CHRONIC DYSREGULATION OF GLUTAMATERGIC TRANSMISSION IN THE HIPPOCAMPUS OF KRUSHINSKY–MOLODKINA RATS INDUCED BY REPEATED EPILEPTIFORM SEIZURES
- Authors: Aleksandrova E.P.1, Ivlev A.P.1, Kulikov A.A.1, Nikitina L.S.1, Glazova M.V.1, Chernigovskaya E.V.1
-
Affiliations:
- Sechenov Institute of Evolutionary Physiology and Biochemistry of the Russian Academy of Sciences
- Issue: Vol 59, No 5 (2023)
- Pages: 427-440
- Section: EXPERIMENTAL ARTICLES
- URL: https://ogarev-online.ru/0044-4529/article/view/136718
- DOI: https://doi.org/10.31857/S0044452923050029
- EDN: https://elibrary.ru/KJRGJR
- ID: 136718
Cite item
Full Text
Abstract
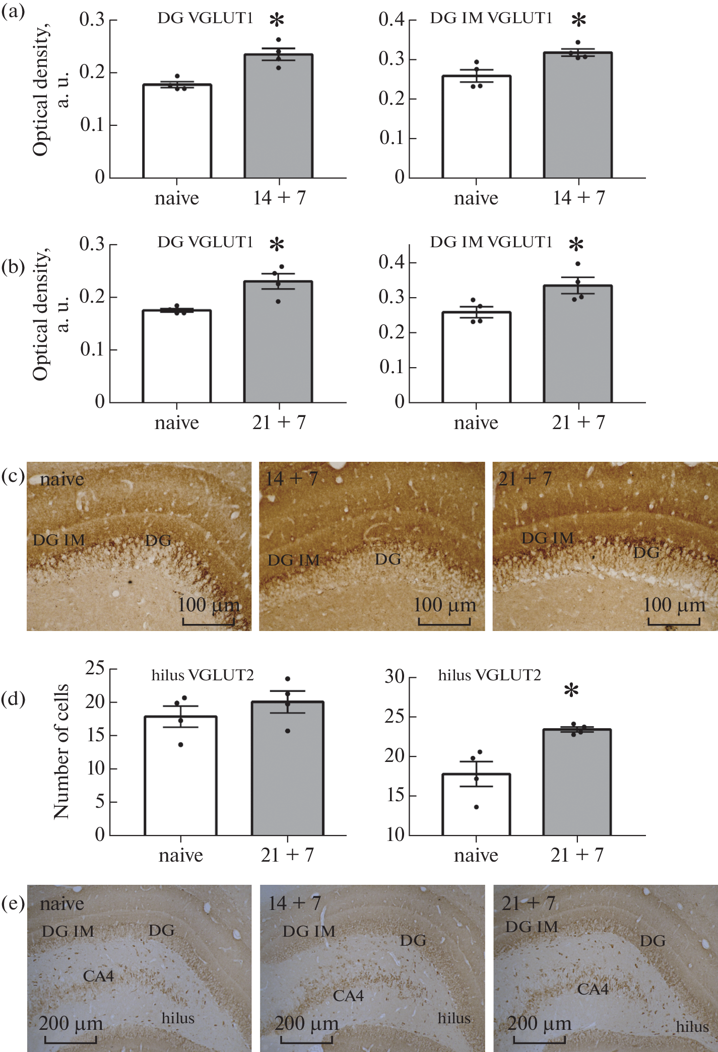
Temporal lobe epilepsy is characterised by the development of associated neurological and psychiatric disorders. One of the possible causes is obviously a disturbance in the balance of the excitatory and inhibitory neurotransmitter systems of the hippocampus. Chronic abnormalities in the molecular mechanisms of regulation of hippocampal glutamatergic system activity in temporal lobe epilepsy are currently poorly understood. In the present study, we used Krushinsky–Molodkina (KM) rats subjected to repeated audiogenic seizures to simulate temporal lobe epilepsy. Molecular mechanisms of regulation of glutamate production by hippocampal neurons were analysed one week after the end of short-term (14 seizures) and long-term (21 seizures) kindling. In the hippocampus of КM rats, kindling results in activation of ERK1/2 kinases as well as activation of the transcription factor CREB and increased expression of the transcription factor Fra1, glutaminase and the vesicular glutamate transporters VGLUT1 and 2, that is proteins responsible for glutamate production. These data indicate increased activity of glutamatergic hippocampal neurons persisting for a week at rest after the completion of the last audiogenic stimulation. Enhanced expression of mGluR1 glutamate receptors, whose activation is known to result in Ca2+ release and increased excitotoxicity, is also shown. Long-term enhancement of glutamatergic transmission induced by repeated epileptiform seizures is not only responsible for further epileptogenesis, but may also underlie the development of neurodegenerative complications.
