Морфологическая оценка репаративной регенерации экспериментальных кровоточащих ран печени при лечении гемостатическим средством сургитамп и гранулированным сорбентом молселект G-50
- Авторы: Пархисенко Ю.А.1, Воронцов А.К.2, Чередников Е.Ф.1, Баранников С.В.1, Корсаков А.В.3, Трошин В.П.4
-
Учреждения:
- Воронежский государственный медицинский университет имени Н.Н. Бурденко
- Смоленский государственный медицинский университет
- Российский национальный исследовательский медицинский университет имени Н.И. Пирогова
- Брянская городская больница № 1
- Выпуск: Том 20, № 1 (2023)
- Страницы: 73-80
- Раздел: Оригинальные исследования
- URL: https://ogarev-online.ru/1994-9480/article/view/143308
- DOI: https://doi.org/10.19163/1994-9480-2023-20-1-73-80
- ID: 143308
Цитировать
Полный текст
Аннотация
Проблема лечения внутрибрюшных кровотечений при абдоминальной травме – одна из серьезных в ургентной хирургии. Наиболее частой причиной этих геморрагий являются повреждения печени. Для хирургического гемостаза все большее распространение получают местные гемостатики, гранулированные сорбенты. Цель исследования – изучить в эксперименте in vivo гемостатические свойства и морфологические особенности репаративной регенерации моделированных кровоточащих ран печени при лечении гемостатическим средством сургитамп и сорбентом молселект G-50. Эксперименты были выполнены на 30 лабораторных животных – кролики породы шиншилла. После воспроизведения модели кровоточащей раны печени остановку кровотечения в опытной группе (n = 15) производили путем нанесения в рану порошкообразного сорбента молселект G-50 (4,0 г) с последующим тампонированием гемостатической марлей сургитамп (4,0 × 2,0 см). Гемостаз в контрольной ране печени осуществляли путем наложения п-образного шва нитью ПГА-3,0 до сближения краев раны. Морфологические исследования производились на 7, 14 и 28-е сутки эксперимента. Экспериментальные исследования показали, что время остановки кровотечения в группе опытной составило 280 (264–308) с, в контроле время гемостаза было позже – 461 (420–501) с. Морфологические исследования позволили установить различия как в скорости, так и качестве репаративной регенерации опытных моделированных ран печени по сравнению с контролем. Экспериментальные исследования с применением молселекта G-50 в сочетании с сургитампом для местного гемостаза кровоточащих ран печени у кроликов позволили заключить, что такое сочетание дает возможность не только надежно остановить кровотечение, но и способствует стимуляции репаративной регенерации.
Ключевые слова
Полный текст
Одной из актуальных проблем ургентной хирургии остается травма живота. Наиболее частой причиной летальных исходов при абдоминальной травме являются разрывы печени, осложненные внутрибрюшным кровотечением. Своевременность хирургического лечения, применение эффективных методов гемостаза здесь приобретают значение [1, 2, 3, 4, 5].
В последнее время уточняются морфологические особенности зон повреждения (размеры, локализация, форма и т. д.), что определенно может повлиять на действия хирурга. Остается много неясного в биомеханике травмы печени. Современная хирургия все отчетливее принимает концепцию секторального строения печени, то есть печень лучше представлять как систему сегментов с развернутой древовидной структурой для понимания взаимоотношения зон разрыва, ушиба, размозжения и сохранившейся ткани печени при травме [6].
При остановке кровотечения все шире стали применять гранулированные сорбенты, местные гемостатики, сетчатые импланты и др. Гемостаз при этом происходит за счет местной активации тромбоцитов, формирования устойчивого тромботического барьера и впитывания жидкого компонента крови гидрофильными сорбентами с образованием геля [7, 8].
Важно отметить, что сведений о применении гемостатика сургитамп и сорбента молселект G-50 для остановки кровотечения из ран печени не обнаружено. В этой связи представляется перспективным изучение возможности применения гемостатика в сочетании с гранулированным сорбентом в лечении кровотечений из травматических ран печени.
ЦЕЛЬ РАБОТЫ
Изучить в эксперименте in vivo гемостатические свойства и морфологические особенности репаративной регенерации моделированных кровоточащих ран печени при лечении гемостатическим средством сургитамп и сорбентом молселект G-50.
