Динамика распространения ржаных транслокаций в генотипах российских сортов мягкой пшеницы Triticum aestivum L.
- Авторы: Фисенко А.В.1, Ляпунова О.А.2, Зуев Е.В.2, Новосельская-Драгович А.Ю.1
-
Учреждения:
- Институт общей генетики им. Н.И. Вавилова Российской академии наук
- Федеральный исследовательский центр, Всероссийский институт генетических ресурсов растений им. Н.И. Вавилова (ВИР)
- Выпуск: Том 59, № 6 (2023)
- Страницы: 648-658
- Раздел: ГЕНЕТИКА РАСТЕНИЙ
- URL: https://ogarev-online.ru/0016-6758/article/view/134605
- DOI: https://doi.org/10.31857/S0016675823050053
- EDN: https://elibrary.ru/FNOUIG
- ID: 134605
Цитировать
Полный текст
Аннотация
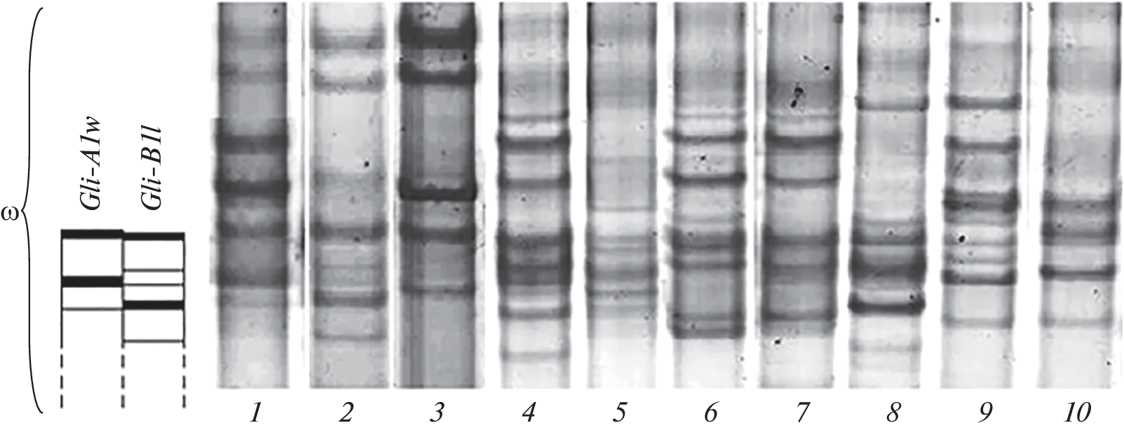
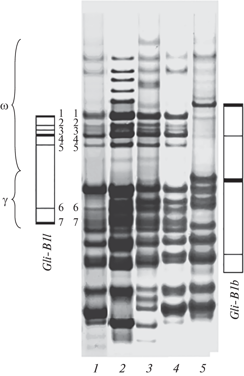
Широкое использование в селекции пшеницы сортов с транслокациями 1RS/1BL и 1RS/1АL было обусловлено их высокой комплексной устойчивостью за счет генов резистентности на 1RS-хромосомах. Многочисленные сведения о появлении новых вирулентных рас патогенов и потере генами, локализованными на 1RS, своих защитных свойств делают актуальным решение вопроса о перспективности использования обеих ржаных транслокаций в современных селекционных программах. Кроме того, использование в интрогрессивной гибридизации различных генетических источников ржаной хромосомы 1RS ставит задачу изучения разнообразия групп сцепления 1RS. Нами исследована динамика распространения ржаных транслокаций в генотипах 240 российских сортов мягкой пшеницы из трех селекционных центров РФ. Для маркирования 1RS использовались множественные аллели генов запасных белков, специфичных для 1RS. Выявлено, что гены устойчивости на 1RS по-прежнему эффективны против ряда патогенов, в частности против возбудителей мучнистой росы и стеблевой ржавчины. Прослежена динамика изменения качества зерна сортов с TR:1RS/1BL. Подтверждено статистически достоверное его улучшение у озимых сортов начиная с 2000-х гг., а у яровых сортов присутствие в генотипах TR:1RS/1BL не препятствует получению зерна с высоким уровнем качества. Показано, что в результате этих процессов во всех трех селекцентрах идет накопление TR:1RS/1BL во времени. Показано высокое аллельное разнообразие секалин-кодирующего локуса (Gli-B1) на хромосоме 1RS. Однако все сорта с TR:1RS/1BL независимо от происхождения 1RS несли один и тот же аллель. Обсуждаются возможные причины такого единообразия. Транслокация 1RS/1АL в исследованных нами сортах не выявлена, обсуждаются возможные причины.
