Получение и сравнительная характеристика линий мезенхимных стволовых клеток, выделенных из пульпы молочного зуба детей разного пола
- Авторы: Мусорина А.С.1, Турилова В.И.1, Шатрова А.Н.1, Яковлева Т.К.1, Полянская Г.Г.1
-
Учреждения:
- Институт цитологии РАН
- Выпуск: Том 65, № 5 (2023)
- Страницы: 420-436
- Раздел: Статьи
- URL: https://ogarev-online.ru/0041-3771/article/view/140090
- DOI: https://doi.org/10.31857/S0041377123050061
- EDN: https://elibrary.ru/KJQHDE
- ID: 140090
Цитировать
Полный текст
Аннотация
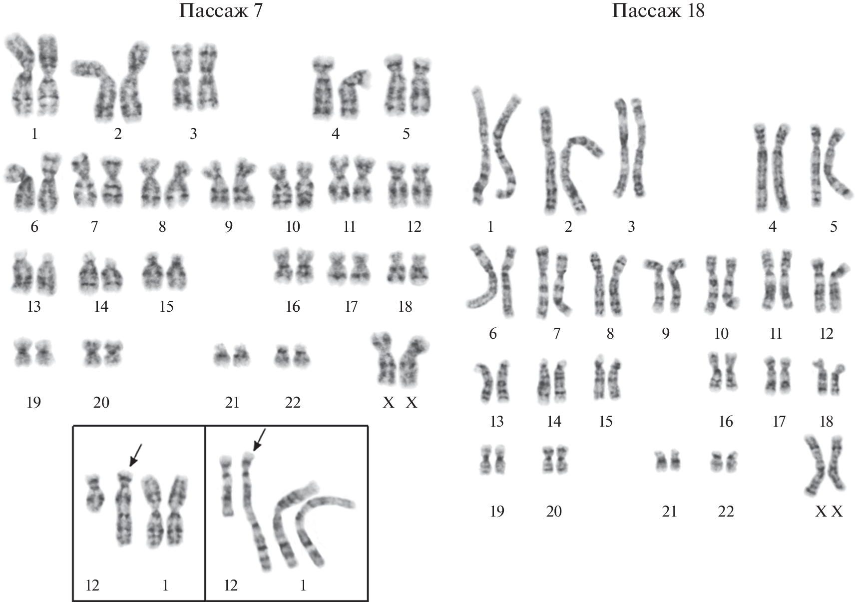
Получены и охарактеризованы 2 новые неиммортализованные фибробластоподобные клеточные линии (MSC-DP-1 и MSC-DP-2), выделенные из пульпы молочных зубов двух разнополых 6-летних детей. С целью подтверждения статуса мезенхимных стволовых клеток был проведен сравнительный анализ ряда характеристик этих линий на ранних и поздних пассажах. В процессе длительного культивирования выявлены существенные межлинейные различия по характеру репликативного старения (РС) и по ростовым характеристикам. Линия MSC-DP-1 характеризовалась более поздним вхождением в активную стадию РС и более активной пролиферацией по сравнению с линией MSC-DP-2. Кариотипический анализ показал, что обе линии на ранних пассажах имеют нормальный диплоидный кариотип человека. На позднем (18-м пассаже) в стадии активного РС линия MSC-DP-2 сохраняет нормальный кариотип. А линия MSC-DP-1, которая вступает в активную стадию РС гораздо позже (на 42-м пассаже), имеет аномальный кариотип с большим количеством клональных и неклональных хромосомных перестроек. Показана в обеих линиях высокая доля клеток, несущих поверхностные антигены, характерные для МСК человека: CD44, CD73, CD90, CD105, HLA-ABC, и низкая частота клеток с антигенами CD34, CD45 и HLA-DR. Клетки полученных линий на раннем пассаже обладают способностью дифференцироваться в адипогенном, остеогенном и хондрогенном направлениях. Но линия MSC-DP-2 проявляет более слабую дифференцировку в адипогенном направлении, чем линия MSC-DP-1. В процессе РС в линии MSC-DP-1 имеет место значительное ослабление адипогенной дифференцировки, а в линии MSC-DP-2 она исчезает. Активность остальных дифференцировок не изменяется в процессе РС. В целом, полученные результаты подтверждают статус МСК для полученных линий и свидетельствуют о межлинейных различиях в процессе РС. Тем не менее проведенное сравнение с ранее полученной линией – MSC-DP не свидетельствуют о гендерной природе наблюдаемых различий между этими линиями. По-видимому, они связаны с генетическими особенностями разных доноров.
