Antagonistic potential of bacterial strains of the genera Bacillus and Pseudomonas and fungi of the genus Trichoderma isolated in Uzbekistan against Phytophthora infestans
- Authors: Azimova N.S.1, Khamidova H.M.1, Khalilov I.M.1, Elansky S.N.2,3, Chudinova E.M.3, Karimov H.H.1, Mamanazarova K.S.4, Kobilov F.B.1
-
Affiliations:
- Institute of Microbiology, Academy of Sciences of the Republic of Uzbekistan
- M.V. Lomonosov Moscow State University
- Peoples’ Friendship University of Russia
- Institute of Botany of the Academy of Sciences of the Republic of Uzbekistan
- Issue: Vol 58, No 1 (2024)
- Pages: 36-43
- Section: PHYTOPATHOGENIC FUNGI
- URL: https://ogarev-online.ru/0026-3648/article/view/258206
- DOI: https://doi.org/10.31857/S0026364824010049
- EDN: https://elibrary.ru/matrdp
- ID: 258206
Cite item
Full Text
Abstract
Studies have been carried out on strains of bacteria and fungi isolated in Uzbekistan, which can be used in the biological control of potato late blight. Testing was carried out on two strains of Phytophthora infestans — TVKT-1 and 4MSLK 26 — isolated from affected potato in the Tashkent region of Uzbekistan and in the Moscow region of Russia, respectively. In relation to these strains, the antagonistic activity of strains of fungi belonging to the genus Trichoderma and bacteria of the genera Bacillus and Pseudomonas isolated in Uzbekistan was studied. The maximum antagonistic activity was shown by the Bacillus safensis 3/11 strain, which inhibited the growth of the mycelium of the TVKT-1 strain by 61.9% and 4MSLK 26 by 50%. The strains B. licheniformis 6/25 and Pseudomonas alcaliphila 2/18 were also quite effective. All studied strains of fungi of the genus Trichoderma showed high antagonistic activity; the most active strain was T. asperellum Uz-A4, which inhibited the growth of mycelium of strains TVKT-1 and 4MSLK 26 by 77.1 and 73.1%, respectively.
Full Text
ВВЕДЕНИЕ
Оомицеты Phytophthora infestans (Mont.) de Bary вызывают опасное заболевание картофеля, томата и других культурных и дикорастущих пасленовых — фитофтороз (late blight). Распространен фитофтороз практически во всех регионах, где растут его растения-хозяева. Ph. infestans находится на первом месте в списке 10 самых опасных фитопатогенных оомицетов (Kamoun et al., 2015).
Борьба с фитофторозом основана на применении химических средств защиты растений. Применение химических фунгицидов эффективно, но вызывает много сопутствующих проблем. Одной из основных является их высокая стоимость, особенно при многократном применении (Cooke et al., 2011; Momanyi et al., 2019; Lamichhane et al., 2020). Другая проблема — появление устойчивых мутантных штаммов к некоторым эффективным химическим препаратам, например к металаксилу (Elansky et al., 2015). Высокая доля устойчивых штаммов на поле делает применение препарата неэффективным. Немаловажно и то, что химические пестициды негативно влияют на выживание полезных микроорганизмов, вызывают загрязнение окружающей среды и сельскохозяйственной продукции.
Одним из возможных вариантов снижения негативного эффекта от применения химических средств защиты растений является использование биологических препаратов. Биопрепараты могут применяться в схемах защиты как альтернатива химическим препаратам (что особенно важно в технологиях органического земледелия) либо в дополнение к ним. В связи с этим поиск безопасных для окружающей среды штаммов микроорганизмов с высокой антагонистической активностью в отношении фитопатогенов имеет большое значение.
Из литературы известна способность представителей бактерий родов Bacillus, Pseudomonas и Streptomyces и нек. др. подавлять рост Ph. infestans за счет широкого разнообразия образуемых ими метаболитов, токсичных для оомицета (Chen et al., 2017; Hashemi et al., 2022; Trang Le Vu Khanh et al., 2020; Caulier et al., 2018). Bacillus и Pseudomonas в дополнение к защитным функциям способны стимулировать рост растений (Chen et al., 2017). Грибы рода Trichoderma также используются в качестве агентов биоконтроля; их действие на патогенный организм включает множество механизмов, таких как конкуренция за питательный субстрат, синтез антибиотиков, микопаразитизм и индукция защитных сил растений (Shoresh et al., 2010; Yao et al., 2016; Kariuki et al., 2020).
