Линия трансгенных мышей APPswe/PS1dE9/Blg для моделирования церебрального амилоидоза при болезни Альцгеймера
- Авторы: Лысикова Е.А.1, Кузубова Е.В.2, Радченко А.И.2, Патраханов Е.А.2, Чапров К.Д.1,2, Корокин М.В.2, Дейкин А.В.2, Гудырев О.С.2, Покровский М.В.2
-
Учреждения:
- Институт физиологически активных веществ Российской академии наук
- Белгородский государственный национальный исследовательский университет
- Выпуск: Том 57, № 1 (2023)
- Страницы: 85-94
- Раздел: ГЕНОМИКА. ТРАНСКРИПТОМИКА
- URL: https://ogarev-online.ru/0026-8984/article/view/138601
- DOI: https://doi.org/10.31857/S0026898423010081
- EDN: https://elibrary.ru/AXGEVN
- ID: 138601
Цитировать
Полный текст
Аннотация
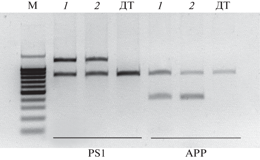
Болезнь Альцгеймера – наиболее распространенная протеинопатия, при которой у пациента наблюдается неуклонное снижение когнитивных функций с одновременным накоплением в тканях мозга амилоидных бляшек – внеклеточных агрегатов амилоида β (Аβ), ассоциированных с нейровоспалением и нейродегенерацией. Крысы и мыши, Аβ которых отличаются от Аβ человека и других млекопитающих тремя аминокислотными заменами, не подвержены патологии альцгеймеровского типа. Однако в мозге трансгенных мышей со сверхэкспрессией Аβ человека наблюдается появление амилоидных бляшек, что позволяет широко использовать этих животных в биомедицине для моделирования ключевых аспектов болезни Альцгеймера. Трансгенные мыши линии APPswe/PS1dE9 часто используются для исследования молекулярных механизмов болезни Альцгеймера. В настоящей работе нами охарактеризована линия мышей APPswe/PS1dE9/Blg, полученная в результате скрещивания линии APPswe/PS1dE9 на генетическом фоне СH3 с животными С57Bl6/Chg. Нами показано, что показатели фертильности и выживаемости потомства у животных данной линии не отличаются от показателей у контрольных животных дикого типа. Гистологический анализ мозга животных APPswe/PS1dE9/Blg подтвердил сохранение нейроморфологических признаков БА с увеличением количества и размеров амилоидных бляшек в мозге по мере старения животных. Таким образом животные линии APPswe/PS1dE9/Blg являются удобной моделью при поиске терапевтических стратегий замедления прогрессии БА.
Ключевые слова
Об авторах
Е. А. Лысикова
Институт физиологически активных веществ Российской академии наук
Автор, ответственный за переписку.
Email: lysikova.ipac@gmail.com
Россия, 142432, Черноголовка
Е. В. Кузубова
Белгородский государственный национальный исследовательский университет
Email: lysikova.ipac@gmail.com
Россия, 308015, Белгород
А. И. Радченко
Белгородский государственный национальный исследовательский университет
Email: lysikova.ipac@gmail.com
Россия, 308015, Белгород
Е. А. Патраханов
Белгородский государственный национальный исследовательский университет
Email: lysikova.ipac@gmail.com
Россия, 308015, Белгород
К. Д. Чапров
Институт физиологически активных веществ Российской академии наук; Белгородский государственный национальный исследовательский университет
Email: lysikova.ipac@gmail.com
Россия, 142432, Черноголовка; Россия, 308015, Белгород
М. В. Корокин
Белгородский государственный национальный исследовательский университет
Email: lysikova.ipac@gmail.com
Россия, 308015, Белгород
А. В. Дейкин
Белгородский государственный национальный исследовательский университет
Email: lysikova.ipac@gmail.com
Россия, 308015, Белгород
О. С. Гудырев
Белгородский государственный национальный исследовательский университет
Email: lysikova.ipac@gmail.com
Россия, 308015, Белгород
М. В. Покровский
Белгородский государственный национальный исследовательский университет
Email: lysikova.ipac@gmail.com
Россия, 308015, Белгород
Список литературы
- Konttinen H., Cabral-da-Silva M.E.C., Ohtonen S., Wojciechowski S., Shakirzyanova A., Caligola S., Giugno R., Ishchenko Y., Hernandez D., Fazaludeen M.F., Eamen S., Budia M.G., Fagerlund I., Scoyni F., Korhonen P., Huber N., Haapasalo A., Hewitt A.W., Vickers J., Smith G.C., Oksanen M., Graff C., Kanninen K.M., Lehtonen S., Propson N., Schwartz M.P., Pebay A., Koistinaho J., Ooi L., Malm T. (2019) PSEN1DeltaE9, APPswe, and APOE4 confer disparate phenotypes in human iPSC-derived microglia. Stem. Cell Rep. 13, 669–683.
