Обнаружение микроцистин-продуцирующих цианобактерий MICROCYSTIS, Planktothrix и Dolichospermum с помощью мультипраймерной амплификации генов mcy
- Авторы: Сиделев С.И.1
-
Учреждения:
- Ярославский государственный университет
- Выпуск: Том 92, № 1 (2023)
- Страницы: 42-46
- Раздел: ЭКСПЕРИМЕНТАЛЬНЫЕ СТАТЬИ
- URL: https://ogarev-online.ru/0026-3656/article/view/138166
- DOI: https://doi.org/10.31857/S0026365622600420
- EDN: https://elibrary.ru/NMQRUZ
- ID: 138166
Цитировать
Полный текст
Аннотация
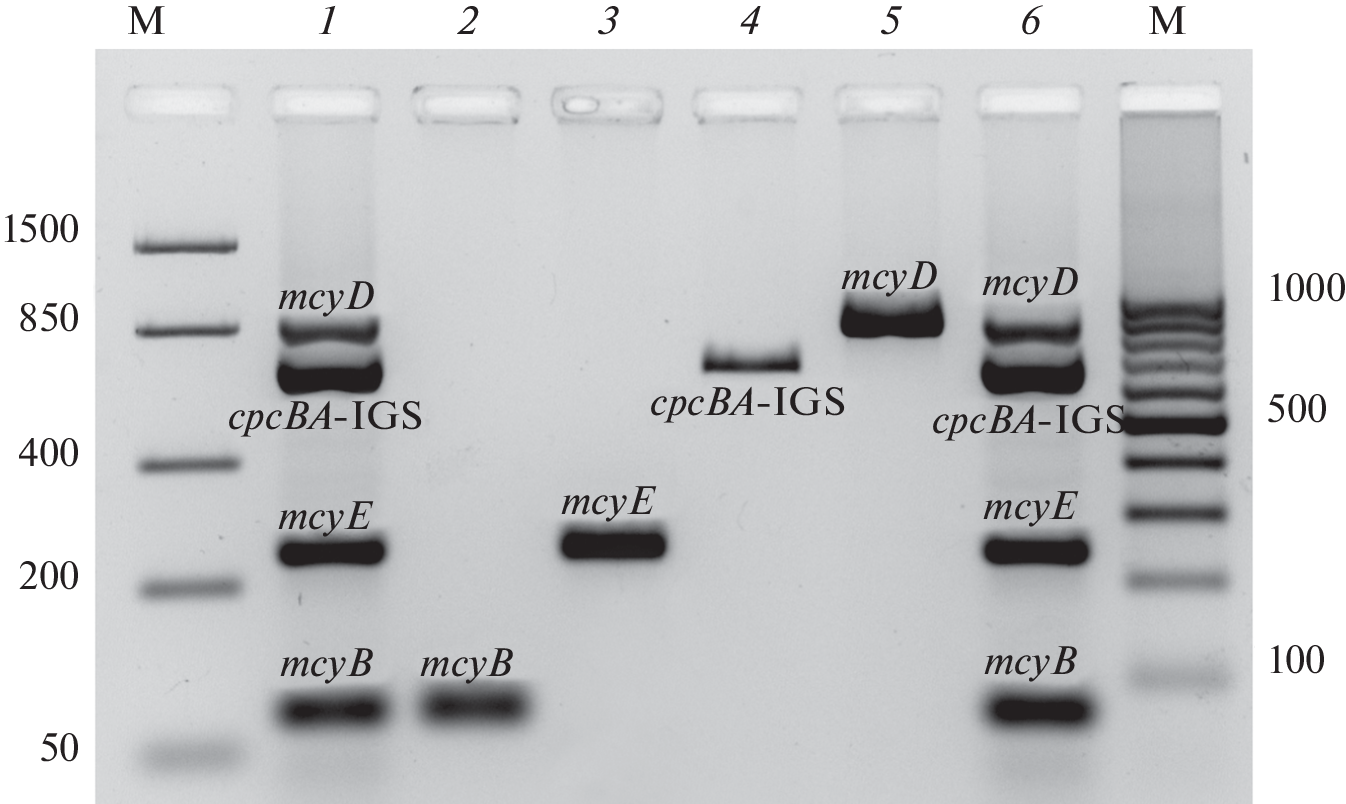
На основе мультипраймерной ПЦР разработан способ одновременной молекулярной детекции продуцентов микроцистинов ‒ планктонных цианобактерий родов Microcystis, Planktothrix и Dolichospermum. Отобраны три пары родоспецифичных праймеров для амплификации генов mcy биосинтеза микроцистинов; четвертая пара праймеров использована для амплификации межгенного спейсера (IGS) cpcBA, служащего внутренним положительным контролем присутствия цианобактериальной ДНК в анализируемых образцах. Успешно амплифицированы четыре ПЦР-продукта ожидаемого размера с использованием смеси матриц ДНК микроцистин-продуцирующих штаммов Microcystis aeruginosa, Planktothrix agardhii и природных колоний Dolichospermum lemmermannii, а также матрицы “природной” ДНК из озерного планктона. Предлагаемый способ может найти применение для разработки удобных тест-систем мониторинга водоемов с целью предотвращения и/или оценки риска накопления опасных цианобактериальных токсинов.
