Modern approaches to investigating the effectiveness of probiotics in aquaculture
- Authors: Kochetkov N.I.1,2, Nikiforov-Nikishina D.L.1,2, Klimuk A.A.1,2, Smorodinskay S.V.1,2, Nikiforov-Nikishin A.L.1,2, Marsova M.V.2, Vatlin A.A.2, Klimov V.A.1
-
Affiliations:
- Moscow State University of Technologies and Management (FCU)
- Vavilov Institute of General Genetics, Russian Academy of Sciences
- Issue: Vol 144, No 5 (2024)
- Pages: 550-584
- Section: Articles
- Submitted: 20.02.2025
- Accepted: 20.02.2025
- Published: 20.09.2024
- URL: https://ogarev-online.ru/0042-1324/article/view/280837
- DOI: https://doi.org/10.31857/S0042132424050059
- EDN: https://elibrary.ru/OGHJMV
- ID: 280837
Cite item
Full Text
Abstract
This review summarizes the available scientific data on the use of probiotics of different microbiological compositions in aquaculture, showing the effects of probiotics at physiological, tissue, and cellular levels, including those assessed by morphometric methods. Additionally, this paper systematizes data on the objects of study, the most commonly used probiotics, their concentrations, and research methods. It was found that the most studied aquaculture species in the use of probiotics are Oreochromis niloticus (35.9%), Oncorhynchus mykiss (6.2%), and Cyprinus carpio (4.6%). Experiments on these species are usually conducted under controlled conditions (pools, aquariums, RAS), and the duration of experiments varied from 20 to 140 days. The most frequently used microorganisms as probiotics are bacteria of the genera Bacillus (41.6%) and Lactobacillus (24.3%); the remaining 34.1% are other microorganisms of allochthonous or autochthonous origin. In most studies, the effect of probiotics was observed at concentrations of 1×106 to 1×109 CFU/g feed. Probiotics show varying efficacy, most often positively affecting growth performance, activity of digestive enzymes, gut microbiome, expression of genes associated with immunity, and resistance to pathogens. In most cases, probiotics had no effect on tissue nutrient composition, hematologic, biochemical, and immunologic parameters. Among the histomorphometric methods used when studying probiotics, the most frequently examined indicators are those characterizing the morphology of villi, layers composing the intestine, the composition of immunocompetent cells, microvilli, and goblet cells. The response to probiotic exposure was most often noted in villus height, number of goblet cells, villus area, number of intraepithelial lymphocytes, and microvilli area of intestinal epithelial tissues. Most authors agree on the need to use a systematic approach to study probiotics.
Keywords
Full Text
ВВЕДЕНИЕ
Увеличение потребительского спроса на рыбную продукцию определило распространение аквакультуры по всему миру (Troell et al., 2014; Sumon et al., 2022). На данный момент это один из самых быстро развивающихся секторов сельского хозяйства, удовлетворяющий более 50% мирового спроса на рыбную продукцию (FAO, 2022). Для успешной интенсификации производства рыбы в промышленных условиях необходимы поддержание надлежащего качества водной среды и полноценное удовлетворение пищевых потребностей объектов выращивания (Naylor et al., 2021). Однако при этом остается актуальной проблема подверженности рыб инфекционным заболеваниям, которые развиваются под воздействием различных стресс-факторов (высокая плотность посадки, низкое качество водной среды, неполноценные корма, нарушения технологий выращивания) и причиняют значительные финансовые потери (Ringø et al., 2016). В этом контексте разработка, создание и исследование новых кормовых рецептур, включающих различные функциональные компоненты, привлекают внимание исследователей. К таким компонентам можно отнести кормовые добавки, способные улучшать питательную ценность кормов и стимулировать иммунитет (Зуева, 2022). Среди них можно выделить антиоксиданты, витаминные и минеральные добавки в биодоступной форме, пигменты, аминокислоты, сорбенты и про/пребиотические препараты (Текебаева и др., 2020; Beltrán, Esteban, 2022).
Пробиотические микроорганизмы, согласно определению (Merrifield, 2010), представляют собой живую, мертвую микробную клетку или ее компонент, который при добавлении в корм и/или воду приносит пользу хозяину, улучшая состояние здоровья и устойчивость к заболеваниям, а также показатели роста и устойчивость к стрессовому воздействию. Такой эффект частично достигается за счет улучшения баланса между окружающей средой, хозяином и собственными микробными сообществами (Nayak et al., 2010). При этом пробиотики действуют не только как стимуляторы роста или профилактические препараты, но так же как иммуномодулирующие агенты (Hill et al., 2014; Sumon et al., 2022).
Рост коммерческого интереса к пробиотическим препаратам в аквакультуре отражает увеличение числа публикаций по данной тематике. И хотя активно ведется поиск эффективных микроорганизмов, тем не менее по-прежнему отсутствует целостное представление о механизмах их действия на организм рыбы (La Fata et al., 2018). По этим причинам все еще остается актуальным вопрос об установлении эффективных критериев оценки кандидатов в пробиотики. Первоначально, микроорганизмы, потенциально обладающие пробиотическими свойствами, оценивают in vitro (например, антагонизм к патогенам, синтез антиоксидантов, бактериостатиков). Следующим важным этапом является их изучение при применении в условиях выращивания объектов аквакультуры (Wanka et al., 2018).
В значительной части публикаций внимание акцентируется на влиянии пробиотиков на рыбоводно-биологические показатели. В последние годы исследователи уделяют значительное внимание воздействию пробиотиков на различные физиологические параметры. Некоторые авторы фокусируются на изменениях микробного сообщества кишечника и других слизистых оболочек рыб (Standen et al., 2016; Xia et al., 2018; Yukgehnaish et al., 2020). Подобные исследования проводятся как с использованием методов микробиологического посева со слизистой рыб (культурозависимые методы), так и с применением молекулярно-биологических техник (культуронезависимые подходы) (Castañeda-Monsalve et al., 2019; Nikiforov-Nikishin et al., 2022b). Комплексная взаимосвязь между пробиотиками, микробиомом и организмом хозяина, продемонстрированная в ряде публикаций, представляется одним из ключевых механизмов, благодаря которым пробиотики оказывают свой эффект (Llewellyn et al., 2014; Yukgehnaish et al., 2020). Непосредственное влияние пробиотиков на метаболизм и адсорбцию питательных веществ проявляется в изменениях различных биохимических показателей, например, активности пищеварительных ферментов (карбоксилазы, липазы, протеазы), что также было продемонстрировано в ряде работ (Wuertz et al., 2021; Assan et al., 2022; Haraz et al., 2023). Иммуномодулирующий эффект пробиотиков лежит в основе улучшения устойчивости к патогенам, определяется по клеточному составу крови и иммунологическим показателям, таким как титр антител и фагоцитарная активность (Nayak et al., 2010; Pirarat et al., 2011; Han et al., 2015). Большая часть пробиотических организмов потенциально способна влиять на окислительный баланс организма, что можно отследить по активности антиоксидантных ферментов и белков (супероксиддисмутаза, каталаза, глутатион).
Несмотря на то что применение пробиотиков в сельском хозяйстве и аквакультуре широко распространено, а положительные эффекты их применения на рыбе доказаны многочисленными публикациями, существуют определенные расхождения в результатах, которые варьируют в зависимости от микробиологического состава пробиотического препарата, его дозировки и наличия видоспецифичных взаимодействий штамма микроорганизма и организма-хозяина (Shefat et al., 2018; Sumon et al., 2022; Ntakirutimana et al., 2023).
Гистологические показатели являются важным критерием в оценке кормовых добавок, так как могут предоставить данные о влиянии испытуемых компонентов на пищеварение и метаболизм. Применение гистологических методов при изучении кормов и кормовых добавок выражается в оценке ряда качественных морфологических показателей ткани, отражающих частное действие пробиотика и не дающих полного представления о его эффективности (Buddington et al., 1997). При этом в гистологической практике распространен способ оценки морфологических изменений ткани с помощью балльной (полуколичественной) модели (Bernet et al., 1999) либо с помощью морфометрических измерений (количественно) (Oropesa et al., 2013; Lai et al., 2014; Hamidian et al., 2017). Второй способ оценки представляется более объективным, так как дает возможность применить к полученным данным статистические методы обработки, а также сравнить полученные результаты с другими авторами. Морфометрия или стереометрия в гистологии представляет собой метод измерения различных тканевых и клеточных структур (Elias, Hyde, 1980). Гистоморфометрия нашла широкое применение в гистопатологии, где сравнение различных размерных характеристик гистологических структур позволяет судить о степени выраженности и распространенности патологии и более точно ее классифицировать (viz. атрофия, гипотрофия). Подробности применения морфометрии в ихтиопатологии, водной токсикологии и экотоксикологии отражено в разных публикациях (Rašković et al., 2016; Barišić et al., 2018).
Ткань и клеточная структура организма обладают инертностью, т. е. способностью сохранять свои функциональные свойства при воздействии внешних факторов за счет изменения физиологических и морфологических характеристик (Гистопатология …, 2023). Для сохранения гомеостаза происходит адаптация организма, проявляющаяся на разных уровнях организации живого. На тканевом и клеточном уровнях подобные трансформации могут выражаться в частоте встречаемости, изменении размеров и площади отдельных тканевых и клеточных структур, в том числе морфологии ткани. Факторами, приводящими к изменению гистоморфологии, могут являться не только различные поллютанты или инфекционные заболевания, но и экологические факторы, в частности, питание и нутриентный состав диеты. Данный факт нашел свое отражение в применении морфометрии в более ранних публикациях, например, при исследовании активности пищеварения личинок рыб (Theilacker, 1978; Martin, Malloy, 1980), оценке развития мышечной ткани по мере взросления (Kryvi, Eide, 1977) и влияния недостатка микроэлементов на состояние скелетной ткани (Takagi, Yamada, 1991). В настоящий момент использование морфометрических практик значительно упростилось за счет повсеместного использования камер в микроскопах с высоким разрешением, а также специализированного программного обеспечения, значительно облегчающего и стандартизирующего процесс измерения тканевых структур. Все это определило высокую частоту применения гистоморфометрических методов в современных исследованиях кормов и кормовых добавок в аквакультуре.
По этим причинам обзор публикаций по теме исследования пробиотических препаратов в аквакультуре, использующих в качестве одного из методов оценки морфометрические измерения ткани, представляется актуальным. Рассмотрение и анализ результатов подобных публикаций позволят установить возможную связь между различными рыбоводно-биологическими, физиологическими и гистологическими показателями желудочно-кишечного тракта, а также выявить наиболее показательные гистологические структуры, чувствительные к применению в кормах пробиотиков.
В исследованиях на рыбах с применением пробиотиков, как привило, приводятся комплексные результаты, помимо гистоморфометрии, включающие различные физиологические, микробиологические, гидрохимические и другие параметры (табл. 1). Однако особый интерес представляют исследования, включающие совместное использование физиологических и гистоморфометрических методов для оценки влияния пробиотиков на гидробионты.
Таблица 1. Категории методов и соответствующие им параметры, оцениваемые в работах
Категория | Параметр |
Рыбоводно-биологические показатели | Начальная, конечная масса; относительная, абсолютная скорость роста; выживаемость; кормовой коэффициент/конверсия корма и др. |
Антиоксидантные ферменты | Относительное и абсолютное количество ферментов, например: лизоцим, глутатионпероксидаза, супероксиддисмутаза, каталаза |
Нутриентный состав ткани | Состав мышечной, скелетной ткани и всего тела по показателям влажности, общего жира, сырого протеина, золы |
Пищеварительные ферменты | Пепсин, трипсин, липазы, сахаразы и др. |
Микробиом кишечника | Микробное сообщество кишечника, оцениваемое с использованием секвенирования 16S рРНК и NGS |
Сопротивляемость патогенам | Устойчивость организма к действию различных патогенов, например, по показателям выживаемости |
Гематологические показатели | Количество красных и белых клеток крови, гемоглобин, относительное число лейкоцитов и другие сопутствующие показатели |
Биохимические показатели | Билирубин, аспартатаминотрансфераза, аланинаминотрансфераза, мочевина, креатинин, белок общий, альбумин и другие сопутствующие показатели |
Экспрессия генов, связанных с иммунитетом | Экспрессия цитокинов (например, IL-1a, IL-6, IL-8), хемокинов и факторов воспаления |
Иммунологические показатели | Фагоцитарная активность, количество иммуноглобулинов и белков комплемента (С3, С4) |
Культивируемый микробиом | Микробное сообщество кишечника, оцениваемое методами прямого посева |
Качество воды | Гидрохимические показатели (растворенный кислород, pH, соединения азотистого ряда и т. д.) |
Показатели пищеварения | Перевариваемость белков, жиров, углеводов |
Содержание жирных кислот | Жирнокислотный состав ткани и содержимого кишечника |
АНАЛИЗ ПУБЛИКАЦИЙ (2011–2023 гг.) ПО ИСПОЛЬЗОВАНИЮ ПРОБИОТИКОВ В АКВАКУЛЬТУРЕ
Результаты анализа публикаций в международных рецензируемых журналах, в которых проводилось изучение действия пробиотиков на объекты аквакультуры с совместным использованием физиологических и гистоморфометрических методов исследования, приведены в табл. 2.