МЕТОДИКА ИССЛЕДОВАНИЯ
Исследования проведены на базе федерального государственного бюджетного образовательного учреждения высшего образования «Брянский государственный аграрный университет» при строгом соблюдении законодательства в сфере охраны животных, используемых в экспериментальных исследованиях: Европейской конвенции по защите экспериментальных животных 86/609 ЕЕС, Европейской конвенции о защите позвоночных животных, используемых для экспериментов или в иных научных целях (Страсбург, 18.03.1986, ETS № 123), протокол № 8 Этического комитета ФГБОУ ВО ВГМУ им. Н.Н. Бурденко Минздрава России от 28 ноября 2019 года. В исследовании приняли 30 лабораторных животных – кролики породы шиншилла: 15 животных – опытная группа (ОГ), 15 животных – контрольная группа (КГ).
Экспериментальная модель кровоточащей раны печени: под внутривенным обезболиванием (золетил 100 – 0,1 мл/кг массы тела, ксилавет – 0,1 мл/кг массы тела) лабораторным кроликам выполнялась срединная лапаротомия. В рану выводилась правая доля печени, которую помещали на подставку-столик. На расстоянии 20 см от поверхности печени с помощью нити крепился металлический груз в виде треугольной призмы массой 92 г. По готовности нить, фиксирующая груз, пережигалась пламенем газовой горелки, груз падал в вертикальном направлении и ударялся о поверхность правой доли печени, что приводило к формированию экспериментальной кровоточащей раны печени, локализующейся в области правой доли, линейной формы, размером 3,0 × 0,7 см, глубиной 0,6 см, с неровными краями и активным паренхиматозным кровотечением из области краев раны (рис. 1).
Остановка кровотечения в ОГ производилась путем аппликации раны сорбентом молселект G-50 (4,0 г) с последующим тампонированием полоской гемостатической марли сургитамп (4,0 × 2,0 см) (рис. 2). Хирургический гемостаз в КГ достигался путем прошивания экспериментальной кровоточащей раны печени п-образным швом (нить ПГА 3.0 на основе полигликолевой кислоты) до сближения краев раны (рис. 3).
Оценку результатов экспериментального исследования производили по показателям: время остановки кровотечения, изучение морфологических особенностей заживления печени в области экспериментальных кровоточащих ран. В ходе эксперимента осложнений, связанных с обезболиванием, оперативным вмешательством, а также случаев непрогнозируемой гибели животного не наблюдалось.
Выведение животных из эксперимента производили на 7, 14 и 28-е сутки путем передозировки наркоза (по 5 животных ОГ и КГ). При аутопсии производили забор ткани печени из области экспериментальных ран с последующим их погружением в 10%-й раствор формалина. Обезвоживание тканей проводили в этиловом спирте возрастающей концентрации, после чего их заливали в парафин. Срезы ткани печени толщиной 5 мкм окрашивали гематоксилин-эозином и пикрофуксином по Ван-Гизону на выявление коллагеновых волокон. Иммуногистохимическое окрашивание применялось для идентификации пролиферирующих клеток по экспрессии антигена Ki-67 печени экспериментальных животных. Первичное антитело – Purified Mouse Anti-Human Ki-67 (клон В56, разведение 1 : 50, производитель BD Biosciences, USA). Вторичное антитело – Biotine mouse anti-rat IgG2b (разведение 1 : 50, производитель Millipore, USA). Идентификация антигенных детерминант осуществлялась непрямым пероксидазным методом окрашивания.
Статистическую обработку результатов проводили в программном пакете Stata SE 14.2 (StataCorp., TX, USA). Определяли основные показатели описательной статистики: среднее, ошибка среднего, медиана, квартильный размах. Анализ значимости различий производили с использованием критериев: Т-критерия Стьюдента, критерия Вилкоксона, U-критерия Манна – Уитни.