Об авторах
А. С. Мусорина
Институт цитологии РАН
Автор, ответственный за переписку.
Email: anam18@inbox.ru
Россия, 194064, Санкт-Петербург
В. И. Турилова
Институт цитологии РАН
Email: gpolanskaya@gmail.com
Россия, 194064, Санкт-Петербург
А. Н. Шатрова
Институт цитологии РАН
Email: gpolanskaya@gmail.com
Россия, 194064, Санкт-Петербург
Т. К. Яковлева
Институт цитологии РАН
Email: gpolanskaya@gmail.com
Россия, 194064, Санкт-Петербург
Г. Г. Полянская
Институт цитологии РАН
Автор, ответственный за переписку.
Email: gpolanskaya@gmail.com
Россия, 194064, Санкт-Петербург
Список литературы
- Кольцова А.М., Зенин В.В., Турилова В.И., Яковлева Т.К., Полянская Г.Г. 2018. Получение и характеристика линии мезенхимных стволовых клеток, выделенных из пульпы молочного зуба человека. Цитология. Т. 60. № 12. С. 955. (Koltsova A.M., Zenin V.V., Turilova V.I., Yakovleva T.K., Poljanskaya G.G. 2018. The derivation and characterization of mesenchymal stem cell line, isolated from human pulp of a deciduous tooth. Tsitologiya. V. 60. P. 955.) https://doi.org/10.1134/S0041377118120015
- Кольцова А.М., Зенин В.В., Яковлева Т.К., Полянская Г.Г. 2015. Характеристика новой линии мезенхимных стволовых клеток, выделенных из эмбриональных стволовых клеток человека. Цитология. Т. 57. № 11. С. 761. (Koltsova A.M., Zenin V.V., Yakovleva T.K., Poljanskaya G.G. 2015. Сharacteristics of new mesenchymal stem cell line derived from human embryonic stem cells. Tsitologiya. V. 57. № 11. P. 761.)
- Кольцова А.М., Зенин В.В., Петросян М.А., Турилова В.И., Яковлева Т.К., Полянская Г.Г. 2020. Получение и характеристика линий мезенхимных стволовых клеток, выделенных из разных областей плаценты одного донора. Цитология. Т. 62. № 9. С. 713. (Koltsova A.M., Zenin V.V., Petrosyan M.A., Turilova V.I., Yakovleva T.K., Poljanskaya G.G. 2021. Isolation and characterization of Mesenchymal Stem Cell Line Derived from different regions of the placenta of the same donor. Cell Tiss. Biol. V. 15. P. 356.) https://doi.org/10. 31857/S0041377120090035
- Кольцова А.М., Зенин В.В., Турилова В.И., Яковлева Т.К., Полянская Г.Г. 2019. Получение и характеристика линии мезенхимных стволовых клеток, выделенной из десны человека. Цитология. Т. 61. № 8. С. 658. (Koltsova A.M., Zenin V.V., Turilova V.I., Yakovleva T.K., Poljanskaya G.G. 2019. The derivation and characterization of mesenchymal stem cell line, isolated from human gingival. Tsitologiya. V. 61. P. 658.) https://doi.org/10.1134/S0041377119080029
- Кольцова А.М. Крылова Т.А., Мусорина А.С., Зенин В.В., Турилова В.И., Яковлева Т.К., Полянская Г.Г. 2017. Динамика свойств двух линий мезенхимных стволовых клеток, полученных из Вартонова студня пупочного канатика человека, при длительном культивировании. Цитология. Т. 59. № 9. С. 574. (Koltsova A.M., Krylova T.A., Zenin V.V., Turilova V.I., Yakovleva T.K., Poljanskaya G.G. 2017. Dynamics properties of two lines of mesenchymal stem cells, derived from the Wharton’ jelly of the human umbilical cord, during long-term cultivation. Tsitologiya. V. 59. P. 574.)
