Роль MAP-киназ в индуцированном фосфорилировании гистона H2AX в трансформированных клетках
- Авторы: Гнедина О.О.1, Моршнева А.В.1, Иготти М.В.1
-
Учреждения:
- Институт цитологии РАН
- Выпуск: Том 65, № 1 (2023)
- Страницы: 54-63
- Раздел: Статьи
- URL: https://ogarev-online.ru/0041-3771/article/view/140067
- DOI: https://doi.org/10.31857/S0041377123010030
- EDN: https://elibrary.ru/GOTCEB
- ID: 140067
Цитировать
Полный текст
Аннотация
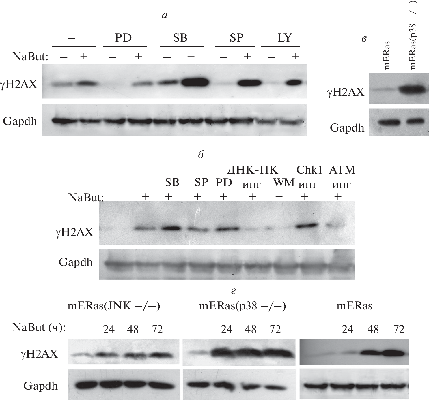
Ингибиторы гистондеацетилаз (ИГД) обладают антипролиферативными свойствами и являются перспективными агентами комбинированной противоопухолевой терапии. Ранее нами было показано, что представитель семейства ИГД бутират натрия (NaBut) самостоятельно не вызывает двунитевых разрывов ДНК (ДР-ДНК), однако, подобно генотоксическим агентам, инициирует накопление фосфорилированного гистона H2AX (γH2AX), являющегося маркером ДР-ДНК. ИГД способны также снижать эффективность репарации ДНК, поврежденной при генотоксических воздействиях, в трансформированных клетках. Цель настоящей работы состояла в идентификации сигнальных путей, приводящих к накоплению γH2AX при действии ИГД в трансформированных клетках. Для этого исследовали роль киназ семейства MAPK в NaBut-индуцированном фосфорилировании гистона H2AX, а также в ингибировании репарации ДНК. Мы показали, что накопление γH2AX в трансформированных клетках в ответ на действие NaBut сопровождается снижением уровня фосфорилирования киназ ERK и PKB/Akt. Активирующее фосфорилирование киназы р38 увеличивается при действии NaBut, вследствие чего накапливается фосфатаза Wip1, что может быть одной из причин ингибирования репарации ДНК. При этом подавление активности киназы p38 отменяет NaBut-индуцированное снижение эффективности репарации. Полученные нами результаты об отмене негативного влияния NaBut на репарацию ДНК при ингибировании MAP-киназы p38, а также данные о накоплении фосфатазы Wip1 при действии NaBut позволяют предположить, что путь p38/Wip1 вовлечен в NaBut-индуцированное снижение эффективности репарации в трансформированных клетках.
Об авторах
О. О. Гнедина
Институт цитологии РАН
Email: marie.igotti@gmail.com
Россия, 194064, Санкт-Петербург
А. В. Моршнева
Институт цитологии РАН
Email: marie.igotti@gmail.com
Россия, 194064, Санкт-Петербург
М. В. Иготти
Институт цитологии РАН
Автор, ответственный за переписку.
Email: marie.igotti@gmail.com
Россия, 194064, Санкт-Петербург
Список литературы
- Abramova M.V., Svetlikova S.B., Kukushkin A.N., Aksenov N.D., Pospelova T.V., Pospelov V.A. 2011. HDAC inhibitor sodium butyrate sensitizes E1A + Ras-transformed cells to DNA damaging agents by facilitating formation and persistence of γH2AX foci. Cancer Biol. Ther. V. 12. P. 1069.
- Adimoolam S., Sirisawad M., Chen J., Thiemann P., Ford J.M., Buggy J.J. 2007. HDAC inhibitor PCI-24781 decreases RAD51 expression and inhibits homologous recombination. Proc. Natl. Acad. Sci. USA. V. 104. P. 19482.