- Шелковникова Т.А., Куликова А.А., Цветков Ф.О., Peters O., Бачурин С.О., Бухман В.Л., Нинкина Н.Н. (2012) Протеинопатии – формы нейродегенеративных заболеваний, в основе которых лежит патологическая агрегация белков. Молекуляр. биология. 46, 402–415.
- Masters C.L., Bateman R., Blennow K., Rowe C.C., Sperling R.A., Cummings J.L. (2015) Alzheimer’s disease. Nat. Rev. Dis. Primers. 1, 15056.
- Kozin S.A., Cheglakov I.B., Ovsepyan A.A., Telegin G.B., Tsvetkov P.O., Lisitsa A.V., Makarov A.A. (2013) Peripherally applied synthetic peptide isoAsp7-Abeta(1-42) triggers cerebral beta-amyloidosis. Neurotoxicity Res. 24, 370–376.
- Evin G., Li Q.X. (2012) Platelets and Alzheimer’s disease: potential of APP as a biomarker. W. J. Psychiatry. 2, 102–113.
- Vetrivel K.S., Thinakaran G. (2006) Amyloidogenic processing of beta-amyloid precursor protein in intracellular compartments. Neurology. 66, S69–73.
- De Strooper B., Annaert W. (2010) Novel research horizons for presenilins and gamma-secretases in cell biology and disease. Annu. Rev. Cell. Dev. Biol. 26, 235–260.
- Manczak M., Kandimalla R., Yin X., Reddy P.H. (2018) Hippocampal mutant APP and amyloid beta-induced cognitive decline, dendritic spine loss, defective autophagy, mitophagy and mitochondrial abnormalities in a mouse model of Alzheimer’s disease. Hum. Mol. Genet. 27, 1332–1342.
- Pan J.X., Sun D., Lee D., Xiong L., Ren X., Guo H.H., Yao L.L., Lu Y., Jung C., Xiong W.C. (2021) Osteoblastic Swedish mutant APP expedites brain deficits by inducing endoplasmic reticulum stress-driven senescence. Commun. Biol. 4, 1326.
- Татарникова О.Г., Орлов М.А., Бобкова Н.В. (2015) Бета-амилоид и тау-белок: структура, взаимодействие и прионоподобные свойства. Успехи биол. химии. 55, 351–390.
- Armstrong R.A. (2019) Risk factors for Alzheimer’s disease. Folia Neuropathol. 57, 87–105.
- Jankowsky J.L., Fadale D.J., Anderson J., Xu G.M., Gonzales V., Jenkins N.A., Copeland N.G., Lee M.K., Younkin L.H., Wagner S.L., Younkin S.G., Borchelt D.R. (2004) Mutant presenilins specifically elevate the levels of the 42 residue beta-amyloid peptide in vivo: evidence for augmentation of a 42-specific gamma secretase. Hum. Mol. Genet. 13, 159–170.
- Sasaguri H., Hashimoto S., Watamura N., Sato K., Takamura R., Nagata K., Tsubuki S., Ohshima T., Yoshiki A., Sato K., Kumita W., Sasaki E., Kitazume S., Nilsson P., Winblad B., Saito T., Iwata N., Saido T.C. (2022) Recent advances in the modeling of Alzheimer’s disease. Front. Neurosci. 16, 807473.
- Games D., Adams D., Alessandrini R., Barbour R., Borthelette P., Blackwell C., Carr T., Clemens J., Donaldson T., Gillespie F., Guido T., Hagopian S., Johnson-Wood K., Khan K., Lee M., Leibowitz P., Lieberburg I., Little S., Masliah E., McConlogue L., Montoya-Zavala M., Mucke L., Paganini L., Penniman E., Power M., Schenk D., Seubert P., Snyder B., Soriano F., Tan H., Vitale J., Wadsworth S., Wolozin B., Zhao J. (1995) Alzheimer-type neuropathology in transgenic mice overexpressing V717F beta-amyloid precursor protein. Nature. 373, 523–527.
