Двойное ковалентное связывание биливердина в ближне-инфракрасных флуоресцентных белках предотвращает их протеолитическую деградацию
- Авторы: Степаненко О.В.1, Степаненко О.В.1
-
Учреждения:
- Институт цитологии РАН
- Выпуск: Том 65, № 1 (2023)
- Страницы: 102-110
- Раздел: Статьи
- URL: https://ogarev-online.ru/0041-3771/article/view/140077
- DOI: https://doi.org/10.31857/S0041377123010108
- EDN: https://elibrary.ru/GLEWOB
- ID: 140077
Цитировать
Полный текст
Аннотация
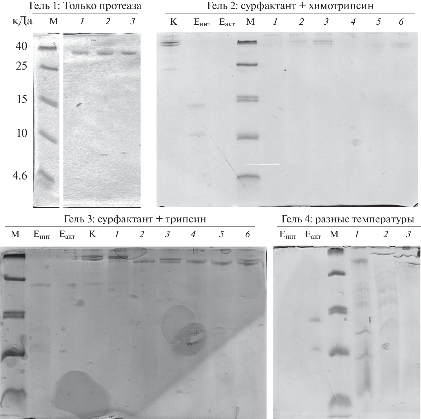
В настоящей работе мы проанализировали как двойное ковалентное связывание лиганда биливердина (BV) в ближне-инфракрасном флуоресцентном белке iRFP670, содержащем два ключевых остатка цистеина, влияет на устойчивость биомаркера к протеолитической деградации. Ранее выявлено, что ковалентное присоединение BV одновременно к двум ключевых остаткам цистеина является причиной наибольшего квантового выхода флуоресценции BV-содержащих ближне-инфракрасных флуоресцентных белков (NIR-FP) с двумя ключевыми остатками цистеина по сравнению с остальными BV-содержащими NIR-FP. Наши данные указывают на то, что ковалентное связывание BV в NIR-FP с двумя ключевыми остатками цистеина одновременно с двумя участками полипептидной цепи, которая, помимо этого, формирует узел типа восьмерки, приводит к экранированию в них многих сайтов расщепления протеолитическими ферментами трипсином и химотрипсином. Как следствие, при ковалентном связывании BV в NIR-FP одновременно с двумя ключевыми остатками цистеина не только стабилизируется их структура, но и может возрастать их устойчивость к протеолитической деградации, что определяет клеточную стабильность биомаркеров и важно для их использования в качестве флуоресцентных меток в клетке.
Об авторах
Ольга В. Степаненко
Институт цитологии РАН
Автор, ответственный за переписку.
Email: sov@incras.ru
Россия, 194064, Санкт-Петербург
Олеся В. Степаненко
Институт цитологии РАН
Email: sov@incras.ru
Россия, 194064, Санкт-Петербург
Список литературы
- Abagyan R., Totrov M., Kuznetsov D. 1994. ICM-A New Method for protein modeling and design: applications to docking and structure prediction from the distorted native conformation. J. Comput. Chem. V. 15. P. 488.
- Baloban M., Shcherbakova D.M., Pletnev S., Pletnev V.Z., Lagarias J.C., Verkhusha V.V. 2017. Designing brighter near-infrared fluorescent proteins: insights from structural and biochemical studies. Chem. Sci. V. 8. P. 4546. https://doi.org/10.1039/c7sc00855d
- Bellini D., Papiz M.Z. 2012. Dimerization properties of the RpBphP2 chromophore-binding domain crystallized by homologue-directed mutagenesis. Acta Crystallogr. D Biol. Crystallogr. V. 68. P. 1058. https://doi.org/10.1107/S0907444912020537
- Berkelman T.R., Lagarias J.C. 1986. Visualization of bilin-linked peptides and proteins in polyacrylamide gels. Anal. Biochem. V. 156. P. 194. https://doi.org/10.1016/0003-2697(86)90173-9
- Buhrke D., Tavraz N.N., Shcherbakova D.M., Sauthof L., Moldenhauer M., Velazquez Escobar F., Verkhusha V.V., Hildebrandt P., Friedrich T. 2019. Chromophore binding to two cysteines increases quantum yield of near-infrared fluorescent proteins. Sci. Rep. V. 9. P. 1866. https://doi.org/10.1038/s41598-018-38433-2
- Chernov K.G., Redchuk T.A., Omelina E.S., Verkhusha V.V. 2017. Near-Infrared fluorescent proteins, biosensors, and optogenetic tools engineered from phytochromes. Chem. Rev. V. 117. P. 6423. https://doi.org/10.1021/acs.chemrev.6b00700
- Diaz-Gonzalez F., Milano M., Olguin-Araneda V., Pizarro-Cerda J., Castro-Cordova P., Tzeng S.C., Maier C.S., Sarker M.R., Paredes-Sabja D. 2015. Protein composition of the outermost exosporium-like layer of Clostridium difficile 630 spores. J. Proteomics. V. 123. P. 1. https://doi.org/10.1016/j.jprot.2015.03.035
- Dutta S., Burkhardt K., Swaminathan G.J., Kosada T., Henrick K., Nakamura H., Berman H.M. 2008. Data deposition and annotation at the worldwide protein data bank. Methods Mol. Biol. V. 426. P. 81. https://doi.org/10.1007/978-1-60327-058-8_5
- Hsin J., Arkhipov A., Yin Y., Stone J.E., Schulten K. 2008. Using VMD: an introductory tutorial. Curr. Protoc. Bioinformatics. Chapter 5: Unit 5.7.
