Элиминация хромосом как механизм возникновения диплоидных растений в диплоидно-тетраплоидных скрещиваниях у кукурузы (Zea mays L.)
- Авторы: Эльконин Л.А.1, Мавлютова Л.И.1, Колесова А.Ю.1, Панин В.М.1, Цветова М.И.1
-
Учреждения:
- Федеральный аграрный научный центр Юго-Востока
- Выпуск: Том 59, № 9 (2023)
- Страницы: 1023-1035
- Раздел: ГЕНЕТИКА РАСТЕНИЙ
- URL: https://ogarev-online.ru/0016-6758/article/view/134645
- DOI: https://doi.org/10.31857/S0016675823090035
- EDN: https://elibrary.ru/WRWCWX
- ID: 134645
Цитировать
Полный текст
Аннотация
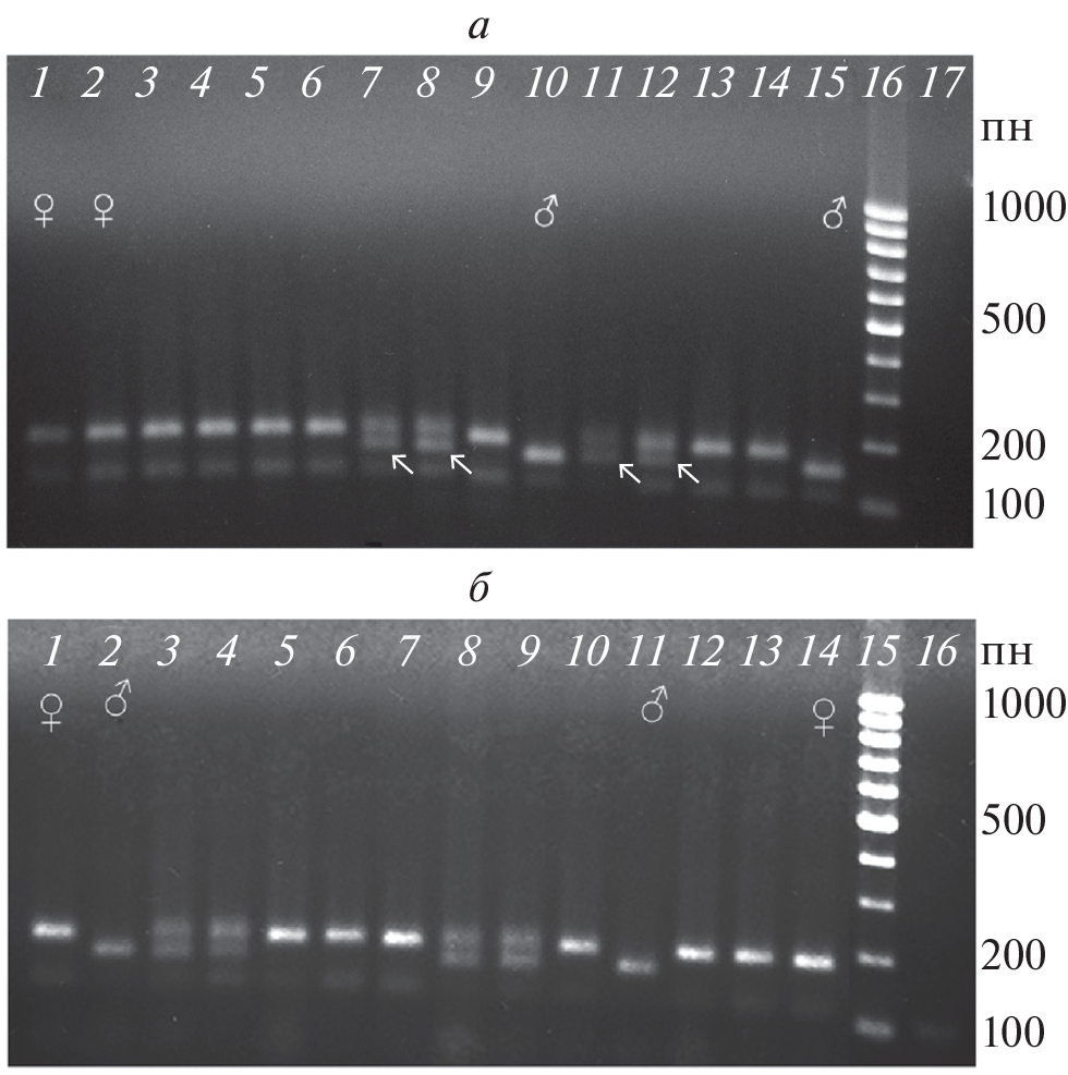
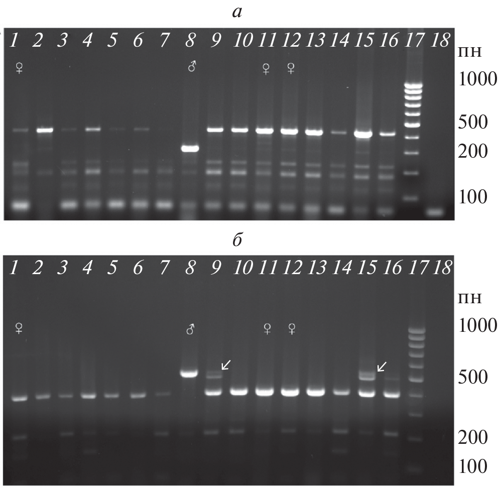
Одним из основных компонентов апомиктичного размножения растений является формирование нередуцированных зародышевых мешков (ЗМ). Эффективным инструментом для выявления способности к формированию таких ЗМ могут служить гетероплоидные скрещивания, в которых материнские диплоидные растения опыляют пыльцой тетраплоидов. У кукурузы в скрещиваниях 2n(♀) × × 4n(♂) формируются как правило щуплые зерновки с триплоидным зародышем, у которых развитие эндосперма нарушено ввиду отклонения баланса материнского (м) и отцовского (о) геномов от соотношения 2м : 1о. В наших экспериментах у нескольких диплоидных линий кукурузы при опылении их пыльцой тетраплоидов наблюдалось формирование крупных выполненных зерновок, из которых развивались диплоидные растения матроклинного типа, причем материнский фенотип растений, а также гибридный фенотип эндосперма были подтверждены экспрессией генетических маркеров. Было высказано предположение, что выполненные зерновки в 2n × 4n скрещиваниях возникают на основе нередуцированных