Таблица 2. Влияние пробиотических препаратов на различные физиологические и гистологические показатели выращиваемых видов рыб
Пробиотические штаммы | Доза, КОЕ/г (мл) | Период, сут | Вид рыб | Эффект/результат в сравнении с контролем | Эффект на гистологические показатели | Источник |
Пробиотические штаммы | Доза, КОЕ/г (мл) | Период, сут | Вид рыб | Эффект/результат в сравнении с контролем | Эффект на гистологические показатели | Источник |
BIOguil™: Bacillus subtilis, Lactobacillus acidophilus, L. delbrueckii, L. rhamnosus, L. plantarum и Pediococcus acidilactici | 1 × 1010 | 56 | Acipenser baerii | ↑ Рыбоводно-биологические показатели, количественный состав ткани, показатели пищеварения, иммунологические показатели; ⟷ биохимические показатели, гематологические показатели | ↑ КМК, ВШК, ТМС, ВЭК; ⟷ ТСМ | Shekarabi et al., 2022 |
Clostridium butyricum | 0.75 × 108, 1.5 × 108, 3 × 108, 6 × 108 и 2 × 109 | 56 | Oreochromis niloticus × O. aureus | ↑ Рыбоводно-биологические показатели, сопротивляемость Aeromonas hydrophila, активность ферментов, микробиом кишечника, показатели пищеварения, культивируемый микробиом; ⟷ количественный состав ткани, биохимические показатели, гематологические показатели | ↑ ВВ; ⟷ ШВ, ТМС | Poolsawat et al., 2020 |
(А) Bacillus sp., Pediococcus sp., Enterococcus sp. и Lactobacillus sp.; (B) Pediococcus acidilactici | (А) 8.6 × 105 и 1.6 × 106; (B) 2.6 × 104 и 7.2 × 104 | 56 | Oncorhynchus mykiss | ⟷ Рыбоводно-биологические показатели, активность ферментов, количественный состав ткани; ↑ показатели пищеварения | ⟷ ВВ, КМК, ПМК; ↑ КВ | Ramos et al., 2015 |
Lactobacillus acidophilus | 1 × 103, 1 × 105, 1 × 107 и 1 × 109 | 84 | Pangasianodon hypophthalmus | ↑ Рыбоводно-биологические показатели, пищеварительные ферменты, показатели пищеварения (переваримость липидов), культивируемая микробиота; ⟷ количественный состав ткани | ↑ ВВ; ⟷ ШВ, ГК | Akter et al., 2019 |
Bacillus subtilis WB60 и Lactobacillus plantarum KCTC3928 | 1 × 106, 1 × 107 и 1 × 108 | 56 | Anguilla japonica | ↑ Рыбоводно-биологические показатели, активность ферментов, сопротивляемость Vibrio angulillarum, экспрессия иммунных генов | ↑ ВВ; ⟷ ТМС | Lee et al., 2017 |
Bacillus subtilis WB60 и Lactococcus lactis | 1 × 107 и 1 × 109 | 56 | Oreochromis niloticus | ↑ Рыбоводно-биологические показатели, активность ферментов, экспрессия про/антивоспалительных генов, сопротивляемость Aeromonas hydrophila; ⟷ биохимические показатели | ↑ ВВ, ТМС | Won et al., 2016 |
Lactobacillus acidophilus | 1 × 102, 1 × 104 и 1 × 106 | 56 | Cyprinus carpio | ↑ Рыбоводно-биологические показатели, активность ферментов, экспрессия про/антивоспалительных генов | ↑ ВВ, ШВ, ГК, ПВ | Adeshina et al., 2020 |
Pediococcus acidilactici MA18/5M | 3.03 × 106 | 63 | Salmo salar | ⟷ Рыбоводно-биологические показатели, микробиом кишечника; ↑ экспрессия про/антивоспалительных генов, активность ферментов | ↑ ВВ, КИЛ; ⟷ КМК | Abid et al., 2013 |
Acetobacter spp., Lactobacillus spp. и Pseudomonas spp. | 5 × 109 | 60 | Scophthalmus maximus | ↑ Рыбоводно-биологические показатели, количественный состав ткани, пищеварительные ферменты, активность ферментов; ⟷ микробиом кишечника | ↑ ВВ, ШВ, КМК | Li et al., 2019 |
AlCar®: Bacillus licheniformis | 2 × 106, 4 × 106, 8 × 106, 1 × 107, 2 × 107 | 70 | Oreochromis niloticus | ↑ Рыбоводно-биологические показатели, активность ферментов, иммунологические показатели, сопротивляемость Streptococcus iniae | ⟷ ВВ, ТМС | Han et al., 2015 |
Bacillus amyloliquefaciens BN06, Bacillus subtilis WN07 и Bacillus megaterium CT03 | 1 × 106 и 1 × 109 | 45 | Labeo rohita | ↑ Рыбоводно-биологические показатели, гематологические показатели, пищеварительные ферменты, активность ферментов, сопротивляемость Aeromonas hydrophila | ↑ ВВ; ⟷ ТМС | Saravanan et al., 2021 |
Bacillus coagulans ATCC 7050, Bacillus licheniformis ATCC 11946, и Paenibacillus polymyxa ATCC 842 | 1 × 109 | 56 | Sillago sihama | ↑ Рыбоводно-биологические показатели, количественный состав ткани, активность ферментов, биохимические показатели, микробиом кишечника, сопротивляемость Vibrio harveyi; ⟷ пищеварительные ферменты | ↑ ВВ, ШВ, ТМС | Amoah et al., 2021 |
Bactocell®: Pediococcus acidilactici CNCM I-4622 | 3 × 107, 2.5 × 107 и 2 × 107 | 56 | Oreochromis niloticus | ↑ Рыбоводно-биологические показатели, гематологические показатели, пищеварительные ферменты, активность ферментов, биохимические показатели количественный состав ткани, сопротивляемость Aspergillus flavus; ⟷ качество воды | ↑ ВВ, ПВГ | Eissa et al., 2023 |
Enterococcus faecium и Bacillus subtilis | 6 × 1012 | 45 | Oreochromis niloticus | ↑ Рыбоводно-биологические показатели, сопротивляемость Pseudomonas fluorescens; гематологические параметры, активность ферментов, пищеварительные ферменты; | ↑ ВВ, КИЛ; ↓ ТМС | Ismail et al., 2019 |
AlCar®: Bacillus licheniformis | 2 × 106, 4 × 106, 8 × 106, 1 × 107, 2 × 107 | 70 | Oreochromis niloticus | ↑ Рыбоводно-биологические показатели, активность ферментов, иммунологические показатели, сопротивляемость Streptococcus iniae | ⟷ ВВ, ТМС | Han et al., 2015 |
Bacillus amyloliquefaciens BN06, Bacillus subtilis WN07 и Bacillus megaterium CT03 | 1 × 106 и 1 × 109 | 45 | Labeo rohita | ↑ Рыбоводно-биологические показатели, гематологические показатели, пищеварительные ферменты, активность ферментов, сопротивляемость Aeromonas hydrophila | ↑ ВВ; ⟷ ТМС | Saravanan et al., 2021 |
Bacillus coagulans ATCC 7050, Bacillus licheniformis ATCC 11946, и Paenibacillus polymyxa ATCC 842 | 1 × 109 | 56 | Sillago sihama | ↑ Рыбоводно-биологические показатели, количественный состав ткани, активность ферментов, биохимические показатели, микробиом кишечника, сопротивляемость Vibrio harveyi; ⟷ пищеварительные ферменты | ↑ ВВ, ШВ, ТМС | Amoah et al., 2021 |
Bactocell®: Pediococcus acidilactici CNCM I-4622 | 3 × 107, 2.5 × 107 и 2 × 107 | 56 | Oreochromis niloticus | ↑ Рыбоводно-биологические показатели, гематологические показатели, пищеварительные ферменты, активность ферментов, биохимические показатели количественный состав ткани, сопротивляемость Aspergillus flavus; ⟷ качество воды | ↑ ВВ, ПВГ | Eissa et al., 2023 |
Enterococcus faecium и Bacillus subtilis | 6 × 1012 | 45 | Oreochromis niloticus | ↑ Рыбоводно-биологические показатели, сопротивляемость Pseudomonas fluorescens; гематологические параметры, активность ферментов, пищеварительные ферменты; | ↑ ВВ, КИЛ; ↓ ТМС | Ismail et al., 2019 |
AquaStar® Growout Lactobacillus sp., Pediococcus sp., Bacillus sp. и Enterococcus sp.; Levabon® Aquagrow — Biomin®: Saccharomyces cerevisiae | 1.34 × 107, нет данных | 73 | Solea senegalensis | ↑ Активность ферментов, микробиом кишечника; ⟷ рыбоводно-биологические показатели | ↑ ПВ, ВВ; ⟷ ТМС, ШВ, КМК | Batista et al., 2016 |
Bacillus sp., Pediococcus sp., Enterococcus sp. и Lactobacillus sp. | Нет данных | 72 | Solea senegalensis | ↑ Гематологические показатели, активность ферментов; ⟷ рыбоводно-биологические показатели, иммунологические показатели, сопротивляемость Photobacterium damselae subsp. piscicida | ↑ ПВ; ⟷ ШВ, КЭГ, ВВ | Barroso et al., 2016 |
Bacillus subtilis, Bacillus licheniformis и Enterococcus faecalis | 2 × 1011 | 42 | Oreochromis mossambicus | ⟷ Рыбоводно-биологические показатели; ↑ пищеварительные ферменты, биохимические показатели, активность ферментов, сопротивляемость Streptococcus agalactiae | ↑ ВВ, ТМС; ⟷ ШВ | Liu et al., 2021 |
Sanolife PRO-F®: Bacillus subtilis, Bacillus licheniformis и Bacillus pumilus | 1 × 1010 | 49 | Oreochromis niloticus | ↑ Активность ферментов; ⟷ рыбоводно-биологические показатели, гематологические показатели, микробиом кишечника | ↑КМК, ПМВ, ДМВ; ⟷ ПВ, КИЛ, ВМВ, ВШК | Adeoye et al., 2016 |
Bacillus amyloliquefaciens TPS17, Bacillus velezensis TPS3N и Bacillus subtilis TPS4 | 1 × 108 | 28 | Oreochromis niloticus | ↑ Иммунологические показатели (муцин слизистых кишечника, кожи), активность ферментов (слизистые кишечника, кожи), пищеварительные ферменты, сопротивляемость Aeromonas hydrophila; ⟷ микробиом кишечника | ↑ ВВ, КМК, ШВ, ТМС | Kuebutornye et al., 2020 |
Sanolife PRO-F®: Bacillus subtilis, Bacillus licheniformis и Bacillus pumilus | 3.25 × 109 и 3.5 × 109 | 28 | Oreochromis niloticus | ↑ Рыбоводно-биологические показатели, пищеварительные ферменты; ⟷ биохимические показатели, экспрессия про/антивоспалительных генов, активность ферментов | ↑ ВВ, ШВ, ВЭК, КМК | El-Son et al., 2022 |
Bacillus velezensis, Bacillus cereus и Lactobacillus casei | 0.1 × × 106/0.26 × × 106, 5 × × 106/1.26 × × 106, 1 × × 107/ 2.52 × × 106, 2 × × 107/5.04 × × 106 и 3 × × 107/7.56 × × 106 | 60 | Ctenopharyngodon idella | ↑ Рыбоводно-биологические показатели, сопротивляемость Aeromonas hydrophila; ⟷ количественный состав ткани, биохимические показатели, активность ферментов | ↑ ВВ, КМК; ⟷ ТМС | Chen et al., 2020 |
(А) Bacillus sp., Pediococcus sp., Enterococcus sp. и Lactobacillus sp.; (B) Pediococcus acidilactici | (A) 1 × 106 и 4.6 × 106 (B) 3.5 × 105 и 3.5 × 105 | 30 | Solea senegalensis | ⟷ Рыбоводно-биологические показатели, активность ферментов, количественный состав ткани | ↑ТМС; ⟷ КМК, ВВ | Batista et al., 2015 |
AquaStar® Growout: Bacillus sp., Pediococcus sp., Enterococcus sp., Lactobacillus sp. | 1 × 106 и 2.3 × 106 | 56 | Oreochromis niloticus | ⟷ Рыбоводно-биологические показатели, биохимические показатели, гематологические показатели, активность ферментов; ↑ Пищеварительные ферменты | ⟷ ТСМ, ПСМ; ↑ ВВ, КМК | Ramos et al., 2017 |
PAS-TRR™: Bacillus subtilis, B. cereustoyoi | 6 × 103, 1.5 × 106 | 140 | Oncorhynchys mykiss и Salmo trutta | ⟷ Рыбоводно-биологические показатели, активность ферментов, количественный состав ткани, иммунологические показатели | ↑ КИЛ; ↓ КВ; ⟷ КМК, ТМС, ВВ | Ramos et al., 2016 |
GroBiotic® и Aquablend®: Bacillus sp. | Нет данных, 1.1 × 107 | 110 | Tototaba macdonaldi | ⟷ Рыбоводно-биологические показатели, активность ферментов, микробиом кишечника, количественный состав ткани | ↑ ВВ; ⟷ ШВ, ВЭК, ВШК | González-Félix et al., 2018 |
Bacillus amyloliquefaciens CECT 5940 | 1 × 109 | 60 | Oreochromis niloticus | ↑ Рыбоводно-биологические показатели, экспрессия про/антивоспалительных генов; ⟷ биохимические показатели | ↑ ПВ; ⟷ ВВ, КМК | Al-Deriny et al., 2020 |
Bacillus licheniformis | 1×106, 1×107 и 1×108 | 60 | Cyprinus carpio | ↑ Рыбоводно-биологические показатели, микробиом кишечника, экспрессия про/антивоспалительных генов | ↑ ВВ | Zhang et al., 2021 |
Bacillus mojavensis B191 и Bacillus subtilis MRS11 | 1 × 106 и 1 × 108 | 60 | Oreochromis niloticus | ↑ Рыбоводно-биологические показатели, про/антивоспалительных генов, сопротивляемость Streptococcus iniae | ↑ ВВ, КМК, ВМВ, ПМВ | Büyükdeveci et al., 2023 |
Lactobacillus rhamnosus JCM1136 и Lactococcus lactis JCM5805 | 0.5 × 108 и 1 × 108 | 42 | Oreochromis niloticus | ↑ Рыбоводно-биологические показатели, экспрессия иммунных генов, сопротивляемость Streptococcus agalactiae, микробиом кишечника | ↑ ПМВ, ВМВ | Xia et al., 2018 |
AquaStar® Growout: Lactobacillus sp., Pediococcus sp., Bacillus sp. и Enterococcus sp. | 1.34 × 107 и 2.64 × 107 | 56 | Oreochromis niloticus | ⟷ Рыбоводно-биологические показатели, количественный состав ткани; ↑ экспрессия про/антивоспалительных генов, микробиом кишечника (в том числе культивируемый) | ↑ ШВ, КМК, КИЛ | Standen et al., 2016 |
Lactobacillus rhamnosus GG | 1 × 107 | 60 | Oreochromis niloticus | ⟷ Рыбоводно-биологические показатели, фагоцитарная активность; ↑ экспрессия про/антивоспалительных генов, иммунологические показатели | ↑ ВВ, КИЛ, КЭГ, КМК | Pirarat et al., 2011 |
Lactococcus lactis | 2 × 109 и 5 × 109 | 98 | Sparus aurata | ⟷ Рыбоводно-биологические показатели; ↑ экспрессия иммунных генов, микробиом кишечника | ↑ ВВ; ⟷ШВ, КСВ, ШСО | Moroni et al., 2021 |
Bacillus sp. SJ-10 и Lactobacillus plantarum | 1 × 108 | 56 | Paralichthys olivaceus | ↑ Микробиом кишечника, пищеварительные ферменты, экспрессия про/антивоспалительных генов, сопротивляемость Streptococcus iniae | ⟷ ВВ, ВМВ | Jang et al., 2019 |
Bacillus amyloliquefaciens | 1 × 104 и 1 × 106 | 60 | Oreochromis niloticus | ↑ Рыбоводно-биологические показатели, гематологические показатели; ⟷ количественный состав ткани | ↑ КМК, КИЛ, ВВ | Reda, Selim, 2015 |
Bacillus cereus | 1 × 107, 1 × 109 и 1 × 1011 | 70 | Carassius auratus var. pengze | ↑Рыбоводно-биологические показатели, качество филе, биохимические показатели крови, пищеварительные ферменты | ↑ ВВ; ↓ ВЭК; ⟷ ВМВ | Yang et al., 2019 |
Bacillus cereus NY5 и Bacillus subtilis | 1 × 108 | 42 | Oreochromis niloticus | ↑ Рыбоводно-биологические показатели, сопротивляемость Streptococcus agalactiae, микробиом кишечника, экспрессия генов окисилительных ферментов | ↑ ПМВ, ВМВ | Xia et al., 2020 |
Bacillus licheniformis, Bacillus subtilis и Saccharomyces cerevisiae | 1.6 ×1012 | 60 | Acipenser persicus | ↑Рыбоводно-биологические показатели, пищеварительные ферменты; ⟷ количественный состав ткани | ↑ ВВ, ШВ, КМК | Darafsh et al., 2020 |
Bacillus spp. и Lactobacillus spp. | 1 × 109 и 1 × 1011 | 60 | Cirrhinus cirrhosus | ↑ Рыбоводно-биологические показатели, культивируемая микробиота; ⟷ гематологические показатели | ↑ ШВ, ВВ, ПВ, ТМС, ГК | Hossain et al., 2022 |
Bacillus subtilis B-2335 | 2.5 ×107–5 ×107 | 30 | Cyprinus carpio | ⟷ Рыбоводно-биологические показатели | ↑ ТМС; ⟷ ВЭК, КМК, ПМК | Nikiforov-Nikishin et al., 2023 |
Bacillus subtilis B-2335, B. subtilis OZ-2 VKPM-11966 и B. amyloliquefaciens OZ-3 VKPM-11967, Lactobacillus acidophilus VKPM B-3235 | 12 ×107; 12 ×107 и 10 ×109; 20 ×107 | 30 | Oncorhynchus mykiss | ↑ Рыбоводно-биологические показатели | ↑ ППВ, ВКГ, ПМК, ВЭК; ⟷ ШСО; ↓ КИЛ, КМК | Nikiforov‐Nikishin et al., 2022 |
Bacillus subtilis и Bacillus toyoi | 4 × 108 | 63 | Oreochromis niloticus | ↑ Рыбоводно-биологические показатели | ↑ВЭК | Nakandakare et al., 2015 |
Bacillus subtilis и Lactobacillus acidophilus | 1 × 107 | 98 | Oreochromis niloticus | ↑ Рыбоводно-биологические показатели, качество воды, пищеварительные ферменты, культивируемая микробиота | ↑ ВВ, ШВ, КМК | Haraz et al., 2023 |
BioAqua®: Pediococcus acidilactici, Enterococcus faecium, Bacillus subtilis, Lactobacillus acidophilus, L. plantarum, L. casei, L. rhamnosus, Bifidobacterium bifidum, Saccharomyces cerevisiae | 0.65 × 109, 1.34 × 109 и 2.68 × 109 | 60 | Salmo trutta | ↑ Рыбоводно-биологические показатели, пищеварительные ферменты | ↑ ВВ, ВЭК; ⟷ ШВ, ШСО, ТМС | Kalantarian et al., 2020 |
CALSPORIN®: Bacillus subtilis C-3102 | 8.4 ×106, 1.7 ×107, 3.3 ×107 и 3.5 ×107 | 20 | Pseudoplatystoma reticulatum ×P. corruscans | ↑ Рыбоводно-биологические показатели, гематологические параметры, фагоцитарная активность, сопротивляемость Aeromonas hydrophila, сопротивляемость гипоксии | ↑ ВВ, ШВ, ВЭК | Nunes et al., 2020 |