- Kapitulnik J., Maines M.D. 2012. The role of bile pigments in health and disease: effects on cell signaling, cytotoxicity, and cytoprotection. Front. Pharmacol. V. 3. P. 136. https://doi.org/10.3389/fphar.2012.00136
- Komatsu N., Aoki K., Yamada M., Yukinaga H., Fujita Y., Kamioka Y., Matsuda M. 2011. Development of an optimized backbone of FRET biosensors for kinases and GTPases. Mol. Biol. Cell. V. 22(23). P. 4647. https://doi.org/10.1091/mbc.E11-01-0072
- Krey J.F., Sherman N.E., Jeffery E.D., Choi D., Barr-Gillespie P.G. 2015. The proteome of mouse vestibular hair bundles over development. Sci. Data. V. 2. P. 150047. https://doi.org/10.1038/sdata.2015.47
- Laemmli U.K. 1970. Cleavage of structural proteins during the assembly of the head of bacteriophage T4. Nature. V. 227. P. 680. https://doi.org/10.1038/227680a0
- Li L., Shemetov A.A., Baloban M., Hu P., Zhu L., Shcherbakova D.M., Zhang R., Shi J., Yao J., Wang L.V., Verkhusha V.V. 2018. Small near-infrared photochromic protein for photoacoustic multi-contrast imaging and detection of protein interactions in vivo. Nat. Commun. V. 9. P. 2734. https://doi.org/10.1038/s41467-018-05231-3
- Matlashov M.E., Shcherbakova D.M., Alvelid J., Baloban M., Pennacchietti F., Shemetov A.A., Testa I., Verkhusha V.V. 2020. A set of monomeric near-infrared fluorescent proteins for multicolor imaging across scales. Nat. Commun. V. 11. P. 239. https://doi.org/10.1038/s41467-019-13897-6
- Merritt E.A., Bacon D.J. 1997. Raster3D: photorealistic molecular graphics. Methods Enzymol. V. 277. P. 505. https://doi.org/10.1016/S0076-6879(97)77028-9
- Mine Y., Ma F., Lauriau S. 2004. Antimicrobial peptides released by enzymatic hydrolysis of hen egg white lysozyme. J. Agric. Food Chem. V. 52(5). P. 1088. https://doi.org/10.1021/jf0345752
- Proctor V.A., Cunningham F.E. 1988. The chemistry of lysozyme and its use as a food preservative and a pharmaceutical. Crit. Rev. Food Sci. Nutr. V. 26. P. 359. https://doi.org/10.1080/10408398809527473
- Qian Y., Piatkevich K.D., Mc Larney B., Abdelfattah A.S., Mehta S., Murdock M.H., Gottschalk S., Molina R.S., Zhang W., Chen Y., Wu J., Drobizhev M., Hughes T.E., Zhang J., Schreiter E. et al. 2019. A genetically encoded near-infrared fluorescent calcium ion indicator. Nat. Methods. V. 16. P. 171. https://doi.org/10.1038/s41592-018-0294-6
- Rodriguez E.A., Campbell R.E., Lin J.Y., Lin M.Z., Miyawaki A., Palmer A.E., Shu X., Zhang J., Tsien R.Y. 2017. The growing and glowing toolbox of fluorescent and photoactive proteins. Trends Biochem. Sci. V. 42. P. 111. https://doi.org/10.1016/j.tibs.2016.09.010
- Schagger H. 2006. Tricine-SDS-PAGE. Nat. Protoc. V. 1. P. 16. https://doi.org/10.1038/nprot.2006.4
- Shcherbakova D.M., Baloban M., Pletnev S., Malashkevich V.N., Xiao H., Dauter Z., Verkhusha V.V. 2015. Molecular basis of spectral diversity in near-infrared phytochrome-based fluorescent proteins. Chem. Biol. V. 22. P. 1540. https://doi.org/10.1016/j.chembiol.2015.10.007
