Structural changes of lung tissues in the dynamics of inhalation poisoning with carbonic acid dichlorohydride
- Авторлар: Torkunov P.A.1, Chepur S.V.2, Shabanov P.D.1, Zemlyanoy A.V.3, Torkunova O.V.4
-
Мекемелер:
- Kirov Military Medical Academy
- State Research Testing Institute of Military Medicine
- Scientific Research Institute of Hygiene, Occupational Pathology and Human Ecology
- State Pediatric Medical University
- Шығарылым: Том 144, № 4 (2024)
- Беттер: 424-434
- Бөлім: Articles
- ##submission.dateSubmitted##: 19.01.2025
- ##submission.dateAccepted##: 19.01.2025
- ##submission.datePublished##: 22.07.2024
- URL: https://ogarev-online.ru/0042-1324/article/view/277387
- DOI: https://doi.org/10.31857/S0042132424040056
- EDN: https://elibrary.ru/PPHUGP
- ID: 277387
Дәйексөз келтіру
Толық мәтін
Аннотация
A study of structural changes in lung tissue during the formation of organ edema due to inhalation of a lipotropic poison, carbonic acid dichloride, showed the peculiarities of the formation of acute respiratory distress syndrome. The point of application of the poison is the distal bronchioles, the epithelium of which is subject to dystrophic and necrotic changes followed by goblet metaplasia. The absorbed poison causes pronounced changes in blood microcirculation, steroid-resistant NO-mediated endothelial dysfunction with blood deposition in dilated capillaries, aggregation and lysis of erythrocytes. Changes in the vascular bed in the interalveolar septa precede the formation of an acute inflammatory reaction with the accumulation of alveolar effusion and dystrophic changes in the alveolar epithelium with cell desquamation. Among the cells of the alveolar lining, type II alveolocytes are the most vulnerable. Plasma permeation of the connective tissue of the interalveolar septa interstitium is accompanied by their infiltration with polymorphonuclear leukocytes and activation of macrophages. Desquamation of epithelial cells of the distal bronchioles leads to obstruction of their lumens and, through the valve mechanism, contributes to overextension of the alveoli with the formation of emphysema and reduction of capillary blood circulation in the alveolar septa. The observed changes determined the directions for improving the treatment of poisoning by asphyxiating poisons.
Негізгі сөздер
Толық мәтін
ВВЕДЕНИЕ
Токсический отек легких (ТОЛ) рассматривают как проявление острейшего воспаления с массивным экссудативным компонентом и в различной степени выраженной клеточной инфильтрацией ткани органа (Торкунов и др., 2008; He et al., 2020; Shao et al., 2022). ТОЛ — крайне опасное для жизни состояние, а его лечение, равно как и любого отека легких, сопряжено с рядом трудностей и не всегда эффективно (Зильбер, 1996). Причиной острого некардиогенного нарушения сосудистой проницаемости как для плазмы, так и для форменных элементов крови может стать действие раздражителей, веществ, вызывающих кислотный или щелочной ожог слизистой оболочки воздухоносных путей и альвеолярной выстилки. Вещества, вызывающие ТОЛ, можно встретить в быту и в промышленности, их образование возможно в процессе горения. К их числу относят хлор, фтор, аммиак, диоксид серы, сероводород и оксиды азота (Pauluhn, 2022). Однако среди этих веществ особое место занимает дихлорангидрид угольной кислоты и перфторизобутилен, токсическое действие которых, как считают, опосредовано преимущественно алкилирующим повреждением специализированных клеточных структур аэрогематического барьера (Толкач и др., 2020).
Выяснение механизмов формирования ТОЛ необходимо для разработки методов профилактики и лечения этого патологического состояния, характеризующегося высокой летальностью. Одним из основных методов исследования, позволяющих получить наиболее полное представление о патологическом процессе в легких при их ингаляционном токсическом повреждении, признан морфологический. В то же время морфофункциональные адаптивные и патологические изменения при ТОЛ, и прежде всего на его ранних стадиях (Толкач, 2020), до сих пор недостаточно изучены, а изложенные оценки противоречивы с точки зрения последовательности патологических изменений. Следствием этого стала невозможность формирования единых взглядов на патогенез и клеточные субстраты — мишени фармакологического воздействия, что затрудняет разработку патогенетических методов профилактики и лечения ТОЛ (Мотавкин, Гельцер, 1998; Lu et al., 2021; Pauluhn, 2021). Все вышесказанное объясняет необходимость дальнейших экспериментальных исследований его морфогенеза и патогенеза, попытка проведения которых предпринята в данной работе.
МАТЕРИАЛЫ И МЕТОДЫ
Исследования выполняли на неинбредных мышах-самцах массой 18–24 г, полученных из питомника “Рапполово”. Животных содержали в условиях вивария на стандартном рационе питания. Токсический отек легких вызывали ингаляционным статическим отравлением животных дихлорангидридом угольной кислоты в камере в дозе, соответствующей LСt50 (Торкунов и др., 2008). После отравления температуру воздуха в помещении, где находились животные поддерживали на уровне 19–21°С. Для забора морфологического материала животных одномоментно умерщвляли дислокацией шейных позвонков с последующей препаровкой трахеи для исключения заброса крови в воздухоносные пути. Легкие исследовали через 30 мин, 3 и 24 ч после воздействия пульмонотоксиканта. Иссеченные образцы ткани фиксировали в 10%-ном нейтральном формалине, обезвоживали по общепринятой методике и заливали в парафин, изготавливали срезы толщиной 4–5 мкм. Изготовленные срезы легочной ткани окрашивали: толлуидиновым синим с докраской эозином для выявления популяции тучных клеток; орсеином для выявления эластических волокон; по методу Браше для выявления РНК-содержащих структур; по методу Маллори в модификации для выявления фибрина (Меркулов, 1969).