- Кольцова А.М., Зенин В.В., Турилова В.И., Шатрова А.Н., Яковлева Т.К., Полянская Г.Г. 2022. Получение и характеристика разных популяций мезенхимных стволовых клеток, выделенных из эмбриональных стволовых клеток человека линии SC7. Цитология. Т. 64. № 5. С. 411. (Koltsova A.M., Zenin V.V., Turilova V.I., Shatrova A.N., Yakovleva T.K., Poljanskaya G.G. 2022. The derivation and characterization of different populations of mesenchymal stem cells, isolated from embryonic stem cells line – SC7. Tsitologiya. V. 64. № 5. P. 411). https://doi.org/10.31857/S0041377122050054
- Крылова Т.А., Кольцова А.М., Зенин В.В., Мусорина А.С., Яковлева Т.К., Полянская Г.Г. 2012. Сравнительные характеристики новых линий мезенхимных стволовых клеток, полученных из эмбриональных стволовых клеток, костного мозга и крайней плоти человека. Цитология. 54. № 1. С. 5. (Krylova T.A., Koltsova A.M., Zenin V.V., Musorina A.S., Yakovleva T.K., Poljanskaya G.G. 2012. Comparative characteristics of new mesenchymal stem cell lines derived from human embryonic stem cells, bone marrow and foreskin. Tsitologiya. V. 54. P. 5)
- Луппа Х. 1980. Методы гистохимического выявления неорганических веществ. В кн.: Основы гистохимии. М.: Мир. С. 267. (Luppa H. 1980. Methods of histochemical detection of inorganic substances. In: Fundamentals of histochemistry. Moscow: Mir. P. 267.)
- Мусорина А.С., Зенин В.В., Турилова В.И., Яковлева Т.К., Полянская Г.Г. 2019. Характеристика неиммортализованной линии мезенхимных стволовых клеток, выделенных из эпикардиальной жировой ткани человека. Цитология. Т. 61. № 4. С. 272. (Musorina A.S., Zenin V.V., Turilova V.I., Yakovleva T.K., Poljanskaya G.G. 2019. Сharacterization of a nonimmortalized mesenchymal stem cell line isolated from human epicardial adipose tissue. Cell Tiss. Biol. V. 13. P. 247.)
- Полянская Г.Г. 2000. Закономерности кариотипической изменчивости в клеточных культурах при длительном культивировании в разных условиях (обзор). Успехи современной биологии. Т. 120. С. 529. (Poljanskaya G.G. 2000. The regularity of karyotypic variability in cell cultures during long-term cultivation under different conditions (review). Successes of the modern biol. V. 120. P. 529.)
- Полянская Г.Г. 2018. Сравнительный анализ характеристик линий мезенхимных стволовых клеток человека, полученных в коллекции культур клеток позвоночных (обзор). Клеточные культуры. № 34. С. 3. (Poljanskaya G.G. 2018. Comparative analysis of the lines of human mesenchymal stem cells derived in the collection of cell cultures of vertebrates (review). Collection “Cell cultures”. V. 34. P. 3).
- Полянская Г.Г., Вахтин Ю.Б. 2003. Кариотипическая структура клеточных популяций in vitro как целостная система (обзор). Цитология Т. 45. № 2. С. 115. (Poljanskaya G.G., Vakhtin Yu.B. 2003. The karyotypic structure of cell populations in vitro as integral system (review). Tsitologiya. V. 45. № 2. P. 115.)
- Седова Г.П. 2008. Количественные аспекты злокачественного роста. Математическая морфология. Электронный математический и медико-биологический журнал. Т. 7. (Sedova G.P. 2008. Quantitative aspects of malignant body height. Mathematical morphology. Electronic Math. Medicobiol. J. V. 7.) URL: http://sgma.alpha-design.ru/MMORPH/N-18-html/sedova/sedova.htm
- Хейфлик Л. 1997. Смертность и бессмертие на клеточном уровне. Биохимия. Т. 62. № 11. С. 1380. (Hayflick L. 1997. Mortality and immortality at the cellular level. Biochemistry. V. 62. № 11. P. 1380).
