Новая линия мезенхимных стволовых клеток, выделенная из вартонова студня пупочного канатика донора мужского пола
- Авторы: Кольцова А.М.1, Мусорина А.С.1, Турилова В.И.1, Шатрова А.Н.1, Яковлева Т.К.1, Полянская Г.Г.1
-
Учреждения:
- Институт цитологии РАН
- Выпуск: Том 66, № 4 (2024)
- Страницы: 341-354
- Раздел: Статьи
- URL: https://ogarev-online.ru/0041-3771/article/view/274471
- DOI: https://doi.org/10.31857/S0041377124040035
- EDN: https://elibrary.ru/QDCCGY
- ID: 274471
Цитировать
Полный текст
Аннотация
Получена и охарактеризована новая неиммортализованная фибробластоподобная клеточная линия, названная MSCWJ-3. Характеристики в процессе длительного культивирования (6–24 пассажи), подтверждают статус МСК. Показано: 1) постепенное увеличение доли стареющих клеток в процессе длительного культивирования; 2) значительное снижение индекса пролиферации к 24-му пассажу; 3) сохранение нормального диплоидного кариотипа мужчины (46, XY) в процессе всего срока культивирования, трисомия по разным аутосомам в единичных клетках, отсутствие структурных хромосомных перестроек; 4) высокая доля клеток, несущих поверхностные антигены, характерные для МСК: CD44, CD73, CD90, CD105, HLA-ABC и низкая – с антигенами CD34, CD45 и HLA-DR на протяжении 24 пассажей. Клетки линии MSCWJ-3 способны дифференцироваться в остеогенном и адипогенном направлениях на ранних и поздних пассажах; дифференцировка в хондрогенном направлении отсутствует. В целом отмечаются некоторые различия с ранее полученными линиями, выделенными из этого же источника и связанные, в основном, со степенью выраженности ряда статусных характеристик.
Полный текст
В настоящее время продолжается активное использование мезенхимных стволовых клеток (МСК) человека для биомедицинских исследований, связанных с широким спектром заболеваний (Alavi-Dana et al., 2023; Bruckner et al., 2023; Cui et al., 2023; Faria et al., 2023; Mou et al., 2023; Sousa et al., 2023; Turano et al., 2023; Ashoobi et al., 2024; Gorio et al 2024; Kanafi, Bronde, 2024) и расширяется спектр фундаментальных исследований, необходимых для понимания механизмов воздействия МСК на разные аномальные процессы в организме (Мусорина и др., 2023; Ashiba et al., 2023; Chen et al., 2023; Chopra et al., 2023; Drobiova et al., 2023; Hsu et al., 2023; Kim et al., 2023; Lifshagerd, Safari., 2023; Tan et al., 2023; Tomcy, Sindhu, 2023; Zhao et al., 2023; Fard et al., 2024; Mahmoodi et al., 2024; Poblano-Perez et al., 2024; Rojas et al., 2024; Sattar et al., 2024; Saxena et al., 2024; Selvaraj et al., 2024).
Важная задача клеточной биологии состоит в получении и сравнении между собой линий МСК человека, выделенных из разных источников, к которым относятся, в частности, одинаковые ткани от разных доноров. Актуальность таких исследований связана с особенностями взаимодействия клеток с их микроокружением, специфичным для конкретного донора (Poljanskaya et al., 2022).
МСК, независимо от источника получения, характеризуются рядом определенных (статусных) свойств (Dominici et al., 2006; Sensebé et al., 2010; Barkholt et al., 2013).
Данные литературы указывают на то, что степень выраженности статусных характеристик у линий МСК разная (Stanko et al., 2014; Topoluk et al., 2017; Полянская, 2018; Li et al., 2018; Jin et at., 2019; Мусорина и др., 2019, 2023; Ельцова и др., 2020; Semenova et al., 2021; Shin et al., 2021; Tai et al., 2021; Yigitbilek et al., 2021; Wu et al., 2022; Yi et al., 2022; Zou et al., 2022; Mert et al., 2023; Zhu et al., 2023).
Линии МСК, как неиммортализованные клеточные линии, в процессе длительного культивирования подвергаются репликативному старению (РС), которое является комплексным процессом и индуцировано генетическими и эпигенетическими изменениями (Poljanskaya et al., 2022). Исследования линий МСК, охарактеризованные на ранних и на поздних пассажах, позволяют расширить фундаментальные знания об этих линиях и регламентировать сроки использования разных линий в биомедицинских технологиях.
Привлекает внимание выделение МСК из тканей, получаемых без использования инвазивных процедур, в частности как побочного продукта оперативного вмешательства. К таким источникам МСК относятся, в частности, внезародышевые органы, десна, пульпа зуба, грудное молоко (Крылова и др., 2012, 2017; Кольцова и др., 2018, 2022; Rahmani-Moghadam et al., 2022). Одним из внезародышевых органов является пупочный канатик, состоящий из нескольких компартментов, включающих и Вартонов студень. Сравнительный анализ основных характеристик МСК из разных компартментов пупочного канатика показал, что МСК из Вартонова студня являются лучшим источником для использования в биомедицинских технологиях. (Conconi et al., 2011).
Ранее нами получены 2 линии (MSCWJ-1 и MSCWJ-2), выделенные из Вартонова студня пупочного канатика двух доноров (соответственно женского и мужского пола) и показано сходство основных статусных характеристик (Крылова и др, 2017; Кольцова и др., 2017). Исключение составили кариотипичекие различия – одна клональная перестройка в клетках MSCWJ-2 на раннем пассаже, вызвавшая ряд изменений в процессе РС. Поэтому цель настоящей работы заключалась в выделении еще одной линии из той же ткани донора мужского пола, подтверждения ее МСК-статуса, исследования ее в процессе РС и сравнении с ранее полученными линиями (MSCWJ-1 и MSCWJ-2).
МАТЕРИАЛ И МЕТОДИКА
Выделение клеток. Клетки были выделены из Вартонова студня пупочного канатика от донора мужского пола. Из фрагмента пупочного канатика (7–9 см в длину), тщательно отмытого от клеток крови в среде, содержащей гентамицин, стерильным одноразовым хирургическим скальпелем вырезали участок Вартонова студня, расположенного между двумя пупочными венами и артерией. Клетки выделяли ферментативным методом, который состоит в следующем: фрагмент Вартонова студня механически измельчали и инкубировали в диссоциирующем растворе, состоящем из 10 частей дезоксирибонуклеазы в концентрации 400 мкг/мл (Worthington, США) и 1 части коллагеназы I типа в концентрации 1 мг/мл (Worthington, США), в течение 30 мин при температуре 37о С при легком покачивании. Затем суспензию пропускали через нейлоновый фильтр с размером пор 70 мкм и осаждали центрифугированием при 400 g в течение 4 мин. Для элиминации оставшихся эритроцитов клетки в осадке обрабатывали лизирующим буфером ACK (Gibco, США) в течении 3–5 мин при комнатной температуре и трижды отмывали избытком среды DMEM/F12 (Gibco-Invitrogene, США) с использованием центрифугирования при 400 g в течение 4 мин. Полученные клетки высевали на чашки Петри [(5—6)×104 кл/см2] и культивировали в ростовой среде, содержащей 90% среды DMEM/F12 и 10% эмбриональной бычьей сыворотки (FBS) в условиях 5% СО2 при 37о С и влажности 90%. Среду меняли каждые 2–3 сут до образования 80%-ного конфлюента. Культивировали на протяжении 5 пассажей, получив в результате неиммортализованную клеточную линию, названную MSCWJ-3. Все характеристики этой линий получали на 6-м пассаже; динамику их изменений отслеживали при длительном культивировании (24 пассажа).