- Belova G.I., Demidov O., Fornace A.J., Bulavin D.V. 2005. Chemical inhibition of Wip1 phosphatase contributes to suppression of tumorigenesis. Cancer Biol. Ther. V. 4. P. 1154.
- Bennett B.L., Sasaki D.T., Murray B.W., O’Leary E.C., Sakata S.T., Xu W., Leisten J.C., Motiwala A., Pierce S., Satoh Y., Bhagwat S.S., Manning A.M., Anderson D.W. 2001. SP600125, an anthrapyrazolone inhibitor of Jun N-terminal kinase. Proc. Natl. Acad. Sci. USA. V. 98. P. 13681.
- Bian L., Meng Y., Zhang M., Li D. 2019. MRE11-RAD50-NBS1 complex alterations and DNA damage response: implications for cancer treatment. Mol. Cancer. V. 18. P. 169.
- Bradford M.M. 1976. A rapid and sensitive method for the quantitation of microgram quantities of protein utilizing the principle of protein-dye binding. Anal. Biochem. V. 72. P. 248.
- Cha H., Lowe J.M., Li H., Lee J.-S., Belova G.I., Bulavin D.V., Fornace A.J. 2010. Wip1 directly dephosphorylates gamma-H2AX and attenuates the DNA damage response. Cancer Res. V. 70. P. 4112.
- Eren M.K., Kartal N.B., Pilevneli H. 2021. Oncogenic WIP1 phosphatase attenuates the DNA damage response and sensitizes p53 mutant Jurkat cells to apoptosis. Oncol. Lett. V. 21. P. 479.
- Fiscella M., Zhang H., Fan S., Sakaguchi K., Shen S., Mercer W.E., Vande Woude G.F., O’Connor P.M., Appella E. 1997. Wip1, a novel human protein phosphatase that is induced in response to ionizing radiation in a p53-dependent manner. Proc. Natl. Acad. Sci. USA. V. 94. P. 6048.
- Fogarty M.P., Downer E.J., Campbell V. 2003. A role for c-Jun N-terminal kinase 1 (JNK1), but not JNK2, in the beta-amyloid-mediated stabilization of protein p53 and induction of the apoptotic cascade in cultured cortical neurons. Biochem. J. V. 371. P. 789.
- Gaymes T.J., Padua R.A., Pla M., Orr S., Omidvar N., Chomienne C., Mufti G.J., Rassool F.V. 2006. Histone deacetylase inhibitors (HDI) cause DNA damage in leukemia cells: a mechanism for leukemia-specific HDI-dependent apoptosis? Mol. Cancer Res. MCR. V. 4. P. 563.
- Gnedina O.O., Morshneva A.V., Skvortsova E.V., Igotti M.V. 2022. HDAC inhibitor sodium butyrate attenuates the DNA repair in transformed but not in normal fibroblasts. Int. J. Mol. Sci. V. 23. P. 3517.
- Golding S., Rosenberg E., Neill S., Dent P., Povirk L., Valerie K. 2007. Extracellular signal-related kinase positively regulates ataxia telangiectasia mutated, homologous recombination repair, and the DNA damage response. Cancer Res. V. 67. P. 1046.
- Goloudina A.R., Tanoue K., Hammann A., Fourmaux E., Le Guezennec X., Bulavin D.V., Mazur S.J., Appella E., Garrido C., Demidov O.N. 2012. Wip1 promotes RUNX2-dependent apoptosis in p53-negative tumors and protects normal tissues during treatment with anticancer agents. Proc. Natl. Acad. Sci. V. 109. P. E68.
- Kasibhatla S., Brunner T., Genestier L., Echeverri F., Mahboubi A., Green D.R. 1998. DNA damaging agents induce expression of Fas ligand and subsequent apoptosis in T lymphocytes via the activation of NF-κB and AP-1. Mol. Cell. V. 1. P. 543.
- Konsoula Z., Cao H., Velena A., Jung M. 2011. Adamantanyl-histone deacetylase inhibitor H6CAHA exhibits favorable pharmacokinetics and augments prostate cancer radiation sensitivity. Int. J. Radiat. Oncol. Biol. Phys. V. 79. P. 1541.