Enterococcus faecalis штамм 2674, Aeromonas sp. штамм A8-29 и E. faecalis штамм FC11682 | 1 × 108 | 90 | Tor tambroides | ↑ Рыбоводно-биологические показатели, жирнокислотный состав, структура мышечной ткани; ⟷ количественный состав ткани | ↑ ВВ, ШВ, ПВ; ⟷ ТМС, ГК | Hossain et al., 2024 |
Lactobacillus plantarum | 5 × 105, 1 × 106, 1.5 × 106, 2 × 105 | 84 | Clarias gariepinus | ↑ Культивируемая микробиота, рыбоводно-биологические показатели; ⟷ количественный состав ткани | ↑ ВВ, ШВ, ПВ, ГК | Falaye et al., 2016 |
Lactobacillus rhamnosus GG | 1 × 108 | 30 | Oreochromis spp. | ↑ Рыбоводно-биологические показатели, биохимические показатели; ⟷ иммунологические показатели | ↑ ВВ, ШВ, ПВ, КМК | Sewaka et al., 2019 |
Lactobacillus ssp. и Saccharomyces sp. | 1 × 105 и 2 × 106 | 30 | Oreochromis niloticus | ↑ Рыбоводно-биологические показатели, биохимические показатели, сопротивляемость Trichodina sp. | ↑ШВ, ВВ, КИЛ, КЭГ, КМК | AbdelAziz et al., 2020 |
Lactococcus lactis KT429892 и Weissella confusa KU055491.1 | 1.5 × 107, 3 × 107 и 4 × 107 | 56 | Huso huso | ↑ Рыбоводно-биологические показатели; ⟷ биохимические показатели, гематологические показатели, иммунологические показатели | ↑ ВВ | Yeganeh Rastekenari et al., 2021 |
Pediococcus acidilactici CNCM I-4622 | 1 × 1010 | 60 | Dicentrarchus labrax | ↑ Рыбоводно-биологические показатели, качество воды; ⟷ биохимические показатели, количественный состав ткани | ↑ ВВ, ТМС | Eissa et al., 2022 |
pH FIXER®: Bacillus pumilus и B. licheniformis; Zymetin®: Bacillus sp., Streptococcus faecalis и Clostridium butyricum; Super PS®: Rhodobacter sp. и Rhodococcus sp. | 1 × 106, 1.1 × 108, 1 × 109 | 75 | Oreochromis niloticus | ↑ Рыбоводно-биологические показатели, гематологические показатели, культивируемая микробиота; ⟷ качество воды | ↑ ВВ, ВЭК | Tabassum et al., 2021 |
Probiotic International ltd.: Lactobacillus plantarum, L. delbrueckii, L. acidophilus, L. rhamnosus, Bifidobacterium bifidum, Streptococcus salivarius, Enterococcus faecium, Aspergillus oryzae, Candida pintolopes | 2 × 108 | 62 | Acipenser baerii | ↑ Рыбоводно-биологические показатели, пищеварительные ферменты, концентрация жирных кислот, культивируемая микробиота, жирнокислотный состав | ⟷ ВВ, ШВ, ПМК | Zare et al., 2021 |
Saccharomyces cerevisiae | Нет данных (1, 2 и 4 г/кг) | 90 | Labeo rohita | ↑ Рыбоводно-биологические показатели; ⟷ количественный состав ткани, гематологические показатели | ↑ ВВ, ШВ, ГК; ⟷ ТМС | Jahan et al., 2021 |
Saccharomyces cerevisiae DSY-5 | 1 × 106 и 1 × 108 | 120 | Pangasianodon hypophthalmus | ↑ Рыбоводно-биологические показатели, иммунологические показатели; ⟷ гематологические показатели | ↑ ВВ | Boonanuntanasarn et al., 2019 |
Sanolife PRO-F®: Bacillus subtilis, Bacillus licheniformis и Bacillus pumilus | 1 × 107 и 1 × 106 | 70 | Oreochromis niloticus | ↑ Рыбоводно-биологические показатели, гематологические показатели, качество воды; ⟷ биохимические показатели | ↑ ВВ, КМК | Elsabagh et al., 2018 |
Bacillus amyloliquefaciens US573 | 1 × 107 | 42 | Dicentrarchus labrax | ⟷ Рыбоводно-биологические показатели; ↑ микробиом кишечника | ↑ ВВ, КВ, КМК, ВМВ, ПМВ | Chou-ayekh, 2023 |
Bacillus cereus var. toyoi | 1 × 104 | 93 | Oncorhynchus mykiss | ↑ Культивируемая микробиота; ⟷ рыбоводно-биологические показатели, пищеварительные ферменты | ↑ ШВ, КМК; ⟷ ПВ | Gisbert et al., 2013 |
Biocenol™: Lactobacillus plantarum R2 (CCM 8674) и L. fermentum R3 (CCM 8675) | 1 × 108 | 65 | Salmo salar | ⟷ Рыбоводно-биологические показатели; ↑ концентрация жирных кислот в кишечнике, экспрессия генов антимикробных белков и муцина | ⟷ ПМЭ, КМЭ, ВЭК, КИЛ; ↑ ПМЖ, КМЖ, КМК, ВВ, ШВ, ШСО, КСВ | Nimalan et al., 2023 |
Lactobacillus brevis и L. buchneri | Нет данных | 109 | Seriola dumerili | ⟷ Жирнокислотный состав; рыбоводно-биологические показатели, количественный состав ткани | ↑ ТСС, ТСМ; ⟷ТМС, ВВ, ШВ, ШСО | Milián‐Sorribes et al., 2021 |
Lactobacillus plantarum | 1 × 104, 1 × 106 и 1 × 108 | 35 | Oreochromis niloticus | ⟷ Рыбоводно-биологические показатели, гематологические показатели | ⟷ ВВ, ШВ, ПМК; ↑ КМК | Ruiz et al., 2020 |
(А) Lactobacillus, Saccharomyces, Photosynthetic bacteria, Cusuanjun, Bacillus natto и Actinobacteria; (B) Sulfolobus acidocaldarius, Streptococcus faecium и P. bacteria | (A) 7.47 × 107 (B) 2.33 × 108 | 80 | Polyodon spathula | ↑ Пищеварительные ферменты, микробиом кишечника | ↑ТМС, ВВ, ШВ; ⟷ ТСМ | Fang et al., 2015 |
AquaStar® Growout: Bacillus sp., Pediococcus sp., Enterococcus sp. и Lactobacillus sp. | 2.3 × 106 | 56 | Oreochromis niloticus | ↑ Культивируемая микробиота, микробиом кишечника | ↑ КИЛ, ПМВ, ПВ; ⟷ КМК, ВМВ | Standen et al., 2015 |
Bacillus sp. | Нет данных | 90 | Pangasianodon hypophthalmus | ⟷ Качество воды | ↑ ВВ, ШВ, ВЭК; ⟷ ШПК | Hassan et al., 2020 |
Bacillus subtilis CECT 35 | 1 × 107 | 28 | Sparus aurata | ⟷ Микробиом кишечника | ↑ ПВ, ВВ, КЛЛ; ⟷ ПМС, ШПК, КИЛ; ↓ КМК, ВМВ | Cerezuela et al., 2012 |
Примечание: ↑ — достоверный положительный эффект в сравнении с контролем; ↓ — достоверный отрицательный эффект в сравнении с контролем; ⟷ — отсутствие эффекта; ВВ — высота ворсинки; ВМВ — высота микроворсинок; ВШК — высота щетиночной каймы; ВЭК — высота эпителиоцитов кишечника; ГК — глубина крипты; ДМВ — длина микроворсинок; КВ — количество ворсинок; КВГ — количество вакуолей гепатоцитов на 100 мкм; КИЛ — количество интраэпителиальных лимфоцитов; КЛЛ — количество лимфоцитов lamina propria; КМЖ — количество мукоидных клеток на эпителии жабр; КБК — количество мукоидных клеток на эпителии кишечника; КМЭ — количество мукоидных клеток на эпителии кожи; КСВ — количество супрануклеарных вакуолей; КЭГ — количество эозинофильных гранулоцитов; ПВ — площадь ворсинки; ПВГ — площадь вакуолей гепатоцитов; ПМВ — плотность микроворсинок; ПМЖ — площадь мукоидных клеток на эпителии жабр; ПМК — площадь мукоидных клеток; ПМС — площадь мускульного слоя; ПМЭ — площадь мукоидных клеток на эпителии кожи; ППС — площадь подслизистого слоя; ТМС — толщина мускульного слоя; ТПС — толщина подслизистого слоя; ТСС — толщина серозного слоя; ШВ — ширина ворсинки; ШПК — ширина просвета кишечника; ШСО — ширина собственной слизистой оболочки.
Первое исследование за рассматриваемый промежуток времени было опубликовано в 2011 г. (Pirarat et al., 2011) и было посвящено действию Lactobacillus rhamnosus GG на ряд физиологических и гистологических параметров Oreochromis niloticus. Всего за период с 2011 по 2015 г. было опубликовано 7 исследований (6.25%). В свою очередь, в период с 2015 по 2019 г. было опубликовано уже 19 работ (29.6%). Так, рост в количестве публикаций за данный период составил 272% относительно предыдущего (рис. 1б). Всего на конец 2019 г. было опубликовано 23 работы. За последний период (2019–2024 гг.) вышло 41 исследование, что составляет 64% от общего числа отобранных для обзора публикаций. Количество статей в данный период по сравнению с предыдущим увеличилось на 213%. Таким образом, можно видеть значительный рост интереса исследователей к применению и изучению пробиотических препаратов на объектах аквакультуры, в том числе с использованием гистоморфометрических методов. При этом наиболее значительный рост числа публикаций наблюдается, начиная с 2019 г.
Рис. 1. Карта географического распределения (а), количество исследований по годам (б) и частота (%) публикаций (в) по странам, использующим для изучения пробиотиков в аквакультуре физиологические, биохимические маркеры и гистоморфометрические методы.
Распределение публикаций по странам носило следующий характер (рис. 1а): наибольшее число статей было опубликовано исследователями из Китайской Народной Республики (n = 12), далее идут исследования из Египта (n = 9), на третьем месте с равным количеством исследований следуют Бангладеш и Португалия (n = 6). Меньшее количество работ было опубликовано в Иране (n = 5) и Великобритании (n = 4). Количество статей из других стран не превышало двух. Примечательно, что на этом фоне увеличение публикационной активности в КНР и Египте наблюдается и по другим отраслям биологии, в частности токсикологии, экологии и молекулярной биологии (Canedo et al., 2021). К тому же КНР находится на первом месте по объемам выращиваемой рыбной продукции (Wang et al., 2020). Египет является региональным лидером в аквакультурной отрасли в Африке и одним из ведущих в Средиземноморском регионе (Soliman, Yacout, 2016), а Португалия и Бангладеш — одни из ключевых поставщиков рыбной продукции в мире, в том числе полученной в аквакультуре. Возросшее внимание к исследованию пробиотиков по всему миру указывает на интерес к интенсификации аквакультуры путем применения при выращивании рыб различных биологически активных/функциональных компонентов. Развитие аквакультуры играет важную роль в обеспечении продовольственной безопасности и экономического роста во многих регионах мира (FAO, 2022), и по этой причине создание новых технологий выращивания и разработка кормовых добавок способствуют повышению конкурентоспособности отрасли.
Основные виды рыб, на которых проводятся исследования пробиотиков
Среди изученных работ наибольшее число исследований проводилось на нильской тиляпии (Oreochromis niloticus; n = 23; 35.9%), вторым по популярности объектом исследования была радужная форель (Oncorhynchus mykiss; n = 4; 6.2%), далее — обыкновенный карп (Cyprinus carpio; n = 3; 4.6%) (рис. 2а). Также существенное число работ было посвящено пангасиусу (Pangasianodon hypophthalmus; n = 3; 4.6%). Всего в публикациях встречалось 29 различных видов/гибридов рыб, включая представителей как пресноводной, так и морской ихтиофауны (см. рис. 2).
Рис. 2. Число исследований (%), проведенных на различных видах (а) и семействах (б) рыб.
Большое число исследований на тиляпии продиктовано возросшей популярностью данного объекта выращивания, составляющего 65% от общемирового объема рыбной продукции, выращиваемой в искусственных условиях (El‐Sayed et al., 2023). Тиляпия представляет существенный интерес для культивирования, так как отличается высокой скоростью роста и высокой резистентностью к неблагоприятным факторам внешней среды. Стоит отметить исследования, проводимые на гибридах, в частности тиляпии (Oreochromis niloticus × O. aureus; Poolsawat et al., 2020) и сорубиме (Pseudoplatystoma reticulatum × P. corruscans; Nunes et al., 2020). Данные гибриды являются распространенными объектами рыбоводства в некоторых странах (Lin et al., 2008).
Для более общего представления все объекты исследований были сгруппированы по семействам (рис. 2б). Представители семейства цихловых (Cichlidae) являлись наиболее изучаемыми (n = 26; 40.6%). Помимо нильской тиляпии работы также проводились на Oreochromis mossambicus, O. aureus и Oreochromis spp. Далее, по количеству опубликованных работ, идут карповые (Cyprinidae) — махсир тайский (Tor tambroides) и роху (Labeo rohita) (n = 6; 14%). Представители семейств лососевых (Salmonidae) и осетровых (Acipenseridae) исследовались в 7 (10.9%) и 4 (6.2%) работах, соответственно. Семейства Pangasiidae, Moronidae, Soleidae, Sparidae являлись объектом исследования не более, чем в трех публикациях (4.6 и 3.1%).
Рыбы из семейства лососевых являются наиболее важными видами, выращиваемыми в странах с холодным климатом (FAO, 2022), а также служат объектом индустриального рыбоводства в различных регионах, включая Северную Америку, Европу и Азию (Ford, Myers, 2008). Рыбная продукция из лососевых пользуется стабильно высоким спросом на мировом рынке. Осетровые, в свою очередь, также представляют существенный коммерческий интерес в основном для получения икры (Biology, conservation …, 2009). Применение пробиотиков для данных семейств рыб представляется особенно актуальным ввиду высокой ценности рыбной продукции.
Из представленных данных видно, что по сравнению с тиляпией, другие виды рыб, в том числе представители семейств карповых, лососевых и осетровых, получают не столь значительное внимание со стороны исследователей. Приведенное разнообразие объектов исследования представляет существенный интерес для выявления видоспецифического эффекта пробиотиков, для разработки новых препаратов и их комбинаций и для совершенствования знаний о коэволюции микробных сообществ и водных организмов (Sadeghi et al., 2023). Разные хозяйственно значимые виды рыб обладают различными физиологическими (требования к рациону и условиям содержания) и иммунологическими (строение и функциональная активность иммунокомпетентных органов) особенностями, которые продиктованы экологией конкретного вида (Mokhtar et al., 2023). Пробиотические микроорганизмы могут проявлять нестабильную эффективность, что требует специфических исследований для оптимизации их применения.
Условия проведения испытаний пробиотиков в аквакультуре
Продолжительность опыта существенно варьировала в отобранных исследованиях (рис. 3а). Наибольшее число работ было проведено с продолжительностью 35–56 и 60–80 сут (n = 21 и 22; 32.8 и 34.3%). Опыты продолжительностью 20–30 и 84–98 сут составили 14 и 12.5%. Наименьшее число экспериментов проводили в течение 110–140 сут (n = 4; 6.25%). В настоящий момент нет однозначного мнения относительно связи между эффектом пробиотического препарата и продолжительностью его использования (Liu et al., 2012). Установлено, что закрепление пробиотика в ЖКТ может зависеть не только от вида микроорганизма, но также от вида рыб и экзогенных факторов (тип корма, гидрохимические условия, сезон выращивания и др.; Langlois et al., 2021). Некоторые исследователи указывают на то, что 24–60 сут достаточно для закрепления пробиотического организма в составе микробного сообщества и/или проявления его биологически активных свойств (Liu et al., 2012). В целях профилактики бактериальных заболеваний возможно применение пробиотика в течение непродолжительного периода — 5–15 сут (Бычкова и др., 2008).
Рис. 3. Дизайн исследований: (а) продолжительность опыта, (б) условия выращивания.
Отдельного внимания заслуживают условия содержания рыб в опытах (рис. 3б). В подавляющем числе работ рыба выращивались в бассейнах или аквариумах различного объема (n = 33; 50.7%). В некоторых публикациях авторы не приводили данных по условиям выращивания, указывая только объем емкости. Опыты в установках замкнутого водоснабжения (УЗВ) составляли 35.3% (n = 23) от общего числа статей. В условиях прудового и садкового выращивания всего было проведено 13.8% исследований (n = 9). Несомненно, что лабораторные исследования, проводимые в условиях помещений (бассейны, УЗВ), представляются более удобными для проведения испытаний пробиотических препаратов, так как дают возможность большего контроля за условиями выращивания (гидрохимические показатели, плотность посадки, контроль поедаемости корма и т. д.). При этом проведение исследований в условиях садков и бассейнов предоставляет возможность испытания в рамках интенсивной аквакультуры, где применение различных кормовых добавок наиболее востребовано.