Микробиологический анализ подтвердил отсутствие бактериальной, грибковой и микоплазменной контаминации.
Репликативное старение клеток оценивали по активности фермента SA-β-галактозидазы на протяжении 24 пассажей. Клетки выращивали в чашках Петри 35 мм (Nunc, Дания) в течение 24 ч. Затем среду удаляли и окрашивали клетки с помощью набора реактивов (Senescence Cells Histochemikal Staining Kit, SIGMA, США), согласно инструкции. В реакционную смесь дополнительно вводили Hoechst 33342 (Invitrogene, США) для визуализации ядер. У клеток, вступающих в фазу РС, цитоплазма окрашивается в ярко синий цвет. Количественную оценку проводили с использованием программного обеспечения Mosaic 2.4 (Tucsen, Китай).
Характеристика пролиферативной активности. Эффективность клонирования клеточных линий определяли в чашках Петри в условиях редкого посева – не более 4 кл./см2 (120 кл. на 1 чашку 70 мм). Через 21 сут клетки окрашивали 1%-ным водным раствором кристалл-виолета и считали колонии. Эффективность клонирования (%) определяли как отношение числа выросших колоний (клонов) к числу посеянных клеток. Учитывали колонии, состоящие из не менее 50 клеток. Эффективность клонирования анализировали на 6-м, 16-м и 24-м пассажах.
Индекс пролиферации (ИП) определяли как отношение числа клеток в текущий момент Mt к исходному числу Mo посеянных клеток и строили кривые роста клеточных популяций согласно ИП в определенный момент. Среднее время одного удвоения клеточной популяции ao определяли по формуле (Седова, 2008): ao = = t ln2/ln (Mt /Mo), где t – время логарифмической фазы роста культуры. Для оценки среднего времени удвоения клеточной популяции каждый экспериментальный вариант повторяли 3 раза. Клетки считали клетки ежедневно на протяжении 144 ч. Анализировали пассажи 6, 16 и 24.
Кариотипический анализ полученной линии. Для получения препаратов метафазных хромосом за 2 ч до фиксации в культуру вводили колцемид (Demecolcine, 10 мкг/мл в растворе Хэнкса; Sigma, США) до конечной концентрации 0.1 мкг/мл, клетки снимали с поверхности чашки с помощью 0.05%-ного раствора трипсина с EDTA (Gibco, США), проводили гипотоническую обработку смесью 0.075 М раствора KSi и 1%-ного раствора цитрата натрия. Клетки фиксировали смесью метанола с ледяной уксусной кислотой (3:1). Для количественного кариотипического анализа препараты метафазных хромосом окрашивали водным раствором Гимза (1:50). Модальное число хромосом и пределы изменчивости клеток по числу хромосом определяли при анализе 100 метафазных пластинок; долю полиплоидных клеток оценивали при анализе 1000 метафазных пластинок.
Для структурного кариотипического анализа проводили дифференциальное G-окрашивание хромосом в соответствии с ранее описанной методикой (Ozkinay, Mitelman, 1979). Анализировали 100 метафаз. Клетки исследуемой линии анализировали на пассажах 6, 16, и 24. Кариотипы анализировали с помощью микроскопа Axio Imager.M1 (Carl Zeiss, ФРГ) с системой автоматического кариотипирования Ikaros 4 Karyotyping System (MetaSystems, Германия) и описывали в соответствии с Международной номенклатурой хромосом человека ISCN (McGowan-Jordan et al., 2016).
Иммунофлуоресцентный анализ. Для иммунофлуоресцентного анализа присутствия маркеров ранней дифференцировки в производные трех зародышевых листков использовали антитела против α-актинина (тест на мезодерму), α-фетопротеина (тест на энтодерму) (Sigma, США) и нестина (тест на эктодерму) (Santa Cruz Biotechnology, США). Клетки выращивали на покровных стеклах, фиксировали 10%-ным раствором формалина (Sigma-Aldrich, США) в течение 20 мин при комнатной температуре, пермеабилизовали 0.1%-ным раствором Тритона Х100 в течение 15 мин при комнатной температуре, неспецифичные сайты связывания антител блокировали 0.1%-ным раствором бычьего сывороточного альбумина (BSA; Sigma, США) в течение 1 ч при 37° С. Затем инкубировали с перечисленными выше антителами в течение ночи при 4° С. Все антитела разводили в соотношении 1:50. Для выявления локализации связанных с белками антител инкубировали препараты в течение 2 ч при 4° С с антителами против иммуноглобулинов мыши (FITC; Chemicon, США), разведенных в соотношении 1:500. Каждому этапу предшествовала трехкратная отмывка препаратов PBS, не содержащем ионов Са2+ и Mg2+ (“Биолот”, Россия). Для визуализации морфологии клеток (актинового цитоскелета) и их ядер препараты последовательно окрашивали родамин-фаллоидином (Invitrogen, США) в концентрации 0.1 мкМ/мл и Hoechst 33342 в концентрации 0.1 мкг/мл в течение 10 мин при комнатной температуре. В качестве отрицательного контроля использовали клетки, инкубированные только с антителами против иммуноглобулинов мыши (FITC; Chemicon, США). Визуализацию проводили с помощью лазерного сканирующего конфокального микроскопа OLYMPUS FV3000 (Япония). Анализ проводили на раннем 6-м пассаже.
Определение статуса МСК с помощью проточной цитофлуориметрии. Анализировали наличие поверхностных антигенов с помощью проточной цитофлуориметрии на цитометре Beckman Coulter (США). Экспрессию каждого маркера оценивали по результатам трех экспериментов для клеток, находящихся на пассажах 6, 16 и 25. Иммунофенотипирование полученных клеточных линий проводили с помощью панели конъюгатов CD-маркерных моноклональных антител с флуорохромами. В работе использовали моноклональные антитела против CD-34, HLA-ABC и HLA-DR (Caltac, США), CD-44, CD-73, CD-105 (Beckman Coulter, США), СD-90 (Chemicon, США). В качестве негативного контроля использовали очищенные мышиные антитела IgG1/FITC и IgG1/RFE (DAKO, Дания). Клетки снимали с поверхности чашки с помощью 0.05%-ного раствора трипсина с EDTA (Gibco, США) и отмывали от него раствором РВS, не содержащем ионов Са2+ и Mg2+ (“Биолот”, Россия). Полученную суспензию клеток (1 млн/мл) в PBS делили на пробы по 30 мкл, добавляли к каждой из них по 3 мкл антител и инкубировали при 4° С в течение 30 мин. Далее пробы доводили до оптимального объема (0.3–0.4 мл) буфером FACS (PBS, содержащий 1% BSA и 0.05% азида натрия).
Индукция остеогенной, адипогенной и хондрогенной дифференцировки для определения статуса МСК. Использовали модифицированный метод (Reyes et al., 2001). Клетки высевали на в культуральные чашки Петри диаметром 35 мм (50 000 клеток на 1 чашку). Через 1 сут меняли обычную ростовую среду на среду для адипогенной или остеогенной дифференцировок (StemPro, Gibco, США). Хондрогенную дифференцировку проводили в культуре микромасс в хондрогенной дифференцировочной среде (StemPro, Gibco, США). Индукцию проводили в течение 3 нед., меняя среду через каждые 7 сут.
