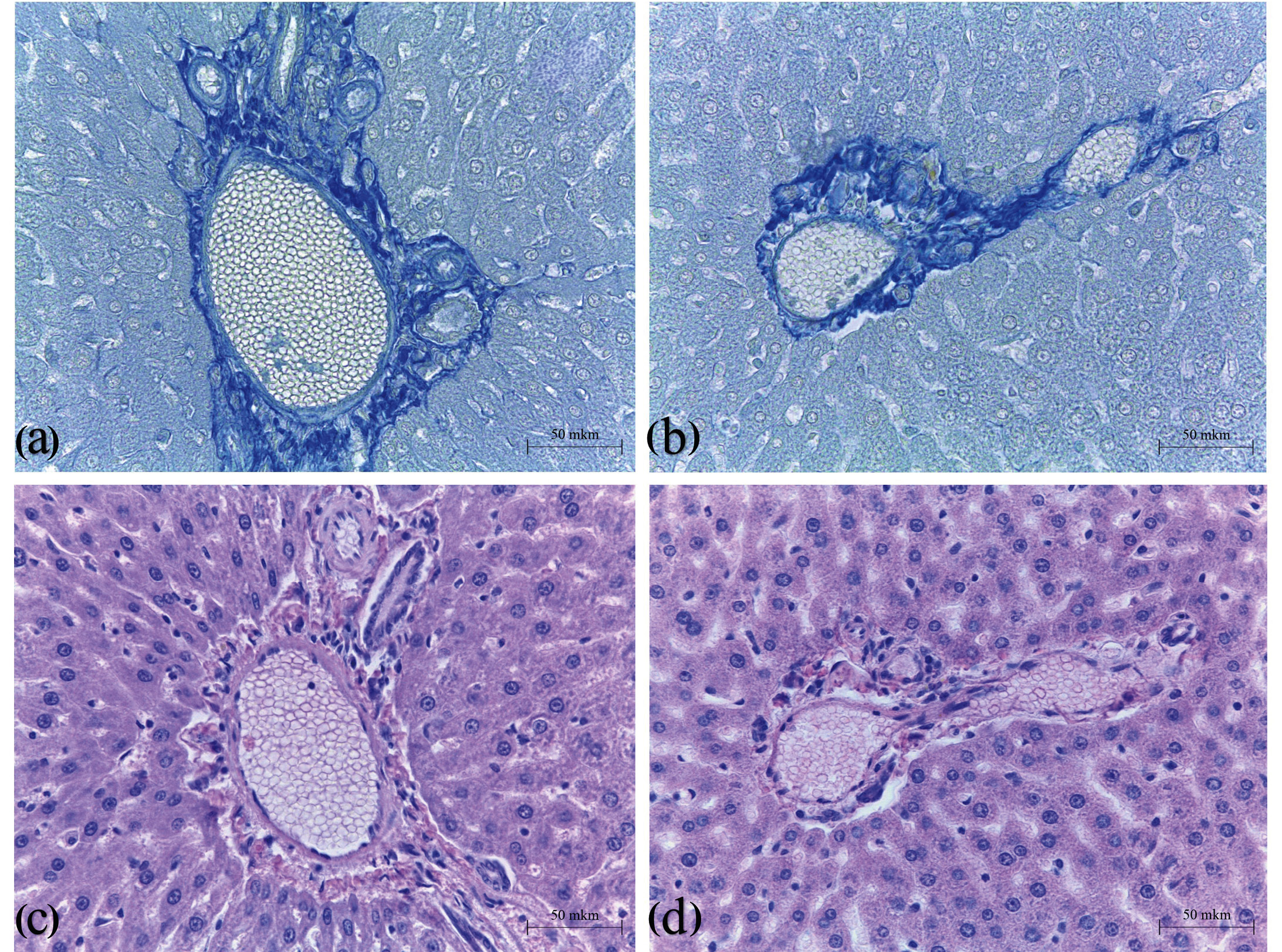
Гистологическое исследование препаратов печени крыс SHR и Wistar, окрашенных анилиновым синим, а также гематоксилином и эозином (рис. 2), не выявило патологических изменений и морфологических различий в структуре соединительной ткани обеих групп. Небольшое количество гепатоцитов с липидными вакуолями в цитоплазме указывает на отсутствие жировой дистрофии печени в группах SHR и Wistar.
