Decellularized Extracellular Matrix Retards Premature Senescence of Human Endometrial Mesenchymal Stromal Cells
- Авторлар: Burova E.B.1, Perevoznikov I.E.1, Ushakov R.E.1
-
Мекемелер:
- Institute of Cytology, Russian Academy of Sciences
- Шығарылым: Том 65, № 6 (2023)
- Беттер: 573-582
- Бөлім: Articles
- URL: https://ogarev-online.ru/0041-3771/article/view/232811
- DOI: https://doi.org/10.31857/S0041377123060044
- EDN: https://elibrary.ru/QLQEKJ
- ID: 232811
Дәйексөз келтіру
Толық мәтін
Аннотация
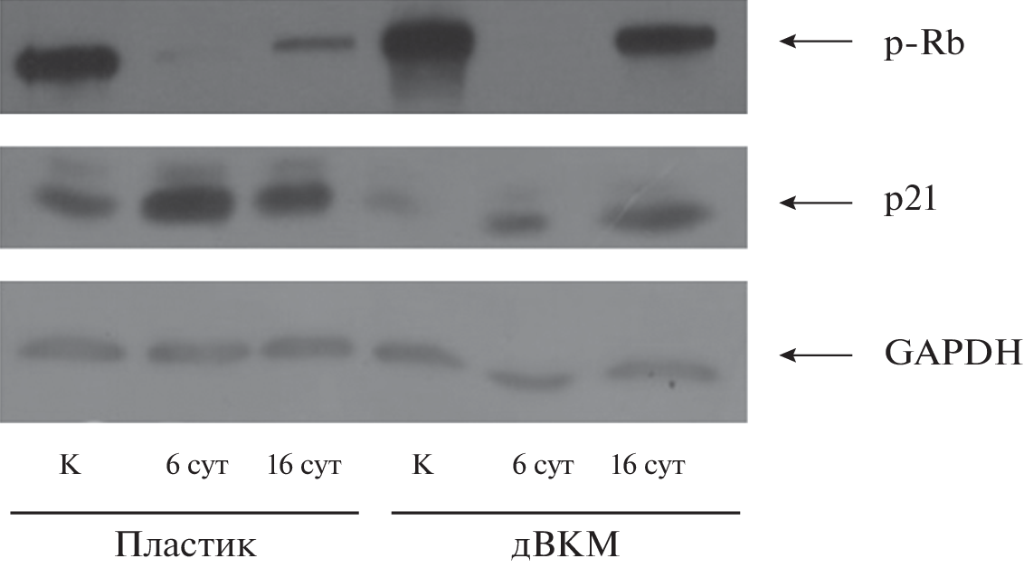
The extracellular matrix (ECM), the main component of the extracellular space, mediates signaling between cells and controls the key cell functions—proliferation, differentiation, and migration. The relevance of studying ECM is due to a wide range of its biological properties that can be applied in regenerative medicine and bioengineering. Cell-derived decellularized ECM (dECM) is used to study ECM as a regulator of the cell functional activity, as well as to mimic their tissue-specific microenvironment. Here, we hypothesized that dECM deposited by Wharton’s jelly-derived MSCs modulates the senescence phenotype of endometrial MSCs (eMSCs) acquired in response to oxidative stress. This aspect of ECM functioning in the context of eMSCs has so far remained unexplored. A comparative study of prolonged H2O2-induced senescence of eMSCs exposed to both dECM and cultured plastic showed that dECM may effectively downregulate the main senescence markers. Our findings suggest that ECM is able to partially reverse (retard) the eMSCs premature senescence.
Авторлар туралы
E. Burova
Institute of Cytology, Russian Academy of Sciences
Хат алмасуға жауапты Автор.