МИКРООРГАНИЗМЫ, ИСПОЛЬЗУЕМЫЕ В АКВАКУЛЬТУРЕ
Происхождение пробиотиков является важным фактором при выборе микроорганизма для использования в аквакультуре (Shefat et al., 2018). Так, бактерии, выделенные вне рыбы, называются аллохтонными или экзогенными, а микроорганизмы, полученные из организма хозяина, — автохтонными или эндогенными (Ringø et al., 2016).
В рассматриваемых работах исследовали преимущественно коммерческие пробиотические составы (n = 40; 59.7%), в которых определение происхождения микроорганизмов не представляется возможным. Среди используемых препаратов можно выделить следующие: pH FIXER®, CALSPORIN®, Sanolife PRO-F®, AquaStar®, AlCar®, PAS-TRR™ и BioAqua®. В состав данных препаратов чаще всего входят сразу несколько видов/штаммов бактерий (от 2 до 12). Исследования, в которых авторы указывают происхождение пробиотиков (аллохтонные и автохтонные) составляют 16.4 (n = 11) и 5.9% (n = 4) соответственно. Работы, в которых не указано происхождение микроорганизмов составляли 17.9% (n = 12).
Коммерческие пробиотики являются наиболее доступными кормовыми добавками, что, вероятно, объясняет их высокую частоту использования в работах. Однако некоторые авторы указывают, что выживаемость и способность микроорганизмов из коммерческих препаратов закрепляться в ЖКТ гидробионтов нестабильна и зависит от множества факторов (Fijan et al., 2014). Вероятно, по этой причине зависимости между количеством бактерий в составе препарата и выраженностью эффектов на рыбе не наблюдалось. Многие авторы также предполагают, что автохтонные микроорганизмы будут проявлять бо´льшую эффективность, в сравнении с эндогенными, так как обладают большей специфичностью и необходимыми характеристиками (набор ферментов, липополисахаридов, адгезинов) для успешного закрепления и развития в условиях слизистой кишечника рыб (Shefat et al., 2018; Ntakirutimana et al., 2023; Büyükdeveci et al., 2023).
Видовой состав пробиотических микроорганизмов
Распределение родов и видов микроорганизмов в изученных работах приведено на рис. 4. В отобранных публикациях наибольшее число работ проводилось с применением бактерий рода Bacillus (n = 60; 41.6%), отдельно или в составе комплексного препарата. Второй по популярности род пробиотических бактерий — Lactobacillus (n = 35; 24.3%). Меньше были представлены в исследованиях пробиотики рода Pediococcus, Enterococcus и Saccharomyces (9, 7.6 и 4.1% соответственно). Другие рода встречались в оставшихся 17.3% работ (n = 10).
Рис. 4. Число исследований (%), проведенных с использованием различных родов (а) и видов (б) пробиотических организмов.
Среди наиболее применяемых видов пробиотических микроорганизмов (см. рис. 4) в составе препаратов доминировал Bacillus subtilis, встречаясь в 13.8% исследований (n = 20). Далее идут неопределенные представители бацилл (Bacillus sp.; 6.9%, n = 10) и B. lichenifrmis (5.5%; n = 8). Часто используемые виды лактобацилл (Lactobacillus sp. и L. plantarum) встречались, соответственно, в 5.5 и 4.8% статей. Молочнокислые бактерии Pediococcus sp., также использовались в качестве пробиотиков в 4.8% работ (n = 7). Такие организмы, как: B. amyloliquefaciens, Enterococcus sp., L. acidophilus, P. acidilactici, L. rhamnosus, Lactococcus lactis, Saccharomyces cerevisiae, B. cereus, B. pumilus, Enterococcus faecalis и Lactobacillus spp. встречались в исследованиях от 3 до 6 раз (2–4.1%). Среди микроорганизмов, применяемых не более, чем в двух работах (1.3%), стоит отметить: Clostridium butyricum, Enterococcus faecium и L. delbrueckii.
Представители родов Bacillus и Lactobacillus обладают рядом преимуществ, в частности: способностью выживать в условиях низких значений pH и действия желчных кислот, высокой степенью адгезии к слизистой, а также доказанным положительным физиологическим действием (Wuertz et al., 2021; El-Son et al., 2022). Помимо прочего, бактерии рода Lactobacillus характеризуются возможностью синтезировать короткоцепочечные жирные кислоты (КЦЖК), которые служат энергетическим субстратом как для представителей комменсальной микробиоты, так и для энтероцитов кишечника (Allameh et al., 2017). Кроме того, они отличаются способностью синтезировать различные антимикробные соединения, подавляющие активность патогенов и приводящие к развитию нормальной микробиоты (Martínez Cruz et al., 2012; Fijan et al., 2014; Zhang et al., 2021). Дополнительно, широкое использование данных микроорганизмов в аквакультуре, обусловлено их высокой частотой обнаружения в водной среде и слизистых оболочках гидробионтов (Lauzon, Ringø, 2012).
Такие рода, как Enterococcus, Pediococcus, Bifidobacterium и др., являются перспективными кандидатами в пробиотики, так как их применение способствует поддержанию иммунного статуса рыб, улучшению пищеварения и адсорбции нутриентов, снижению риска заболеваний и повышению продуктивности (Batista et al., 2016). Однако для дальнейшего внедрения данных микроорганизмов-пробиотиков в практику аквакультуры необходимы дополнительные исследования, направленные на более глубокое понимание взаимодействия между пробиотиками, микробиотой рыб и окружающей средой.
Концентрации используемых пробиотических микроорганизмов
В рассмотренных работах используемые концентрации пробиотиков сильно варьировали, находясь в пределах 1×102–1×1012 КОЕ/г корма. Для удобства восприятия материала все встречающиеся в публикациях концентрации были распределены по группам со степенью колониеобразующих единиц на грамм корма (1×10n КОЕ/г) и приведены на рис. 5.
Рис. 5. Число исследований (%), проведенных с использованием различных концентраций пробиотиков (10n КОЕ/г): (а) все концентрации, (б) концентрации, продемонстрировавшие достоверный положительный эффект.
Учет концентрации в соответствии с вышеописанными условиями показал, что наиболее используемыми концентрациями микроорганизмов являются 1×106, 1×107 и 1×108 КОЕ/г, которые составляли 21.4, 19.6 и 19.5% от общего числа публикаций, соответственно (n = 24, 22, 21). Высокую частоту применения отмечали в концентрации микроорганизмов 1×109 КОЕ/г (13.3%; n = 15). В свою очередь, концентрации 1×104 и 1×105 КОЕ/г встречались лишь в 6.2% исследований (n = 7). Другие, упомянутые в отобранных работах, концентрации использовались не более трех раз. Стоит отметить, что число работ, в которых авторы не указывали используемую концентрацию пробиотиков составляло 6.2% (n = 7).
Концентрации, показавшие достоверный эффект, демонстрировали схожее распределение. Концентрации 1×106 (22%; n = 19), 1×107 (22%; n = 19), 1×108 (20.9%; n = 18), а также 1×109 (15.1%; n = 13) КОЕ/г наиболее часто оказывали положительный эффект на оцениваемые физиологические показатели объектов выращивания. Более высокие или более низкие концентрации, по сравнению с описанными выше, демонстрировали положительный эффект и составляли 19.7% от общего числа публикаций (n = 8).
В настоящее время нет однозначного мнения по поводу необходимой для проявления положительного эффекта концентрации пробиотического микроорганизма. Например, было показано, что концентрации 1×105–1×106 КОЕ/г достаточно для получения положительного эффекта от действия пробиотиков для человека (Georgieva et al., 2014). В большинстве работ концентрации, оказывающие действие, находились в пределах 1×106–1×109 КОЕ/г (например: Won et al., 2016; Xia et al., 2018; Kuebutornye et al., 2020; Zare et al., 2021). В исследовании (Akter, 2019) даже концентрация 1×105 КОЕ/г L. acidophilus приводила к достоверному улучшению веса, кормового коэффициента и показателей перевариваемости сухого вещества и белка Pangasianodon hypophthalmus. В свою очередь, в работе (Batista et al., 2015) многокомпонентный пробиотик в концентрациях 3.5×105 и 4.6×106 КОЕ/г не оказал действия на рыбоводно-биологические показатели и активность пищеварительных ферментов Solea senegalensis. По данным исследования с использованием B. subtilis и B. licheniformis, концентрации 1×108 КОЕ/г (Merrifield et al., 2010) не приводили к значимому изменению биохимических показателей крови радужной форели. Предполагается, что для многих исследуемых штаммов пробиотических микроорганизмов характерно специфическое взаимодействие с хозяином, обусловленное вариабельностью компонентов клеточной стенки бактерий, которые вызывают различные реакции у организма путем взаимодействия с рецепторами энтероцитов (Bron et al., 2012; Gisbert et al., 2013). Таким образом, для каждого микроорганизма (потенциального пробиотика) целесообразно проводить серию опытов с испытанием спектра концентраций (от 1×105 до 1×1010 КОЕ/г).
Влияние пробиотиков на микробиом хозяина
Изучение микробиома кишечника является важным направлением исследований, нацеленных на изучение взаимодействия между комменсальными и симбиотическими микроорганизмами, населяющими слизистые хозяина и оказывающими влияние на здоровье рыбы (Nayak, 2010; Ringø et al., 2016). Во многих работах было продемонстрировано, что пробиотические бактерии способны оказывать значимое влияние на микробное сообщество кишечника, приводя к изменению относительной представленности отдельных групп бактерий, увеличивая или уменьшая общее разнообразие организмов (Standen et al., 2016; Feng et al., 2020; Bjørgen et al., 2020). В отобранных для обзора работах положительный эффект на микробное сообщество кишечника был выявлен в 12 статьях (66.6%). В данных исследованиях авторами установлены изменения в количестве определенных оперативных таксономических единиц (OTU), а также достоверные улучшения индексов насыщенности (ACE и Chao1) и разнообразия (Shannon и Simpson) микробиологических сообществ, показателей альфа/бета-разнообразия. В исследованиях с отсутствием эффекта не было установлено достоверного изменения данных индексов, однако в большинстве случаев наблюдались некоторые сдвиги в составе отдельных групп микроорганизмов. Например, в работе (Li Z. et al., 2019) индексы разнообразия и насыщенности достоверно не отличались в группах, получавших комплексный пробиотический препарат (Acetobacter spp., Lactobacillus spp. и Pseudomonas spp. 5 × 109 КОЕ/г). При этом было выявлено достоверное изменение относительного количества родов Sediminibacterium, Burkholderia и Bacteroides. У тиляпии, получавшей в составе корма пробиотический препарат Sanolife PRO-F® (Bacillus subtilis, Bacillus licheniformis и Bacillus pumilus 1 × 1010 КОЕ/г) не наблюдалось достоверных изменений в альфа/бета-разнообразии, однако, у группы, получавшей опытные корма, было выявлено появление в составе микробиома представителей родов Corynebacterium, Bacillus, Staphylococcus и Rhodobacter. Исследование микробиома гидробионтов представляется очень комплексной задачей, ввиду нестабильности микробных сообществ слизистых, которые могут включать как комменсальные/симбиотические организмы, непосредственно ассоциированные с хозяином, так и различную транзиторную микрофлору. При изучении влияния пробиотиков на рыб, исследования качественных и количественных характеристик микробного сообщества слизистой кишечника представляются целесообразными, если целью работы является установление механизмов действия пробиотического организма. В случае же работ по определению эффективности кандидатов в пробиотики, применение подобного ресурсозатратного метода исследования не рационально.
Изучение микробных сообществ с использованием стандартных микробиологических методов (прямой посев) показало наиболее значимую реакцию на применение пробиотиков (100%; n = 10). В данных работах наблюдалось повышение общего числа культивируемых микроорганизмов, а также представителей молочнокислых бактерий. Например, в исследовании (Standen et al., 2016) использование в кормах для тиляпии коммерческого пробиотика AquaStar® Growout (Lactobacillus sp., Pediococcus sp., Bacillus sp. и Enterococcus sp.; 1.34 × 107 и 2.64 × 107 КОЕ/г) приводило к достоверному увеличению количества общего числа микроорганизмов, бацилл и лактобацилл. В работе на клариевом соме (Clarias gariepinus) пробиотик Lactobacillus plantarum приводил к увеличению количества культивируемых бактерий и встречаемости энтеробактерий (Falaye et al., 2016). Важно отметить, что культивируемый микробиом слизистых оболочек значительно различается как по представленности микроорганизмов, так и по их количеству. Культурозависимые методы всегда показывают меньшее таксономическое разнообразие и в то же время могут позволить установить значимые колебания на уровне культивируемых таксонов (Castañeda-Monsalve et al., 2019). Использование культурозависимых методов при изучении пробиотиков наиболее актуально для оценки закрепления пробиотика на слизистой оболочке кишечника, что может дополнительно подтвердить его пробиотическую активность.
Действие пробиотиков на микробиом слизистых оболочек водных организмов по-прежнему остается актуальной темой исследования. На данный момент предполагается, что поступление пробиотического микроорганизма с кормами приводит к сдвигам в составе микробного сообщества через: 1) действие на доминирующие филумы микроорганизмов, стимулируя развитие комменсалов; 2) колонизацию слизистой и изменение экологии микробиоты и занятие доминирующего положения в отдельных компартментах; 3) подавление развития и способность к колонизации патогенных бактерий путем продуцирования различных биологически активных веществ и вступление в гомеостаз с комменсальными микроорганизмами (Lazado, Caipang, 2014).
ОЦЕНОЧНЫЕ ПОКАЗАТЕЛИ ПРИМЕНЕНИЯ ПРОБИОТИКОВ В АКВАКУЛЬТУРЕ
Выявленная в рассмотренных исследованиях эффективность пробиотических препаратов на различные физиологические и гистоморфометрические показатели организма значительно варьировалась. Обобщенные результаты по количеству применений каждого из методов в работах и частота фиксации достоверных отличий при применении пробиотика для каждого из них приведены на рис. 6.
Рис. 6. Количество использования различных групп показателей в публикациях и частота фиксации достоверных отличий при применении пробиотика.
Рыбоводно-биологические параметры
Оценка рыбоводно-биологических параметров производилась в 58 работах, при этом достоверный эффект наблюдался в 68.9% случаев. Наиболее часто пробиотики приводили к увеличению конечной массы рыб, а также уменьшению кормового коэффициента. Например, пангасиус (Pangasianodon hypophthalmus), получавший в составе корма дрожжи (Saccharomyces cerevisiae DSY-5) в концентрации 1 × 106 и 1 × 108, продемонстрировал значимое увеличение скорости роста и коэффициента конверсии корма за 120 сут опыта (Boonanuntanasarn et al., 2019). Пробиотики на основе автохтонных бактерий Lactococcus lactis и Weissella confusa приводили к увеличению финального веса и улучшению эффективности использования кормов у белуги (Huso huso) (Yeganeh Rastekenari et al., 2021). В свою очередь, в работе (Chouayekh et al., 2023) было выявлено, что Bacillus amyloliquefaciens в концентрации 1 × 107 КОЕ/г не приводит к существенному улучшению рыбоводно-биологических показателей, хотя его применение приводило к изменению гистоморфологических показателей кишечника и оказывало влияние на микробиом слизистой ЖКТ. Схожие результаты были получены на Solea senegalensis, где различные комбинации пробиотических бактерий (Bacillus sp., Pediococcus sp., Enterococcus sp. и Lactobacillus sp.) не вызывали улучшения рыбоводно-биологических показателей (Barroso et al., 2016). Влияние пробиотиков на росто-весовые показатели и эффективность использования кормов, в первую очередь, обусловлено ферментативной активностью микроорганизмов, а именно их способностью к синтезу in vivo или стимуляции организма к выработке пищеварительных ферментов (Simón et al., 2021). Также микроорганизмы могут метаболизировать различные компоненты кормов, предоставляя хозяину нутриенты в удобной для адсорбции форме (Sumon et al., 2022). Как уже указывалось ранее, эффект пробиотиков на организм рыбы зависит от уникальных метаболических характеристик бактерий, и вероятно, некоторые микроорганизмы не способны закрепиться в составе комменсальной микробиоты кишечника.
Ферментативная активность
Значимый эффект на активность ферментов был выявлен в 70.8% работ (n = 17). Пробиотики приводили к увеличению концентрации лизоцима и супероксиддисмутазы (SOD) и каталазы (CAT) в тканях и сыворотке крови рыб. В частности, в работе (Shekarabi et al., 2022) было продемонстрировано положительное влияние поликомпонентного пробиотика на активность лизоцима слизистой оболочки кишечника сибирского осетра (Acipenser baerii). Лизоцим является ферментом класса гидролаз, увеличение которого наблюдается при заражении рыб различными патогенами, так как он способен гидролизовать клеточные оболочки бактерий (Magnadóttir, 2007). Увеличение концентрации данного фермента в сыворотке, может быть объяснено иммуномодулирующими свойствами пробиотиков.