Целью данного исследования было изучение антагонистического потенциала выделенных авторами на территории Узбекистана штаммов грибов рода Trichoderma и бактерий родов Bacillus и Pseudomonas в отношении Ph. infestans для отбора наиболее активных штаммов-антагонистов.
МАТЕРИАЛЫ И МЕТОДЫ
Происхождение и идентификация штаммов. В работе исследован антагонистический эффект штаммов грибов и бактерий, выделенных в чистые культуры из растений и почв на территории Узбекистана. Использованные в качестве тест-объектов штаммы Ph. infestans выделены из пораженных органов картофеля в Узбекистане и в России (табл. 1).
Таблица 1. Происхождение штаммов грибов и бактерий, использованных в работе
Вид, штамм | Субстрат, из которого проводили выделение | Место выделения |
Bacillus pumilus 3/7 | лист картофеля | Ферганская обл., Узбекистан |
Bacillus safensis 3/11 | стебель томата | Ферганская обл., Узбекистан |
Pseudomonas alcaliphila 2/18 | стебель томата | Ташкентская обл., Узбекистан |
Bacillus licheniformis 6/25 | лист перца сладкого | Кашкадарьинская обл., Узбекистан |
Pseudomonas putida 4/23 | лист картофеля | Кашкадарьинская обл., Узбекистан |
Trichoderma asperellum Uz-A21 | образец хлопка | Ташкентская обл., Узбекистан |
T. asperellum Uz-A4 | почва хлопкового поля | Бухарская обл., Узбекистан |
T. viride | почва хлопкового поля | Ташкентская обл., Узбекистан |
Trichoderma sp. 4/1 | лист картофеля | Кашкадарьинская обл., Узбекистан |
Phytopthora infestans 4MSLK 26 | лист картофеля | Московская обл., Россия |
Ph. infestans TVKT-1 | клубень картофеля (сорт Пикассо) (Azimova et al., 2021) | Ташкентская обл., Узбекистан |
Идентификацию объектов проводили культурально-морфологическими, биохимическими и молекулярно-генетическими методами. Бактериальные штаммы идентифицировали с помощью оборудования Maldi “Bruker” (Bruker Daltonik GmbH, Germany). Идентификацию оомицета Ph. infestans проводили по культурально-морфологическим признакам. Морфологические особенности грибов изучали при выращивании на агаризованной картофельно-декстрозной среде. Микроморфологические признаки грибов оценивали под световым микроскопом NLCD-307B-2 (HINOTEK, Китай) при увеличении × 400. Идентификацию грибов рода Trichoderma классическими методами осуществляли с использованием определителя Самюэлис (Samuels, 2006; Azimova, Khalilov, 2021; Karimov et al., 2021). Видовая принадлежность штаммов Trichoderma asperellum Uz-A21 и Uz-A4 была подтверждена секвенированием участка ядерных рибосомных генов (ITS1–5.8S–ITS2).
Выделение и очистка грибной ДНК. ДНК выделяли из мицелия (брали 0.4 см3 подсушенного мицелия), выращенного в жидкой картофельно-декстрозной среде (PDA). Мицелий лизировали в 200 мкл буфера, содержащего 200 мМ LiOAc и 1% SDS. Выделенную ДНК очищали хлороформом, осаждали с помощью 5-молярного ацетата калия, промывали 70%-м этиловым спиртом (Lõoke et al., 2011; Elansky et al., 2022). Полученные образцы ДНК дополнительно очищали с использованием фермента РНКазы.