Идентификацию остеогенной дифференцировки проводили с помощью выявления солей кальция двумя методами. 1. По модифицированному методу Мак–Ги–Рассела (Луппа, 1980): клетки однократно промывали PBS без ионов Ca2+ и Mg2+ и фиксировали 4%-ным раствором параформальдегида в течение 20 мин, окрашивали ализариновым красным (Alizarin Red Solution; Merck, Германия) в течение 5 мин при комнатной температуре; визуализацию окрашенных в оранжево-красный цвет отложений кальция проводили с помощью микроскопа Zeiss LSM 5 Pascal (Германия). 2. Для реакции Вон Косса: клетки фиксировали 2 мин в метаноле при –20° С и окрашивали 2%-ным раствором нитрата серебра (“Вектон”, Россия) в течение 1 ч под лампой мощностью 60 Вт. Окрашенные клетки промывали дистиллированной водой и помещали на 5 мин в 2.5%-ный раствор тиосульфата натрия. Затем клетки снова промывали водой и заливали 70%-ным глицерином. Визуализацию проводили с помощью микроскопа Zeiss LSM 5 Pascal (Германия).
Для идентификации адипогенной дифференцировки клетки промывали PBS без ионов Ca2+ и Mg2+, фиксировали в метаноле в течение 2 мин при –20° С. Фиксированные клетки промывали 50%-ным этанолом и окрашивали красным масляным (Oil Red O, Sigma, США) в течение 10 мин. Далее клетки промывали 50%-ным этанолом, затем дистиллированной водой и заливали 70%-ным глицерином. Визуализацию окрашенных в оранжево-красный капель жира проводили с помощью микроскопа Zeiss LSM 5 Pascal (Германия).
Для идентификации хондрогенной дифференцировки из сформированных микромасс готовили мазки на трех предметных стеклах, фиксировали их содержимое 4%-ным раствором параформальдегида в течение 20 мин. Далее каждый из мазков окрашивали в течение 30 мин при комнатной температуре 1%-ным раствором толуидинового синего в 50%-ном изопропаноле, или 0.1%-ным водным раствором сафранина, или 1%-ным раствором альцианового синего в 3%-ной уксусной кислоте (Sigma, США). Окрашенные мазки промывали дистиллированной водой, высушивали и монтировали под покровное стекло.
Идентификацию дифференцировок для линии MSCWJ-3 проводили на 6-м и 24-м пассажах.
Полученные в работе количественные результаты обрабатывали статистически с использованием t-критерия Стьюдента. Различия считали достоверными при вероятности нулевой гипотезы Р < 0.05.
РЕЗУЛЬТАТЫ И ОБСУЖДЕНИЕ
Морфологический анализ. Выделенные фибробластоподобные клетки культивировали в течение 24 пассажей. В результате получена линия, названная, согласно источнику получения, MSCWJ-3. Морфологический анализ этой линии показал однородность клеточных популяций со средними по размеру вытянутыми фибробластоподобными клетками на 6-м пассаже и существенно увеличенными по размеру вытянутыми клетками на 24-м пассаже (рис. 1).
Рис. 1. Морфология клеток линии MSCWJ-3 на пассажах 6 и 24. Прижизненные фотографии. Инвертированный световой микроскоп Nicon Eclipse TS100 (Япония). Масштабная линейка: 200 мкм.
Репликативное старение. Репликативное старение клеток MSCWJ-3 оценивали по активности фермента SA-β-галактозидазы (табл. 1). На пассажах 6 и 17 обнаружена небольшая доля стареющих клеток, а на пассаже 24 увеличивается доля окрашенных клеток, что свидетельствует о вступлении клеток в активную стадию РС. По времени вступления в активную стадию РС клетки MSCWJ-3 совпадают с ранее исследованной линией MSCWJ-1. Сравнение по этому показателю с другой линией, MSCWJ-2, свидетельствует о различиях: клетки MSCWJ-2 вступают в стадию активного РС значительно раньше, что, возможно, связано с наличием у них клональной хромосомной перестройки (Кольцова и др., 2017).
Таблица 1. Доля клеток с выраженной активностью β-галактозидазы (β-гал) в линии MSCWJ-3 в процессе длительного культивирования
Пассаж | Число клеток | Клетки с активностью β-гал,% |
6 | 1109 | 11.36 ± 0.95 |
17 | 1133 | 9.18 ± 0.86 |
24 | 1001 | 34.47 ± 1.50 |
Примечание. Показаны средние значения и их ошибки на 1000 клеток.
Ростовые характеристики. Анализ показал, что на 6-м пассаже эффективность клонирования клеток низкая и составляет 3.20 ± 1.31%. На 16-м и 24-м пассажах клоны не образуются. В линиях, выделенных из Вартонова студня пупочного канатика человека двух других доноров, уровень эффективности клонирования на раннем пассаже тоже низкий (Крылова и др. 2017). В целом анализ разных линий МСК свидетельствует, что клоногенная активность постепенно снижается вплоть до исчезновения в процессе РС (Szepesi et al., 2016; Кольцова и др., 2018, 2019, 2020; Мусорина и др., 2023).
Клеточная линия MSCWJ-3 на 6-м пассаже характеризуется активной пролиферацией (рис. 2). Индексы пролиферации (ИП) свидетельствуют о длительности логарифмической фазы роста, равной 72 ч (в интервале роста 24–96 ч). Средний ИП составляет 4.9. Среднее время одного удвоения клеточной популяции составляет 26.1 ± 0.4.
Рис. 2. Кривые роста клеток линии MSCWJ-3 на пассажах 6 (кривая 1), 16 (кривая 2) и 24 (кривая 3).
На 16-м пассаже ИП постоянно повышается от 72 до 120 ч, т.е. активная логарифмическая фаза составляет 72 ч (72–144) (рис. 2). Средний ИП составляет 4.4, т. е. существенной разницы между 6-м и 16-м пассажами по интенсивности пролиферации нет.
Среднее время одного удвоения клеточной популяции составляет 23.7 ± 0.2. Несмотря на очень небольшую разницу по времени удвоения между 6-м и 16-м пассажами, она достоверна (Р < 0.01). Таким образом, к 16-му пассажу пролиферативная активность несколько замедляется. Отметим, что, согласно табл. 1, заметные процессы РС еще не начались.
На 24-м пассаже в стадии активного РС (табл. 1) наблюдается существенное уменьшение ИП. Через 24 ч после посева ИП снижается из-за гибели клеток. Уровень ИП начинает превышать единицу только после 48 ч. Наблюдается тенденция к постепенному увеличению ИП в процессе культивирования от 72 до 144 ч; максимальный уровень его достигается к 144 ч, который уже значимо отличается от 72 ч (Р < 0.05). Активной логарифмической фазой роста можно условно считать 72 ч в период от 72 до 144 ч. Средний ИП составляет 1.5. Среднее время одного удвоения клеточной популяции составляет 64.5 ± 1.3 ч, что свидетельствует о значительном снижении пролиферативной активности в процессе РС. Сравнение по пролиферативной активности линии MSCWJ-3 с ранее полученными линиями MSCWJ-1 и MSCWJ-2 показало, что при длительном культивировании во всех трех линиях увеличивается среднее время удвоения клеточных популяций. Различия выражаются только степенью увеличения (Кольцова и др., 2017).