РЕЗУЛЬТАТЫ И ОБСУЖДЕНИЕ
В характеристике действия пульмонотоксикантов имеет место давняя дискуссия о первичности повреждений эпителиального или сосудистого компонентов в механизме формирования нарушений. В пользу первично сосудистых повреждений приводится аргумент, что дихлорангидрид угольной кислоты и перфторизобутилен реализуют свое действие на уровне богатых капиллярами альвеол и не вызывают серьезных повреждений других структур, что было опровергнуто в данной работе. В пользу же специфичных эпителиальных повреждений свидетельствует тот факт, что пульмонотоксиканты реализуют поражающее действие только при ингаляционном введении. Внутрибрюшинное их введение, в отличие от солей серебра, не вызывает повреждений мезотелия, а, главное, не вызывает системного повреждения эндотелия сосудов, при этом отек легких не формируется (Толкач, 2020). Все вышесказанное определяет понимание первичности эпителиальных повреждений с формированием воспалительной реакции на повреждение, однако при светооптическом морфологическом исследовании наиболее выраженные изменения в ранний период прослеживаются со стороны микрососудов, а нарушения гемодинамики соответствуют классическим схемам формирования легочного отека (Чучалин, 2005).
Уже через 30 мин (рис. 1) после воздействия токсиканта в легких отмечены существенные нарушения микроциркуляции крови с ее перераспределением и депонированием в резко расширенных, полнокровных и сильно выбухающих в просвет альвеол петлях альвеолярных капилляров и в венулах, что подтверждает роль гидростатического компонента в формировании отека. Артериальные бронхиальные сосуды спазмированы. Помимо изменений сосудистого тонуса, имеют место изменения структуры клеток крови, что соответствует описаниям (Aggarwal et al., 2019). Эритроциты в сосудах нередко деформированы и агрегированы в составе микротромбов, располагаясь в венулах пристеночно сообразно диаграмме скорости кровотока по просвету микрососудов. Прослежено увеличение количества лейкоцитов в крови. По-видимому, повреждение эпителия способствует выбросу тканевого тромбопластина, поступление которого в капиллярный кровоток определяет вероятность тромбоза обменных и емкостных сосудов гемомикроциркуляторного русла, а сохраняющийся приток крови в них формирует гидростатическое давление, способствующее пропотеванию плазмы, однако выраженных повреждений эпителиальной выстилки к этому сроку не отмечено. Стаз эритроцитов, их агрегация и частичный гемолиз с деформацией наблюдаются в альвеолярных капиллярах (рис. 1а). Отдельные легочные венулы мелкого и среднего калибра закупорены крупными агрегатами частично гемолизированных эритроцитов или сформированными уже к этому сроку наблюдения фибриноидно-эритроидными тромбами. Местами наблюдается диапедез деформированных и лизированных эритроцитов в просвете альвеол. Несмотря на адекватную фиксацию материала на срезах выявлена зернистость плазмы, соответствующая диспротеинемии и нарушениям свертывания.
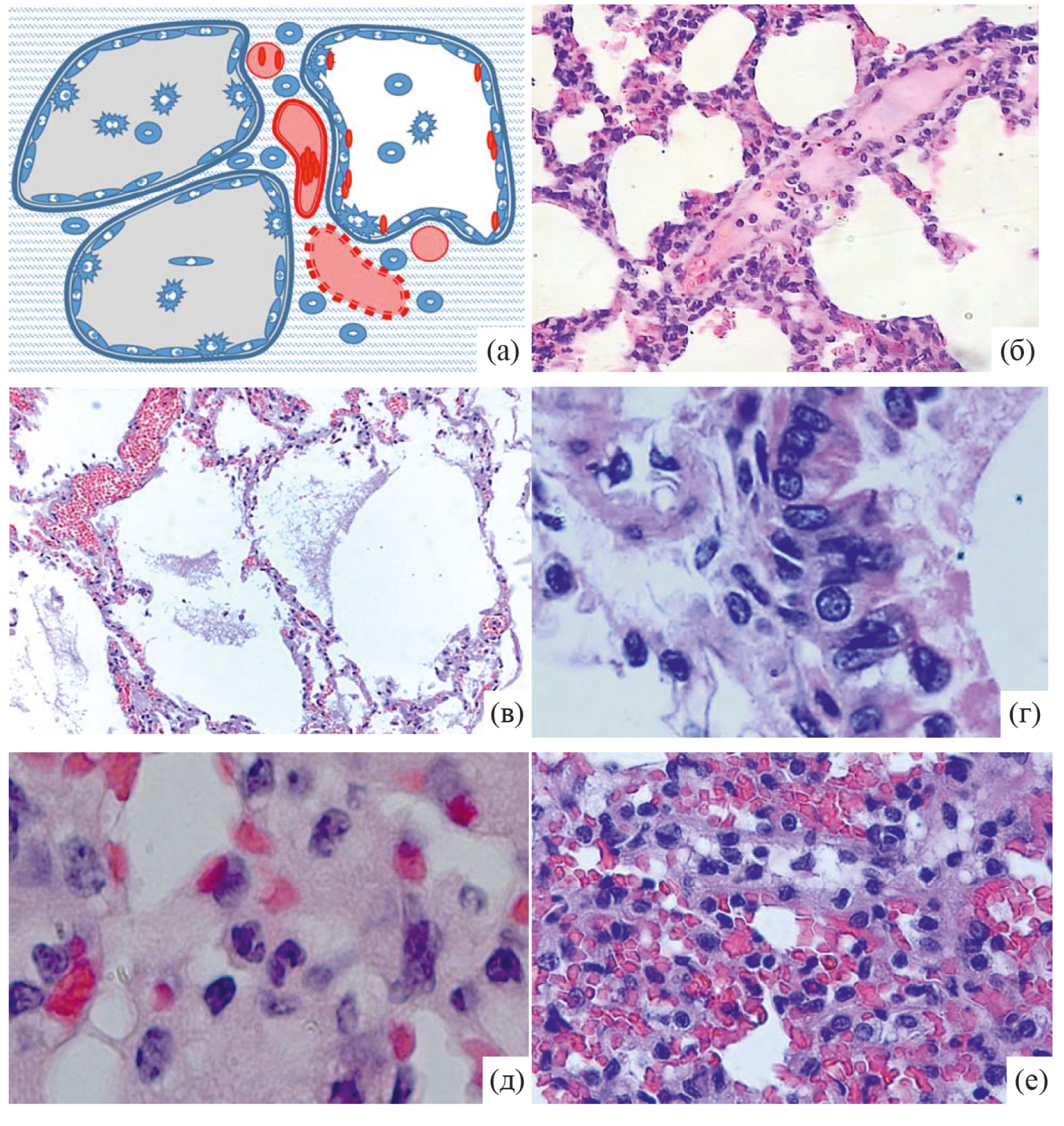
Рис. 1. Структура легочной паренхимы у мышей через 30 мин после ингаляционного воздействия дихлорангидрида угольной кислоты в дозе 1 LСt50.