Email: lenbur87@mail.ru
Russia, 194064, St. Petersburg
I. Perevoznikov
Institute of Cytology, Russian Academy of Sciences
Email: lenbur87@mail.ru
Russia, 194064, St. Petersburg
R. Ushakov
Institute of Cytology, Russian Academy of Sciences
Email: lenbur87@mail.ru
Russia, 194064, St. Petersburg
Әдебиет тізімі
- Кольцова А.М., Крылова Т.А., Мусорина А.С., Зенин В.В., Турилова В.И., Яковлева Т.К., Полянская Г.Г. 2017. Динамика свойств двух линий мезенхимных стволовых клеток, полученных из Вартонова студня пупочного канатика человека, при длительном культивировании. Цитология. Т. 59. С. 574. (Koltsova A.M., Krylova T.A., Musorina A.S., Zenin V.V., Turilova V.I., Yakovleva T.K., Poljanskaya G.G. 2018. The dynamics of cell properties during long-term cultivation of two lines of mesenchymal stem cells derived from Wharton’s jelly of human umbilical cord. Cell Tiss. Biol. V. 12. P. 7.) https://doi.org/10.1134/S1990519X1801011X
- Матвеева Д.К., Андреева Е.Р. 2020. Регуляторная активность децеллюляризированного матрикса мультипотентных мезенхимных стромальных клеток. Цитология. Т. 62. С. 699. (Matveeva D.K., Andreeva E.R. 2020. Regulatory activity of decellularized matrix of multipotent mesenchymal stromal cells. Tsitologia. V. 62. P. 699.) https://doi.org/10.31857/S004137712010003X
- Земелько В.И., Гринчук Т.М., Домнина А.П., Арцыбашева И.В., Зенин В.В., Кирсанов А.А., Бичевая Н.К., Корсак В.С., Никольский Н.Н. 2011. Мультипотентные мезенхимные стволовые клетки десквамированного эндометрия. Выделение, характеристика и использование в качестве фидерного слоя для культивирования эмбриональных стволовых линий человека. Цитология. Т. 53. С. 919. (Zemelko V.I., Grinchuk T.M., Domnina A.P., Artzibasheva I.V., Zenin V.V., Kirsanov A.A., Bichevaia N.K., Korsak V.S., Nikolsky N.N. 2012. Multipotent mesenchymal stem cells of desquamated endometrium: isolation, characterization, and application as a feeder layer for maintenance of human embryonic stem cells. Cell Tiss. Biol. V. 6. P. 1.) https://doi.org/10.1134/S1990519X12010129
- Assunção M., Dehghan-Baniani D., Yiu C.H.K., Später T., Beyer S., Blocki A. 2020. Cell-derived extracellular matrix for tissue engineering and regenerative medicine. Front. Bioeng. Biotechnol. V. 8: 602009. https://doi.org/10.3389/fbioe.2020.602009
- Bertolo A., Baur M., Guerrero J., Pötzel T., Stoyanov J. 2019. Autofluorescence is a reliable in vitro marker of cellular senescence in human mesenchymal stromal cells. Sci. Rep. V. 9. P. 2074. https://doi.org/10.1038/s41598-019-38546-2
- Blagosklonny M.V. 2011. Cell cycle arrest is not senescence. Aging (Albany NY). V. 3. P. 94. https://doi.org/10.18632/aging.100281
- Borodkina A., Shatrova A., Abushik P., Nikolsky N., Burova E. 2014. Interaction between ROS dependent DNA damage, mitochondria and p38 MAPK underlies senescence of human adult stem cells. Aging. V. 6. P. 481. https://doi.org/10.18632/aging.100673
- Borodkina A.V., Shatrova A.N., Deryabin P.I., Griukova A.A., Abushik P.A., Antonov S.M., Nikolsky N.N., Burova E.B. 2016. Calcium alterations signal either to senescence or to autophagy induction in stem cells upon oxidative stress. Aging (Albany NY). V. 8: 3400. https://doi.org/10.18632/aging.101130
- Burova E., Borodkina A., Shatrova A., Nikolsky N. 2013. Sublethal oxidative stress induces the premature senescence of human mesenchymal stem cells derived from endometrium. Oxid. Med. Cell. Longev. V. 2013: 474931. https://doi.org/10.1155/2013/474931
- Campisi J., d’Adda di Fagagna F. 2007. Cellular senescence: when bad things happen to good cells. Nat. Rev. Mol. Cell. Biol. V. 8. P. 729. https://doi.org/10.1038/nrm2233