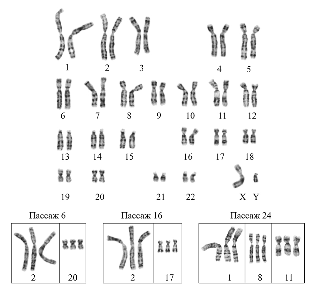
Кариотипический анализ вновь полученной линии MSCWJ-3, выделенной из Вартонова студня пупочного канатика донора мужского пола проведен на 6-м, 16-м и 24-м пассажах. Клетки сохраняли нормальный диплоидный кариотип мужчины (46, XY) на протяжении всего срока культивирования. Тем не менее при анализе 100 клеток на каждом исследуемом пассаже в единичных клетках были выявлены трисомии по разным аутосомам (рис. 3). Так, на пассаже 6 – трисомия по хромосоме 2 в одной клетке и трисомия по хромосоме 20 – в другой; на пассаже 16 – трисомия по хромосомам 2 и 17 также в двух разных клетках; на пассаже 24 – трисомия по хромосомам 1, 8 и 11 в трех разных клетках. Таким образом, доля трисомий на 100 клеток составила 2% на 6-м и 16-м пассаже по 2 клетки и 3% (3 клетки) на 24-м пассаже. В этих клетках было по 47 хромосом. Структурные хромосомные перестройки не были обнаружены ни на одном из исследованных пассажей. Доля полиплоидных клеток в популяции, оцененная по 1000 метафазных пластинок, составляла 2, 3.1 и 0.6% на пассажах 6, 16 и 24 соответственно.
Рис. 3. Кариотип клеточной линии MSCWJ-3. Нормальный кариотип: 46, XY. На врезках показаны трисомии по разным аутосомам, выявленные в единичных клетках с числом хромосом 47, на пассажах 6, 16 и 24.
Надо отметить, что трисомии в МСК встречаются редко. Ранее нами были проанализированы 19 линий МСК, выделенные из разных источников. 9 линий были проанализированы только на ранних пассажах, а 10 линий – на ранних и поздних пассажах, включая РС. Анализ 10 линий показал, что только в одной линии – ADH-MSC, выделенной из эпикардиальной жировой ткани человека в процессе аортокоронарного шунтирования, выявили трисомию на раннем и позднем пассажах (Мусорина и др., 2019). Имеющийся небольшой материал пока не позволяет делать выводы о систематическом появлении трисомий в линиях МСК в процессе длительного культивирования, включая активную стадию РС.
Иммунофлуоресцентный анализ. В полученной линии показано наличие маркеров ранней дифференцировки эмбриональных стволовых клеток в производные трех зародышевых листков (рис. 4). Идентифицированы следующие маркеры: α-актинин (маркер мезодермы), α-фетопротеин (маркер энтодерму). Нестин (маркер эктодермы) визуализировался в единичных клетках. Полученнные клетки MSCWJ-3 по маркерам мезодермы и энтодермы совпадают c ранее полученными MSCWJ-1 и MSCWJ-2 (Крылова и др., 2017). Есть много совпадений не только между линиями МСК, выделенными из одного органа, но и между линиями МСК разного происхождения (Riekstina et al., 2009; Кольцова и др, 2015, 2018, 2020, 2022, Мусорина 2019, 2023). Предположительно, функциональная роль этих маркеров связана либо с дифференцировочной пластичностью МСК, либо с эмбриональным происхождением МСК. Известно, что МСК могут дифференцироваться в производные всех трех зародышевых листков. Так, в наших работах показано, что в клеточных линиях, выделенных из пульпы зуба и десны, наблюдается экспрессия гена нейроспецифической элоназы (NSE), участвующего в нейрональной дифференцировке, соответствующей эктодермальному направлению (Кольцова и др., 2018, 2019). ПЦР-анализ в других исследованиях показал экспрессию нестина (эктодерма), TGF-P и GATA4 (мезодерма), PDX1 (эндодерма) в разных по происхождению линиях МСК (Huang et al., 2010; Antonucci et al., 2011; Mamidi et al., 2011).
Рис. 4. Идентификация маркеров ранней дифференцировки эмбриональных стволовых клеток человека в клетках линии MSCWJ-3 на 6-м пассаже по флуоресценции соответствующих моноклональных антител. Зеленым цветом показаны маркеры эктодермы (нестин), мезодермы (α-актинин), энтодермы (α-фетопротеин). Ядра окрашены Hoechst 33342. Масштабная линейка: 100 мкм.
Статус МСК. Поверхностные антигены полученной линии, оцененные с помощью проточной цитофлуориметрии, в целом подтвердили наличие у них статуса МСК (табл. 2). Так, на пассаже 6 большая доля клеток несет антигены CD44, CD73, CD90, CD105 и HLA- ABC, а малая – антигены CD34, CD45 и HLA-DR. В процессе РС на пассаже 16 все соотношение этих долей остается на том же уровне. В активной стадии РС на 25-м пассаже принципиальных изменений не наблюдали. Эти результаты одинаковы для разных линий МСК. (Полянская, 2018).
Таблица 2. Доли клеток линии MSCWJ-3 с разными поверхностными маркерами (%)
Маркер | Пассаж 6 | Пассаж 16 | Пассаж 25 |
CD44 | 99.92 ± 0.02 | 99.88 ± 0.09 | 98,24 ± 0.09 |
CD73 | 99.67 ± 0.74 | 86.19 ± 2.51 | 98.71 ± 0.08 |
CD90 | 99.96 ± 0.02 | 99.88 ± 0.15 | 98.24 ± 0.85 |
CD105 | 95.73 ± 1.75 | 99.17 ± 0.70 | 91.26 ± 3.19 |
HLA-ABC | 62.86 ± 1.32 | 99.52 ± 0.12 | 92.00 ± 3.15 |
HLA-DR | 0.14 ± 0.06 | 0.39 ± 0.06 | 0.92 ± 0.27 |
CD45 | 0.54 ± 0.02 | 0.28 ± 0.07 | 0.87 ± 0.26 |
CD34 | 1.63 ± 0.25 | 0.63 ± 0.10 | 3.17 ± 0.87 |
Примечание. Показаны средние значения и их ошибки из трех экспериментов.
Остеогенная, адипогенная и хондрогенная дифференцировки. Результаты анализа дифференцировочного потенциала в клеточной линии MSCWJ-3 представлены на рис. 5 и свидетельствуют об активной адипогенной дифференцировке на 6-м пассаже и ее ослаблении на 24-м пассаже. Наблюдается и активная остеогенная дифференцировка на пассаже 6, идентифицированная по окраске ализариновым красным и реакция Вон Косса. На 24-м пассаже эта дифференцировка значительно слабеет. Хондрогенная дифференцировка, индуцированная при культивировании клеток в микромассе, отсутствовала полностью и на раннем и позднем пассажах (не показано).
Рис. 5. Визуализация дифференцировки клеток линии MSCWJ-3 в адипогенном и остеогенном направлении на пассажах 6 и 24. Жировые включения (адипогенная дифференцировка) окрашены масляным красным (масштабная линейка: 100 мкм), соли кальция в межклеточном пространстве выявлены окраской ализариновым красным и реакцией Вон Косса (масштабная линейка: 200 мкм).