ЗМ и псевдогамного апомиксиса, поскольку слияние двух диплоидных полярных ядер с диплоидным спермием обеспечивает соотношение материнского и отцовского геномов в эндосперме 2м : 1о. С целью уточнения генетической природы диплоидных растений, фенотипически сходных с материнскими линиями, которые развивались из выполненных зерновок в скрещиваниях 2n × 4n, нами было проведено их генотипирование по всем десяти хромосомам генома кукурузы с помощью полиморфных кодоминантных SSR- и Indel-маркеров, дифференцирующих отцовскую линию-опылитель от материнских линий. В качестве материнских форм использовали линию ГПЛ АТ, обладающую способностью к гаплоидному партеногенезу, растения из поколения F2 гибрида между линией В47, способной к формированию нередуцированных ЗМ, и линией ГПЛ АТ. Кроме того, в скрещивания была включена линия Коричневый Маркер (КМ), несущая маркерный ген B коричневой окраски стебля, а также линия ЮВ11. В качестве отцовской формы использовали тетраплоидную кукурузу Черная Тетра (ЧТ), несущую маркерный ген A1 черной окраски зерновок. Установлено, что у всех исследованных растений при использовании маркеров пяти хромосом – 1-й (iDp525), 2-й (iDP4004), 3-й (JY_3:457), 4-й (UflDP4_31.55), 9-й (INDEL_139329242) – наблюдалась амплификация только материнских аллелей. Однако у каждого из изученных растений при использовании маркеров других хромосом были отмечены случаи амплификации аллелей, свойственных отцовской линии. Высказывается гипотеза о формировании диплоидных растений в 2n × 4n скрещиваниях у кукурузы на основе оплодотворения нередуцированных ЗМ и последующей элиминации хромосом преимущественно отцовской линии.
