SYNTHESIS OF MONODISPERSE SILICA PARTICLES BY CONTROLLED REGROWTH
- Authors: KHLEBTSOV B.N.1, BUROV A.M.1
-
Affiliations:
- Institute of Biochemistry and Physiology of Plants and Microorganisms, RAS, Saratov Scientific Center, Saratov, Russia
- Issue: Vol 85, No 3 (2023)
- Pages: 376-389
- Section: Articles
- Submitted: 16.10.2023
- Published: 01.05.2023
- URL: https://ogarev-online.ru/0023-2912/article/view/137246
- DOI: https://doi.org/10.31857/S0023291223600293
- EDN: https://elibrary.ru/ZQMCQA
- ID: 137246
Cite item
Full Text
Abstract
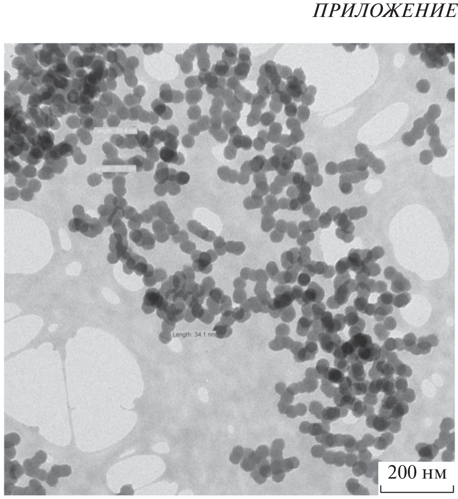
The development of a simple and reproducible method for the synthesis of monodisperse silica particles is of considerable interest from the point of view of their numerous applications in photonics, biosensing, and biomedicine. When using the well-known Stober method, there is a continuous formation and growth of seeds, which leads to the synthesis of polydisperse colloids. In this work, we used the method of successive growth of silica particles obtained by hydrolytic condensation of tetraethylorthosilicate in an alcoholic-aqueous medium using an alkaline catalyst. It is shown that this technique makes it possible to obtain colloids with a particle size from 50 nm to 3 μm and a standard deviation of less than 5%. An additional advantage of the developed method of stepwise growth is the possibility to include fluorophores and SERS tags into the silica matrix.
About the authors
B. N. KHLEBTSOV
Institute of Biochemistry and Physiology of Plants and Microorganisms, RAS, Saratov Scientific Center, Saratov, Russia
Email: khlebtsov_b@ibppm.ru
Россия, 410049, Саратов, пр. Энтузиастов, д. 13
A. M. BUROV
Institute of Biochemistry and Physiology of Plants and Microorganisms, RAS, Saratov Scientific Center, Saratov, Russia
Author for correspondence.
Email: khlebtsov_b@ibppm.ru
Россия, 410049, Саратов, пр. Энтузиастов, д. 13
References
- Nayl A.A., Abd-Elhamid A.I., Bräsede S. Recent progress in the applications of silica-based nanoparticles // RSC Adv. 2022. V. 12. P. 13706–13726.
- Yang Y., Zhang M., Song H., Yu Ch. Silica-based nanoparticles for biomedical applications: From nanocarriers to biomodulators // Acc. Chem. Res. 2020. V. 53. P. 1545–1556.
- Ji X., Wang H., Song B., Chu B., He Y. Silicon nanomaterials for biosensing and bioimaging analysis // Front. Chem. 2018. V. 6. № 38.
- da Cunha T., Maulu A., Guillot J., Fleming Y., Duez B., Lenoble D., Arl D. Design of silica nanoparticles-supported metal catalyst by wet impregnation with catalytic performance for tuning carbon nanotubes growth // Catalysts. 2021. V. 11. № 8. P. 986.
- Akhter F., Rao A.A., Abbasi M.N. et al. A comprehensive review of synthesis, applications and future prospects for silica nanoparticles (SNPs) // Silicon. 2022. V. 14. P. 8295–8310.
- Hao T., Wang Y., Liu Zh. et al. Emerging applications of silica nanoparticles as multifunctional modifiers for high performance polyester composites // Nanomaterials. 2021. V. 11. № 11. P. 2810.
- Zaytsev V., Ermatov, Fedorov F.S. et al. Design of an artificial opal/photonic crystal interface for alcohol intoxication assessment: Capillary condensation in pores and photonic materials work together // Anal. Chem. 2022. V. 94. № 36. P. 12305–12313.
- Wei M.-X., Liu Ch.-H., Lee H. et al. Synthesis of high-performance photonic crystal film for SERS applications via drop-coating method // Coatings. 2020. V. 10. № 7. P. 679.
- Furumi S. Self-assembled organic and polymer photonic crystals for laser applications // Polymer Journal. 2013. V. 45. № 6. P. 579–593.
- García-Santamaría F., Salgueiriño-Maceira V., López C., Liz-Marzán L.M. Synthetic opals based on silica-coated gold nanoparticles // Langmuir. 2002. V. 18. № 11. P. 4519–4522.
- Khanadeev V.A., Khlebtsov B.N., Khlebtsov N.G. Optical properties of gold nanoshells on monodisperse silica cores: Experiment and simulations // Journal of Quantitative Spectroscopy and Radiative Transfer. 2017. V. 187. P. 1–9.
- Stober W., Fink A., Bohn E. Controlled growth of monodisperse silica spheres in the micron size range // Journal of Colloid and Interface Science. 1986. V. 26. № 1. P. 62–69.