- Shcherbakova D.M., Cox Cammer N., Huisman T.M., Verkhusha V.V., Hodgson L. 2018a. Direct multiplex imaging and optogenetics of Rho GTPases enabled by near-infrared FRET. Nat. Chem. Biol. V. 14. P. 591. https://doi.org/10.1038/s41589-018-0044-1
- Shcherbakova D.M., Stepanenko O.V., Turoverov K.K., Verkhusha V.V. 2018b. Near-infrared fluorescent proteins: multiplexing and optogenetics across scales. Trends Biotechnol. V. 36. P. 1230. https://doi.org/10.1016/j.tibtech.2018.06.011
- Shin J.B., Pagana J., Gillespie P.G. 2009. Twist-off purification of hair bundles. Methods Mol. Biol. V. 493. P. 241. https://doi.org/10.1007/978-1-59745-523-7_14
- Stepanenko O.V., Baloban M., Bublikov G.S., Shcherbakova D.M., Stepanenko O.V., Turoverov K.K., Kuznetsova I.M., Verkhusha V.V. 2016. Allosteric effects of chromophore interaction with dimeric near-infrared fluorescent proteins engineered from bacterial phytochromes. Sci. Rep. V. 6. P. 18750. https://doi.org/10.1038/srep18750
- Stepanenko O.V., Kuznetsova I.M., Turoverov K.K., Stepanenko O.V. 2022. Impact of double covalent binding of BV in NIR FPs on their spectral and physicochemical properties. Int. J. Mol. Sci. V. 23. P. 7347. https://doi.org/10.3390/ijms23137347
- Stepanenko O.V., Stepanenko O.V., Bublikov G.S., Kuznetsova I.M., Verkhusha V.V., Turoverov K.K. 2017a. Stabilization of structure in near-infrared fluorescent proteins by binding of biliverdin chromophore. J. Mol. Str. V. 1140. P. 22. https://doi.org/10.1016/j.molstruc.2016.10.095
- Stepanenko O.V., Stepanenko O.V., Kuznetsova I.M., Shcherbakova D.M., Verkhusha V.V., Turoverov K.K. 2017b. Interaction of biliverdin chromophore with near-infrared fluorescent protein BphP1-FP engineered from bacterial phytochrome. Int. J. Mol. Sci. V. 18. P. 1009. https://doi.org/10.3390/ijms18051009
- Stepanenko O.V., Stepanenko O.V., Shpironok O.G., Fonin A.V., Kuznetsova I.M., Turoverov K.K. 2019. Near-Infrared markers based on bacterial phytochromes with phycocyanobilin as a chromophore. Int. J. Mol. Sci. V. 20. P. 6067. https://doi.org/10.3390/ijms20236067
- Subach O.M., Barykina N.V., Anokhin K.V., Piatkevich K.D., Subach F.V. 2019. Near-infrared genetically encoded positive calcium indicator based on GAF-FP bacterial phytochrome. Int. J. Mol. Sci. V. 20. P. 3488. https://doi.org/10.3390/ijms20143488
- Weissleder R. 2001. A clearer vision for in vivo imaging. Nat. Biotechnol. V. 19. P. 316. https://doi.org/10.1038/86684
- Yu D., Gustafson W.C., Han C., Lafaye C., Noirclerc-Savoye M., Ge W.P., Thayer D.A., Huang H., Kornberg T.B., Royant A., Jan L.Y., Jan Y.N., Weiss W.A., Shu X. 2014. An improved monomeric infrared fluorescent protein for neuronal and tumour brain imaging. Nat. Commun. V. 5. P. 3626. https://doi.org/10.1038/ncomms4626
Дополнительные файлы