Следует отметить, что в большинстве случаев на ранних пассажах имеют место все три дифференцировки. Но, тем не менее, встречаются исключения, когда проявляются две дифференцировки. Так, нами и рядом других авторов обнаружено отсутствие адипогенной дифференцировки на раннем пассаже линии МСК, выделенной из пульпы зуба, (Zhang et al., 2006; Sonoyama et al., 2008; Кольцова и др., 2018; Monterubbianesi et al., 2019). Данные об отсутствии хондрогенной дифференцировки в линии, выделенной из Вартонова студня пупочного канатика, получены впервые. В двух ранее полученных линиях, MSCWJ-1 и MSCWJ-2, выделенных из этой же ткани, но от разных доноров, на ранних пассажах присутствовали все три дифференцировки (Крылова и др. 2017). Причины этих различий пока неясны. Основываясь на результатах других исследований, можно предположить, что условия культивирования или гетерогенность клеточных популяций могут влиять на уровень дифференцировки (Chen et al., 2023; Hatori et al., 2023; Hsu et al., 2023; Sattar et al., 2024). Можно предположить, что и в данном случае имеет место одна из этих причин. В нашем ранее проведенном исследовании трех популяций клеток, выделенных из одной линии эмбриональных стволовых клеток человека (линия SC7), показано, что все три выделенные клеточные популяции принципиально различаются между собой по дифференцировочному потенциалу (Кольцова и др., 2022).
В целом, анализ всех статусных характеристик линии MSCWJ-3, выделенной из Вартонова студня пупочного канатика донора мужского пола и сравнение их с ранее полученными двумя линиями этого же происхождения, свидетельствует о том, что, несмотря на ряд различий между ними, линия MSCWJ-3, как и ранее полученные MSCWJ- 1 и MSCWJ-2 соответствует статусу МСК (Крылова и др. 2017; Кольцова и др., 2017). Межлинейные различия связаны, в основном, со степенью выраженности ряда статусных характеристик. Причем наибольшие различия наблюдаются между вновь полученной линией MSCWJ-3 и линией MSCWJ-2, что, по-видимому, связано с наличием на ранних пассажах клеток линии MSCWJ-2 клональной хромосомной перестройки, которая, возможно, влияет и на наступление в этой линии ранней активной стадии РС. Также надо подчеркнуть, что сравнение трех полученных линий свидетельствует об отсутствии гендерных различий по статусным характеристикам, что совпадает с ранее полученными сравнительными данными по разным МСК, выделенных из пульпы зуба (Мусорина и др., 2023).
ФИНАНСИРОВАНИЕ РАБОТЫ
Работа выполнена в рамках госзадания (№ АААА-А19-119020-190093-9) Института цитологии РАН и поддержана Министерством науки и высшего образования РФ по проекту 15.БРК.21.0011 (соглашение № 075-15-2021-1063).
СОБЛЮДЕНИЕ ЭТИЧЕСКИХ СТАНДАРТОВ
Все процедуры, выполненные в исследовании с участием людей, соответствуют этическим стандартам институционального и/или национального комитета по исследовательской этике и Хельсинкской декларации 1964 года и ее последующим изменениям или сопоставимым нормам этики. От пациентки, являющейся донором ткани, было получено подписанное информированное добровольное согласие на предоставление гистологического материала для проведения научных исследований.
Об авторах
А. М. Кольцова
Институт цитологии РАН
Автор, ответственный за переписку.
Email: koltsova.am@mail.ru
Россия, Санкт-Петербург
А. С. Мусорина
Институт цитологии РАН
Email: koltsova.am@mail.ru
Россия, Санкт-Петербург
В. И. Турилова
Институт цитологии РАН
Email: koltsova.am@mail.ru
Россия, Санкт-Петербург
А. Н. Шатрова
Институт цитологии РАН
Email: koltsova.am@mail.ru
Россия, Санкт-Петербург
Т. К. Яковлева
Институт цитологии РАН
Email: koltsova.am@mail.ru
Россия, Санкт-Петербург
Г. Г. Полянская
Институт цитологии РАН
Email: gpolanskaya@gmail.com
Россия, Санкт-Петербург
Список литературы
- Кольцова А.М., Зенин В.В., Петросян М.А., Турилова В.И., Яковлева Т.К., Полянская Г.Г. 2020. Получение и характеристика линий мезенхимных стволовых клеток, выделенных из разных областей плаценты одного донора. Цитология. Т. 62. № 9. С. 713. (KoltsovaA.M., Zenin V.V., PetrosyanM.A., Turilova V.I., Yakovleva T.K., Poljanskaya G.G. 2021. Isolation and characterization of Mesenchymal Stem Cell Line Derived from different regions of the placenta of the same donor. Cell Tiss. Biol. V. 15. P. 356.) https://doi.org/10.31857/S0041377120090035
- Кольцова А.М., Зенин В.В., Турилова В.И., Яковлева Т.К., Полянская Г.Г. 2018. Получение и характеристика линии мезенхимных стволовых клеток, выделенных из пульпы молочного зуба человека. Цитология. Т. 60. № 12. С. 955. (KoltsovaA.M., Zenin V.V., Turilova V.I., Yakovleva T.K., Poljanskaya G.G. 2018. The derivation and characterization of mesenchymal stem cell line, isolated from human pulp of a deciduous tooth. Tsitologiya. V. 60. P. 955.) https://doi.org/10.1134/S0041377118120015
- Кольцова А.М., Зенин В.В., Турилова В.И., Яковлева Т.К., Полянская Г.Г. 2019. Получение и характеристика линии мезенхимных стволовых клеток, выделенной из десны человека. Цитология. T. 61. № 8. С. 658. (Koltsova A.M., Zenin V.V., Turilova V.I., Yakovleva T.K., Poljanskaya G.G. 2019. The derivation and characterization of mesenchymal stem cell line, isolated.)
- Кольцова А.М., Зенин В.В., Яковлева Т.К., Полянская Г.Г. 2015. Характеристика новой линии мезенхимных стволовых клеток, выделенных из эмбриональных стволовых клеток человека. Цитология. Т. 57. № 11. С. 761. (Koltsova A.M., Zenin V.V., Yakovleva T.K., Poljanskaya G.G. 2015. Сharacteristics of new mesenchymal stem cell line derived from human embryonic stem cells. Tsitologiya. V. 57 P. 761. from human gingival. Tsitologiya. V. 61. P. 658.) https://doi. 10.1134/S0041377119080029
- Кольцова А.М. Крылова Т.А., Мусорина А. С., Зенин В.В., Турилова В. И., Яковлева Т. К., Полянская Г.Г. 2017. Динамика свойств двух линий мезенхимных стволовых клеток, полученных из Вартонова студня пупочного канатика человека, при длительном культивировании. Цитология. Т. 59. № 9. С. 574. (Koltsova A.M., Krylova T.A., Zenin V.V., Turilova V.I., Yakovleva T.K., Poljanskaya G.G. 2017. Dynamics properties of two lines of mesenchymal stem cells, derived from the Wharton’ jelly of the human umbilical cord, during long-term cultivation. Tsitologiya. V. 59. P. 574.)
- Крылова Т.А., Кольцова А.М., Зенин В.В, Мусорина А.С., Яковлева Т.К., Полянская Г.Г. 2012. Сравнительные характеристики новых линий мезенхимных стволовых клеток, полученных из эмбриональных стволовых клеток, костного мозга и крайней плоти человека. Цитология. 54. № 1. С. 5. (Krylova T.A., Koltsova A.M. Zenin V.V., Musorina A.S., Yakovleva T.K., Poljanskaya G.G. 2012. Comparative characteristics of new mesenchymal stem cell lines derived from human embryonic stem cells, bone marrow and foreskin. Tsitologiya. V. 54. P. 5)
- Крылова Т.А., Кольцова А.М., Мусорина А.С., Зенин В.В., Турилова В.И., Яковлева Т.К., Полянская Г.Г. 2017. Характеристика двух линий мезенхимных стволовых клеток, полученных из Вартонова студня пупочного канатика человека. Цитология. Т. 59. № 5. С. 315. (Krylova T.A., Koltsova A.M., Musorina A.S., Zenin V.V., Turilova V.I., Yakovleva T.K., Poljanskaya G.G. 2017. Derivation and characteristic of two lines of human mesenchymal stem cells, generated from the Wharton’s jelly of the human umbilical cord. Tsitologiya. V. 59. P. 315.)