Применение Clostridium butyricum в кормах для гибрида тиляпии (Oreochromis niloticus × O. aureus) приводило к существенному повышению активности в сыворотке крови кислой фосфатазы (ALP), каталазы, глутаминовой оксалоуксусной трансаминазы (GOT), глутаминовой пировиноградной трансаминазы (GPT) и супероксиддисмутазы (Poolsawat et al., 2020). В свою очередь, у тиляпии, получавшей пробиотический препарат Sanolife® PRO-F, наблюдался разнонаправленный эффект на антиоксидантные ферменты, так, было выявлено повышение уровней SOD и CAT, а также ингибирование выработки малонового диальдегида (MDA) (El-Son et al., 2022). Антиоксидантные ферменты и белки в организме играют важную роль в поддержании окислительного баланса организма, а именно — элиминации реактивных радикалов (Feng, Wang, 2020). Увеличение их выработки при действии пробиотиков может быть связано как с действием некоторых метаболитов бактерий (например КЦЖК), так и с иммуномодулирующим действием. В частности, при развитии клеточного иммунитета происходит выработка активных форм кислорода макрофагами и гранулоцитами, за счет чего реализуются бактерицидный и цитотоксический эффекты (Mokhtar et al., 2023), после чего, для элиминации остатков радикалов, происходит увеличение активности антиоксидантных ферментов.
Действие пробиотиков на активность пищеварительных ферментов является одним из ключевых свойств “полезных” микроорганизмов, и выступает важным показателем при подборе и изучении кандидатов в пробиотики. Пищеварительные ферменты (протеазы, липазы и карбоксилазы) в кишечнике объектов выращивания значимо увеличивались в 88.8% исследований (n = 16). Среди отобранных работ положительный эффект от применения пробиотиков отмечался для сибирского остра (Acipenser baerii) (Zare et al., 2021), где наблюдалось увеличение химотрипсина, трипсина, липазы, амилазы и пепсина; для персидского осетра (Acipenser persicus) (Darafsh et al., 2020), где было выявлено повышение активности протеазы, амилазы и липазы; для тюрбо (Scophthalmus maximus) (Li X. et al., 2019), где активность таких ферментов, как амилаза, пепсин и липаза значимо повышалась при использовании пробиотического препарата. Повышение активности пищеварительных ферментов также было установлено для таких видов рыб, как веслонос Polyodon spathula (Fang et al., 2015), кумжа Salmo trutta (Kalantarian et al., 2020), тиляпия Oreochromis niloticus (Ramos et al., 2017а; Kuebutornye et al., 2020; Haraz et al., 2023; Eissa et al., 2023), роху Labeo rohita (Saravanan et al., 2021) и ряда других (см. табл. 2). Согласно результатам изученных публикаций активность пищеварительных ферментов представляется одним из наиболее чувствительных показателей, реагирующих на применение пробиотиков у рыб. Данное утверждение подтверждается общностью полученных результатов для разных систематических групп рыб. По этим причинам использование данного показателя при исследовании кандидатов в пробиотики позволяет объективно оценить их эффективность и сделать обоснованный вывод о целесообразности их применения.
Химический состав тканей
Среди наиболее часто используемых показателей минимальный эффект от применения пробиотиков был выявлен для параметра нутриентного состава ткани. Среди 21-й работы, оценивавшей данный параметр, лишь в 8-ми был зафиксирован значимый эффект (38.1%). Например, использование пробиотиков B. licheniformis и B. polymyxa в кормах для Sillago sihama приводило к значимому увеличению содержания сухого вещества, а также содержания белков, липидов и золы (Amoah et al., 2021). Напротив, применение коммерческих пробиотиков GroBiotic® и Aquablend®, содержащих Bacillus sp. не оказывало влияния на нутриентный состав мышечной ткани и печени Totoaba macdonaldi (González-Félix et al., 2018), несмотря на большую продолжительность кормления (120 сут). В других публикациях, где был отмечен эффект применения пробиотика, фиксировались противоречивые результаты — снижение или повышение показателей влажности, количества золы, белков и жира в тканях рыб (Yang et al., 2019; Li et al., 2019; Darafsh et al., 2020). Неоднозначные данные по влиянию пробиотиков на нутриентный состав ткани рыб могут быть объяснены различием в метаболизме объектов выращивания, которые обусловлены различным типом питания, температурными режимами выращивания и скоростью роста (Климов и др., 2023). Дополнительно необходимо указать, что изменение состава ткани напрямую связано с изменением скорости роста и набора массы. В частности, в работах, в которых пробиотики не оказывали влияния на рыбоводно-биологические показатели, также не отмечалось изменения параметров нутриентного состава ткани (Batista et al., 2015; Ramos et al., 2015; González-Félix et al., 2018).
Сопротивляемость патогенам
Положительный эффект от применения пробиотиков отмечался при оценке сопротивляемости рыб к различным патогенам в водной среде (94.4%; n = 17). Увеличение устойчивости к бактериальным инвазиям связана со способностью пробиотиков в кишечнике занимать сайты адгезии на слизистой, конкурировать за питательные вещества, а также синтезировать бактериостатики, препятствующие росту и развитию условно-патогенной микрофлоры (Nayak et al., Chen et al., 2020). В ряде исследований на нильской тиляпии было показано, что применение пробиотиков в кормах приводит к увеличению выживаемости рыб при заражении такими патогенными микроорганизмами и их метаболитами, как Aspergillus flavus (Eissa et al., 2023), Pseudomonas fluorescens (Ismail et al., 2019), Aeromonas hydrophila (Kuebutornye et al., 2020), A. veronii (Sewaka et al., 2019) и Streptococcus agalactiae (Xia et al., 2018; Liu et al., 2021). Помимо этого использование комплексных составов пробиотиков оказывало воздействие на резистентность Anguilla japonica (Lee et al., 2017) и Labeo rohita (Saravanan et al., 2021) к Vibrio angulillarum и Aeromonas hydrophila соответственно. Стоит отметить, что в перечисленных работах не наблюдается зависимости между дозой вносимого микроорганизма и временем его использования, что указывает на верность утверждения о возможности применения пробиотических бактерий в качестве профилактического средства от бактериальных инвазий (Юхименко, Бычкова, 2010). Можно утверждать, что показатель сопротивляемости рыб к патогенам представляется важным параметром, позволяющим более точно определить эффективность пробиотика.
В свою очередь, иммунологические показатели рыб достоверно изменялись при применении пробиотика лишь в 60% исследований (n = 6). Это может быть связано с тем, что вероятный механизм действия пробиотиков преимущественно ассоциирован со стимуляцией специфичного и/или локального иммунного ответа слизистых оболочек, а увеличение концентрации иммуноглобулинов, белков комплемента и лизосомальной активности наблюдается при активации адаптивного иммунитета (Natnan et al., 2021). Например, в работе (Nunes et al., 2020) было продемонстрированно, что пробиотик Bacillus subtilis C-3102 приводил к существенному увеличению фагоцитарной активности у гибрида Pseudoplatystoma sp. В свою очередь особи синегальской солеи (Solea senegalensis), получавшей комплексный пробиотик (Bacillus sp., Pediococcus sp., Enterococcus sp. и Lactobacillus sp.) не продемонстрировали достоверного изменения показателей общего количества иммуноглобулина и активности белков альтернативного пути комплемента относительно контроля (Barroso et al., 2016). Изменение иммунологических показателей фиксировалось в работах, в которых также было установлено увеличение устойчивости к патогенам (Han et al., 2015; viz. Nunes et al., 2020; Kuebutornye et al., 2020). Вероятно, специфичная активность пробиотика и его взаимодействие со слизистой кишечника рыбы могут выражаться в различной интенсивности иммунного ответа, что частично подтверждается результатами омиксных исследований (López Nadal et al., 2023). Использование иммунологических показателей (титр антител, фагоцитарная активность) в исследованиях новых пробиотиков может быть востребовано в случае наличия у исследуемых микроорганизмов доказанного иммуностимулирующего действия или в комплексе с оценкой сопротивляемости патогенам.
Экспрессия про- и антивоспалительных генов
При изучении экспрессии различных про/антивоспалительных маркеров практически всегда наблюдалось увеличение относительных уровней мРНК при применении пробиотических препаратов (92.3%; n = 12). Данный эффект пробиотических микроорганизмов является одним из ключевых, так как способствует иммунизации организма и, как следствие, повышает его способность противостоять действию патогенов и различных стресс-факторов (Lazado, Caipang, 2014). В отобранных исследованиях наиболее часто оценивалась экспрессия интерлейкинов (IL-1β, IL-8, IL-10), интерферона (IFN-γ), фактора роста опухоли (TNF-α), трансформирующего фактора роста (TGF-β), белка теплового шока (HSP70) и толл-подобного рецептора (TLR2/3). Преимущественно целевой тканью для оценки уровней мРНК являлся кишечник (Moroni et al., 2021), однако, в некоторых работах проводилось изучение экспрессии в печени (Al-Deriny et al., 2020). Пробиотики приводили к увеличению относительной экспрессии белков теплового шока (Lee et al., 2017), интерлейкинов и факторов роста (Won et al., 2016; Adeshina et al., 2020), а также толл-подобных рецепторов (Abid et al., 2013). Показательной является работа (Standen et al., 2016), в которой у нильской тиляпии, получавшей коммерческий пробиотический состав AquaStar® Growout, фиксировалось достоверной увеличение относительного количества мРНК различных генов, связанных с иммунным ответом (TLR2, TNF-α, IL-1β, IL-10, TGF-β). Отдельно стоит отметить, что в другом исследовании на тиляпии (El-Son et al., 2022), применение в кормах пробиотика Sanolife PRO-F® не приводило к существенному изменению экспрессии интерлейкинов (IL-1β, IL-8). Механизм действия пробиотиков на различные иммунные маркеры, в первую очередь, связан со стимуляцией неспецифичного иммунного ответа и выработкой иммунокомпетентными клетками (макрофагами, лимфоцитами) цитокинов (Firdaus-Nawi, Zamri-Saad, 2016). Оценка профиля экспрессии про- и противовоспалительных факторов в кишечнике, является результативным методом, позволяющим с минимальными затратами подтвердить эффективность иммуномодулирующего действия изучаемого микроорганизма.
Гематологические и биохимические показатели крови
В отобранных статьях действие пробиотиков на гематологические и биохимические показатели было менее выраженным по сравнению с другими категориями параметров. Количество работ, в которых данные параметры достоверно отличались от контроля, составили 9 и 6 публикаций (52.9 и 37.5% соответственно). Возможно, низкий эффект на гематологию и биохимию крови связан со специфичным взаимодействием пробиотиков именно с лимфоидными тканями слизистых. Помимо этого, стоит отметить, что продолжительность кормления, при которой установлен положительный эффект на данные показатели, составляла более 60 сут. Кроме того, ранее уже было показано, что пробиотики оказывают различные эффекты на гематологические параметры рыб, в зависимости от применяемой концентрации (Грозеску и др., 2009; Jahan et al., 2021). В публикациях действие пробиотиков на рыб преимущественно оценивалось по следующим гематологическим показателям: количество лейкоцитов (WBC) и эритроцитов (RBC), содержание гемоглобина (Hb) и сопутствующие параметры (Hе, MCV, MCH, MCHC), кроме этого, исследователями подсчитывалось относительное число клеток лейкоцитарного ряда. В подавляющем большинстве исследований применение пробиотиков оказывало значительное влияние лишь на несколько гематологических показателей. В частности, в работе на сибирском осетре (Acipenser baerii) поликомпонентный пробиотик приводил только к увеличению относительного числа нейтрофилов и количества эритроцитов (Shekarabi et al., 2022). Клеточный состав крови белуги, получавшей два автохтонных штамма пробиотиков, также существенно не изменялся (Yeganeh Rastekenari et al., 2021). При этом положительное действие пробиотика было зафиксировано в работе на тиляпии (Eissa et al., 2023), где группа рыб, получавшая корма со штаммом Pediococcus acidilactici CNCM I-4622, продемонстрировала значимое увеличение числа лимфоцитов, нейтрофилов и моноцитов. Подобный эффект, помимо этого, отмечался при применении Bacillus amyloliquefaciens (Reda, Selim, 2015) и коммерческого состава pH FIXER® (Tabassum et al., 2021).
Гистоморфометрические параметры и методы их измерения
Раскрывая механизмы взаимодействия пробиотика и слизистой оболочки хозяина, гистоморфометрический анализ дает возможность оценить эффективность пробиотиков. При этом, неоднозначный эффект действия пробиотиков требует дальнейшего совершенствования морфометрических методов.
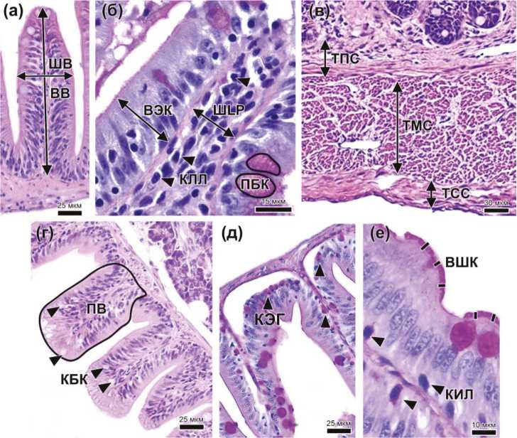
Всего в разных исследованиях анализировалось до 30 различных гистохимических параметров. Среди них лишь 16 применялись более трех раз. Они могут быть объединены в следующие группы: характеризующие морфологию ворсинок кишечника (высота, ширина, площадь, количество, высота эпителиоцитов, глубина крипт); характеризующие морфологию слоев/оболочек, слагающих кишечник (толщина/площадь подслизистого, мускульного и серозного слоев); отражающие состав иммунокомпетентных клеток (количество интраэпителиальных лимфоцитов, лимфоцитов собственной слизистой оболочки, количество эозинофильных гранулоцитов); характеризующее микроворсинки слизистой кишечника (высота, площадь микроворсинок, высота щетиночной каймы); характеризующие морфологию бокаловидных клеток (количество, площадь). Наиболее часто используемые в работах морфометрические параметры приведены на рис. 7. Полный список параметров, а также частота их использования приведены в табл. 2.
Рис. 7. Гистоморфометрические параметры, наиболее часто используемые в работах: характеризующие морфологию ворсинок кишечника (а, г); характеризующие морфологию бокаловидных клеток (б, г); отражающие состав иммунокомпетентных клеток (б, д, е); характеризующие морфологию слоев/оболочек, слагающих кишечник (в); характеризующие микроворсинки слизистой кишечника (е). Сокращения: ШВ — ширина ворсинок; ВВ — высота ворсинок; ВЭК — высота эпителиоцитов кишечника; КЛЛ — количество лимфоцитов собственной слизистой оболочки; ПБК — площадь бокаловидных клеток; ТПС — толщина подслизистой оболочки; ТМС — толщина мускульного слоя; ТСС — толщина серозного слоя; ПВ — площадь ворсинки; КБК — количество бокаловидных клеток; КЭГ — количество эозинофильных гранулоцитов; ВШК — высота щетиночной каймы; КИЛ — количество интраэпителиальных лимфоцитов (по: Nikiforov-Nikishin et al. 2022b; Kochetkov et al., 2023).
Методы измерения морфометрических параметров у разных авторов существенно варьировались. Исходя из приведенных в публикациях описаний, а также данных других авторов, были сформированы обобщенные методы измерений гистоморфометрических показателей кишечника, приведенные ниже. В целом все оцениваемые показатели можно отнести к трем категориям: высота/толщина тканевой структуры (высота эпителия, толщина мускульного слоя), площадь клетки или морфофункциональной единицы (площадь бокаловидных клеток) и встречаемость клеток (интраэпителиальных лимфоцитов, бокаловидных клеток) (Hassan et al., 2020; Nikiforov-Nikishin et al., 2022b; Hossain et al., 2022; Kochetkov et al., 2023).
Первоначально для измерений просматривается от 10 до 20 случайных полей зрения препарата (Nakandakare et al., 2013; Batista et al., 2016). Для измерений выбираются ворсинки без артефактов фиксации и проводки (Lee et al., 2017; Boonanuntanasarn et al., 2019).