- Kumar S., Jiang M.S., Adams J.L., Lee J.C. 1999. Pyridinylimidazole compound SB 203580 inhibits the activity but not the activation of p38 mitogen-activated protein kinase. Biochem. Biophys. Res. Commun. V. 263. P. 825.
- Lee J.H., Choy M.L., Ngo L., Foster S.S., Marks P.A. 2010. Histone deacetylase inhibitor induces DNA damage, which normal but not transformed cells can repair. Proc. Natl. Acad. Sci. USA. V. 107. P. 14639.
- Lowe J., Cha H., Lee M.-O., Mazur S.J., Appella E., Fornace A.J. 2012. Regulation of the Wip1 phosphatase and its effects on the stress response. Front. Biosci. J. Virtual Libr. V. 17. P. 1480.
- Lu C., Zhu F., Cho Y.-Y., Tang F., Zykova T., Ma W., Bode A.M., Dong Z. 2006. Cell apoptosis: requirement of H2AX in DNA ladder formation, but not for the activation of caspase-3. Mol. Cell. V. 23. P. 121.
- Lu C., Shi Y., Wang Z., Song Z., Zhu M., Cai Q., Chen T. 2008. Serum starvation induces H2AX phosphorylation to regulate apoptosis via p38 MAPK pathway. FEBS Lett. V. 582. P. 2703.
- Menolfi D., Zha S. 2020. ATM, ATR and DNA-PKcs kinases–the lessons from the mouse models: inhibition ≠ deletion. Cell Biosci. V. 10. Article number 8.
- Moon S.-H., Lin L., Zhang X., Nguyen T.-A., Darlington Y., Waldman A.S., Lu X., Donehower L.A. 2010. Wild-type p53-induced phosphatase 1 dephosphorylates histone variant γ-H2AX and suppresses DNA double strand break repair. J. Biol. Chem. V. 285. P. 12935.
- Munshi A., Kurland J.F., Nishikawa T., Tanaka T., Hobbs M.L., Tucker S.L., Ismail S., Stevens C., Meyn R.E. 2005. Histone deacetylase inhibitors radiosensitize human melanoma cells by suppressing DNA repair activity. Clin. Cancer Res. V. 11. P. 4912.
- Nicholson J., Jevons S.J., Groselj B., Ellermann S., Konietzny R., Kerr M., Kessler B.M., Kiltie A.E. 2017. E3 Ligase cIAP2 mediates downregulation of MRE11 and radiosensitization in response to HDAC inhibition in bladder cancer. Cancer Res. V. 77. P. 3027.
- Pechackova S., Burdova K., Benada J., Kleiblova P., Jenikova G., Macurek L. 2016. Inhibition of WIP1 phosphatase sensitizes breast cancer cells to genotoxic stress and to MDM2 antagonist nutlin-3. Oncotarget. V. 7. P. 14458.
- Phong M.S., Van Horn R.D., Li S., Tucker-Kellogg G., Surana U., Ye X.S. 2010. P38 mitogen-activated protein kinase promotes cell survival in response to DNA damage but is not required for the G2 DNA damage checkpoint in human cancer cells. Mol. Cell. Biol. V. 30. P. 3816.
- Picco V., Pagès G. 2013. Linking JNK activity to the DNA damage response. Genes Cancer. V. 4. P. 360.
- Pospelova T.V., Medvedev A.V., Kukushkin A.N., Svetlikova S.B., van der Eb A.J., Dorsman J.C., Pospelov V.A. 1999. E1A + cHa-ras transformed rat embryo fibroblast cells are characterized by high and constitutive DNA binding activities of AP-1 dimers with significantly altered composition. Gene Expr. V. 8. P. 19.
- Rogakou E.P., Pilch D.R., Orr A.H., Ivanova V.S., Bonner W.M. 1998. DNA double-stranded breaks induce histone H2AX phosphorylation on serine 139. J. Biol. Chem. V. 273. P. 5858.