- Kuo Y.M., Beach T.G., Sue L.I., Scott S., Layne K.J., Kokjohn T.A., Kalback W.M., Luehrs D.C., Vishnivetskaya T.A., Abramowski D., Sturchler-Pierrat C., Staufenbiel M., Weller R.O., Roher A.E. (2001) The evolution of A beta peptide burden in the APP23 transgenic mice: implications for A beta deposition in Alzheimer disease. Mol. Med. 7, 609–618.
- Hsiao K., Chapman P., Nilsen S., Eckman C., Harigaya Y., Younkin S., Yang F., Cole G. (1996) Correlative memory deficits, Abeta elevation, and amyloid plaques in transgenic mice. Science. 274, 99–102.
- Davis J., Xu F., Deane R., Romanov G., Previti M.L., Zeigler K., Zlokovic B.V., Van Nostrand W.E. (2004) Early-onset and robust cerebral microvascular accumulation of amyloid beta-protein in transgenic mice expressing low levels of a vasculotropic Dutch/Iowa mutant form of amyloid beta-protein precursor. J. Biol. Chem. 279, 20296–20306.
- Oddo S., Caccamo A., Shepherd J.D., Murphy M.P., Golde T.E., Kayed R., Metherate R., Mattson M.P., Akbari Y., LaFerla F.M. (2003) Triple-transgenic model of Alzheimer’s disease with plaques and tangles: intracellular Abeta and synaptic dysfunction. Neuron. 39, 409–421.
- Jankowsky J.L., Slunt H.H., Ratovitski T., Jenkins N.A., Copeland N.G., Borchelt D.R. (2001) Co-expression of multiple transgenes in mouse CNS: a comparison of strategies. Biomol. Engin. 17, 157–165.
- Oakley H., Cole S.L., Logan S., Maus E., Shao P., Craft J., Guillozet-Bongaarts A., Ohno M., Disterhoft J., Van Eldik L., Berry R., Vassar R. (2006) Intraneuronal beta-amyloid aggregates, neurodegeneration, and neuron loss in transgenic mice with five familial Alzheimer’s disease mutations: potential factors in amyloid plaque formation. J. Neurosci. 26, 10129–10140.
- Mucke L., Masliah E., Yu G.Q., Mallory M., Rockenstein E.M., Tatsuno G., Hu K., Kholodenko D., Johnson-Wood K., McConlogue L. (2000) High-level neuronal expression of abeta 1–42 in wild-type human amyloid protein precursor transgenic mice: synaptotoxicity without plaque formation. J. Neurosci. 20, 4050–4058.
- Radde R., Bolmont T., Kaeser S.A., Coomaraswamy J., Lindau D., Stoltze L., Calhoun M.E., Jaggi F., Wolburg H., Gengler S., Haass C., Ghetti B., Czech C., Holscher C., Mathews P.M., Jucker M. (2006) Abeta42-driven cerebral amyloidosis in transgenic mice reveals early and robust pathology. EMBO Rep. 7, 940–946.
- Holcomb L., Gordon M.N., McGowan E., Yu X., Benkovic S., Jantzen P., Wright K., Saad I., Mueller R., Morgan D., Sanders S., Zehr C., O’Campo K., Hardy J., Prada C.M., Eckman C., Younkin S., Hsiao K., Duff K. (1998) Accelerated Alzheimer-type phenotype in transgenic mice carrying both mutant amyloid precursor protein and presenilin 1 transgenes. Nat. Med. 4, 97–100.
- Kurt M.A., Davies D.C., Kidd M., Duff K., Rolph S.C., Jennings K.H., Howlett D.R. (2001) Neurodegenerative changes associated with beta-amyloid deposition in the brains of mice carrying mutant amyloid precursor protein and mutant presenilin-1 transgenes. Exp. Neurol. 171, 59–71.
- McGowan E., Sanders S., Iwatsubo T., Takeuchi A., Saido T., Zehr C., Yu X., Uljon S., Wang R., Mann D., Dickson D., Duff K. (1999) Amyloid phenotype characterization of transgenic mice overexpressing both mutant amyloid precursor protein and mutant presenilin 1 transgenes. Neurobiol. Dis. 6, 231–244.