Высоту ворсинки измеряют на 10 самых длинных складках слизистой, при этом измерения проводят от основания до верхней части, следуя всем изгибам (Pirarat et al., 2011; Aziza et al., 2014; Abdel-Aziz et al., 2020). Основанием ворсинки считают границу собственной оболочки слизистой и подслизистого или мускульного слоя (Al-Deriny et al., 2020). Толщина ворсинки измеряется на средней части путем проведения линии, перпендикулярной плоскости складки и проходящей от одного края щеточной каймы микроворсинок до другого (Kuebutornye et al., 2020). Согласно (Nimalan et al., 2023) измерения на каждой ворсинке необходимо проводить на шести различных участках, так как ширина ворсинок изменяется по высоте. Высоту адсорбирующего эпителия измеряют путем проведения линии, перпендикулярной плоскости собственной пластинки слизистой и плоскости щеточной каймы микроворсинок (Abid et al., 2013).
Плотность ворсинок определяется как соотношение между общим количеством ворсинок, представленных в каждом срезе/участке среза, и площадью среза/участка (мм²) (Ramos et al., 2017b). При этом сросшиеся ворсинки рассматривались как единое целое, так как высокая степень слияния приводит к снижению плотности ворсинок.
Количество интраэпителиальных лимфоцитов, лимфоцитов собственной слизистой оболочки, эозинофильных гранулоцитов и бокаловидных клеток подсчитывается либо в области одной ворсинки (Samanya, Yamauchi, 2002; Cerezuela et al., 2012; Abdel-Aziz et al., 2020), либо на определенной площади слизистой — 100 мкм² (Standen et al., 2015; Adeoye et al., 2016), 1 мм² (Al-Deriny et al., 2020) или 100 мм (Standen et al., 2016; Nikiforov-Nikishin et al., 2023). Количество эозинофильных гранулоцитов подсчитывается в области собственной пластинки слизистой, так как данные клетки наиболее часто обнаруживаются в ней (Picchietti et al., 2009; Pirarat et al., 2011).
Толщину слоев кишечника (подслизистый, мускульный, серозный) измеряют на участках среза без артефактов с четко просматриваемыми границами оболочек (Kuebutornye et al., 2020; Hossain et al., 2024). Для измерения проводят линию, параллельную направлению ворсинок, идущую от внешней границы слоя до внутренней (Ramos et al., 2015). Измерение толщины собственной пластинки слизистой (lamina propria) проводят путем проведения линии, перпендикулярной плоскости ворсинки (Milián-Sorribes et al., 2021). Для измерений выбирают участки слизистой без искривлений ворсинок.
Площадь адсорбции рассчитывают следующим образом (Adeshina et al., 2020): площадь всасывания (см²) = длина ворсинок (см) × ширина ворсинок (см). Функциональную площадь поверхности оценивают путем измерения внутреннего периметра (IP) поверхности слизистой и внешнего периметра (EP) кишечника, чтобы рассчитать соотношение периметров (PR) (произвольная единица: AU) следующим образом: коэффициент периметра PR = IP / EP (Dimitroglou et al., 2009).
Частота использования и действие пробиотиков на гистоморфометрические показатели
Количество используемых единовременно в работе морфометрических параметров изменялось. В частности, наиболее часто исследователи измеряли 3 и 4 параметра (28.1 и 26.5%). Статей, в которых проводилось измерение 5 или 2 параметров, было существенно меньше (15.6 и 17.1%). Наибольшее число параметров (n = 7) было измерено в работе (Adeoye et al., 2016), где изучалось влияние пробиотической добавки Sanolife PRO-F® на тиляпию, а также в исследовании (Cerezuela et al., 2012), где оценивалось действие пробиотика Bacillus subtilis CECT 35 на Sparus aurata. Также в двух публикациях использовалось 6 морфометрических параметров (Milián‐Sorribes et al., 2021; Nikiforov‐Nikishin et al., 2022a).
Отдельно стоит отметить исследование (Nimalan et al., 2023), где было изучено индивидуальное и совместное применение двух штаммов Lactobacillus plantarum R2 (CCM 8674) и L. fermentum R3 (CCM 8675), в котором помимо морфометрических параметров кишечника производилось измерение площади и количества мукоидных клеток на эпителии кожи и жабр рыбы.
Среди гистоморфометрических параметров кишечника наиболее часто применялись следующие показатели: высота ворсинок кишечника (ВВ; n = 54), ширина ворсинок (ШВ; n = 30), количество бокаловидных клеток на слизистой (КБК; n = 27), толщина мускульного слоя (ТМС; n = 21), площадь ворсинки (ПВ; n = 13), высота эпителиоцитов кишечника (ВЭК; n = 11), количество интраэпителиальных лейкоцитов (КИЛ; n = 9) (рис. 8). Другие морфометрические параметры использовались не более, чем в 8 работах. Так, измерение ширины собственной слизистой оболочки (ШСО) производилось лишь в 4 работах, а подсчет количества эозинофильных гранулоцитов — в 3 (КЭГ).
Рис. 8. Количество используемых различных морфометрических показателей кишечника в публикациях и частота фиксации достоверных отличий при применении пробиотика.
Стоит упомянуть, что морфометрический параметр “глубина крипт” является не совсем верным, так как у большинства рыб в кишечнике отсутствуют крипты, как у высших позвоночных, и более корректно было бы называть данный параметр “глубиной складок слизистой”.
Гистологические параметры значимо реагировали на использование пробиотиков в кормах для рыб. Так, высота ворсинок и количество бокаловидных клеток достоверно отличались от показателей контроля в 83.3 и 70.3% работ (n = 45, 19). Схожие данные установлены для площади ворсинок (n = 11; 84.6%). Меньшее действие исследуемые препараты оказывали на показатели ширины ворсинок и толщины мускульного слоя — 63.3 и 42.8% (n = 19, 9). Параметры количества интраэпителиальных лимфоцитов и высоты эпителиоцитов слизистой кишечника значимо превосходили контрольные значения в 63.6 и 66.7% исследований (n = 6, 7). Другие оцениваемые в работах морфометрические параметры обладали различным откликом на действие пробиотиков, однако, низкая частота их использования не позволяет сделать однозначных выводов.
Гистоморфометрические параметры являются важным показателем, позволяющим оценить состояние и структуру тканей кишечника. Пробиотики оказывают влияние на барьерную функцию слизистой и изменяют активность клеток слизистой, стимулируют иммунитет, что можно оценить с помощью количественного измерения тканей. Приведенные выше исследования показывают, что морфометрические параметры кишечника могут являться маркером, отражающим состояние ЖКТ. Гистоморфометрические параметры кишечника представляют собой комплексную основу для оценки структурных, функциональных и иммунологических эффектов пробиотиков на организм рыбы (Elsabagh et al., 2018; Eissa et al., 2022).
Рассматривая используемые гистологические методы, можно отметить, что в наибольшем числе работ для фиксации применялся 10%-ный нейтральный формалин (48.3%; n = 30) (рис. 8б). Также исследователи часто применяли раствор Буэна (19.3%; n = 12). В ряде публикаций фиксация ткани выполнялась в 4%-ном нейтральном формалине (12.9%; n = 8) и 10%-ном формалине (11.2%; n = 7). Фиксирующий раствор играет крайне важную роль в итоговом качестве получаемых срезов ткани. Так, утверждается, что растворы Буэна и Дэвидсона являются наиболее подходящими фиксаторами для тканей кишечника (Miki et al., 2018). Время фиксации также оказывает существенное влияние на качество гистологических препаратов. В большинстве статей авторами не указывалось время фиксации ткани (61.2%; n = 38) (рис. 8в). Наиболее популярным временем фиксации являлись 24 ч (30.6%; n = 19). Также в отдельных работах ткань фиксировалась на протяжении 6, 48 ч и 3 дней.
В качестве красителей: окраска гематоксилин эозином (H&E) производилось наиболее часто — 76.6% (n = 59) (рис. 8а). Периодическая кислота — Шиффа (PAS) использовалась реже (10.3%; n = 8). Такие способы окрашивания, как альциановый синий (AB) и Май-Грюнвальд–Гимза (MGG) употреблялись в 9.0 и 2.6% исследований. Применение специфичных красителей при окраске гистологических препаратов позволяет более точно оценивать изменения в клеточных структурах и проводить морфометрические измерения (например, количество и площадь бокаловидных клеток). Так, в работах, где использовалось сразу несколько методов окрашивания (Cerezuela et al., 2012; Abdel-Aziz et al., 2020), авторы измеряли морфометрию аффинных к различным красителям бокаловидных клеток (PAS+, AB+, PAS+ и AB+). Также в ряде публикаций авторами проводилось измерение морфометрических параметров микроворсинок (высота, плотность) энтероцитов с использованием электронной микроскопии (Xia et al., 2018, 2020; Jang et al., 2019; Chouayekh et al., 2023). Использование специфичных гистологических красителей позволяет более точно классифицировать тканевые структуры и значительно упрощает процесс их измерения (Ruiz et al., 2020).
Для измерения приведенных морфометрических параметров исследователи наиболее часто применяли программы ImageJ или Fiji ImageJ2 (31.2%; n = 20) (рис. 8д), либо использовали программное обеспечение, предоставляемое производителями цифровых камер для микроскопов (например, Sigma Scan Pro5, Motic Images Multi-focus software, AxioVision 8.4).
ЗАКЛЮЧЕНИЕ
За последние 10 лет значительно возросло количество исследований воздействия различных пробиотических препаратов на объекты аквакультуры с совместным применением физиологических, биохимических и гистологических методов. Существенно изменился подход к изучению действия пробиотиков — от их влияния на рыбоводно-биологические показатели до изучения отдельных механизмов взаимодействия пробиотика и микробного сообщества кишечника рыбы. Тиляпия и карповые виды рыб превалируют в работах по изучению пробиотиков. Работы на данных видах рыб выполнялись по всему миру, однако, на КНР и Египет приходится бо´льшая их часть, так как там они являются основными объектами выращивания. Наиболее достоверные результаты были получены при применении родов микроорганизмов Bacillus и Lactobacillus, по причине простоты их культивации и выделения из окружающей среды. На данный момент исследователи изучают либо уникальные автохтонные штаммы, выделенные из рыбы, либо комплексные пробиотические препараты, включающие несколько видов микроорганизмов. При этом стоит учитывать, что различные штаммы одного вида микроорганизмов, могут оказывать различное воздействие на организм рыбы. Наиболее популярным среди исследователей сроком внесения пробиотиков можно считать 60–90 сут. Предполагается, что именно длительность кормления пробиотиками позволяет реализовать весь комплекс ответных физиологических реакций рыбы (Текебаева и др., 2020).
Рассмотренные в рамках обзора исследования дают хорошее представление о взаимодействии желудочно-кишечного тракта рыбы с пробиотическими микроорганизмами. Многие авторы из приведенных работ применяют целый спектр методов для определения эффективности тех или иных пробиотических микроорганизмов, что представляется наиболее фундаментальным подходом. При этом применяющие небольшой набор методов исследования также представляют существенный интерес, так как являются источником информации для отбора перспективных штаммов/видов пробиотиков. Помимо этого, такие работы дают общее представление о действии пробиотиков на менее популярные объекты выращивания. Приведенные в публикациях результаты демонстрируют разный эффект на ряд физиологических показателей. В частности, пробиотики в большинстве статей оказывали значимое воздействие на рыбоводно-биологические показатели, активность пищеварительных ферментов, микробиом кишечника, экспрессию генов, ассоциированных с иммунитетом, а также сопротивляемость к патогенам. При этом было выявлено, что пробиотики в большинстве случаев не оказывают влияния на нутриентный состав тканей, гематологические, биохимические и иммунологические показатели.
Гистологические и гистоморфометрические показатели, к сожалению, часто остаются за рамками исследований, так, из 200 публикаций о воздействии пробиотиков на объекты аквакультуры, только в 64 детально изучалось их влияние на тканевые клеточные структуры ЖКТ, в то время как морфометрический анализ позволяет сопоставить физиологические изменения с реакцией отдельных клеток и тканей пищеварительной системы, что важно для понимания механизмов взаимодействия в оси пробиотик– микробиом–кишечник (Shefat et al., 2018).
Определение механизмов действия пробиотиков на те или иные физиологические параметры представляется непростой задачей. Использование комплексного подхода, при котором проводится изучение целого ряда параметров на разном уровне организации организма (организменном, тканевом, клеточном, молекулярном) является универсальным инструментом изучения фундаментальных закономерностей взаимодействия живых систем. Приведенные в работе данные подтверждают комплексность взаимосвязи между пробиотиком и хозяином, а также необходимость проведения обсервационных исследований по оценке возможности применения пробиотиков в аквакультуре, и работ, направленных на установление механизмов действия пробиотических бактерий на организм хозяина. Как указывается в работе (López Nada et al., 2023), шаги в сторону обсервационных и экспериментальных научных исследований с интегративным взглядом, сочетающих наборы данных физиологических показателей с методами визуализации для понимания сложных многофакторных биологических процессов, таких как здоровье кишечника рыбы, могут помочь исследователям оценить эффективность новых кормов.
ФИНАНСИРОВАНИЕ
Исследование было выполнено при поддержке гранта Российского научного фонда № 23-16-00123.
КОНФЛИКТ ИНТЕРЕСОВ
Авторы заявляют об отсутствии конфликтов интересов.
СОБЛЮДЕНИЕ ЭТИЧЕСКИХ СТАНДАРТОВ
Настоящая статья не содержит каких-либо исследований с участием людей и животных в качестве объектов изучения.
About the authors
N. I. Kochetkov
Moscow State University of Technologies and Management (FCU); Vavilov Institute of General Genetics, Russian Academy of Sciences
Author for correspondence.
Email: samatrixs@gmail.com
Faculty of Biotechnology and Fisheries, Moscow State University of Technologies and Management (FCU); Laboratory of Bacterial Genetics, Vavilov Institute of General Genetics, Russian Academy of Sciences
Russian Federation, Moscow; MoscowD. L. Nikiforov-Nikishina
Moscow State University of Technologies and Management (FCU); Vavilov Institute of General Genetics, Russian Academy of Sciences
Email: samatrixs@gmail.com
Faculty of Biotechnology and Fisheries, Moscow State University of Technologies and Management (FCU); Laboratory of Bacterial Genetics, Vavilov Institute of General Genetics, Russian Academy of Sciences
Russian Federation, Moscow; MoscowA. A. Klimuk
Moscow State University of Technologies and Management (FCU); Vavilov Institute of General Genetics, Russian Academy of Sciences
Email: samatrixs@gmail.com
Faculty of Biotechnology and Fisheries, Moscow State University of Technologies and Management (FCU); Laboratory of Bacterial Genetics, Vavilov Institute of General Genetics, Russian Academy of Sciences
Russian Federation, Moscow; MoscowS. V. Smorodinskay
Moscow State University of Technologies and Management (FCU); Vavilov Institute of General Genetics, Russian Academy of Sciences
Email: samatrixs@gmail.com
Faculty of Biotechnology and Fisheries, Moscow State University of Technologies and Management (FCU); Laboratory of Bacterial Genetics, Vavilov Institute of General Genetics, Russian Academy of Sciences
Russian Federation, Moscow; MoscowA. L. Nikiforov-Nikishin
Moscow State University of Technologies and Management (FCU); Vavilov Institute of General Genetics, Russian Academy of Sciences
Email: samatrixs@gmail.com
Faculty of Biotechnology and Fisheries, Moscow State University of Technologies and Management (FCU); Laboratory of Bacterial Genetics, Vavilov Institute of General Genetics, Russian Academy of Sciences
Russian Federation, Moscow; MoscowM. V. Marsova
Vavilov Institute of General Genetics, Russian Academy of Sciences
Email: masha_marsova@mail.ru
Laboratory of Bacterial Genetics
Russian Federation, MoscowA. A. Vatlin
Vavilov Institute of General Genetics, Russian Academy of Sciences
Email: masha_marsova@mail.ru
Laboratory of Bacterial Genetics
Russian Federation, MoscowV. A. Klimov
Moscow State University of Technologies and Management (FCU)
Email: masha_marsova@mail.ru
Faculty of Biotechnology and Fisheries
Russian Federation, MoscowReferences
- Бычкова Л.И., Юхименко Л.Н., Ходак А.Г. и др. Суб-про — путь к улучшению качества рыбной продукции // Рыбоводство и рыбное хозяйство. 2008. №12. С. 33–35.
- Гистопатология костистых рыб / Ред. К.В. Гаврилин, Д.Л. Никифоров-Никишин, Н.И. Кочетков, P.В. Смородинская. КурPк: ИП Бескровный А.А., 2023. 200 с. ISBN 978-5-605-14039-9.
- Грозеску Ю.Н., Бахарева А.А., Шульга Е.А. Биологическая эффективность применения пробиотика субтилис в составе стартовых комбикормов для осетровых рыб // Изв. Самарского науч. центра РАН. 2009. V. 11 (1–2). P. 42–45.
- Зуева М.P. Современный опыт включения биологически активных кормовых добавок в рацион рыб // Животноводство и кормопроизводство. 2022. T. 105 (4). C. 146–164.