- Луппа Х. 1980. Методы гистохимического выявления неорганических веществ. В кн.: Основы гистохимии. Москва: Мир. С. 267. (Luppa X. 1980. Methods for histochemical detection of inorganic substances. In: Fundamentals of histochemistry. Moscow: Mir. P. 267.)
- Мусорина А.С., Зенин В.В., Турилова В.И., Яковлева Т.К., Полянская Г.Г. 2019. Характеристика неиммортализованной линии мезенхимных стволовых клеток, выделенных из эпикардиальной жировой ткани человека. Цитология. Т. 61. № 4. С. 272. (Musorina A.S., Zenin V.V., Turilova V.I., Yakovleva T.K., Poljanskaya G.G. 2019. a Rzat of a nonimmortalized mesenchymal stem cell line isolatedfrom human epicardial adipose tissue. Cell Tiss. Biol. V. 13. P. 247.)
- Мусорина А.С., ТуриловаВ.И., Шатрова А.Н., Яковлева Т.К., Полянская Г.Г. 2023. Получение и сравнительная характеристика линий мезенхимных стволовых клеток, выделенных из пульпы молочного зуба детей разного возраста. Цитология Т. 65. № 5. С. 420. (Musorina A.S., Shatrova A.N., Turilova V.I., Yakovleva T.K., Poljanskaya G.G. 2019. The derivation and comparative characterization of mesenchymal stem cell lines, isolated from human pulp of a deciduous tooth of children of different sexes. Tsitologiya. V. 65. P. 420.)
- Полянская Г.Г. 2018. Сравнительный анализ характеристик линий мезенхимных стволовых клеток человека, полученных в коллекции культур клеток позвоночных (обзор). Сб. «Клеточные культуры», Т. 34. C. 3. (Poljanskaya G.G. 2018. Comparative analysis of the lines of human mesenchymal stem cells derived in the collection of cell cultures of vertebrates (review). Collection «Cell cultures». V. 34. P. 3.)
- Седова Г.П. 2008. Количественные аспекты злокачественного роста. Математическая морфология. Электронный математический и медико-биологический журнал. Т. 7. № 2. (Sedova G. P. 2008. Quantitative aspects of malignant body height. Mathematical morphology. Electronic Math. Medicobiol. J. V. 7.)
- http://sgma.alpha-design.ru/MMORPH/N-18-html/sedova/sedova.htm
- Alavi-Dana S., Gholami Y., Meghdadi M., Fadaei S., Askari V. 2023. Mesenchymal stem cell therapy for COVID-19 infection. Inflammopharmacol. V. 32. P. 1. https://doi.org/10.1007/s10787-023-01394-8
- Antonucci I., Stuppia L., Kaneko Y., Yu S., Tajiri N., Bae E.C., Chheda S.H., Weinbren N.L., Borlongan C.V. 2011. Amniotic fluid as rich source of mesenchymal stromal cells for transplantation therapy. Cell Transplant. V. 20. P. 789. https://doi.org/10.3727/096368910x539074
- Ashiba K., Mino K., Okido Y., Sato K., Kawakami H. 2023. Senescence recovering by dual drug-encapsulated liposomal nanoparticles for large-scale humancell expansion. J. Artif. Organs V. 26. P. 246. https://doi.org/10.1007/s10047-022-01356-x
- Ashoobi M., Hemmati H., Aghayan H., Zarei-Behjani Z., Keshavars S., Babaloo H., Maroufizadeh S., Yousefi S., Farzin M., Vojoudi E. 2024. Wharton’s jelly mesenchymal stem cells transplantation for critical limb ischemia in patients with type 2 diabetes mellitus: A preliminary report of phase 1 clinical trial. Cell Tissue Res. V. 395. P. 211. https://doi.org/10.1007/s00441-023-03854-7
- Barkholt L., Flory E., Jekerle V., Lucas-Samuel S., Ahnert P., Bisset L., Buscher D., Fibbe W., Foussat A., Kwa M., Lantz O., Maciulaitis R., Palomaki T., Schneider C.K., Sensebe L., Tachdjian G., Tarte K., Tosca L., Salmikangas P. 2013. Risk of tumorigenicity in mesenchymal stromal cell-based therapies – bridging scientific observations and regulatory viewpoints. Cytother. V. 15. P. 753. https://doi.org/10.1016/j.jcyt.2013.03.005
- Bruckner S., Capria V, Zeno B., Leblebicioglu B., Goyal K., Vasileff W., Avan H., Willis W., Ganesan L., Jarjour W. 2023. The therapeutic effects of gingival mesenchymal stem cells and their exosomes in a chimeric model of rheumatoid arthritis. Arthritis Res. Ther. V. 25. P. 211. https://doi.org/10.1186/s13075-023-03185-6
- Chen Y., Wang X., Wu Z., Jia S., Wan M. 2023. Epigenetic regulation of dental-derived stem cells and their application in pulp and periodontal regeneration. Biochem., Biophys. Mol. Biol. V. 11: e14550. https://doi.org/10.7717/peerj14550
- Chopra H., Cao C., Sommer C., Dahlkemper A., Sugai J., Sherley J., Kaigler D. 2023. Quantification of the culture stability of stem cell fractions from oral-derived, human mesenchymal stem cell preparations: A significant step towards the clinical translation of cell therapies. Cells. V. 12. P. 2703. https://doi.org/10.3390/cells12232703
- Conconi M.T., Di Liddo R., Tommasini M., Calore C., Parnigotto P.P. 2011. Phenotype and differentiation potential of stromal populations obtained from various zones of human umbilical cord: an overview. J. Open Tiss. Eng. Reg. Med. V. 4. P. 6.