About the authors
E. P. Aleksandrova
Sechenov Institute of Evolutionary Physiology and Biochemistry of the Russian Academy of Sciences
Email: chern755@mail.ru
Russia, St. Petersburg
A. P. Ivlev
Sechenov Institute of Evolutionary Physiology and Biochemistry of the Russian Academy of Sciences
Email: chern755@mail.ru
Russia, St. Petersburg
A. A. Kulikov
Sechenov Institute of Evolutionary Physiology and Biochemistry of the Russian Academy of Sciences
Email: chern755@mail.ru
Russia, St. Petersburg
L. S. Nikitina
Sechenov Institute of Evolutionary Physiology and Biochemistry of the Russian Academy of Sciences
Email: chern755@mail.ru
Russia, St. Petersburg
M. V. Glazova
Sechenov Institute of Evolutionary Physiology and Biochemistry of the Russian Academy of Sciences
Email: chern755@mail.ru
Russia, St. Petersburg
E. V. Chernigovskaya
Sechenov Institute of Evolutionary Physiology and Biochemistry of the Russian Academy of Sciences
Author for correspondence.
Email: chern755@mail.ru
Russia, St. Petersburg
References
- Keezer MR, Sisodiya SM, Sander JW (2016) Comorbidities of epilepsy: current concepts and future perspectives. Lancet Neurol 15: 106–115. https://doi.org/10.1016/S1474-4422(15)00225-2
- Vrinda M, Arun S, Srikumar BN, Kutty BM, Shankaranarayana Rao BS (2019) Temporal lobe epilepsy-induced neurodegeneration and cognitive deficits: Implications for aging. J Chem Neuroanat 95: 146–153. https://doi.org/10.1016/j.jchemneu.2018.02.005
- Epps SA, Weinshenker D (2013) Rhythm and blues: animal models of epilepsy and depression comorbidity. Biochem Pharmacol 85: 135–146. https://doi.org/10.1016/j.bcp.2012.08.016
- Kanner AM (2008) Mood disorder and epilepsy: a neurobiologic perspective of their relationship. Dialogues Clin Neurosci 10: 39–45.
- Barnes SJ, Pinel JP (2001) Conditioned effects of kindling. Neurosci Biobehav Rev 25: 745–751. https://doi.org/10.1016/s0149-7634(01)00054-9
- Hannesson DK, Howland J, Pollock M, Mohapel P, Wallace AE, Corcoran ME (2001) Dorsal hippocampal kindling produces a selective and enduring disruption of hippocampally mediated behavior. J Neurosci 21: 4443–4450.