Ключевые слова
Об авторах
А. В. Фисенко
Институт общей генетики им. Н.И. Вавилова Российской академии наук
Автор, ответственный за переписку.
Email: fisenko800@mail.ru
Россия, 119991, Москва
О. А. Ляпунова
Федеральный исследовательский центр, Всероссийский институт генетических ресурсов растенийим. Н.И. Вавилова (ВИР)
Email: dragova@mail.ru
Россия, 190000, Санкт-Петербург
Е. В. Зуев
Федеральный исследовательский центр, Всероссийский институт генетических ресурсов растенийим. Н.И. Вавилова (ВИР)
Email: dragova@mail.ru
Россия, 190000, Санкт-Петербург
А. Ю. Новосельская-Драгович
Институт общей генетики им. Н.И. Вавилова Российской академии наук
Автор, ответственный за переписку.
Email: dragova@mail.ru
Россия, 119991, Москва
Список литературы
- Rabinovich S.V. Importance of wheat-rye translocations for breeding modern cultivar of Triticum aestivum L. // Euphytica. 1998. V. 100. P. 323–340. https://doi.org/10.1023/A:10183618192
- Bauer E., Schmutzer T., Barilar I. et al. Towards a whole-genome sequence for rye (Secale cereale L.) // Plant J. 2017. V. 89. P. 853–869. https://doi.org/10.1111/tpj.13436
- Дорофеев В.Ф., Якубцинер М.М., Руденко М.И. и др. Пшеницы мира. Л.: 1976.
- Schlegel R. Current list of wheats with rye and alien introgression. V. 01.22. 2022. http://rye-gene-map.de/rye-introgression.
- McIntosh R.A., Hart G., Gale M. Catalogue of gene symbols for wheat // Proc. 8th Intern. Wheat Gen. Symp. / Eds Li Z., Xin Z.Y. Beijing, China: 1993. P. 1333–1500.
- Lee J.H., Graybosch R.A., Peterson C.J. Quality and biochemical effects of a 1RS.1BL wheat-rye translocation in wheat // Theor. Appl. Genet. 1995. V. 90. P. 105–112. https://doi.org/10.1007/BF00221002
- Kumlay A.M., Baenziger P.S., Gill K.S. et al. Understanding the effect of rye chromatin in bread wheat // Crop Sci. 2003. V. 43. № 5. P. 1643–1651. https://doi.org/10.2135/cropsci2003.1643
- Чуманова Е.В., Ефремова Т.Т., Трубачеева Н.В. и др. Хромосомный состав пшенично-ржаных линий и влияние хромосом ржи на устойчивость к болезням и на хозяйственно ценные признаки // Генетика. 2014. Т. 50. № 11. С. 1319–1328. https://doi.org/10.7868/S0016675814110034
- Sebesta E.E., Wood E.F. Transfer of greenbug resistance from rye to wheat with X-rays // Agronomy Abstracts. Madison, WI: 1978. P. 61–62.
- Burnett C.J., Lorenz K.J., Carver B.F. Effects of the 1B/1R translocation in wheat on composition and properties of grain and flour // Euphytica. 1995. V. 86. P. 159–166. https://doi.org/10.1007/BF00016353
- Li Z., Ren T., Yan B. et al. A mutant with expression deletion of gene Sec-1 in a 1RS.1BL line and its effect on production quality of wheat // PLoS One. 2016. V. 11(1). e0146943. https://doi.org/10.1371/journal.pone.014694
- Lundh G., MacRitchie F. Size exclusion HPLC characterization of gluten protein fractions varying in breadmaking potential // J. Cereal Sci. 1989. V. 10. P. 247–253.
- Liu C.-Y., Shepherd K.W. Inheritance of B subunits of glutenin and ω- and γ-gliadins in tetraploid wheats // Theor. Appl. Genet. 1995. V. 90. P. 1149–1157. https://doi.org/10.1007/BF00222936
- Новосельская-Драгович А.Ю. Генетика и геномика пшеницы: запасные белки, экологическая пластичность и иммунитет// Генетика. 2015. Т. 51. № 5. С. 1–16.
