Область пониженной рекомбинации группы сцепления 13 подсолнечника (Helianthus annuus L.) включает кластеры генов восстановления фертильности (Rf1) и устойчивости (Pl) к ложной мучнистой росе
- Авторы: Анисимова И.Н.1, Алпатьева Н.В.1, Воронова О.Н.2, Гаврилова В.А.1, Карабицина Ю.И.1, Кузнецова Е.Б.1, Радченко Е.Е.1
-
Учреждения:
- Всероссийский институт генетических ресурсов растений им. Н.И. Вавилова
- Ботанический институт им. В.Л. Комарова Российской академии наук
- Выпуск: Том 59, № 5 (2023)
- Страницы: 530-543
- Раздел: ГЕНЕТИКА РАСТЕНИЙ
- URL: https://ogarev-online.ru/0016-6758/article/view/134587
- DOI: https://doi.org/10.31857/S0016675823050028
- EDN: https://elibrary.ru/FNMMXS
- ID: 134587
Цитировать
Полный текст
Аннотация
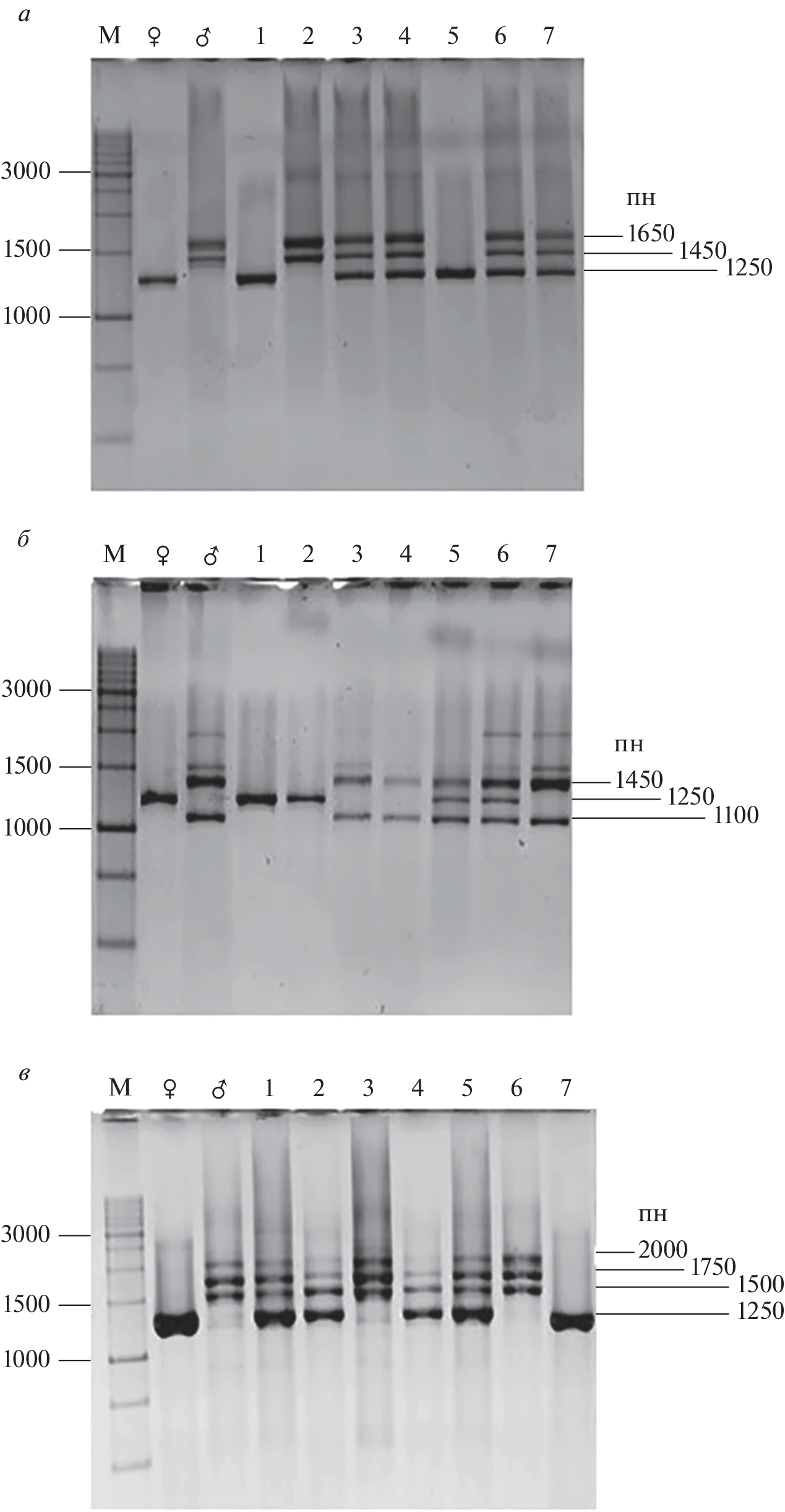
В группе сцепления 13 генома культурного подсолнечника Helianthus annuus L. картирован ряд генов, контролирующих ценные для селекции признаки: восстановление фертильности пыльцы при цитоплазматической мужской стерильности, устойчивость к грибным болезням (ложной мучнистой росе, ржавчине), которые были интрогрессированы от диких видов. Известно, что у подсолнечника и других растений частота рекомбинации в районах хромосом, содержащих интрогрессированные гены устойчивости, может быть подавлена, что благоприятно для проведения отбора с помощью сцепленных с ними молекулярных маркеров. В F2 гибридов от скрещиваний стерильной линии подсолнечника ВИР 116А (ЦМС РЕТ1) с линиями – восстановителями фертильности пыльцы из коллекции ВИР изучили характер совместного наследования локуса Rf1 (фенотипический маркер – признак восстановления фертильности) и Pl5/Pl8, контролирующего устойчивость к большому числу рас Plasmopara halstedii (Farl) Berl. & De Toni (STS-маркер Нa-Р1). В скрещивании ВИР 116А × ВИР 740 частота рекомбинации между локусами Pl5/Pl8 и Rf1 составила 8.61, а в скрещиваниях ВИР 116А × ВИР 195 и ВИР 116А × RIL 80 оказалась почти вдвое