- Kalinina A, Krekhno Z, Yee J, Lehmann H, Fournier NM (2022) Effect of repeated seizures on spatial exploration and immediate early gene expression in the hippocampus and dentate gyrus. IBRO Neurosci Rep 12: 73–80. https://doi.org/10.1016/j.ibneur.2021.12.008
- Mazarati A, Shin D, Auvin S, Caplan R, Sankar R (2007) Kindling epileptogenesis in immature rats leads to persistent depressive behavior. Epilepsy Behav 10: 377–383. https://doi.org/10.1016/j.yebeh.2007.02.001
- Kalynchuk LE (2000) Long-term amygdala kindling in rats as a model for the study of interictal emotionality in temporal lobe epilepsy. Neurosci Biobehav Rev 24: 691–704. https://doi.org/10.1016/s0149-7634(00)00031-2
- Cole AJ (2000) Is epilepsy a progressive disease? The neurobiological consequences of epilepsy. Epilepsia 41 Suppl 2: S13–S22. https://doi.org/10.1111/j.1528-1157.2000.tb01520.x
- Blumcke I (2009) Neuropathology of focal epilepsies: a critical review. Epilepsy Behav 15: 34–39. https://doi.org/10.1016/j.yebeh.2009.02.033
- Hsu PW, Chang CN, Tseng CK, Wei KC, Wang CC, Chuang CC, Huang YC (2007) Treatment of epileptogenic cavernomas: surgery versus radiosurgery. Cerebrovasc Dis 24: 116–120; discussion 121. https://doi.org/10.1159/000103126
- Zappone CA, Sloviter RS (2004) Translamellar disinhibition in the rat hippocampal dentate gyrus after seizure-induced degeneration of vulnerable hilar neurons. J Neurosci 24: 853–864. https://doi.org/10.1523/JNEUROSCI.1619-03.2004
- Kobayashi M, Buckmaster PS (2003) Reduced inhibition of dentate granule cells in a model of temporal lobe epilepsy. J Neurosci 23: 2440–2452.
- Navidhamidi M, Ghasemi M, Mehranfard N (2017) Epilepsy-associated alterations in hippocampal excitability. Rev Neurosci 28: 307–334. https://doi.org/10.1515/revneuro-2016-0059
- Vinogradova LV (2008) Audiogenic kindling in Wistar and WAG/Rij rats: kindling-prone and kindling-resistant subpopulations. Epilepsia 49: 1665–1674. https://doi.org/10.1111/j.1528-1167.2008.01617.x
- Kulikov AA, Naumova AA, Dorofeeva NA, Ivlev AP, Glazova MV, Chernigovskaya EV (2022) Dynamics of neurodegeneration in the hippocampus of Krushinsky–Molodkina rats correlates with the progression of limbic seizures. Epilepsy Behav 134: 108846. https://doi.org/10.1016/j.yebeh.2022.108846
- Houser CR, Huang CS, Peng Z (2008) Dynamic seizure-related changes in extracellular signal-regulated kinase activation in a mouse model of temporal lobe epilepsy. Neuroscience 156: 222–237. https://doi.org/10.1016/j.neuroscience.2008.07.010
- Sun J, Nan G (2017) The extracellular signal-regulated kinase 1/2 pathway in neurological diseases: A potential therapeutic target (Review). Int J Mol Med 39: 1338–1346. https://doi.org/10.3892/ijmm.2017.2962
- Chuvakova LN, Funikov SY, Rezvykh AP, Davletshin AI, Evgen’ev MB, Litvinova SA, Fedotova IB, Poletaeva, II, Garbuz DG (2021) Transcriptome of the Krushinsky-Molodkina Audiogenic Rat Strain and Identification of Possible Audiogenic Epilepsy-Associated Genes. Front Mol Neurosci 14: 738930. https://doi.org/10.3389/fnmol.2021.738930
- Nateri AS, Raivich G, Gebhardt C, Da Costa C, Naumann H, Vreugdenhil M, Makwana M, Brandner S, Adams RH, Jefferys JG, Kann O, Behrens A (2007) ERK activation causes epilepsy by stimulating NMDA receptor activity. EMBO J 26: 4891–4901. https://doi.org/10.1038/sj.emboj.7601911
- Glazova MV, Nikitina LS, Hudik KA, Kirillova OD, Dorofeeva NA, Korotkov AA, Chernigovskaya EV (2015) Inhibition of ERK1/2 signaling prevents epileptiform behavior in rats prone to audiogenic seizures. J Neurochem 132: 218–229. https://doi.org/10.1111/jnc.12982
- Roskoski R, Jr (2012) ERK1/2 MAP kinases: structure, function, and regulation. Pharmacol Res 66: 105–143. https://doi.org/10.1016/j.phrs.2012.04.005
- Lu N, Malemud CJ (2019) Extracellular Signal-Regulated Kinase: A Regulator of Cell Growth, Inflammation, Chondrocyte and Bone Cell Receptor-Mediated Gene Expression. Int J Mol Sci 20. https://doi.org/10.3390/ijms20153792
- Wang G, Zhu Z, Xu D, Sun L (2020) Advances in Understanding CREB Signaling-Mediated Regulation of the Pathogenesis and Progression of Epilepsy. Clin Neurol Neurosurg 196: 106018. https://doi.org/10.1016/j.clineuro.2020.106018
- Gass P, Herdegen T (1995) Neuronal expression of AP-1 proteins in excitotoxic-neurodegenerative disorders and following nerve fiber lesions. Prog Neurobiol 47: 257–290.