- Choi K.M., Seo Y.K., Yoon H.H., Song K.Y., Kwon S.Y., Lee H.S., Park J.K. 2008. Effect of ascorbic acid on bone marrow-derived mesenchymal stem cell proliferation and differentiation. J. Biosci. Bioeng. V. 105. P. 586. https://doi.org/10.1263/jbb.105.586
- Choi H.R., Cho K.A., Kang H.T., Lee J.B., Kaeberlein M., Suh Y., Chung I.K., Park S.C. 2011. Restoration of senescent human diploid fibroblasts by modulation of the extracellular matrix. Aging Cell. V. 10. P. 148. https://doi.org/10.1111/j.1474-9726.2010.00654.x
- Debacq-Chainiaux F., Erusalimsky J.D., Campisi J., Toussaint O. 2009. Protocols to detect senescence-associated beta-galactosidase (SA-β-gal) activity, a biomarker of senescent cells in culture and in vivo. Nat. Protoc. V. 4. P. 1798. https://doi.org/10.1038/nprot.2009.191
- Dominici M., Le Blanc K., Mueller I., Slaper–Cortenbach I., Marini F., Krause D.S., Deans R.J., Keating A., Prockop D.J., Horwitz E.M. 2006. Minimal criteria for defining multipotent mesenchymal stromal cells. Cytotherapy. V. 8. P. 315. https://doi.org/10.1080/14653240600855905
- Engeland K. Cell cycle regulation: p53-p21-RB signaling. 2022. Cell Death Differ. V. 29. P. 946. https://doi.org/10.1038/s41418-022-00988-z
- Griukova A., Deryabin P., Shatrova A., Burova E., Severino V., Farina A., Nikolsky N., Borodkina A. 2019. Molecular basis of senescence transmitting in the population of human endometrial stromal cells. Aging. V. 11: 9912. https://doi.org/10.18632/aging.102441
- Joergensen P., Rattan S.I.S. 2014. Extracellular matrix modulates morphology, growth, oxidative stress response and functionality of human skin fibroblasts during aging in vitro. J. Aging Sci. V. 2. P. 122. https://doi.org/10.4172/2329-8847.1000122
- Lai Y., Sun Y., Skinner C.M., Son E.L., Lu Z., Tuan R.S., Jilka R.L., Ling J., Chen X.D. 2010. Reconstitution of marrow-derived extracellular matrix ex vivo: a robust culture system for expanding large-scale highly functional human mesenchymal stem cells. Stem Cells Dev. V. 19. P. 1095. https://doi.org/10.1089/scd.2009.0217
- Lee S.S., V T.T., Weiss A.S., Yeo G.C. 2023. Stress-induced senescence in mesenchymal stem cells: Triggers, hallmarks, and current rejuvenation approaches. Eur. J. Cell Biol. V. 102. P. 151331. https://doi.org/10.1016/j.ejcb.2023.15133110.1016/j.ejcb.2023.151331
- Lin H., Yang G., Tan J., Tuan R.S. 2012. Influence of decellularized matrix derived from human mesenchymal stem cells on their proliferation, migration and multi-lineage differentiation potential. Biomaterials. V. 33. P. 4480. https://doi.org/10.1016/j.biomaterials.2012.03.012
- Liu X., Zhou L., Chen X., Liu T., Pan G., Cui W., Li M., Luo Z.P., Pei M., Yang H., Gong Y., He F. 2016. Culturing on decellularized extracellular matrix enhances antioxidant properties of human umbilical cord-derived mesenchymal stem cells. Mater. Sci. Eng. C Mater. Biol. Appl. V. 61. P. 437. https://doi.org/10.1016/j.msec.2015.12.090
- Liu J., Ding Y., Liu Z., Liang X. 2020. Senescence in mesenchymal stem cells: functional alterations, molecular mechanisms, and rejuvenation strategies. Front. Cell Dev. Biol. V. 8: 258. https://doi.org/10.3389/fcell.2020.00258
- Novoseletskaya E., Grigorieva O., Nimiritsky P., Basalova N., Eremichev R., Milovskaya I., Kulebyakin K., Kulebyakina M., Rodionov S., Omelyanenko N., Efimenko A. 2020. Mesenchymal stromal cell-produced components of extracellular matrix potentiate multipotent stem cell response to differentiation stimuli. Front. Cell Dev. Biol. V. 8: 555378. https://doi.org/10.3389/fcell.2020.555378
- Pei M., Zhang Y., Li J., Chen D. 2013. Antioxidation of decellularized stem cell matrix promotes human synovium-derived stem cell-based chondrogenesis. Stem Cells Dev. V. 22. P. 889. https://doi.org/10.1089/scd.2012.0495