- Ren G., Su H., Wang Sh. The combined method to synthesis silica nanoparticle by Stöber process // Journal of Sol-Gel Science and Technology. 2020. V. 96. P. 108–120.
- F. Hu, K.D. Rasamani S.C. Abeyweera D. Zhang, Sun Y. Poly(acrylic acid) enabling the synthesis of highly uniform silica nanoparticles of sub-100 nm // ChemNanoMat. 2022. V. 8. Art № e202200006.
- Pileni M.-P. The role of soft colloidal templates in controlling the size and shape of inorganic nanocrystals // Nature Materials. 2003. V. 2. P. 145–150.
- Arriagada F.J., Osseo-Asare K. Synthesis of nanosize silica in a nonionic water-in-oil microemulsion: Effects of the water/surfactant molar ratio and ammonia concentration // J. Colloid Interface Sci. 1999. V. 211. № 2. P. 210–220.
- Yokoi T., Sakomoto Y., Terasaki O., Kubota Y., Okubo T., Tatsumi T. Periodic arrangement of silica nanospheres assisted by amino acids // J. Am. Chem. Soc. 2006. V. 128. № 42. P. 13664–13665.
- Wang J., Sugawara-Narutaki A., Fukao M., Yokoi T., Shimojima A., Okubo T. Two-phase synthesis of monodisperse silica nanospheres with amines or ammonia catalyst and their controlled self-assembly // ACS Appl. Mater. Interfaces. 2011. V. 3. № 5. P. 1538–1544.
- Ahmadi F., Sodagar-Taleghani A., Ebrahimnejad P. et al. A review on the latest developments of mesoporous silica nanoparticles as a promising platform for diagnosis and treatment of cancer // International Journal of Pharmaceutics. 2022. V. 625. P. 122099.
- Giesche H. Synthesis of monodispersed silica powders II. Controlled growth reaction and continuous production process // Journal of the European Ceramic Society. 1994. V. 14. № 3. P. 205–214.
- Hartlen D., Athanasopoulos A.P.T., Kitaev V. Facile preparation of highly monodisperse small silica spheres (15 to >200 nm) suitable for colloidal templating and formation of ordered arrays // Langmuir. 2008. V. 24. № 5. P. 1714–1720.
- Bogush G.H., Tracy M.A., Zukoski C.F. Preparation of monodisperse silica particles: Control of size and mass fraction // J. Non-Cryst. Solids. 1988. V. 104. № 1. P. 95–106.
- Chang S.M., Lee M., Kim W.S. Preparation of large monodispersed spherical silica particles using seed particle growth // Journal of Colloid and Interface Science. 2005. V. 286. № 2. P. 536–542.
- Khanadeev V.A., Khlebtsov B.N., Klimova S.A., Tsvetkov M.Yu., Bagratashvili V.N., Sukhorukov G.B., Kh-lebtsov N.G. Large-scale high quality 2D silica crystals: a dip-drawing formation and decoration by gold nanorods for SERS analysis // Nanotechnology. 2014. V. 25. № 40. P. 405602.
- Frens G. Controlled nucleation for the regulation of the particle size in monodisperse gold suspensions // Nature Physical Science. 1973. V. 241. № 105. P. 20–22.
- Weitner T., Friganović T., Šakić D. Inner filter effect correction for fluorescence measurements in microplates using variable vertical axis focus // Anal. Chem. 2022. V. 94. № 19. P. 7107–7114.
- Wan Y., Yu S.H. Polyelectrolyte controlled lage-scale synthesis of hollow silica spheres with tunable sizes and wall thicknesses // J. Phys. Chem. C. 2008. V. 112. № 10. P. 3641–3647.
- Ван де Хюлст Г. Рассеяние света малыми частицами. М.: ИЛ, 1961.
- Кленин В.И., Щеголев С.Ю., Лаврушин В.И. Характеристические функции светорассеяния дисперсных систем. Саратов: Изд-во Сарат. ун-та, 1977.
- Khlebtsov B.N., Khanadeev V.A., Khlebtsov N.G. Determination of the size, concentration, and refractive index of silica nanoparticles from turbidity spectra // Langmuir. 2008. V. 24. № 16. P. 8964–8970.
- Berne B.J., Pecora R. Dynamic Light Scattering with Application to Chemistry, Biology, and Physics. Mineola NY: Dover Publ., 2002.
- Chen L., Liang J. An overview of functional nanoparticles as novel emerging antiviral therapeutic agents // Materials Science and Engineering C. 2020. V. 112. P. 110924.
- Khlebtsov B., Panfilova E., Khanadeev V., Bibikova O., Terentyuk G., Ivanov A., Rumyantseva V., Shilov I., Ryabova A., Loshchenov V., Khlebtsov N.G. Nanocomposites containing silica-coated gold–silver nanocages and YB–2,4-dimethoxyhematoporphyrin: Multifunctional capability of IR-luminescence detection, photosensitization, and photothermolysis // ACS Nano. 2011. V. 5. № 9. P. 7077–7089.
- Demchenko A.P. Photobleaching of organic fluorophores: Quantitative characterization, mechanisms, protection // Methods and Applications in Fluorescence 2020. V. 8. № 2. P. 022001.
- Khlebtsov B.N., Bratashov D.N., Khlebtsov N.G. Tip-functionalized Au@Ag nanorods as ultrabright surface-enhanced Raman scattering probes for bioimaging in off-resonance mode // J. Phys. Chem. C. 2018. V. 122. № 31. P. 117983−17993.
Supplementary files













