Частота сердечных осложнений у детей, выявленных после радикальной коррекции тетрады Фалло с помощью компьютерной томографии
- Авторы: Каблуллина А.М.1, Синицын В.Е.2, Рахимжанова Р.И.1, Даутов Т.Б.3, Садуакасова А.Б.4, Калиев Б.Б.1, Бастарбекова Л.А.1, Молдаханова Ж.А.1
-
Учреждения:
- Медицинский университет Астана
- Московский государственный университет имени М.В. Ломоносова
- Национальный научный кардиохирургический центр Республики Казахстан
- Больница Медицинского центра Управления делами Президента Республики Казахстан
- Выпуск: Том 4, № 3 (2023)
- Страницы: 268-279
- Раздел: Оригинальные исследования
- URL: https://ogarev-online.ru/DD/article/view/254068
- DOI: https://doi.org/10.17816/DD375285
- ID: 254068
Цитировать
Аннотация
Обоснование. Частота возникновения тетрады Фалло составляет примерно 0,5/1000 живорождённых, что соответствует 7–10% всех случаев врождённых пороков сердца и является второй по частоте формой сложных врождённых пороков сердца. Достижения в области диагностики, хирургического и послеоперационного лечения тетрады Фалло привели к тому, что всё большее число пациентов этой категории достигает зрелого возраста, при этом наблюдается резкое увеличение выживаемости (почти до 90%) к 30 годам, что требует длительного мониторинга определённых анатомических параметров для своевременного выявления осложнений. Данное исследование направлено на изучение частоты осложнений, выявленных с помощью компьютерной томографии, после радикальной коррекции тетрады Фалло у пациентов детского возраста.
Цель ― выявить с помощью компьютерной томографии маркеры наиболее часто встречающихся осложнений после коррекции тетрады Фалло у пациентов детского возраста.
Материалы и методы. Проведён ретроспективный анализ данных 613 пациентов с тетрадой Фалло за период с октября 2011 по июнь 2020 года. В исследование были включены 116 пациентов, из них 69 мужского и 47 женского пола, у которых после коррекции тетрады Фалло возникли осложнения, выявленные с помощью компьютерной томографии. На момент операции средний возраст пациентов составлял от 10 до 36 (в среднем 12) месяцев, средняя масса тела 21 кг, средний рост 105,4 см, средняя площадь поверхности тела 0,74 м2. Средний возраст пациентов на момент проведения компьютерной томографии составил 17,5 (возрастной диапазон 7–36) лет.
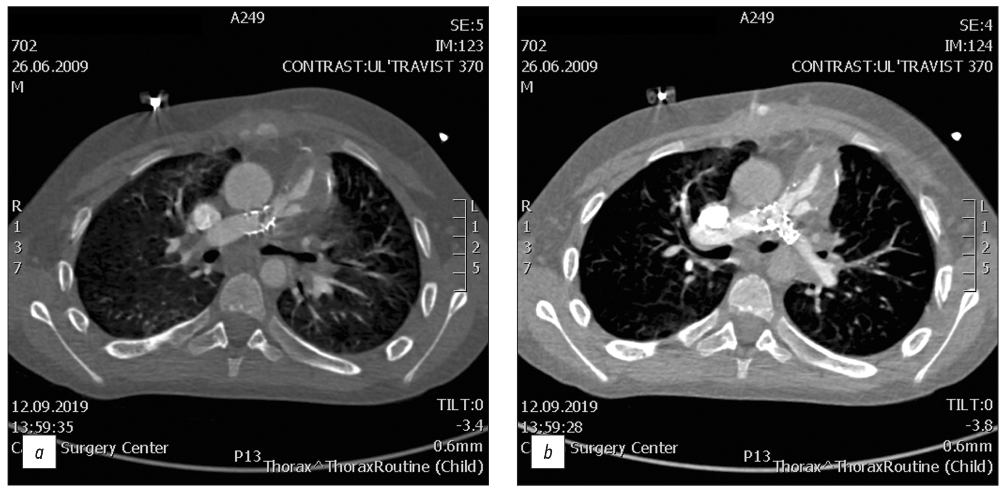
Результаты. Среди 116 пациентов с осложнениями после коррекции тетрады Фалло у 49 был стеноз лёгочной артерии, у 92 ― стеноз ветвей лёгочной артерии (из них у 56 ― основной ветви левой лёгочной артерии, у 36 ― основной ветви правой лёгочной артерии), у 8 ― стеноз выходного тракта правого желудочка, у 32 ― дефект межжелудочковой перегородки, у 1 ― тромбоз шунта, у 12 ― послеоперационная деформация лёгочной артерии, у 10 ― выраженная дилатация правого желудочка, у 2 ― аневризма выходного тракта правого желудочка, в 6 случаях ― кальцификация и стеноз кондуита. У пациентов со стенозом ветви левой лёгочной артерии вероятность развития стеноза ветви правой лёгочной артерии была в 6,5 раз выше (p <0,001).