выше. Во всех изученных популяциях F2 отмечено отсутствие рекомбинантного фенотипического класса стерильных растений с отцовским вариантом маркера Нa-Р1. При цитологическом анализе установлено, что показатели фертильности пыльцы растений с разными аллелями маркера, скорее всего, определяются генотипом растения, а не аллельным составом мужского гаметофита. Предположили, что нехватка одного из рекомбинантных классов F2 может быть связана с эмбриональной летальностью, т.е. гибелью зигот, несущих рецессивный аллель гена восстановления фертильности пыльцы rf1 и аллельный вариант STS-маркера Ha-P1 гена устойчивости (чувствительности) в локусе Pl5Pl8, полученный от отцовского родителя.
Ключевые слова
Об авторах
И. Н. Анисимова
Всероссийский институт генетических ресурсов растений им. Н.И. Вавилова
Автор, ответственный за переписку.
Email: irina_anisimova@inbox.ru
Россия, 190000, Санкт-Петербург
Н. В. Алпатьева
Всероссийский институт генетических ресурсов растений им. Н.И. Вавилова
Email: irina_anisimova@inbox.ru
Россия, 190000, Санкт-Петербург
О. Н. Воронова
Ботанический институт им. В.Л. Комарова Российской академии наук
Email: irina_anisimova@inbox.ru
Россия, 197376, Санкт-Петербург
В. А. Гаврилова
Всероссийский институт генетических ресурсов растений им. Н.И. Вавилова
Email: irina_anisimova@inbox.ru
Россия, 190000, Санкт-Петербург
Ю. И. Карабицина
Всероссийский институт генетических ресурсов растений им. Н.И. Вавилова
Email: irina_anisimova@inbox.ru
Россия, 190000, Санкт-Петербург
Е. Б. Кузнецова
Всероссийский институт генетических ресурсов растений им. Н.И. Вавилова
Email: irina_anisimova@inbox.ru
Россия, 190000, Санкт-Петербург
Е. Е. Радченко
Всероссийский институт генетических ресурсов растений им. Н.И. Вавилова
Email: irina_anisimova@inbox.ru
Россия, 190000, Санкт-Петербург
Список литературы
- Leclercq P. Une stérilité male cytoplasmic chez le tournesol // Ann. Amélior. Plant. 1969. V. 19. № 2. P. 99–106.