- Cui E., Lv Lu.,Chen W., Chen Na., Pan R. 2023. Mesenchymal stem/stromal cell-based cell-free therapy for the treatment of acute lung injury. J. Cell. Ther. V. 124. P. 1241. https://doi.org/10.1002/jcb.30469
- Dominici M., Le Blanc K., Mueller I., Slaper-Cortenbach I., Marini F., Krause D., Deans R., Keating A., Prockop Dj., Horwitz E. 2006. Minimal criteria for defining multipotent mesenchymal stromal cells. Int. Soc. Cell. Ther. Position Statement. Cytother. V. 8. P. 315. https://doi.org/10.1080/14653240600855905
- Drobiova H., Sindhu S., AhmadR., HaddadD., Al-Mulla F., Madhoun A. 2023; Wharton’s jelly mesenchymal stem cells: a concise review of their secretome and prospective clinical application. Front. Cell Dev. Biol. V. 11: 1211217. https://doi.org/10.3389/fcell.2023.1211217
- Fard A., Leeson H., Aguado J., Pietrogrande G., Power D., Gomez-Inclan C., Zheng H., Nelson, Soheilmjghaddam F., Glass N., Dharmaratne M., Watson E., Lu J., Martin S., Pickett H., Coope-White J., Wolvetang E., Mar J. 2024. Deconstructing heterogeneity of replicative senescence in human mesenchymal stem cells at single cell resolution. V. 46. P. 999. https://doi.org/10.1007/s11357-023-00829-y
- Faria J., Cervera S., Skovronova R., Broeksma B., Berends A., Zaal E., Bussolati B., O’ Brien T., Michaila S., Masereeuw R. 2023. Mesenchymal stromal cells secretome restores bioenergetic and redox homeostasis in human proximal tubule cells after ischemic injury. Stem Cell Res. V. 14. P. 353. https://doi.org/10.1186/s13287-023-03563-6
- Gorio A., Gao H., Klinger M., Vinci V., Paino F. 2024. Mechanically activated adipose tissue as a source for novel therapies in neurological disease/injury. Curr. Stem Cell Res. Ther. V. 19. P. 688. https://doi.org/10.2174/1574888X1866623060 5120546
- Jin Q., Yuan K., Lin W., Niu C., Ma R., Huang Z. 2019. Comparative characterization of mesenchymal stem cells from human dental pulp and adipose tissue for bone regeneration potential. Artif. Cells Nanomed. Biotechnol. V. 47. P. 1577. https://doi.org/10.1080/21691401.2019.1594861
- Hatori A., Yamakawa D., Al-Maaw Si., Dohle E., Chikira J., Fujii Y., Miki M., Sader R., Chikazu, Ghanaati S., Kawase-Koga Y. 2023. Platelet-Rich fibrin-conditioned medium as an alternative to fetal bovine serum promotes osteogenesis of human dental pulp stem cells. Bioengineering V. 10. P. 1196.
- Hsu Y-H., Chen C-N., Chang H-I., Tsai H-L., Chang Y-H., Cheng I-S., Yang Y-S., Huang K-Y. 2023. Manipulation of osteogenic and adipogenic differentiation of human degenerative disc and ligamentum flavum derived progenitor cells using IL-ip, IL-19 and IL-20. Eur. Spine J. V. 32. P. 3413. https://doi.org/10.1007/s00586-023-07878-z
- Huang H.I., Chen S.K., Ling Q.D., Chien C.C., Liu H.T., Chan S.H. 2010. Multilineage differentiation potential of fibroblast-like stromal cells derived from human skin. Tiss. Eng. A. V. 16. P. 1491. https://doi.org/10.1089/ten TEA.2009.0431
- Kanafi M. and Bronde R. 2024. Diverse approaches toward application of dental pulp stem cells from human permanent and deciduous teeth in the treatment of diabetes. Curr. Diabetes Rev. V. 20: e210323214822. https://doi.org/10.2174/1573399819666230321120734
- Kim S., Kwon S., Chung S., Lee E., Park S., Choi J. Oh S., Ryu G., Jeon H., Chang J . 2023. Nervonic acid inhibits replicative senescence of human Wharton’s Jelly-derived mesenchymal stem cells. Int. J. Stem Cells. V. 17. P. 80. https://doi.org/10.15283/ijsc23101
- Li J., Xu S-Q., Zhao Y-M, Yu S., Ge L-H., Xu B-H. 2018. Comparison of the biological characteristics of human mesenchymal stem cells derived from exfoliated deciduous teeth, bone marrow, gingival tissue, and umbilical cord. Mol. Med. Rep. V. 18. P. 4969. https://doi.org/10.3892/mmr.2018.9501
- Lifshagerd M., Safari F. 2023. Therapeutic effects of hAMSCs secretome on proliferation of MDA-MB-231 breast cancer cells by the cell cycle arrest in G1/S phase. Clin. Transl. Oncol. V. 25. P. 1702. https://doi.org/10.1007/s12094-022-03067-4
- McGowan-Jordan J., Simons A., Schmid M. 2016. An international system for human cytogenetic nomenclature. Basel: S. Karger. 140 p.
- Mahmoodi M., Cheraghi E., Riahi A. 2024. The effect of Warton’s Jelly-derived conditioned medium on the in vitro maturation of immature oocytes, embryo development and genes expression involved apoptosis. Reprod. Sci. V. 31. P. 190. https://doi.org/10.1007/s43032-023-01345-2
- Mamidi M.K., Pal R., Mori N.A., Arumugam G., Thrichelvam S.T., Noor P.J., Abdullah H.M., Gupta P.K., Das A.K., Zakaria Z., Bhonde R. 2011. Co-culture of mesenchymal-like stromal cells derived from human foreskin permits long term propagation and differentiation of human embryonic stem cells. J. Cell Biochem. V. 112. P. 1353. https://doi.org/10.1002/jab.23052
- Mert S., Malyaran H., Craveiro R., Wolf M., Modabber A., Jahnen-Dechent W., Neuss S. 2023. Comparative analysis of proliferative and multilineage differentiation potential of human periodontal ligament stem cells from maxillary and mandibular molars. J. Periodontal. V. 94. P. 882. https://doi.org/10.1002/JPER.22-0706
- Monterubbianesi R., Bencun M., Pagella P., Woloszyk A., Orsini G., Mitsiadis T.A. 2019. A comparative in vitro study of the osteogenic and adipogenic potential of human dental pulp stem cells, gingival fibroblasts and foreskin fibroblasts. Sci. Rep. V. 9. P. 1761.
- Mou C., Wang X., Li W., Li Z., Liu N., Xu Y., 2023. Efficacy of mesenchymal stromal cells intraspinal transplantation for patients with different degrees of spinal cord injury: A systematic review and meta-analysis. Cytotherapy. V. 25. P. 530. https://doi.org/10.1016/jjcyt.2023.01.012
- Ozkinay C., Mitelman F. 1979. A simple trypsin-Giemsa technique producing simultaneous Gand C-banding in human chromosomes. Hereditas. V. 90. P. 1. https://doi.org/10.1111/j.1601-5223.1979.tb01287.x
- Poblano-Perez L., Casto-Manrreza, Gonzalez-Alva P., Fajardo-Orduna G., Montesinos J. 2024. Mesenchymal stromal cells derived from dental tissues: Immunomodulatory properties and clinical potencial. Int. J. Mol. Sci. V. 25. P. 1986. https://doi.org/10.3390/ijms25041986
- Poljanskaya G., Bobkov D., Koltsova A., Musorina A., Mikhailova N. 2022. Creation, working principles, development of applied and scientific activities of the Collection of Cell Cultures of Vertebrate. (review). Biol. Communs. V 67. P 312. https://doi.Org/10.21638./spbu03.2022.406
- Rahmani-Moghadam E., Zarrin V., Mahmoodzadeh A., Owrang M., Talaei-Khozani T. 2022. Comparison of the characteristics of Breast Milk derived stem cells with the stem cells derived from the other sources: a comparative review. Curr. Stem Cell Res. Ther. V. 17. P. 71. https://doi.org/10.2174/1574888X16666210622 125309
- Reyes M., Lund T., Lenvik T., Aguiar D., Koodie L., Verfaillie C.M. 2001. Purification and ex vivo expansion of postnatal human marrow mesodermal progenitor cells. Blood. V. 98. P. 2615. https://doi.org/10.1182/blood.v98.9.2615
- Riekstina U., Cakstina I., Parfejevs V., Hoogduijn M., Jankovskis G., Muiznieks I., Muceniece R., Ancans J. 2009. Embryonic stem cell marker expression pattern in human mesenchymal stem cells derived from bone marrow, adipose tissue, heart and dermis. Stem Cell Rev. V. 5. P. 378. https://doi.org/10.1007/s12015-009-9094-9
- Rojas J., Munerala L., Mira S. 2024. Comparison between platelet lysate, platelet lysate serum and Fetal bovine serum as supplements for cell culture, expansion, and cryopreservation. Biomedicines. V. 12. P. 140. https://doi.org/10.3390/biomedicines12010140vedi
- Sattar M., Lingens L., Guillaume V., Goetzl R., Beier J., Ruhl T. 2024. Association between donor age and osteogenic potencial of human adipose stem cells in bone tissue engineering. V. 46. P. 1424. https://doi.org/10.3390/cimb46020092
- Saxena P., Srivastava J., Rai B., Tripathy N., Raza S., Sinha R., Gupta R., Yadav S., Nityanand S., Chaturvedi C. 2024. Elevated senescence in the bone marrow mesenchymal stem cells of acquired aplastic anemia patients: a possible implication of DNA damage responses and telomere attrition. Biochim. Biophys. Acta Mol. Basis Dis. V. 1870: 167025. https://doi.org/10.1016/_j.bbadis.2024.167025
- Selvaraj S., Rupert S., Nandabalan S., Anbalagan C., Rajaram P., Satyanesan J., Vennila R., Rajagopal S. 2024. Effect of cell-derived matrices on growth and differentiation of human Wharton’s Jelly-derived mesenchymal stem cells. Cells Tissues Organs. V. 213. P. 67. https://doi.org/10.1159/000526153
- Semenova E., Grudniak M. P., Machaj E.K., Bocian K., Chroscinska-Krawczyk M., Trochonowicz I.M.M.K.E.D T.J.T.N. 2021. Mesenchymal stromal cells from different parts of umbilical cord: approach to comparison and characteristics. Stem Cell Rev. Rep. V. 17. P. 1780.