- Ragelle H., Naba A., Larson B.L., Zhou F., Prijić M., Whittaker C.A., Del Rosario A., Langer R., Hynes R.O., Anderson D.G. 2017. Comprehensive proteomic characterization of stem cell-derived extracellular matrices. Biomaterials. V. 128. P. 147. https://doi.org/10.1016/j.biomaterials.2017.03.008
- Rao Pattabhi S., Martinez J.S., Keller T.C.S. 3rd. 2014. Decellularized ECM effects on human mesenchymal stem cell stemness and differentiation. Differentiation. V. 88. P. 131. https://doi.org/10.1016/j.diff.2014.12.005
- Rattan S.I., Keeler K.D., Buchanan J.H., Holliday R. 1982. Autofuorescence as an index of ageing in human fibroblasts in culture. Biosci. Rep. V. 2. P. 561. https://doi.org/10.1007/BF01314216
- Sart S., Jeske R., Chen X., Ma T., Li Y. 2020. Engineering stem cell-derived extracellular matrices: Decellularization, characterization, and biological function. Tissue Eng. Part B. V. 26. P. 402. https://doi.org/10.1089/ten.TEB.2019.0349
- Shatrova A.N., Burova E.B., Kharchenko M.V., Smirnova I.S., Lyublinskaya O.G., Nikolsky N.N., Borodkina A.V. 2021. Outcomes of deferoxamine action on H2O2-induced growth inhibition and senescence progression of human endometrial Stem Cells. Int. J. Mol. Sci. V. 22: 6035. https://doi.org/10.3390/ijms22116035
- Sun E., Li Y., Lu W., Chen Z., Ling Z., Ran J., Jilka O.L. 2011. Rescuing replication and osteogenesis of aged mesenchymal stem cells by exposure to a young extracellular matrix. FASEB J. V. 25. P. 1474. https://doi.org/10.1096/fj.10-161497
- Vassilieva I., Kosheverova V., Vitte M., Kamentseva R., Shatrova A., Tsupkina N., Skvortsova E., Borodkina A., Tolkunova E., Nikolsky N., Burova E. 2020. Paracrine senescence of human endometrial mesenchymal stem cells: a role for the insulin-like growth factor binding protein 3. Aging. V. 12: 1987. https://doi.org/10.18632/aging.102737
- Weng Z., Wang Y., Ouchi T., Liu H., Qiao X., Wu C., Zhao Z., Li L., Li B. 2022. Mesenchymal stem/stromal cell senescence: hallmarks, mechanisms, and combating strategies. Stem Cells Transl. Med. V. 11. P. 356. https://doi.org/10.1093/stcltm/szac004
- Xing H., Lee H., Luo L., Kyriakides T.R. 2020. Extracellular matrix-derived biomaterials in engineering cell function. Biotechnol. Adv. V. 42. P. 107421. https://doi.org/10.1016/j.biotechadv.2019.107421
- Yang L., Ge L., van Rijn P. 2020. Synergistic effect of cell-derived extracellular matrices and topography on osteogenesis of mesenchymal stem cells. ACS Appl. Mater. Interfaces. V. 12. P. 25591. https://doi.org/10.1021/acsami.0c05012
- Yu X., He Y., Chen Z., Qian Y., Wang J., Ji Z., Tan X., Li L., Lin M. 2019. Autologous decellularized extracellular matrix protects against H2O2-induced senescence and aging in adipose-derived stem cells and stimulates proliferation in vitro. Biosci. Rep. V. 39: BSR20182137. https://doi.org/10.1042/BSR20182137
- Zhou Y., Zimber M., Yuan H., Naughton G.K., Fernan R., Li W.-J. 2016. Effects of human fibroblast-derived extracellular matrix on mesenchymal stem cells. Stem Cell Rev. Rep. V. 12. P. 560. https://doi.org/10.1007/s12015-016-9671-7
- Zhou L., Chen X., Liu T., Zhu C., Si M., Jargstorf J., Li M., Pan G., Gong Y., Luo Z.-P., Yang H., Pei M., He F. 2018. SIRT1-dependent anti-senescence effects of cell-deposited matrix on human umbilical cord mesenchymal stem cells. J. Tiss. Eng. Regen. Med. V. 12: e1008. https://doi.org/10.1002/term.2422
- Zhou X., Hong Y., Zhang H., Li X. 2020. Mesenchymal stem cell senescence and rejuvenation: current status and challenges. Front. Cell Dev. Biol. V. 8. P. 364. https://doi.org/10.3389/fcell.2020.00364
Қосымша файлдар