Окраска гематоксилин-эозин. (а) — полнокровие капилляров перегородок, пролабирующих в просвет альвеол (об. ×20); (б) — полнокровие венозных сосудов с набуханием перегородок и пропотеванием белоксодержащей жидкости в просвет альвеол (об. ×40); (в) — стадийные изменения респираторного альвеолоцита вследствие коллоидно-осмотического состояния цитозоля и подлежащей соединительной ткани; (г) — изменения мембраносвязанных и просветных клеток эпителия альвеолы и макрофагов (об. ×100); (д) — кариорексис в эндотелиальных клетках и инфильтрация перегородки полиморфноядерными лейкоцитами, участвующими в резорбции альвеолярного выпота (об. ×100).
Нарушения микроциркуляции крови коррелируют с очаговыми изменениями воздушности легочной паренхимы. Сочетание зон ателектаза и частичного спадания альвеол наблюдается как в центральных сегментах по ходу сосудисто-бронхиальных путей, так и в периферических отделах легких. Кроме того, прослежено формирование локальной эмфиземы органа с резким расширением полостей альвеолярных ходов и альвеол с сильным истончением альвеолярных перегородок (рис. 1б). Природа этой острой эмфиземы требует пояснения и может быть сопряжена как с компенсаторным ателектазу изменением воздушности легочной ткани, так и с сопротивлением выдоху на фоне спастической или обтурационной бронхообструкции при токсическом или вторично-воспалительном нарушении эластичности ткани легкого (Aggarwal et al., 2019). Выраженная неравномерность воздушности паренхимы легкого, в свою очередь, соразмерна значительным колебаниями плотности распределения альвеолоцитов — от скоплений ядросодержащих элементов на базальной мембране до истончения выстилки с оголением ее структур в эмфизематозных участках. Это соответствует результатам исследований, выполненных при отравлении перфторизобутиленом (Толкач и др., 2020), когда изменение формы клеток и их слущивание в просвет альвеол создают условия для разрушения барьера и перицеллюлярного пропотевания жидкости.
Среди респираторных альвеолоцитов, слущенных в альвеолы, находящихся на перегородках и местами сильно выбухающих в просвет, отмечены дегидратированные формы или элементы с признаками коагуляционных изменений. Ядра таких клеток — небольших размеров с уплотненным хроматином и выраженной эозинофилией кариоплазмы, цитоплазма также интенсивно воспринимает эозин и выглядит стекловидно-гомогенной с мелкими вакуолеобразными просветлениями и с уплотнением на периферии клетки. У значительной части клеток выявлено асимметричное увеличение объема цитоплазмы на стороне, обращенной в просвет альвеол. В перегородках также обнаружены клетки, имеющие значительный объем зернистой и вакуолизированной цитоплазмы, и более светлые набухшие ядра с ядрышком. Осмотические изменения цитоплазмы клеток с появлением зон перераспределения жидкости могут возникать вследствие влияния как внешних осмоактивных факторов, так и вследствие реализации осмотического потенциала коллоида цитозоля, проявляющегося в сдвиге (часто обратимом) полимеризации его белков (Сотников, 1985). В этом случае прослеженную эволюцию форм эпителиоцитов — от призматических через полярнодегидратированные до коагулированных — можно связать с результатом токсического воздействия, причем по вектору изменений их источник однозначно определен со стороны интерстиция межальвеолярной перегородки (рис. 1в). В секретирующих гранулярных альвеолоцитах II типа встречаются литические изменения ядер, но иногда выявляются единичные фигуры митоза.
Продолжая дискуссию о топике первичных изменений, следует отметить, что при десквамации в просвет альвеол клетки в свободном состоянии в изотонической пропотевающей плазме имеют призматическую форму и часто формируют своеобразную культуру, хоть и временно, приобретая отличный от прикрепленных к мембране тип метаболизма и функциональную активность. Для клеток разных популяций, как находящихся в составе альвеолярных перегородок, так и оказавшихся в просвете альвеол, прослежено большое разнообразие форм, характеризующих их функциональное состояние от выраженной функциональной активности до некроза с накоплением в альвеолах клеточного детрита (рис. 1г). Значительно чаще, чем альвеолоциты I типа, в просветах альвеол встречаются секретирующие альвеолярные эпителиоциты (альвеолоциты II типа), повышение многообразия которых в просвете альвеол соответствует уменьшению их количества в составе альвеолярных перегородок. Клетки хорошо идентифицируются при окраске суданом черным по более сильной суданофилии их цитоплазмы. У большинства клеток она интенсивно гомогенная и особенно яркая в наплывах цитоплазмы в сторону альвеолярных полостей. В зонах резкого расширения альвеол и альвеолярных ходов при истончении перегородок гранулярные альвеолоциты не определяются. Отмечены также клетки со слабой общей суданофилией цитоплазмы, но имеющие отдельные мелкие ярко суданофильные диффузно размещенные гранулы. Свойства клеток этого дифферона косвенно могут свидетельствовать об имевшей место в самые ранние сроки постинтоксикационного периода активации их функциональной секреторной активности.