Ключевые слова
Об авторах
Л. А. Эльконин
Федеральный аграрный научный центр Юго-Востока
Автор, ответственный за переписку.
Email: lelkonin@gmail.com
Россия, 410010, Саратов
Л. И. Мавлютова
Федеральный аграрный научный центр Юго-Востока
Email: lelkonin@gmail.com
Россия, 410010, Саратов
А. Ю. Колесова
Федеральный аграрный научный центр Юго-Востока
Email: lelkonin@gmail.com
Россия, 410010, Саратов
В. М. Панин
Федеральный аграрный научный центр Юго-Востока
Email: lelkonin@gmail.com
Россия, 410010, Саратов
М. И. Цветова
Федеральный аграрный научный центр Юго-Востока
Email: lelkonin@gmail.com
Россия, 410010, Саратов
Список литературы
- Barcaccia G., Albertini E. Apomixis in plant reproduction: A novel perspective on an old dilemma // Plant Reprod. 2013. V. 26(3). P. 159–179. https://doi.org/10.1007/s00497-013-0222-y
- Tavva S.S., Mohan D., Venkateswara R.Y. et al. Apomixis in crop improvement // Plant Biology and Biotechnology. V. I. Plant diversity, organization, function and improvement / Eds Bahadur B., Rajam M.V., Sahijram L., Krishnamurthy K.V. Springer, 2015. P. 656−669. https://doi.org/10.1007/978-81-322-2286-6
- Fiaz S., Wang X., Younas A. et al. Apomixis and strategies to induce apomixis to preserve hybrid vigor for multiple generations // GM Crops Food. 2020. V. 12(1). P. 57–70. https://doi.org/10.1080/21645698.2020.1808423
- Hand M.L., Koltunow A.M.G. The genetic control of apomixis: asexual seed formation // Genetics. 2014. V. 197(2). P. 441–450. https://doi.org/10.1534/genetics.114.163105
- Брюхин В.Б. Молекулярно-генетическая регуляция апомиксиса // Генетика. 2017. Т. 53. № 9. С. 1001–1024.
- Vijverberg K., Ozias-Akins P., Schranz M.E. Identifying and engineering genes for parthenogenesis in plants // Front. Plant Sci. 2019. V. 10. https://doi.org/10.3389/fpls.2019.00128
- Worthington M., Ebina M., Yamanaka N. et al. Translocation of a parthenogenesis gene candidate to an alternate carrier chromosome in apomictic Brachiaria humidicola // Genomics. 2019. V. 20(1). P. 41–58. https://doi.org/10.1186/s12864-018-5392-4
- Xie E., Li Y., Tang D. et al. A strategy for generating rice apomixis by gene editing // J. Integr. Plant Biol. 2019. V. 61(8). P. 911–916. https://doi.org/10.1111/jipb.12785
- Xiong J., Hu F., Ren J. Synthetic apomixis: The beginning of a new era // Curr. Opinion in Biotechnol. 2023. V. 79. https://doi.org/10.1016/j.copbio.2022.102877
- Vernet A., Meynard D., Lian Q. et al. High-frequency synthetic apomixis in hybrid rice // Nat. Commun. 2022. V. 13. P. 7963. https://doi.org/10.1038/s41467-022-35679-3
- Sokolov V.A., Kravtchenko A.Yu., Nakagawa H., Knatypova I.Y. Apomictic maize-Tripsacum hybrids: genetics and breeding perspectives // Grassland Sci. 2002. V. 48. P. 342–343.
- Белова И.В., Тараканова Т.К., Абдырахманова Э.А. и др. Хромосомный контроль апомиксиса у гибридов кукурузы с гамаграссом // Генетика. 2010. Т. 46. № 9. С. 1188–1191.
- Sarkar K.R., Coe E.H., Jr. Origin of parthenogenetic diploids in maize and its implications for the production of homozygous lines // Crop Sci. 1971. V. 11. P. 543–544.
- Petrov D.F., Belousova N.I., Fokina E.S. et al. Transfer of some elements of apomixis from Tripsacum to maize // Apomixis and Its Role in Evolution and Breeding / Ed Petrov D.F. New Delhi: Oxonian Press Ltd., 1984. P. 9–73.