- Упелниек В.П., Новосельская-Драгович А.Ю., Шишкина А.А. и др. Лабораторный анализ белков семян пшеницы. M.: ООО “Ваш формат”, 2013. 173 с.
- Новосельская-Драгович А.Ю., Янковская А.А., Бадаева Е.Д. Интрогрессии и хромосомные перестройки не влияют на активность глиадинкодирующих генов в линиях гибридов Triticum aestivum L. × Aegilops columnaris Zhuk. // Вавилов. журн. генет. и селекции. 2018. Т. 22. № 5. С. 507–514. https://doi.org/18699/VJ18.388
- Metakovsky E.V. Gliadin allele identification on common wheat. II. Catalogue of gliadin allele in common wheat // J. Genet. & Breed. 1991. V. 45. P. 325–344.
- Козуб Н.А., Созинов И.А., Собко Т.А. и др. Идентификация ржаных транслокаций у сортов озимой мягкой пшеницы Богданка и Синтетик // Науч. ведомости. Серия Естественные науки. 2010. Т. 15. № 12. С. 47–54.
- Singh N.K., Shepherd K.W., McIntosh R.A. Linkage mapping of genes for resistance to leaf, stem and stripe rusts and ω-secalins on the short arm of rye chromosome 1R // Theor. Appl. Genet. 1990. V. 80. P. 609–616. https://doi.org/10.1007/s00122-004-1807-5
- Мельникова Е.Е., Букреева Г.И., Беспалова Л.А. и др. Динамика генетического разнообразия сортов и линий мягкой пшеницы краснодарской селекции по аллелям глиадинкодирующих локусов // Достижения науки и техники АПК. 2016. Т. 30. № 3. С. 51–53.
- Ren T.H., Yang Z.J., Yan B.J. et al. Development and characterization of a new 1BL.1RS translocation line with resistance to stripe rust and powdery mildew of wheat // Euphytica. 2009. V. 169. P. 207–213. https://doi.org/10.1007/s10681-009-9924-5
- Qi W., Tang Y., Zhu W. et al. Molecular cytogenetic characterization of a new wheat-rye 1BL/1RS translocation line expressing superior stripe rust resistance and enhanced grain yield // Planta. 2016. V. 244. P. 405–416. https://doi.org/10.1094/PDIS-93-2-0124
- Maraci Ö., Özkan H., Bilgin R. Phylogeny and genetic structure in the genus Secale // PLoS One. 2018. V. 13(7). https://doi.org/10.1371/journal.pone.0200825
- Landjeva S., Korzun V., Tsanev V. et al. Distribution of the wheat–rye translocation 1RS.1BL among bread wheat varieties of Bulgaria // Plant Breeding. 2006. V. 125. P. 102–104. https://doi.org/10.1111/j.1439-0523.2006.01142.x
- Yediay F.E., Baloch F.S., Kilian B., Özkan H. Testing of rye-specific markers located on 1RS chromosome and distribution of 1AL.RS and 1BL.RS translocations in Turkish wheat (Triticum aestivum L., T. durum Desf.) varieties and landraces // Genet. Res. Crop Evol. 2010. V. 57. P. 119–129. https://doi.org/10.1007/s10722-009-94569
- Трубачеева Н.В., Россеева Л.П., Белан И.А. и др. Особенности сортов яровой мягкой пшеницы Западной Сибири, несущих пшенично-ржаную транслокацию 1RS.1BL // Генетика. 2011. Т. 47. № 1. С. 18–24.
- GRIS. Genetic Resources Information System for Wheat and Triticale. http://wheatpedigree.net/ (Last update: 2017-01-09).
- Каталог. Сорта и гибриды КНИИСХ им. П.П. Лукьяненко. Краснодар: 2009. 67 с.
- Каталог. Сорта и гибриды НЦЗ им. П.П. Лукьяненко. Краснодар: 2021. 135 с.
- Государственный реестр селекционных достижений, допущенных к использованию. Т. 1. Сорта растений. М.: 2009 и 2021. https://reestr.gossortrf.ru/.