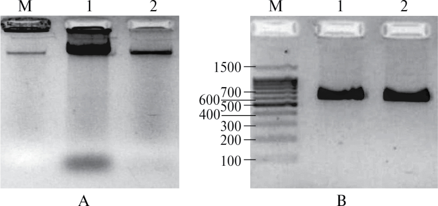
ПЦР-амплификация и секвенирование фрагмента ITS. Для ПЦР-амплификации использовали праймеры ITS1 (TCCGTAGGTGAACCTGCGG) и ITS4 (TCCTCCGCTTATTGATATGC) (White et al., 1990). ПЦР-амплификацию образцов ДНК проводили в объеме 20 мкл (10 мкл набора GenPak® PCR MasterMix, 8.2 мкл деионизованной воды (MilliQ), по 0.4 мкл праймеров (ITS1 и ITS4) и 1 мкл образца ДНК. Программа ПЦР включала начальную денатурацию при 94 °C в течение 3 мин и 35 циклов (94օC — 40 с, 55օC — 40 с, 70օC — 60 с), окончательная элонгация при 70օC в течение 7 мин. Ампликоны выявляли электрофорезом в 2%-м агарозном геле с добавлением бромистого этидия (рис. 1).
Рис. 1. Геномная ДНК штаммов Trichoderma: 1 — Trichoderma sp. Uz-А21; 2 — Trichoderma sp. Uz-А4; А — геномная ДНК; М — маркер геномной ДНК; В — продукт ПЦР ITS-области штаммов Trichoderma; M — ДНК-маркер длиной 100 п. н.
Продукты ПЦР выделяли из 2%-го агарозного геля с использованием набора QIAquick® Gel Extraction Kit; концентрацию ДНК измеряли прибором Nanodrop. Очищенные продукты ПЦР разделяли на аликвоты таким образом, чтобы в каждой микропробирке было по 20 нг ДНК. Секвенирование проводила компания Синтол (Москва, Россия).
Определение антагонистической активности выделенных микроорганизмов методом блоков. Штаммы Ph. infestans выращивали на агаризованной овсяной среде при 18օC в течение 14 сут, после чего из газона выросшей культуры вырезали блоки диаметром 8.0 мм. Каждый блок помещали в отдельную чашку Петри с агаризованной овсяной средой на расстоянии 2 см от края. Инкубировали в течение 5 сут в термостате при температуре 18օC. После того как колония Ph. infestans достигала диаметра 50–55 мм, с противоположной стороны чашки также на расстоянии 20 мм от края помещали блоки, вырезанные из культур тестируемых грибов или бактерий. Мицелий Trichoderma spp. предварительно выращивали на агаризованной картофельно-декстрозной среде при температуре 28օC в течение 5 сут, бактерии — на среде МПА в течение 24 ч при температуре 30օC. В контрольных чашках выращивали только штаммы P. infestans. Каждый вариант повторяли в трех повторностях. Все экспериментальные образцы инкубировали при 18օC. На шестые и 10-е сут измеряли радиус колоний штаммов Ph. infestans в направлении тестируемого штамма и рассчитывали степень ингибирования Ph. infestans тестируемыми микроорганизмами. Ингибирование скорости роста (ИСР,%) рассчитывали по следующей формуле (Mao et al., 2020): ИСР = (R контр. — R исслед.)/R контр., где R исслед. — радиус исследуемой колонии, R контр. — радиус колонии в контроле.
РЕЗУЛЬТАТЫ
Молекулярная идентификация штаммов Trichoderma
Нуклеотидные последовательности ДНК участка ITS штаммов Trichoderma sp. Uz-A21 и Trichoderma sp. Uz-A4 включали 606 и 600 п. н. соответственно. Полученные результаты сравнивали с последовательностями из базы данных Genbank NCBI. Согласно результатам NCBI BLAST, секвенированные последовательности Trichoderma sp. Uz-A21 (MZ284959) и Trichoderma sp. Uz-A4 (ON534075) показали 99.66 и 100%-e сходство с последовательностями примерно 40 различных штаммов, идентифицированными в GenBank как Trichoderma asperellum.
Антагонистическая активность бактериальных штаммов
Антагонистические свойства выделенных бактерий в отношении Phytophthora infestans определяли по результатам роста штаммов Ph. infestans в присутствии тестируемых бактерий (табл. 2). Наибольшую активность в подавлении Ph. infestans проявил штамм Bacillus safensis 3/11 (рис. 2, 3). Несколько меньшую активность проявили штаммы Pseudomonas alcaliphila 2/18 и Bacillus licheniformis 6/25. Штамм Pseudomonas putida 4/23 показал слабое ингибирование роста Phytophthora infestans. Штамм Bacillus pumilus 3/7 практически не влиял на рост колоний Phytophthora infestans. Также было отмечено, что штаммы Ph. infestans различались по восприимчивости к действию бактерий: 4МСЛК 26 был более устойчив, чем TVKT-1 (табл. 2).