Рис. 2. Структура печеночных триад в препарате печени: (a, c) — в печени крысы линии SHR; (b; d) — в печени крысы породы Wistar. Гистологическое окрашивание препаратов анилиновым синим (a; b), гематоксилином и эозином (с; d). Объектив Plan 40х/0.65.
Морфометрический сравнительный анализ показал, что клетки Купфера спонтанно гипертензивных крыс имеют несколько меньший размер по сравнению с нормотензивными крысами Wistar, но их число выше (рис. 3b-с). Среднее число клеток и их фрагментов, выявляемых на одном поле зрения для группы SHR, составило 93.82 ± 1.77; для Wistar — 89.39 ± 3.47 (p = 0.32); средний размер клеток и их фрагментов на одном поле зрения для группы SHR было равно 50.56 ± 2.8 мкм², для группы Wistar — 54.24 ± 3.01 мкм² (p = 0.19). Средние площади выявленных Iba-1 позитивных структур для групп SHR и Wistar составили для SHR: 4725 ± 321 мкм²; для Wistar: 4844 ± 323 мкм² (p = 0.81). В процентном соотношении Iba-1 позитивные структуры заняли 5.7 % от общей площади поля зрения у крыс линии SHR и 5.9 % у крыс линии Wistar (рис. 3a).
Рис. 3. Результат статистического сравнения Iba-1-иммунопозитивных структур двух групп (SHR n = 7; Wistar n = 7): (a) — общая площадь Iba-1-иммунопозитивных клеток; (b) — число выявленных структур в одном поле зрения; (с) — размер клеток Купфера и их фрагментов. Линия внутри бокс-плота отображает медиану (Ме) распределения иммунопозитивных структур.
Также была выполнена оценка равномерности распределения иммунопозитивных структур на изображениях c помощью информационного индекса Шеннона и алгоритма DBSCAN. Результаты оценки равномерности по Шеннону показали, что в группе SHR распределение иммунопозитивных структур было значительно более равномерным, в то время как в группе Wistar наблюдалась кластеризация (рис. 4, p = 0.03). Результаты оценки равномерности распределения клеточных структур с помощью алгоритма DBSCAN подтверждали полученные результаты (p < 0.01).
Рис. 4. Оценка равномерности распределения иммунопозитивных структур на изображениях: (a) — оценка равномерности распределения структур с помощью индекса Шеннона (P). Относительно более низкие значения индекса говорят о наличии кластеризации, высокие — о равномерности распределения структур; (b) — Число кластеризованных структур на изображениях. Алгоритм DBSCAN. Линия внутри бокс-плота отображает медиану (Ме) распределения иммунопозитивных структур.
ОБСУЖДЕНИЕ РЕЗУЛЬТАТОВ
Морфологические характеристики и характер распределения (включая взаимное расположение) клеток Купфера в ткани печени обладают клиническим значением и служат биомаркерами патологических состояний [8, 17].
Одним из наиболее распространенных методов выявления резидентных макрофагов печени является иммуногистохимическая реакция к маркеру макрофагальных антигенов — CD68. Однако данный белок является ассоциированным с мембранами лизосом, что ограничивает его применимость, поскольку реакция на CD68 не предоставляет возможности исследователю точно оценить контуры клеток. Ранее нами был предложен метод иммуногистохимического выявления клеток Купфера с применением микроглиального кальций-связывающего белка Iba-1 [18], одними из основных преимуществ которого является выявление активированных макрофагов вне зависимости от их популяции и субпопуляции, а также равномерность распределения в цитоплазме клетки, что позволяет выявлять и оценивать морфологические характеристики макрофагов в различных тканях и органах [19]. Примененная методика иммуногистохимического выявления клеток Купфера [20] показала положительные результаты реакции на Iba-1, а также удовлетворительную сохранность тканей благодаря использованию в качестве фиксатора цинк-этанол-формальдегида [13] и исключению этапа теплового демаскирования в процессе постановки реакции. Результаты иммуногистохимической реакции на Iba-1 в препаратах печени обеих исследуемых групп позволили провести дальнейшее морфометрическое исследование клеток Купфера.