- Aksu A., Rubin J., Dudas J., Marra K. 2008. Role of gender and anatomical region on induction of osteogenic differentiation of human adipose-derived stem cells. Ann. Plast. Surg. V. 60. P. 306. https://doi.org/10.1097/SAP.0b013e3180621ff0
- Antonucci I., Stuppia L., Kaneko Y., Yu S., Tajiri N., Bae E.C., Chheda S.H., Weinbren N.L., Borlongan C.V. 2011. Amniotic fluid as rich source of mesenchymal stromal cells for transplantation therapy. Cell Transplant. V. 20. P. 789. https://doi.org/10.3727/096368910X539074
- Barkholt L., Flory E., Jekerle V., Lucas-Samuel S., Ahnert P., Bisset L., Büscher D., Fibbe W., Foussat A., Kwa M., Lantz O., Mačiulaitis R., Palomäki T., Schneider C.K., Sensebé L., Tachdjian G., Tarte K., Tosca L., Salmikangas P. 2013. Risk of tumorigenicity in mesenchymal stromal cell-based therapies-bridging scientific observations and regulatory viewpoints. Cytother. V. 15. P. 753. https://doi.org/10.1016/j.jcyt.2013.03.005
- Benn P.A. 1976. Specific chromosome aberrations in senescent fibroblast cell lines derived from human embryos. Am. J. Hum. Genet. V. 28. P. 465.
- Bongso A., Fong C.Y. 2013. The therapeutic potential, challenges and future clinical directions of stem cells from the Wharton’s jelly of the human umbilical cord. Stem Cell Rev. V. 9. P. 226. https://doi.org/10.1007/s12015-012-9418-z
- Chen Y., Wang X., Wu Z., Jia S., Wan M. 2023. Epigenetic regulation of dental-derived stem cells and their application in pulp and periodontal regeneration. Biochem., Biophys. Mol. Biol. V. 11: e14550. https://doi.org/10.7717/peerj14550
- De Witte S.F.H., Lambert E.E., Merino A., Strini T., Douben H.J.C.W., O’Flynn L., Elliman S.J., de Klein A.J.E.M.M., Newsome P.N., Baan C.C., Hoogduijn M.J. 2017. Aging of bone marrow- and umbilical cord-derived mesenchymal stromal cells during expansion. Cytotherapy. V. 9. P. 798. https://doi.org/10.1016/j.jcyt.2017.02.074
- Ding D.C., Chang Y.H., Shyu W.C., Lin S.Z. 2015. Human umbilical cord mesenchymal stem cells: a new era for stem cell therapy. Cell Transplant. V. 24. P. 339. https://doi.org/10.3727/096368915X686841
- Dominici M., Le Blanc K., Mueller I., Slaper-Cortenbach I., Marini F., Krause D., Deans R., Keating A., Prockop Dj., Horwitz E. 2006. Minimal criteria for defining multipotent mesenchymal stromal cells. Int. Soc. Cell. Ther. position statement. Cytother. V. 8. P. 315. https://doi.org/10.1080/14653240600855905
- Garcia J., Wright K., Roberts S., Kuiper J.H., Mangham C., Richardson J., Mennan C. 2016. Characterisation of synovial fluid and infrapatellar fat pad derived mesenchymal stromal cells: The influence of tissue source and inflammatory stimulus. Sci Rep. V. 6: 24295. https://doi.org/10.1038/srep24295
- Jayasinghe M., Prathiraja O., Prashan B., Jena R., Silva M., Weerawarna P., Singhal M., Kayani A., Karnakoti S., Jain S. 2022.The role of mesenchymal stem cells in the treatment of type 1 diabetes. Cureus. V. 14: e27337. https://doi.org/10.7759/cureus.27337
- Jin Q., Yuan K., Lin W., Niu C., Ma R., Huang Z. 2019. Comparative characterization of mesenchymal stem cells from human dental pulp and adipose tissue for bone regeneration potential. Artif. Cells Nanomed. Biotechnol. V. 47. P. 1577. https://doi.org//10.1080/21691401.2019.1594861