Таблица 2. Влияние бактерий на рост Phytophthora infestans
Штаммы бактерий | Радиус колоний Ph. infestans в направлении тестируемого бактериального штамма, мм | Ингибирование скорости роста (ИСР) Ph. infestans тестируемыми штаммами, % | ||
штамм TVKT-1 | штамм 4МСЛК 26 | штамм TVKT-1 | штамм 4МСЛК 26 | |
Bacillus pumilus 3/7 | 38 ± 1.2 | 50 ± 2.8 | 27.6 ± 1.8 | 3.8 ± 0.4 |
B. safensis 3/11 | 20 ± 1.3 | 26 ± 1.4 | 61.9 ± 3.2 | 50 ± 3.1 |
B. licheniformis 6/25 | 28 ± 1.8 | 29 ± 1.2 | 46.6 ± 3.8 | 44.2 ± 2.4 |
Pseudomonas alcaliphila 2/18 | 22 ± 3.2 | 30 ± 2.7 | 58.1 ± 3.5 | 42.3 ± 2.1 |
P. putida 4/23 | 29 ± 1.6 | 42 ± 3.1 | 44.7 ± 2.8 | 19.2 ± 1.5 |
Контроль | 52.5 ± 3.0 | 52.0 ± 2.5 | – | – |
Примечание. Результаты представлены как средние значения при уровне значимости 95%.
Рис. 2. Антагонистическая активность бактерий по отношению к Phytophthora infestans TVKT-1.
Рис. 3. Антагонистическая активность бактерий по отношению к Phytophthora infestans 4МСЛК 26.
Антагонистическая активность грибов рода Trichoderma. Антагонистическая активность грибов рода Trichoderma по отношению к Ph. infestans начала проявляться через трое — шестеро сут совместного культивирования, что было заметно по замедлению роста колоний фитопатогена. К 10-м сут штамм Trichoderma asperellum Uz-А4 нарастал на культуры штаммов Phytophthora infestans TVKT-1 и 4MSLK 26, что приводило к остановке роста фитопатогенов. Штаммы Trichoderma asperellum Uz-A21 и T. viride показали аналогичную способность. Trichoderma sp. ингибировал рост Phytophthora infestans слабее других исследованных штаммов этого вида (рис. 4, 5).
Рис. 4. Антагонистические свойства грибов рода Trichoderma по отношению к Phytophthora infestans TVKT-1 и Ph. infestans 4МСЛК 26 (6-е сут).
Рис. 5. Антагонистическая активность грибов рода Trichoderma по отношению к Phytophthora infestans TVKT-1 и Ph. infestans 4МСЛК 26 (10-е сут).
Все исследованные штаммы Trichoderma обладали хорошим антагонистическим эффектом в отношении Ph. infestans. В то же время картина их взаимодействия при одновременном выращивании с Ph. infestans на чашке Петри резко отличалась от наблюдавшейся в экспериментах с бактериями. Штаммы Trichoderma не только ограничивали рост колонии Phytophthora, но и нарастали поверх нее. Наиболее активным оказался штамм Trichoderma asperellum Uz-A4, ингибирующее действие которого в отношении штамма TVKT-1 составило 77.1%, а в отношении 4MSLK 26 –73.1%. Несколько ниже была активность грибов Trichoderma sp. и T. asperellum Uz-A21 по отношению к TVKT-1 и 4MSLK 26, степень их ингибирования составила 73,3 и 71,4% соответственно (табл. 3).
Таблица 3. Влияние грибов рода Trichoderma на рост штаммов Phytophthora infestans
Грибы | Радиус колоний Ph. infestans TVKT-1, мм | Радиус колоний P. infestans 4МСЛК 26, мм | Степень ингибированияPh. infestans TVKT-1, % | Степень ингибированияPh. infestans 4МСЛК 26, % |
Trichoderma asperellum Uz-A21 | 15 ± 1.4 | 17 ± 2.1 | 71.4 ± 3.5 | 67.3 ± 3.1 |
T. asperellum Uz-A4 | 12 ± 0.8 | 14 ± 1.5 | 77.1 ± 2.6 | 73.1 ± 4.7 |
T. viride | 22 ± 1.6 | 16 ± 2.0 | 58.0 ± 1.8 | 69.2 ± 3.7 |
Trichoderma sp. | 14 ± 2.2 | 18 ± 1.7 | 73.3 ± 4.9 | 65.4 ± 2.6 |
Контроль | 52.5 ± 3.0 | 52.0 ± 2.5 | – | – |
Примечание. Результаты представлены как средние значения при уровне значимости 95%.