- Lamote V., Baert J., Roldán-Ruiz I. et al. Tracing of 2n EGG occurrence in perennial ryegrass (Lolium perenne L.). using interploidy crosses // Euphytica. 2002. V. 123. P. 159–164. https://doi.org/10.1023/A:1014980123519
- Garcia-Aguilar M., Michaud C., Leblanc O., Grimanelli D. Inactivation of a DNA methylation pathway in maize reproductive organs results in apomixis-like phenotypes // Plant Cell. 2010. V. 22. P. 3249–3267. https://doi.org/10.1105/tpc.109.072181
- Kovalsky I.E., Neffa V.G.S. Evidence of the production of 2n eggs in diploid plants of the autopolyploid complex Turnerasidoides L. (Passifloraceae) // Plant Syste. Evol. 2016. V. 302. P. 357–366. https://doi.org/10.1007/s00606-015-1268-0
- Lin B.-Y. Ploidy barrier to endosperm development in maize // Genetics. 1984. V. 107. P. 103–115. https://doi.org/10.1093/genetics/107.1.103
- Pennington P.D., Costa L.M., Gutierrez-Marcos J.F. et al. When genomes collide: Aberrant seed development following maize interploidy crosses // Ann. Bot. 2008. V. 101. P. 833–843. https://doi.org/10.1093/aob/mcn017
- Birchler J.A. Interploidy hybridization barrier of endosperm as a dosage interaction // Front. Plant Sci. 2014. V. 5. https://doi.org/10.3389/fpls.2014.00281
- Хатефов Э.Б., Грушин А.А., Бойко В.Н. Цитогенетические факторы снижения фертильности пыльцы и початка при засорении посевов тетраплоидной кукурузы триплоидными зерновками (Zea mays L.) // Тр. по прикладной ботанике, генетике и селекции. 2022. Т. 183. № 1. С. 135–146.
- Тырнов B.C., Еналеева Н.Х. Автономное развитие зародыша и эндосперма у кукурузы // Докл. АН СССР. 1983. № 3. С. 722–725.
- Tsvetova M.I., Elkonin L.A., Italianskaya Yu.V. Diploid–tetraploid crosses as the instrument for obtaining apomictic maize plants // Russ. Agric. Sci. 2016. V. 2. № 3–4. P. 201–204. https://doi.org/10.3103/S106836741603023X
- Tsvetova M., Elkonin L., Italianskaya Y. Pseudogamous apomixis in maize and sorghum in diploid–tetraploid crosses // Phyton. 2019. V. 88. № 4. P. 389–401.https://doi.org/10.32604/phyton.2019.07485
- Мавлютова Л.И., Эльконин Л.А., Колесова А.Ю. Генотипирование диплоидных растений, полученных в результате диплоидно-тетраплоидных скрещиваний у линий и гибридов кукурузы, с генетически детерминированной способностью к партеногенезу // Вавиловские чтения – 2022. Межд. науч.-практ. конф. Саратов: Амирит, 2022. С. 137–142.
- Шилов И.А., Колобова О.С., Анискина Ю.В. и др. Усовершенствование метода идентификации генов устойчивости к пирикуляриозу риса PI-TA, PI-B // Достижения науки и техники АПК. 2016. Т. 30. № 8. С. 45–48.
- Settles A.M., Bagadion A.M., Bai F. et al. Efficient molecular marker design using the maize GDB Mo17 SNPs and indels track // G3 (Bethesda). 2014. V. 4. P. 1143–1145. https://doi.org/10.1534/g3.114.010454
- Martin F., Dailey S., Settles A.M. Distributed simple sequence repeat markers for efficient mapping from maize public mutagenesis populations // Theor. Appl. Genet. 2010. V. 121. P. 697–704. https://doi.org/10.1007/s00122-010-1341-6
- Зайцев Г.Н. Математическая статистика в экспериментальной ботанике. М.: Наука, 1990. 424 с.
- Сахаров В.В. Соматическая редукция как причина своеобразной мозаичности у тетраплоидной гречихи // Докл. АН СССР. 1946. Т. 52. № 4. С. 349–352.
- Raman V.S., Krishnaswami N. A chromosomal chimera in S. halepense (Linn.) // Indian J. Agric. Sci. 1955. V. 25. P. 45–50.