Ключевые слова
Об авторах
С. И. Сиделев
Ярославский государственный университет
Автор, ответственный за переписку.
Email: Sidelev@mail.ru
Россия, 150057, Ярославль
Список литературы
- Сиделев С.И. Молекулярно-генетическая идентификация микроцистин-продуцирующих таксонов цианобактерий в озере Неро (Россия) // Микробиология. 2014. Т. 83. С. 626–628.
- Sidelev S.I. Molecular genetics identification of microcystin-producing cyanobacteria taxa in Lake Nero (Russia) // Microbiology (Moscow). 2014. V. 83. P. 709–711.
- Chernova E., Sidelev S., Russkikh I., Korneva L., Solovyova V., Mineeva N., Stepanova I., Zhakovskaya Z. Spatial distribution of cyanotoxins and ratios of microcystin to biomass indicators in the reservoirs of the Volga, Kama and Don rivers, the European part of Russia // Limnologica. 2020. V. 84. Art. 125819.
- Christiansen G., Fastner J., Erhard M., Börner T., Dittmann E. Microcystin biosynthesis in Planktothrix: genes, evolution and manipulation // J. Bacteriol. 2003. V. 185. P. 564–572.
- Molecular Tools for Detection and Quantification of Toxigenic Cyanobacteria / Eds. Kurmayer R., Sivonen K., Wilmotte A., Salmaso N. Hoboken, NJ: Wiley, 2017. 402 p.
- Kurmayer R. Isolation of single cyanobacteria colonies/filaments // Molecular Tools for Detection and Quantification of Toxigenic Cyanobacteria / Eds. Kurmayer R., Sivonen K., Wilmotte A., Salmaso N. Hoboken, NJ: Wiley, 2017. P. 32–34.
- Neilan B., Jacobs D., Goodman A.E. Genetic diversity and phylogeny of toxic cyanobacteria determined by DNA polymorphisms within the phycocyanin locus // Appl. Environ. Microbiol. 1995. V. 61. P. 3875–3883.
- Ostermaier V., Kurmayer R. Distribution and abundance of nontoxic mutants of cyanobacteria in lakes of the Alps // Microb. Ecol. 2009. V. 58. P. 323–333.
- Ouahid Y., Pérez-Silva G., del Campo F.F. Identification of potentially toxic environmental Microcystis by individual and multiple PCR amplification of specific microcystin synthetase gene regions // Environ. Toxicol. 2005. V. 20. P. 235–242.
- Rippka R., Deruelles J., Waterbury J.B., Herdman M., Stanier R.Y. Generic assignments, strain histories and properties of pure cultures of cyanobacteria // J. Gen. Microbiol. 1979. V. 111. P. 1–61.
- Rouhiainen L., Vakkilainen T., Siemer B.L., Buikema W., Haselkorn R., Sivonen K. Genes coding for hepatotoxic heptapeptides (microcystins) in the cyanobacterium Anabaena Strain 90 // Appl. Environ. Microbiol. 2004. V. 70. P. 686–692.
- Tillett D., Dittmann E., Erhard M., von Döhren H., Börner T., Neilan B.A. Structural organization of microcystin biosynthesis in Microcystis aeruginosa PCC7806: an integrated peptide polyketide synthetase system // Chem. Biol. 2000. V. 7. P. 753–764.
- Toxic Cyanobacteria in Water / Eds. Chorus I., Welker M. Boca Raton: CRC Press, 2021. 839 p.
- Vaitomaa J., Rantala A., Halinen K., Rouhiainen L., Tallberg P., Mokelke L., Sivonen K. Quantitative real-time PCR for determination of microcystin synthetase gene E copy numbers for Microcystis and Anabaena in lakes // Appl. Environ. Microbiol. 2003. V. 69. P. 7289–7297.
- Valério E., Chambel L., Paulino S., Faria N., Pereira P., Tenreiro R. Multiplex PCR for detection of microcystins-producing cyanobacteria from freshwater samples // Environ. Toxicol. 2010. V. 25. P. 251–260.
Дополнительные файлы