- Климов В.А., Никифоров-Никишин Д.Л., Кочетков Н.И. и др. Формирование качества получаемой рыбопродукции из радужной форели (Oncorhynchus mykiss) за счет применения кормов с хелатным соединениями микроэлементов и каротиноидов // Вестн. Керченского гос. морского технол. ун-та. 2023. Т. 2. С. 76–86. https://doi.org/10.26296/2619-0605.2023.2.2.007
- Текебаева Ж.Б., Шахабаева Г.С., Сармурзина З.С. и др. Пробиотики и их применение в аквакультуре // Новости науки Казахстана. 2020. № 4. P. 170–185.
- Юхименко Л.Н., Бычкова Л.И. Испытания лечебного комбикорма с субалином в рыбхозах Московской области // Рыбное хозяйство. 2012. V. 1 (4). P. 96–98.
- Abdel-Aziz M., Bessat M., Fadel A. et al. Responses of dietary supplementation of probiotic effective microorganisms (EMs) in Oreochromis niloticus on growth, hematological, intestinal histopathological, and antiparasitic activities // Aqua. Internat. 2020. V. 28. P. 947–963.
- Abid A., Davies S.J., Waines P. et al. Dietary synbiotic application modulates Atlantic salmon (Salmo salar) intestinal microbial communities and intestinal immunity // Fish Shellfish Immunol. 2013. V. 35 (6). P. 1948–1956.
- Adeoye A.A., Yomla R., Jaramillo-Torres A. et al. Combined effects of exogenous enzymes and probiotic on Nile tilapia (Oreochromis niloticus) growth, intestinal morphology and microbiome // Aquaculture. 2016. V. 463. P. 61–70.
- Adeshina I., Abubakar M.I.O., Ajala B.E. Dietary supplementation with Lactobacillus acidophilus enhanced the growth, gut morphometry, antioxidant capacity, and the immune response in juveniles of the common carp, Cyprinus carpio // Fish Physiol. Biochem. 2020. V. 46 (4). P. 1375–1385.
- Akter M.N., Hashim R., Sutriana A. et al. Effect of Lactobacillus acidophilus supplementation on growth performances, digestive enzyme activities and gut histomorphology of striped catfish (Pangasianodon hypophthalmus Sauvage, 1878) juveniles // Aqua. Res. 2019. V. 50 (3). P. 786–797.
- Al-Deriny S.H., Dawood M.A., Abou Zaid A.A. et al. The synergistic effects of Spirulina platensis and Bacillus amyloliquefaciens on the growth performance, intestinal histomorphology, and immune response of Nile tilapia (Oreochromis niloticus) // Aqua. Rep. 2020. V. 17. P. 100390.
- Allameh S.K., Ringø E., Yusoff F.M. et al. Dietary supplement of Enterococcus faecalis on digestive enzyme activities, short‐chain fatty acid production, immune system response and disease resistance of Javanese carp (Puntius gonionotus, Bleeker 1850) // Aqua. Nutrition. 2017. V. 23 (2). P. 331–338.
- Amoah K., Dong X.H., Tan B.P. et al. Effects of three probiotic strains (Bacillus coagulans, B. licheniformis and Paenibacillus polymyxa) on growth, immune response, gut morphology and microbiota, and resistance against Vibrio harveyi of northern whitings, Sillago sihama Forsskál (1775) // Anim. Feed Sci. Technol. 2021. V. 277. P. 114958.
- Assan D., Kuebutornye F.K.A., Hlordzi V. et al. Effects of probiotics on digestive enzymes of fish (finfish and shellfish); status and prospects: a mini review // Comp. Biochem. Physiol. Part B: Biochem. Mol. Biol. 2022. V. 257. P. 110653.
- Aziza A.E., Awadin W.F., Quezada N. et al. Gastrointestinal morphology, fatty acid profile, and production performance of broiler chickens fed camelina meal or fish oil // Eur. J. Lipid Sci. Technol. 2014. V. 116 (12). P. 1727–1733.
- Barišić J., Marijić V.F., Mijošek T. et al. Evaluation of architectural and histopathological biomarkers in the intestine of brown trout (Salmo trutta Linnaeus, 1758) challenged with environmental pollution // Sci. Tot. Environ. 2018. V. 642. P. 656–664.
- Barroso C., Ozorio R.O., Afonso A. et al. Immune responses and gut morphology in Senegalese sole (Solea senegalensis) fed dietary probiotic supplementation and following exposure to Photobacterium damselae subsp. piscicida // Aqua. Res. 2016. V. 47 (3). P. 951–960.
- Batista S., Medina A., Pires M.A. et al. Innate immune response, intestinal morphology and microbiota changes in Senegalese sole fed plant protein diets with probiotics or autolysed yeast // Appl. Microbiol. Biotechnol. 2016. V. 100 (16). P. 7223–7238.
- Batista S., Ramos M.A., Cunha S. et al. Immune responses and gut morphology of Senegalese sole (Solea senegalensis, Kaup 1858) fed monospecies and multispecies probiotics // Aqua. Nutr. 2015. V. 21 (5). P. 625–634.
- Beltrán J.M.G., Esteban M.Á. Nature-identical compounds as feed additives in aquaculture // Fish Shellfish Immunol. 2022. V. 123. P. 409–416.
- Bernet D., Schmidt H., Meier W. et al. Histopathology in fish: proposal for a protocol to assess aquatic pollution // J. Fish Dis. 1999. V. 22 (1). P. 25–34.
- Bron P.A., Van Baarlen P., Kleerebezem M. Emerging molecular insights into the interaction between probiotics and the host intestinal mucosa // Nat. Rev. Microbiol. 2012. V. 10 (1). P. 66–78.
- Biology, conservation and sustainable development of sturgeons / Eds. R. Carmona, A. Domezain, M. García-Gallego et al. Netherlands: Springer, 2009. V. 468.
- Boonanuntanasarn S., Ditthab K., Jangprai A. et al. Effects of microencapsulated Saccharomyces cerevisiae on growth, hematological indices, blood chemical, and immune parameters and intestinal morphology in striped catfish, Pangasianodon hypophthalmus // Prob. Antimicrob. Prot. 2019. V. 11. P. 427–437.
- Buddington R.K., Krogdahl A., Bakke-McKellep A.M. The intestines of carnivorous fish: structure and functions and the relations with diet // Acta Physiol. Scandinavica. Suppl. 1997. V. 638. P. 67–80.
- Büyükdeveci M.E., Cengizler İ., Balcázar J.L. et al. Effects of two host-associated probiotics Bacillus mojavensis B191 and Bacillus subtilis MRS11 on growth performance, intestinal morphology, expression of immune-related genes and disease resistance of Nile tilapia (Oreochromis niloticus) against Streptococcus iniae // Dev. Comp. Immunol. 2023. V. 138. P. 104553.
- Canedo A., de Jesus L.W.O., Bailão E.F.L.C. et al. Micronucleus test and nuclear abnormality assay in zebrafish (Danio rerio): past, present, and future trends // Environ. Poll. 2021. V. 290. P. 118019.
- Castañeda-Monsalve V.A., Junca H., García-Bonilla E. et al. Characterization of the gastrointestinal bacterial microbiome of farmed juvenile and adult white Cachama (Piaractus brachypomus) // Aquaculture. 2019. V. 512. P. 734325.
- Cerezuela R., Fumanal M., Tapia-Paniagua S.T. et al. Histological alterations and microbial ecology of the intestine in gilthead seabream (Sparus aurata L.) fed dietary probiotics and microalgae // Cell Tiss. Res. 2012. V. 350. P. 477–489.
- Chen X., Xie J., Liu Z. et al. Modulation of growth performance, non-specific immunity, intestinal morphology, the response to hypoxia stress and resistance to Aeromonas hydrophila of grass carp (Ctenopharyngodon idella) by dietary supplementation of a multi-strain probiotic // Comp. Biochem. Physiol. Part C: Toxicol. Pharmacol. 2020. V. 231. P. 108724.
- Chouayekh H., Mohamed R., Moustafa E.M. et al. Effects of dietary supplementation with Bacillus amyloliquefaciens US573 on intestinal morphology and gut microbiota of European sea bass // Prob. Antimicrob. Prot. 2023. V. 15 (1). P. 30–43.
- Darafsh F., Soltani M., Abdolhay H.A. et al. Improvement of growth performance, digestive enzymes and body composition of Persian sturgeon (Acipenser persicus) following feeding on probiotics: Bacillus licheniformis, Bacillus subtilis and Saccharomyces cerevisiae // Aqua. Res. 2020. V. 51 (3). P. 957–964.
- Dimitroglou A., Merrifield D.L., Moate R. et al. Dietary mannan oligosaccharide supplementation modulates intestinal microbial ecology and improves gut morphology of rainbow trout, Oncorhynchus mykiss (Walbaum) // J. Anim. Sci. 2009. V. 87 (10). P. 3226–3234.
- Eissa E.S.H., Baghdady E.S., Gaafar A.Y. et al. Assessing the influence of dietary Pediococcus acidilactici probiotic supplementation in the feed of European sea bass (Dicentrarchus labrax L.) (Linnaeus, 1758) on farm water quality, growth, feed utilization, survival rate, body composition, blood biochemical parameters, and intestinal histology // Aqua. Nutr. 2022. V. 2022. P. 1–11.
- Eissa M.E.H., Alaryani F.S., Elbahnasw S. et al. Dietary inclusion of Pediococcus acidilactici probiotic promoted the growth indices, hemato-biochemical indices, enzymatic profile, intestinal and liver histomorphology, and resistance of Nile tilapia against Aspergillus flavus // Anim. Feed Sci. Technol. 2023. V. 306. P. 115814.
- Elias H., Hyde D.M. An elementary introduction to stereology (quantitative microscopy) // Am. J. Anatom. 1980. V. 159 (4). P. 411–446.
- Elsabagh M., Mohamed R., Moustafa E.M. et al. Assessing the impact of Bacillus strains mixture probiotic on water quality, growth performance, blood profile and intestinal morphology of Nile tilapia, Oreochromis niloticus // Aqua. Nutr. 2018. V. 24 (6). P. 1613–1622.
- El-Sayed A.F.M., Fitzsimmons K. From Africa to the world—The journey of Nile tilapia // Rev. Aquacult. 2023. V. 15. P. 6–21.
- El-Son M.A.M., Elshopakey G.E., Rezk S. et al. Dietary mixed Bacillus strains promoted the growth indices, enzymatic profile, intestinal immunity, and liver and intestinal histomorphology of Nile tilapia, Oreochromis niloticus // Aqua. Rep. 2022. V. 27. P. 101385.
- Falaye A., Emikpe B., Ogundipe E. Influence of Lactobacillus plantarum supplemented diet on growth response, gut morphometry and microbial profile in gut of Clarias gariepinus fingerlings // J. Coastal Life Med. 2016. V. 4 (8). P. 597–602.
- Fang C., Ma M., Ji H. et al. Alterations of digestive enzyme activities, intestinal morphology and microbiota in juvenile paddlefish, Polyodon spathula, fed dietary probiotics // Fish Physiol. Biochem. 2015. V. 41. P. 91–105.
- FAO. 2022. The state of world fisheries and aquaculture 2022. Towards blue transformation. Rome, 2022. FAO. https://doi.org/10.4060/cc0461en
- Feng T., Wang J. Oxidative stress tolerance and antioxidant capacity of lactic acid bacteria as probiotic: a systematic review // Gut Microbes. 2020. V. 12 (1). P. 1801944.
- Fijan S. Microorganisms with claimed probiotic properties: an overview of recent literature // Int. J. Environ. Res. Publ. Health. 2014. V. 11 (5). P. 4745–4767.
- Firdaus-Nawi M., Zamri-Saad M. Major components of fish immunity: a review // Pertanika J. Trop. Agric. Sci. 2016. V. 39 (4). P. 393–420.
- Ford J.S., Myers R.A. A global assessment of salmon aquaculture impacts on wild salmonids // PLoS Biol. 2008. V. 6 (2). P. e33.
- Gisbert E., Castillo M., Skalli A. et al. Bacillus cereus var. toyoi promotes growth, affects the histological organization and microbiota of the intestinal mucosa in rainbow trout fingerlings // J. Anim. Sci. 2013. V. 91 (6). P. 2766–2774.
- González-Félix M.L., Gatlin III D.M., Urquidez-Bejarano P. et al. Effects of commercial dietary prebiotic and probiotic supplements on growth, innate immune responses, and intestinal microbiota and histology of Totoaba macdonaldi // Aquaculture. 2018. V. 491. P. 239–251.
- Hamidian G., Zirak K., Sheikhzadeh N. et al. Intestinal histology and stereology in rainbow trout (Oncorhynchus mykiss) administrated with nanochitosan/zeolite and chitosan/zeolite composites // Aqua. Res. 2018. V. 49 (5). P. 1803–1815.
- Han B., Bao N., Ren T. et al. Effects of dietary Bacillus licheniformis on growth performance, immunological parameters, intestinal morphology and resistance of juvenile Nile tilapia (Oreochromis niloticus) to challenge infections // Fish Shellfish Immunol. 2015. V. 46 (2). P. 225–231.
- Haraz Y.G., Shourbela R.M., El-Hawarry W.N. et al. Performance of juvenile Oreochromis niloticus (Nile tilapia) raised in conventional and biofloc technology systems as influenced by probiotic water supplementation // Aquaculture. 2023. V. 566. P. 739180.
- Hassan R., Akter F., Uddin M.A. et al. Intestinal morphology of Thai pangas (Pangasianodon hypophthalmus) under probiotic supplemented conditions // Bangladesh J. Fish. 2020. V. 32 (2). P. 229–236.
- Hill C., Guarner F., Reid G. et al. Expert consensus document: The International Scientific Association for Probiotics and Prebiotics consensus statement on the scope and appropriate use of the term probiotic // Nat. Rev. Gastroenterol. Hepatol. 2014. V. 11 (8). P. 506–514.
- Hossain M.K., Hossain M.M., Mim Z.T. et al. Multi-species probiotics improve growth, intestinal microbiota and morphology of Indian major carp mrigal Cirrhinus cirrhosus // Saudi J. Biol. Sci. 2022. V. 29 (99). P. 103399.
- Hossain M.K., Ishak S.D., Iehata S. et al. Growth performance, fatty acid profile, gut, and muscle histo-morphology of Malaysian mahseer, Tor tambroides post larvae fed short-term host associated probiotics // Aqua. Fish. 2024. V. 9 (1). P. 35–45.
- Ismail M., Wahdan A., Yusuf M.S. et al. Effect of dietary supplementation with a synbiotic (Lacto Forte) on growth performance, haematological and histological profiles, the innate immune response and resistance to bacterial disease in Oreochromis niloticus // Aqua. Res. 2019. V. 50. (9). P. 2545–2562.
- Jahan N., Islam S.M., Rohani M.F. et al. Probiotic yeast enhances growth performance of rohu (Labeo rohita) through upgrading hematology, and intestinal microbiota and morphology // Aquaculture. 2021. V. 545. P. 737243.
- Jang W.J., Lee J.M., Hasan M.T. et al. Effects of probiotic supplementation of a plant-based protein diet on intestinal microbial diversity, digestive enzyme activity, intestinal structure, and immunity in olive flounder (Paralichthys olivaceus) // Fish Shellfish Immunol. 2019. V. 92. P. 719–727.
- Kalantarian S., Mirzargar S.S., Rahmati-Holasoo H. et al. Effects of oral administration of acidifier and probiotic on growth performance, digestive enzymes activities and intestinal histomorphology in Salmo trutta caspius (Kessler, 1877) // Iran. J. Fish. Sci. 2020. V. 19 (3). P. 1532–1555.
- Kochetkov N., Smorodinskaya S., Vatlin A. et al. Ability of Lactobacillus brevis 47f to alleviate the toxic effects of imidacloprid low concentration on the histological parameters and cytokine profile of zebrafish (Danio rerio) // Int. J. Mol. Sci. 2023. V. 24 (15). P. 12290.
- Kryvi H., Eide A. Morphometric and autoradiographic studies on the growth of red and white axial muscle fibres in the shark Etmopterus spinax // Anatom. Embryol. 1977. V. 151. P. 17–28.
- Kuebutornye F.K.A., Wang Z., Lu Y. et al. Effects of three host-associated Bacillus species on mucosal immunity and gut health of Nile tilapia, Oreochromis niloticus and its resistance against Aeromonas hydrophila infection // Fish Shellfish Immunol. 2020. V. 97. P. 83–95.
- La Fata G., Weber P., Mohajeri M.H. Probiotics and the gut immune system: indirect regulation // Prob. Antimicrob. Prot. 2018. V. 10. P. 11–21.