Слущивание клеток эпителия происходит с усилением миграции в легкие мелкоклеточных форм лейкоцитов (малые лимфоциты, нейтрофильные гранулоциты) с их экстравазацией в структуры интерстиция альвеолярных перегородок, а также с их выходом в просвет альвеол (рис. 1д). Существенно реже наблюдается выход в альвеолярные полости моноцитов и плазмоцитов. В альвеолярных пространствах отмечены привязанные к альвеолярной выстилке альвеолярные макрофаги. Большинство их, как в просвете альвеол, так и в составе альвеолярных перегородок, обладают увеличенным объемом цитоплазмы, в которой при большом увеличении выявлены множественные, часто железосодержащие при окраске по Перлсу, фагоцитарные вакуоли. В отдельных макрофагах отмечены остатки лизированных ядер. На поверхности некоторых слущенных в просвет альвеол макрофагов адгезированы обесцвеченные, разрушенные эритроциты. Большинство лимфоцитов и лейкоцитов, как попавших в просвет альвеол, так и в интерстиции альвеолярных перегородок, имеют уплотненный ядерный хроматин или пикнотичные ядра.
В эпителии бронхов, как крупных, так и мелких, а также в меньшей степени в бронхиолах, обнаруживается диссоциация эпителиальных клеток с проявлениями дезорганизации и коагуляционного некроза. Наблюдаются округление апикальных отделов клеток выстилки с редукцией плотных апикальных контактов между ними, секвестрация апикальных частей мерцательного эпителия, опустошение бокаловидных клеток, гибель и слущивание эпителиоцитов в просвет альвеол. Можно также констатировать пикноз ядер эпителия во многих участках эпителиального пласта. Эта объективная картина изменений противоречит ранее высказанным представлениям (Толкач, 2020) о действии дихлорангидрида угольной кислоты преимущественно на альвеолярную выстилку. Такая избирательность может быть связана с физико-химическими свойствами COCl2, плохо растворимого в воде, что определяет меньшую вероятность поражения бронхов и бóльшую тропность яда к структурам аэрогематического барьера (Cao et al., 2022; Pauluhn, 2022). Однако никто не исключает наличия у дихлорангидрида угольной кислоты классических прижигающих свойств по отношению как к воздухоносным путям (Radbel et al., 2020), так и к конъюнктиве глаз (Tiwari, Raghavan, 2022).
Через 3 ч (рис. 2) после отравления в легких отмечены значительные дистрофические и деструктивные изменения, затрагивающие практически все структурные компоненты ткани органа (рис. 2а). При замедлении кровотока, переходящем в стаз с депонированием крови в капиллярах и венозном русле, прослежена дилатация и неравномерные паретические расширения микрососудов с неравномерным распределением жидкой фракции крови и клеточного компонента по ветвям венозных легочных сосудов, а также петлям альвеолярных капилляров. Большинство септальных венул плазмалемальные (рис. 2б) с редкими обтурирующими их просвет плотными массами агрегированных частично гемолизированных эритроцитов. Адгезия лизированных эритроцитов сопровождается отеком и плазматическим пропитыванием стенок сосудов, особенно венозных. В таких зонах нередко выявляются вытянутые светлоядерные активные формы клеток, относящиеся, вероятно, к пристеночным внутрисосудистым макрофагам. На препаратах, окрашенных по Маллори на фибрин, прослежено изменение цветовой гаммы плазмы вследствие трансформации (модификации) структуры ее белков и выпадения тонких нитей фибрина. Резко расширенные артериальные легочные сосуды оказываются запустевшими, а их стенки утолщенными, отечными, с тотальным набуханием миоцитов. Запустевшими выглядели и бронхиальные артериальные сосуды. В эндотелии сосудов отмечена гидропическая дистрофия цитоплазмы клеток нередко с выраженной вакуолизацией и лизисом их ядер. Отмечены также эндотелиоциты с пикнозом ядер или перинуклеарной агрегацией хроматина. Прослежен выраженный отек периваскулярной соединительной ткани с диапедезом эритроцитов или обширными кровоизлияниями по ходу бронхиальных сосудов.