- Pozas E, Aguado F, Ferrer I (1999) Fra-1 immunoreactivity in the rat brain during normal postnatal development and after injury in adulthood. Neurosci Res 33: 137–145. https://doi.org/10.1016/s0168-0102(98)00123-0
- Jiang X, Xie H, Dou Y, Yuan J, Zeng D, Xiao S (2020) Expression and function of FRA1 protein in tumors. Mol Biol Rep 47: 737–752. https://doi.org/10.1007/s11033-019-05123-9
- Sobolev VV, Khashukoeva AZ, Evina OE, Geppe NA, Chebysheva SN, Korsunskaya IM, Tchepourina E, Mezentsev A (2022) Role of the Transcription Factor FOSL1 in Organ Development and Tumorigenesis. Int J Mol Sci 23. https://doi.org/10.3390/ijms23031521
- Albrecht J, Zielinska M (2017) Mechanisms of Excessive Extracellular Glutamate Accumulation in Temporal Lobe Epilepsy. Neurochem Res 42: 1724–1734. https://doi.org/10.1007/s11064-016-2105-8
- Kulikov AA, Naumova AA, Aleksandrova EP, Glazova MV, Chernigovskaya EV (2021) Audiogenic kindling stimulates aberrant neurogenesis, synaptopodin expression, and mossy fiber sprouting in the hippocampus of rats genetically prone to audiogenic seizures. Epilepsy Behav 125: 108445. https://doi.org/10.1016/j.yebeh.2021.108445
- Scharfman HE, Goodman JH, Sollas AL (2000) Granule-like neurons at the hilar/CA3 border after status epilepticus and their synchrony with area CA3 pyramidal cells: functional implications of seizure-induced neurogenesis. J Neurosci 20: 6144–6158.
- Danzer SC (2019) Adult Neurogenesis in the Development of Epilepsy. Epilepsy Curr 19: 316–320. https://doi.org/10.1177/1535759719868186
- Dashtipour K, Tran PH, Okazaki MM, Nadler JV, Ribak CE (2001) Ultrastructural features and synaptic connections of hilar ectopic granule cells in the rat dentate gyrus are different from those of granule cells in the granule cell layer. Brain Res 890: 261–271. https://doi.org/10.1016/s0006-8993(00)03119-x
- Bielefeld P, van Vliet EA, Gorter JA, Lucassen PJ, Fitzsimons CP (2014) Different subsets of newborn granule cells: a possible role in epileptogenesis? Eur J Neurosci 39: 1–11. https://doi.org/10.1111/ejn.12387
- Althaus AL, Moore SJ, Zhang H, Du X, Murphy GG, Parent JM (2019) Altered Synaptic Drive onto Birthdated Dentate Granule Cells in Experimental Temporal Lobe Epilepsy. J Neurosci 39: 7604–7614. https://doi.org/10.1523/JNEUROSCI.0654-18.2019
- Scharfman HE (2019) The Dentate Gyrus and Temporal Lobe Epilepsy: An “Exciting” Era. Epilepsy Curr 19: 249–255. https://doi.org/10.1177/1535759719855952
- Parent JM, Kron MM (2012) Neurogenesis and Epilepsy. In: Noebels JL, Avoli M, Rogawski MA, Olsen RW, Delgado-Escueta AV (Eds) Jasper’s Basic Mechanisms of the Epilepsies. Bethesda (MD).