- Langlois L., Akhtar N., Tam K.C. et al. Fishing for the right probiotic: host–microbe interactions at the interface of effective aquaculture strategies // FEMS Microbiol. Rev. 2021. V. 45 (6). P. fuab030.
- Lai S., Yu W., Wallace L. et al. Intestinal muscularis propria increases in thickness with corrected gestational age and is focally attenuated in patients with isolated intestinal perforations // J. Pediatr. Surg. 2014. V. 49 (1). P. 114–119.
- Lauzon H.L., Ringø E. Prevalence and application of lactic acid bacteria in aquatic environments // Lactic Acid Bacteria. Microbiological and functional aspects, 4th ed. Boca Raton, Fl.: CRC press, 2012. P. 593–631.
- Lazado C.C., Caipang C.M.A. Mucosal immunity and probiotics in fish // Fish Shellfish Immunol. 2014. V. 39 (1). P. 78–89.
- Lee S., Katya K., Park Y. et al. Comparative evaluation of dietary probiotics Bacillus subtilis WB60 and Lactobacillus plantarum KCTC3928 on the growth performance, immunological parameters, gut morphology and disease resistance in Japanese eel, Anguilla japonica // Fish Shellfish Immunol. 2017. V. 61. P. 201–210.
- Li X., Ringø E., Hoseinifar S.H. et al. The adherence and colonization of microorganisms in fish gastrointestinal tract // Rev. Aquacult. 2019. V. 11 (3). P. 603–618.
- Li Z., Bao N., Ren T. et al. The effect of a multi-strain probiotic on growth performance, non-specific immune response, and intestinal health of juvenile turbot, Scophthalmus maximus L // Fish Physiol. Biochem. 2019. V. 45. P. 1393–1407.
- Lin Y.H., Lin S.M., Shiau S.Y. Dietary manganese requirements of juvenile tilapia, Oreochromis niloticus × O. aureus // Aquaculture. 2008. V. 284 (1–4). P. 207–210.
- Liu C.H., Chiu C.H., Wang S.W. et al. Dietary administration of the probiotic, Bacillus subtilis E20, enhances the growth, innate immune responses, and disease resistance of the grouper, Epinephelus coioides // Fish Shellfish Immunol. 2012. V. 33 (4). P. 699–706.
- Liu Q., Wen L., Pan X. et al. Dietary supplementation of Bacillus subtilis and Enterococcus faecalis can effectively improve the growth performance, immunity, and resistance of tilapia against Streptococcus agalactiae // Aqua. Nutr. 2021. V. 27 (4). P. 1160–1172.
- Llewellyn M.S., Kumar P., Sivachandran P. et al. Teleost microbiomes: the state of the art in their characterization, manipulation and importance in aquaculture and fisheries // Front. Microbiol. 2014. V. 5. P. 81340.
- López Nadal A., Boekhorst J., Lute C. et al. Omics and imaging combinatorial approach reveals butyrate-induced inflammatory effects in the zebrafish gut // Anim. Microbiome. 2023. V. 5 (1). P. 15.
- Magnadóttir B. Innate immunity of fish (overview) // Fish Shellfish Immunol. 2006. V. 20 (2). P. 137–151.
- Martin F.D., Malloy R. Histologic and morphometric criteria for assessing nutritional state in larval striped bass, Morone saxatilis // Proc. 4th Annual Larval Fish Workshop. 1980. P. 157–161.
- Martínez Cruz P., Ibáñez A.L., Monroy Hermosillo O.A. et al. Use of probiotics in aquaculture // Int. School. Res. Not. 2012. V. 2012.
- Merrifield D.L., Dimitroglou A., Foey A. et al. The current status and future focus of probiotic and prebiotic applications for salmonids // Aquaculture. 2010. V. 302 (1–2). P. 1–18.
- Miki M., Ohishi N., Nakamura E. et al. Improved fixation of the whole bodies of fish by a double-fixation method with formalin solution and Bouin’s fluid or Davidson’s fluid // J. Toxicol. Pathol. 2018. V. 31 (3). P. 201–206.
- Milián‐Sorribes M.C., Martínez‐Llorens S., Cruz‐Castellón C. et al. Effect of fish oil replacement and probiotic addition on growth, body composition and histological parameters of yellowtail (Seriola dumerili) // Aqua. Nutr. 2021. V. 27 (1). P. 3–16.
- Mokhtar D.M., Zaccone G., Alesci A. et al. Main components of fish immunity: an overview of the fish immune system // Fishes. 2023. V. 8 (2). P. 93.
- Moroni F., Naya-Català F., Piazzon M.C. et al. The effects of nisin-producing Lactococcus lactis strain used as probiotic on gilthead sea bream (Sparus aurata) growth, gut microbiota, and transcriptional response // Front. Marine Sci. 2021. V. 8. P. 659519.
- Natnan M.E., Low C.F., Chong C.M. et al. Integration of omics tools for understanding the fish immune response due to microbial challenge // Front. Marine Sci. 2021. V. 8. P. 668771.
- Nakandakare I.B., Iwashita M.K.P., Dias D.D.C. et al. Growth performance and intestinal histomorphology of Nile tilapia juveniles fed probiotics // Acta Sci. Anim. Sci. 2013. V. 35. P. 365–370.
- Nayak S.K. Probiotics and immunity: a fish perspective // Fish Shellfish Immunol. 2010. V. 29 (1). P. 2–14.
- Naylor R.L., Hardy R.W., Buschmann A.H. et al. A 20-year retrospective review of global aquaculture // Nature. 2021. V. 591 (7851). P. 551–563.
- Nikiforov‐Nikishin A., Nikiforov‐Nikishin D., Kochetkov N. et al. The influence of probiotics of different microbiological composition on histology of the gastrointestinal tract of juvenile Oncorhynchus mykiss // Microsc. Res. Techn. 2022a. V. 85 (2). P. 538–547.
- Nikiforov-Nikishin A., Smorodinskaya S., Kochetkov N. et al. Effects of three feed additives on the culturable microbiota composition and histology of the anterior and posterior intestines of Zebrafish (Danio rerio) // Animals. 2022b. V. 12 (18). P. 2424.
- Nikiforov-Nikishin D., Kochetkov N., Klimov V. et al. Effects of chelated complexes and probiotics on histological and morphometric parameters of the gastrointestinal tract of juvenile carp (Cyprinus carpio) // New Zealand J. Zool. 2023. V. 50 (3). P. 394–405.
- Nimalan N., Sørensen S.L., Fečkaninová A. et al. Supplementation of lactic acid bacteria has positive effects on the mucosal health of Atlantic salmon (Salmo salar) fed soybean meal // Aqua. Rep. 2023. V. 28. P. 101461.
- Ntakirutimana R., Syanya F.J., Mwangi P. Exploring the impact of probiotics on the gut ecosystem and morpho-histology in fish: current knowledge of tilapia // Asian J. Fish. Aqua. Res. 2023. V. 25 (3). P. 93–112.
- Nunes A.L., Owatari M.S., Rodrigues R.A. et al. Effects of Bacillus subtilis C-3102-supplemented diet on growth, non-specific immunity, intestinal morphometry and resistance of hybrid juvenile Pseudoplatystoma sp. challenged with Aeromonas hydrophila // Aqua. Internat. 2020. V. 28. P. 2345–2361.
- Oropesa A.L. Jiménez B., Fallola C. et al. Histological alterations on the structure of the excretory renal system in tench (Tinca tinca) after exposure to 17-alpha-ethynylestradiol // Bull. Environ. Contam. Toxicol. 2013. V. 91. P. 623–629.
- Picchietti S., Fausto A.M., Randelli E. et al. Early treatment with Lactobacillus delbrueckii strain induces an increase in intestinal T-cells and granulocytes and modulates immune-related genes of larval Dicentrarchus labrax (L.) // Fish Shellfish Immunol. 2009. V. 26 (3). P. 368–376.
- Pirarat N., Pinpimai K., Endo M. et al. Modulation of intestinal morphology and immunity in Nile tilapia (Oreochromis niloticus) by Lactobacillus rhamnosus GG // Res. Vet. Sci. 2011. V 91 (3). P. e92–e97.
- Poolsawat L., Li X., He M. et al. Clostridium butyricum as probiotic for promoting growth performance, feed utilization, gut health and microbiota community of tilapia (Oreochromis niloticus × O. aureus) // Aqua. Nutr. 2020. V. 26 (3). P. 657–670.
- Ramos M.A., Batista S., Pires M.A. et al. Dietary probiotic supplementation improves growth and the intestinal morphology of Nile tilapia // Animal. 2017a. V. 11 (8). P. 1259–1269.
- Ramos M.A., Gonçalves J.F.M., Batista S. et al. Growth, immune responses and intestinal morphology of rainbow trout (Oncorhynchus mykiss) supplemented with commercial probiotics // Fish Shellfish Immunol. 2015. V. 45 (1). P. 19–26.
- Ramos M.A., Goncalves J.F., Costas B. et al. Commercial Bacillus probiotic supplementation of rainbow trout (Oncorhynchys mykiss) and brown trout (Salmo trutta): growth, immune responses and intestinal morphology // Aqua. Res. 2017b. V. 48 (5). P. 2538–2549.
- Rašković B., Čičovački S., Ćirić M. et al. Integrative approach of histopathology and histomorphometry of common carp (Cyprinus carpio L.) organs as a marker of general fish health state in pond culture // Aqua. Res. 2016. V. 47 (11). P. 3455–3463.
- Reda R.M., Selim K.M. Evaluation of Bacillus amyloliquefaciens on the growth performance, intestinal morphology, hematology and body composition of Nile tilapia, Oreochromis niloticus // Aqua. Internat. 2015. V. 23. P. 203–217.
- Ringø E., Zhou Z., Vecino J.G. et al. Effect of dietary components on the gut microbiota of aquatic animals. A never‐ending story? // Aqua. Nutr. 2016. V. 22 (2). P. 219–282.
- Ruiz M.L., Owatari M.S., Yamashita M.M. et al. Histological effects on the kidney, spleen, and liver of Nile tilapia Oreochromis niloticus fed different concentrations of probiotic Lactobacillus plantarum // Trop. Anim. Health Prod. 2020. V. 52. P. 167–176.
- Sadeghi J., Chaganti S.R., Heath D.D. Regulation of host gene expression by gastrointestinal tract microbiota in Chinook salmon (Oncorhynchus tshawytscha) // Mol. Ecol. 2023. V. 32 (15). P. 4427–4446.
- Samanya M., Yamauchi K. Histological alterations of intestinal villi in chickens fed dried Bacillus subtilis var. natto // Comp. Biochem. Physiol. Part A: Mol. Integr. Physiol. 2002. V. 133 (1). P. 95–104.
- Saravanan K., Sivaramakrishnan T., Praveenraj J. et al. Effects of single and multi-strain probiotics on the growth, hemato-immunological, enzymatic activity, gut morphology and disease resistance in Rohu, Labeo rohita // Aquaculture. 2021. V. 540. P. 736749.
- Sewaka M., Trullas C., Chotiko A. et al. Efficacy of synbiotic Jerusalem artichoke and Lactobacillus rhamnosus GG-supplemented diets on growth performance, serum biochemical parameters, intestinal morphology, immune parameters and protection against Aeromonas veronii in juvenile red tilapia (Oreochromis spp.) // Fish Shellfish Immunol. 2019. V. 86. P. 260–268.
- Shefat S.H.T. Probiotic strains used in aquaculture // Int. Res. J. Microbiol. 2018. V. 7 (2). P. 43–55.
- Shekarabi S.P.H., Zirak K., Sheikhzadeh N. et al. The multi-enzymes and probiotics mixture improves the growth performance, digestibility, intestinal health, and immune response of Siberian sturgeon // Ann. Anim. Sci. 2022. V. 22 (3). P. 1063–1072.
- Simón R., Docando F., Nuñez-Ortiz N. et al. Mechanisms used by probiotics to confer pathogen resistance to teleost fish // Front. Immunol. 2021. V. 12. P. 653025.
- Soliman N.F., Yacout D.M.M. Aquaculture in Egypt: status, constraints and potentials // Aqua. Internat. 2016. V. 24. P. 1201–1227.
- Standen B.T., Peggs D.L., Rawling M.D. et al. Dietary administration of a commercial mixed-species probiotic improves growth performance and modulates the intestinal immunity of tilapia, Oreochromis niloticus // Fish Shellfish Immunol. 2016. V. 49. P. 427–435.
- Standen B.T., Rodiles A., Peggs D.L. et al. Modulation of the intestinal microbiota and morphology of tilapia, Oreochromis niloticus, following the application of a multi-species probiotic // Appl. Microbiol. Biotechnol. 2015. V. 99. P. 8403–8417.
- Sumon M.A.A., Sumon T.A., Hussain M.A. et al. Single and multi-strain probiotics supplementation in commercially prominent finfish aquaculture: review of the current knowledge // J. Microbiol. Biotechnol. 2022. V. 32 (6). P. 681.
- Tabassum T., Mahamud A.S.U., Acharjee T.K. et al. Probiotic supplementations improve growth, water quality, hematology, gut microbiota and intestinal morphology of Nile tilapia // Aqua. Rep. 2021. V. 21. P. 100972.
- Takagi Y., Yamada J. Effects of calcium and phosphate deficiencies on bone metabolism in a teleost, tilapia (Oreochromis niloticus): a histomorphometric study // Mechanisms and phylogeny of mineralization in biological systems: Biomineralization′ 90. Japan: Springer, 1991. P. 187–191.
- Theilacker G.H. Effect of starvation on the histological and morphological characteristics of jack mackerel, Trachurus symmetricus, larvae // Fish. Bull. 1978. V. 76 (2). P. 403–414.
- Troell M., Naylor R.L., Metian M. et al. Does aquaculture add resilience to the global food system? // PNAS USA. 2014. V. 111 (37). P. 13257–13263.
- Wang P., Ji J., Zhang Y. Aquaculture extension system in China: development, challenges, and prospects // Aqua. Rep. 2020. V. 17. P. 100339.
- Wanka K.M., Damerau T., Costas B. et al. Isolation and characterization of native probiotics for fish farming // BMC Microbiol. 2018. V. 18. P. 1–13.
- Won S., Hamidoghli A., Choi W. et al. Effects of Bacillus subtilis WB60 and Lactococcus lactis on growth, immune responses, histology and gene expression in Nile tilapia, Oreochromis niloticus // Microorganisms. 2016. V. 8 (1).
- Wuertz S., Schroeder A., Wanka K.M. Probiotics in fish nutrition—long-standing household remedy or native nutraceuticals? // Water. 2021. V. 13 (10). P. 1348.
- Xia Y., Lu M., Chen G. et al. Effects of dietary Lactobacillus rhamnosus JCM1136 and Lactococcus lactis subsp. lactis JCM5805 on the growth, intestinal microbiota, morphology, immune response and disease resistance of juvenile Nile tilapia, Oreochromis niloticus // Fish Shellfish Immunol. 2018. V. 76. P. 368–379.
- Xia Y., Wang M., Gao F. et al. Effects of dietary probiotic supplementation on the growth, gut health and disease resistance of juvenile Nile tilapia (Oreochromis niloticus) // Anim. Nutrition. 2020. V. 6 (1). P. 69–79.
- Yang G., Cao H., Jiang W. et al. Dietary supplementation of Bacillus cereus as probiotics in Pengze crucian carp (Carassius auratus var. Pengze): Effects on growth performance, fillet quality, serum biochemical parameters and intestinal histology // Aqua. Res. 2019. V. 50 (8). P. 2207–2217.
- Yeganeh Rastekenari H., Kazami R., Shenavar Masouleh A. et al. Autochthonous probiotics Lactococcus lactis and Weissella confusa in the diet of fingerlings great sturgeon, Huso huso: effects on growth performance, feed efficiency, haematological parameters, immune status and intestinal morphology // Aqua. Res. 2021. V. 52 (8). P. 3687–3695.
- Yukgehnaish K., Kumar P., Sivachandran P. et al. Gut microbiota metagenomics in aquaculture: factors influencing gut microbiome and its physiological role in fish // Rev. Aquacult. 2020. V. 12 (3). P. 1903–1927.
- Zare R., Abedian Kenari A., Yazdani Sadati M. Influence of dietary acetic acid, protexin (probiotic), and their combination on growth performance, intestinal microbiota, digestive enzymes, immunological parameters, and fatty acids composition in Siberian sturgeon (Acipenser baerii, Brandt, 1869) // Aqua. Internat. 2021. V. 29. P. 891–910.
- Zhang J., Huang M., Feng J. et al. Effects of dietary Bacillus licheniformis on growth performance, intestinal morphology, intestinal microbiome, and disease resistance in common carp (Cyprinus carpio L.) // Aqua. Internat. 2021. V. 29. P. 1343–1358.
Supplementary files