РЕЗУЛЬТАТЫ ИССЛЕДОВАНИЯ И ИХ ОБСУЖДЕНИЕ
Экспериментальные исследования показали, что сразу же после нанесения на кровоточащую рану сорбента молселект G-50, с последующей тампонадой марлей сургитамп, сорбент и гемостатическая марля активно пропитывались кровью. При этом сорбент набухал, значительно увеличиваясь в объеме, и превращался в окрашенный кровью гидрогель, что способствовало механической компрессии кровоточащих сосудов и остановке кровотечения. Тампонирование раны марлей сургитамп способствовало усилению гемостатической активности и достижению стойкого гемостаза. Время остановки кровотечения в ОГ составило 280 (264–308) с
В КГ животных остановка кровотечения происходила значительно P = 0,0001 позже, чем в ОГ. Время гемостаза для КГ составило – 461 (420–501) с. Большая длительность остановки кровотечения была обусловлена более длительным временем проведения основного этапа хирургического гемостаза в КГ и постоянным подтеканием крови из раны и мест вкола иглы в печень, что требовало дополнительного прошивания и сдавления ткани печени.
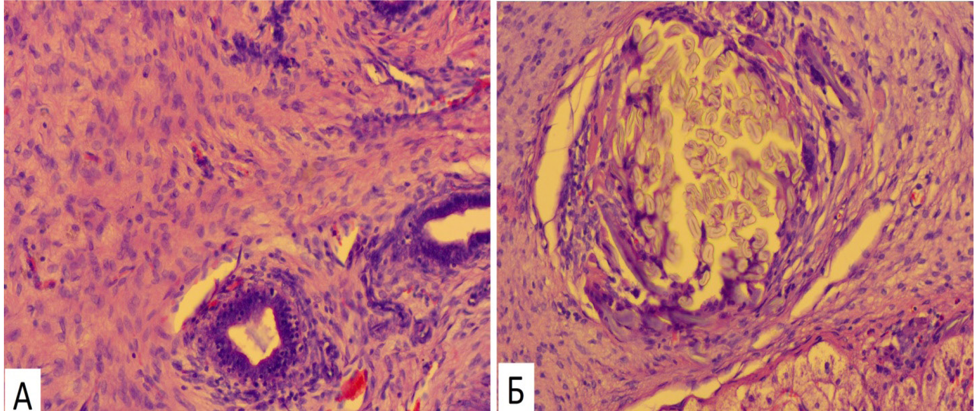
При морфологическом исследовании гистологического материала установлены следующие особенности. На 7-й день эксперимента, в микропрепаратах ОГ наблюдалась выраженная макрофагальная реакция в формирующейся соединительнотканной капсуле, отграничивающая клетки печени от очага повреждения (рис. 4А). В микропрепаратах КГ на 7-й день эксперимента в зоне повреждения печени наблюдались отек, лимфо-гистиоцитарная инфильтрация, скопления макрофагов и развитие грануляционной ткани (рис. 4Б).
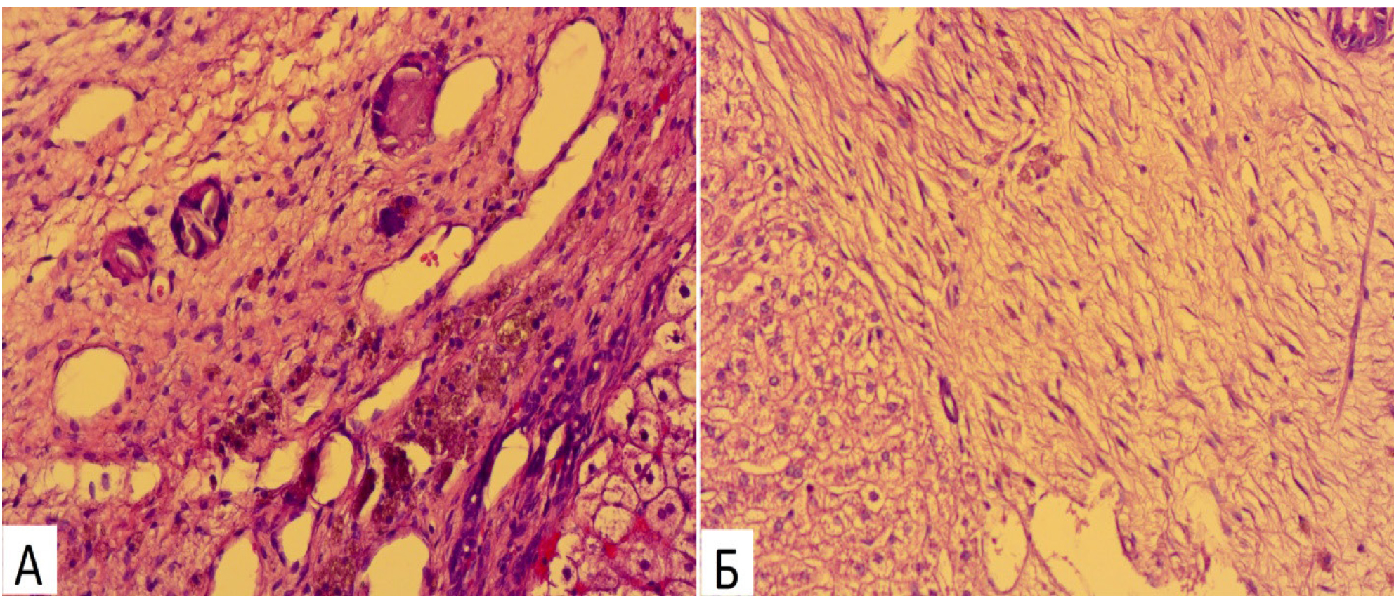
На 14-е сутки эксперимента (ОГ) в формирующейся рубцовой ткани вокруг молселекта G-50 отмечались многочисленные многоядерные гигантские клетки инородных тел (рис. 5А). В это же время в КГ формирующаяся соединительнотканная капсула имела незначительное количество гигантских клеток на рассасывание инородных тел (рис. 5Б).
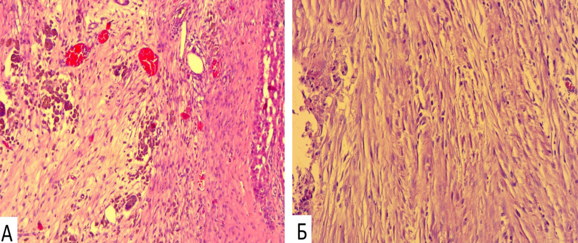