ОБСУЖДЕНИЕ
Бактерии родов Pseudomonas и Bacillus и грибы рода Trichoderma широко используются в качестве агентов биоконтроля. Их высокая антагонистическая активность подтверждена многими исследованиями (Bell et al., 1982; Benhamou, Chet, 1996; Ezziyyani et al., 2007; Osorio-Hernandez et al., 2011; Trang Le Vu Khanh et al., 2020; Caulier et al., 2018). В работе Yao et al. (2016) наблюдения под сканирующим электронным микроскопом показали рост гиф Trichoderma на гифах Phytophthora infestans, что, по мнению автора, свидетельствует о паразитизме Trichoderma на Ph. infestans.
На основе бактерий родов Pseudomonas и Bacillus и грибов рода Trichoderma созданы препараты. В России для защиты томата и картофеля от фитофторы зарегистрировано девять препаратов на основе Bacillus subtilus (Алирин-Б, Баксис, Бактерра, Бактофит, Бисолбис Сан, Бисолбицид, Витаплан, Гамаир, Споробактерин), в состав последнего препарата входит также Trichoderma harzianum. T. harzianum является активным ингредиентом для препаратов Глиокладин и Трихоцин, используется для защиты от фитофтороза и другой вид триходермы T. viride (Триходерма вериде 471). На основе бактерий рода Pseudomonas также существуют препараты, рекомендованные для защиты от фитофтороза: Псевдобактерин (Pseudomonas aureofaciens) и Ризоплан (P. fluorescens). В связи с тем, что Phytophthora infestans отличается высокой приспосабливаемостью к средствам защиты, со временем широко известные и используемые в качестве агентов биоконтроля штаммы могут потерять свою эффективность. Поэтому в мире продолжаются поиски новых эффективных штаммов грибов и бактерий (El-Hasan et al., 2022; Volynchikova, Kim, 2022).
Для биологической борьбы с фитофторозом в Средней Азии, особенно в открытом грунте, необходим поиск местных, хорошо адаптированных к локальным условиям штаммов. В нашем исследовании выделенные в Узбекистане бактериальные штаммы Bacillus safensis 3/11, B. licheniformis 6/25, Pseudomonas alcaliphila 2/18, а также все исследованные штаммы грибов рода Trichoderma показали высокую антагонистическую активность в отношении Phytophthora infestans. Мы считаем их перспективными для использования в качестве агентов биоконтроля.
Полученные результаты также показывают, что антагонистическая активность исследуемых штаммов грибов и бактерий различалась по отношению к двум штаммам Ph. infestans. Это свидетельствует о необходимости постоянного мониторинга видового разнообразия Ph. infestans в посевах восприимчивых к фитофторозу культур и последующего подбора антагонистических микроорганизмов к агрессивным расам фитопатогенного гриба.
Работа проведена при поддержке проекта Министерства инновационного развития Узбекистана № ИЛ-402104392, реализуемого в Институте микробиологии АН РУз.
About the authors
N. Sh. Azimova
Institute of Microbiology, Academy of Sciences of the Republic of Uzbekistan
Author for correspondence.