- Hatore A., Fujii Y., Kawase-Koga Y., Ogasawara T., Chikira J., Minami S., Yamakawa D., Chikazu D. 2023. VCAM-1 and GFPT-2: predictive markers of osteoblast differentiation in human dental pulp stem cells. Bone. V. 166: 116575. https://doi.org/10.1016/j.bone.2022.116575
- Hezan K., Mo R., Wang C., Yue L., Zongjin L. 2022. Anti-inflammatory effects of mesenchymal stem cells and their secretomes in pneumonia. Curr. Pharm. Biotechnol. V. 23. P. 1153. https://doi.org/10.2174/1389201022666210907115126
- Hoang D., Pham P., Bach T., Ngo A., Nguyen Q., Phan T., Nguyen G., Le P., Hoang V., Forsyth N., Heke M., Nguyen L. 2022. Stem cell-based therapy for humn diseases. Signaly Transduct. Target. Ther. V. 7. P. 272. https://doi.org/10.1038/s41392-022-01134-4
- Huang H.I., Chen S.K., Ling Q.D., Chien C.C., Liu H.T., Chan S.H. 2010. Multilineage differentiation potential of fibroblast-like stromal cells derived from human skin. Tiss. Eng. (A). V. 16. P. 1491. https://doi.org/10.1089/ten.TEA.2009.0431
- Kerkis I., Caplan A.I. 2012. Stem cells in dental pulp of deciduous teeth. Tiss. Eng. Part B Rev. V. 18. P. 129. https://doi.org/10.1089/ten.TEB.2011.0327
- Li J., Xu S.-Q., Zhao Y.-M., Yu S., Ge L.-H., Xu B.-H. 2018. Comparison of the biological characteristics of human mesenchymal stem cells derived from exfoliated deciduous teeth, bone marrow, gingival tissue, and umbilical cord. Mol. Med. Rep. V. 18. P. 4969. https://doi.org/10.3892/mmr.2018.9501
- Liu A., Zhang X., He H., Zhou Li., Naito Y., Sugita S., Lee J.-W. 2020. Therapeutic potential of mesenchymal stem/stromal cell-derived secretome and vesicles for lung injury and disease. Expert Opin. Biol. Ther. V. 20. P. 125. https://doi.org/10.1080/14712598.2020.1689954
- Lo Surdo J.L., Millis B.A., Bauer S.R. 2013. Automated microscopy as a quantitative method to measure differences in adipogenic differentiation in preparations of human mesenchymal stromal cells. Cytotherapy. V. 15. P. 1527. https://doi.org/10.1016/j.jcyt.2013.04.010
- Mamidi M.K., Pal R., Mori N.A., Arumugam G., Thrichelvam S.T., Noor P.J., Abdullah H.M., Gupta P.K., Das A.K., Zakaria Z., Bhonde R. 2011. Co-culture of mesenchymal-like stromal cells derived from human foreskin permits long term propagation and differentiation of human embryonic stem cells. J. Cell Biochem. V. 112. P. 1353. https://doi.org/10.1002/jcb.23052
- Matsumura T., Zerrudo Z., Hayflick L. 1979. Senescent human diploid cells in culture: survival, DNA synthesis and morphology. J. Gerontol. V. 34. P. 328. https://doi.org/10.1093/geronj/34.3.328
- Mou C., Wang X., Li W., Li Z., Liu N., Xu Y., 2023. Efficacy of mesenchymal stromal cells intraspinal transplantation for patients with different degrees of spinal cord injury: a systematic review and meta-analysis. Cytotherapy. V. 25. P. 530.
- https://doi.org/10.1016/j.jcyt.2023.01.012
- McGowan-Jordan J., Simons A., Schmid M. 2016. An international system for human cytogenetic nomenclature. Basel: S. Karger. 140 p.