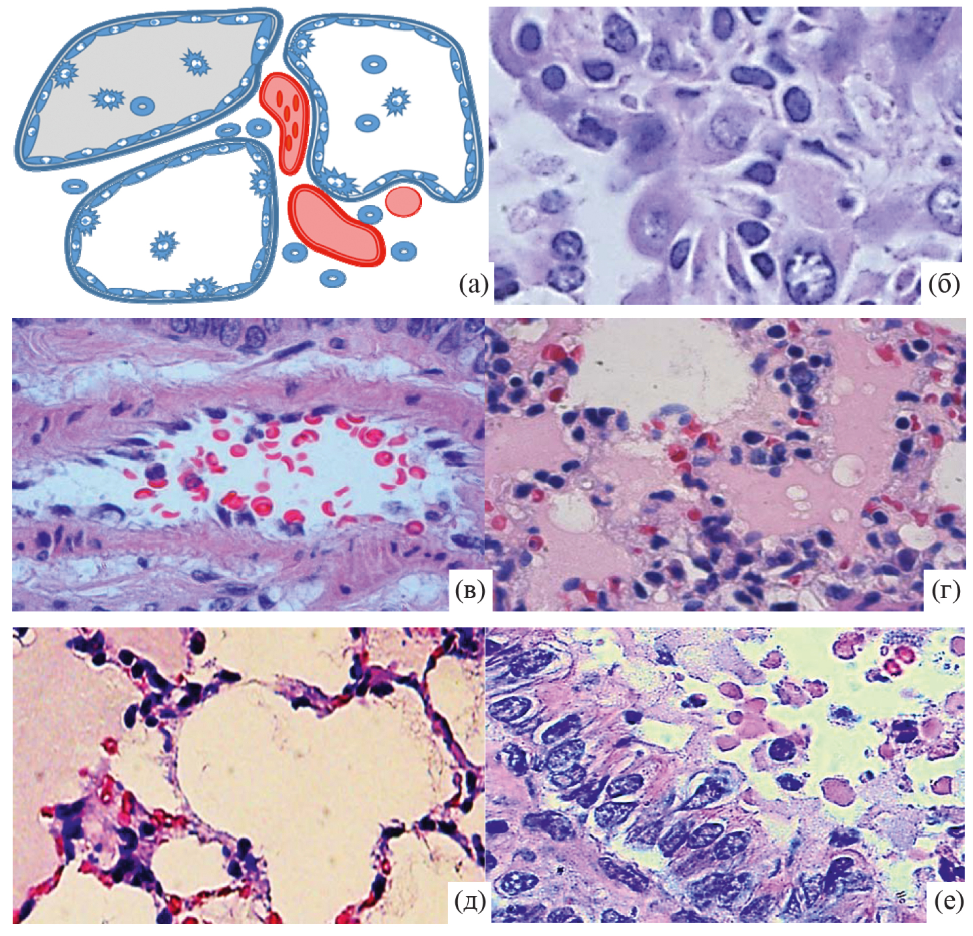
Рис. 2. Структура легочной паренхимы у мышей через 3 ч после ингаляционного воздействия дихлорангидрида угольной кислоты в дозе 1 LСt50.
Окраска гематоксилин-эозин. (а) — схема формирующихся гистопатологических изменений (пояснения в тексте); (б) — плазмалемальные септальные венулы (об. ×40); (в) — расширение просветов альвеол с резорбируемым белковым выпотом при полнокровии частично тромбированных септальных сосудов (об. ×20); (г) — дистрофические изменения эпителия бронха с апикальным некрозом, с отторжением части цитозоля клеток и гибелью альвеолоцитов в составе эпителиального пласта (об. ×100); (д) — инфильтрация межальвеолярных перегородок полиморфноядерными лейкоцитами (об. ×100); (е) — микротромбы в капиллярах перегородок и очаги диапедеза эритроцитов в просвет альвеол (об. ×40).
К этому сроку у большинства животных общая воздушность легочной ткани возрастает за счет как расправления части альвеол, затронутых ателектазом, так и увеличения доли легочных ацинусов с эмфиземой центролобулярного типа (рис. 2в).
Степень поражения бронхиального эпителия варьирует в бронхах разного калибра. Масштабность и выраженность дистрофии и некроза эпителиальных клеток возрастает в более крупных бронхах и доступна при оценке изменений бронхоальвеолярного лаважа (Aggarwal et al., 2019; Shao et al., 2022). В мелких и терминальных бронхах выявлены очаговые подэпителиальные скопления значительных объемов отечной жидкости, которые определяют выбухание эпителиальных пластов клеток в просвет бронхов, создавая картину выраженной складчатости эпителия. При этом в отдельных ветвях бронхов просветы заполнены значительным количеством слущенных пластов эпителиоцитов, вызывающих обтурацию просвета воздухопроводящих путей. Прослежена, хотя и в меньшей степени, чем в предыдущий срок наблюдения, секвестрация апикальных частей и десквамация отдельных клеток (рис. 2г). На поверхности эпителия и в просветах бронхов отмечены разрушенные эритроциты. В составе эпителиального пласта с разреженным расположением диссоциированных клеток выявлены мерцательные эпителиоциты призматической формы и уплощенные клетки, сохранившие лишь узкий ободок перинуклеарной цитоплазмы. Местами эпителий выглядит высоким, многорядным или как нагромождение клеток, по всей видимости, из-за задержки в апикальных отделах выстилки эпителиоцитов, потерявших связь с базальной мембраной и имеющих сморщенные или лизирующиеся ядра. Практически все реснитчатые призматические клетки эпителия бронхов очень слабо или совсем не аффинны к пиронину при окраске по Браше, что отражает редукцию белоксинтезирующего аппарата клеток. Отмечены небольшие зоны оголения и деструкции базальной мембраны бронхов. В стенках бронхов в соединительной ткани и в эпителиальном пласте выявлены пикнотичные клетки воспалительного инфильтрата, их наибольшее количество наблюдается в эпителии крупных бронхов, а на поверхности эпителия адгезированы деформированные лизированные эритроциты.
По мере восстановления отмечены и процессы начинающейся репарации эпителиальной выстилки с увеличением размеров и просветлением хроматина ядер, количества и размеров ядрышек, с появлением ярко пиронинофильного перинуклеарного ободка у части клеток. Эти процессы более выражены в низких базальных (замещающих) клетках и сохранившихся ампутированных эпителиоцитах. Местами активированные эпителиоциты формируют ряды по 4–6 клеток, некоторые из которых двухядерные.
