Приставка к оптическому люминесцентному микроскопу ЛЮМАМ-ИУФ1 для наблюдения наночастиц в глубоком УФ-диапазоне
- Authors: Соколов В.И.1, Глебов В.Н.1, Горячук И.О.1, Малютин A.М.1
-
Affiliations:
- НИЦ “Курчатовский институт”, КК КиФ
- Issue: No 6 (2024)
- Pages: 152–155
- Section: ПРИБОРЫ, ИЗГОТОВЛЕННЫЕ В ЛАБОРАТОРИЯХ
- URL: https://ogarev-online.ru/0032-8162/article/view/288522
- DOI: https://doi.org/10.31857/S0032816224060193
- EDN: https://elibrary.ru/EJZSRA
- ID: 288522
Cite item
Full Text
Full Text
Современное развитие интегральной оптики, микроэлектроники и технологий синтеза функциональных наночастиц приводит к необходимости создания метрологических средств контроля, обладающих все более высоким пространственным разрешением. Многие ведущие мировые оптические компании, такие как Leica Microsystems [1–5], Hitachi [6, 7], Olympus [8], Corning Tropel Corporation [9] и др. проводят исследования в области создания оптических микроскопов глубокого УФ- (ГУФ-) диапазона, работающих на длинах волн l = 266, 248, 213, 193 нм и обладающих улучшенным пространственным разрешением. В России аналогичные исследования проводятся в ряде институтов РАН [10, 11], а также в некоторых компаниях [12].
Как известно, согласно критерию Рэлея, разрешение R оптического микроскопа определяется рабочей длиной волны света l и числовой апертурой NA объектива [13]:
R = 0.61 l / NA, (1)
где R — минимальный размер объекта, форма которого может быть разрешена на оптическом микроскопе. При этом также используется критерий полупериода рэлеевского разрешения Rhp = R/2 (half pitch Rayleigh resolution) [3, 4], который лучше соответствует экспериментальной практике, например при анализе литографических масок. Из выражения (1) следует, что улучшение пространственного разрешения (уменьшение R) может быть достигнуто либо за счет уменьшения рабочей длины волны l, либо путем использования объективов с более высокой числовой апертурой.
В 2006 г. фирма Olympus (Япония) представила на рынке научных приборов приставку U-UVF248, оснащенную “сухим” объективом MApo248NC 100x/0.90 [8]. Приставка работает в диапазоне длин волн 248 ± 4 нм, может быть сопряжена со стандартным оптическим микроскопом, производимым фирмой Olympus (например, с моделью MX51), и обеспечивает латеральное разрешение на уровне Rhp ≈ 84 нм. Аналогичную систему разработала компания Leica [10]. При этом на Ленинградском оптико-механическом объединении (ЛОМО) еще в 1970-х гг. были созданы линзовые (кварц-флюоритовые) и зеркально-линзовые объективы для работы в ГУФ-области спектра [14, 15], предназначенные для микроскопов с длиной тубуса 160 мм, например для люминесцентного микроскопа ЛЮМАМ-ИУФ1. В настоящей статье сообщается о создании приставки к ЛЮМАМ-ИУФ1 для работы в спектральном диапазоне 248–590 нм. Разработанная приставка была использована для анализа размеров и формы фторидных нанокристаллов b-NaYF4:Yb3+,Tm3+ как в проходящем свете, так и в свете их фотолюминесценции (ФЛ).
Рис. 1. Схема оптического микроскопа ЛЮМАМ-ИУФ1 с приставкой (а) и его фотография (б): 1 — УФ-камера SCM2020-UV, 2 — узкополосный интерференционный фильтр, 3 — фотоокуляр, 4 — оптический фильтр, 5 — светоделительная пластинка, 6 — объектив ОНЗ-125, 7 — исследуемый образец, 8 — объектив подсветки ОК-58, 9 — волоконно-оптический кабель, 10 — монохроматор M266, 11 — система линз, 12 — оптоволоконный кабель, 13 — управляющий ПК, 14 — полупроводниковый лазер возбуждения ФЛ наночастиц b-NaYF4:Yb3+,Tm3+ с волоконным выводом излучения (длина волны 980 нм), 15 — предварительный полосовой светофильтр, 16 — кварцевый конденсор, 17 — лампа ДКсШ-120 в фонаре. Стрелками обозначен ход световых лучей.