Морфологический анализ исследуемых случаев показал, что у крыс линии SHR клетки Купфера и их фрагменты имеют преимущественно малоотросчатые либо эллипсоидные формы, независимо от их зонального расположения в печеночном ацинусе. При визуальной оценке было выявлено отчетливое равномерное распределение клеток в поле зрения микроскопа. Альтернативная морфологическая картина наблюдается в группе Wistar: в перипортальных зонах печеночного ацинуса клетки имеют преимущественно амебоидную форму с выраженными цитоплазматическими отростками, тогда как в центральных областях клетки главным образом сохраняют эллипсоидную форму. При этом, визуально наблюдается существенное различие в плотности расположения структур в различных зонах печеночного ацинуса.
Проведение количественного анализа показало, что у крыс линии SHR Iba-1-иммуннопозитивные структуры имеют несколько меньшие размеры и большую численность по сравнению с клетками в группе Wistar. Однако эти различия между двумя группами не достигают статистически значимой разницы.
Дальнейшее количественное исследование равномерности распределения Iba-1-позитивно окрашенных структур в исследуемых образцах печени установило, что в группе SHR распределение клеток Купфера и их фрагментов значительно более равномерное, чем в группе Wistar. В печени крыс Wistar резидентные макрофаги демонстрируют кластерное распределение структур, причем кластеры формируются преимущественно в интермедиальных (средних) зонах печеночных ацинусов. Полученные данные имеют статистически значимую разницу между группами, что установлено при использовании алгоритма кластеризации DBSCAN (p < 0.01), так и при оценке степени равномерности распределения клеток Купфера с помощью информационного индекса Шеннона (p = 0.03)
Алгоритм DBSCAN, позволяющий выявлять в поле зрения скопления иммунопозитивных объектов, является широко применяемым методом кластеризации данных [21, 22].
Зональное распределение клеток Купфера может быть обусловлено различиями метаболических зон в пределах печеночного ацинуса. В соответствии с особенностями кровообращения и формируемого ими градиента кислорода в ацинусе принято выделять три зоны [23]. Зона 1 (перипортальная, афферентная или пролиферативная) наиболее обеспечена кислородом и включает гепатоциты вблизи печеночной триады. Гепатоциты вокруг центральной вены формируют зону 3 с низким содержанием кислорода (перивенулярную). Между ними находится интермедиальная (промежуточная, средняя) зона 2, где возможен свободный обмен метаболитами между гепатоцитами и кровью, а потому происходит очистка смешанной крови от токсических веществ экзогенного и эндогенного происхождения [23; 24]. Учитывая ключевую роль клеток Купфера в иммунной регуляции печени, аккумуляция фагоцитов в интермедиальной зоне ацинуса в группе Wistar представляется естественной и физиологичной. Также литературные данные показывают, что клетки Купфера, обладающие повышенной фагоцитарной активностью [25] и способствующие поддержанию противовоспалительного статуса печени [26], отличаются более крупным размером и выраженными цитоплазматическими отростками [27, 28], что соотносится с результатами морфологического анализа в настоящем исследовании.
Отсутствие явных признаков фиброза и стеатоза печени в группе спонтанно гипертензивных крыс (SHR) в данном исследовании наряду с обнаруженными изменениями морфологии клеток Купфера и их пространственной организации позволяет предположить, что наблюдаемые эффекты могут быть обусловлены ранними стадиями сосудистых нарушений, ведущих к локальной гипоксии и изменению клеточного метаболизма.
Градиент кислорода крайне важен для энергетического обмена в клетках. В физиологическом состоянии этот градиент является основным фактором метаболической зонированности гепатоцитов [29]. Однако при нарушении микроциркуляции печени, например на фоне системной артериальной гипертензии, оксигенация клеток снижается, что приводит к ряду патологических изменений в печени (например, постепенное уменьшение фенестрации на поверхности эндотелиоцитов), тяжесть которых напрямую зависит от продолжительности кислородного голодания. Также по некоторым исследованиям в состоянии окислительного стресса и снижения концентрации внеклеточной АТФ отмечается снижение фагоцитарной активности макрофагов и изменение их поляризации в сторону провоспалительного фенотипа [30, 31]. Однако на данном этапе исследования остаётся неясным, как данные изменения могут отражаться непосредственно в морфологических характеристиках клеток Купфера. Вероятно, имеется корреляция между морфологией резидентных макрофагов печени и продолжительностью метаболической дисрегуляции клеток на фоне системной артериальной гипертензии.