В альвеолярных перегородках отмечен интерстициальный отек структур соединительной ткани. Отек интерстиция при относительно сохранной эпителиальной выстилке наиболее выражен в ацинусах без эмфиземы. Отечная жидкость обнаруживается в просветах альвеол и бронхов. Просветы части альвеол заполнены эритроцитами. К этому сроку еще более возрастает доля легочной ткани, в которой альвеолярные перегородки теряют естественные клеточные элементы. В отдельных отечных перегородках определяются лишь дистрофически измененные или лизирующиеся ядра эндотелиальных клеток и измененные клетки инфильтрата, чаще лейкоциты. Некоторые альвеолярные перегородки интенсивно инфильтрированы полиморфноядерными лейкоцитами с увеличенным относительным содержанием моноцитов и макрофагов (рис. 2д). В эмфизематозных участках стенки альвеолярных перегородок выстилают эритроциты. В просветах альвеол с пропотеванием отечной жидкости и диапедезными эритроцитами (рис. 2е) местами насчитывается до 4–6 пристеночных макрофагов в функционально активном состоянии фагоцитирующих отечные массы. В цитоплазме интерстициальных макрофагов часто встречаются фагоцитированные ими, поврежденные или погибшие клетки инфильтрата, их ядерный детрит. Для плазматических клеток, встречающихся в альвеолярных перегородках, характерны явление клазматоза и пикнотизация ядра.
К первым суткам (рис. 3) после воздействия токсиканта деструктивные изменения нарастают вследствие истощения резервных возможностей поврежденных клеток (рис. 3а). Восстановление нарушенного популяционного объема и уровня физиологической активности клеток происходит из неповрежденных источников регенерации (рис. 3б). Фиксированные клеточные элементы альвеолярных перегородок, а также популяции подвижных клеток, мигрирующих из кровотока, активно участвуют в элиминации структурных повреждений и устранении погибших клеток легочной паренхимы.
Рис. 3. Структура легочной паренхимы у мышей через 1 сут после ингаляционного воздействия дихлорангидрида угольной кислоты в дозе 1 LСt50.
Окраска гематоксилин-эозин. (а) — схема формирующихся гистопатологических изменений (пояснение в тексте); (б) — метафазные “пластинки” в сохранившихся альвеолоцитах ацинарных ходов (об. ×100); (в) — дистоническое расширение септальных сосудов, сопровождающееся дистрофическими изменениями клеток мышечной оболочки сосуда и плазматическим пропитыванием паравазальной соединительной ткани (об. ×40); (г) — дистрофические изменения клеток и слущивание эпителия в просвет альвеол с резорбцией выпота активированными формами макрофагов (об. ×100); (д) — эмфизема свободных от выпота альвеол, в перерастянутых перегородках которых прослеживали редукцию капилляров с мелкими агрегатами лизированных эритроцитов (об. ×20); (е) — дистрофические изменения и гибель клеток эпителия бронхов с накоплением обсемененного кокковой флорой клеточного детрита в просвете (об. ×100).
Морфологические признаки атонии сосудов отражают нарушенную микроциркуляцию крови в легких. К ним относятся появление фестончатого извитого контура сосудов с микроаневризмами и выраженная неравномерность толщины стенок сосудов по его окружности (рис. 3в). Неравномерность толщины стенок сосудов вызвана сокращением миоцитов в утолщенных участках и их дистонией в зонах истончения стенок. В последнем случае ядра миоцитов совсем не выявлены, или же имеют место кариолиз или пикноз ядер. Как компенсаторную реакцию на гибель части гладкомышечных клеток оценивают появление в стенках сосудов отдельных миоцитов с набухшими ядрами и с активной формой ядрышкового аппарата. Признаки некроза (пикноз, кариолиз) или выраженная гидропическая дистрофия с крупнокапельной вакуолизацией ядер отмечены в подавляющем большинстве эндотелиальных клеток во всех звеньях микроциркуляции. Определены супрабазальные скопления отечной жидкости в стенках артериол с диапедезом эритроцитов и единичных мононуклеаров с пикноморфными ядрами, способствующие локальному слущиванию эндотелиоцитов в просвет сосудов (рис. 3г). Усиление эмфиземы легочной паренхимы увеличивает объем ткани с редукцией кровоснабжения. В перерастянутых альвеолярных перегородках прослежена редукция капилляров, их просветы заполнены мелкими агрегатами лизированных эритроцитов, а при гибели эндотелиоцитов или кариолизисе на светооптическом уровне капилляры не выявляются (рис. 3д). При этом наблюдаются как спавшиеся, так и переполненные кровью с гемолизом пристеночных агрегатов эритроцитов септальные венулы. Проявление положительной динамики нарушенной микроциркуляции — обнаруженные отдельные венозные сосуды с признаками резорбции застойной фибриноидной плазмы вдоль эндотелиальной выстилки. Значительная часть внутрисосудистых макрофагов имеют сморщенные гомогенные и деформированные ядра, резко смещенные на периферию цитоплазмы небольшого объема. Аналогичного вида макрофаги в незначительном количестве расположены пристеночно в просветах альвеол.
К суткам после отравления нарастает эмфизема легких с перерастяжением и разрывами альвеолярных перегородок. В расширенных просветах терминальных и мелких бронхиол, в начальных участках ветвления более крупных бронхов просветы забиты клеточным детритом из слущенного эпителия со слизью (рис. 3е). В слущенном эпителии изредка отмечается вегетирование колоний микробной флоры. Эпителий крупных бронхов на обширных участках их стенки из-за слущивания и гибели значительной части эпителиоцитов сильно уплощен, вытянут вдоль базальной мембраны. В локусах некроза эпителия его распространение прослеживается и на подлежащие гладкомышечные клетки с кариолизом и пикнозом ядер миоцитов. Слизистая оболочка терминальных и мелких бронхиол сохраняет представительство призматического эпителия. Увеличена доля слизеобразующих клеток, которые приобретают шарообразную форму с ядром в центре клетки, окруженным со всех сторон секреторными вакуолями. Альвеолярные пространства в разной степени сохраняют воздушность, часть из них заполнены эритроцитами, даже в свободных альвеолах наблюдается гемолиз диапедезных эритроцитов, прижатых отечной жидкостью к альвеолярным перегородкам. Эритроциты встречаются и в интерстиции альвеолярных перегородок.