Заключение. Наиболее частыми осложнениями, выявляемыми с помощью компьютерной томографии после коррекции тетрады Фалло, были стеноз лёгочной артерии и её ветвей. Пациенты со стенозом лёгочной артерии и её ветвей не имели существенных различий по возрасту, антропометрическим параметрам (рост, вес, площадь поверхности тела) и гендерному распределению при наличии или отсутствии различных типов стеноза (лёгочной артерии, правой или левой лёгочной артерии), однако стеноз правой лёгочной артерии повышает вероятность развития стеноза левой ветви.
Полный текст
Открыть статью на сайте журналаОб авторах
Ажар Муслюмкановна Каблуллина
Медицинский университет Астана
Автор, ответственный за переписку.
Email: azharazh@mail.ru
ORCID iD: 0000-0003-0521-5484
SPIN-код: 4169-1761
Казахстан, Астана
Валентин Евгеньевич Синицын
Московский государственный университет имени М.В. Ломоносова
Email: vsini@mail.ru
ORCID iD: 0000-0002-5649-2193
SPIN-код: 8449-6590
д-р мед. наук, профессор
Россия, МоскваРаушан Ибжановна Рахимжанова
Медицинский университет Астана
Email: rakhimzhanova01@rambler.ru
ORCID iD: 0000-0002-3490-6324
д-р мед. наук, профессор
Казахстан, АстанаТаирхан Бекполатович Даутов
Национальный научный кардиохирургический центр Республики Казахстан
Email: tairkhan.dautov@mail.ru
ORCID iD: 0000-0002-5267-0108
д-р мед. наук, профессор
Казахстан, АстанаАйгуль Болатовна Садуакасова
Больница Медицинского центра Управления делами Президента Республики Казахстан
Email: sadik.a@mail.ru
ORCID iD: 0000-0001-7089-5696
д-р мед. наук
Казахстан, АстанаБауржан Бахытович Калиев
Медицинский университет Астана
Email: Baur233113@mail.ru
ORCID iD: 0000-0003-4825-749X
Казахстан, Астана
Ляззат Абылхановна Бастарбекова
Медицинский университет Астана
Email: lbastarbekova@mail.ru
ORCID iD: 0000-0001-8246-4754
SPIN-код: 8634-6601
Казахстан, Астана
Жанар Акбергенова Молдаханова
Медицинский университет Астана
Email: moldahanova1991@mail.ru
ORCID iD: 0000-0002-5980-9563
Казахстан, Астана
Список литературы
- Apostolopoulou S.C., Manginas A., Kelekis N.L., Noutsias M. Cardiovascular imaging approach in pre and postoperative tetralogy of Fallot // BMC Cardiovasc Dis. 2019. Vol. 19, N 1. P. 7. doi: 10.1186/s12872-018-0996-9
- Shaaban M., Tantawy S., Elkafrawy F., et al. Multi-detector computed tomography in the assessment of tetralogy of Fallot patients: Is it a must? // Egyptian Heart J. 2020. Vol. 72, N 1. P. 17. doi: 10.1186/s43044-020-00047-3
- Goo H.W. Changes in right ventricular volume, volume load, and function measured with cardiac computed tomography over the entire time course of tetralogy of Fallot // Korean J Radiol. 2019. Vol. 20, N 6. P. 956–966. doi: 10.3348/kjr.2018.0891
- Stout K.K., Daniels C.J., Aboulhosn J.A., et al. 2018 AHA/ACC Guideline for the management of adults with congenital heart disease: Executive summary: A report of the American College of Cardiology / American Heart Association Task Force on Clinical Practice Guidelines // J Am College Cardiol. 2019. Vol. 73, N 12. P. 1494–1563. doi: 10.1016/j.jacc.2018.08.1028
- Chelliah A., Shah A.M., Farooqi K.M., Einstein A.J. Cardiovascular CT in cyanotic congenital heart disease // Curr Cardiovasc Imaging Rep. 2019. Vol. 12, N 7. Р. 30. doi: 10.1007/s12410-019-9507-3
- Goo H.W. Comparison of chest pain protocols for electrocardiography-gated dual-source cardiothoracic CT in children and adults: The effect of tube current saturation on radiation dose reduction // Korean J Radiol. 2018. Vol. 19, N 1. P. 23–31. doi: 10.3348/kjr.2018.19.1.23
- Siripornpitak S., Goo H.W. CT and MRI for repaired complex adult congenital heart diseases // Korean J Radiol. 2021. Vol. 22, N 3. P. 308–323. doi: 10.3348/kjr.2020.0895
- Singh R., Jain N., Kumar S., Garg N. Multi-detector computed tomography angiographic evaluation of right ventricular outflow tract obstruction and other associated cardiovascular anomalies in tetralogy of Fallot patients // Polish J Radiol. 2019. Vol. 84. P. 511–516. doi: 10.5114/pjr.2019.91203
- Kossaify A. Echocardiographic assessment of the right ventricle, from the conventional approach to speckle tracking and three-dimensional imaging, and insights into the «Right Way» to explore the forgotten chamber // Clin Med Insights Cardiol. 2015. Vol. 9. Р. 65–75. doi: 10.4137/CMC.S27462
- Pushparajah K., Duong P., Mathur S., Babu-Narayan S.V. Cardiovascular MRI and CT in congenital heart disease // Echo Res Pract. 2019. Vol. 6, N 4. Р. R121–138. doi: 10.1530/ERP-19-0048
Дополнительные файлы