Email: azimovanodira@mail.ru
Uzbekistan, 100128, Tashkent
H. M. Khamidova
Institute of Microbiology, Academy of Sciences of the Republic of Uzbekistan
Email: khamidovakh@mail.ru
Uzbekistan, 100128, Tashkent
I. M. Khalilov
Institute of Microbiology, Academy of Sciences of the Republic of Uzbekistan
Email: ilkhom2002@yahoo.com
Uzbekistan, 100128, Tashkent
S. N. Elansky
M.V. Lomonosov Moscow State University; Peoples’ Friendship University of Russia
Email: snelansky@mail.ru
Russian Federation, 119991, Moscow; 117198, Moscow
E. M. Chudinova
Peoples’ Friendship University of Russia
Email: chudiel@mail.ru
Russian Federation, 117198, Moscow
H. H. Karimov
Institute of Microbiology, Academy of Sciences of the Republic of Uzbekistan
Email: karimov_h_kh@mail.ru
Uzbekistan, 100128, Tashkent
K. S. Mamanazarova
Institute of Botany of the Academy of Sciences of the Republic of Uzbekistan
Email: karomat.3005@mail.ru
Uzbekistan, 100125, Tashkent
F. B. Kobilov
Institute of Microbiology, Academy of Sciences of the Republic of Uzbekistan
Email: bozorovich02@mail.ru
Uzbekistan, 100128, Tashkent
References
- Azimova N. Sh., Esenova D.B., Hamidova H.M. et al. Isolation and determination of virulence of a local strain of the fungus Phytophthora infestans from potato tubers. Universum: chemistry and biology. 2021. V. 10. P. 88 (in Russ.). https://7universum.com/ru/nature/archive/item/12324
- Azimova N. Sh., Khalilov I.M. Phylogenetic identification of Тrichoderma sp_uzb strain by morphological and molecular genetic methods. Chin. J. Ind. Hyg. Occup. Dis. 2021. V. 39 (13). P. 634–642. https://doi.org/10.5281/zenodo.5713519
- Bell D.K., Wells H.D., Markham C.R. In vitro antagonism of Trichoderma species against six fungal plant pathogens. Phytopathology. 1982. V. 72 (4). P. 379–382. http://dx.doi.org/10.1094/Phyto-72-379
- Benhamou N., Chet I. Parasitism of sclerotia of Sclerotium rolfsii by Trichoderma harzianum: ultrastructural and cytochemical aspects of the interaction. Phytopathology. 1996. V. 86. P. 405–415.
- Caulier S., Gillis A., Colau G. et al. Versatile antagonistic activities of soil-Borne Bacillus spp. and Pseudomonas spp. against Phytophthora infestans and other potato pathogens. Front Microbiol. 2018. V. 9. P. 143. https://doi.org/10.3389/fmicb. 2018.00143
- Chen Sh., Zhang M. Wang J. et al. Biocontrol effects of Brevibacillus laterosporus AMCC100017 on potato common scab and its impact on rhizosphere bacterial communities. Biol. Control. 2017. V. 106. P. 89–98.
- Cooke L.R., Schepers H.T.A.M., Hermansen A. et al. Epidemiology and integrated control of potato late blight in Europe. Potato Res. 2011. V. 54. P. 183–222. https://doi.org/10.1007/s11540-011-9187-0
- Elansky S.N., Chudinova E.M., Elansky A.S. et al. Microorganisms in spent water-miscible metalworking fluids as a resource of strains for their disposal. J. Cleaner Production. 2022. V. 350. P. 131438. https://doi.org/10.1016/j.jclepro.2022.131438
- Elansky S.N., Pobedinskaya, M.A., Kokaeva L. Yu. et al. Phytophthora infestans populations from the European part of Russia: Genotypic structure and metalaxyl resistance. J. Plant Pathol. 2015. V. 97 (3). P. 449–456. https://doi.org/10.4454/JPP.V97I3.020
- El-Hasan A., Ngatia G., Link T.I. et al. Isolation, identification, and biocontrol potential of root fungal endophytes associated with solanaceous plants against potato late blight (Phytophthora infestans). Plants. 2022. V. 11. P. 1605. https://doi.org/10.3390/plants11121605
- Ezziyyani M., Requena M.E., Egea-Gilabert C. et al. Biological control of Phytophthora root rot of pepperchili using Trichoderma harzianum and Streptomyces rochei in combination. J. Phytopathol. 2007. V. 155 (6). P. 342–349. http://dx.doi.org/10.1111/j.1439–0434.2007.01237.x
- Hashemi M., Tabet D., Sandroni M. et al. The hunt for sustainable biocontrol of oomycete plant pathogens, a case study of Phytophthora infestans. Fungal Biology Rev. 2022. V. 40. P. 53–69. https://doi.org/10.1016/j.fbr.2021.11.003
- Kamoun S., Furzer O., Jones J.D.G. et al. The Top 10 oomycete pathogens in molecular plant pathology. Molecular plant pathology. 2015. V. 16 (4). P. 413–434. https://doi.org/10.1111/mpp.12190
- Karimov H., Turaeva B., Azimova N. et al. Properties of Trichoderma sp. 4 micromycete. Norw. J. Developm. International Sci. 2021. V. 75. P. 15–21.