Как в просветах альвеол, так и в составе альвеолярных перегородок сохранившиеся альвеолоциты II типа чаще всего характеризуются небольшими клеточными размерами, округлыми контурами, уплотненным хроматином, отсутствием или редукцией ядрышек, а также просветленной перинуклеарной цитоплазмой, незначительным количеством или отсутствием вакуолей. Все эти проявления относят к морфологическим признакам резкого снижения как белоксинтезирующей активности клеток, так и, очевидно, секреции пластинчатых телец. При окраске суданом черным суданофильные включения в клетках альвеолярных перегородок отмечены в единичных случаях. По мере увеличения объема легочной паренхимы, затронутой эмфиземой, на оголяемых альвеолярных перегородках альвеолоциты II типа практически не выявлены.
Формирование острой эмфиземы сопряжено с изменениями эластического каркаса легких в виде перерастяжения эластических волокон. Эластические волокна альвеолярных перегородок несколько истончены и удлинены. Изменяется и их пространственная архитектоника в стенках альвеол: в отечных перегородках эластические волокна вытянуты по краю поверхностей альвеолярной стенки, чем сдерживают их растяжение, а доля срезанных поперек эластических волокон снижается. Эластические мембраны сосудов с учетом отмеченных ранее локальных дистонических изменений либо вытянуты на одних участках стенки, либо сильно складчаты на других.
ЗАКЛЮЧЕНИЕ
Проведенные морфологические исследования призваны уточнить механизм формирования альвеолярного выпота при отравлении дихлорангидридом угольной кислоты в смертельных дозах для формирования единой терапевтической стратегии купирования возникающих патологических изменений после реализации первичного токсического действия яда. Наиболее очевидное предположение — отнесение рассматриваемого патологического процесса к острому респираторному дистресс-синдрому, обусловленному воспалением легочной ткани, изменением ее воздушности, и к вторичному изменению перфузии с нарушением гидростатических градиентов. Механизмы формирования воспалительной реакции остаются не ясными, учитывая липофильность токсиканта (Cao et al., 2022; Pauluhn, 2022). Вместе с тем, прослеженные изменения слизистой дистальных бронхиол позволяют рассматривать их как пусковой фактор нарушений. Повреждения клеток и накопление клеточного детрита становятся причиной обтурационно обусловленной эмфиземы легочных ацинусов с соответствующей перестройкой микроциркуляции ткани органа. Эпителий дистальных бронхиол и ацинарных ходов, хотя и в значимо меньшей степени, чем респираторный эпителий альвеол, способен участвовать в газообмене. По-видимому, его повреждение определяет всасывание токсиканта и реализацию токсического действия на уровне легочных ацинусов. Такое предположение определяет прослеженные наблюдения формирования патологии:
- полнокровие, гемокоагуляцию и перераспределение фракций крови в межальвеолярных и септальных сосудах до формирования видимых повреждений респираторного эпителия;
- вторичность необратимых повреждений респираторных альвеолоцитов по отношению к плазматическому пропитыванию подлежащей соединительной ткани;
- слущивание в просвет альвеол жизнеспособных альвеолоцитов, прослеживаемых в составе альвеолярного выпота.
В альвеолах установлено поражение всех типов альвеолоцитов, однако слущивание секреторных сурфактантпродуцирующих реснитчатых клеток с признаками коагуляционных и литических изменений отмечено в значимо большем количестве. Дистрофические изменения вплоть до некроза констатированы также среди отдельных эндотелиоцитов и гладкомышечных клеток сосудистого русла. Эпителий крупных бронхов к первым суткам практически лишен нормально функционирующих клеток, а недифференцированный распластанный регенерат лишь прикрывает оголенные базальные мембраны. В терминальных бронхиолах, где степень поражения эпителиальных клеток меньше, компенсаторно-замещающая передифференцировка мерцательного эпителия направлена на слизеобразование, т. е. имеет место бокаловидная метаплазия, тогда как в норме бронхиолы не содержат бокаловидных клеток.
Прослеженные изменения определяют необходимость применения бронхорасширяющих средств для профилактики экспираторного напряжения, способствующего растягиванию альвеол и формированию эмфиземы с перерастяжением эластического каркаса и с характерной вторичной редукцией кровообращения. Применение респираторной поддержки будет способствовать повышению интенсивности газообмена в легких, однако мера сопротивления на выдохе должна лишь обеспечить снижение выраженности пропотевания жидкости и пролабирования капилляров в просвет сосудов и не должна превышать давления заклинивания легочных капилляров, которое равно конечному диастолическому давлению крови в левом желудочке — 5–13 мм рт.ст. В отличие от кардиогенного отека легких избыток остаточного давления на выдохе в целях повышения оксигенации ткани будет, вместе с тем, способствовать перерастяжению поврежденных альвеол. Мероприятия респираторной поддержки должны быть обеспечены фармакологическим снижением гидростатического давления, реализуемым как посредством интенсификации оттока крови из легких, так и профилактикой токсической NO-зависимой эндотелиальной дисфункции с формированием часто стероидрезистентного пареза емкостных сосудов и с депонированием крови в них. Направленные мероприятия должны сопрягаться с противовоспалительной терапией стероидами и препаратами цитокинов, стратегии которой были детально отработаны во время эпидемии COVID-19 (Chaudhuri et al., 2021).
Таким образом, проведенные исследования позволили уточнить представления о токсическом действии дихлорангидрида угольной кислоты и с позиций единых биологических закономерностей формирования патологии определить направления их терапевтической коррекции.