Также отсутствие значимых различий в количественных показателях клеток Купфера и Iba-1-иммунопозитивного материала между группами может быть обусловлено возрастными особенностями исследуемых животных (9 месяцев), поскольку нарушения энергетического обмена и оксигенации клеток печени, связанные с дисфункцией гепатической сосудистой системы, имеют тенденцию к прогрессированию с течением времени.
Таким образом, проведенное исследование позволило оценить структурно-функциональные особенности резидентных макрофагов печени на фоне развития артериальной гипертензии. Преимущественно слабоотросчатая или эллипсоидная форма клеток Купфера у крыс SHR, не имеющая видимых корреляций с областью расположения в ацинусе печени и отсутствием зональной кластеризации в ткани, предположительно может объясняться нарушениями гемодинамики и энергетического обмена в ацинусе, что в свою очередь может коррелировать с отклонениями в иммунофенотипическом профиле клеток и низкой фагоцитарной активностью. Однако данные предположения требуют дальнейших исследований для лучшего понимания их причин и потенциального влияния на функции печени у различных линий крыс.
СОБЛЮДЕНИЕ ЭТИЧЕСКИХ СТАНДАРТОВ
При проведении исследования были соблюдены все применимые международные принципы использования животных. Исследование было одобрено Локальным этическим комитетом ФГБНУ “ИЭМ” (заключение № 2/22 от 06.04.2022 г.).
ИСТОЧНИКИ ФИНАНСИРОВАНИЯ
Исследование выполнено за счет средств государственного задания ФГБНУ “ИЭМ” № FGWG-2024-0015.
КОНФЛИКТ ИНТЕРЕСОВ
Авторы декларируют отсутствие явных и потенциальных конфликтов интересов, связанных с публикацией данной статьи.
ВКЛАД АВТОРОВ
Идея работы и планирование эксперимента (Д.Э.К.), сбор и обработка материалов (И.А.Н.), анализ литературы (И.А.Н., В.А.Р.), статистическая обработка (И.А.Н.), интерпретация результатов (И.А.Н., В.А.Р.), написание текста (И.А.Н., В.А.Р.), работа с иллюстрациями (И.А.Н.), редактирование рукописи (Д.Э.К.).
About the authors
I. A. Nikitina
Institute of Experimental Medicine
Author for correspondence.
Email: inga06819@gmail.com
Russian Federation, Saint Petersburg
V. A. Razenkova
Institute of Experimental Medicine
Email: inga06819@gmail.com
Russian Federation, Saint Petersburg
D. E. Korzhevskii
Institute of Experimental Medicine
Email: inga06819@gmail.com
Russian Federation, Saint Petersburg
References
- Bennett H, Troutman TD, Sakai M, Glass CK (2021) Epigenetic Regulation of Kupffer Cell Function in Health and Disease. Front Immunol 11: 609618. https://doi.org/10.3389/fimmu.2020.609618
- Helmy KY, Katschke KJ, Gorgani NN, Kljavin NM, Elliott JM, Diehl L, Scales SJ, Ghilardi N, van Lookeren Campagne M (2006) CRIg: a macrophage complement receptor required for phagocytosis of circulating pathogens. Cell 124(5):915–927. https://doi.org/10.1016/j.cell.2005.12.039
- Liu R, Scimeca M, Sun Q, Melino G, Mauriello A, Shao C, Shi Y, Piacentini M, Tisone G, Agostini M (2023) Harnessing metabolism of hepatic macrophages to aid liver regeneration. Cell Death Dis 14(8):1–10. https://doi.org/10.1038/s41419-023-06066-7