- Kariuki W.G., Mungai N.W., Otaye D.O. et al. Antagonistic effects of biocontrol agents against Phytophthora infestans and growth stimulation in tomatoes. African Crop Sci. J. V. 28. Suppl. issue. 2020. P. 55–70. https://dx.doi.org/10.4314/acsj.v28i1.5S
- Lamichhane J.R., You M.P., Laudinot V. et al. Revisiting sustainability of fungicide seed treatments for field crops. Plant Diseases. 2020. V. 104. P. 610–623.
- Lõoke M., Kristjuhan K., Kristjuhan A. Extraction of genomic DNA from yeasts for PCR-based applications. BioTechniques. 2011. V. 50. P. 325–328. https://doi.org/10.2144/000113672.
- Mao T., Chen X., Ding H. et al. Pepper growth promotion and Fusarium wilt biocontrol by Trichoderma hamatum MHT1134. Biocontrol Sci. Technol. 2020. https://doi.org/10.1080/09583157.2020.1803212
- Momanyi N.V., Keraka N.M, Abong’o A.D. et al. Types and classification of pesticides used on tomatoes grown in Mwea irrigation scheme, Kirinyaga County, Kenya. Eur. J. Nutr. Food Safety. 2019. V. 11 (2). P. 83–97.
- Osorio-Hernandez E., Hernandez-Castillo F.D., Gallegos-Morales G. et al. In vitro behavior of Trichoderma spp. against Phytophthora capsici Leonian. Afr. J. Agric. Res. 2011. V. 6 (19). P. 4594–4600. http://dx.doi.org/10.5897/AJAR11.1094
- Samuels G.J. Trichoderma: systematics, the sexual state, and ecology. Phytopathology. 2006. V. 96. P. 195–206.
- Shoresh M., Mastouri F., Harman G.E. Induced systemic resistance and plant responses to fungal biocontrol agents. Ann. Rev. Phytopathol. 2010. V. 48. P. 21–43.
- Trang Le Vu Khanh, Le Nguyen Tan, Mai Le Thi et al. Selecting Bacillus spp., antagonist of fungal phytopathogen Phytophthora infestans causing tomato late blight. Annual Res. Rev. Biol. 2020. V. 35 (12). P. 32–40.
- Vleesschauwer D. de, Höfte M. Rhizobacteria-induced systemic resistance. Adv. Bot. Res. 2009. V. 51. P. 223–281.
- Volynchikova E., Kim K.D. Biological control of oomycete soilborne diseases caused by Phytophthora capsici, Phytophthora infestans, and Phytophthora nicotianae in solanaceous crops. Mycobiology. 2022. V. 50 (5). P. 269–293. https://doi.org/10.1080/12298093.2022.2136333
- Wang Y., Zhang C., Liang J. et al. Surfactin and fengycin B extracted from Bacillus pumilus W-7 provide protection against potato late blight via distinct and synergistic mechanisms. Appl. Microbiol. Biotechnol. 2020. V. 104. P. 7467–7481. https://doi.org/10.1007/s00253–020–10773-y
- White T.J., Bruns T., Lee S. et al. Amplification and direct sequencing of fungal ribosomal RNA genes for phylogenetics. In: M.A. Innis etc. (eds). PCR protocols. A guide to methods and applications. Academic Press, San Diego, 1990, pp. 315–322.
- Yao Y., Li Y., Chen Z. et al. Biological control of potato late blight using isolates of Trichoderma. Am.J. Potato Res. 2016. V. 93. P. 33–42. https://doi.org/10.1007/s12230-015-9475-3
- Азимова Н.Ш., Есенова Д.Б., Хамидова Х.М. и др. (Azimova et al.) Выделение и определение вирулентности местного штамма гриба Phytophthora infestans из клубней картофеля. Universum: химия и биология: электрон. научн. журн. 2021. Т. 10. С. 88.
Supplementary files