- Navarro L., Chen X., Viviescas L.T., Ardila-Roa A., Luna-Gonzalez M., Sossa C., Arango-Rodriguez M. 2022. Mesenchymal stem cells for critical limb ischemia: their function, mechanism, and therapeutic potential. Stem Cell Res. Ther. V. 13. P. 345. https://doi.org/10.1186/s13287-022-03043-3
- Ozkinay C., Mitelman F. 1979. A simple trypsin-Giemsa technique producing simultaneous G- and C-banding in human chromosomes. Hereditas. V. 90. P. 1. https://doi.org/10.1111/j.1601-5223.1979.tb01287.x
- Payne K., Didiano D., Chu C. 2010. Donor sex and age influence the chondrogenic potential of human femoral bone marrow stem cells. Osteoarthritis Cartilage. V. 18. P. 705. https://doi.org/10.1016/joca.2010.01.011
- Pischiutta F., Caruso E., Cavaleiro H., Salgado A., Loane D., Zanier E. 2022. Mesenchymal stromal cell secretome for traumatic brain injury: Focus on immunomodulatory action. Exp. Neurol. V. 357: 114199. https://doi.org/10.1016/j.expneurol.2022.114199
- Poljanskaya G., Bobkov D., Koltsova A., Musorina A., Mikhailova N. 2022. Creation, working principles, development of applied and scientific activities of the Collection of Cell Cultures of Vertebrate. (review). Biol. Commun. V. 67. P. 312. https://doi.org/10.21638./spbu03.2022.406
- Rahmani-Moghadam E., Zarrin V., Mahmoodzadeh A., Owrang M., Talaei-Khozani T. 2022. Comparison of the characteristics of Breast Milk derived stem cells with the stem cells derived from the other sources: a comparative review. Curr. Stem Cell Res. Ther. V. 17. P. 71. https://doi.org/10.2174/1574888X16666210622125309
- Reyes M., Lund T., Lenvik T., Aguiar D., Koodie L., Verfaillie C.M. 2001. Purification and ex vivo expansion of postnatal human marrow mesodermal progenitor cells. Blood. V. 98. P. 2615. https://doi.org/10.1182/blood.v98.9.2615
- Riekstina U., Cakstina I., Parfejevs V., Hoogduijn M., Jankovskis G., Muiznieks I., Muceniece R., Ancans J. 2009. Embryonic stem cell marker expression pattern in human mesenchymal stem cells derived from bone marrow, adipose tissue, heart and dermis. Stem Cell Rev. V. 5. P. 378. https://doi.org/10.1007/s12015-009-9094-9
- Scibetta A., Morris E., Liebowitz A., Gao X., Lu A., Philippon M., Huard J. 2019. Characterization of the chondrogenic and osteogenic potential of male and female human muscle-derived stem cells: Implication for stem cell therapy. V. 37. P. 1339. https://doi.org/10.1002/jor.24231
- Semenova E., Grudniak M.P., Machaj E.K., Bocian K., Chroscinska-Krawczyk M., Trochonowicz M., Stepaniec I.M., Murzyn M., Zagorska K.E., Boruczkowski D. Kolanowski T.J., Oldak T., Rozwadowska N. 2021. Mesenchymal stromal cells from different parts of umbilical cord: approach to comparison and characteristics. Stem Cell Rev. Rep. V. 17. P. 1780. https://doi.org/10.1007/s12015-021-10157-3
- Sensebé L., Krampera M., Schrezenmeier H., Bourin P., Giordano R. 2010. Mesenchymal stem cells for clinical application. Vox Sang. V. 98. P. 93. https://doi.org/10.1111/j.1423-0410.2009.01227.x
- Sharma Y., Shobha K., Sundeep M., Pinelli V., Parveen S., Dhanushkodi A. 2022. Neural basis of dental pulp stem cells and its potential application in Parkinson’s disease. CNS Neurol. Disord. Targets. V. 21. P. 62. https://doi.org/10.2174/1871527320666210311122921
- Shin S., Lee J., Kwon Y., Park K.-S., Jeong J.-H., Choi S.-J., Bang S., Chang J., Lee C. 2021. Comparative proteomic analysis of the mesenchymal stem cells secretome from adipose, bone marrow, placenta and Wharton’s jelly. Int. J. Mol. Sci. V. 22. P. 845. https://doi.org/10.3390/ijms22020845