- Toda T., Noda Y., Ito G., Maeda M., Shimizu T. (2011) Presenilin-2 mutation causes early amyloid accumulation and memory impairment in a transgenic mouse model of Alzheimer’s disease. J. Biomed. Biotechnol. 2011, 617974.
- Rockenstein E., Mallory M., Mante M., Sisk A., Masliaha E. (2001) Early formation of mature amyloid-beta protein deposits in a mutant APP transgenic model depends on levels of Abeta(1-42). J. Neurosci. Res. 66, 573–582.
- Platt B., Drever B., Koss D., Stoppelkamp S., Jyoti A., Plano A., Utan A., Merrick G., Ryan D., Melis V., Wan H., Mingarelli M., Porcu E., Scrocchi L., Welch A., Riedel G. (2011) Abnormal cognition, sleep, EEG and brain metabolism in a novel knock-in Alzheimer mouse, PLB1. PloS One. 6, e27068.
- Saito T., Matsuba Y., Mihira N., Takano J., Nilsson P., Itohara S., Iwata N., Saido T.C. (2014) Single App knock-in mouse models of Alzheimer’s disease. Nat. Neurosci. 17, 661–663.
- Sato K., Watamura N., Fujioka R., Mihira N., Sekiguchi M., Nagata K., Ohshima T., Saito T., Saido T.C., Sasaguri H. (2021) A third-generation mouse model of Alzheimer’s disease shows early and increased cored plaque pathology composed of wild-type human amyloid beta peptide. J. Biol. Chem. 297, 101004.
- Jankowsky J.L., Xu G., Fromholt D., Gonzales V., Borchelt D.R. (2003) Environmental enrichment exacerbates amyloid plaque formation in a transgenic mouse model of Alzheimer disease. J. Neuropathol. Exp. Neurol. 62, 1220–1227.
- Lysikova E.A., Kukharsky M.S., Chaprov K.D., Vasilieva N.A., Roman A.Y., Ovchinnikov R.K., Deykin A.V., Ninkina N., Buchman V.L. (2019) Behavioural impairments in mice of a novel FUS transgenic line recapitulate features of frontotemporal lobar degeneration. Genes Brain Behavior. 18, e12607.
- D'Angelo C., Costantini E., Salvador N., Marchioni M., Di Nicola M., Greig N.H., Reale M. (2021) nAChRs gene expression and neuroinflammation in APPswe/PS1dE9 transgenic mouse. Sci. Rep. 11, 9711.
- Kuhla A., Ruhlmann C., Lindner T., Polei S., Hadlich S., Krause B.J., Vollmar B., Teipel S.J. (2017) APPswe/PS1dE9 mice with cortical amyloid pathology show a reduced NAA/Cr ratio without apparent brain atrophy: a MRS and MRI study. Neuroimage Clin. 15, 581–586.
- Pezzini A., Del Zotto E., Volonghi I., Giossi A., Costa P., Padovani A. (2009) Cerebral amyloid angiopathy: a common cause of cerebral hemorrhage. Curr. Med. Chem. 16, 2498–2513.
- Tsvetkov P.O., Cheglakov I.B., Ovsepyan A.A., Mediannikov O.Y., Morozov A.O., Telegin G.B., Kozin S.A. (2015) Peripherally applied synthetic tetrapeptides HAEE and RADD slow down the development of cerebral beta-amyloidosis in AbetaPP/PS1 transgenic mice. J. Alzheimer’s Dis. 46, 849–853.
- Kozin S.A., Barykin E.P., Telegin G.B., Chernov A.S., Adzhubei A.A., Radko S.P., Mitkevich V.A., Makarov A.A. (2018) Intravenously injected amyloid-beta peptide with isomerized Asp7 and phosphorylated Ser8 residues inhibits cerebral beta-amyloidosis in AbetaPP/PS1 transgenic mice model of Alzheimer’s disease. Front. Neurosci. 12, 518.
- Barykin E.P., Petrushanko I.Y., Kozin S.A., Telegin G.B., Chernov A.S., Lopina O.D., Radko S.P., Mitkevich V.A., Makarov A.A. (2018) Phosphorylation of the amyloid-beta peptide inhibits zinc-dependent aggregation, prevents Na,K-ATPase inhibition, and reduces cerebral plaque deposition. Front. Mol. Neurosci. 11, 302.
Дополнительные файлы