- Sensebé L., Krampera M., Schrezenmeier H., Bourin P., Giordano R 2010. Mesenchymal stem cells for clinical application. Vox Sang. V. 98. P. 93. https://doi.org/10.1111/j.1423-0410.2009.01227.x
- Shin S.., Lee J.., Kwon Y., Park K-S. Jeong J-H., Choi S-J., Bang S.J.,C. 2021. Comparative proteomic analysis of the mesenchymal stem cells secretome from adipose, bone marrow, placenta and Wharton’s jelly. Int. J. Mol. Sci. V. 22: 845.
- Sonoyama W., Liu Y., Yamaza T., Tuan RS., WangS., Shi S., Huang G.T. 2008. Characterization of the apical papilla and its residing stem cells from human immature permanent teeth: a pilot study. J. Endod. V. 34. P. 166. https://doi.org/10.1016/j.joen.2007.11.021
- Sousa A., Coelho P., Leite F., Teixeira C., Rocha A., Santos I., Baylina P., Fernandes R., Soares R., Costa R, Gomes A. 2023. Impact of umbilical cord mesenchymal stromal/stem cell secretome and cord blood serum in prostate cancer progression. Hum. Cell. V. 36. P. 1160. https://doi.org/10.1007/s13577-023-00880-z
- Stanko P., Kaiserova K., Altanerova V., Altaner C. 2014. Comparison of human mesenchymal stem cells derived from dental pulp, bone marrow, adipose tissue, and umbilical cord tissue by gene expression. Bio. Pap. Med. Fac. Univ. Palacky Olomouc Czech Repub. V. 158. P. 373. https://doi.org/10.5507/bp.2013.078
- Szepesi A., Manila Z., Szigeti A., Varady G., Szalma J., Szabo G., Ghur F., Sarkadi B., Nemet K. 2016. In vitro characterization of human mesenchymal stem cells isolated from different tissues with a potential to promote complex bone regeneration. Stem Cells Int. V. 2016: 3595941. https://doi.org/10.1155/2016/3595941
- Tai C., Wang L., Xie Y., Gao T., Huang F., WangB. 2021. Analysis of key distinct biological characteristics of human placenta-derived mesenchymal stromal cells and individual heterogeneity attributing to donors. Cell Tiss. Organs. V. 210. P. 45. https://doi.org/10.1159/000513038
- Tan S., Aisyah P., Firmansyah Y., Nathasia N., Budi E., Hendrawan S. 2023. Effectiveness of secretome from human umbilical cord mesenhymal stem cells in gel (10%) SM- hUCMSC Gel) for chronic wounds (Diabetic and Trophic Ulcer) – Phase 2 Clinical trial. J. Multidiscip Healthc. V. 16. P. 1763. https://doi.org/10.2147/JMDH>S408162
- Tomcy T.A., Sindhu E. 2023. Mesenchymal stem cells- an excellent therapeutic agent for cancer. Asia Pac. J. Clin. Oncol. V. 20. P. 7. https://doi.org/10.1111/ajco.13969
- Topoluk N., Hawkins R., Tokish J., Mercuri J. 2017. Amnionic mesenchymal stromal cells exhibit preferential osteogenic and chondrogenic differentiation and enhanced matrix production compared with adipose mesenchymal stromal cells. Am. J. Sports Med. V. 45. P. 2637. https://doi.org/10.1177/0363546517706138
- Turano E., Scambi I., Virla F., Bonetti B., Mariotti R. 2023. Extracellular vesicles from mesenchymal stem cells: towards novel therapeutic strategies for neurodegenerative diseases. Int. J. Mol. Sci. V. 24. P. 2917. https://doi.org/10.3390/ijms24032917
- Wu W., Zhou J., Xu C-T., Zhang J., Jin Y-J., Sun G-L. 2022. Derivation and growth characteristics of dental pulp stem cells from patients of different ages. Mol. Med. Rep. V. 12. P. 5127. https://doi.org/10.3892/mmr.2015.4106
- Yi X., Liu F., Chen F., Wang Y., Gao Y. 2022. Comparison of biological characteristics of placenta mesenchymal stem cells derived from fetus. Chin. J. Biotechnol. V. 38. P. 1183. https://doi.org/10.13345Zj.cjb.210244
- Yigitbilek F., Conley S.M., Tang H., Saadiq I.M., Jordan K.L., Lerman L.O: Taner T. 2021. Comparable in vitro function of human liver-derived and adipose tissue-derived mesenchymal stromal cells: Implications for cell-based therapy. Front Cell Dev. Biol. V. 9: 641792. https://doi.org/10.3389/fcell.2021.641792
- Zhang W., Walboomers X.F., Shi S., Fan M., Jansen J.A. 2006. Multilineage differentiation potential of stem cells derived from human dental pulp after cryopreservation. Tissue Eng. V. 12. P. 2813. https://doi.org/10. 1089/ten.2006.12.2813
- Zhao Q., Larios K., Naaldijk Y., Sherman L., Chemerinski A., Okereke K., Rameshwar P., Lemenze A., Douglas N., Morelli S. 2023. Mesenchymal stem cell secretome alters gene expression and upregulates motility of human endometrial stromal cells. Reproduction. V. 166. P. 161. https://doi.org/10.1530/REP-22-0485
- Zhu X., Xu X., Shen M., Wang Y., 2023. Transcriptomic heterogeneity of human mesenchymal stem cells derived from bone marrow, dental pulp, adipose tissue and umbilical cord. Cell Reprogram. V. 25. P. 162. https://doi.org/10.1089/cell.2023.0019
- Zou D., Vigen M., Putman A., Cao C., Tarle S., Guinn T., Kaigler D. 2022. Phenotypic, trophic, and regenerative properties of mesenchymal stem cells from different osseous tissues. Cell Tiss. Res. V. 388. P. 75. https://doi.org/10.1007/s00441-021-03563-z
Дополнительные файлы