- Kinman M.L. New developments in the USDA and state experiment station sunflower breeding programs // Proc. 4th Intern. Sunflower Conference. Memphis, TN, USA, 23 June 1970. P. 181–183.
- Dimitrijevic A., Horn R. Sunflower hybrid breeding: from markers to genomic selection // Front. Plant Sci. 2018. V. 17. № 8. Article 2238. https://doi.org/10.3389/fpls.2017.02238
- Radwan O., Gandhi S., Heesacker A. et al. Genetic diversity and genomic distribution of homologs encoding NBS-LRR disease resistance proteins in sunflower // Mol. Genet. Genomics. 2008. V. 280. P. 111–125. https://doi.org/10.1007/s00438-008-0346-1
- Goryunov D.V., Anisimova I.N., Gavrilova V.A. et al. Association mapping of fertility restorer gene for CMS PET1 in sunflower // Agronomy. 2019. V. 9. № 2. Article 49. https://doi.org/10.3390/agronomy9020049
- Horn R., Radanovic A., Fuhrmann L. et al. Development and validation of markers for the fertility restorer gene Rf1 in sunflower // Int. J. Mol. Sci. 2019. V. 20. № 6. Article 1260. https://doi.org/10.3390/ijms20061260
- Radanović A., Sprycha Y., Jocković M. et al. KASP markers specific for the fertility restorer locus Rf1 and application for genetic purity testing in sunflowers (Helianthus annuus L.) // Genes. 2022. V. 13. Article 465. https://doi.org/10.3390/genes13030465
- Qi L.L., Seiler G.J., Vick B.A., Gulya T.J. Genetics and mapping of the R11 gene conferring resistance to recently emerged rust races, tightly linked to male fertility restoration, in sunflower (Helianthus annuus L.) // Publ. from USDA-ARS / UNL Faculty. 2012. 1318. https://doi.org/digitalcommons.unl.edu/usdaarsfacpub/1318
- Dahan J., Mireau H. The Rf and Rf-like PPR in higher plants, a fast-evolving subclass of PPR genes // RNA Biol. 2013. V. 10. № 9. P. 1469–1476. https://doi.org/10.4161/rna.25568
- Ma G., Long Y., Song Q. et al. Map and sequence‑based chromosome walking towards cloning of the male fertility restoration gene Rf5 linked to R11 in sunflower // Sci. Reports. 2021. № 11. Article 777. https://doi.org/10.1038/s41598-020-80659-6
- Wei F.S., Gobelman-Werner K., Morroll S.M. et al. The Mla (powdery mildew) resistance cluster is associated with three NBS-LRR gene families and suppressed recombination within a 240-kb DNA interval on chromosome 5S (1HS) of barley // Genetics. 1999. V. 153. № 4. P. 1929–1948. https://doi.org/10.1093/genetics/153.4.1929
- Wieckhorst S., Bachlava E., Dußle C.M. et al. Fine mapping of the sunflower resistance locus Plarg introduced from the wild species Helianthus argophyllus // Theor. Appl. Genet. 2010. V. 121. № 8. P. 1633–1644. https://doi.org/10.1007/s00122-010-1416-4
- Qi L., Ma G. Marker-assisted gene pyramiding and the reliability of using SNP markers located in the recombination suppressed regions of sunflower (Helianthus annuus L.) // Genes. 2020. V. 11. № 1. Article 10. https://doi.org/10.3390/genes11010010