Оптическая схема микроскопа ЛЮМАМ-ИУФ1 с приставкой показана на рис. 1а, на рис. 1б дана его фотография. Микроскоп позволяет получать фотографии наночастиц в свете их фотолюминесценции (режим работы “на отражение”), а также при подсветке ГУФ-излучением в режиме “на пропускание”. В первом случае наночастицы b-NaYF4:Yb3+,Tm3+ освещались ИК-светом полупроводникового лазера с длиной волны 980 нм и регистрировалось их излучение в ап-конверсии в полосе 343 ± 3 нм. Во втором случае частицы освещались светом с длиной волны 235–590 нм, который выделялся из спектра излучения ксеноновой лампы ДКсШ-120 с использованием полосовых оптических фильтров и монохроматора М266 (СОЛАР ЛС, Беларусь) с фокусным расстоянием 284 мм. Для записи изображения использовалась УФ-камера SCM2020-UV (EHD Imaging GmbH), оснащенная сенсором GSENSE2020BSI (2048 × × 2048 пикселей размером 6.5 × 6.5 мкм2), чувствительная в диапазоне длин волн 200–1300 нм.
При регистрации ФЛ наночастиц b-NaYF4: Yb3+,Tm3+ в режиме “на отражение” излучение полупроводникового лазера 14 с помощью волоконно-оптического кабеля 12 и системы линз 11 направлялось на светоделительную пластину 5. Специально изготовленная пластина 5 со спектроделительным интерференционным покрытием имела коэффициент отражения R ≈ 90% при угле 45º и коэффициент пропускания T ≈ 10% на длине волны накачки 980 нм. Это позволило избавиться от попадания излучения накачки на сенсор УФ-камеры. Коэффициент пропускания пластины 5 в диапазоне 248–345 нм лежал в пределах 50–90%. Светофильтры 2 и 4 вырезали из спектра ФЛ наночастиц спектральную полосу 343 ± 3 нм, соответствующую переходу 1I6 → 3F4 в ионах Tm3+.
Работа микроскопа в режиме “на пропускание” осуществлялась следующим образом. Излучение лампы 17 с помощью конденсора 16 через предварительный светофильтр 15 фокусировалось на входную щель монохроматора M266 10. Ширина входной и выходной щелей монохроматора составляла 1 мм, что при использовании дифракционной решетки 1800 штр/мм обеспечивало спектральную ширину выходящего из него излучения Dl ≈ 2 нм. Это излучение собиралось волоконно-оптическим кабелем (ВОК) 9 производства компании “Optofiber” (Россия) и направлялось на исследуемый объект 7 через объектив подсветки 8 (ОК-58 [14, 15]). Для наблюдения наночастиц использовался зеркально-линзовый объектив 6 (ОНЗ-125 [14, 15]) с увеличением 125x и числовой апертурой 1.1. Для фотографирования наночастиц применялась фотонасадка МФН-10У4.2 с кварцевым фотоокуляром 3, обеспечивающим увеличение 8x, а в качестве детектора — камера SCM2020-UV. Размер поля зрения камеры составлял 40 × 40 мкм2. Микроскоп размещался на специальном вибрационно-изолированном столе.
Фторидные нанокристаллы b-NaYF4, легированные редкоземельными элементами Yb, Tm, Er, Ce, востребованы для создания компактных волноводных усилителей света и лазеров [16, 17]. Такие наночастицы диаметром от 600 до 800 нм и толщиной 200–350 нм были синтезированы нами методом термического разложения трифторацетатов редкоземельных элементов и натрия в бескислородной среде с контролем in situ фотолюминесценции в ап-конверсии [18]. Частицы наносилиcь на специально изготовленные кварцевые стекла толщиной 0.17 мм, на которую рассчитан объектив ОНЗ-125. Особенность наблюдения наночастиц состояла в том, что глубина фокуса объектива ОНЗ-125, определяемая соотношением 0.5 l / NA2 (см. [14, 15]), на длине волны l = 343 нм составляет 142 нм, что меньше толщины наночастиц. Это не позволяет получить четкое изображение всей частицы по высоте и, как правило, требует применения 3D-моделей для анализа изображений.