На 28-й день эксперимента при анализе морфологических особенностей заживления экспериментальных ран печени наблюдались следующие особенности. В ОГ животных дно раны («зона некроза») было представлено зрелой грануляционной тканью с врастающими печеночными ходами и сосудами. В прилежащих к ране зонах отмечались очаги пролиферирующих молодых гепатоцитов (рис. 6А). В КГ «зона некроза» представляла собой молодую грануляционную ткань с густой лимфо-гистиоцитарной инфильтрацией, отграниченной зрелой соединительно-тканной капсулой. Капсула отделяла ткань печени от очага повреждения. В зоне шовного материала ПГА наблюдалась выраженная гигантоклеточная реакция (рис. 6Б).
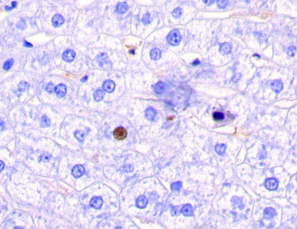
Пролиферативная активность клеток печени кроликов определялись с помощью иммуногистохимического метода с использованием антитела Ki-67 и p53. Ki-67 – ядерный антиген, выраженный в клетках на всех стадиях клеточного цикла кроме Go, что позволяет использовать его в качестве маркера пролиферации. По количеству Ki-67-позитивных клеток в 1 мм2 на срезах печени оценивали течение регенеративных процессов с помощью индекса пролиферативной активности (ИПА).При повреждении печени определяли количество Ki-67-позитивных гепатоцитов в единице пло- щади (рис. 7). Как известно, репарация печени осуществляется как за счет внутриклеточной регенерации, что проявляется в увеличении размеров гепатоцитов, их ядер и росте числа двуядерных клеток, так и за счет клеточной регенерации, на что указывает увеличение количества Ki-67 положительных гепатоцитов [9, 10]. В условиях эксперимента, после нанесения травмы в паренхиме печени, наблюдаются диаметрально противоположные процессы, которые характеризуются увеличением числа пролиферирующих клеток (Ki-67 положительных) и уменьшением индекса апоптоза (снижение запрограммированной гибели клеток).
Всего в опытной группе животных на 7-й день изучили 107 случайных полей зрения (пз), на 14-й день – 100 пз, на 28-й – 99 пз. В группе контрольных животных изучили: на 7-й день – 99 пз, на 14-й день – 99 пз, на 28-й – 103 пз. Динамика показателя ИПА в ОГ и КГ представлена на рис. 8.