ФИНАНСИРОВАНИЕ
Данная работа финансировалась за счет средств бюджета Государственного научно-исследовательского испытательного института военной медицины. Никаких дополнительных грантов на проведение или руководство данным конкретным исследованием получено не было.
КОНФЛИКТ ИНТЕРЕСОВ
Авторы заявляют об отсутствии конфликта интересов.
СОБЛЮДЕНИЕ ЭТИЧЕСКИХ СТАНДАРТОВ
Исследования на животных выполнены по программе, одобренной комиссией по этике и биоэтике ФГБУ “ГНИИИ ВМ” МО РФ. Животных содержали в надлежащих условиях вивария (разрешение Главного государственного ветеринарного инспектора Санкт-Петербурга № 78-1102/19, сертификат ISO 9001:2015 № ST.RU.0001.M0017187, сертификат соответствия стандарту GLP № GLP-0727-1020).
Авторлар туралы
P. Torkunov
Kirov Military Medical Academy
Хат алмасуға жауапты Автор.
Email: tpa4@mail.ru
Ресей, St. Petersburg
S. Chepur
State Research Testing Institute of Military Medicine
Email: tpa4@mail.ru
Ресей, St. Petersburg
P. Shabanov
Kirov Military Medical Academy
Email: tpa4@mail.ru
Ресей, St. Petersburg
A. Zemlyanoy
Scientific Research Institute of Hygiene, Occupational Pathology and Human Ecology
Email: tpa4@mail.ru
Ресей, Kuzmolovsky settlement, Leningrad Region
O. Torkunova
State Pediatric Medical University
Email: tpa4@mail.ru
Ресей, St. Petersburg
Әдебиет тізімі
- Зильбер А.П. Респираторная медицина (этюды критической медицины). Петрозаводск: ПетрГУ, 1996. Т. 2. 488 с.
- Меркулов Г.А. Курс патогистологической техники. Л.: Медицина, 1969. 424 с.
- Мотавкин П.А., Гельцер Б.И. Клиническая и экспериментальная патофизиология легких. М.: Наука, 1998. 366 с.
- Сотников О.С. Динамика структуры живого нейрона. Л.: Наука, 1985. 160 с.
- Толкач П.Г. Изучение механизма токсического действия дихлорангидрида угольной кислоты // Токсикол. вестн. 2020. № 3 (162). С. 26–32.
- Толкач П.Г., Башарин В.А., Чепур С.В. и др. Ультраструктурные изменения аэрогематического барьера крыс при острой интоксикации продуктами пиролиза фторопласта // Бюл. эксп. биол. мед. 2020. Т. 169 (2). С. 235–241.
- Торкунов П.А., Шабанов П.Д., Земляной А.В. Фармакологическая коррекция токсического отека легких. СПб.: Элби-СПб., 2008. 176 с.
- Чучалин А.Г. Отек легких: физиология легочного кровообращения и патофизиология отека легких // Пульмонология. 2005. № 4. С. 9–18.
- Aggarwal S., Jilling T., Doran S. et al. Phosgene inhalation causes hemolysis and acute lung injury // Toxicol. Lett. 2019. V. 312. P. 204–213. https://doi.org/10.1016/j.toxlet.2019.04.019
- Cao C., Zhang L., Shen J. Phosgene-induced acute lung injury: approaches for mechanism-based treatment strategies // Front. Immunol. 2022. V. 13. P. 917395. https://doi.org/10.3389/fimmu.2022.917395
- Chaudhuri D., Sasaki K., Karhar A. et al. Corticosteroids in COVID-19 and non-COVID-19 ARDS: a systematic review and meta-analysis // Intensive Care Med. 2021. V. 47. P. 521–537. https://doi.org/10.1007/s00134-021-06394-2
- He D.-K., Xu N., Shao Y.-R., Shen J. NLRP3 gene silencing ameliorates phosgene-induced acute lung injury in rats by inhibiting NLRP3 inflammasome and proinflammatory factors, but not anti-inflammatory factors // J. Toxicol. Sci. 2020. V. 45 (10). P. 625–637. https://doi.org/10.2131/jts.45.625
- Lu Q., Huang S., Meng X. et al. Mechanism of phosgene-induced acute lung injury and treatment strategy // Int. J. Mol. Sci. 2021. V. 22. P. 10933. https://doi.org/10.3390/ijms222010933
- Pauluhn J. Phosgene inhalation toxicity: update on mechanisms and mechanism-based treatment strategies // Toxicology. 2021. V. 450. P. 152682. https://doi.org/10.1016/j.tox.2021.152682
- Pauluhn J. Derivation of thresholds for inhaled chemically reactive irritants: searching for substance-specific common denominators for read-across prediction // Regul. Toxicol. Pharmacol. 2022. V. 130. P. 105131. https://doi.org/10.1016/j.yrtph.2022.105131
- Radbel J., Laskin D.L., Laskin J.D., Kipen H.M. Disease-modifying treatment of chemical threat agent-induced acute lung injury // Ann. N.Y. Acad. Sci. 2020. V. 1480 (1). P. 14–29. https://doi.org/10.1111/nyas.14438
- Shao Y., Jiang Z., He D., Shen J. NEDD4 attenuates phosgene-induced acute lung injury through the inhibition of Notch1 activation // J. Cell. Mol. Med. 2022. V. 26 (10). P. 2831–2840. https://doi.org/10.1111/jcmm.17296
- Tiwari R.R., Raghavan S. Chronic low-dose exposure to highly toxic gas phosgene and its effect on peak expiratory flow rate // Indian J. Occup. Environ. Med. 2022. V. 26 (3). P. 189–192. https://doi.org/10.4103/ijoem.ijoem_417_20
Қосымша файлдар