- Sousa A., Coelho P., Leite F., Teixeira C., Rocha A., Santos I., Baylina P., Fernandes R., Soares R., Costa R., Gomes A. 2023. Impact of umbilical cord mesenchymal stromal/stem cell secretome and cord blood serum in prostate cancer progression. Hum. Cell. V. 36. P. 1160. https://doi.org/10.1007/s13577-023-00880-z
- Stanko P., Kaiserova K., Altanerova V., Altaner C. 2014. Comparison of human mesenchymal stem cells derived from dental pulp, bone marrow, adipose tissue, and umbilical cord tissue by gene expression. Biomed. Pap. Med. Fac. Univ. Palacky Olomouc Czech Repub. V. 158. P. 373. https://doi.org/10.5507/bp.2013.078
- Szepesi Á., Matula Z., Szigeti A., Várady G., Szalma J., Szabó G., Uher F., Sarkadi B., Német K. 2016. In vitro characterization of human mesenchymal stem cells isolated from different tissues with a potential to promote complex bone regeneration. Stem Cells Int. V. 2016: 3595941. https://doi.org/10.1155/2016/3595941
- Tai C., Wang L., Xie Y., Gao T., Huang F., Wang B. 2021. Analysis of key distinct biological characteristics of human placenta-derived mesenchymal stromal cells and individual heterogeneity attributing to donors. Cell Tiss. Organs. V. 210. P. 45. https://doi.org/10.1159/000513038
- Tesiye M., Gol M., Fadardi M., Kani S., Costa A., Ghasemi-Kasman M., Biagini G. 2022. Therapeutic potential of mesenchymal stem cells in the treatment of epilepsy and their interaction with antiseizure medications. Cells. V. 11. P. 4129. https://doi.org/10.3390/cells11244129
- Topoluk N., Hawkins R., Tokish J., Mercuri J. 2017. Amnionic mesenchymal stromal cells exhibit preferential osteogenic and chondrogenic differentiation and enhanced matrix production compared with adipose mesenchymal stromal cells. Am. J. Sports Med. V. 45. P. 2637. https://doi.org/10.1177/0363546517706138
- Turano E., Scambi I., Virla F., Bonetti B., Mariotti R. 2023. Extracellular vesicles from mesenchymal stem cells: towards novel therapeutic strategies for neurodegenerative diseases. Int. J. Mol. Sci. V. 24. P. 2917. https://doi.org/10.3390/ijms24032917
- Wu W., Zhou J., Xu C.-T., Zhang J., Jin Y.-J., Sun G.-L. 2022. Derivation and growth characteristics of dental pulp stem cells from patients of different ages. Mol. Med. Rep. V. 12. P. 5127. https://doi.org/10.3892/mmr.2015.4106
- Yi X., Liu F., Chen F., Wang Y., Gao Y. 2022. Comparison of biological characteristics of placenta mesenchymal stem cells derived from fetus. Chin. J. Biotechnol. V. 38. P. 1183. https://doi.org/10.13345/j.cjb.210244
- Yang K., Lu R., Lu J., Fan S., Zhang Q., Lou Z., Ma Y., Lu G., Pan R., Zhang J. 2022. Phenotypic and functional characterizations of mesenchymal stem/stromal cells isolated from human cranial bone marrow. Front Neurosci. V. 16: 909 256. https://doi.org/10.3389/fnins.2022.909256
- Yigitbilek F., Conley S.M., Tang H., Saadiq I.M., Jordan K.L., Lerman L.O., Taner T. 2021. Comparable in vitro function of human liver-derived and adipose tissue-derived mesenchymal stromal cells: implications for cell-based therapy. Front. Cell Dev. Biol. V. 9: 641792. https://doi.org/10.3389/fcell.2021.641792
- Zhang Z., Yang X., Cao X., Qin A., Zhao J. 2022. Current applications of adipose-derived mesenchymal stem cells in bone repair and regeneration: a review of cell experiments, animal models, and clinical trials. Front. Bioeng. Biotechnol. V. 10: 942 128. https://doi.org/10.3389/fbioe.2022.94212
- Zou D., Vigen M., Putman A., Cao C., Tarle S., Guinn T., Kaigler D. 2022. Phenotypic, trophic, and regenerative properties of mesenchymal stem cells from different osseous tissues. Cell Tiss. Res. V. 388. P. 75. https://doi.org/10.1007/s00441-021-03563-z
Дополнительные файлы