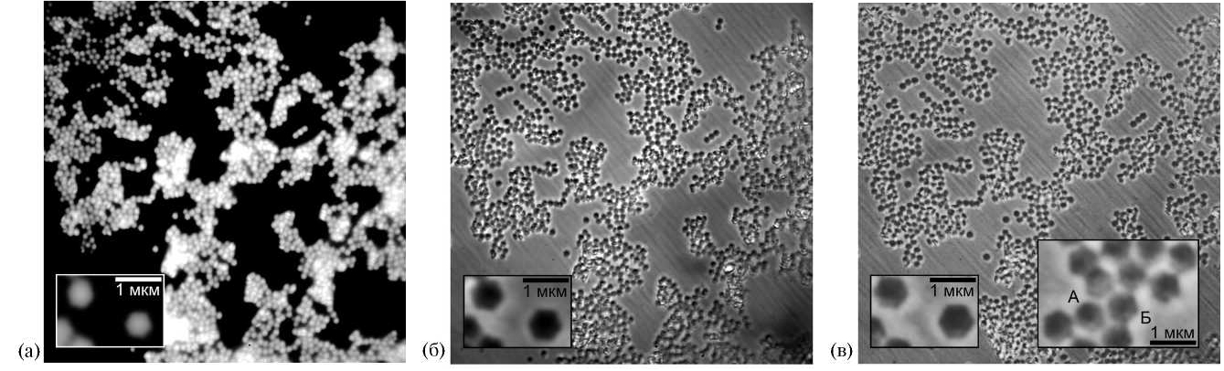
На рис. 2 представлены фотографии частиц b-NaYF4:Yb3+,Tm3+ со средним диаметром D ≈ 710 нм, полученные в свете ФЛ в ап-конверсии на длине волны 343 нм и в режиме “на просвет” при подсветке излучением с длиной волны 343 и 248 нм. Расположение наночастиц на всех фотографиях на рис. 2 (в свете ФЛ и в проходящем ГУФ-свете) идентично, что позволяет заключить, что наблюдаемые нанообъекты действительно являются частицами b-NaYF4:Yb3+,Tm3+. Четко видна гексагональная форма частиц с диаметром D ≈ 710 нм, подтверждающая, что наночастицы находятся в гексагональной b-фазе. Разработанная приставка позволяет получать изображения наночастиц и на более малых длинах волн, например 235 нм. Однако следует иметь в виду, что зеркально-линзовый объектив ОНЗ-125 спроектирован для работы в спектральном диапазоне 250–590 нм. Поэтому его разрешающая способность на длинах волн меньше 250 нм может ухудшаться вследствие аберраций.
Рис. 2. Фотографии наночастиц b-NaYF4:Yb3+,Tm3+ со средним диаметром D ≈ 710 нм, полученные на длине волны 343 нм в свете ФЛ при накачке излучением с длиной волны 980 нм (а) и при подсветке в режиме “на просвет” с длиной волны 343 нм (б) и 248 нм (в). На вставках приведены увеличенные в 5 раз фрагменты этих фотографий.
Средний размер D ≈ 710 нм частиц b-NaYF4: Yb3+,Tm3+, изображенных на рис. 2, оценивался путем измерения расстояния между противоположными углами соответствующего гексагона, при этом расстояние между противоположными сторонами гексагона составляет 610 нм. Оценим разрешающую способность микроскопа с приставкой. На рис. 2в хорошо видны две частицы, обозначенные буквами А и Б. Расстояние между центрами этих частиц равно 760 нм, ширина зазора между ними равна 150 нм. Эту ширину можно считать экспериментальной оценкой латерального разрешения Rэксп ≈ 150 нм, которая близка к теоретическому значению R = 138 нм, рассчитанному по формуле (1) на длине волны 248 нм для иммерсионного объектива 125х/1.1 (ОНЗ-125, ЛОМО). Дальнейшее улучшение разрешающей способности микроскопа с приставкой может быть достигнуто путем применения ГУФ-объективов с более высокой числовой апертурой, а также переходом к более малым длинам волн (200–240 нм).
Таким образом, создана приставка для люминесцентного оптического микроскопа ЛЮМАМ-ИУФ1, позволяющая проводить анализ размеров и формы наночастиц диаметром 600–800 нм в спектральном диапазоне l = 248–590 нм. При ее изготовлении использовались только компоненты российского и белорусского производства (за исключением УФ-камеры). Система ГУФ-микроскопии может быть использована также для анализа критических размеров элементов кремниевых сверхбольших интегральных схем и литографических масок в микроэлектронике.