- Rao P.N., Nirmala A. Chromosome numerical mosaicism in pearl millet (Pennisetum americanum (L.) Leeke) // Genome. 2011. V. 28. № 2. P. 203–206. https://doi.org/10.1139/g86-028
- Цветова М.И., Эльконин Л.А. Нестабильность уровня плоидности у аутотетраплоидов линии сорго с вариабельной мужской стерильностью // Генетика. 2002. Т. 38. № 5. С. 641–646.
- Kasha K.J., Kao K.N. High frequency haploid production in barley (Hordeum vulgare L.) // Nature. 1970. V. 225. P. 874–876. https://doi.org/10.1038/225874a0
- Zhang Z., Qiu F., Liu Y. et al. Chromosome elimination and in vivo haploid production induced by Stock 6-derived inducer line in maize (Zea mays L.) // Plant Cell Rep. 2008. V. 27 (12). P. 1851–1860. https://doi.org/10.1007/s00299-008-0601-2
- Li L., Xu X., Jin W., Chen S. Morphological and molecular evidences for DNA introgression in haploid induction via a high oil inducer CAUHOI in maize // Planta. 2009. V. 230. P. 367–376. https://doi.org/10.1007/s00425-009-0943-1
- Zhao X., Xu X., Xie H. et al. Fertilization and uniparental chromosome elimination during crosses with maize haploid inducers // Plant Physiol. 2013. V. 163. № 2. P. 721–731. https://doi.org/10.1104/pp.113.223982
- Qiu F., Liang Y., Li Y. et al. Morphological, cellular and molecular evidences of chromosome random elimination in vivo upon haploid induction in maize // Curr. Plant Biol. 2014. V. 1. P. 83–90. https://doi.org/10.5061/dryad.bt963
- Chenxu L., Xiang L., Dexuan M. et al. A 4-bp insertion at ZmPLA1 encoding a putative phospholipase a generates haploid induction in maize // Mol. Plant. 2017. V. 10. № 3. P. 520–522. https://doi.org/10.1016/j.molp.2017.01.011
- Kelliher T., Starr D., Richbourg L. et al. MATRILINEAL, a sperm-specifc phospholipase, triggers maize haploid induction // Nature. 2017. V. 542. P. 105. https://doi.org/10.1038/nature20827
- Fu S., Yin L., Xu M. et al. Maternal doubled haploid production in interploidy hybridization between Brassica napus and Brassica allooctaploids // Planta. 2018. V. 247. P. 113–125. https://doi.org/10.1007/s00425-017-2772-y
- Laurie D.A., Bennett M.D. The timing of chromosome elimination in hexaploid wheat × maize crosses // Genome. 2011. V. 32(6). P. 953–961. https://doi.org/10.1139/g89-537
- Riera-Lizarazu O., Rines H.W., Phillips R.L. Cytological and molecular characterization of oat × maize partial hybrids // Theor. Appl. Genet. 1996. V. 93. P. 123–135. https://doi.org/10.1007/BF00225737
- Gernand D., Rutten T., Varshney A. et al. Uniparental chromosome elimination at mitosis and interphase in wheat and pearl millet crosses involves micronucleus formation, progressive heterochromatinization, and DNA fragmentation // Plant Cell. 2005. V. 17. P. 2431–2438. https://doi.org/10.1105/tpc.105.034249
- Kelliher T., Starr D., Wang W. et al. Maternal haploids are preferentially induced by CENH3-tailswap transgenic complementation in maize // Front. Plant Sci. 2016. V. 7. https://doi.org/10.3389/fpls.2016.00414
- Wang N., Gent J., Dawe R. Haploid induction by a maize cenh3 null mutant // Sci. Adv. 2021. V. 7. № 4. https://doi.org/10.1126/sciadv.abe2299
- Meng D., Luo H., Dong Z. et al. Over-expression of modified CENH3 in maize Stock6-Derived inducer lines can effectively improve maternal haploid induction rates // Front. Plant Sci. 2022. V. 13. https://doi.org/10.3389/fpls.2022.892055
Дополнительные файлы