- Sanchez-Prieto R., Rojas J.M., Taya Y., Gutkind J.S. 2000. A role for the p38 mitogen-acitvated protein kinase pathway in the transcriptional activation of p53 on genotoxic stress by chemotherapeutic agents. Cancer Res. V. 60. P. 2464.
- Shreeram S., Demidov O.N., Hee W.K., Yamaguchi H., Onishi N., Kek C., Timofeev O.N., Dudgeon C., Fornace A.J., Anderson C.W., Minami Y., Appella E., Bulavin D.V. 2006. Wip1 phosphatase modulates ATM-dependent signaling pathways. Mol. Cell. V. 23. P. 757.
- Sluss H.K., Davis R.J. 2006. H2AX is a target of the JNK signaling pathway that is required for apoptotic DNA fragmentation. Mol. Cell. V. 23. P. 152.
- Tafolla E., Wang S., Wong B., Leong J., Kapila Y.L. 2005. JNK1 and JNK2 oppositely regulate p53 in signaling linked to apoptosis triggered by an altered fibronectin matrix: JNK links FAK and p53. J. Biol. Chem. V. 280. P. 19992.
- Thurn K.T., Thomas S., Raha P., Qureshi I., Munster P.N. 2013. Histone deacetylase regulation of ATM-mediated DNA damage signaling. Mol. Cancer Ther. V. 12. P. 1535.https://doi.org/10.1158/1535
- Van Attikum H., Gasser S.M. 2009. Crosstalk between histone modifications during the DNA damage response. Trends Cell Biol. V. 19. P. 207.
- Wang D., Zhao M., Chen G., Cheng X., Han X., Lin S., Zhang X., Yu X. 2013. The histone deacetylase inhibitor vorinostat prevents TNFα-induced necroptosis by regulating multiple signaling pathways. Apoptosis Int. J. Program. Cell Death. V. 18. P. 1348.
- Wang H., Zhou W., Zheng Z., Zhang P., Tu B., He Q., Zhu W.-G. 2012. The HDAC inhibitor depsipeptide transactivates the p53/p21 pathway by inducing DNA damage. DNA Repair. V. 11. P. 146.
- Wei F., Yan J., Tang D. 2011. Extracellular signal-regulated kinases modulate DNA damage response – a contributing factor to using MEK inhibitors in cancer therapy. Curr. Med. Chem. V. 18. P. 5476.
- Wu D., Chen B., Parihar K., He L., Fan C., Zhang J., Liu L., Gillis A., Bruce A., Kapoor A., Tang D. 2006. ERK activity facilitates activation of the S-phase DNA damage checkpoint by modulating ATR function. Oncogene. V. 25. P. 1153.
- Wu Y.-H., Hong C.-W., Wang Y.-C., Huang W.-J., Yeh Y.-L., Wang B.-J., Wang Y.-J., Chiu H.-W. 2017. A novel histone deacetylase inhibitor TMU-35435 enhances etoposide cytotoxicity through the proteasomal degradation of DNA-PKcs in triple-negative breast cancer. Cancer Lett. V. 400. P. 79.
- Yan Y., Black C.P., Cowan K.H. 2007. Irradiation-induced G2/M checkpoint response requires ERK1/2 activation. Oncogene. V. 26. P. 4689.
- Ye M., Zhang Y., Gao H., Xu Y., Jing P., Wu J., Zhang X., Xiong J., Dong C., Yao L., Zhang J., Zhang J. 2018. Activation of the aryl hydrocarbon receptor leads to resistance to EGFR TKIs in non-small cell lung cancer by activating Src-mediated bypass signaling. Clin. Cancer Res. Off. J. Am. Assoc. Cancer Res. V. 24. P. 1227.
- Young P.R., McLaughlin M.M., Kumar S., Kassis S., Doyle M.L., McNulty D., Gallagher T.F., Fisher S., McDonnell P.C., Carr S.A., Huddleston M.J., Seibel G., Porter T.G., Livi G.P., Adams J.L. et al. 1997. Pyridinyl imidazole inhibitors of p38 mitogen-activated protein kinase bind in the ATP site. J. Biol. Chem. V. 272. P. 12116.
Дополнительные файлы