Как видно из рис. 8, ИПА гепатоцитов в печени кроликов достоверно не отличался на 7-й день в опытной и контрольной группах и составил 6,35 и 6,32 % (Ме) соответственно при P > 0,05. На 14-й день ИПА в ОГ был достоверно (P = 0,00001) выше – 19,36 %, чем в КГ – 4,52 %. На 28-й день ИПА гепатоцитов в ОГ снижался до уровня 12,49 %, а в контроле нарастал до 14,78 % (P = 0,02).
Таким образом, пролиферативная активность гепатоцитов в ОГ нарастала с 7 суток и достигала максимума уже на 14-е сутки исследования, после чего темп регенерации ткани печени снижался, в то время как в КГ пролиферация печени снижалась с 7-го к 14-му дню, возможно, за счет ишемии в области зоны повреждения, вызванной сдавлением сосудов шовным материалом, а рост пролиферативной активности и восстановление ткани печени происходил лишь к 28-м суткам.
Количество клеток, подвергшихся апоптозу, подсчитывали в 100 полях зрения в окрашенных гематоксилином и эозином срезах печени кроликов. Результаты подсчета выводили в виде процента апоптозных клеток – индекса апоптоза (ИА). ИА характеризует количество погибающих естественным путем клеток (запрограммированная гибель клеток). Мы использовали иммуногистохимический маркер p53. Чем меньше ИА, тем выше пролиферативная активность клеток и наоборот. Графическое представление ИА представлено на рис. 9.
При сравнении этих показателей выявлено статистически достоверное различие ИА на 7-й день экспериментального исследования: ИА в ОГ составил 3,96 ± 1,21, в КГ – 8,39 ± 2,46 (P < 0,05). Наиболее вероятно ИА в КГ на 7-й день был выше из-за ишемических процессов в области контрольных ран, что связано со сдавлением шовным материалом кровоснабжающих зону повреждения сосудов. В ОГ на 14-е сутки ИА находился на уровне 7 дня – 3,83 ± 1,22 (P < 0,05), а к 28-му дню происходило его значительное снижение до уровня 1,92 ± 0,78. В КГ к 14-му дню ИА снижался с 8,39 ± 2,46 до 5,49 ± 1,61 (P < 0,05), а к 28-му дню ИА продолжил снижение и составил 3,78 ± 0,88. Значимость различий ИА в сравниваемых группах на 28-е сутки составила P = 0,001.
Таким образом, ИА в ОГ и КГ имел максимальные значения на 7-е сутки и к 28-му дню постепенно снижался в обеих группах. Однако ИА в контрольной КГ на 7-е сутки исследования был более выражен в связи с развивающейся ишемией ткани печени в зоне ушивания, где погибает большее количество гепатоцитов, тогда как в ОГ интенсивной гибели клеток не происходило, и ИА практически оставался на одном уровне. Начиная с 14 дня и в ОГ, и КГ происходило постепенное снижение ИА гепатоцитов, при этом лучшие характеристики наблюдались в ОГ, что объясняется меньшим повреждением ткани печени за счет отсутствия вторичных ишемических изменений.
ЗАКЛЮЧЕНИЕ
Таким образом, использование технологии хирургического гемостаза экспериментальных кровоточащих ран печени путем аппликации сорбента молселект G-50 с последующей тампонадой гемостатической марлей сургитамп позволяет обеспечить надежный гемостаз моделированных кровоточащих ран печени, сокращая время остановки кровотечения с 461 (420–501) с до 280 (264–308) с при P = 0,0001. Применение гемостатического средства сургитамп и гранулированного сорбента молселект G-50 способствует ускорению сроков и улучшению качества репаративной регенерации при отсутствии повреждающего действия на печеночную ткань, что позволяет использовать разработанные методики хирургического гемостаза для остановки кровотечений из ран печени в клинической практике.
Конфликт интересов. Авторы декларируют отсутствие явных и потенциальных конфликтов интересов, связанных с публикацией настоящей статьи.
Competing interests. The authors declare that they have no competing interests.
Об авторах
Юрий Александрович Пархисенко
Воронежский государственный медицинский университет имени Н.Н. Бурденко
Email: parkhisenko46@mail.ru
ORCID iD: 0000-0002-6486-9405
доктор медицинских наук, профессор, профессор кафедры специализированных хирургических дисциплин
Россия, ВоронежАлексей Константинович Воронцов
Смоленский государственный медицинский университет
Автор, ответственный за переписку.