- Kang TC, Kim DS, Kwak SE, Kim JE, Kim DW, Kang JH, Won MH, Kwon OS, Choi SY (2005) Valproic acid reduces enhanced vesicular glutamate transporter immunoreactivities in the dentate gyrus of the seizure prone gerbil. Neuropharmacology 49: 912–921. https://doi.org/10.1016/j.neuropharm.2005.08.007
- Szczurowska E, Mares P (2013) NMDA and AMPA receptors: development and status epilepticus. Physiol Res 62: S21–S38. https://doi.org/10.33549/physiolres.932662
- Chen Q, He S, Hu XL, Yu J, Zhou Y, Zheng J, Zhang S, Zhang C, Duan WH, Xiong ZQ (2007) Differential roles of NR2A- and NR2B-containing NMDA receptors in activity-dependent brain-derived neurotrophic factor gene regulation and limbic epileptogenesis. J Neurosci 27: 542–552. https://doi.org/10.1523/JNEUROSCI.3607-06.2007
- Di Maio R, Mastroberardino PG, Hu X, Montero L, Greenamyre JT (2011) Pilocapine alters NMDA receptor expression and function in hippocampal neurons: NADPH oxidase and ERK1/2 mechanisms. Neurobiol Dis 42: 482–495. https://doi.org/10.1016/j.nbd.2011.02.012
- Ahmed MM, Carrel AJ, Cruz Del Angel Y, Carlsen J, Thomas AX, Gonzalez MI, Gardiner KJ, Brooks-Kayal A (2021) Altered Protein Profiles During Epileptogenesis in the Pilocarpine Mouse Model of Temporal Lobe Epilepsy. Front Neurol 12: 654606. https://doi.org/10.3389/fneur.2021.654606
- Aronica E, Gorter JA, Jansen GH, van Veelen CW, van Rijen PC, Ramkema M, Troost D (2003) Expression and cell distribution of group I and group II metabotropic glutamate receptor subtypes in taylor-type focal cortical dysplasia. Epilepsia 44: 785–795. https://doi.org/10.1046/j.1528-1157.2003.54802.x
- Pitsch J, Schoch S, Gueler N, Flor PJ, van der Putten H, Becker AJ (2007) Functional role of mGluR1 and mGluR4 in pilocarpine-induced temporal lobe epilepsy. Neurobiol Dis 26: 623–633. https://doi.org/10.1016/j.nbd.2007.03.003
- Ribeiro FM, Paquet M, Cregan SP, Ferguson SS (2010) Group I metabotropic glutamate receptor signalling and its implication in neurological disease. CNS Neurol Disord Drug Targets 9: 574–595. https://doi.org/10.2174/187152710793361612
- Kano M, Watanabe T (2017) Type-1 metabotropic glutamate receptor signaling in cerebellar Purkinje cells in health and disease. F1000Res 6: 416. https://doi.org/10.12688/f1000research.10485.1
- Ferraguti F, Crepaldi L, Nicoletti F (2008) Metabotropic glutamate 1 receptor: current concepts and perspectives. Pharmacol Rev 60: 536–581. https://doi.org/10.1124/pr.108.000166
- Duman RS, Sanacora G, Krystal JH (2019) Altered Connectivity in Depression: GABA and Glutamate Neurotransmitter Deficits and Reversal by Novel Treatments. Neuron 102: 75–90. https://doi.org/10.1016/j.neuron.2019.03.013
- Murrough JW, Abdallah CG, Mathew SJ (2017) Targeting glutamate signalling in depression: progress and prospects. Nat Rev Drug Discov 16: 472–486. https://doi.org/10.1038/nrd.2017.16
- McGrath T, Baskerville R, Rogero M, Castell L (2022) Emerging Evidence for the Widespread Role of Glutamatergic Dysfunction in Neuropsychiatric Diseases. Nutrients 14. https://doi.org/10.3390/nu14050917
Supplementary files