ФИНАНСИРОВАНИЕ РАБОТЫ
Работа проведена в рамках выполнения государственного задания НИЦ “Курчатовский институт”.
About the authors
В. И. Соколов
НИЦ “Курчатовский институт”, КК КиФ
Author for correspondence.
Email: visokol@rambler.ru
Russian Federation, 119333, Москва, Ленинский проспект, 59
В. Н. Глебов
НИЦ “Курчатовский институт”, КК КиФ
Email: visokol@rambler.ru
Russian Federation, 119333, Москва, Ленинский проспект, 59
И. О. Горячук
НИЦ “Курчатовский институт”, КК КиФ
Email: visokol@rambler.ru
Russian Federation, 119333, Москва, Ленинский проспект, 59
A. М. Малютин
НИЦ “Курчатовский институт”, КК КиФ
Email: visokol@rambler.ru
Russian Federation, 119333, Москва, Ленинский проспект, 59
References
- Sure T., Heil J., Wesner J. // Proc. of SPIE. 2003. V. 5180. P. 283.https://doi.org/10.1117/12.505803
- Vollrath W., Bold A., Heiden M., Hoppen G., Paulus I. // DGaO Proc. 2005. A28. P. 1/2.https://doi.org/10.1117/12.624560
- Schlueter G., Steinberg W., Whittey J. // Proc. of SPIE 2002. V. 4562. P. 379.https://doi.org/10.1117/12.458314
- Vollrath W. // Proc. of SPIE. 2005. V. 5865. P. 58650E-1.https://doi.org/10.1117/12.624560
- Sure T., Bauer T., Heil J., Wesner J. // Proc. of SPIE. 2005. V. 5965. P. 59651H-1.https://doi.org/10.1117/12.625009
- Eguchi N., Oka M., Imai Y., Saito M., Kubota S. // Proc. of SPIE. 1999. V. 3740. P. 394.https://doi.org/10.1117/12.347845
- Watanabe K., Maeda S., Funakoshi T., Miyazaki Y. // Hitachi Rev. 2005. V. 54. № 1. P. 22.
- www.olympus.com. Deep Ultraviolet observation system for microscopes U-UVF248
- https://www.corning.com/ru/ru/products/advanced-optics/product-materials/precision-inspection-optics/tropel-ucat-uv-micro-objectives.html
- Введенский С.А., Захарченко А.А., Троицкий В.Ю. // Электроника: Наука, Технология, Бизнес. 2005. № 1. C. 59.
- Горячук И.О., Глазунова Е.Н., Молчанова С.И., Соколов В.И. // Фторные заметки. 2023. Т. 151. C. 5. https://doi.org/10.17677/fn20714807.2023.06.03
- https://www.labor-microscopes.ru/ Frolov D.N., Vinogradova O.A., Frolov A.D. // Advanced Photonics Congress (BGPP, IPR, NP, Networks, NOMA, Sensors, SOF, SPPCom). OSA 2018. P. JTu2A.25.https://doi.org/10.1364/BGPPM.2018.JTu2A.25
- Ландсберг Г.С., Оптика. Москва: Наука, 1976.
- Панов В.А., Андреев Л.Н. Оптика микроскопов. Расчет и проектирование. Ленинград: Машиностроение, Ленинградское отделение, 1976.
- Федин Л.А. Микроскопы, принадлежности к ним и лупы. Справочная книга. Москва: Оборонгиз, 1961.
- Liu X., Zhang M., Hu G. // Nanomaterials. 2022. V. 12. P. 2937.https://doi.org/10.3390/nano12172937
- Хайдуков К.В., Крылов И.В., Николаева М.Е., Рочева В.В. // Оптика и спектроскопия. 2023. Т. 131. № 5. C. 655.https://doi.org/10.21883/OS.2023.05.55718.75-22
- Соколов В.И., Глазунова Е.Н., Горячук И.О., Молчанова С.И. // Фторные заметки. 2023. Т. 146. C. 3.https://doi.org/10.17677/fn20714807.2023.01.02
Supplementary files