- Thomas SK, Wattenberg MM, Choi-Bose S, Uhlik M, Harrison B, Coho H, Cassella CR, Stone ML, Patel D, Markowitz K, Delman D, Chisamore M, Drees J, Bose N, Beatty GL (2023) Kupffer cells prevent pancreatic ductal adenocarcinoma metastasis to the liver in mice. Nat Commun 14(1):6330. https://doi.org/10.1038/s41467-023-41771-z
- Wen SW, Ager EI, Christophi C (2013) Bimodal role of Kupffer cells during colorectal cancer liver metastasis. Cancer Biology & Therapy 14(7):606–613. https://doi.org/10.4161/cbt.24593
- Chen Y, Liu Z, Liang S, Luan X, Long F, Chen J, Peng Y, Yan L, Gong J (2008) Role of Kupffer cells in the induction of tolerance of orthotopic liver transplantation in rats. Liver Transpl 14(6):823–836. https://doi.org/10.1002/lt.21450
- Mosoian A, Zhang L, Hong F, Cunyat F, Rahman A, Bhalla R, Panchal A, Saiman Y, Fiel MI, Florman S, Roayaie S, Schwartz M, Branch A, Stevenson M, Bansal MB (2017) Frontline Science: HIV infection of Kupffer cells results in an amplified proinflammatory response to LPS. J Leukocyte Biol 101(5):1083–1090. https://doi.org/10.1189/jlb.3HI0516-242R
- Park S-J, Garcia Diaz J, Um E, Hahn YS (2023) Major roles of kupffer cells and macrophages in NAFLD development. Front Endocrinol (Lausanne) 14:1150118. https://doi.org/10.3389/fendo.2023.1150118
- Tran S, Baba I, Poupel L, Dussaud S, Moreau M, Gélineau A, Marcelin G, Magréau-Davy E, Ouhachi M, Lesnik P, Boissonnas A, Le Goff W, Clausen BE, Yvan-Charvet L, Sennlaub F, Huby T, Gautier EL (2020) Impaired Kupffer Cell Self-Renewal Alters the Liver Response to Lipid Overload during Non-alcoholic Steatohepatitis. Immunity 53(3):627-640.e5. https://doi.org/10.1016/j.immuni.2020.06.003
- Kućmierz J, Frąk W, Rysz J, Młynarska E, Franczyk B (2021) Molecular Interactions of Arterial Hypertension in Its Target Organs. Int J Mol Sci 22. https://doi.org/10.3390/ijms22189669
- Touyz RM, Camargo LL, Rios FJ, Alves-Lopes R, Neves KB, Eluwole O, Maseko MJ, Lucas-Herald A, Blaikie Z, Montezano AC, Feldman RD (2022) Arterial Hypertension. In: Comprehensive Pharmacology. Elsevier, pp 469–487. https://doi.org/10.1016/B978-0-12-820472-6.00192-4
- Sone H, Suzuki H, Takahashi A, Yamada N (2001) Disease model: hyperinsulinemia and insulin resistance. Part A-targeted disruption of insulin signaling or glucose transport. Trends Mol Med 7:320–2
- Grigorev IP, Korzhevskii DE (2018) Current Technologies for Fixation of Biological Material for Immunohistochemical Analysis (Review). Sovrem Tehnol Med 10(2):156. https://doi.org/10.17691/stm2018.10.2.19
- Schindelin J, Arganda-Carreras I, Frise E, Kaynig V, Longair M, Pietzsch T, Preibisch S, Rueden C, Saalfeld S, Schmid B, Tinevez J-Y, White DJ, Hartenstein V, Eliceiri K, Tomancak P, Cardona A (2012) Fiji: an open-source platform for biological-image analysis. Nat Methods 9(7):676–682. https://doi.org/10.1038/nmeth.2019
- GIMP: GNU Image manipulation program. https://www.gimp.org/
- Brocher J (2023) biovoxxel/BioVoxxel-Toolbox: BioVoxxel Toolbox v2.6.0. biovoxxel/BioVoxxel-Toolbox. https://doi.org/10.5281/zenodo.5986129
- Wijesundera KK, Izawa T, Tennakoon AH, Murakami H, Golbar HM, Katou-Ichikawa C, Tanaka M, Kuwamura M, Yamate J (2014) M1- and M2-macrophage polarization in rat liver cirrhosis induced by thioacetamide (TAA), focusing on Iba1 and galectin-3. Exp Mol Pathol 96(3):382–392. https://doi.org/10.1016/j.yexmp.2014.04.003