- Bowers J.E., Bachlava E., Brunick R.L. et al. Development of a 10,000 locus genetic map of the sunflower genome based on multiple crosses // G3: Genes, Genomes, Genetics. 2012. V. 2. № 1. P. 721–729. https://doi.org/10.1534/g3.112.002659
- McMullen M.D., Kresovich S., Villeda H.S. et al. Genetic properties of the maize nested association mapping population // Science. 2009. V. 325. P. 737–740. https://doi.org/10.1126/science.1174320
- Gentzbittel L., Vear F., Zhang Y.X. et al. Development of a consensus linkage RFLP map of cultivated sunflower (Helianthus annuus L.) // Theor. Appl. Genet. 1995. V. 90. P. 1079–1086. https://doi.org/10.1007/BF00222925
- Bert P., Tourvieille de Labrouhe D., Phillippon J. et al. Identification of a second linkage group carrying genes controlling resistance to downy mildew (Plasmopara halstedii) in sunflower (Helianthus annuus L.) // Theor. Appl. Genet. 2001. V. 103. P. 992–997. https://doi.org/10.1007/s001220100660
- Yu J.K., Tang S., Slabaugh M.B. et al. Towards a saturated molecular genetic linkage map for cultivated sunflower // Crop. Sci. 2003. V. 42. P. 367–387. https://doi.org/10.2135/cropsci2003.3670
- Vear V. Classic genetics and breeding // Genetics, Genomics and Breeding of Sunflower / Eds Hu J., Seiler G., Kole Ch. USA: Clemson Univ., Clemson, SC, 2010. P. 50–77.
- Vear F., Serieys H., Petit A. et al. Origins of major genes for downy mildew resistance in sunflower // Proc. 17th Intern. Sunflower Conference. Spain: Córdoba, 2008. P. 125–130.
- Radwan O., Bouzidi M.F., Nicolas P., Mouzeyar S. Development of PCR markers for the Pl5/Pl8 locus for resistance to Plasmopara halstedii in sunflower, Helianthus annuus L. from complete CC-NBS-LRR sequences // Theor. Appl. Genet. 2004. V. 109. № 1. P. 176–185. https://doi.org/10.1007/s00122-004-1613-0
- Маркин Н.В., Тихобаева В.Е., Усатенко Т.В. и др. Генотипирование линий подсолнечника с различной устойчивостью к ложной мучнистой росе с помощью STS-маркеров // Научно-техн. бюл. Всерос. научно-исслед. института масличных культур. 2012. Вып. 2. С. 151–152.
- Рамазанова С.А., Антонова Т.С. Маркирование локусов Pl6, Pl13 and Plarg, контролирующих устойчивость к Plasmopara halstedii у линий подсолнечника селекции ВНИИМК // Масличные культуры. Научно-техн. бюл. Всерос. научно-исслед. института масличных культур. 2020. Вып. 3 (1831). С. 20–26. https://doi.org/10.25230/2412-608X-2020-3-183-20-26
- Гаврилова В.А., Ступникова Т.Г., Макарова Л.Г. и др. Линии генетической коллекции подсолнечника ВИР, устойчивые к ложной мучнистой росе // Тр. по прикладной ботанике, генетике и селекции. 2021. Т. 182. № 3. С. 101–110. https://doi.org/10.30901/2227-8834-2021-3-101-110
- Анисимова И.Н., Карабицина Ю.И., Алпатьева Н.В. и др. Диагностическая ценность молекулярных маркеров гена Rf1 подсолнечника // Биотехнология и селекция растений. 2021. Т. 4. № 2. С. 28–37. https://doi.org/10.30901/2658-6266-2021-2-o3
- Рокицкий П.Ф. Введение в статистическую генетику. Минск: Выш. шк., 1974. 448 с.