Email: ale92112855@yandex.ru
ORCID iD: 0000-0002-3730-1005
кандидат медицинских наук, ассистент кафедры госпитальной хирургии
Россия, СмоленскЕвгений Федорович Чередников
Воронежский государственный медицинский университет имени Н.Н. Бурденко
Email: facult-surg.vsmuburdenko@yandex.ru
ORCID iD: 0000-0001-7521-0211
доктор медицинских наук, профессор, заведующий кафедрой ургентной и факультетской хирургии
Россия, ВоронежСергей Викторович Баранников
Воронежский государственный медицинский университет имени Н.Н. Бурденко
Email: svbarannikov@rambler.ru
ORCID iD: 0000-0002-2620-9836
кандидат медицинских наук, доцент кафедры ургентной и факультетской хирургии
Россия, ВоронежАнтон Вячеславович Корсаков
Российский национальный исследовательский медицинский университет имени Н.И. Пирогова
Email: korsakov_anton@mail.ru
ORCID iD: 0000-0002-4609-0246
доктор биологических наук, доцент, профессор кафедры медицины катастроф
Россия, МоскваВладислав Павлович Трошин
Брянская городская больница № 1
Email: vptbr32@mail.ru
ORCID iD: 0000-0003-1675-7553
доктор медицинских наук, профессор, заведующий патологоанатомическим отделением
Россия, БрянскСписок литературы
- Сигуа Б.В., Земляной В.П., Дюков А.К. Закрытая травма живота с повреждением печени (обзор литературы). Вестник Северо-Западного государственного медицинского университета им. И.И. Мечникова. 2014;6(3):93–98.
- Евтихов А.В., Любивый Е.Д., Ким В.Л. Клинические наблюдения тяжелых травматических повреждений печени. Хирургия. Журнал им. Н.И. Пирогова. 2020;7:89–92. doi: 10.17116/hirurgia202007189.
- Липатов В.А., Ершов М.П., Сотников К.А. и др. Современные тенденции применения локальных аппликационных кровоостанавливающих средств. Innova. 2016; 2(3):64–69. doi: 10.21626/innova/2016.2/07.
- Стяжкина С.Н., Пелина Н.А., Хабибулина Л.И. и др. Место видеолапароскопии в ургентной хирургии при травме органов брюшной полости. Современные проблемы науки и образования. 2017;3:63.
- Тимошенкова А.В., Кузьмин М.В., Катанов Е. Оценка билиостатических свойств современных топических гемостатических средств, применяемых в хирургии печени. Пермский медицинский журнал. 2018;35(1):102–107. doi: 10.17816/pmj351102-107.
- Лызиков А.Н., Скуратов А.Г, Осипов Б.Б. Механизмы регенерации печени в норме и при патологии. Проблемы здоровья и экологии. 2015;1(43):4–9.
- Cherednikov E.F., Barannikov S.V., Yuzefovich I.S. et al. Innovative Endoscopic Technologies in the Complex Treatment of Patients with Unstable Stopped Gastroduodenal Bleeding. International Journal of Biomedicine. 2021;11(1):24–28. doi: 10.21103/Article11(1)_OA4.
- Cherednikov E.F., Glukhov A.A., Romantsov M.N. et al. Hemostatic Agents in Combination with Diovine for Local Treatment of Simulated Bleeding Gastric Ulcers. International Journal of Biomedicine. 2020;10(2):138–141. doi: 10.21103/Article10(2)_OA10.
- Скуратов А.Г., Лызиков А.Н., Зиновкин Д.А. и др. Морфометрические параметры регенерации печени при частичной гепатэктомии и трансплантации мезенхимальных стволовых клеток в эксперименте. Известия Национальной академии наук Беларуси. Серия медицинских наук. 2016;4:57–65.
- Плеханов А.Н., Товаршинов А.И. Регенерация печени: решенные и проблемные вопросы (Сообщение 2). Хирургия. Журнал им. Н.И. Пирогова. 2021;2:88–93. doi: 10.17116/hirurgia202102188.
Дополнительные файлы