- Nikitina IA, Razenkova VA, Kirik OV, Korzhevskii DE (2023) Visualisation of kupffer cells in the rat liver with poly- and monoclonal antibodies against microglial-specific protein Iba-1. Medical Acad J 23(1):85–94. https://doi.org/10.17816/MAJ133649
- Zhang X, Wang L-P, Ziober A, Zhang PJ, Bagg A (2021) Ionized Calcium Binding Adaptor Molecule 1 (IBA1). Am J Clin Pathol 156(1):86–99. https://doi.org/10.1093/ajcp/aqaa209
- Nikitina IA, Razenkova VA, Fedorova EA, Kirik OV, Korzhevskii DE (2024) Technology of Combined Identification of Macrophages and Collagen Fibers in Liver Samples. Sovrem Tehnol Med 16(3):24. https://doi.org/10.17691/stm2024.16.3.03
- Kim J, Zhang C, Sperati C, Bagnasco S, Barman I (2023) Non-Perturbative Identification and Subtyping of Amyloidosis in Human Kidney Tissue with Raman Spectroscopy and Machine Learning. Biosensors 13:466. https://doi.org/10.3390/bios13040466
- Spoorthy D, Manne SR, Dhyani V, Swain S, Shahulhameed S, Mishra S, Kaur I, Giri L, Jana S (2019) Automatic Identification of Mixed Retinal Cells in Time-Lapse Fluorescent Microscopy Images using High-Dimensional DBSCAN. Annu Int Conf IEEE Eng Med Biol Soc 2019:4783–4786. https://doi.org/10.1109/EMBC.2019.8857375
- Kietzmann T (2017) Metabolic zonation of the liver: The oxygen gradient revisited. Redox Biol 11:622–630. https://doi.org/10.1016/j.redox.2017.01.012
- Sasse D, Spornitz UM, Maly IP (1992) Liver architecture. Enzyme 46(1–3):8–32. https://doi.org/10.1159/000468776
- Sleyster EC, Knook DL (1982) Relation between localization and function of rat liver Kupffer cells. Lab Invest 47(5):484–490
- Elchaninov A, Lokhonina A, Makarov A, Vishnyakova P, Kananykhina E, Nikitina M, Grinberg M, Bykov A, Charyeva I, Bolshakova G, Fatkhudinov T (2019) Phenotypic Polymorphism of Normal Rat Liver Kupffer Cells. J Anat Histopathol 8:35–39. https://doi.org/10.18499/2225-7357-2019-8-3-35-39
- Zumerle S, Calì B, Munari F, Angioni R, Di Virgilio F, Molon B, Viola A (2019) Intercellular Calcium Signaling Induced by ATP Potentiates Macrophage Phagocytosis. Cell Rep 27(1):1-10.e4. https://doi.org/10.1016/j.celrep.2019.03.011
- Цыркунов ВМ, Андреев ВП, Кравчук РИ, Прокопчик НИ (2017) Клиническая Цитология печени: клетки Купффера. Журн Гродненск гос мед универс 4:419–431. [Tsyrkunov VM, Andreyev VP, Kravchuk RI, Prokopchik NI (2017) Clinical Cytology of the Liver: Kupffer Cells. J Grodno State Med Univ 4:419–431. (In Russ)].
- Cai J, Hu M, Chen Z, Ling Z (2021) The roles and mechanisms of hypoxia in liver fibrosis. J Transl Med 19(1):186. https://doi.org/10.1186/s12967-021-02854-x
- Tedesco S, Scattolini V, Albiero, Bortolozzi M, Avogaro, Cignarella, Fadini (2019) Mitochondrial Calcium Uptake Is Instrumental to Alternative Macrophage Polarization and Phagocytic Activity. Int J Mol Sci 20:4966. https://doi.org/10.3390/ijms20194966
- Zumerle S, Calì B, Munari F, Angioni R, Di Virgilio F, Molon B, Viola A (2019) Intercellular Calcium Signaling Induced by ATP Potentiates Macrophage Phagocytosis. Cell Rep 27(1):1-10.e4. https://doi.org/10.1016/j.celrep.2019.03.011
Supplementary files