- Ren T.H., Chen F., Yan B.Ju. et al. Genetic diversity of wheat–rye 1BL.1RS translocation lines derived from different wheat and rye sources // Euphytica. 2012. V. 183. P. 133–146. https://doi.org/10.1007/s10681-011-0412-3
- Созинов А.А., Новосельская А.Ю., Лушникова А.А., Богданов Ю.Ф. Цитолого-биохимический анализ сортов мягкой пшеницы с замещениями и транслока-циями 1B/1R в кариотипе // Цитология и генетика. 1987. Т. 21. № 4. С. 256–261.
- McIntosh R.A., Yamazaki Y., Dubcovsky J. Catalogue of gene symbols for wheat // 11th Int. Wheat Genet. Symp. 24–29 August 2008. Brisbane, Australia: 2008. 137 р.
- He Zhong-Hu. High molecular weight glutenin subunit composition of Chinese bread wheats // Euphytica. 1992. V. 64. № 1. P. 11–20. https://doi.org/10.1002/cche.10290
- Hazen S.P., Zhu L., Kim H.-S. et al. Genetic diversity of winter wheat in Shaanxi province, China, and other common wheat germplasm pools // Genet. Resour. Crop Evol. 2002. V. 49. № 4. P. 437–445. https://doi.org/10.1023/A:1020670013249
- Булойчик А.А., Долматович Т.В., Борзяк В.С., Волуевич Е.А. Молекулярная идентификация и эффективность генов Lr26/Pm8 в сортообразцах мягкой пшеницы (Triticum aestivum) // Весцi НАН Беларусi. 2014. Т. 2. С. 60–63.
- Козуб Н.А., Созинов И.А., Созинов А.А. Сопряженность 1BL/1RS-транслокации с качественными и количественными признаками у мягкой пшеницы T. aestivum // Цитология и генетика. 2001. Т. 5. С. 74–80.
- Lukaszewski A.J. Manipulation of the 1RS.1BL translocation in wheat by induced homoeologous recombination // Crop Sci. 2000. V. 40. P. 216–225.
- Lukaszewski A.J. Introgressions between wheat and rye // Alien Introgression in Wheat. Cham, Switzerland. Springer, 2015. P. 163–189. https://doi.org/10.1007/978-3-319-23494-6_7
- Белан И.А., Россеева Л.П., Россеев В.М. и др. Изучение хозяйственно ценных и адаптивных признаков у линий сорта яровой мягкой пшеницы Омская 37, несущих транслокации 1RS.1BL и 7DL-7Ai // Вавилов. журн. генет. и селекции. 2012. Т. 16. № 1. С. 178–186.
- Шаманин В.П., Моргунов А.И., Петуховский С.Л. и др. Селекция яровой мягкой пшеницы на устойчивость к стеблевой ржавчине в Западной Сибири. Омск: ОмГАУ им. П.А. Столыпина, 2015. 175 с.
- Kozub N.O., Sozinov I.O., Chaika V.M. et al. Changes in allele frequencies at storage protein loci of winter common wheat under climate change // Cytol. and Genet. 2020. V. 54. № 4. P. 305–317. https://doi.org/10.3103/S0095452720040076
- Kumlay A.M., Baenziger P.S., Gill K.S. et al. Understanding the effect of rye chromatin in bread wheat // Crop Sci. 2003. V. 43. № 5. P. 1643–1651. https://doi.org/10.2135/cropsci2003.1643
- Liu H., Tang H., Ding P. et al. Effects of the 1BL/1RS translocation on 24 traits in a recombinant inbred line population // Cereal Res. Commun. 2020. V. 48. P. 225–232. https://doi.org/10.1007/s42976-020-00027-y
- Jang J.H., Jung W.J., Kim D.Y., Seo Y.W. cDNA-AFLP analysis of 1BL.1RS under water-deficit stress and development of wheat-rye translocation-specific markers // N. Zel. J. Crop Hortic. Sci. 2017. V. 45. P. 150–164. https://doi.org/10.1080/01140671.2016.1269018
- Moskal K., Kowalik S., Podyma W. et al. The pros and cons of rye chromatin introgression into wheat genome // Agronomy. 2021. V. 11. P. 456. https://doi.org/10.3390/agronomy11030456
Дополнительные файлы