- Li J.T., Yang J., Chen D.C. et al. An optimized mini-preparation method to obtain high-quality genomic DNA from mature leaves of sunflower // Genet. Mol. Res. 2007. V. 6. № 4. P. 1064–1071. https://doi.org/gmr341
- Chung C.T., Niemela S.L., Miller R.H. One-step preparation of competent Escherichia coli: Transformation and storage of bacterial cells in the same solution // Proc. Natl Acad. Sci. USA. 1989. V. 86. № 7. P. 2172–2175. https://doi.org/10.1073/pnas.86.7.2172
- Алпатьева Н.В., Антонова О.Ю., Радченко Е.Е. и др. ПЦР-диагностика вредных организмов гуара: методические указания / Под ред. Потокиной Е.К. СПб.: ВИР, 2019. https://doi.org/10.30901/978-5-907145-44-3
- Воронова О.Н., Гаврилова В.А. Количественный и качественный анализ пыльцы подсолнечника (Helianthus L.) и его использование в селекционной работе // Тр. по прикладной ботанике, генетике и селекции. 2019. Т. 180. № 1. С. 95–104. https://doi.org/10.30901/2227-8834-2019-1-95-104
- Radwan O., Bouzidi M.F., Vear F. et al. Identification of non-TIR-NBSLRR markers linked to the Pl5/Pl8 locus for resistance to downy mildew in sunflower // Theor. Appl. Genet. 2003. V. 106. P. 1438–1444. https://doi.org/10.1007/s00122-003-1196-1
- Horn R., Kusterer B., Lazarescu E. et al. Molecular mapping of the Rf1 gene restoring fertility in PET1-based F1 hybrids in sunflower (Helianthus annuus L.) // Theor. Appl. Genet. 2003. V. 106. P. 599–606. https://doi.org/10.1007/s00122-002-1078-y
- Renaut S., Grassa C.J., Yeaman S. et al. Genomic islands of divergence are not affected by geography of speciation in sunflowers // Nat. Commun. 2013. V. 4. Article 1827. https://doi.org/10.1038/ncomms2833
- Swiadek M., Proost S., Sieh D. et al. Novel allelic variants in ACD6 cause hybrid necrosis in local collection of Arabidopsis thaliana // New Phytologist. 2017. V. 213. P. 900–915. https://doi.org/10.1111/nph.14155
- Deng J., Fang L., Zhu X. et al. A CC-NBS-LRR gene induces hybrid lethality in cotton // J. Exp. Bot. 2019. V. 70. № 19. P. 5145–5156. https://doi.org/10.1093/jxb/erz312525
- Li X., Sun M., Liu S. et al. Functions of PPR proteins in plant growth and development // Int. J. Mol. Sci. 2021. V. 22. Article 11274. https://doi.org/10.3390/ijms222011274
- Kelly J.K., Rasch A., Kalisz S. A method to estimate pollen viability from pollen size variation // Amer. J. Bot. 2002. V. 89. № 6. P. 1021–1023. https://doi.org/10.3732/ajb.89.6.1021
- Zanetti J.M., Greizerstein E., Camadro E. et al. Genomic relationship between hexaploidy Helianthus resinosus and diploid Helianthus annuus (Asteraceae) // Plant Syst. Evol. 2014. V. 300. P. 1071–1078. https://doi.org/10.1007/s00606-013-0945-0
- Karabitsina Yu.I., Gavrilova V.A., Alpatieva N.V. et al. Peculiarities of inheritance of pollen fertility restoration trait in sunflower with cytoplasmic male sterility // Rus. J. Genet. 2019. V. 55. № 11. P. 1375–1382. https://doi.org/10.1134/S0016675819110079
- Sun Y., Godwin I.D., Arief V.N. et al. Factors controlling self-fertility in sunflower: the role of GCA/SCA effects, S alleles, and floret characteristics // Crop Sci. 2012. V. 52. P. 128–135. https://doi.org/10.2135/cropsci2011.04.0188
- Бочковой А.Д., Камардин В.А., Назаров Д.А. О перспективах отбора самофертильных биотипов в первичных звеньях семеноводства подсолнечника // Масличные культуры. Научно-техн. бюл. Всерос. научно-исслед. института масличных культур. 2020. Вып. 1 (181). С. 3–11. https://doi.org/10.25230/2412-608X-2020-1-181-3-11
- Демурин Я.Н., Рубанова О.А. Завязываемость семян у гибридов подсолнечника в конкурсном сортоиспытании // Тр. Кубанского гос. аграрного университета. Краснодар, 2019. № 5(80). С. 109–113. https://doi.org/10.21515/1999-1703-80-109-113
Дополнительные файлы







